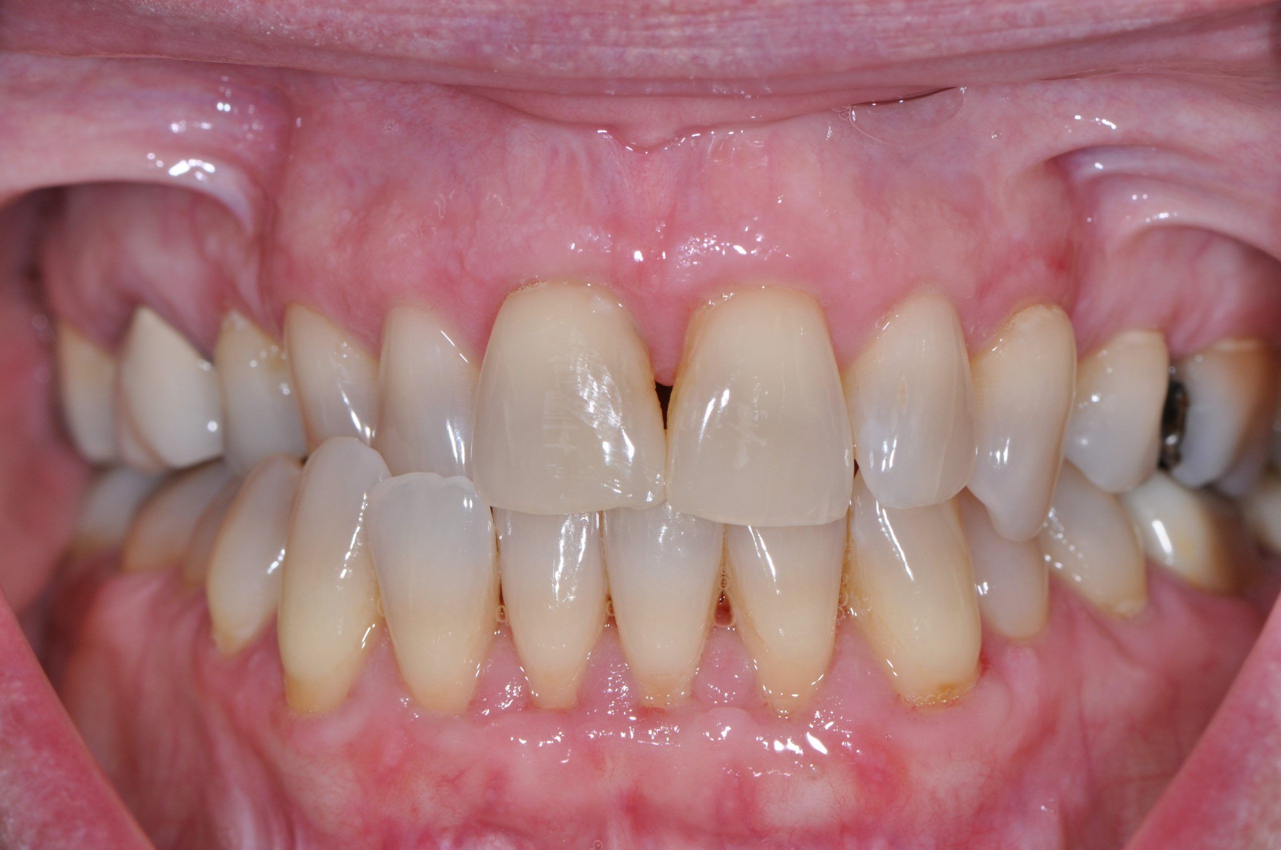
Orthodontic Gum Graft . Gum recession is when your gums pull away from your teeth, exposing your tooth roots. A gum graft, also called a gingival graft, is a periodontal surgery that corrects receding gums. A gum graft is a type of dental surgery performed to correct the effects of gum recession. Here's what you can expect during and. The first sign of root exposure is typically sensitivity to hot and cold substances. Gum graft surgery (also called a gingival graft or periodontal surgery) covers exposed tooth roots caused by receding gums. To repair the damage and prevent further dental problems, a gum tissue graft may be needed. A gum graft might refer to a few different procedures, but all of them involve putting new gum tissue in a part of your mouth where your current gum tissue is receding or has already receded. It is a quick and relatively simple surgery in which a periodontist removes healthy. Emphasize the importance of maintaining good oral hygiene practices throughout treatment to prevent gum disease and recession. A gum graft, also known as a gingival graft, can correct receding gums. Determine the optimal timing for braces based on the healing process of gum grafting and the alignment needs of the teeth. Your dentist may refer you to a periodontist, a gum specialist, for this simple surgical procedure.
