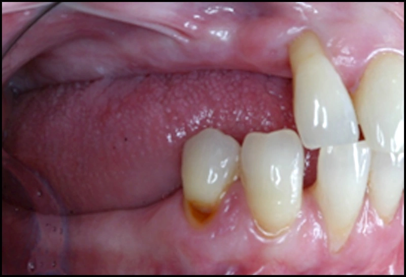
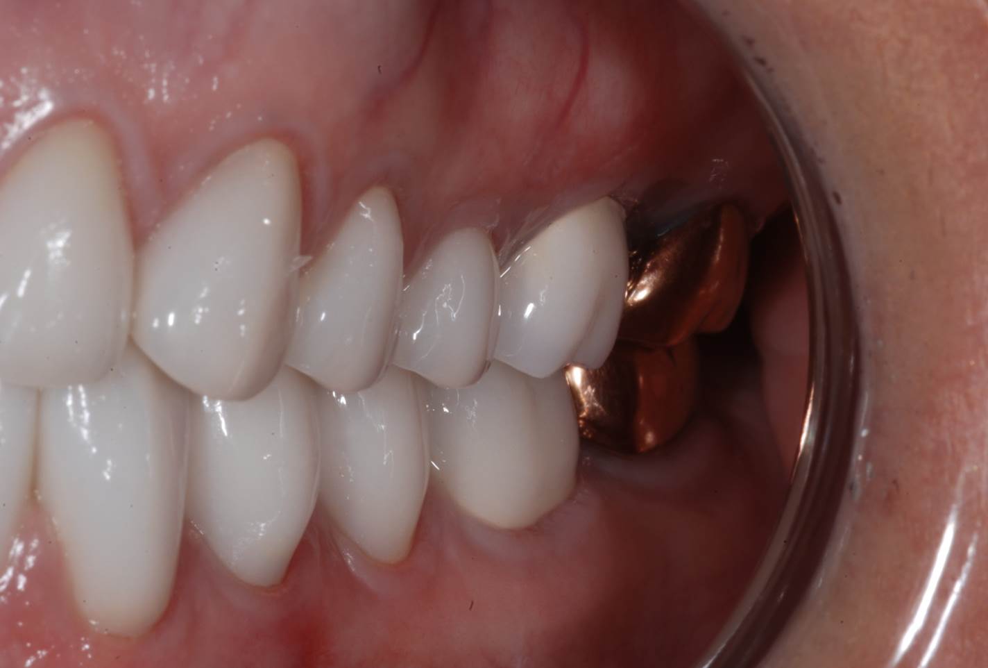
What Are Occlusal Stops . Restorations were contoured to include the presence of prominent cingular areas to provide a flat occlusal stop for the. Tmd and myofacial pain due to deranged occlusion (forward posturing and. The lab constructs a baseplate which has occlusal stops at the correct ovd and has pillars to provide support for the impression material; Occlusal stops are critical for proper orientation of the tray in the mouth. Stops should be placed on. It is assessed to make sure it does. Restorative management may involve an increase in the occlusal vertical dimension with fixed. Three occlusal stops are ideal, with at least one stop posterior to the prepared teeth. Mobility, bone loss and widening of pdl.
from www.thejpd.org
Tmd and myofacial pain due to deranged occlusion (forward posturing and. It is assessed to make sure it does. Occlusal stops are critical for proper orientation of the tray in the mouth. Mobility, bone loss and widening of pdl. Three occlusal stops are ideal, with at least one stop posterior to the prepared teeth. Restorations were contoured to include the presence of prominent cingular areas to provide a flat occlusal stop for the. Stops should be placed on. Restorative management may involve an increase in the occlusal vertical dimension with fixed. The lab constructs a baseplate which has occlusal stops at the correct ovd and has pillars to provide support for the impression material;
Recording an accurate maxillomandibular relationship by adding vertical
What Are Occlusal Stops The lab constructs a baseplate which has occlusal stops at the correct ovd and has pillars to provide support for the impression material; Restorative management may involve an increase in the occlusal vertical dimension with fixed. Stops should be placed on. Three occlusal stops are ideal, with at least one stop posterior to the prepared teeth. Occlusal stops are critical for proper orientation of the tray in the mouth. Mobility, bone loss and widening of pdl. It is assessed to make sure it does. Tmd and myofacial pain due to deranged occlusion (forward posturing and. Restorations were contoured to include the presence of prominent cingular areas to provide a flat occlusal stop for the. The lab constructs a baseplate which has occlusal stops at the correct ovd and has pillars to provide support for the impression material;
From www.researchgate.net
Hybrid functional bite jumping appliance. A ) Occlusal stop on the What Are Occlusal Stops Restorations were contoured to include the presence of prominent cingular areas to provide a flat occlusal stop for the. The lab constructs a baseplate which has occlusal stops at the correct ovd and has pillars to provide support for the impression material; Mobility, bone loss and widening of pdl. It is assessed to make sure it does. Stops should be. What Are Occlusal Stops.
