Is Compression Good For A Broken Ankle . The first thing to do after surgery and throughout recovery is to reduce swelling by consistently wearing a compression bandage,. Compression therapy has a beneficial effect on edema reduction and probably a positive effect on pain and ankle joint mobility, but with the. Failure to treat them properly can result in poor healing and a. Fractured ankles can be serious injuries and therefore require medical treatment. Compression socks also provide added ankle stability and control to prevent foot fractures from irregular activity and reduce the. Learn how severity, treatment, age, and adherence affect the recovery time for a broken ankle. The acronym rice stands for: The following methods of home care may support faster recovery while helping to protect against further injuries. Learn about the symptoms, causes and tests for a broken ankle, and the possible treatments, such as reduction, immobilization and. Find out the typical steps from.
from www.youtube.com
Compression therapy has a beneficial effect on edema reduction and probably a positive effect on pain and ankle joint mobility, but with the. Failure to treat them properly can result in poor healing and a. The following methods of home care may support faster recovery while helping to protect against further injuries. Find out the typical steps from. The first thing to do after surgery and throughout recovery is to reduce swelling by consistently wearing a compression bandage,. The acronym rice stands for: Learn about the symptoms, causes and tests for a broken ankle, and the possible treatments, such as reduction, immobilization and. Compression socks also provide added ankle stability and control to prevent foot fractures from irregular activity and reduce the. Learn how severity, treatment, age, and adherence affect the recovery time for a broken ankle. Fractured ankles can be serious injuries and therefore require medical treatment.
10 Step Cure for Ankle Sprain & or Fibula Fracture. Exercises & Rehab
Is Compression Good For A Broken Ankle Compression therapy has a beneficial effect on edema reduction and probably a positive effect on pain and ankle joint mobility, but with the. Learn about the symptoms, causes and tests for a broken ankle, and the possible treatments, such as reduction, immobilization and. Fractured ankles can be serious injuries and therefore require medical treatment. Compression therapy has a beneficial effect on edema reduction and probably a positive effect on pain and ankle joint mobility, but with the. Learn how severity, treatment, age, and adherence affect the recovery time for a broken ankle. Failure to treat them properly can result in poor healing and a. The following methods of home care may support faster recovery while helping to protect against further injuries. Compression socks also provide added ankle stability and control to prevent foot fractures from irregular activity and reduce the. Find out the typical steps from. The acronym rice stands for: The first thing to do after surgery and throughout recovery is to reduce swelling by consistently wearing a compression bandage,.
From www.youtube.com
How to apply a compression bandage to a sprained ankle YouTube Is Compression Good For A Broken Ankle The first thing to do after surgery and throughout recovery is to reduce swelling by consistently wearing a compression bandage,. Fractured ankles can be serious injuries and therefore require medical treatment. The acronym rice stands for: Compression socks also provide added ankle stability and control to prevent foot fractures from irregular activity and reduce the. The following methods of home. Is Compression Good For A Broken Ankle.
From www.healthandcare.co.uk
Best Broken Ankle Recovery Tips Health and Care Is Compression Good For A Broken Ankle The acronym rice stands for: The following methods of home care may support faster recovery while helping to protect against further injuries. The first thing to do after surgery and throughout recovery is to reduce swelling by consistently wearing a compression bandage,. Failure to treat them properly can result in poor healing and a. Find out the typical steps from.. Is Compression Good For A Broken Ankle.
From www.alamy.com
fiberglass cast on a broken ankle Stock Photo Alamy Is Compression Good For A Broken Ankle Learn how severity, treatment, age, and adherence affect the recovery time for a broken ankle. Find out the typical steps from. Fractured ankles can be serious injuries and therefore require medical treatment. Compression therapy has a beneficial effect on edema reduction and probably a positive effect on pain and ankle joint mobility, but with the. The first thing to do. Is Compression Good For A Broken Ankle.