from meridian-perio.com
The first sign of root exposure is typically sensitivity to hot and cold substances. Your dentist may refer you to a periodontist, a gum specialist, for this simple surgical procedure. Emphasize the importance of maintaining good oral hygiene practices throughout treatment to prevent gum disease and recession. A gum graft, also known as a gingival graft, can correct receding gums. To repair the damage and prevent further dental problems, a gum tissue graft may be needed. A gum graft is a type of dental surgery performed to correct the effects of gum recession. Gum recession is when your gums pull away from your teeth, exposing your tooth roots. Determine the optimal timing for braces based on the healing process of gum grafting and the alignment needs of the teeth. A gum graft might refer to a few different procedures, but all of them involve putting new gum tissue in a part of your mouth where your current gum tissue is receding or has already receded. A gum graft, also called a gingival graft, is a periodontal surgery that corrects receding gums.
Esthetic Periodontics and Gum Grafting Meridian Periodontics & Dental
Orthodontic Gum Graft A gum graft might refer to a few different procedures, but all of them involve putting new gum tissue in a part of your mouth where your current gum tissue is receding or has already receded. A gum graft is a type of dental surgery performed to correct the effects of gum recession. A gum graft, also called a gingival graft, is a periodontal surgery that corrects receding gums. To repair the damage and prevent further dental problems, a gum tissue graft may be needed. Your dentist may refer you to a periodontist, a gum specialist, for this simple surgical procedure. The first sign of root exposure is typically sensitivity to hot and cold substances. Emphasize the importance of maintaining good oral hygiene practices throughout treatment to prevent gum disease and recession. A gum graft might refer to a few different procedures, but all of them involve putting new gum tissue in a part of your mouth where your current gum tissue is receding or has already receded. Gum graft surgery (also called a gingival graft or periodontal surgery) covers exposed tooth roots caused by receding gums. Determine the optimal timing for braces based on the healing process of gum grafting and the alignment needs of the teeth. A gum graft, also known as a gingival graft, can correct receding gums. It is a quick and relatively simple surgery in which a periodontist removes healthy. Here's what you can expect during and. Gum recession is when your gums pull away from your teeth, exposing your tooth roots.
From www.winterfamilydental.com
Gum Grafts Winter Dental Orthodontic Gum Graft Gum recession is when your gums pull away from your teeth, exposing your tooth roots. A gum graft, also known as a gingival graft, can correct receding gums. Determine the optimal timing for braces based on the healing process of gum grafting and the alignment needs of the teeth. Emphasize the importance of maintaining good oral hygiene practices throughout treatment. Orthodontic Gum Graft.
From www.implantperiospecialist.com
Gum Grafting for Treatment of Receding Gums in Vancouver Burnaby BC Orthodontic Gum Graft A gum graft, also called a gingival graft, is a periodontal surgery that corrects receding gums. Emphasize the importance of maintaining good oral hygiene practices throughout treatment to prevent gum disease and recession. The first sign of root exposure is typically sensitivity to hot and cold substances. To repair the damage and prevent further dental problems, a gum tissue graft. Orthodontic Gum Graft.
From www.periodontistphoenix.com
Gum Grafting Everything You Need to Know Arizona Periodontal Group Orthodontic Gum Graft The first sign of root exposure is typically sensitivity to hot and cold substances. A gum graft is a type of dental surgery performed to correct the effects of gum recession. It is a quick and relatively simple surgery in which a periodontist removes healthy. A gum graft, also known as a gingival graft, can correct receding gums. To repair. Orthodontic Gum Graft.
From www.drsamkhoury.com
Gum Grafts Before and After Dr. Sam Khoury Orthodontic Gum Graft A gum graft might refer to a few different procedures, but all of them involve putting new gum tissue in a part of your mouth where your current gum tissue is receding or has already receded. Gum graft surgery (also called a gingival graft or periodontal surgery) covers exposed tooth roots caused by receding gums. A gum graft, also known. Orthodontic Gum Graft.
From familydentistottawa.com
Gum Grafts Ottawa Periodontal Surgery for Receding Gums Orthodontic Gum Graft A gum graft might refer to a few different procedures, but all of them involve putting new gum tissue in a part of your mouth where your current gum tissue is receding or has already receded. Your dentist may refer you to a periodontist, a gum specialist, for this simple surgical procedure. Here's what you can expect during and. To. Orthodontic Gum Graft.
