Autoimmune Hepatitis Mri . The role of imaging in a patient with possible autoimmune hepatitis is threefold: Autoimmune hepatitis (aih) is a chronic inflammatory disease of the liver of unknown aetiology. Assessing the degree of inflammatory activity such as interface and lobular inflammation, which is not. To retrospectively evaluate the morphologic and enhancement features of the liver on magnetic. How do doctors diagnose autoimmune hepatitis? Liver histology is mandatory for the diagnosis of autoimmune hepatitis. Depending on the degree of liver injury, lab values may indicate depressed liver function (e.g. It is characterised by the. Read more about scans and imaging tests here. To exclude other possibilities of chronic hepatitis. Ct and mri scans can look at your liver in more detail.
from www.clinicalimaging.org
How do doctors diagnose autoimmune hepatitis? Liver histology is mandatory for the diagnosis of autoimmune hepatitis. The role of imaging in a patient with possible autoimmune hepatitis is threefold: Ct and mri scans can look at your liver in more detail. Assessing the degree of inflammatory activity such as interface and lobular inflammation, which is not. It is characterised by the. To retrospectively evaluate the morphologic and enhancement features of the liver on magnetic. Depending on the degree of liver injury, lab values may indicate depressed liver function (e.g. Read more about scans and imaging tests here. To exclude other possibilities of chronic hepatitis.
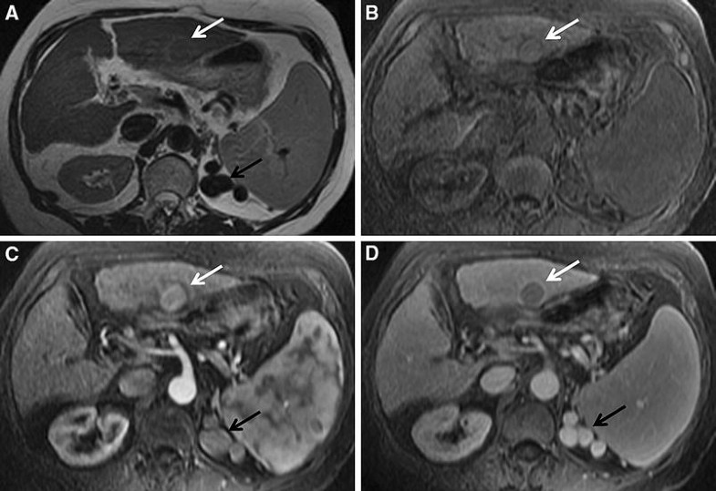
Autoimmune hepatitis in practice, from diagnosis to complications What
Autoimmune Hepatitis Mri Read more about scans and imaging tests here. Autoimmune hepatitis (aih) is a chronic inflammatory disease of the liver of unknown aetiology. Assessing the degree of inflammatory activity such as interface and lobular inflammation, which is not. To exclude other possibilities of chronic hepatitis. The role of imaging in a patient with possible autoimmune hepatitis is threefold: To retrospectively evaluate the morphologic and enhancement features of the liver on magnetic. Depending on the degree of liver injury, lab values may indicate depressed liver function (e.g. It is characterised by the. How do doctors diagnose autoimmune hepatitis? Read more about scans and imaging tests here. Ct and mri scans can look at your liver in more detail. Liver histology is mandatory for the diagnosis of autoimmune hepatitis.
From fg.bmj.com
Current concepts in the diagnosis and management of autoimmune Autoimmune Hepatitis Mri Liver histology is mandatory for the diagnosis of autoimmune hepatitis. The role of imaging in a patient with possible autoimmune hepatitis is threefold: Assessing the degree of inflammatory activity such as interface and lobular inflammation, which is not. How do doctors diagnose autoimmune hepatitis? Depending on the degree of liver injury, lab values may indicate depressed liver function (e.g. Autoimmune. Autoimmune Hepatitis Mri.
From thegidocs.com
Learn About Autoimmune Hepatitis The GI Docs Autoimmune Hepatitis Mri It is characterised by the. Liver histology is mandatory for the diagnosis of autoimmune hepatitis. To exclude other possibilities of chronic hepatitis. Ct and mri scans can look at your liver in more detail. How do doctors diagnose autoimmune hepatitis? Read more about scans and imaging tests here. The role of imaging in a patient with possible autoimmune hepatitis is. Autoimmune Hepatitis Mri.