From www.walmart.com
Plantar Fasciitis Compression Socks Foot Sleeves to Relieve Foot Pain Is Compression Good For A Broken Ankle The acronym rice stands for: Find out the typical steps from. Learn how severity, treatment, age, and adherence affect the recovery time for a broken ankle. Failure to treat them properly can result in poor healing and a. Compression socks also provide added ankle stability and control to prevent foot fractures from irregular activity and reduce the. Learn about the. Is Compression Good For A Broken Ankle.
From bestcompressionstockings.netlify.app
Is Compression Good For A Swollen Ankle Is Compression Good For A Broken Ankle Learn about the symptoms, causes and tests for a broken ankle, and the possible treatments, such as reduction, immobilization and. Find out the typical steps from. Fractured ankles can be serious injuries and therefore require medical treatment. The acronym rice stands for: Compression socks also provide added ankle stability and control to prevent foot fractures from irregular activity and reduce. Is Compression Good For A Broken Ankle.
From flawlessphysio.co.uk
Sprained Ankle Vs Broken Ankle Foot Specialist Breakdown Is Compression Good For A Broken Ankle Compression therapy has a beneficial effect on edema reduction and probably a positive effect on pain and ankle joint mobility, but with the. Learn how severity, treatment, age, and adherence affect the recovery time for a broken ankle. Compression socks also provide added ankle stability and control to prevent foot fractures from irregular activity and reduce the. The following methods. Is Compression Good For A Broken Ankle.
From korunaturaltherapies.com.au
Our Best Advice For Broken And Sprained Ankles Koru Natural Therapies Is Compression Good For A Broken Ankle Find out the typical steps from. Compression socks also provide added ankle stability and control to prevent foot fractures from irregular activity and reduce the. Compression therapy has a beneficial effect on edema reduction and probably a positive effect on pain and ankle joint mobility, but with the. Learn how severity, treatment, age, and adherence affect the recovery time for. Is Compression Good For A Broken Ankle.
From webapi.bu.edu
💋 How i broke my ankle. Broken ankle. 20221013 Is Compression Good For A Broken Ankle Failure to treat them properly can result in poor healing and a. Learn how severity, treatment, age, and adherence affect the recovery time for a broken ankle. Fractured ankles can be serious injuries and therefore require medical treatment. Learn about the symptoms, causes and tests for a broken ankle, and the possible treatments, such as reduction, immobilization and. The following. Is Compression Good For A Broken Ankle.
From footwearox.com
11 Best Shoes With Ankle Support for Men & Women 2021 Is Compression Good For A Broken Ankle Compression socks also provide added ankle stability and control to prevent foot fractures from irregular activity and reduce the. Failure to treat them properly can result in poor healing and a. Learn about the symptoms, causes and tests for a broken ankle, and the possible treatments, such as reduction, immobilization and. Fractured ankles can be serious injuries and therefore require. Is Compression Good For A Broken Ankle.
From www.docontherun.com
Fracture walking boot one of the worst treatments for a runner DOC Is Compression Good For A Broken Ankle Compression therapy has a beneficial effect on edema reduction and probably a positive effect on pain and ankle joint mobility, but with the. The following methods of home care may support faster recovery while helping to protect against further injuries. Compression socks also provide added ankle stability and control to prevent foot fractures from irregular activity and reduce the. Find. Is Compression Good For A Broken Ankle.
From www.kaizo-health.com
Sprained Ankle vs. Broken Ankle What's the Difference? Kaizo Health Is Compression Good For A Broken Ankle Learn about the symptoms, causes and tests for a broken ankle, and the possible treatments, such as reduction, immobilization and. The first thing to do after surgery and throughout recovery is to reduce swelling by consistently wearing a compression bandage,. Compression socks also provide added ankle stability and control to prevent foot fractures from irregular activity and reduce the. The. Is Compression Good For A Broken Ankle.
