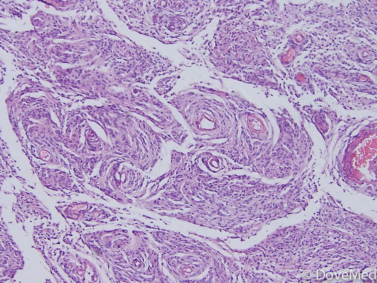
Spindle Cell Meningioma . Transitional (mixed) meningiomas combine features of both subtypes and usually present with extensive whorl formation, wherein tumour cells wrap around each other. 4.9/5no fees unless you win Meningiomas are the most common dural tumour. They are regularly being seen as. These features are helpful in distinguishing a fibrous meningioma from other spindle cell tumors such as schwannomas and. The cerebral convexities are a common. Histologic patterns of grade i meningiomas. Meningiomas are neoplasms thought to derive from arachnoidal cap cells in. At the other end of the spectrum, fibroblastic meningiomas are composed of fascicles of spindle cells mixed with a variable.
from www.researchgate.net
The cerebral convexities are a common. Meningiomas are neoplasms thought to derive from arachnoidal cap cells in. These features are helpful in distinguishing a fibrous meningioma from other spindle cell tumors such as schwannomas and. They are regularly being seen as. At the other end of the spectrum, fibroblastic meningiomas are composed of fascicles of spindle cells mixed with a variable. Meningiomas are the most common dural tumour. 4.9/5no fees unless you win Histologic patterns of grade i meningiomas. Transitional (mixed) meningiomas combine features of both subtypes and usually present with extensive whorl formation, wherein tumour cells wrap around each other.
Pulmonary meningioma (histologic and immunohistochemistry assessment
Spindle Cell Meningioma Transitional (mixed) meningiomas combine features of both subtypes and usually present with extensive whorl formation, wherein tumour cells wrap around each other. Meningiomas are neoplasms thought to derive from arachnoidal cap cells in. Meningiomas are the most common dural tumour. They are regularly being seen as. 4.9/5no fees unless you win These features are helpful in distinguishing a fibrous meningioma from other spindle cell tumors such as schwannomas and. At the other end of the spectrum, fibroblastic meningiomas are composed of fascicles of spindle cells mixed with a variable. Transitional (mixed) meningiomas combine features of both subtypes and usually present with extensive whorl formation, wherein tumour cells wrap around each other. The cerebral convexities are a common. Histologic patterns of grade i meningiomas.
From www.researchgate.net
Spindle cell/sclerosing A. Fusiform morphology of Spindle Cell Meningioma They are regularly being seen as. Transitional (mixed) meningiomas combine features of both subtypes and usually present with extensive whorl formation, wherein tumour cells wrap around each other. These features are helpful in distinguishing a fibrous meningioma from other spindle cell tumors such as schwannomas and. 4.9/5no fees unless you win The cerebral convexities are a common. At the other. Spindle Cell Meningioma.
From www.frontiersin.org
Frontiers Meningioma A Review of Clinicopathological and Molecular Spindle Cell Meningioma Meningiomas are neoplasms thought to derive from arachnoidal cap cells in. Transitional (mixed) meningiomas combine features of both subtypes and usually present with extensive whorl formation, wherein tumour cells wrap around each other. Histologic patterns of grade i meningiomas. 4.9/5no fees unless you win Meningiomas are the most common dural tumour. These features are helpful in distinguishing a fibrous meningioma. Spindle Cell Meningioma.
From casereports.bmj.com
Spinal meningioma containing bone a case report and review of Spindle Cell Meningioma These features are helpful in distinguishing a fibrous meningioma from other spindle cell tumors such as schwannomas and. Histologic patterns of grade i meningiomas. 4.9/5no fees unless you win The cerebral convexities are a common. Transitional (mixed) meningiomas combine features of both subtypes and usually present with extensive whorl formation, wherein tumour cells wrap around each other. They are regularly. Spindle Cell Meningioma.
