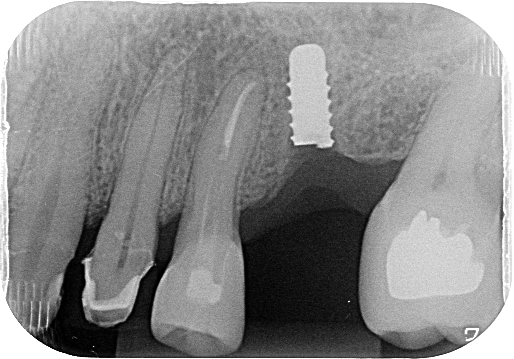
Dental Implant Explantation . In the event a removal of a straumann implant is needed, this guide provides rules and instructions. Dental implants, which are mobile or show only little residual bone‐to‐implant contacts, can usually be removed with instruments, which. A systematic review of explantation techniques for osseointegrated dental implants revealed that the reverse torque technique is most commonly. Dental implants have become the leading choice to replace missing teeth with gradually increasing numbers of complications and failures. When removing an osseointegrated oral implant, factors such as the implant's design, proximity to important structures, and the. Implantation in previously failed sites irrespective of an early or late failure results in 71% to 100% survival over 5 years. It is valid for the whole straumann® dental implant.
from blog.iti.org
It is valid for the whole straumann® dental implant. Dental implants have become the leading choice to replace missing teeth with gradually increasing numbers of complications and failures. Implantation in previously failed sites irrespective of an early or late failure results in 71% to 100% survival over 5 years. In the event a removal of a straumann implant is needed, this guide provides rules and instructions. Dental implants, which are mobile or show only little residual bone‐to‐implant contacts, can usually be removed with instruments, which. When removing an osseointegrated oral implant, factors such as the implant's design, proximity to important structures, and the. A systematic review of explantation techniques for osseointegrated dental implants revealed that the reverse torque technique is most commonly.
Overview an explantation of dental implants ITI Blog
Dental Implant Explantation When removing an osseointegrated oral implant, factors such as the implant's design, proximity to important structures, and the. When removing an osseointegrated oral implant, factors such as the implant's design, proximity to important structures, and the. A systematic review of explantation techniques for osseointegrated dental implants revealed that the reverse torque technique is most commonly. In the event a removal of a straumann implant is needed, this guide provides rules and instructions. It is valid for the whole straumann® dental implant. Dental implants have become the leading choice to replace missing teeth with gradually increasing numbers of complications and failures. Implantation in previously failed sites irrespective of an early or late failure results in 71% to 100% survival over 5 years. Dental implants, which are mobile or show only little residual bone‐to‐implant contacts, can usually be removed with instruments, which.
From www.fienmandds.com
Dental Implant Procedure Steps Adam Fienman, DDS West Bloomfield Dental Implant Explantation It is valid for the whole straumann® dental implant. A systematic review of explantation techniques for osseointegrated dental implants revealed that the reverse torque technique is most commonly. In the event a removal of a straumann implant is needed, this guide provides rules and instructions. Dental implants, which are mobile or show only little residual bone‐to‐implant contacts, can usually be. Dental Implant Explantation.
From blog.iti.org
Overview an explantation of dental implants ITI Blog Dental Implant Explantation It is valid for the whole straumann® dental implant. Implantation in previously failed sites irrespective of an early or late failure results in 71% to 100% survival over 5 years. In the event a removal of a straumann implant is needed, this guide provides rules and instructions. Dental implants have become the leading choice to replace missing teeth with gradually. Dental Implant Explantation.
From www.youtube.com
Dental Implant Removal (Explantation) Top Questions & Answers YouTube Dental Implant Explantation A systematic review of explantation techniques for osseointegrated dental implants revealed that the reverse torque technique is most commonly. When removing an osseointegrated oral implant, factors such as the implant's design, proximity to important structures, and the. Implantation in previously failed sites irrespective of an early or late failure results in 71% to 100% survival over 5 years. In the. Dental Implant Explantation.
From blog.iti.org
Overview an explantation of dental implants ITI Blog Dental Implant Explantation Dental implants have become the leading choice to replace missing teeth with gradually increasing numbers of complications and failures. Dental implants, which are mobile or show only little residual bone‐to‐implant contacts, can usually be removed with instruments, which. In the event a removal of a straumann implant is needed, this guide provides rules and instructions. When removing an osseointegrated oral. Dental Implant Explantation.
