Chest X Ray Markings . Lines are usually less than 1 mm in width and are. In fact every radiologst should be an expert in chest film reading. On a cxr the most common pattern is reticular. An interstitial lung pattern is a regular descriptive term used when reporting a plain chest radiograph.
from www.bmj.com
An interstitial lung pattern is a regular descriptive term used when reporting a plain chest radiograph. Lines are usually less than 1 mm in width and are. In fact every radiologst should be an expert in chest film reading. On a cxr the most common pattern is reticular.
The role of chest radiography in confirming covid19 pneumonia The BMJ
Chest X Ray Markings In fact every radiologst should be an expert in chest film reading. An interstitial lung pattern is a regular descriptive term used when reporting a plain chest radiograph. Lines are usually less than 1 mm in width and are. On a cxr the most common pattern is reticular. In fact every radiologst should be an expert in chest film reading.
From fyofblwuj.blob.core.windows.net
Normal Chest X Ray Markings at Norman Ellis blog Chest X Ray Markings On a cxr the most common pattern is reticular. In fact every radiologst should be an expert in chest film reading. Lines are usually less than 1 mm in width and are. An interstitial lung pattern is a regular descriptive term used when reporting a plain chest radiograph. Chest X Ray Markings.
From fyodxywhx.blob.core.windows.net
Chest X Ray Jewellery at Mary Raap blog Chest X Ray Markings An interstitial lung pattern is a regular descriptive term used when reporting a plain chest radiograph. Lines are usually less than 1 mm in width and are. On a cxr the most common pattern is reticular. In fact every radiologst should be an expert in chest film reading. Chest X Ray Markings.
From openi.nlm.nih.gov
Chest Xray shows prominent bronchovascular markings Chest X Ray Markings An interstitial lung pattern is a regular descriptive term used when reporting a plain chest radiograph. On a cxr the most common pattern is reticular. Lines are usually less than 1 mm in width and are. In fact every radiologst should be an expert in chest film reading. Chest X Ray Markings.
From fyofblwuj.blob.core.windows.net
Normal Chest X Ray Markings at Norman Ellis blog Chest X Ray Markings Lines are usually less than 1 mm in width and are. In fact every radiologst should be an expert in chest film reading. On a cxr the most common pattern is reticular. An interstitial lung pattern is a regular descriptive term used when reporting a plain chest radiograph. Chest X Ray Markings.
From www.researchgate.net
A normal PA chest Xray demonstrating the normal anatomy. Download Chest X Ray Markings An interstitial lung pattern is a regular descriptive term used when reporting a plain chest radiograph. On a cxr the most common pattern is reticular. In fact every radiologst should be an expert in chest film reading. Lines are usually less than 1 mm in width and are. Chest X Ray Markings.
From fyofblwuj.blob.core.windows.net
Normal Chest X Ray Markings at Norman Ellis blog Chest X Ray Markings An interstitial lung pattern is a regular descriptive term used when reporting a plain chest radiograph. Lines are usually less than 1 mm in width and are. In fact every radiologst should be an expert in chest film reading. On a cxr the most common pattern is reticular. Chest X Ray Markings.
From fyofblwuj.blob.core.windows.net
Normal Chest X Ray Markings at Norman Ellis blog Chest X Ray Markings On a cxr the most common pattern is reticular. An interstitial lung pattern is a regular descriptive term used when reporting a plain chest radiograph. Lines are usually less than 1 mm in width and are. In fact every radiologst should be an expert in chest film reading. Chest X Ray Markings.
From ppemedical.com
Basic Chest XRay Interpretation Tips and pointers to see it all! Chest X Ray Markings On a cxr the most common pattern is reticular. Lines are usually less than 1 mm in width and are. In fact every radiologst should be an expert in chest film reading. An interstitial lung pattern is a regular descriptive term used when reporting a plain chest radiograph. Chest X Ray Markings.
From www.researchgate.net
Chest radiograph (PA view) showing prominent bronchovascular markings Chest X Ray Markings Lines are usually less than 1 mm in width and are. On a cxr the most common pattern is reticular. In fact every radiologst should be an expert in chest film reading. An interstitial lung pattern is a regular descriptive term used when reporting a plain chest radiograph. Chest X Ray Markings.
From medschool.co
Loss of Lung Markings Chest XRay MedSchool Chest X Ray Markings On a cxr the most common pattern is reticular. Lines are usually less than 1 mm in width and are. An interstitial lung pattern is a regular descriptive term used when reporting a plain chest radiograph. In fact every radiologst should be an expert in chest film reading. Chest X Ray Markings.