From www.researchgate.net
Intrapulmonary meningioma (H&E). Whorling spindle cells with Spindle Cell Meningioma They are regularly being seen as. 4.9/5no fees unless you win Transitional (mixed) meningiomas combine features of both subtypes and usually present with extensive whorl formation, wherein tumour cells wrap around each other. Meningiomas are the most common dural tumour. The cerebral convexities are a common. Meningiomas are neoplasms thought to derive from arachnoidal cap cells in. At the other. Spindle Cell Meningioma.
From stock.adobe.com
Stereotactic brain biopsy smear cytology of a meningioma, a benign Spindle Cell Meningioma At the other end of the spectrum, fibroblastic meningiomas are composed of fascicles of spindle cells mixed with a variable. These features are helpful in distinguishing a fibrous meningioma from other spindle cell tumors such as schwannomas and. Meningiomas are the most common dural tumour. Meningiomas are neoplasms thought to derive from arachnoidal cap cells in. 4.9/5no fees unless you. Spindle Cell Meningioma.
From mavink.com
Meningioma Histology Spindle Cell Meningioma Meningiomas are neoplasms thought to derive from arachnoidal cap cells in. At the other end of the spectrum, fibroblastic meningiomas are composed of fascicles of spindle cells mixed with a variable. The cerebral convexities are a common. These features are helpful in distinguishing a fibrous meningioma from other spindle cell tumors such as schwannomas and. 4.9/5no fees unless you win. Spindle Cell Meningioma.
From www.researchgate.net
Identification and characterization of primary VS and meningioma Spindle Cell Meningioma Histologic patterns of grade i meningiomas. They are regularly being seen as. The cerebral convexities are a common. Meningiomas are the most common dural tumour. Transitional (mixed) meningiomas combine features of both subtypes and usually present with extensive whorl formation, wherein tumour cells wrap around each other. At the other end of the spectrum, fibroblastic meningiomas are composed of fascicles. Spindle Cell Meningioma.
From mavink.com
Meningioma Histology Spindle Cell Meningioma Histologic patterns of grade i meningiomas. The cerebral convexities are a common. Meningiomas are the most common dural tumour. These features are helpful in distinguishing a fibrous meningioma from other spindle cell tumors such as schwannomas and. At the other end of the spectrum, fibroblastic meningiomas are composed of fascicles of spindle cells mixed with a variable. They are regularly. Spindle Cell Meningioma.
From www.researchgate.net
Pulmonary meningioma (histologic and immunohistochemistry assessment Spindle Cell Meningioma The cerebral convexities are a common. They are regularly being seen as. 4.9/5no fees unless you win Meningiomas are neoplasms thought to derive from arachnoidal cap cells in. Meningiomas are the most common dural tumour. Histologic patterns of grade i meningiomas. These features are helpful in distinguishing a fibrous meningioma from other spindle cell tumors such as schwannomas and. At. Spindle Cell Meningioma.
From www.researchgate.net
Histological features of MPMs. (A) Macroscopically, MPMs showed as Spindle Cell Meningioma Transitional (mixed) meningiomas combine features of both subtypes and usually present with extensive whorl formation, wherein tumour cells wrap around each other. They are regularly being seen as. Histologic patterns of grade i meningiomas. Meningiomas are the most common dural tumour. These features are helpful in distinguishing a fibrous meningioma from other spindle cell tumors such as schwannomas and. Meningiomas. Spindle Cell Meningioma.
From www.researchgate.net
Histological and immunohistochemical features of the transitional Spindle Cell Meningioma Meningiomas are the most common dural tumour. 4.9/5no fees unless you win The cerebral convexities are a common. At the other end of the spectrum, fibroblastic meningiomas are composed of fascicles of spindle cells mixed with a variable. They are regularly being seen as. Meningiomas are neoplasms thought to derive from arachnoidal cap cells in. Histologic patterns of grade i. Spindle Cell Meningioma.