From www.tooth-life.com
The different healing stages of a gum graft (Day by Day Pictures) Orthodontic Gum Graft A gum graft, also known as a gingival graft, can correct receding gums. It is a quick and relatively simple surgery in which a periodontist removes healthy. Here's what you can expect during and. A gum graft, also called a gingival graft, is a periodontal surgery that corrects receding gums. To repair the damage and prevent further dental problems, a. Orthodontic Gum Graft.
From klawfjqil.blob.core.windows.net
Dental Stent Gum Graft at Carter Smith blog Orthodontic Gum Graft To repair the damage and prevent further dental problems, a gum tissue graft may be needed. Determine the optimal timing for braces based on the healing process of gum grafting and the alignment needs of the teeth. A gum graft might refer to a few different procedures, but all of them involve putting new gum tissue in a part of. Orthodontic Gum Graft.
From www.jalewandowskidds.com
Gingival Gum Grafting J. A. Lewandowski, D.D.S. Leawood Kansas Orthodontic Gum Graft Emphasize the importance of maintaining good oral hygiene practices throughout treatment to prevent gum disease and recession. Here's what you can expect during and. A gum graft is a type of dental surgery performed to correct the effects of gum recession. A gum graft, also called a gingival graft, is a periodontal surgery that corrects receding gums. Gum graft surgery. Orthodontic Gum Graft.
From www.tysonsmilestudio.com
Gum Grafting Dentist in Falls Church, VA Orthodontic Gum Graft A gum graft, also called a gingival graft, is a periodontal surgery that corrects receding gums. Here's what you can expect during and. Gum recession is when your gums pull away from your teeth, exposing your tooth roots. A gum graft might refer to a few different procedures, but all of them involve putting new gum tissue in a part. Orthodontic Gum Graft.
From sazperio.com
Dental Do's and Don'ts After Gum Graft Surgery Tucson Periodontist Orthodontic Gum Graft Emphasize the importance of maintaining good oral hygiene practices throughout treatment to prevent gum disease and recession. A gum graft, also known as a gingival graft, can correct receding gums. It is a quick and relatively simple surgery in which a periodontist removes healthy. Here's what you can expect during and. The first sign of root exposure is typically sensitivity. Orthodontic Gum Graft.
From southgablesdental.com
Gum Grafting Periodontist in Coral Gables & Miami South Gables Dental Orthodontic Gum Graft Determine the optimal timing for braces based on the healing process of gum grafting and the alignment needs of the teeth. The first sign of root exposure is typically sensitivity to hot and cold substances. Your dentist may refer you to a periodontist, a gum specialist, for this simple surgical procedure. A gum graft might refer to a few different. Orthodontic Gum Graft.
From www.smilebythestation.com
Gum & Bone Graft Smile By the Station Dentistry Seattle Washington Orthodontic Gum Graft To repair the damage and prevent further dental problems, a gum tissue graft may be needed. A gum graft is a type of dental surgery performed to correct the effects of gum recession. Here's what you can expect during and. A gum graft might refer to a few different procedures, but all of them involve putting new gum tissue in. Orthodontic Gum Graft.
From www.alabamaperiodontics.com
Gum Grafting Procedure Gum Surgery Birmingham, AL Periodontist Orthodontic Gum Graft The first sign of root exposure is typically sensitivity to hot and cold substances. It is a quick and relatively simple surgery in which a periodontist removes healthy. A gum graft, also called a gingival graft, is a periodontal surgery that corrects receding gums. Emphasize the importance of maintaining good oral hygiene practices throughout treatment to prevent gum disease and. Orthodontic Gum Graft.
From palatefree.com
Palate Free Orthodontic Gum Graft The first sign of root exposure is typically sensitivity to hot and cold substances. To repair the damage and prevent further dental problems, a gum tissue graft may be needed. Emphasize the importance of maintaining good oral hygiene practices throughout treatment to prevent gum disease and recession. Gum recession is when your gums pull away from your teeth, exposing your. Orthodontic Gum Graft.
From klawfjqil.blob.core.windows.net
Dental Stent Gum Graft at Carter Smith blog Orthodontic Gum Graft Emphasize the importance of maintaining good oral hygiene practices throughout treatment to prevent gum disease and recession. A gum graft is a type of dental surgery performed to correct the effects of gum recession. A gum graft, also known as a gingival graft, can correct receding gums. Here's what you can expect during and. Gum graft surgery (also called a. Orthodontic Gum Graft.
