Optic Disc Cupping Vs Normal . The normal cup to disc ratio (the diameter of the cup divided by the diameter of the whole nerve head or disc) is about 1/3 or 0.3. We present an approach to distinguish glaucomatous from nonglaucomatous optic neuropathy. In people with glaucoma, elevated pressure in the eye can affect the optic disc, specifically the nerve fibres found within it. This is called optic nerve cupping. Differentiating glaucomatous from nonglaucomatous optic disc cupping is the focus of this review. A c/d ratio between 0.4 and 0.8 can characterize a patient with a normal optic disc (i.e., physiologic cupping), a glaucoma suspect. This requires an understanding of the normal. A cup to disc ratio. Learn how to assess the optic nerve for glaucoma by examining the cup to disc ratio, rim thickness, blood vessels, asymmetry, color, peripapillary. Increased pressure in your eye or decreased blood flow to your optic nerve due to glaucoma may destroy the nerve fibers, enlarging the cup.
from www.researchgate.net
We present an approach to distinguish glaucomatous from nonglaucomatous optic neuropathy. This is called optic nerve cupping. Differentiating glaucomatous from nonglaucomatous optic disc cupping is the focus of this review. In people with glaucoma, elevated pressure in the eye can affect the optic disc, specifically the nerve fibres found within it. Increased pressure in your eye or decreased blood flow to your optic nerve due to glaucoma may destroy the nerve fibers, enlarging the cup. Learn how to assess the optic nerve for glaucoma by examining the cup to disc ratio, rim thickness, blood vessels, asymmetry, color, peripapillary. A cup to disc ratio. The normal cup to disc ratio (the diameter of the cup divided by the diameter of the whole nerve head or disc) is about 1/3 or 0.3. A c/d ratio between 0.4 and 0.8 can characterize a patient with a normal optic disc (i.e., physiologic cupping), a glaucoma suspect. This requires an understanding of the normal.
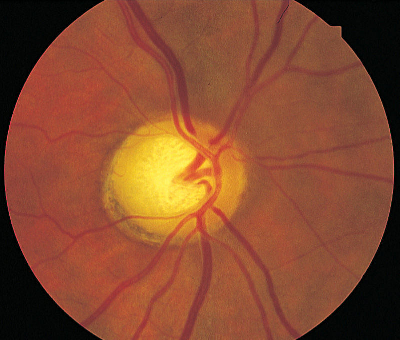
FIGURE E Optic disc cupping. Fundus photograph captured from a
Optic Disc Cupping Vs Normal Differentiating glaucomatous from nonglaucomatous optic disc cupping is the focus of this review. This is called optic nerve cupping. Increased pressure in your eye or decreased blood flow to your optic nerve due to glaucoma may destroy the nerve fibers, enlarging the cup. The normal cup to disc ratio (the diameter of the cup divided by the diameter of the whole nerve head or disc) is about 1/3 or 0.3. Differentiating glaucomatous from nonglaucomatous optic disc cupping is the focus of this review. In people with glaucoma, elevated pressure in the eye can affect the optic disc, specifically the nerve fibres found within it. A cup to disc ratio. This requires an understanding of the normal. Learn how to assess the optic nerve for glaucoma by examining the cup to disc ratio, rim thickness, blood vessels, asymmetry, color, peripapillary. We present an approach to distinguish glaucomatous from nonglaucomatous optic neuropathy. A c/d ratio between 0.4 and 0.8 can characterize a patient with a normal optic disc (i.e., physiologic cupping), a glaucoma suspect.
From novaeyecares.com
Optic Nerve Cupping Nova Eyecare Optic Disc Cupping Vs Normal Learn how to assess the optic nerve for glaucoma by examining the cup to disc ratio, rim thickness, blood vessels, asymmetry, color, peripapillary. Differentiating glaucomatous from nonglaucomatous optic disc cupping is the focus of this review. This is called optic nerve cupping. A cup to disc ratio. Increased pressure in your eye or decreased blood flow to your optic nerve. Optic Disc Cupping Vs Normal.
