Folded Lenses Stuck . Getting a contact lens stuck in your eye happens very occasionally and can be uncomfortable and irritating. The contact lens will eventually fall out. The following tips may help: Use a steady stream of sterile saline, multipurpose contact lens solution, or contact lens rewetting drops to irrigate the stuck contact and your eye for a few seconds. Corneal abrasions, scratches on the cornea, can occur if you incorrectly remove a lens. But it is possible for a contact lens to dislodge and move off center, become folded, or end up “lost” under an eyelid. Your lens is fully centered on your cornea. A common reason for lenses getting. The lens has probably already dried out. If your contact lens is stuck, keep the following tips in mind: To safely remove a stuck soft contact lens, wet your eyes, blink frequently, and massage your upper eyelid until the lens starts. If you can’t locate your contact lens, try applying some rewetting drops to your eye and blinking repeatedly. If you should get a contact lens stuck in your eyes, it is important to not panic. To remove the lens you should first wash your hand carefully and relax the eyelid and see if you can feel the lens through the eyelid. Don't try to pry the lens off.
from www.yahoo.com
If you should get a contact lens stuck in your eyes, it is important to not panic. The following tips may help: Corneal abrasions, scratches on the cornea, can occur if you incorrectly remove a lens. But it is possible for a contact lens to dislodge and move off center, become folded, or end up “lost” under an eyelid. To safely remove a stuck soft contact lens, wet your eyes, blink frequently, and massage your upper eyelid until the lens starts. The lens has probably already dried out. The contact lens will eventually fall out. Don't try to pry the lens off. Getting a contact lens stuck in your eye happens very occasionally and can be uncomfortable and irritating. If your contact lens is stuck, keep the following tips in mind:
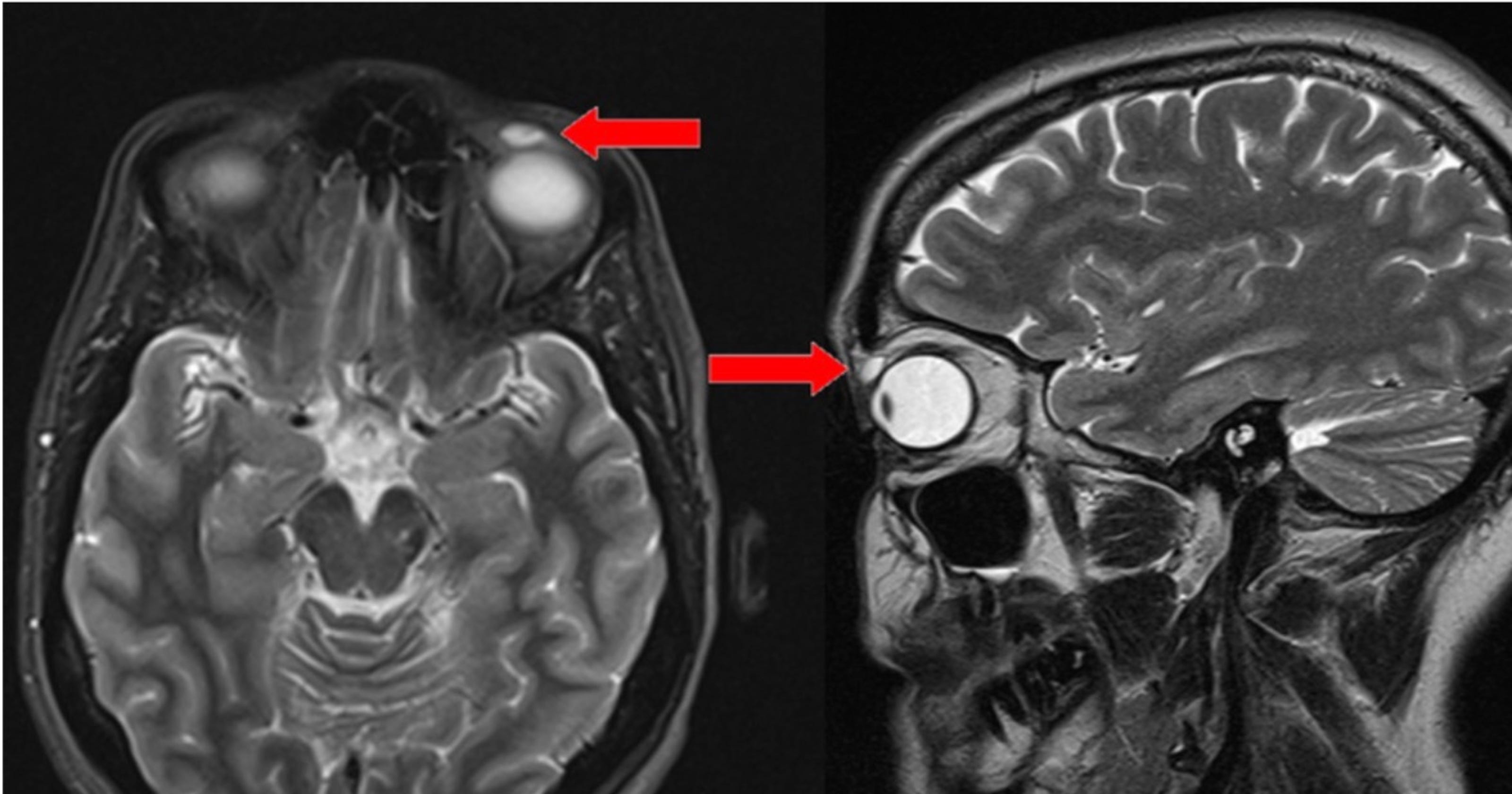
Woman Had 23 Contact Lenses Stuck Under Her Eyelid, Doctor Says
Folded Lenses Stuck Your lens is fully centered on your cornea. But it is possible for a contact lens to dislodge and move off center, become folded, or end up “lost” under an eyelid. If your contact lens is stuck, keep the following tips in mind: To safely remove a stuck soft contact lens, wet your eyes, blink frequently, and massage your upper eyelid until the lens starts. Your lens is fully centered on your cornea. The contact lens will eventually fall out. Getting a contact lens stuck in your eye happens very occasionally and can be uncomfortable and irritating. If you can’t locate your contact lens, try applying some rewetting drops to your eye and blinking repeatedly. A common reason for lenses getting. Don't