From loevrzmml.blob.core.windows.net
Do You Wear A Boot For A Broken Ankle at Jesse Anderson blog Is Compression Good For A Broken Ankle Find out the typical steps from. Learn how severity, treatment, age, and adherence affect the recovery time for a broken ankle. Failure to treat them properly can result in poor healing and a. The following methods of home care may support faster recovery while helping to protect against further injuries. The first thing to do after surgery and throughout recovery. Is Compression Good For A Broken Ankle.
From www.youtube.com
10 Step Cure for Ankle Sprain & or Fibula Fracture. Exercises & Rehab Is Compression Good For A Broken Ankle Find out the typical steps from. Learn about the symptoms, causes and tests for a broken ankle, and the possible treatments, such as reduction, immobilization and. Fractured ankles can be serious injuries and therefore require medical treatment. Failure to treat them properly can result in poor healing and a. The acronym rice stands for: Compression socks also provide added ankle. Is Compression Good For A Broken Ankle.
From jumpasatu.vercel.app
Broken ankle recovery tips 2021 Is Compression Good For A Broken Ankle Learn about the symptoms, causes and tests for a broken ankle, and the possible treatments, such as reduction, immobilization and. Compression therapy has a beneficial effect on edema reduction and probably a positive effect on pain and ankle joint mobility, but with the. The following methods of home care may support faster recovery while helping to protect against further injuries.. Is Compression Good For A Broken Ankle.
From mavink.com
Different Types Of Ankle Fractures Is Compression Good For A Broken Ankle Learn how severity, treatment, age, and adherence affect the recovery time for a broken ankle. The acronym rice stands for: Learn about the symptoms, causes and tests for a broken ankle, and the possible treatments, such as reduction, immobilization and. Compression socks also provide added ankle stability and control to prevent foot fractures from irregular activity and reduce the. Find. Is Compression Good For A Broken Ankle.
From www.animalia-life.club
Broken Ankle Is Compression Good For A Broken Ankle Find out the typical steps from. Compression therapy has a beneficial effect on edema reduction and probably a positive effect on pain and ankle joint mobility, but with the. Learn about the symptoms, causes and tests for a broken ankle, and the possible treatments, such as reduction, immobilization and. Failure to treat them properly can result in poor healing and. Is Compression Good For A Broken Ankle.
From universityhealthnews.com
UHN Blog Emergency! Coping with a Broken Ankle Overseas University Is Compression Good For A Broken Ankle The acronym rice stands for: The following methods of home care may support faster recovery while helping to protect against further injuries. Compression socks also provide added ankle stability and control to prevent foot fractures from irregular activity and reduce the. Learn how severity, treatment, age, and adherence affect the recovery time for a broken ankle. Failure to treat them. Is Compression Good For A Broken Ankle.
From capitalfeet.com
Ankle Fractures Capital Podiatry Associates Serving Alexandria Is Compression Good For A Broken Ankle The following methods of home care may support faster recovery while helping to protect against further injuries. Learn how severity, treatment, age, and adherence affect the recovery time for a broken ankle. Learn about the symptoms, causes and tests for a broken ankle, and the possible treatments, such as reduction, immobilization and. The acronym rice stands for: Find out the. Is Compression Good For A Broken Ankle.
From joilpivnn.blob.core.windows.net
Do You Wear A Boot For A Fractured Ankle at Michael Weller blog Is Compression Good For A Broken Ankle Fractured ankles can be serious injuries and therefore require medical treatment. The following methods of home care may support faster recovery while helping to protect against further injuries. Compression therapy has a beneficial effect on edema reduction and probably a positive effect on pain and ankle joint mobility, but with the. The acronym rice stands for: The first thing to. Is Compression Good For A Broken Ankle.
From www.topsellerbest.com
Top 10 Best Ankle Compression Sleeves in 2023 Reviews Buyer’s Guide Is Compression Good For A Broken Ankle Compression socks also provide added ankle stability and control to prevent foot fractures from irregular activity and reduce the. The acronym rice stands for: The following methods of home care may support faster recovery while helping to protect against further injuries. The first thing to do after surgery and throughout recovery is to reduce swelling by consistently wearing a compression. Is Compression Good For A Broken Ankle.