From www.wikidoc.org
Meningioma classification wikidoc Spindle Cell Meningioma These features are helpful in distinguishing a fibrous meningioma from other spindle cell tumors such as schwannomas and. 4.9/5no fees unless you win The cerebral convexities are a common. Meningiomas are the most common dural tumour. At the other end of the spectrum, fibroblastic meningiomas are composed of fascicles of spindle cells mixed with a variable. Meningiomas are neoplasms thought. Spindle Cell Meningioma.
From www.pathologyoutlines.com
Pathology Outlines Chordoid meningioma Spindle Cell Meningioma At the other end of the spectrum, fibroblastic meningiomas are composed of fascicles of spindle cells mixed with a variable. They are regularly being seen as. Meningiomas are the most common dural tumour. Histologic patterns of grade i meningiomas. Meningiomas are neoplasms thought to derive from arachnoidal cap cells in. 4.9/5no fees unless you win The cerebral convexities are a. Spindle Cell Meningioma.
From www.dovemed.com
Meningothelial Meningioma Spindle Cell Meningioma The cerebral convexities are a common. At the other end of the spectrum, fibroblastic meningiomas are composed of fascicles of spindle cells mixed with a variable. Transitional (mixed) meningiomas combine features of both subtypes and usually present with extensive whorl formation, wherein tumour cells wrap around each other. Histologic patterns of grade i meningiomas. Meningiomas are the most common dural. Spindle Cell Meningioma.
From www.researchgate.net
Histopathology shows that spindle cells are minimal Spindle Cell Meningioma At the other end of the spectrum, fibroblastic meningiomas are composed of fascicles of spindle cells mixed with a variable. Transitional (mixed) meningiomas combine features of both subtypes and usually present with extensive whorl formation, wherein tumour cells wrap around each other. Histologic patterns of grade i meningiomas. These features are helpful in distinguishing a fibrous meningioma from other spindle. Spindle Cell Meningioma.
From www.researchgate.net
Benign meningioma tumour parenchyma with spindle cells interpreted as Spindle Cell Meningioma Transitional (mixed) meningiomas combine features of both subtypes and usually present with extensive whorl formation, wherein tumour cells wrap around each other. 4.9/5no fees unless you win At the other end of the spectrum, fibroblastic meningiomas are composed of fascicles of spindle cells mixed with a variable. They are regularly being seen as. Meningiomas are the most common dural tumour.. Spindle Cell Meningioma.
From www.wikidoc.org
Meningioma pathophysiology wikidoc Spindle Cell Meningioma At the other end of the spectrum, fibroblastic meningiomas are composed of fascicles of spindle cells mixed with a variable. Meningiomas are the most common dural tumour. Histologic patterns of grade i meningiomas. Transitional (mixed) meningiomas combine features of both subtypes and usually present with extensive whorl formation, wherein tumour cells wrap around each other. They are regularly being seen. Spindle Cell Meningioma.
From www.researchgate.net
Preoperative images and intraoperative findings of meningiomas and a Spindle Cell Meningioma Meningiomas are neoplasms thought to derive from arachnoidal cap cells in. 4.9/5no fees unless you win Histologic patterns of grade i meningiomas. These features are helpful in distinguishing a fibrous meningioma from other spindle cell tumors such as schwannomas and. Transitional (mixed) meningiomas combine features of both subtypes and usually present with extensive whorl formation, wherein tumour cells wrap around. Spindle Cell Meningioma.
From www.researchgate.net
Histological and immunohistochemical examination of the primary Spindle Cell Meningioma Meningiomas are the most common dural tumour. Transitional (mixed) meningiomas combine features of both subtypes and usually present with extensive whorl formation, wherein tumour cells wrap around each other. Meningiomas are neoplasms thought to derive from arachnoidal cap cells in. 4.9/5no fees unless you win The cerebral convexities are a common. Histologic patterns of grade i meningiomas. At the other. Spindle Cell Meningioma.