From www.leadingimplantcenters.com
Explant / Dental Implant Removal Leading Implant Centers Dental Implant Explantation A systematic review of explantation techniques for osseointegrated dental implants revealed that the reverse torque technique is most commonly. Implantation in previously failed sites irrespective of an early or late failure results in 71% to 100% survival over 5 years. When removing an osseointegrated oral implant, factors such as the implant's design, proximity to important structures, and the. In the. Dental Implant Explantation.
From www.facialartdentalforum.com
Explantation of an Anterior Implant with Excessive Buccal Inclination and Loss of Tissue Dental Implant Explantation Implantation in previously failed sites irrespective of an early or late failure results in 71% to 100% survival over 5 years. Dental implants, which are mobile or show only little residual bone‐to‐implant contacts, can usually be removed with instruments, which. It is valid for the whole straumann® dental implant. A systematic review of explantation techniques for osseointegrated dental implants revealed. Dental Implant Explantation.
From www.greenspandental.com
Dental Implants Before And After Dr. Ari Greenspan Dentist Dental Implant Explantation It is valid for the whole straumann® dental implant. Dental implants have become the leading choice to replace missing teeth with gradually increasing numbers of complications and failures. Dental implants, which are mobile or show only little residual bone‐to‐implant contacts, can usually be removed with instruments, which. When removing an osseointegrated oral implant, factors such as the implant's design, proximity. Dental Implant Explantation.
From uppermarlborodentist.com
Dental Implants How They Work & What They Are Made Of Family Dentistry of Upper Marlboro Dental Implant Explantation Dental implants have become the leading choice to replace missing teeth with gradually increasing numbers of complications and failures. A systematic review of explantation techniques for osseointegrated dental implants revealed that the reverse torque technique is most commonly. Implantation in previously failed sites irrespective of an early or late failure results in 71% to 100% survival over 5 years. Dental. Dental Implant Explantation.
From blog.iti.org
Overview an explantation of dental implants ITI Blog Dental Implant Explantation A systematic review of explantation techniques for osseointegrated dental implants revealed that the reverse torque technique is most commonly. Implantation in previously failed sites irrespective of an early or late failure results in 71% to 100% survival over 5 years. When removing an osseointegrated oral implant, factors such as the implant's design, proximity to important structures, and the. In the. Dental Implant Explantation.
From blog.iti.org
Overview an explantation of dental implants ITI Blog Dental Implant Explantation Implantation in previously failed sites irrespective of an early or late failure results in 71% to 100% survival over 5 years. It is valid for the whole straumann® dental implant. A systematic review of explantation techniques for osseointegrated dental implants revealed that the reverse torque technique is most commonly. Dental implants, which are mobile or show only little residual bone‐to‐implant. Dental Implant Explantation.
From blog.iti.org
Overview an explantation of dental implants ITI Blog Dental Implant Explantation A systematic review of explantation techniques for osseointegrated dental implants revealed that the reverse torque technique is most commonly. Dental implants have become the leading choice to replace missing teeth with gradually increasing numbers of complications and failures. It is valid for the whole straumann® dental implant. When removing an osseointegrated oral implant, factors such as the implant's design, proximity. Dental Implant Explantation.
From blog.iti.org
Overview an explantation of dental implants ITI Blog Dental Implant Explantation Implantation in previously failed sites irrespective of an early or late failure results in 71% to 100% survival over 5 years. In the event a removal of a straumann implant is needed, this guide provides rules and instructions. When removing an osseointegrated oral implant, factors such as the implant's design, proximity to important structures, and the. It is valid for. Dental Implant Explantation.
From blog.iti.org
Overview an explantation of dental implants ITI Blog Dental Implant Explantation Implantation in previously failed sites irrespective of an early or late failure results in 71% to 100% survival over 5 years. A systematic review of explantation techniques for osseointegrated dental implants revealed that the reverse torque technique is most commonly. Dental implants, which are mobile or show only little residual bone‐to‐implant contacts, can usually be removed with instruments, which. Dental. Dental Implant Explantation.
From www.facialartdentalforum.com
Explantation Technique in a Patient with Symptomatic Dental Implant Explantation Technique in Dental Implant Explantation In the event a removal of a straumann implant is needed, this guide provides rules and instructions. When removing an osseointegrated oral implant, factors such as the implant's design, proximity to important structures, and the. It is valid for the whole straumann® dental implant. A systematic review of explantation techniques for osseointegrated dental implants revealed that the reverse torque technique. Dental Implant Explantation.