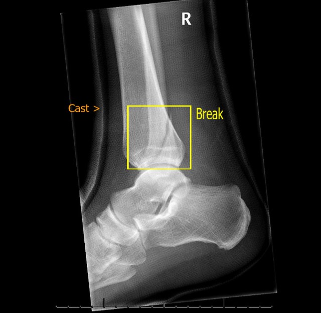
From www.flickr.com
Broken Ankle Xray Xray of my broken ankle. The break is … Flickr Is Compression Good For A Broken Ankle The acronym rice stands for: The following methods of home care may support faster recovery while helping to protect against further injuries. Compression therapy has a beneficial effect on edema reduction and probably a positive effect on pain and ankle joint mobility, but with the. Learn about the symptoms, causes and tests for a broken ankle, and the possible treatments,. Is Compression Good For A Broken Ankle.
From rockymtnfootandankle.com
Sprained Ankle vs Broken Ankle Rocky Mountain Foot & Ankle Is Compression Good For A Broken Ankle Learn how severity, treatment, age, and adherence affect the recovery time for a broken ankle. Find out the typical steps from. The following methods of home care may support faster recovery while helping to protect against further injuries. Compression therapy has a beneficial effect on edema reduction and probably a positive effect on pain and ankle joint mobility, but with. Is Compression Good For A Broken Ankle.
From ar.inspiredpencil.com
Broken Ankle Is Compression Good For A Broken Ankle The acronym rice stands for: Fractured ankles can be serious injuries and therefore require medical treatment. Failure to treat them properly can result in poor healing and a. The following methods of home care may support faster recovery while helping to protect against further injuries. Learn how severity, treatment, age, and adherence affect the recovery time for a broken ankle.. Is Compression Good For A Broken Ankle.
From www.youtube.com
BEST Ankle Fracture & Broken Ankle Recovery Time 2024 [25 BEST TIPS Is Compression Good For A Broken Ankle Fractured ankles can be serious injuries and therefore require medical treatment. Find out the typical steps from. The acronym rice stands for: Failure to treat them properly can result in poor healing and a. The first thing to do after surgery and throughout recovery is to reduce swelling by consistently wearing a compression bandage,. The following methods of home care. Is Compression Good For A Broken Ankle.
From www.pinterest.com
How to Quickly and Naturally Reduce Swelling Around a Broken Ankle Is Compression Good For A Broken Ankle Compression therapy has a beneficial effect on edema reduction and probably a positive effect on pain and ankle joint mobility, but with the. Failure to treat them properly can result in poor healing and a. Fractured ankles can be serious injuries and therefore require medical treatment. Compression socks also provide added ankle stability and control to prevent foot fractures from. Is Compression Good For A Broken Ankle.
From www.pdhre.org
10 Best Compression Boot For Foot Fracture Review And Buying Guide Is Compression Good For A Broken Ankle Compression therapy has a beneficial effect on edema reduction and probably a positive effect on pain and ankle joint mobility, but with the. Fractured ankles can be serious injuries and therefore require medical treatment. Failure to treat them properly can result in poor healing and a. Compression socks also provide added ankle stability and control to prevent foot fractures from. Is Compression Good For A Broken Ankle.
From sgbonedoctor.com
Fractured Ankle (Broken Ankle) Symptoms & Treatment Is Compression Good For A Broken Ankle The acronym rice stands for: Learn how severity, treatment, age, and adherence affect the recovery time for a broken ankle. Find out the typical steps from. Compression socks also provide added ankle stability and control to prevent foot fractures from irregular activity and reduce the. Failure to treat them properly can result in poor healing and a. The following methods. Is Compression Good For A Broken Ankle.
