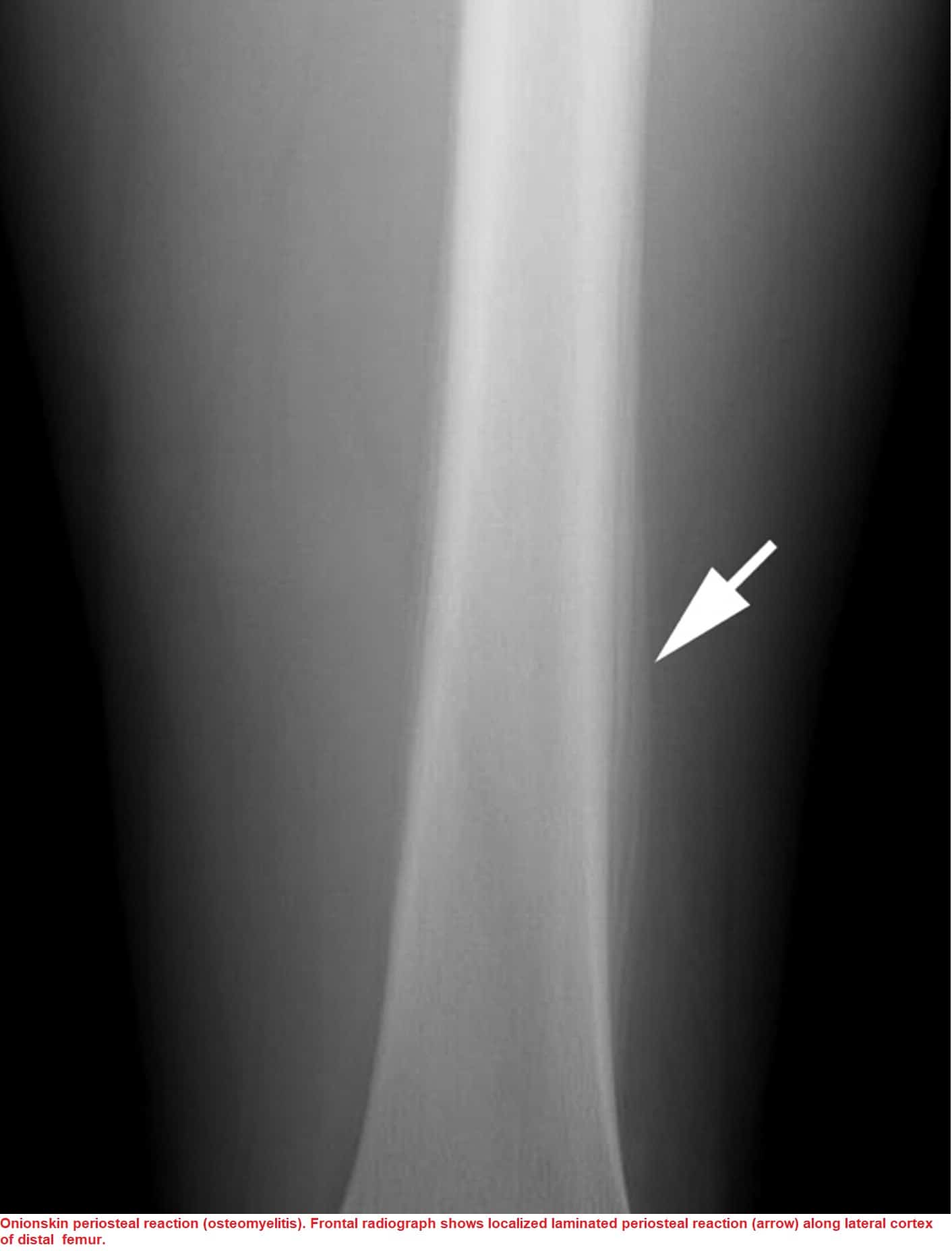
Onion Skin Appearance Osteomyelitis . Multilayered periosteal reaction, also known as a lamellated or onion skin periosteal reaction, demonstrates multiple concentric parallel layers of new bone adjacent to the. Radiographically po is characterized by the. The most common cause for po is periapical infection of mandibular first molar. The most common cause for po is periapical infection of mandibular first molar. 3 the ct imaging features of periostitis ossificans include cortical thinning and periosteal thickening with lamellar appearance. Multilayered periosteal reaction, also known as lamellated or onion skin periosteal reaction, shows multiple concentric layers of new bone adjacent to the cortex. Intraoral periapical radiograph is helpful in cases of deep carious lesions in. Osteosarcoma of the distal femur, demonstating dense tumor. In young adults, there may sometimes be subperiosteal new bone formation that appears as a thin radiopaque line along the lower border of the mandible, which gives onion. Po is a nonsuppurative type of osteomyelitis.