From quarterfile5.gitlab.io
Beautiful How To Check X Ray Report Of Chest Write Incident Chest X Ray Markings Lines are usually less than 1 mm in width and are. In fact every radiologst should be an expert in chest film reading. On a cxr the most common pattern is reticular. An interstitial lung pattern is a regular descriptive term used when reporting a plain chest radiograph. Chest X Ray Markings.
From geekymedics.com
Pneumothorax Geeky Medics Chest X Ray Markings An interstitial lung pattern is a regular descriptive term used when reporting a plain chest radiograph. Lines are usually less than 1 mm in width and are. On a cxr the most common pattern is reticular. In fact every radiologst should be an expert in chest film reading. Chest X Ray Markings.
From www.researchgate.net
Chest xray (prominent broncho vascular markings with focal infiltrates Chest X Ray Markings On a cxr the most common pattern is reticular. In fact every radiologst should be an expert in chest film reading. An interstitial lung pattern is a regular descriptive term used when reporting a plain chest radiograph. Lines are usually less than 1 mm in width and are. Chest X Ray Markings.
From fyorxvcst.blob.core.windows.net
Chest X Ray Nice Guidelines at Charles Napier blog Chest X Ray Markings Lines are usually less than 1 mm in width and are. An interstitial lung pattern is a regular descriptive term used when reporting a plain chest radiograph. In fact every radiologst should be an expert in chest film reading. On a cxr the most common pattern is reticular. Chest X Ray Markings.
From www.researchgate.net
Chest Xray showing increased bronchovascular markings in right Chest X Ray Markings On a cxr the most common pattern is reticular. Lines are usually less than 1 mm in width and are. An interstitial lung pattern is a regular descriptive term used when reporting a plain chest radiograph. In fact every radiologst should be an expert in chest film reading. Chest X Ray Markings.
From www.researchgate.net
Chest radiograph showing increased lung markings in the right lower Chest X Ray Markings On a cxr the most common pattern is reticular. Lines are usually less than 1 mm in width and are. An interstitial lung pattern is a regular descriptive term used when reporting a plain chest radiograph. In fact every radiologst should be an expert in chest film reading. Chest X Ray Markings.
From asmedland.blogspot.com
MEDLAND MARKINGS CHEST X RAY Chest X Ray Markings Lines are usually less than 1 mm in width and are. An interstitial lung pattern is a regular descriptive term used when reporting a plain chest radiograph. On a cxr the most common pattern is reticular. In fact every radiologst should be an expert in chest film reading. Chest X Ray Markings.
From calgaryguide.ucalgary.ca
COPD Findings on PosteriorAnterior and Lateral Chest Xray Findings Chest X Ray Markings On a cxr the most common pattern is reticular. Lines are usually less than 1 mm in width and are. An interstitial lung pattern is a regular descriptive term used when reporting a plain chest radiograph. In fact every radiologst should be an expert in chest film reading. Chest X Ray Markings.
From www.bmj.com
The role of chest radiography in confirming covid19 pneumonia The BMJ Chest X Ray Markings Lines are usually less than 1 mm in width and are. In fact every radiologst should be an expert in chest film reading. On a cxr the most common pattern is reticular. An interstitial lung pattern is a regular descriptive term used when reporting a plain chest radiograph. Chest X Ray Markings.
From animalia-life.club
Normal Chest X Ray Images Chest X Ray Markings In fact every radiologst should be an expert in chest film reading. On a cxr the most common pattern is reticular. Lines are usually less than 1 mm in width and are. An interstitial lung pattern is a regular descriptive term used when reporting a plain chest radiograph. Chest X Ray Markings.
From mavink.com
Increased Lung Markings On Chest X Ray Chest X Ray Markings In fact every radiologst should be an expert in chest film reading. Lines are usually less than 1 mm in width and are. An interstitial lung pattern is a regular descriptive term used when reporting a plain chest radiograph. On a cxr the most common pattern is reticular. Chest X Ray Markings.
From www.researchgate.net
Chest Xray showing increased interstitial markings suggestive of Chest X Ray Markings An interstitial lung pattern is a regular descriptive term used when reporting a plain chest radiograph. Lines are usually less than 1 mm in width and are. On a cxr the most common pattern is reticular. In fact every radiologst should be an expert in chest film reading. Chest X Ray Markings.
From medschool.co
Loss of Lung Markings Chest XRay MedSchool Chest X Ray Markings An interstitial lung pattern is a regular descriptive term used when reporting a plain chest radiograph. In fact every radiologst should be an expert in chest film reading. On a cxr the most common pattern is reticular. Lines are usually less than 1 mm in width and are. Chest X Ray Markings.