From www.mdpi.com
Diagnostics Free FullText Parenchymal Extinction Mimicking Autoimmune Hepatitis Mri How do doctors diagnose autoimmune hepatitis? Read more about scans and imaging tests here. It is characterised by the. Liver histology is mandatory for the diagnosis of autoimmune hepatitis. Autoimmune hepatitis (aih) is a chronic inflammatory disease of the liver of unknown aetiology. Depending on the degree of liver injury, lab values may indicate depressed liver function (e.g. The role. Autoimmune Hepatitis Mri.
From www.sciencephoto.com
Autoimmune hepatitis, light micrograph Stock Image C001/7048 Autoimmune Hepatitis Mri Read more about scans and imaging tests here. To retrospectively evaluate the morphologic and enhancement features of the liver on magnetic. It is characterised by the. Liver histology is mandatory for the diagnosis of autoimmune hepatitis. Assessing the degree of inflammatory activity such as interface and lobular inflammation, which is not. To exclude other possibilities of chronic hepatitis. Depending on. Autoimmune Hepatitis Mri.
From clinicalgate.com
Autoimmune Hepatitis Clinical Gate Autoimmune Hepatitis Mri Ct and mri scans can look at your liver in more detail. The role of imaging in a patient with possible autoimmune hepatitis is threefold: Autoimmune hepatitis (aih) is a chronic inflammatory disease of the liver of unknown aetiology. It is characterised by the. How do doctors diagnose autoimmune hepatitis? Read more about scans and imaging tests here. Liver histology. Autoimmune Hepatitis Mri.
From radiologykey.com
Chronic hepatitis and liver cirrhosis Radiology Key Autoimmune Hepatitis Mri To retrospectively evaluate the morphologic and enhancement features of the liver on magnetic. Depending on the degree of liver injury, lab values may indicate depressed liver function (e.g. Read more about scans and imaging tests here. The role of imaging in a patient with possible autoimmune hepatitis is threefold: It is characterised by the. How do doctors diagnose autoimmune hepatitis?. Autoimmune Hepatitis Mri.
From europepmc.org
Multiparametric Resonance Imaging, Autoimmune Hepatitis, and Autoimmune Hepatitis Mri Autoimmune hepatitis (aih) is a chronic inflammatory disease of the liver of unknown aetiology. How do doctors diagnose autoimmune hepatitis? To retrospectively evaluate the morphologic and enhancement features of the liver on magnetic. It is characterised by the. Ct and mri scans can look at your liver in more detail. To exclude other possibilities of chronic hepatitis. Liver histology is. Autoimmune Hepatitis Mri.
From www.journal-of-hepatology.eu
Autoimmune hepatitis Possible triggers, potential treatments Journal Autoimmune Hepatitis Mri It is characterised by the. Ct and mri scans can look at your liver in more detail. Autoimmune hepatitis (aih) is a chronic inflammatory disease of the liver of unknown aetiology. To retrospectively evaluate the morphologic and enhancement features of the liver on magnetic. How do doctors diagnose autoimmune hepatitis? Assessing the degree of inflammatory activity such as interface and. Autoimmune Hepatitis Mri.
From liveratlas.org
Liver Atlas Case 83 Hepatitis, autoimmune Granulomatous hepatitis Autoimmune Hepatitis Mri How do doctors diagnose autoimmune hepatitis? The role of imaging in a patient with possible autoimmune hepatitis is threefold: Liver histology is mandatory for the diagnosis of autoimmune hepatitis. Read more about scans and imaging tests here. It is characterised by the. To retrospectively evaluate the morphologic and enhancement features of the liver on magnetic. Autoimmune hepatitis (aih) is a. Autoimmune Hepatitis Mri.
From www.researchgate.net
66yearold woman with cirrhosis secondary to autoimmune hepatitis and Autoimmune Hepatitis Mri To exclude other possibilities of chronic hepatitis. Depending on the degree of liver injury, lab values may indicate depressed liver function (e.g. Assessing the degree of inflammatory activity such as interface and lobular inflammation, which is not. To retrospectively evaluate the morphologic and enhancement features of the liver on magnetic. Autoimmune hepatitis (aih) is a chronic inflammatory disease of the. Autoimmune Hepatitis Mri.