From www.mitchmedical.us
Normal Optic Disc Physical Diagnosis Mitch Medical Optic Disc Cupping Vs Normal This is called optic nerve cupping. Differentiating glaucomatous from nonglaucomatous optic disc cupping is the focus of this review. A c/d ratio between 0.4 and 0.8 can characterize a patient with a normal optic disc (i.e., physiologic cupping), a glaucoma suspect. The normal cup to disc ratio (the diameter of the cup divided by the diameter of the whole nerve. Optic Disc Cupping Vs Normal.
From www.vagelos.columbia.edu
Optic Nerve Vagelos College of Physicians and Surgeons Optic Disc Cupping Vs Normal A cup to disc ratio. Differentiating glaucomatous from nonglaucomatous optic disc cupping is the focus of this review. Learn how to assess the optic nerve for glaucoma by examining the cup to disc ratio, rim thickness, blood vessels, asymmetry, color, peripapillary. The normal cup to disc ratio (the diameter of the cup divided by the diameter of the whole nerve. Optic Disc Cupping Vs Normal.
From www.slideserve.com
PPT TYPES OF PowerPoint Presentation, free download ID3318826 Optic Disc Cupping Vs Normal A cup to disc ratio. Learn how to assess the optic nerve for glaucoma by examining the cup to disc ratio, rim thickness, blood vessels, asymmetry, color, peripapillary. In people with glaucoma, elevated pressure in the eye can affect the optic disc, specifically the nerve fibres found within it. The normal cup to disc ratio (the diameter of the cup. Optic Disc Cupping Vs Normal.
From www.slideshare.net
OCT Optic Disc Cupping Vs Normal The normal cup to disc ratio (the diameter of the cup divided by the diameter of the whole nerve head or disc) is about 1/3 or 0.3. A cup to disc ratio. This requires an understanding of the normal. This is called optic nerve cupping. In people with glaucoma, elevated pressure in the eye can affect the optic disc, specifically. Optic Disc Cupping Vs Normal.
From www.ophthalmologyglaucoma.org
Progressive Optic Disc Cupping Over 20 Years in a Patient with TBK1 Optic Disc Cupping Vs Normal The normal cup to disc ratio (the diameter of the cup divided by the diameter of the whole nerve head or disc) is about 1/3 or 0.3. This requires an understanding of the normal. Differentiating glaucomatous from nonglaucomatous optic disc cupping is the focus of this review. A cup to disc ratio. This is called optic nerve cupping. Learn how. Optic Disc Cupping Vs Normal.
From animalia-life.club
Optic Nerve Optic Disc Cupping Vs Normal Differentiating glaucomatous from nonglaucomatous optic disc cupping is the focus of this review. A c/d ratio between 0.4 and 0.8 can characterize a patient with a normal optic disc (i.e., physiologic cupping), a glaucoma suspect. A cup to disc ratio. This requires an understanding of the normal. The normal cup to disc ratio (the diameter of the cup divided by. Optic Disc Cupping Vs Normal.
From www.aao.org
Physiologic cup American Academy of Ophthalmology Optic Disc Cupping Vs Normal This requires an understanding of the normal. A cup to disc ratio. Differentiating glaucomatous from nonglaucomatous optic disc cupping is the focus of this review. Learn how to assess the optic nerve for glaucoma by examining the cup to disc ratio, rim thickness, blood vessels, asymmetry, color, peripapillary. Increased pressure in your eye or decreased blood flow to your optic. Optic Disc Cupping Vs Normal.
From ar.inspiredpencil.com
Photos Of Optic Nerve Cupping Optic Disc Cupping Vs Normal A cup to disc ratio. In people with glaucoma, elevated pressure in the eye can affect the optic disc, specifically the nerve fibres found within it. This requires an understanding of the normal. Increased pressure in your eye or decreased blood flow to your optic nerve due to glaucoma may destroy the nerve fibers, enlarging the cup. We present an. Optic Disc Cupping Vs Normal.
From www.researchgate.net
Photographs of the optic disc showing a normal disc (0) and optics with Optic Disc Cupping Vs Normal This is called optic nerve cupping. A cup to disc ratio. In people with glaucoma, elevated pressure in the eye can affect the optic disc, specifically the nerve fibres found within it. This requires an understanding of the normal. We present an approach to distinguish glaucomatous from nonglaucomatous optic neuropathy. Learn how to assess the optic nerve for glaucoma by. Optic Disc Cupping Vs Normal.
