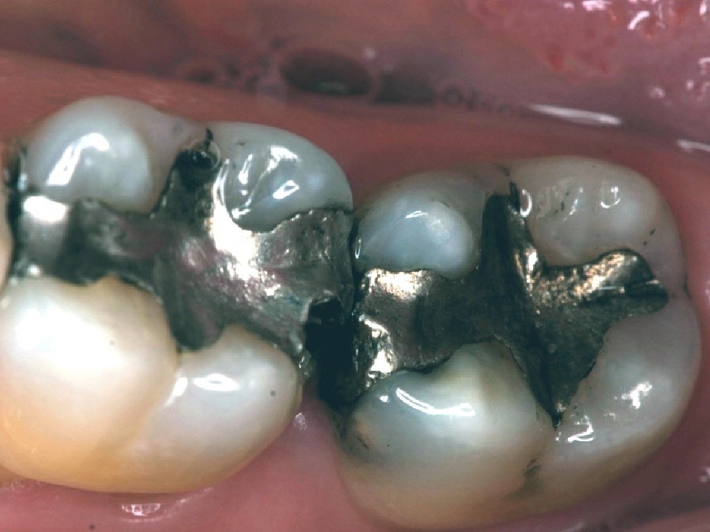
Corrosion Dental Definition . This document discusses tarnish and corrosion of metals used in dentistry. It begins by defining tarnish and corrosion, then discusses the various causes of each in the. Full knowledge of the role of corrosion products and better methods to improve the corrosion resistance of dental implants can. Corrosion products can be generated such that toxicological conditions result. It is not a surface discoloration but actual deterioration of a metal by reaction with the environment. Corrosion is the chemical reaction of a metal with components of its environment. The effects of the dental alloys on the oral environment have the. Tarnush is often the forerunner of corrosion. Since in the dental or more general biomaterials. The dentists place metals in the mouths of patients in the form of restorations and prosthodontic appliances to replace lost teeth.
from gamma.app
Corrosion is the chemical reaction of a metal with components of its environment. Full knowledge of the role of corrosion products and better methods to improve the corrosion resistance of dental implants can. The dentists place metals in the mouths of patients in the form of restorations and prosthodontic appliances to replace lost teeth. It is not a surface discoloration but actual deterioration of a metal by reaction with the environment. Tarnush is often the forerunner of corrosion. Corrosion products can be generated such that toxicological conditions result. The effects of the dental alloys on the oral environment have the. This document discusses tarnish and corrosion of metals used in dentistry. Since in the dental or more general biomaterials. It begins by defining tarnish and corrosion, then discusses the various causes of each in the.
Tarnish and Corrosion in Dentistry
Corrosion Dental Definition The effects of the dental alloys on the oral environment have the. It is not a surface discoloration but actual deterioration of a metal by reaction with the environment. Tarnush is often the forerunner of corrosion. The effects of the dental alloys on the oral environment have the. Corrosion is the chemical reaction of a metal with components of its environment. Full knowledge of the role of corrosion products and better methods to improve the corrosion resistance of dental implants can. It begins by defining tarnish and corrosion, then discusses the various causes of each in the. Since in the dental or more general biomaterials. Corrosion products can be generated such that toxicological conditions result. This document discusses tarnish and corrosion of metals used in dentistry. The dentists place metals in the mouths of patients in the form of restorations and prosthodontic appliances to replace lost teeth.
From www.odontoespacio.net
Signos Clínicos de la Corrosión Dental Noticias Odontoespacio Corrosion Dental Definition It is not a surface discoloration but actual deterioration of a metal by reaction with the environment. This document discusses tarnish and corrosion of metals used in dentistry. Full knowledge of the role of corrosion products and better methods to improve the corrosion resistance of dental implants can. It begins by defining tarnish and corrosion, then discusses the various causes. Corrosion Dental Definition.
From www.slideserve.com
PPT Introduction_to_Corrosion PowerPoint Presentation, free download Corrosion Dental Definition It is not a surface discoloration but actual deterioration of a metal by reaction with the environment. Since in the dental or more general biomaterials. Corrosion products can be generated such that toxicological conditions result. Tarnush is often the forerunner of corrosion. The effects of the dental alloys on the oral environment have the. The dentists place metals in the. Corrosion Dental Definition.
From www.slideshare.net
Tarnish and Corrosion in Dentistry Corrosion Dental Definition Corrosion is the chemical reaction of a metal with components of its environment. This document discusses tarnish and corrosion of metals used in dentistry. Since in the dental or more general biomaterials. Corrosion products can be generated such that toxicological conditions result. Tarnush is often the forerunner of corrosion. The effects of the dental alloys on the oral environment have. Corrosion Dental Definition.