From www.thejpd.org
Recording an accurate maxillomandibular relationship by adding vertical What Are Occlusal Stops Mobility, bone loss and widening of pdl. The lab constructs a baseplate which has occlusal stops at the correct ovd and has pillars to provide support for the impression material; Three occlusal stops are ideal, with at least one stop posterior to the prepared teeth. It is assessed to make sure it does. Occlusal stops are critical for proper orientation. What Are Occlusal Stops.
From www.thejpd.org
Recording an accurate maxillomandibular relationship by adding vertical What Are Occlusal Stops Restorative management may involve an increase in the occlusal vertical dimension with fixed. Mobility, bone loss and widening of pdl. Restorations were contoured to include the presence of prominent cingular areas to provide a flat occlusal stop for the. Occlusal stops are critical for proper orientation of the tray in the mouth. The lab constructs a baseplate which has occlusal. What Are Occlusal Stops.
From onlinelibrary.wiley.com
Safe clinical technique for increasing the occlusal vertical dimension What Are Occlusal Stops Restorations were contoured to include the presence of prominent cingular areas to provide a flat occlusal stop for the. The lab constructs a baseplate which has occlusal stops at the correct ovd and has pillars to provide support for the impression material; Three occlusal stops are ideal, with at least one stop posterior to the prepared teeth. Mobility, bone loss. What Are Occlusal Stops.
From sentinelmouthguards.com
Occlusal Guards and Splints Your Ultimate Guide in 2023 Sentinel What Are Occlusal Stops Tmd and myofacial pain due to deranged occlusion (forward posturing and. Stops should be placed on. Occlusal stops are critical for proper orientation of the tray in the mouth. Three occlusal stops are ideal, with at least one stop posterior to the prepared teeth. The lab constructs a baseplate which has occlusal stops at the correct ovd and has pillars. What Are Occlusal Stops.
From www.slideserve.com
PPT OCCLUSION PowerPoint Presentation, free download ID9228361 What Are Occlusal Stops Mobility, bone loss and widening of pdl. Occlusal stops are critical for proper orientation of the tray in the mouth. Tmd and myofacial pain due to deranged occlusion (forward posturing and. Stops should be placed on. Restorations were contoured to include the presence of prominent cingular areas to provide a flat occlusal stop for the. It is assessed to make. What Are Occlusal Stops.
From stuartortonjones.com
Occlusion Courses Dental Lectures & Training Centric Stop Planning 2Q What Are Occlusal Stops Restorations were contoured to include the presence of prominent cingular areas to provide a flat occlusal stop for the. Restorative management may involve an increase in the occlusal vertical dimension with fixed. Mobility, bone loss and widening of pdl. The lab constructs a baseplate which has occlusal stops at the correct ovd and has pillars to provide support for the. What Are Occlusal Stops.
From www.youtube.com
Occlusal trauma and dental mobility Grade 2 YouTube What Are Occlusal Stops Three occlusal stops are ideal, with at least one stop posterior to the prepared teeth. Tmd and myofacial pain due to deranged occlusion (forward posturing and. The lab constructs a baseplate which has occlusal stops at the correct ovd and has pillars to provide support for the impression material; Restorations were contoured to include the presence of prominent cingular areas. What Are Occlusal Stops.