try to pry the lens off. Corneal abrasions, scratches on the cornea, can occur if you incorrectly remove a lens. Use a steady stream of sterile saline, multipurpose contact lens solution, or contact lens rewetting drops to irrigate the stuck contact and your eye for a few seconds. If you should get a contact lens stuck in your eyes, it is important to not panic. The following tips may help: To remove the lens you should first wash your hand carefully and relax the eyelid and see if you can feel the lens through the eyelid. The lens has probably already dried out.
From nypost.com
Video shows doctor removing 23 contacts from woman's eye Folded Lenses Stuck To safely remove a stuck soft contact lens, wet your eyes, blink frequently, and massage your upper eyelid until the lens starts. The following tips may help: To remove the lens you should first wash your hand carefully and relax the eyelid and see if you can feel the lens through the eyelid. Getting a contact lens stuck in your. Folded Lenses Stuck.
From www.youtube.com
Contact lens stuck in eyelid for 28 years TomoNews YouTube Folded Lenses Stuck If your contact lens is stuck, keep the following tips in mind: If you can’t locate your contact lens, try applying some rewetting drops to your eye and blinking repeatedly. But it is possible for a contact lens to dislodge and move off center, become folded, or end up “lost” under an eyelid. Use a steady stream of sterile saline,. Folded Lenses Stuck.
From twitter.com
Anne on Twitter "Doctors discovered 27 contact lenses stuck in this Folded Lenses Stuck The contact lens will eventually fall out. If you can’t locate your contact lens, try applying some rewetting drops to your eye and blinking repeatedly. Corneal abrasions, scratches on the cornea, can occur if you incorrectly remove a lens. Your lens is fully centered on your cornea. To remove the lens you should first wash your hand carefully and relax. Folded Lenses Stuck.
From says.com
Doctors Find 27 Contact Lenses Stuck In This Woman's Eye Folded Lenses Stuck To safely remove a stuck soft contact lens, wet your eyes, blink frequently, and massage your upper eyelid until the lens starts. The following tips may help: If you should get a contact lens stuck in your eyes, it is important to not panic. If you can’t locate your contact lens, try applying some rewetting drops to your eye and. Folded Lenses Stuck.
From www.blogarama.com
How to Remove Stuck Contact Lenses Folded Lenses Stuck The following tips may help: But it is possible for a contact lens to dislodge and move off center, become folded, or end up “lost” under an eyelid. Your lens is fully centered on your cornea. Corneal abrasions, scratches on the cornea, can occur if you incorrectly remove a lens. Getting a contact lens stuck in your eye happens very. Folded Lenses Stuck.