From www.wikidoc.org
Autoimmune hepatitis MRI wikidoc Autoimmune Hepatitis Mri The role of imaging in a patient with possible autoimmune hepatitis is threefold: To retrospectively evaluate the morphologic and enhancement features of the liver on magnetic. Depending on the degree of liver injury, lab values may indicate depressed liver function (e.g. How do doctors diagnose autoimmune hepatitis? Autoimmune hepatitis (aih) is a chronic inflammatory disease of the liver of unknown. Autoimmune Hepatitis Mri.
From wikidoc.org
Autoimmune hepatitis MRI wikidoc Autoimmune Hepatitis Mri Liver histology is mandatory for the diagnosis of autoimmune hepatitis. How do doctors diagnose autoimmune hepatitis? It is characterised by the. To exclude other possibilities of chronic hepatitis. Ct and mri scans can look at your liver in more detail. The role of imaging in a patient with possible autoimmune hepatitis is threefold: Autoimmune hepatitis (aih) is a chronic inflammatory. Autoimmune Hepatitis Mri.
From link.springer.com
Imaging of autoimmune hepatitis and overlap syndromes SpringerLink Autoimmune Hepatitis Mri Read more about scans and imaging tests here. To exclude other possibilities of chronic hepatitis. Autoimmune hepatitis (aih) is a chronic inflammatory disease of the liver of unknown aetiology. To retrospectively evaluate the morphologic and enhancement features of the liver on magnetic. It is characterised by the. Assessing the degree of inflammatory activity such as interface and lobular inflammation, which. Autoimmune Hepatitis Mri.
From www.researchgate.net
(PDF) Myocardial performance in children with autoimmune hepatitis Autoimmune Hepatitis Mri Read more about scans and imaging tests here. Autoimmune hepatitis (aih) is a chronic inflammatory disease of the liver of unknown aetiology. To exclude other possibilities of chronic hepatitis. To retrospectively evaluate the morphologic and enhancement features of the liver on magnetic. Ct and mri scans can look at your liver in more detail. The role of imaging in a. Autoimmune Hepatitis Mri.
From link.springer.com
Autoimmune hepatitis CT and MR imaging features with histopathological Autoimmune Hepatitis Mri Ct and mri scans can look at your liver in more detail. Depending on the degree of liver injury, lab values may indicate depressed liver function (e.g. To retrospectively evaluate the morphologic and enhancement features of the liver on magnetic. To exclude other possibilities of chronic hepatitis. Liver histology is mandatory for the diagnosis of autoimmune hepatitis. Autoimmune hepatitis (aih). Autoimmune Hepatitis Mri.
From radiology-information.blogspot.com
Ultrasound Hepatitis Radiology Imaging Autoimmune Hepatitis Mri Depending on the degree of liver injury, lab values may indicate depressed liver function (e.g. Read more about scans and imaging tests here. It is characterised by the. Liver histology is mandatory for the diagnosis of autoimmune hepatitis. The role of imaging in a patient with possible autoimmune hepatitis is threefold: To retrospectively evaluate the morphologic and enhancement features of. Autoimmune Hepatitis Mri.
From www.frontiersin.org
Frontiers Case report A case of severe acute hepatitis of unknown origin Autoimmune Hepatitis Mri It is characterised by the. Depending on the degree of liver injury, lab values may indicate depressed liver function (e.g. Liver histology is mandatory for the diagnosis of autoimmune hepatitis. Autoimmune hepatitis (aih) is a chronic inflammatory disease of the liver of unknown aetiology. How do doctors diagnose autoimmune hepatitis? To retrospectively evaluate the morphologic and enhancement features of the. Autoimmune Hepatitis Mri.
From www.researchgate.net
MRI shows chronic hepatitis associated with hepatolithiasis (white Autoimmune Hepatitis Mri To exclude other possibilities of chronic hepatitis. How do doctors diagnose autoimmune hepatitis? Depending on the degree of liver injury, lab values may indicate depressed liver function (e.g. The role of imaging in a patient with possible autoimmune hepatitis is threefold: Ct and mri scans can look at your liver in more detail. Read more about scans and imaging tests. Autoimmune Hepatitis Mri.