From www.slideshare.net
Tarnish and Corrosion in Dentistry Corrosion Dental Definition This document discusses tarnish and corrosion of metals used in dentistry. Corrosion is the chemical reaction of a metal with components of its environment. The effects of the dental alloys on the oral environment have the. Since in the dental or more general biomaterials. Full knowledge of the role of corrosion products and better methods to improve the corrosion resistance. Corrosion Dental Definition.
From thefuturedentistry.com
Tarnish and Corrosion Focus Dentistry Corrosion Dental Definition Full knowledge of the role of corrosion products and better methods to improve the corrosion resistance of dental implants can. The dentists place metals in the mouths of patients in the form of restorations and prosthodontic appliances to replace lost teeth. It is not a surface discoloration but actual deterioration of a metal by reaction with the environment. This document. Corrosion Dental Definition.
From captaincorrosion.com
Corrosion of Dental Implants Captain Corrosion Corrosion Dental Definition It is not a surface discoloration but actual deterioration of a metal by reaction with the environment. This document discusses tarnish and corrosion of metals used in dentistry. Tarnush is often the forerunner of corrosion. It begins by defining tarnish and corrosion, then discusses the various causes of each in the. Full knowledge of the role of corrosion products and. Corrosion Dental Definition.
From file.scirp.org
Corrosion aspect of dental implants—An overview and literature review Corrosion Dental Definition The effects of the dental alloys on the oral environment have the. Corrosion is the chemical reaction of a metal with components of its environment. Full knowledge of the role of corrosion products and better methods to improve the corrosion resistance of dental implants can. It begins by defining tarnish and corrosion, then discusses the various causes of each in. Corrosion Dental Definition.
From www.slideserve.com
PPT Dental Amalgam PowerPoint Presentation, free download ID4290502 Corrosion Dental Definition Corrosion products can be generated such that toxicological conditions result. Full knowledge of the role of corrosion products and better methods to improve the corrosion resistance of dental implants can. Tarnush is often the forerunner of corrosion. It is not a surface discoloration but actual deterioration of a metal by reaction with the environment. Corrosion is the chemical reaction of. Corrosion Dental Definition.
From www.slideserve.com
PPT Treatment of dental caries AMALGAM. PowerPoint Presentation Corrosion Dental Definition Corrosion products can be generated such that toxicological conditions result. Since in the dental or more general biomaterials. The dentists place metals in the mouths of patients in the form of restorations and prosthodontic appliances to replace lost teeth. The effects of the dental alloys on the oral environment have the. This document discusses tarnish and corrosion of metals used. Corrosion Dental Definition.
From www.youtube.com
Corrosion of Dental Implants Forms of Corrosion YouTube Corrosion Dental Definition It begins by defining tarnish and corrosion, then discusses the various causes of each in the. The dentists place metals in the mouths of patients in the form of restorations and prosthodontic appliances to replace lost teeth. Full knowledge of the role of corrosion products and better methods to improve the corrosion resistance of dental implants can. Corrosion products can. Corrosion Dental Definition.
From es.slideshare.net
Corrosion Dental Corrosion Dental Definition Full knowledge of the role of corrosion products and better methods to improve the corrosion resistance of dental implants can. Tarnush is often the forerunner of corrosion. The effects of the dental alloys on the oral environment have the. Corrosion products can be generated such that toxicological conditions result. This document discusses tarnish and corrosion of metals used in dentistry.. Corrosion Dental Definition.
From gamma.app
Tarnish and Corrosion in Dentistry Corrosion Dental Definition The effects of the dental alloys on the oral environment have the. Full knowledge of the role of corrosion products and better methods to improve the corrosion resistance of dental implants can. The dentists place metals in the mouths of patients in the form of restorations and prosthodontic appliances to replace lost teeth. Tarnush is often the forerunner of corrosion.. Corrosion Dental Definition.
From es.slideshare.net
Corrosion Dental Corrosion Dental Definition Tarnush is often the forerunner of corrosion. The dentists place metals in the mouths of patients in the form of restorations and prosthodontic appliances to replace lost teeth. It is not a surface discoloration but actual deterioration of a metal by reaction with the environment. This document discusses tarnish and corrosion of metals used in dentistry. Corrosion is the chemical. Corrosion Dental Definition.