From www.audacy.com
California Eye Associates Contact Lenses Stuck Removed Folded Lenses Stuck Corneal abrasions, scratches on the cornea, can occur if you incorrectly remove a lens. A common reason for lenses getting. The lens has probably already dried out. The following tips may help: Don't try to pry the lens off. If you should get a contact lens stuck in your eyes, it is important to not panic. Your lens is fully. Folded Lenses Stuck.
From www.anabelmagazine.com
Viral video Doctor removes 23 contact lenses stuck in patient's eye Folded Lenses Stuck To safely remove a stuck soft contact lens, wet your eyes, blink frequently, and massage your upper eyelid until the lens starts. Use a steady stream of sterile saline, multipurpose contact lens solution, or contact lens rewetting drops to irrigate the stuck contact and your eye for a few seconds. A common reason for lenses getting. Corneal abrasions, scratches on. Folded Lenses Stuck.
From uk.style.yahoo.com
Woman has a contact lens stuck in her eye for 28 years Folded Lenses Stuck If your contact lens is stuck, keep the following tips in mind: The lens has probably already dried out. The following tips may help: A common reason for lenses getting. Don't try to pry the lens off. To remove the lens you should first wash your hand carefully and relax the eyelid and see if you can feel the lens. Folded Lenses Stuck.
From www.usatoday.com
Contact lens stuck in woman's eye for 28 years, British doctors report Folded Lenses Stuck The following tips may help: Your lens is fully centered on your cornea. Use a steady stream of sterile saline, multipurpose contact lens solution, or contact lens rewetting drops to irrigate the stuck contact and your eye for a few seconds. To remove the lens you should first wash your hand carefully and relax the eyelid and see if you. Folded Lenses Stuck.
From exoadxuch.blob.core.windows.net
Dropped Camera Lens Stuck at Micheal Clark blog Folded Lenses Stuck To safely remove a stuck soft contact lens, wet your eyes, blink frequently, and massage your upper eyelid until the lens starts. Corneal abrasions, scratches on the cornea, can occur if you incorrectly remove a lens. But it is possible for a contact lens to dislodge and move off center, become folded, or end up “lost” under an eyelid. The. Folded Lenses Stuck.
From www.contactlenses4us.com
Can a Contact Lens Break in Your Eye? Blog Folded Lenses Stuck But it is possible for a contact lens to dislodge and move off center, become folded, or end up “lost” under an eyelid. If your contact lens is stuck, keep the following tips in mind: Don't try to pry the lens off. The following tips may help: If you can’t locate your contact lens, try applying some rewetting drops to. Folded Lenses Stuck.
From www.warbyparker.com
How to Remove a Contact Lens Stuck in Your Eye Warby Parker Folded Lenses Stuck To safely remove a stuck soft contact lens, wet your eyes, blink frequently, and massage your upper eyelid until the lens starts. But it is possible for a contact lens to dislodge and move off center, become folded, or end up “lost” under an eyelid. Getting a contact lens stuck in your eye happens very occasionally and can be uncomfortable. Folded Lenses Stuck.
From www.slideserve.com
PPT The ‘Normal’ Eye PowerPoint Presentation, free download ID4825514 Folded Lenses Stuck Your lens is fully centered on your cornea. To remove the lens you should first wash your hand carefully and relax the eyelid and see if you can feel the lens through the eyelid. The following tips may help: But it is possible for a contact lens to dislodge and move off center, become folded, or end up “lost” under. Folded Lenses Stuck.
From exoadxuch.blob.core.windows.net
Dropped Camera Lens Stuck at Micheal Clark blog Folded Lenses Stuck A common reason for lenses getting. If your contact lens is stuck, keep the following tips in mind: Use a steady stream of sterile saline, multipurpose contact lens solution, or contact lens rewetting drops to irrigate the stuck contact and your eye for a few seconds. To remove the lens you should first wash your hand carefully and relax the. Folded Lenses Stuck.
From changecominon.blogspot.com
Contact Lens Stuck In Eye change comin Folded Lenses Stuck Use a steady stream of sterile saline, multipurpose contact lens solution, or contact lens rewetting drops to irrigate the stuck contact and your eye for a few seconds. The following tips may help: A common reason for lenses getting. If you should get a contact lens stuck in your eyes, it is important to not panic. If you can’t locate. Folded Lenses Stuck.