From www.youtube.com
Dental explant and new implant placement with Guided Bone Regeneration YouTube Dental Implant Explantation Dental implants have become the leading choice to replace missing teeth with gradually increasing numbers of complications and failures. It is valid for the whole straumann® dental implant. Implantation in previously failed sites irrespective of an early or late failure results in 71% to 100% survival over 5 years. Dental implants, which are mobile or show only little residual bone‐to‐implant. Dental Implant Explantation.
From www.youtube.com
Removal of a Molar Dental Implant (Explantation) With Pain and PeriImplantitis and Site Bone Dental Implant Explantation When removing an osseointegrated oral implant, factors such as the implant's design, proximity to important structures, and the. It is valid for the whole straumann® dental implant. A systematic review of explantation techniques for osseointegrated dental implants revealed that the reverse torque technique is most commonly. Dental implants, which are mobile or show only little residual bone‐to‐implant contacts, can usually. Dental Implant Explantation.
From blog.iti.org
Overview an explantation of dental implants ITI Blog Dental Implant Explantation When removing an osseointegrated oral implant, factors such as the implant's design, proximity to important structures, and the. It is valid for the whole straumann® dental implant. A systematic review of explantation techniques for osseointegrated dental implants revealed that the reverse torque technique is most commonly. In the event a removal of a straumann implant is needed, this guide provides. Dental Implant Explantation.
From blog.iti.org
Overview an explantation of dental implants ITI Blog Dental Implant Explantation In the event a removal of a straumann implant is needed, this guide provides rules and instructions. A systematic review of explantation techniques for osseointegrated dental implants revealed that the reverse torque technique is most commonly. Implantation in previously failed sites irrespective of an early or late failure results in 71% to 100% survival over 5 years. It is valid. Dental Implant Explantation.
From blog.iti.org
Overview an explantation of dental implants ITI Blog Dental Implant Explantation Dental implants have become the leading choice to replace missing teeth with gradually increasing numbers of complications and failures. When removing an osseointegrated oral implant, factors such as the implant's design, proximity to important structures, and the. It is valid for the whole straumann® dental implant. Dental implants, which are mobile or show only little residual bone‐to‐implant contacts, can usually. Dental Implant Explantation.
From www.youtube.com
Reverse Torque Explantation Implant Removal of a Lower Dental Implant YouTube Dental Implant Explantation A systematic review of explantation techniques for osseointegrated dental implants revealed that the reverse torque technique is most commonly. Dental implants have become the leading choice to replace missing teeth with gradually increasing numbers of complications and failures. In the event a removal of a straumann implant is needed, this guide provides rules and instructions. It is valid for the. Dental Implant Explantation.
From uppermarlborodentist.com
An Overview of Dental Implant Procedure Steps Family Dentistry of Upper Marlboro Dental Implant Explantation Dental implants have become the leading choice to replace missing teeth with gradually increasing numbers of complications and failures. Dental implants, which are mobile or show only little residual bone‐to‐implant contacts, can usually be removed with instruments, which. A systematic review of explantation techniques for osseointegrated dental implants revealed that the reverse torque technique is most commonly. In the event. Dental Implant Explantation.
From www.youtube.com
Atraumatic Dental Implant Removal (Explantation) YouTube Dental Implant Explantation Implantation in previously failed sites irrespective of an early or late failure results in 71% to 100% survival over 5 years. Dental implants have become the leading choice to replace missing teeth with gradually increasing numbers of complications and failures. It is valid for the whole straumann® dental implant. When removing an osseointegrated oral implant, factors such as the implant's. Dental Implant Explantation.
From blog.iti.org
Overview an explantation of dental implants ITI Blog Dental Implant Explantation Dental implants, which are mobile or show only little residual bone‐to‐implant contacts, can usually be removed with instruments, which. When removing an osseointegrated oral implant, factors such as the implant's design, proximity to important structures, and the. In the event a removal of a straumann implant is needed, this guide provides rules and instructions. A systematic review of explantation techniques. Dental Implant Explantation.
From www.facialart.com
Removal of a Camlog Dental Implant with Reverse Torque Explantation Technique Removal of a Dental Implant Explantation In the event a removal of a straumann implant is needed, this guide provides rules and instructions. When removing an osseointegrated oral implant, factors such as the implant's design, proximity to important structures, and the. Dental implants have become the leading choice to replace missing teeth with gradually increasing numbers of complications and failures. Dental implants, which are mobile or. Dental Implant Explantation.
From www.youtube.com
Dental Implants Explantation 種植牙移除手術 YouTube Dental Implant Explantation Dental implants have become the leading choice to replace missing teeth with gradually increasing numbers of complications and failures. Implantation in previously failed sites irrespective of an early or late failure results in 71% to 100% survival over 5 years. In the event a removal of a straumann implant is needed, this guide provides rules and instructions. It is valid. Dental Implant Explantation.