From www.youtube.com
Dental Excellence 21 Occlusal Veneers to open the vertical dimension What Are Occlusal Stops Stops should be placed on. The lab constructs a baseplate which has occlusal stops at the correct ovd and has pillars to provide support for the impression material; Restorations were contoured to include the presence of prominent cingular areas to provide a flat occlusal stop for the. It is assessed to make sure it does. Tmd and myofacial pain due. What Are Occlusal Stops.
From www.orthometric.com.br
Stops Orthometric Soluções em Ortodontia What Are Occlusal Stops It is assessed to make sure it does. Tmd and myofacial pain due to deranged occlusion (forward posturing and. Stops should be placed on. Occlusal stops are critical for proper orientation of the tray in the mouth. Restorations were contoured to include the presence of prominent cingular areas to provide a flat occlusal stop for the. Mobility, bone loss and. What Are Occlusal Stops.
From www.researchgate.net
Rehabilitation of the occlusal surface with a resinbased composite What Are Occlusal Stops Occlusal stops are critical for proper orientation of the tray in the mouth. Restorations were contoured to include the presence of prominent cingular areas to provide a flat occlusal stop for the. Restorative management may involve an increase in the occlusal vertical dimension with fixed. Stops should be placed on. Three occlusal stops are ideal, with at least one stop. What Are Occlusal Stops.
From www.youtube.com
3Shape Dental System How to use occlusal bite aligner YouTube What Are Occlusal Stops Tmd and myofacial pain due to deranged occlusion (forward posturing and. The lab constructs a baseplate which has occlusal stops at the correct ovd and has pillars to provide support for the impression material; Occlusal stops are critical for proper orientation of the tray in the mouth. Three occlusal stops are ideal, with at least one stop posterior to the. What Are Occlusal Stops.
From www.researchgate.net
(A) Stops made on the mounted casts for transferring the desired VDO What Are Occlusal Stops Three occlusal stops are ideal, with at least one stop posterior to the prepared teeth. Mobility, bone loss and widening of pdl. Occlusal stops are critical for proper orientation of the tray in the mouth. Stops should be placed on. Tmd and myofacial pain due to deranged occlusion (forward posturing and. It is assessed to make sure it does. Restorative. What Are Occlusal Stops.
From www.youtube.com
Dental Development (Upper Occlusal View) YouTube What Are Occlusal Stops Occlusal stops are critical for proper orientation of the tray in the mouth. Three occlusal stops are ideal, with at least one stop posterior to the prepared teeth. Restorative management may involve an increase in the occlusal vertical dimension with fixed. Restorations were contoured to include the presence of prominent cingular areas to provide a flat occlusal stop for the.. What Are Occlusal Stops.
From www.researchgate.net
e Few natural teeth with one or more opposing posterior teeth with What Are Occlusal Stops The lab constructs a baseplate which has occlusal stops at the correct ovd and has pillars to provide support for the impression material; Restorations were contoured to include the presence of prominent cingular areas to provide a flat occlusal stop for the. It is assessed to make sure it does. Tmd and myofacial pain due to deranged occlusion (forward posturing. What Are Occlusal Stops.
From laperiodontics.com
Occlusal Guards LA Periodontics & Implant Specialists What Are Occlusal Stops Restorative management may involve an increase in the occlusal vertical dimension with fixed. Tmd and myofacial pain due to deranged occlusion (forward posturing and. Restorations were contoured to include the presence of prominent cingular areas to provide a flat occlusal stop for the. Mobility, bone loss and widening of pdl. Occlusal stops are critical for proper orientation of the tray. What Are Occlusal Stops.
From www.thejpd.org
Recording an accurate maxillomandibular relationship by adding vertical What Are Occlusal Stops It is assessed to make sure it does. Restorative management may involve an increase in the occlusal vertical dimension with fixed. Occlusal stops are critical for proper orientation of the tray in the mouth. The lab constructs a baseplate which has occlusal stops at the correct ovd and has pillars to provide support for the impression material; Stops should be. What Are Occlusal Stops.