From todaydailytimes.com
The doctor removed 23 contact lenses stuck in the eye Folded Lenses Stuck Your lens is fully centered on your cornea. A common reason for lenses getting. The contact lens will eventually fall out. If you should get a contact lens stuck in your eyes, it is important to not panic. Use a steady stream of sterile saline, multipurpose contact lens solution, or contact lens rewetting drops to irrigate the stuck contact and. Folded Lenses Stuck.
From www.youtube.com
Stuck Contact Lens Watch This First Contacts Stuck in Eye YouTube Folded Lenses Stuck A common reason for lenses getting. Your lens is fully centered on your cornea. But it is possible for a contact lens to dislodge and move off center, become folded, or end up “lost” under an eyelid. If you should get a contact lens stuck in your eyes, it is important to not panic. To safely remove a stuck soft. Folded Lenses Stuck.
From www.healthing.ca
Case study Woman had 27 contact lenses in one eye Healthing.ca Folded Lenses Stuck If your contact lens is stuck, keep the following tips in mind: To remove the lens you should first wash your hand carefully and relax the eyelid and see if you can feel the lens through the eyelid. A common reason for lenses getting. Your lens is fully centered on your cornea. If you can’t locate your contact lens, try. Folded Lenses Stuck.
From www.visiondirect.co.uk
Can a contact lens get stuck behind my eye? Vision Direct UK Folded Lenses Stuck Use a steady stream of sterile saline, multipurpose contact lens solution, or contact lens rewetting drops to irrigate the stuck contact and your eye for a few seconds. The contact lens will eventually fall out. If you can’t locate your contact lens, try applying some rewetting drops to your eye and blinking repeatedly. If your contact lens is stuck, keep. Folded Lenses Stuck.
From www.warbyparker.com
How to Remove a Contact Lens Stuck in Your Eye Warby Parker Folded Lenses Stuck The following tips may help: If you can’t locate your contact lens, try applying some rewetting drops to your eye and blinking repeatedly. Use a steady stream of sterile saline, multipurpose contact lens solution, or contact lens rewetting drops to irrigate the stuck contact and your eye for a few seconds. Getting a contact lens stuck in your eye happens. Folded Lenses Stuck.
From www.independent.co.uk
Doctors find 27 contact lenses stuck in eye of patient awaiting Folded Lenses Stuck Don't try to pry the lens off. If your contact lens is stuck, keep the following tips in mind: To safely remove a stuck soft contact lens, wet your eyes, blink frequently, and massage your upper eyelid until the lens starts. The following tips may help: But it is possible for a contact lens to dislodge and move off center,. Folded Lenses Stuck.
From thebuzz.iheart.com
VIDEO… Woman Had 23 Contact Lenses Stuck in Her Eye 94.5 The Buzz Folded Lenses Stuck Getting a contact lens stuck in your eye happens very occasionally and can be uncomfortable and irritating. A common reason for lenses getting. If you should get a contact lens stuck in your eyes, it is important to not panic. The lens has probably already dried out. But it is possible for a contact lens to dislodge and move off. Folded Lenses Stuck.
From www.eyefacts.com
Contact Lens Stuck In Eye? What Should You Do? eyeFACTS Folded Lenses Stuck Corneal abrasions, scratches on the cornea, can occur if you incorrectly remove a lens. The lens has probably already dried out. To safely remove a stuck soft contact lens, wet your eyes, blink frequently, and massage your upper eyelid until the lens starts. To remove the lens you should first wash your hand carefully and relax the eyelid and see. Folded Lenses Stuck.
From www.commercialappeal.com
Contact lens stuck in woman's eye for 28 years, British doctors report Folded Lenses Stuck The contact lens will eventually fall out. Use a steady stream of sterile saline, multipurpose contact lens solution, or contact lens rewetting drops to irrigate the stuck contact and your eye for a few seconds. If your contact lens is stuck, keep the following tips in mind: To remove the lens you should first wash your hand carefully and relax. Folded Lenses Stuck.
From www.youtube.com
Never Get Stuck Again A Simple Trick to Easily Remove Contact Lenses Folded Lenses Stuck A common reason for lenses getting. Your lens is fully centered on your cornea. The contact lens will eventually fall out. Don't try to pry the lens off. Getting a contact lens stuck in your eye happens very occasionally and can be uncomfortable and irritating. If you can’t locate your contact lens, try applying some rewetting drops to your eye. Folded Lenses Stuck.