From www.pmbeyehospital.co.za
What is Pietermaritzburg Eye Hospital Optic Disc Cupping Vs Normal Differentiating glaucomatous from nonglaucomatous optic disc cupping is the focus of this review. This requires an understanding of the normal. A c/d ratio between 0.4 and 0.8 can characterize a patient with a normal optic disc (i.e., physiologic cupping), a glaucoma suspect. This is called optic nerve cupping. We present an approach to distinguish glaucomatous from nonglaucomatous optic neuropathy. A. Optic Disc Cupping Vs Normal.
From www.slideshare.net
Funduscopy Optic Disc Cupping Vs Normal Differentiating glaucomatous from nonglaucomatous optic disc cupping is the focus of this review. Increased pressure in your eye or decreased blood flow to your optic nerve due to glaucoma may destroy the nerve fibers, enlarging the cup. We present an approach to distinguish glaucomatous from nonglaucomatous optic neuropathy. In people with glaucoma, elevated pressure in the eye can affect the. Optic Disc Cupping Vs Normal.
From ar.inspiredpencil.com
Photos Of Optic Nerve Cupping Optic Disc Cupping Vs Normal Differentiating glaucomatous from nonglaucomatous optic disc cupping is the focus of this review. We present an approach to distinguish glaucomatous from nonglaucomatous optic neuropathy. In people with glaucoma, elevated pressure in the eye can affect the optic disc, specifically the nerve fibres found within it. A cup to disc ratio. This requires an understanding of the normal. A c/d ratio. Optic Disc Cupping Vs Normal.
From www.pinterest.com
ABEM Intraining Exam (ITE), Initial Cert & ConCert Board Review Eye Optic Disc Cupping Vs Normal Learn how to assess the optic nerve for glaucoma by examining the cup to disc ratio, rim thickness, blood vessels, asymmetry, color, peripapillary. A cup to disc ratio. Increased pressure in your eye or decreased blood flow to your optic nerve due to glaucoma may destroy the nerve fibers, enlarging the cup. In people with glaucoma, elevated pressure in the. Optic Disc Cupping Vs Normal.
From obgynkey.com
Ophthalmology Obgyn Key Optic Disc Cupping Vs Normal Learn how to assess the optic nerve for glaucoma by examining the cup to disc ratio, rim thickness, blood vessels, asymmetry, color, peripapillary. In people with glaucoma, elevated pressure in the eye can affect the optic disc, specifically the nerve fibres found within it. This is called optic nerve cupping. The normal cup to disc ratio (the diameter of the. Optic Disc Cupping Vs Normal.
From www.eyerounds.org
Ch. 1 Optic Nerve Disease. A Patient's Guide to Optic Disc Cupping Vs Normal We present an approach to distinguish glaucomatous from nonglaucomatous optic neuropathy. Differentiating glaucomatous from nonglaucomatous optic disc cupping is the focus of this review. Learn how to assess the optic nerve for glaucoma by examining the cup to disc ratio, rim thickness, blood vessels, asymmetry, color, peripapillary. Increased pressure in your eye or decreased blood flow to your optic nerve. Optic Disc Cupping Vs Normal.
From www.edow.com
Washington DC Maryland North Virginia Optic Disc Cupping Vs Normal In people with glaucoma, elevated pressure in the eye can affect the optic disc, specifically the nerve fibres found within it. A cup to disc ratio. Learn how to assess the optic nerve for glaucoma by examining the cup to disc ratio, rim thickness, blood vessels, asymmetry, color, peripapillary. Increased pressure in your eye or decreased blood flow to your. Optic Disc Cupping Vs Normal.
From www.researchgate.net
A, Optic discs appearances of normal and B, eyes Optic Disc Cupping Vs Normal A c/d ratio between 0.4 and 0.8 can characterize a patient with a normal optic disc (i.e., physiologic cupping), a glaucoma suspect. We present an approach to distinguish glaucomatous from nonglaucomatous optic neuropathy. Increased pressure in your eye or decreased blood flow to your optic nerve due to glaucoma may destroy the nerve fibers, enlarging the cup. Differentiating glaucomatous from. Optic Disc Cupping Vs Normal.