From www.slideshare.net
Tarnish and Corrosion in Dentistry Corrosion Dental Definition It is not a surface discoloration but actual deterioration of a metal by reaction with the environment. It begins by defining tarnish and corrosion, then discusses the various causes of each in the. Corrosion products can be generated such that toxicological conditions result. This document discusses tarnish and corrosion of metals used in dentistry. The dentists place metals in the. Corrosion Dental Definition.
From es.slideshare.net
Corrosion Dental Corrosion Dental Definition Corrosion products can be generated such that toxicological conditions result. Corrosion is the chemical reaction of a metal with components of its environment. Tarnush is often the forerunner of corrosion. It begins by defining tarnish and corrosion, then discusses the various causes of each in the. The effects of the dental alloys on the oral environment have the. Since in. Corrosion Dental Definition.
From www.youtube.com
TARNISH AND CORROSION DENTAL MATERIALS 5 min Dentistry Quick Corrosion Dental Definition This document discusses tarnish and corrosion of metals used in dentistry. It is not a surface discoloration but actual deterioration of a metal by reaction with the environment. The effects of the dental alloys on the oral environment have the. The dentists place metals in the mouths of patients in the form of restorations and prosthodontic appliances to replace lost. Corrosion Dental Definition.
From www.slideshare.net
Tarnish and Corrosion in Dentistry Corrosion Dental Definition It is not a surface discoloration but actual deterioration of a metal by reaction with the environment. The effects of the dental alloys on the oral environment have the. Corrosion is the chemical reaction of a metal with components of its environment. Corrosion products can be generated such that toxicological conditions result. Since in the dental or more general biomaterials.. Corrosion Dental Definition.
From www.slideshare.net
Tarnish & corrosion in dentistry Corrosion Dental Definition Tarnush is often the forerunner of corrosion. The effects of the dental alloys on the oral environment have the. It begins by defining tarnish and corrosion, then discusses the various causes of each in the. Corrosion is the chemical reaction of a metal with components of its environment. The dentists place metals in the mouths of patients in the form. Corrosion Dental Definition.
From www.slideserve.com
PPT Tooth wear aetiology , prevention, clinical implication Corrosion Dental Definition Corrosion is the chemical reaction of a metal with components of its environment. It begins by defining tarnish and corrosion, then discusses the various causes of each in the. This document discusses tarnish and corrosion of metals used in dentistry. Since in the dental or more general biomaterials. The effects of the dental alloys on the oral environment have the.. Corrosion Dental Definition.
From www.slideshare.net
Tarnish and Corrosion in Dentistry Corrosion Dental Definition This document discusses tarnish and corrosion of metals used in dentistry. It is not a surface discoloration but actual deterioration of a metal by reaction with the environment. Corrosion is the chemical reaction of a metal with components of its environment. It begins by defining tarnish and corrosion, then discusses the various causes of each in the. Full knowledge of. Corrosion Dental Definition.
From www.slideserve.com
PPT The Distribution of dental alloys ; Corrosion ; Galvanism Corrosion Dental Definition Corrosion products can be generated such that toxicological conditions result. The effects of the dental alloys on the oral environment have the. It begins by defining tarnish and corrosion, then discusses the various causes of each in the. Since in the dental or more general biomaterials. Corrosion is the chemical reaction of a metal with components of its environment. Full. Corrosion Dental Definition.
From es.slideshare.net
Corrosion Dental Corrosion Dental Definition The effects of the dental alloys on the oral environment have the. It is not a surface discoloration but actual deterioration of a metal by reaction with the environment. Corrosion products can be generated such that toxicological conditions result. Since in the dental or more general biomaterials. Full knowledge of the role of corrosion products and better methods to improve. Corrosion Dental Definition.
From es.slideshare.net
Corrosion Dental Corrosion Dental Definition Corrosion is the chemical reaction of a metal with components of its environment. Full knowledge of the role of corrosion products and better methods to improve the corrosion resistance of dental implants can. The effects of the dental alloys on the oral environment have the. It is not a surface discoloration but actual deterioration of a metal by reaction with. Corrosion Dental Definition.
From www.slideshare.net
Tarnish & corrosion in dentistry Corrosion Dental Definition Corrosion is the chemical reaction of a metal with components of its environment. The effects of the dental alloys on the oral environment have the. The dentists place metals in the mouths of patients in the form of restorations and prosthodontic appliances to replace lost teeth. Corrosion products can be generated such that toxicological conditions result. This document discusses tarnish. Corrosion Dental Definition.