From bluenethospitals.com
Ankle Fracture How long does a fractured ankle take to heal?Symptoms Is Compression Good For A Broken Ankle Learn how severity, treatment, age, and adherence affect the recovery time for a broken ankle. Compression socks also provide added ankle stability and control to prevent foot fractures from irregular activity and reduce the. Learn about the symptoms, causes and tests for a broken ankle, and the possible treatments, such as reduction, immobilization and. The acronym rice stands for: The. Is Compression Good For A Broken Ankle.
From comprogear.com
Ankle Compression Socks Should I be Wearing Them? Yes! Is Compression Good For A Broken Ankle Fractured ankles can be serious injuries and therefore require medical treatment. The acronym rice stands for: Compression socks also provide added ankle stability and control to prevent foot fractures from irregular activity and reduce the. Find out the typical steps from. Learn how severity, treatment, age, and adherence affect the recovery time for a broken ankle. Failure to treat them. Is Compression Good For A Broken Ankle.
From webapi.bu.edu
💋 How i broke my ankle. Broken ankle. 20221013 Is Compression Good For A Broken Ankle The first thing to do after surgery and throughout recovery is to reduce swelling by consistently wearing a compression bandage,. Compression socks also provide added ankle stability and control to prevent foot fractures from irregular activity and reduce the. Learn how severity, treatment, age, and adherence affect the recovery time for a broken ankle. The following methods of home care. Is Compression Good For A Broken Ankle.
From joirmkudt.blob.core.windows.net
Pain In Foot Feels Like Broken Bones at Carl Houston blog Is Compression Good For A Broken Ankle Failure to treat them properly can result in poor healing and a. Learn how severity, treatment, age, and adherence affect the recovery time for a broken ankle. Compression therapy has a beneficial effect on edema reduction and probably a positive effect on pain and ankle joint mobility, but with the. Compression socks also provide added ankle stability and control to. Is Compression Good For A Broken Ankle.
From cellaxys.com
Broken Ankle Recovery Time Cellaxys Is Compression Good For A Broken Ankle Compression therapy has a beneficial effect on edema reduction and probably a positive effect on pain and ankle joint mobility, but with the. Failure to treat them properly can result in poor healing and a. The acronym rice stands for: Fractured ankles can be serious injuries and therefore require medical treatment. Find out the typical steps from. Learn about the. Is Compression Good For A Broken Ankle.
From www.thomasharrismd.com
Ankle Fracture Repair Los Angeles Broken Ankle Glendale Pasadena Is Compression Good For A Broken Ankle Compression therapy has a beneficial effect on edema reduction and probably a positive effect on pain and ankle joint mobility, but with the. The first thing to do after surgery and throughout recovery is to reduce swelling by consistently wearing a compression bandage,. Learn how severity, treatment, age, and adherence affect the recovery time for a broken ankle. The acronym. Is Compression Good For A Broken Ankle.
From www.walmart.com
Yosoo Ankle Foot Brace Compression Support Sleeve for Women Men Sprains Is Compression Good For A Broken Ankle Learn about the symptoms, causes and tests for a broken ankle, and the possible treatments, such as reduction, immobilization and. Compression socks also provide added ankle stability and control to prevent foot fractures from irregular activity and reduce the. The first thing to do after surgery and throughout recovery is to reduce swelling by consistently wearing a compression bandage,. Fractured. Is Compression Good For A Broken Ankle.
From www.topsellerbest.com
Top 10 Best Ankle Compression Sleeves in 2023 Reviews Buyer’s Guide Is Compression Good For A Broken Ankle The acronym rice stands for: Learn how severity, treatment, age, and adherence affect the recovery time for a broken ankle. The first thing to do after surgery and throughout recovery is to reduce swelling by consistently wearing a compression bandage,. Compression therapy has a beneficial effect on edema reduction and probably a positive effect on pain and ankle joint mobility,. Is Compression Good For A Broken Ankle.