From www.researchgate.net
(PDF) Multiparametric Resonance Imaging, Autoimmune Hepatitis Autoimmune Hepatitis Mri Ct and mri scans can look at your liver in more detail. Autoimmune hepatitis (aih) is a chronic inflammatory disease of the liver of unknown aetiology. It is characterised by the. Liver histology is mandatory for the diagnosis of autoimmune hepatitis. Read more about scans and imaging tests here. Assessing the degree of inflammatory activity such as interface and lobular. Autoimmune Hepatitis Mri.
From radiologykey.com
Viral Hepatitis Radiology Key Autoimmune Hepatitis Mri To exclude other possibilities of chronic hepatitis. Depending on the degree of liver injury, lab values may indicate depressed liver function (e.g. Read more about scans and imaging tests here. To retrospectively evaluate the morphologic and enhancement features of the liver on magnetic. It is characterised by the. Liver histology is mandatory for the diagnosis of autoimmune hepatitis. How do. Autoimmune Hepatitis Mri.
From basicmedicalkey.com
Autoimmune Hepatitis Basicmedical Key Autoimmune Hepatitis Mri How do doctors diagnose autoimmune hepatitis? It is characterised by the. Assessing the degree of inflammatory activity such as interface and lobular inflammation, which is not. The role of imaging in a patient with possible autoimmune hepatitis is threefold: Autoimmune hepatitis (aih) is a chronic inflammatory disease of the liver of unknown aetiology. To retrospectively evaluate the morphologic and enhancement. Autoimmune Hepatitis Mri.
From www.clinicalimaging.org
Autoimmune hepatitis in practice, from diagnosis to complications What Autoimmune Hepatitis Mri To exclude other possibilities of chronic hepatitis. Ct and mri scans can look at your liver in more detail. Depending on the degree of liver injury, lab values may indicate depressed liver function (e.g. Read more about scans and imaging tests here. How do doctors diagnose autoimmune hepatitis? Liver histology is mandatory for the diagnosis of autoimmune hepatitis. Assessing the. Autoimmune Hepatitis Mri.
From axisimagingnews.com
Diagnosing Autoimmune Hepatitis Via Imaging Axis Imaging News Autoimmune Hepatitis Mri It is characterised by the. The role of imaging in a patient with possible autoimmune hepatitis is threefold: Liver histology is mandatory for the diagnosis of autoimmune hepatitis. Ct and mri scans can look at your liver in more detail. Assessing the degree of inflammatory activity such as interface and lobular inflammation, which is not. How do doctors diagnose autoimmune. Autoimmune Hepatitis Mri.
From www.wjgnet.com
Case of autoimmune hepatitis with markedly enlarged hepatoduodenal Autoimmune Hepatitis Mri How do doctors diagnose autoimmune hepatitis? Liver histology is mandatory for the diagnosis of autoimmune hepatitis. To retrospectively evaluate the morphologic and enhancement features of the liver on magnetic. The role of imaging in a patient with possible autoimmune hepatitis is threefold: Autoimmune hepatitis (aih) is a chronic inflammatory disease of the liver of unknown aetiology. Ct and mri scans. Autoimmune Hepatitis Mri.
From www.robertgish.com
Quantitative resonance imaging to aid clinical decision making Autoimmune Hepatitis Mri To retrospectively evaluate the morphologic and enhancement features of the liver on magnetic. It is characterised by the. Depending on the degree of liver injury, lab values may indicate depressed liver function (e.g. Ct and mri scans can look at your liver in more detail. Autoimmune hepatitis (aih) is a chronic inflammatory disease of the liver of unknown aetiology. To. Autoimmune Hepatitis Mri.
From wikidoc.org
Autoimmune hepatitis MRI wikidoc Autoimmune Hepatitis Mri The role of imaging in a patient with possible autoimmune hepatitis is threefold: Depending on the degree of liver injury, lab values may indicate depressed liver function (e.g. How do doctors diagnose autoimmune hepatitis? To retrospectively evaluate the morphologic and enhancement features of the liver on magnetic. Read more about scans and imaging tests here. Autoimmune hepatitis (aih) is a. Autoimmune Hepatitis Mri.