From www.slideshare.net
Tarnish & corrosion in dentistry Corrosion Dental Definition Full knowledge of the role of corrosion products and better methods to improve the corrosion resistance of dental implants can. Since in the dental or more general biomaterials. The dentists place metals in the mouths of patients in the form of restorations and prosthodontic appliances to replace lost teeth. It is not a surface discoloration but actual deterioration of a. Corrosion Dental Definition.
From dokumen.tips
(PPTX) Tarnish & corrosion in dentistry DOKUMEN.TIPS Corrosion Dental Definition This document discusses tarnish and corrosion of metals used in dentistry. It is not a surface discoloration but actual deterioration of a metal by reaction with the environment. The dentists place metals in the mouths of patients in the form of restorations and prosthodontic appliances to replace lost teeth. Since in the dental or more general biomaterials. It begins by. Corrosion Dental Definition.
From www.slideserve.com
PPT Definition of Corrosion PowerPoint Presentation, free download Corrosion Dental Definition It begins by defining tarnish and corrosion, then discusses the various causes of each in the. Since in the dental or more general biomaterials. Corrosion products can be generated such that toxicological conditions result. This document discusses tarnish and corrosion of metals used in dentistry. The dentists place metals in the mouths of patients in the form of restorations and. Corrosion Dental Definition.
From www.dentistry-holistic.com
Mercury Filling Decay & Corrosion Aurora Dentist Holistic Dentist Corrosion Dental Definition Since in the dental or more general biomaterials. Full knowledge of the role of corrosion products and better methods to improve the corrosion resistance of dental implants can. The dentists place metals in the mouths of patients in the form of restorations and prosthodontic appliances to replace lost teeth. Corrosion is the chemical reaction of a metal with components of. Corrosion Dental Definition.
From www.slideshare.net
Tarnish and Corrosion in Dentistry Corrosion Dental Definition This document discusses tarnish and corrosion of metals used in dentistry. The dentists place metals in the mouths of patients in the form of restorations and prosthodontic appliances to replace lost teeth. It is not a surface discoloration but actual deterioration of a metal by reaction with the environment. Corrosion is the chemical reaction of a metal with components of. Corrosion Dental Definition.
From www.studiodentaire.com
Erosion Studio Dentaire Corrosion Dental Definition Corrosion products can be generated such that toxicological conditions result. Since in the dental or more general biomaterials. Corrosion is the chemical reaction of a metal with components of its environment. The dentists place metals in the mouths of patients in the form of restorations and prosthodontic appliances to replace lost teeth. This document discusses tarnish and corrosion of metals. Corrosion Dental Definition.
From www.slideshare.net
Tarnish and Corrosion in Dentistry Corrosion Dental Definition The effects of the dental alloys on the oral environment have the. Tarnush is often the forerunner of corrosion. It is not a surface discoloration but actual deterioration of a metal by reaction with the environment. It begins by defining tarnish and corrosion, then discusses the various causes of each in the. This document discusses tarnish and corrosion of metals. Corrosion Dental Definition.
From es.slideshare.net
Corrosion Dental Corrosion Dental Definition The effects of the dental alloys on the oral environment have the. This document discusses tarnish and corrosion of metals used in dentistry. Corrosion is the chemical reaction of a metal with components of its environment. It is not a surface discoloration but actual deterioration of a metal by reaction with the environment. Since in the dental or more general. Corrosion Dental Definition.
From www.semanticscholar.org
Figure 2 from Corrosion aspect of dental implants—An overview and Corrosion Dental Definition It is not a surface discoloration but actual deterioration of a metal by reaction with the environment. Tarnush is often the forerunner of corrosion. Since in the dental or more general biomaterials. This document discusses tarnish and corrosion of metals used in dentistry. Full knowledge of the role of corrosion products and better methods to improve the corrosion resistance of. Corrosion Dental Definition.
From www.slideshare.net
Tarnish and Corrosion in Dentistry Corrosion Dental Definition Full knowledge of the role of corrosion products and better methods to improve the corrosion resistance of dental implants can. It begins by defining tarnish and corrosion, then discusses the various causes of each in the. The dentists place metals in the mouths of patients in the form of restorations and prosthodontic appliances to replace lost teeth. Since in the. Corrosion Dental Definition.
From file.scirp.org
Corrosion aspect of dental implants—An overview and literature review Corrosion Dental Definition Corrosion is the chemical reaction of a metal with components of its environment. Corrosion products can be generated such that toxicological conditions result. It is not a surface discoloration but actual deterioration of a metal by reaction with the environment. Tarnush is often the forerunner of corrosion. Since in the dental or more general biomaterials. This document discusses tarnish and. Corrosion Dental Definition.