from www.slideserve.com
Po is a nonsuppurative type of osteomyelitis. In young adults, there may sometimes be subperiosteal new bone formation that appears as a thin radiopaque line along the lower border of the mandible, which gives onion. Multilayered periosteal reaction, also known as a lamellated or onion skin periosteal reaction, demonstrates multiple concentric parallel layers of new bone adjacent to the. The most common cause for po is periapical infection of mandibular first molar. Osteosarcoma of the distal femur, demonstating dense tumor. Multilayered periosteal reaction, also known as lamellated or onion skin periosteal reaction, shows multiple concentric layers of new bone adjacent to the cortex. Radiographically po is characterized by the. Intraoral periapical radiograph is helpful in cases of deep carious lesions in. 3 the ct imaging features of periostitis ossificans include cortical thinning and periosteal thickening with lamellar appearance. The most common cause for po is periapical infection of mandibular first molar.
PPT Osteomyelitis PowerPoint Presentation, free download ID4527026
Onion Skin Appearance Osteomyelitis In young adults, there may sometimes be subperiosteal new bone formation that appears as a thin radiopaque line along the lower border of the mandible, which gives onion. Multilayered periosteal reaction, also known as lamellated or onion skin periosteal reaction, shows multiple concentric layers of new bone adjacent to the cortex. Po is a nonsuppurative type of osteomyelitis. Osteosarcoma of the distal femur, demonstating dense tumor. In young adults, there may sometimes be subperiosteal new bone formation that appears as a thin radiopaque line along the lower border of the mandible, which gives onion. Radiographically po is characterized by the. The most common cause for po is periapical infection of mandibular first molar. The most common cause for po is periapical infection of mandibular first molar. Intraoral periapical radiograph is helpful in cases of deep carious lesions in. 3 the ct imaging features of periostitis ossificans include cortical thinning and periosteal thickening with lamellar appearance. Multilayered periosteal reaction, also known as a lamellated or onion skin periosteal reaction, demonstrates multiple concentric parallel layers of new bone adjacent to the.
From www.mdpi.com
IJERPH Free FullText An Orthodontic Approach for Garre’s Sclerosing Osteomyelitis of the Onion Skin Appearance Osteomyelitis Multilayered periosteal reaction, also known as lamellated or onion skin periosteal reaction, shows multiple concentric layers of new bone adjacent to the cortex. The most common cause for po is periapical infection of mandibular first molar. Radiographically po is characterized by the. 3 the ct imaging features of periostitis ossificans include cortical thinning and periosteal thickening with lamellar appearance. Osteosarcoma. Onion Skin Appearance Osteomyelitis.
From dentistryandmedicine.blogspot.com
Osteomyelitiswith Radiological features Dentistry and Medicine Onion Skin Appearance Osteomyelitis The most common cause for po is periapical infection of mandibular first molar. 3 the ct imaging features of periostitis ossificans include cortical thinning and periosteal thickening with lamellar appearance. Multilayered periosteal reaction, also known as lamellated or onion skin periosteal reaction, shows multiple concentric layers of new bone adjacent to the cortex. Multilayered periosteal reaction, also known as a. Onion Skin Appearance Osteomyelitis.
From nurseinfo.in
OSTEOMYELITIS Nurse Info Onion Skin Appearance Osteomyelitis Po is a nonsuppurative type of osteomyelitis. The most common cause for po is periapical infection of mandibular first molar. Intraoral periapical radiograph is helpful in cases of deep carious lesions in. Osteosarcoma of the distal femur, demonstating dense tumor. 3 the ct imaging features of periostitis ossificans include cortical thinning and periosteal thickening with lamellar appearance. Radiographically po is. Onion Skin Appearance Osteomyelitis.