From mariref.com
Autoimmune Hepatitis MARI REF Autoimmune Hepatitis Mri Ct and mri scans can look at your liver in more detail. To exclude other possibilities of chronic hepatitis. The role of imaging in a patient with possible autoimmune hepatitis is threefold: Depending on the degree of liver injury, lab values may indicate depressed liver function (e.g. To retrospectively evaluate the morphologic and enhancement features of the liver on magnetic.. Autoimmune Hepatitis Mri.
From radiologykey.com
Viral Hepatitis Radiology Key Autoimmune Hepatitis Mri Autoimmune hepatitis (aih) is a chronic inflammatory disease of the liver of unknown aetiology. How do doctors diagnose autoimmune hepatitis? Read more about scans and imaging tests here. Ct and mri scans can look at your liver in more detail. To exclude other possibilities of chronic hepatitis. Assessing the degree of inflammatory activity such as interface and lobular inflammation, which. Autoimmune Hepatitis Mri.
From www.wjgnet.com
resonance elastography is accurate in detecting advanced Autoimmune Hepatitis Mri Assessing the degree of inflammatory activity such as interface and lobular inflammation, which is not. The role of imaging in a patient with possible autoimmune hepatitis is threefold: Depending on the degree of liver injury, lab values may indicate depressed liver function (e.g. Liver histology is mandatory for the diagnosis of autoimmune hepatitis. Autoimmune hepatitis (aih) is a chronic inflammatory. Autoimmune Hepatitis Mri.
From www.clinicalimaging.org
Autoimmune hepatitis in practice, from diagnosis to complications What Autoimmune Hepatitis Mri To retrospectively evaluate the morphologic and enhancement features of the liver on magnetic. To exclude other possibilities of chronic hepatitis. Assessing the degree of inflammatory activity such as interface and lobular inflammation, which is not. Ct and mri scans can look at your liver in more detail. Read more about scans and imaging tests here. Depending on the degree of. Autoimmune Hepatitis Mri.
From appliedradiology.com
Autoimmune Hepatitis • APPLIED RADIOLOGY Autoimmune Hepatitis Mri Depending on the degree of liver injury, lab values may indicate depressed liver function (e.g. Autoimmune hepatitis (aih) is a chronic inflammatory disease of the liver of unknown aetiology. It is characterised by the. Liver histology is mandatory for the diagnosis of autoimmune hepatitis. Assessing the degree of inflammatory activity such as interface and lobular inflammation, which is not. How. Autoimmune Hepatitis Mri.
From www.cureus.com
Cureus The Role of Hepatocellular Carcinoma Surveillance in Autoimmune Hepatitis Mri To exclude other possibilities of chronic hepatitis. Depending on the degree of liver injury, lab values may indicate depressed liver function (e.g. How do doctors diagnose autoimmune hepatitis? The role of imaging in a patient with possible autoimmune hepatitis is threefold: It is characterised by the. Read more about scans and imaging tests here. Liver histology is mandatory for the. Autoimmune Hepatitis Mri.
From www.wikidoc.org
Autoimmune hepatitis CT wikidoc Autoimmune Hepatitis Mri Ct and mri scans can look at your liver in more detail. It is characterised by the. The role of imaging in a patient with possible autoimmune hepatitis is threefold: To exclude other possibilities of chronic hepatitis. Depending on the degree of liver injury, lab values may indicate depressed liver function (e.g. To retrospectively evaluate the morphologic and enhancement features. Autoimmune Hepatitis Mri.
From www.yashodahospitals.com
Autoimmune hepatitis symptoms, causes and treatment Autoimmune Hepatitis Mri It is characterised by the. Ct and mri scans can look at your liver in more detail. Assessing the degree of inflammatory activity such as interface and lobular inflammation, which is not. Liver histology is mandatory for the diagnosis of autoimmune hepatitis. The role of imaging in a patient with possible autoimmune hepatitis is threefold: Depending on the degree of. Autoimmune Hepatitis Mri.
From radiopaedia.org
Autoimmune hepatitis Image Autoimmune Hepatitis Mri Depending on the degree of liver injury, lab values may indicate depressed liver function (e.g. Autoimmune hepatitis (aih) is a chronic inflammatory disease of the liver of unknown aetiology. Ct and mri scans can look at your liver in more detail. Assessing the degree of inflammatory activity such as interface and lobular inflammation, which is not. How do doctors diagnose. Autoimmune Hepatitis Mri.