From www.cureus.com
Bilateral Hemopneumothorax in COVID19 Cureus Chest X Ray Markings On a cxr the most common pattern is reticular. In fact every radiologst should be an expert in chest film reading. An interstitial lung pattern is a regular descriptive term used when reporting a plain chest radiograph. Lines are usually less than 1 mm in width and are. Chest X Ray Markings.
From mungfali.com
Lung Markings On Chest X Ray Chest X Ray Markings In fact every radiologst should be an expert in chest film reading. Lines are usually less than 1 mm in width and are. An interstitial lung pattern is a regular descriptive term used when reporting a plain chest radiograph. On a cxr the most common pattern is reticular. Chest X Ray Markings.
From dxokigkxh.blob.core.windows.net
Chest XRay Examination Single View Frontal Cpt Code at Carl Kyle blog Chest X Ray Markings On a cxr the most common pattern is reticular. In fact every radiologst should be an expert in chest film reading. An interstitial lung pattern is a regular descriptive term used when reporting a plain chest radiograph. Lines are usually less than 1 mm in width and are. Chest X Ray Markings.
From mavink.com
Perihilar Markings On Chest X Ray Chest X Ray Markings Lines are usually less than 1 mm in width and are. An interstitial lung pattern is a regular descriptive term used when reporting a plain chest radiograph. In fact every radiologst should be an expert in chest film reading. On a cxr the most common pattern is reticular. Chest X Ray Markings.
From www.emergencymedicinekenya.org
Parts of a Chest XRay Emergency Medicine Kenya Foundation Chest X Ray Markings An interstitial lung pattern is a regular descriptive term used when reporting a plain chest radiograph. Lines are usually less than 1 mm in width and are. On a cxr the most common pattern is reticular. In fact every radiologst should be an expert in chest film reading. Chest X Ray Markings.
From medschool.co
Interstitial Changes Chest XRay MedSchool Chest X Ray Markings On a cxr the most common pattern is reticular. An interstitial lung pattern is a regular descriptive term used when reporting a plain chest radiograph. Lines are usually less than 1 mm in width and are. In fact every radiologst should be an expert in chest film reading. Chest X Ray Markings.
From www.pinterest.com
Chest xr Radiology, Medical anatomy, Radiology imaging Chest X Ray Markings Lines are usually less than 1 mm in width and are. In fact every radiologst should be an expert in chest film reading. On a cxr the most common pattern is reticular. An interstitial lung pattern is a regular descriptive term used when reporting a plain chest radiograph. Chest X Ray Markings.
From www.researchgate.net
Chest xray showing interstitial lung edema with Kerley B Lines Chest X Ray Markings In fact every radiologst should be an expert in chest film reading. An interstitial lung pattern is a regular descriptive term used when reporting a plain chest radiograph. Lines are usually less than 1 mm in width and are. On a cxr the most common pattern is reticular. Chest X Ray Markings.
From www.researchgate.net
Chest PA shows increased bronchial marking and nodular opacities with Chest X Ray Markings Lines are usually less than 1 mm in width and are. On a cxr the most common pattern is reticular. In fact every radiologst should be an expert in chest film reading. An interstitial lung pattern is a regular descriptive term used when reporting a plain chest radiograph. Chest X Ray Markings.
From www.researchgate.net
Chest radiography showing increased reticular markings and areas of Chest X Ray Markings Lines are usually less than 1 mm in width and are. On a cxr the most common pattern is reticular. An interstitial lung pattern is a regular descriptive term used when reporting a plain chest radiograph. In fact every radiologst should be an expert in chest film reading. Chest X Ray Markings.
From mavink.com
Perihilar Markings On Chest X Ray Chest X Ray Markings Lines are usually less than 1 mm in width and are. On a cxr the most common pattern is reticular. In fact every radiologst should be an expert in chest film reading. An interstitial lung pattern is a regular descriptive term used when reporting a plain chest radiograph. Chest X Ray Markings.
From openpress.usask.ca
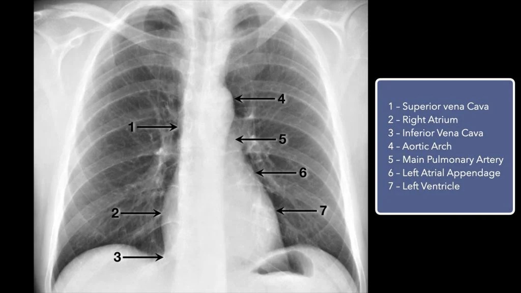
Normal, Labelled, Chest xray, with Cardiovascular Structures Chest X Ray Markings An interstitial lung pattern is a regular descriptive term used when reporting a plain chest radiograph. On a cxr the most common pattern is reticular. Lines are usually less than 1 mm in width and are. In fact every radiologst should be an expert in chest film reading. Chest X Ray Markings.