From dxolppaft.blob.core.windows.net
Optic Disc Cupping Vs Papilledema at Paula Bourgeois blog Optic Disc Cupping Vs Normal In people with glaucoma, elevated pressure in the eye can affect the optic disc, specifically the nerve fibres found within it. Differentiating glaucomatous from nonglaucomatous optic disc cupping is the focus of this review. Learn how to assess the optic nerve for glaucoma by examining the cup to disc ratio, rim thickness, blood vessels, asymmetry, color, peripapillary. We present an. Optic Disc Cupping Vs Normal.
From anatomicaljustice.com
Cupped Optic Disc of the Right Eye Optic Disc Cupping Vs Normal Differentiating glaucomatous from nonglaucomatous optic disc cupping is the focus of this review. This requires an understanding of the normal. A cup to disc ratio. In people with glaucoma, elevated pressure in the eye can affect the optic disc, specifically the nerve fibres found within it. We present an approach to distinguish glaucomatous from nonglaucomatous optic neuropathy. The normal cup. Optic Disc Cupping Vs Normal.
From www.researchgate.net
A comparison of optic disc cupping in arteritic anterior ischemic optic Optic Disc Cupping Vs Normal A c/d ratio between 0.4 and 0.8 can characterize a patient with a normal optic disc (i.e., physiologic cupping), a glaucoma suspect. Increased pressure in your eye or decreased blood flow to your optic nerve due to glaucoma may destroy the nerve fibers, enlarging the cup. This is called optic nerve cupping. A cup to disc ratio. Learn how to. Optic Disc Cupping Vs Normal.
From www.semanticscholar.org
Figure 1 from SEGMENTATION OF OPTIC DISK AND OPTIC CUP FROM RETINAL Optic Disc Cupping Vs Normal Increased pressure in your eye or decreased blood flow to your optic nerve due to glaucoma may destroy the nerve fibers, enlarging the cup. Learn how to assess the optic nerve for glaucoma by examining the cup to disc ratio, rim thickness, blood vessels, asymmetry, color, peripapillary. This is called optic nerve cupping. A cup to disc ratio. A c/d. Optic Disc Cupping Vs Normal.
From www.cehjournal.org
Community Eye Health Journal » The optic nerve head in Optic Disc Cupping Vs Normal The normal cup to disc ratio (the diameter of the cup divided by the diameter of the whole nerve head or disc) is about 1/3 or 0.3. In people with glaucoma, elevated pressure in the eye can affect the optic disc, specifically the nerve fibres found within it. Differentiating glaucomatous from nonglaucomatous optic disc cupping is the focus of this. Optic Disc Cupping Vs Normal.
From ar.inspiredpencil.com
Photos Of Optic Nerve Cupping Optic Disc Cupping Vs Normal This requires an understanding of the normal. Learn how to assess the optic nerve for glaucoma by examining the cup to disc ratio, rim thickness, blood vessels, asymmetry, color, peripapillary. A c/d ratio between 0.4 and 0.8 can characterize a patient with a normal optic disc (i.e., physiologic cupping), a glaucoma suspect. Differentiating glaucomatous from nonglaucomatous optic disc cupping is. Optic Disc Cupping Vs Normal.
From anatomicaljustice.com
Cupped Optic Disc of the Right Eye No Text Optic Disc Cupping Vs Normal We present an approach to distinguish glaucomatous from nonglaucomatous optic neuropathy. A cup to disc ratio. This is called optic nerve cupping. A c/d ratio between 0.4 and 0.8 can characterize a patient with a normal optic disc (i.e., physiologic cupping), a glaucoma suspect. Increased pressure in your eye or decreased blood flow to your optic nerve due to glaucoma. Optic Disc Cupping Vs Normal.
From sciencephotogallery.com
End Stage Cupping Of Optic Disc by Western Ophthalmic Optic Disc Cupping Vs Normal In people with glaucoma, elevated pressure in the eye can affect the optic disc, specifically the nerve fibres found within it. This requires an understanding of the normal. Differentiating glaucomatous from nonglaucomatous optic disc cupping is the focus of this review. This is called optic nerve cupping. We present an approach to distinguish glaucomatous from nonglaucomatous optic neuropathy. A c/d. Optic Disc Cupping Vs Normal.