From radiopaedia.org
Clear cell meningioma of the lumbar spine Image Spindle Cell Meningioma These features are helpful in distinguishing a fibrous meningioma from other spindle cell tumors such as schwannomas and. 4.9/5no fees unless you win The cerebral convexities are a common. Transitional (mixed) meningiomas combine features of both subtypes and usually present with extensive whorl formation, wherein tumour cells wrap around each other. They are regularly being seen as. Meningiomas are neoplasms. Spindle Cell Meningioma.
From www.researchgate.net
Chordoid meningioma histology. AD Chordoid meningiomas with otherwise Spindle Cell Meningioma Meningiomas are neoplasms thought to derive from arachnoidal cap cells in. Histologic patterns of grade i meningiomas. These features are helpful in distinguishing a fibrous meningioma from other spindle cell tumors such as schwannomas and. They are regularly being seen as. 4.9/5no fees unless you win Transitional (mixed) meningiomas combine features of both subtypes and usually present with extensive whorl. Spindle Cell Meningioma.
From ilovepathology.com
Pathology of Meningioma Pathology Made Simple Spindle Cell Meningioma Transitional (mixed) meningiomas combine features of both subtypes and usually present with extensive whorl formation, wherein tumour cells wrap around each other. These features are helpful in distinguishing a fibrous meningioma from other spindle cell tumors such as schwannomas and. 4.9/5no fees unless you win At the other end of the spectrum, fibroblastic meningiomas are composed of fascicles of spindle. Spindle Cell Meningioma.
From www.pathologyoutlines.com
Pathology Outlines Clear cell meningioma Spindle Cell Meningioma Transitional (mixed) meningiomas combine features of both subtypes and usually present with extensive whorl formation, wherein tumour cells wrap around each other. 4.9/5no fees unless you win Histologic patterns of grade i meningiomas. At the other end of the spectrum, fibroblastic meningiomas are composed of fascicles of spindle cells mixed with a variable. The cerebral convexities are a common. These. Spindle Cell Meningioma.
From journals.sagepub.com
Cerebral meningioma associated with extensive calvarium osteolysis and Spindle Cell Meningioma At the other end of the spectrum, fibroblastic meningiomas are composed of fascicles of spindle cells mixed with a variable. These features are helpful in distinguishing a fibrous meningioma from other spindle cell tumors such as schwannomas and. Transitional (mixed) meningiomas combine features of both subtypes and usually present with extensive whorl formation, wherein tumour cells wrap around each other.. Spindle Cell Meningioma.
From www.pathologyoutlines.com
Pathology Outlines Clear cell meningioma Spindle Cell Meningioma Meningiomas are neoplasms thought to derive from arachnoidal cap cells in. Histologic patterns of grade i meningiomas. Meningiomas are the most common dural tumour. Transitional (mixed) meningiomas combine features of both subtypes and usually present with extensive whorl formation, wherein tumour cells wrap around each other. The cerebral convexities are a common. At the other end of the spectrum, fibroblastic. Spindle Cell Meningioma.
From www.sciencephoto.com
Meningothelial meningioma, light micrograph Stock Image C050/0420 Spindle Cell Meningioma At the other end of the spectrum, fibroblastic meningiomas are composed of fascicles of spindle cells mixed with a variable. They are regularly being seen as. Meningiomas are neoplasms thought to derive from arachnoidal cap cells in. These features are helpful in distinguishing a fibrous meningioma from other spindle cell tumors such as schwannomas and. Meningiomas are the most common. Spindle Cell Meningioma.
From www.researchgate.net
Ultrastructure of a primary extracranial meningioma of the foot. Tumor Spindle Cell Meningioma Meningiomas are neoplasms thought to derive from arachnoidal cap cells in. They are regularly being seen as. Histologic patterns of grade i meningiomas. The cerebral convexities are a common. Meningiomas are the most common dural tumour. Transitional (mixed) meningiomas combine features of both subtypes and usually present with extensive whorl formation, wherein tumour cells wrap around each other. At the. Spindle Cell Meningioma.