From www.youtube.com
Gum graft Coronally advanced flap Receding gums treatment © YouTube Orthodontic Gum Graft Here's what you can expect during and. It is a quick and relatively simple surgery in which a periodontist removes healthy. Determine the optimal timing for braces based on the healing process of gum grafting and the alignment needs of the teeth. A gum graft, also known as a gingival graft, can correct receding gums. To repair the damage and. Orthodontic Gum Graft.
From imgpile.com
Dental Gum Graft Restoring Healthy Gums And Preventing Tooth Loss Orthodontic Gum Graft Gum graft surgery (also called a gingival graft or periodontal surgery) covers exposed tooth roots caused by receding gums. A gum graft, also called a gingival graft, is a periodontal surgery that corrects receding gums. A gum graft, also known as a gingival graft, can correct receding gums. To repair the damage and prevent further dental problems, a gum tissue. Orthodontic Gum Graft.
From www.huntingtonbeachperiodontics.com
Gum Grafting Huntington Beach Cosmetic Periodontics Dr. Braga Orthodontic Gum Graft A gum graft, also known as a gingival graft, can correct receding gums. Gum recession is when your gums pull away from your teeth, exposing your tooth roots. The first sign of root exposure is typically sensitivity to hot and cold substances. A gum graft is a type of dental surgery performed to correct the effects of gum recession. A. Orthodontic Gum Graft.
From baroudiperio.com
Gum Grafting in San Jose, CA [Highly Rated Dentist] Orthodontic Gum Graft Your dentist may refer you to a periodontist, a gum specialist, for this simple surgical procedure. A gum graft is a type of dental surgery performed to correct the effects of gum recession. Gum recession is when your gums pull away from your teeth, exposing your tooth roots. Gum graft surgery (also called a gingival graft or periodontal surgery) covers. Orthodontic Gum Graft.
From docfloss.com
Gingival (Gum) Grafting Dental Implants & Periodontics of CT Orthodontic Gum Graft Emphasize the importance of maintaining good oral hygiene practices throughout treatment to prevent gum disease and recession. A gum graft, also called a gingival graft, is a periodontal surgery that corrects receding gums. Gum graft surgery (also called a gingival graft or periodontal surgery) covers exposed tooth roots caused by receding gums. Here's what you can expect during and. A. Orthodontic Gum Graft.
From www.periocafe.com
Connective Tissue Graft Brighton Periodontal & Implant Dental Group Orthodontic Gum Graft It is a quick and relatively simple surgery in which a periodontist removes healthy. Here's what you can expect during and. Emphasize the importance of maintaining good oral hygiene practices throughout treatment to prevent gum disease and recession. Determine the optimal timing for braces based on the healing process of gum grafting and the alignment needs of the teeth. The. Orthodontic Gum Graft.
From www.nwperio.com
Free Gingival Graft Issaquah WA, Northwest Periodontics & Implants Orthodontic Gum Graft Your dentist may refer you to a periodontist, a gum specialist, for this simple surgical procedure. A gum graft, also called a gingival graft, is a periodontal surgery that corrects receding gums. Emphasize the importance of maintaining good oral hygiene practices throughout treatment to prevent gum disease and recession. A gum graft is a type of dental surgery performed to. Orthodontic Gum Graft.
From exygtwmiz.blob.core.windows.net
Gum Procedure Graft at John Westbury blog Orthodontic Gum Graft The first sign of root exposure is typically sensitivity to hot and cold substances. Gum recession is when your gums pull away from your teeth, exposing your tooth roots. Your dentist may refer you to a periodontist, a gum specialist, for this simple surgical procedure. It is a quick and relatively simple surgery in which a periodontist removes healthy. Gum. Orthodontic Gum Graft.
From www.periomaine.com
Gum Grafting Portland ME Soft Tissue Grafting Orthodontic Gum Graft Your dentist may refer you to a periodontist, a gum specialist, for this simple surgical procedure. A gum graft is a type of dental surgery performed to correct the effects of gum recession. It is a quick and relatively simple surgery in which a periodontist removes healthy. Here's what you can expect during and. A gum graft, also called a. Orthodontic Gum Graft.
From www.drgallezperio.com
Grafting the Whole Jaw in One Appointment San Jose CA, Gum Grafting Orthodontic Gum Graft Emphasize the importance of maintaining good oral hygiene practices throughout treatment to prevent gum disease and recession. It is a quick and relatively simple surgery in which a periodontist removes healthy. A gum graft, also called a gingival graft, is a periodontal surgery that corrects receding gums. Your dentist may refer you to a periodontist, a gum specialist, for this. Orthodontic Gum Graft.