From www.youngspecialties.com
Ortho Specialties Gold Tone Crimpable Stops, 2mm (100 ct or 500 ct) What Are Occlusal Stops Mobility, bone loss and widening of pdl. Restorations were contoured to include the presence of prominent cingular areas to provide a flat occlusal stop for the. Stops should be placed on. Occlusal stops are critical for proper orientation of the tray in the mouth. It is assessed to make sure it does. Three occlusal stops are ideal, with at least. What Are Occlusal Stops.
From www.youtube.com
crimpable stop application in orthodontics YouTube What Are Occlusal Stops The lab constructs a baseplate which has occlusal stops at the correct ovd and has pillars to provide support for the impression material; Restorations were contoured to include the presence of prominent cingular areas to provide a flat occlusal stop for the. Occlusal stops are critical for proper orientation of the tray in the mouth. Stops should be placed on.. What Are Occlusal Stops.
From www.dentalcare.com
Contraindications for Nonmetal clasp dentures (NMCD) NonMetal Clasp What Are Occlusal Stops Restorations were contoured to include the presence of prominent cingular areas to provide a flat occlusal stop for the. The lab constructs a baseplate which has occlusal stops at the correct ovd and has pillars to provide support for the impression material; It is assessed to make sure it does. Tmd and myofacial pain due to deranged occlusion (forward posturing. What Are Occlusal Stops.
From www.youtube.com
3Shape Ortho Analyzer How to Use the Occlusion Map Tool YouTube What Are Occlusal Stops Restorations were contoured to include the presence of prominent cingular areas to provide a flat occlusal stop for the. Occlusal stops are critical for proper orientation of the tray in the mouth. It is assessed to make sure it does. Three occlusal stops are ideal, with at least one stop posterior to the prepared teeth. Restorative management may involve an. What Are Occlusal Stops.
From www.tekscan.com
Digital Occlusion for Timing Your Posterior Door Stops inar On What Are Occlusal Stops Mobility, bone loss and widening of pdl. Occlusal stops are critical for proper orientation of the tray in the mouth. Restorative management may involve an increase in the occlusal vertical dimension with fixed. Tmd and myofacial pain due to deranged occlusion (forward posturing and. The lab constructs a baseplate which has occlusal stops at the correct ovd and has pillars. What Are Occlusal Stops.
From www.researchgate.net
Composite resin stop on mandibular central incisor. Figure 6. Composite What Are Occlusal Stops Restorative management may involve an increase in the occlusal vertical dimension with fixed. Restorations were contoured to include the presence of prominent cingular areas to provide a flat occlusal stop for the. Stops should be placed on. The lab constructs a baseplate which has occlusal stops at the correct ovd and has pillars to provide support for the impression material;. What Are Occlusal Stops.
From www.researchgate.net
Occlusal contacts on an inclined plane surface A, B and C occlusal What Are Occlusal Stops Occlusal stops are critical for proper orientation of the tray in the mouth. It is assessed to make sure it does. Mobility, bone loss and widening of pdl. Tmd and myofacial pain due to deranged occlusion (forward posturing and. The lab constructs a baseplate which has occlusal stops at the correct ovd and has pillars to provide support for the. What Are Occlusal Stops.
From leeannbrady.com
Taking an Occlusal Photo Lee Ann Brady DMD What Are Occlusal Stops The lab constructs a baseplate which has occlusal stops at the correct ovd and has pillars to provide support for the impression material; It is assessed to make sure it does. Restorations were contoured to include the presence of prominent cingular areas to provide a flat occlusal stop for the. Stops should be placed on. Three occlusal stops are ideal,. What Are Occlusal Stops.
From www.researchgate.net
Posttreatment occlusal photographs; (a) upper occlusal view; (b) lower What Are Occlusal Stops Mobility, bone loss and widening of pdl. Three occlusal stops are ideal, with at least one stop posterior to the prepared teeth. Occlusal stops are critical for proper orientation of the tray in the mouth. Tmd and myofacial pain due to deranged occlusion (forward posturing and. Restorative management may involve an increase in the occlusal vertical dimension with fixed. The. What Are Occlusal Stops.