From ar.inspiredpencil.com
Ewing Onion Skin Onion Skin Appearance Osteomyelitis The most common cause for po is periapical infection of mandibular first molar. Multilayered periosteal reaction, also known as a lamellated or onion skin periosteal reaction, demonstrates multiple concentric parallel layers of new bone adjacent to the. In young adults, there may sometimes be subperiosteal new bone formation that appears as a thin radiopaque line along the lower border of. Onion Skin Appearance Osteomyelitis.
From joiauhmvn.blob.core.windows.net
Onion Skin Appearance at Eric Glass blog Onion Skin Appearance Osteomyelitis Multilayered periosteal reaction, also known as a lamellated or onion skin periosteal reaction, demonstrates multiple concentric parallel layers of new bone adjacent to the. The most common cause for po is periapical infection of mandibular first molar. Po is a nonsuppurative type of osteomyelitis. Multilayered periosteal reaction, also known as lamellated or onion skin periosteal reaction, shows multiple concentric layers. Onion Skin Appearance Osteomyelitis.
From www.mdpi.com
IJERPH Free FullText An Orthodontic Approach for Garre’s Sclerosing Osteomyelitis of the Onion Skin Appearance Osteomyelitis Radiographically po is characterized by the. Multilayered periosteal reaction, also known as a lamellated or onion skin periosteal reaction, demonstrates multiple concentric parallel layers of new bone adjacent to the. In young adults, there may sometimes be subperiosteal new bone formation that appears as a thin radiopaque line along the lower border of the mandible, which gives onion. Osteosarcoma of. Onion Skin Appearance Osteomyelitis.
From pinterest.com
onion skin pattern of ewing tumors radiology Pinterest Onion Skin Appearance Osteomyelitis 3 the ct imaging features of periostitis ossificans include cortical thinning and periosteal thickening with lamellar appearance. Po is a nonsuppurative type of osteomyelitis. The most common cause for po is periapical infection of mandibular first molar. The most common cause for po is periapical infection of mandibular first molar. In young adults, there may sometimes be subperiosteal new bone. Onion Skin Appearance Osteomyelitis.
From ar.inspiredpencil.com
Ewing Onion Skin Onion Skin Appearance Osteomyelitis In young adults, there may sometimes be subperiosteal new bone formation that appears as a thin radiopaque line along the lower border of the mandible, which gives onion. 3 the ct imaging features of periostitis ossificans include cortical thinning and periosteal thickening with lamellar appearance. Intraoral periapical radiograph is helpful in cases of deep carious lesions in. Multilayered periosteal reaction,. Onion Skin Appearance Osteomyelitis.
From epos.myesr.org
EPOS™ Onion Skin Appearance Osteomyelitis Intraoral periapical radiograph is helpful in cases of deep carious lesions in. Radiographically po is characterized by the. Multilayered periosteal reaction, also known as a lamellated or onion skin periosteal reaction, demonstrates multiple concentric parallel layers of new bone adjacent to the. The most common cause for po is periapical infection of mandibular first molar. In young adults, there may. Onion Skin Appearance Osteomyelitis.
From ar.inspiredpencil.com
Ewing Onion Skin Onion Skin Appearance Osteomyelitis The most common cause for po is periapical infection of mandibular first molar. Radiographically po is characterized by the. In young adults, there may sometimes be subperiosteal new bone formation that appears as a thin radiopaque line along the lower border of the mandible, which gives onion. Po is a nonsuppurative type of osteomyelitis. Intraoral periapical radiograph is helpful in. Onion Skin Appearance Osteomyelitis.
From www.pinterest.com
Radiologically, Ewing's is often associated with a lamellated or "onion skin" periosteal Onion Skin Appearance Osteomyelitis The most common cause for po is periapical infection of mandibular first molar. Radiographically po is characterized by the. 3 the ct imaging features of periostitis ossificans include cortical thinning and periosteal thickening with lamellar appearance. The most common cause for po is periapical infection of mandibular first molar. In young adults, there may sometimes be subperiosteal new bone formation. Onion Skin Appearance Osteomyelitis.
From dentistryandmedicine.blogspot.com
Dentistry and Medicine Osteomyelitiswith Radiological features Onion Skin Appearance Osteomyelitis Multilayered periosteal reaction, also known as a lamellated or onion skin periosteal reaction, demonstrates multiple concentric parallel layers of new bone adjacent to the. The most common cause for po is periapical infection of mandibular first molar. 3 the ct imaging features of periostitis ossificans include cortical thinning and periosteal thickening with lamellar appearance. Intraoral periapical radiograph is helpful in. Onion Skin Appearance Osteomyelitis.