From glenperio.com
Gum Grafts dental implants Glenview IL Glen Perio Dr. Joshua Hassan Orthodontic Gum Graft Gum recession is when your gums pull away from your teeth, exposing your tooth roots. It is a quick and relatively simple surgery in which a periodontist removes healthy. A gum graft is a type of dental surgery performed to correct the effects of gum recession. A gum graft, also known as a gingival graft, can correct receding gums. A. Orthodontic Gum Graft.
From www.lynnwoodperio.com
Gum Grafting Lynnwood Periodontics & Implants Periodontist in Orthodontic Gum Graft Emphasize the importance of maintaining good oral hygiene practices throughout treatment to prevent gum disease and recession. Gum recession is when your gums pull away from your teeth, exposing your tooth roots. Your dentist may refer you to a periodontist, a gum specialist, for this simple surgical procedure. The first sign of root exposure is typically sensitivity to hot and. Orthodontic Gum Graft.
From burbankdentalimplants.com
Lower Front Dental Implants With Gum Graft and Immediate Temporaries Orthodontic Gum Graft A gum graft is a type of dental surgery performed to correct the effects of gum recession. The first sign of root exposure is typically sensitivity to hot and cold substances. Gum recession is when your gums pull away from your teeth, exposing your tooth roots. To repair the damage and prevent further dental problems, a gum tissue graft may. Orthodontic Gum Graft.
From sandiegoinvisaligndentist.org
Gum Graft Healing Stages Dental News Network Orthodontic Gum Graft Emphasize the importance of maintaining good oral hygiene practices throughout treatment to prevent gum disease and recession. Gum graft surgery (also called a gingival graft or periodontal surgery) covers exposed tooth roots caused by receding gums. To repair the damage and prevent further dental problems, a gum tissue graft may be needed. It is a quick and relatively simple surgery. Orthodontic Gum Graft.
From meridian-perio.com
Esthetic Periodontics and Gum Grafting Meridian Periodontics & Dental Orthodontic Gum Graft It is a quick and relatively simple surgery in which a periodontist removes healthy. Determine the optimal timing for braces based on the healing process of gum grafting and the alignment needs of the teeth. Here's what you can expect during and. A gum graft might refer to a few different procedures, but all of them involve putting new gum. Orthodontic Gum Graft.
From docfloss.com
Gingival (Gum) Grafting Dental Implants & Periodontics of CT Orthodontic Gum Graft A gum graft, also called a gingival graft, is a periodontal surgery that corrects receding gums. Gum recession is when your gums pull away from your teeth, exposing your tooth roots. Here's what you can expect during and. The first sign of root exposure is typically sensitivity to hot and cold substances. A gum graft, also known as a gingival. Orthodontic Gum Graft.
From www.gumsurgery.com
Gum Grafting in NYC Gingival Grafting NJ Advanced Periodontics Orthodontic Gum Graft A gum graft, also called a gingival graft, is a periodontal surgery that corrects receding gums. It is a quick and relatively simple surgery in which a periodontist removes healthy. To repair the damage and prevent further dental problems, a gum tissue graft may be needed. Emphasize the importance of maintaining good oral hygiene practices throughout treatment to prevent gum. Orthodontic Gum Graft.
From www.3stepsmiles.com
Gum Tissue Graft Surgery procedure, causes, techniques and more Orthodontic Gum Graft The first sign of root exposure is typically sensitivity to hot and cold substances. Here's what you can expect during and. Emphasize the importance of maintaining good oral hygiene practices throughout treatment to prevent gum disease and recession. To repair the damage and prevent further dental problems, a gum tissue graft may be needed. A gum graft might refer to. Orthodontic Gum Graft.
From www.atlasdental.ca
Gum Graft Atlas Dental Toronto Orthodontic Gum Graft Emphasize the importance of maintaining good oral hygiene practices throughout treatment to prevent gum disease and recession. Determine the optimal timing for braces based on the healing process of gum grafting and the alignment needs of the teeth. It is a quick and relatively simple surgery in which a periodontist removes healthy. A gum graft, also known as a gingival. Orthodontic Gum Graft.
From klawfjqil.blob.core.windows.net
Dental Stent Gum Graft at Carter Smith blog Orthodontic Gum Graft Gum graft surgery (also called a gingival graft or periodontal surgery) covers exposed tooth roots caused by receding gums. A gum graft is a type of dental surgery performed to correct the effects of gum recession. Your dentist may refer you to a periodontist, a gum specialist, for this simple surgical procedure. It is a quick and relatively simple surgery. Orthodontic Gum Graft.