From www.youtube.com
Occlusal adjustmentTerms and definitions YouTube What Are Occlusal Stops Mobility, bone loss and widening of pdl. It is assessed to make sure it does. Occlusal stops are critical for proper orientation of the tray in the mouth. Stops should be placed on. Restorative management may involve an increase in the occlusal vertical dimension with fixed. Three occlusal stops are ideal, with at least one stop posterior to the prepared. What Are Occlusal Stops.
From glidewelldental.com
Diagnosing & Educating Patients About Occlusal Disease What Are Occlusal Stops Tmd and myofacial pain due to deranged occlusion (forward posturing and. Mobility, bone loss and widening of pdl. Occlusal stops are critical for proper orientation of the tray in the mouth. Three occlusal stops are ideal, with at least one stop posterior to the prepared teeth. Stops should be placed on. It is assessed to make sure it does. Restorations. What Are Occlusal Stops.
From www.youtube.com
Crawford Orthodontics Normal Occlusion YouTube What Are Occlusal Stops Tmd and myofacial pain due to deranged occlusion (forward posturing and. Stops should be placed on. Mobility, bone loss and widening of pdl. The lab constructs a baseplate which has occlusal stops at the correct ovd and has pillars to provide support for the impression material; Restorative management may involve an increase in the occlusal vertical dimension with fixed. It. What Are Occlusal Stops.
From medizzy.com
Angle’s Classification of Occlusion MEDizzy What Are Occlusal Stops Stops should be placed on. Three occlusal stops are ideal, with at least one stop posterior to the prepared teeth. Restorations were contoured to include the presence of prominent cingular areas to provide a flat occlusal stop for the. Tmd and myofacial pain due to deranged occlusion (forward posturing and. Mobility, bone loss and widening of pdl. Restorative management may. What Are Occlusal Stops.
From www.researchgate.net
Amalgam occlusal stops. Fig 10 Recemented TPA on 26 Download What Are Occlusal Stops It is assessed to make sure it does. Occlusal stops are critical for proper orientation of the tray in the mouth. Restorations were contoured to include the presence of prominent cingular areas to provide a flat occlusal stop for the. Mobility, bone loss and widening of pdl. Three occlusal stops are ideal, with at least one stop posterior to the. What Are Occlusal Stops.
From www.researchgate.net
Elaboration of stops that increased the occlusal vertical dimension by What Are Occlusal Stops Tmd and myofacial pain due to deranged occlusion (forward posturing and. The lab constructs a baseplate which has occlusal stops at the correct ovd and has pillars to provide support for the impression material; Restorative management may involve an increase in the occlusal vertical dimension with fixed. It is assessed to make sure it does. Three occlusal stops are ideal,. What Are Occlusal Stops.
From www.researchgate.net
Posterior mandibular restorations with no tooth preparation. A, B What Are Occlusal Stops Stops should be placed on. Tmd and myofacial pain due to deranged occlusion (forward posturing and. Restorations were contoured to include the presence of prominent cingular areas to provide a flat occlusal stop for the. Restorative management may involve an increase in the occlusal vertical dimension with fixed. The lab constructs a baseplate which has occlusal stops at the correct. What Are Occlusal Stops.
From clinicfeed.com
Dental Ortho Bite Blue LightCuring composite For Occlusal stops and What Are Occlusal Stops Tmd and myofacial pain due to deranged occlusion (forward posturing and. Restorative management may involve an increase in the occlusal vertical dimension with fixed. Three occlusal stops are ideal, with at least one stop posterior to the prepared teeth. Mobility, bone loss and widening of pdl. Stops should be placed on. Occlusal stops are critical for proper orientation of the. What Are Occlusal Stops.
From www.youtube.com
New "Occlusal Stop" option with 3Shape YouTube What Are Occlusal Stops Mobility, bone loss and widening of pdl. Stops should be placed on. Tmd and myofacial pain due to deranged occlusion (forward posturing and. Occlusal stops are critical for proper orientation of the tray in the mouth. Restorative management may involve an increase in the occlusal vertical dimension with fixed. The lab constructs a baseplate which has occlusal stops at the. What Are Occlusal Stops.