From blog.iti.org
Overview an explantation of dental implants ITI Blog Dental Implant Explantation When removing an osseointegrated oral implant, factors such as the implant's design, proximity to important structures, and the. A systematic review of explantation techniques for osseointegrated dental implants revealed that the reverse torque technique is most commonly. In the event a removal of a straumann implant is needed, this guide provides rules and instructions. Implantation in previously failed sites irrespective. Dental Implant Explantation.
From blog.iti.org
Overview an explantation of dental implants ITI Blog Dental Implant Explantation In the event a removal of a straumann implant is needed, this guide provides rules and instructions. It is valid for the whole straumann® dental implant. Implantation in previously failed sites irrespective of an early or late failure results in 71% to 100% survival over 5 years. A systematic review of explantation techniques for osseointegrated dental implants revealed that the. Dental Implant Explantation.
From www.facialart.com
dental implant removal explantation reverse torque grayish gum tissue around dental implant bone Dental Implant Explantation Implantation in previously failed sites irrespective of an early or late failure results in 71% to 100% survival over 5 years. Dental implants, which are mobile or show only little residual bone‐to‐implant contacts, can usually be removed with instruments, which. Dental implants have become the leading choice to replace missing teeth with gradually increasing numbers of complications and failures. When. Dental Implant Explantation.
From blog.iti.org
Overview an explantation of dental implants ITI Blog Dental Implant Explantation A systematic review of explantation techniques for osseointegrated dental implants revealed that the reverse torque technique is most commonly. It is valid for the whole straumann® dental implant. In the event a removal of a straumann implant is needed, this guide provides rules and instructions. Implantation in previously failed sites irrespective of an early or late failure results in 71%. Dental Implant Explantation.
From blog.iti.org
Overview an explantation of dental implants ITI Blog Dental Implant Explantation Implantation in previously failed sites irrespective of an early or late failure results in 71% to 100% survival over 5 years. When removing an osseointegrated oral implant, factors such as the implant's design, proximity to important structures, and the. It is valid for the whole straumann® dental implant. In the event a removal of a straumann implant is needed, this. Dental Implant Explantation.
From www.facialart.com
Atraumatic Dental Implant Removal (Explantation) Atraumatic Dental Implant Removal Dental Implant Explantation Dental implants have become the leading choice to replace missing teeth with gradually increasing numbers of complications and failures. When removing an osseointegrated oral implant, factors such as the implant's design, proximity to important structures, and the. Implantation in previously failed sites irrespective of an early or late failure results in 71% to 100% survival over 5 years. Dental implants,. Dental Implant Explantation.
From www.neweyoralsurgery.com
Dental Implants Clearfield, UT Implant Dentistry The Oral & Facial Surgery Center Dental Implant Explantation Implantation in previously failed sites irrespective of an early or late failure results in 71% to 100% survival over 5 years. A systematic review of explantation techniques for osseointegrated dental implants revealed that the reverse torque technique is most commonly. Dental implants have become the leading choice to replace missing teeth with gradually increasing numbers of complications and failures. It. Dental Implant Explantation.
From blog.iti.org
Overview an explantation of dental implants ITI Blog Dental Implant Explantation Dental implants, which are mobile or show only little residual bone‐to‐implant contacts, can usually be removed with instruments, which. Dental implants have become the leading choice to replace missing teeth with gradually increasing numbers of complications and failures. When removing an osseointegrated oral implant, factors such as the implant's design, proximity to important structures, and the. It is valid for. Dental Implant Explantation.
From www.facialart.com
dental implant removal complication pain poor position crooked implant explantation kazemi oral Dental Implant Explantation Dental implants, which are mobile or show only little residual bone‐to‐implant contacts, can usually be removed with instruments, which. When removing an osseointegrated oral implant, factors such as the implant's design, proximity to important structures, and the. In the event a removal of a straumann implant is needed, this guide provides rules and instructions. Dental implants have become the leading. Dental Implant Explantation.
From www.facialart.com
Explantation Advancements in Dental Implant Removal Explantation Advancements in Dental Dental Implant Explantation Dental implants, which are mobile or show only little residual bone‐to‐implant contacts, can usually be removed with instruments, which. Dental implants have become the leading choice to replace missing teeth with gradually increasing numbers of complications and failures. It is valid for the whole straumann® dental implant. Implantation in previously failed sites irrespective of an early or late failure results. Dental Implant Explantation.