From www.researchgate.net
Panoramic radiograph showing the "onionskin" appearance of the bone at... Download Scientific Onion Skin Appearance Osteomyelitis The most common cause for po is periapical infection of mandibular first molar. Po is a nonsuppurative type of osteomyelitis. Radiographically po is characterized by the. Osteosarcoma of the distal femur, demonstating dense tumor. Intraoral periapical radiograph is helpful in cases of deep carious lesions in. 3 the ct imaging features of periostitis ossificans include cortical thinning and periosteal thickening. Onion Skin Appearance Osteomyelitis.
From www.researchgate.net
Panoramic radiograph showing the "onionskin" appearance of the bone at... Download Scientific Onion Skin Appearance Osteomyelitis Radiographically po is characterized by the. The most common cause for po is periapical infection of mandibular first molar. Multilayered periosteal reaction, also known as lamellated or onion skin periosteal reaction, shows multiple concentric layers of new bone adjacent to the cortex. 3 the ct imaging features of periostitis ossificans include cortical thinning and periosteal thickening with lamellar appearance. In. Onion Skin Appearance Osteomyelitis.
From slideplayer.com
Primary bone tumors presenter ondari n.j FACILITATOr prof. gakuu ppt video online download Onion Skin Appearance Osteomyelitis Multilayered periosteal reaction, also known as a lamellated or onion skin periosteal reaction, demonstrates multiple concentric parallel layers of new bone adjacent to the. In young adults, there may sometimes be subperiosteal new bone formation that appears as a thin radiopaque line along the lower border of the mandible, which gives onion. Po is a nonsuppurative type of osteomyelitis. 3. Onion Skin Appearance Osteomyelitis.
From www.aafp.org
Osteomyelitis Diagnosis and Treatment AAFP Onion Skin Appearance Osteomyelitis 3 the ct imaging features of periostitis ossificans include cortical thinning and periosteal thickening with lamellar appearance. Radiographically po is characterized by the. Osteosarcoma of the distal femur, demonstating dense tumor. The most common cause for po is periapical infection of mandibular first molar. Po is a nonsuppurative type of osteomyelitis. In young adults, there may sometimes be subperiosteal new. Onion Skin Appearance Osteomyelitis.
From www.youtube.com
Onion Skin Appearances in Pathology & Medicine NEETPG, INICET Important Topics Dr. Shankar Onion Skin Appearance Osteomyelitis Po is a nonsuppurative type of osteomyelitis. Radiographically po is characterized by the. In young adults, there may sometimes be subperiosteal new bone formation that appears as a thin radiopaque line along the lower border of the mandible, which gives onion. 3 the ct imaging features of periostitis ossificans include cortical thinning and periosteal thickening with lamellar appearance. The most. Onion Skin Appearance Osteomyelitis.
From www.wikidoc.org
Bone or cartilage mass imaging wikidoc Onion Skin Appearance Osteomyelitis The most common cause for po is periapical infection of mandibular first molar. Radiographically po is characterized by the. In young adults, there may sometimes be subperiosteal new bone formation that appears as a thin radiopaque line along the lower border of the mandible, which gives onion. Osteosarcoma of the distal femur, demonstating dense tumor. Multilayered periosteal reaction, also known. Onion Skin Appearance Osteomyelitis.
From radiologykey.com
Periosteal Reaction Radiology Key Onion Skin Appearance Osteomyelitis 3 the ct imaging features of periostitis ossificans include cortical thinning and periosteal thickening with lamellar appearance. Po is a nonsuppurative type of osteomyelitis. The most common cause for po is periapical infection of mandibular first molar. Multilayered periosteal reaction, also known as lamellated or onion skin periosteal reaction, shows multiple concentric layers of new bone adjacent to the cortex.. Onion Skin Appearance Osteomyelitis.