From www.sdpuo.com
How to Tell if Your Contact Lens is Stuck in Your Eye A StepbyStep Folded Lenses Stuck Don't try to pry the lens off. If you should get a contact lens stuck in your eyes, it is important to not panic. But it is possible for a contact lens to dislodge and move off center, become folded, or end up “lost” under an eyelid. Your lens is fully centered on your cornea. Use a steady stream of. Folded Lenses Stuck.
From www.lenspure.com
Safety First How to Remove a Stuck Contact Lens the Right Way LensPure Folded Lenses Stuck The contact lens will eventually fall out. To remove the lens you should first wash your hand carefully and relax the eyelid and see if you can feel the lens through the eyelid. A common reason for lenses getting. Your lens is fully centered on your cornea. But it is possible for a contact lens to dislodge and move off. Folded Lenses Stuck.
From timesofindia.indiatimes.com
What to do when contact lens gets stuck in your eye Times of India Folded Lenses Stuck If you should get a contact lens stuck in your eyes, it is important to not panic. If you can’t locate your contact lens, try applying some rewetting drops to your eye and blinking repeatedly. Use a steady stream of sterile saline, multipurpose contact lens solution, or contact lens rewetting drops to irrigate the stuck contact and your eye for. Folded Lenses Stuck.
From www.wdbo.com
Surgeon removes 27 contact lenses stuck in woman’s eye WDBO Folded Lenses Stuck Getting a contact lens stuck in your eye happens very occasionally and can be uncomfortable and irritating. Corneal abrasions, scratches on the cornea, can occur if you incorrectly remove a lens. A common reason for lenses getting. But it is possible for a contact lens to dislodge and move off center, become folded, or end up “lost” under an eyelid.. Folded Lenses Stuck.
From www.refinery29.com
27 Contact Lenses Stuck Woman's Eye Putting In Contacts Folded Lenses Stuck The contact lens will eventually fall out. If your contact lens is stuck, keep the following tips in mind: A common reason for lenses getting. To remove the lens you should first wash your hand carefully and relax the eyelid and see if you can feel the lens through the eyelid. Getting a contact lens stuck in your eye happens. Folded Lenses Stuck.
From forum.facmedicine.com
The Truth Behind The 27 Contact Lenses Stuck In The Patient’s Eye Folded Lenses Stuck To remove the lens you should first wash your hand carefully and relax the eyelid and see if you can feel the lens through the eyelid. Your lens is fully centered on your cornea. If you can’t locate your contact lens, try applying some rewetting drops to your eye and blinking repeatedly. If your contact lens is stuck, keep the. Folded Lenses Stuck.
From www.youtube.com
Contact Lens Stuck In Eye For 30 Years YouTube Folded Lenses Stuck The contact lens will eventually fall out. To remove the lens you should first wash your hand carefully and relax the eyelid and see if you can feel the lens through the eyelid. Use a steady stream of sterile saline, multipurpose contact lens solution, or contact lens rewetting drops to irrigate the stuck contact and your eye for a few. Folded Lenses Stuck.
From www.yahoo.com
Woman Had 23 Contact Lenses Stuck Under Her Eyelid, Doctor Says Folded Lenses Stuck A common reason for lenses getting. But it is possible for a contact lens to dislodge and move off center, become folded, or end up “lost” under an eyelid. If you can’t locate your contact lens, try applying some rewetting drops to your eye and blinking repeatedly. To safely remove a stuck soft contact lens, wet your eyes, blink frequently,. Folded Lenses Stuck.
From www.nvisioncenters.com
How to Safely Remove a Contact Lens Stuck in Your Eye Folded Lenses Stuck To safely remove a stuck soft contact lens, wet your eyes, blink frequently, and massage your upper eyelid until the lens starts. To remove the lens you should first wash your hand carefully and relax the eyelid and see if you can feel the lens through the eyelid. If you can’t locate your contact lens, try applying some rewetting drops. Folded Lenses Stuck.
From www.sightconnection.org
How To Safely Remove A Contact Lens Stuck In Your Eye sightconnection Folded Lenses Stuck The lens has probably already dried out. To safely remove a stuck soft contact lens, wet your eyes, blink frequently, and massage your upper eyelid until the lens starts. If your contact lens is stuck, keep the following tips in mind: Use a steady stream of sterile saline, multipurpose contact lens solution, or contact lens rewetting drops to irrigate the. Folded Lenses Stuck.