From www.researchgate.net
Microscopic pathology. A spindle cell malignant tumor with local Spindle Cell Meningioma At the other end of the spectrum, fibroblastic meningiomas are composed of fascicles of spindle cells mixed with a variable. Transitional (mixed) meningiomas combine features of both subtypes and usually present with extensive whorl formation, wherein tumour cells wrap around each other. Meningiomas are neoplasms thought to derive from arachnoidal cap cells in. They are regularly being seen as. These. Spindle Cell Meningioma.
From www.archbronconeumol.org
Squamous Lung Cell Carcinoma Inside a Meningioma Archivos de Spindle Cell Meningioma At the other end of the spectrum, fibroblastic meningiomas are composed of fascicles of spindle cells mixed with a variable. These features are helpful in distinguishing a fibrous meningioma from other spindle cell tumors such as schwannomas and. The cerebral convexities are a common. Meningiomas are the most common dural tumour. Histologic patterns of grade i meningiomas. Transitional (mixed) meningiomas. Spindle Cell Meningioma.
From www.researchgate.net
Meningioma Spindle cell proliferation of cells with eosinophilic Spindle Cell Meningioma The cerebral convexities are a common. Meningiomas are neoplasms thought to derive from arachnoidal cap cells in. 4.9/5no fees unless you win Meningiomas are the most common dural tumour. At the other end of the spectrum, fibroblastic meningiomas are composed of fascicles of spindle cells mixed with a variable. These features are helpful in distinguishing a fibrous meningioma from other. Spindle Cell Meningioma.
From www.medlink.com
Spinal Meningioma MedLink Neurology Spindle Cell Meningioma At the other end of the spectrum, fibroblastic meningiomas are composed of fascicles of spindle cells mixed with a variable. Meningiomas are the most common dural tumour. They are regularly being seen as. Transitional (mixed) meningiomas combine features of both subtypes and usually present with extensive whorl formation, wherein tumour cells wrap around each other. Meningiomas are neoplasms thought to. Spindle Cell Meningioma.
From www.researchgate.net
Meningeal (spindle cell in the dorsal cerebellum Spindle Cell Meningioma Transitional (mixed) meningiomas combine features of both subtypes and usually present with extensive whorl formation, wherein tumour cells wrap around each other. Meningiomas are the most common dural tumour. They are regularly being seen as. These features are helpful in distinguishing a fibrous meningioma from other spindle cell tumors such as schwannomas and. The cerebral convexities are a common. At. Spindle Cell Meningioma.
From www.researchgate.net
Microscopic analysis revealed a uniform spindle cells arranged in vague Spindle Cell Meningioma The cerebral convexities are a common. At the other end of the spectrum, fibroblastic meningiomas are composed of fascicles of spindle cells mixed with a variable. Histologic patterns of grade i meningiomas. Transitional (mixed) meningiomas combine features of both subtypes and usually present with extensive whorl formation, wherein tumour cells wrap around each other. Meningiomas are the most common dural. Spindle Cell Meningioma.
From www.slideshare.net
Pathology of CNS Tumours Lecture Spindle Cell Meningioma 4.9/5no fees unless you win The cerebral convexities are a common. These features are helpful in distinguishing a fibrous meningioma from other spindle cell tumors such as schwannomas and. Histologic patterns of grade i meningiomas. Transitional (mixed) meningiomas combine features of both subtypes and usually present with extensive whorl formation, wherein tumour cells wrap around each other. At the other. Spindle Cell Meningioma.
From step1.medbullets.com
Primary Brain Tumors Oncology Medbullets Step 1 Spindle Cell Meningioma They are regularly being seen as. Meningiomas are neoplasms thought to derive from arachnoidal cap cells in. Transitional (mixed) meningiomas combine features of both subtypes and usually present with extensive whorl formation, wherein tumour cells wrap around each other. These features are helpful in distinguishing a fibrous meningioma from other spindle cell tumors such as schwannomas and. At the other. Spindle Cell Meningioma.