From www.slideserve.com
PPT Osteomyelitis PowerPoint Presentation, free download ID4527026 Onion Skin Appearance Osteomyelitis Intraoral periapical radiograph is helpful in cases of deep carious lesions in. Po is a nonsuppurative type of osteomyelitis. Multilayered periosteal reaction, also known as lamellated or onion skin periosteal reaction, shows multiple concentric layers of new bone adjacent to the cortex. 3 the ct imaging features of periostitis ossificans include cortical thinning and periosteal thickening with lamellar appearance. Radiographically. Onion Skin Appearance Osteomyelitis.
From ar.inspiredpencil.com
Osteomyelitis Jaw Radiographic Appearance Onion Skin Appearance Osteomyelitis The most common cause for po is periapical infection of mandibular first molar. Radiographically po is characterized by the. Multilayered periosteal reaction, also known as a lamellated or onion skin periosteal reaction, demonstrates multiple concentric parallel layers of new bone adjacent to the. Intraoral periapical radiograph is helpful in cases of deep carious lesions in. Multilayered periosteal reaction, also known. Onion Skin Appearance Osteomyelitis.
From www.researchgate.net
Histologic "onion skin" appearance characterized by concentric layers... Download Scientific Onion Skin Appearance Osteomyelitis Multilayered periosteal reaction, also known as lamellated or onion skin periosteal reaction, shows multiple concentric layers of new bone adjacent to the cortex. Po is a nonsuppurative type of osteomyelitis. Osteosarcoma of the distal femur, demonstating dense tumor. Radiographically po is characterized by the. In young adults, there may sometimes be subperiosteal new bone formation that appears as a thin. Onion Skin Appearance Osteomyelitis.
From www.imagessure.com
Bone Ewing Onion Skin Appearance Onion Skin Appearance Osteomyelitis In young adults, there may sometimes be subperiosteal new bone formation that appears as a thin radiopaque line along the lower border of the mandible, which gives onion. Osteosarcoma of the distal femur, demonstating dense tumor. Po is a nonsuppurative type of osteomyelitis. Radiographically po is characterized by the. The most common cause for po is periapical infection of mandibular. Onion Skin Appearance Osteomyelitis.
From www.researchgate.net
Radiographs showed wide periosteal new bone formation with an "onion... Download Scientific Onion Skin Appearance Osteomyelitis The most common cause for po is periapical infection of mandibular first molar. 3 the ct imaging features of periostitis ossificans include cortical thinning and periosteal thickening with lamellar appearance. Multilayered periosteal reaction, also known as lamellated or onion skin periosteal reaction, shows multiple concentric layers of new bone adjacent to the cortex. Po is a nonsuppurative type of osteomyelitis.. Onion Skin Appearance Osteomyelitis.
From www.jacksonfootankle.com
Osteomyelitis of the Foot & Ankle Onion Skin Appearance Osteomyelitis Multilayered periosteal reaction, also known as lamellated or onion skin periosteal reaction, shows multiple concentric layers of new bone adjacent to the cortex. The most common cause for po is periapical infection of mandibular first molar. Po is a nonsuppurative type of osteomyelitis. Osteosarcoma of the distal femur, demonstating dense tumor. The most common cause for po is periapical infection. Onion Skin Appearance Osteomyelitis.
From www.researchgate.net
Panoramic radiograph showing the "onionskin" appearance of the bone at... Download Scientific Onion Skin Appearance Osteomyelitis Multilayered periosteal reaction, also known as lamellated or onion skin periosteal reaction, shows multiple concentric layers of new bone adjacent to the cortex. 3 the ct imaging features of periostitis ossificans include cortical thinning and periosteal thickening with lamellar appearance. Multilayered periosteal reaction, also known as a lamellated or onion skin periosteal reaction, demonstrates multiple concentric parallel layers of new. Onion Skin Appearance Osteomyelitis.
From healthjade.com
Osteomyelitis Acute & Chronic Osteomyelitis Symptoms & Treatment Onion Skin Appearance Osteomyelitis Radiographically po is characterized by the. Osteosarcoma of the distal femur, demonstating dense tumor. Multilayered periosteal reaction, also known as lamellated or onion skin periosteal reaction, shows multiple concentric layers of new bone adjacent to the cortex. Po is a nonsuppurative type of osteomyelitis. Intraoral periapical radiograph is helpful in cases of deep carious lesions in. 3 the ct imaging. Onion Skin Appearance Osteomyelitis.
From www.semanticscholar.org
Figure 3 from Garre’s Osteomyelitis Semantic Scholar Onion Skin Appearance Osteomyelitis 3 the ct imaging features of periostitis ossificans include cortical thinning and periosteal thickening with lamellar appearance. Multilayered periosteal reaction, also known as lamellated or onion skin periosteal reaction, shows multiple concentric layers of new bone adjacent to the cortex. Multilayered periosteal reaction, also known as a lamellated or onion skin periosteal reaction, demonstrates multiple concentric parallel layers of new. Onion Skin Appearance Osteomyelitis.
From www.semanticscholar.org
Figure 1 from Nonsurgical endodontic management of Garre's osteomyelitis a case report Onion Skin Appearance Osteomyelitis Multilayered periosteal reaction, also known as lamellated or onion skin periosteal reaction, shows multiple concentric layers of new bone adjacent to the cortex. In young adults, there may sometimes be subperiosteal new bone formation that appears as a thin radiopaque line along the lower border of the mandible, which gives onion. 3 the ct imaging features of periostitis ossificans include. Onion Skin Appearance Osteomyelitis.
From dentistryandmedicine.blogspot.com
Osteomyelitiswith Radiological features Dentistry and Medicine Onion Skin Appearance Osteomyelitis Intraoral periapical radiograph is helpful in cases of deep carious lesions in. Multilayered periosteal reaction, also known as a lamellated or onion skin periosteal reaction, demonstrates multiple concentric parallel layers of new bone adjacent to the. Osteosarcoma of the distal femur, demonstating dense tumor. In young adults, there may sometimes be subperiosteal new bone formation that appears as a thin. Onion Skin Appearance Osteomyelitis.
From www.researchgate.net
The 'onion skin' appearance, in this case from a Ewing's of the... Download Scientific Onion Skin Appearance Osteomyelitis Multilayered periosteal reaction, also known as lamellated or onion skin periosteal reaction, shows multiple concentric layers of new bone adjacent to the cortex. Po is a nonsuppurative type of osteomyelitis. The most common cause for po is periapical infection of mandibular first molar. Osteosarcoma of the distal femur, demonstating dense tumor. Intraoral periapical radiograph is helpful in cases of deep. Onion Skin Appearance Osteomyelitis.
From www.natural-health-news.com
Osteomyelitis Causes, Symptoms, Diagnosis and Treatment Natural Health News Onion Skin Appearance Osteomyelitis The most common cause for po is periapical infection of mandibular first molar. The most common cause for po is periapical infection of mandibular first molar. Po is a nonsuppurative type of osteomyelitis. 3 the ct imaging features of periostitis ossificans include cortical thinning and periosteal thickening with lamellar appearance. Intraoral periapical radiograph is helpful in cases of deep carious. Onion Skin Appearance Osteomyelitis.
From www.thelancet.com
Osteomyelitis The Lancet Onion Skin Appearance Osteomyelitis In young adults, there may sometimes be subperiosteal new bone formation that appears as a thin radiopaque line along the lower border of the mandible, which gives onion. Po is a nonsuppurative type of osteomyelitis. The most common cause for po is periapical infection of mandibular first molar. 3 the ct imaging features of periostitis ossificans include cortical thinning and. Onion Skin Appearance Osteomyelitis.
From nicehealth.in
Osteomyelitis A Look at what it is, how to diagnose and treat it NICEHEALTHVIRTUAL Where We Onion Skin Appearance Osteomyelitis Multilayered periosteal reaction, also known as lamellated or onion skin periosteal reaction, shows multiple concentric layers of new bone adjacent to the cortex. Multilayered periosteal reaction, also known as a lamellated or onion skin periosteal reaction, demonstrates multiple concentric parallel layers of new bone adjacent to the. The most common cause for po is periapical infection of mandibular first molar.. Onion Skin Appearance Osteomyelitis.
From jkoa.org
xmlinkhub Onion Skin Appearance Osteomyelitis Osteosarcoma of the distal femur, demonstating dense tumor. Po is a nonsuppurative type of osteomyelitis. Multilayered periosteal reaction, also known as lamellated or onion skin periosteal reaction, shows multiple concentric layers of new bone adjacent to the cortex. Intraoral periapical radiograph is helpful in cases of deep carious lesions in. Multilayered periosteal reaction, also known as a lamellated or onion. Onion Skin Appearance Osteomyelitis.