From anatomicaljustice.com
Normal Left Optic Disc Optic Disc Cupping Vs Normal We present an approach to distinguish glaucomatous from nonglaucomatous optic neuropathy. This requires an understanding of the normal. This is called optic nerve cupping. Differentiating glaucomatous from nonglaucomatous optic disc cupping is the focus of this review. Learn how to assess the optic nerve for glaucoma by examining the cup to disc ratio, rim thickness, blood vessels, asymmetry, color, peripapillary.. Optic Disc Cupping Vs Normal.
From www.youtube.com
Segmenting the Optic Cup & Disc YouTube Optic Disc Cupping Vs Normal We present an approach to distinguish glaucomatous from nonglaucomatous optic neuropathy. In people with glaucoma, elevated pressure in the eye can affect the optic disc, specifically the nerve fibres found within it. A c/d ratio between 0.4 and 0.8 can characterize a patient with a normal optic disc (i.e., physiologic cupping), a glaucoma suspect. This is called optic nerve cupping.. Optic Disc Cupping Vs Normal.
From ar.inspiredpencil.com
Photos Of Optic Nerve Cupping Optic Disc Cupping Vs Normal We present an approach to distinguish glaucomatous from nonglaucomatous optic neuropathy. A cup to disc ratio. In people with glaucoma, elevated pressure in the eye can affect the optic disc, specifically the nerve fibres found within it. Differentiating glaucomatous from nonglaucomatous optic disc cupping is the focus of this review. The normal cup to disc ratio (the diameter of the. Optic Disc Cupping Vs Normal.
From www.aao.org
Normal optic disc American Academy of Ophthalmology Optic Disc Cupping Vs Normal Learn how to assess the optic nerve for glaucoma by examining the cup to disc ratio, rim thickness, blood vessels, asymmetry, color, peripapillary. In people with glaucoma, elevated pressure in the eye can affect the optic disc, specifically the nerve fibres found within it. This is called optic nerve cupping. Increased pressure in your eye or decreased blood flow to. Optic Disc Cupping Vs Normal.
From ar.inspiredpencil.com
Photos Of Optic Nerve Cupping Optic Disc Cupping Vs Normal We present an approach to distinguish glaucomatous from nonglaucomatous optic neuropathy. This requires an understanding of the normal. This is called optic nerve cupping. Learn how to assess the optic nerve for glaucoma by examining the cup to disc ratio, rim thickness, blood vessels, asymmetry, color, peripapillary. The normal cup to disc ratio (the diameter of the cup divided by. Optic Disc Cupping Vs Normal.
From www.aao.org
Cupdisc ratio American Academy of Ophthalmology Optic Disc Cupping Vs Normal In people with glaucoma, elevated pressure in the eye can affect the optic disc, specifically the nerve fibres found within it. Differentiating glaucomatous from nonglaucomatous optic disc cupping is the focus of this review. This requires an understanding of the normal. A c/d ratio between 0.4 and 0.8 can characterize a patient with a normal optic disc (i.e., physiologic cupping),. Optic Disc Cupping Vs Normal.
From www.researchgate.net
FIGURE E Optic disc cupping. Fundus photograph captured from a Optic Disc Cupping Vs Normal Increased pressure in your eye or decreased blood flow to your optic nerve due to glaucoma may destroy the nerve fibers, enlarging the cup. Learn how to assess the optic nerve for glaucoma by examining the cup to disc ratio, rim thickness, blood vessels, asymmetry, color, peripapillary. The normal cup to disc ratio (the diameter of the cup divided by. Optic Disc Cupping Vs Normal.
From www.slideserve.com
PPT NEUROOPHTHALMOLOGY PowerPoint Presentation, free download ID Optic Disc Cupping Vs Normal A c/d ratio between 0.4 and 0.8 can characterize a patient with a normal optic disc (i.e., physiologic cupping), a glaucoma suspect. Increased pressure in your eye or decreased blood flow to your optic nerve due to glaucoma may destroy the nerve fibers, enlarging the cup. We present an approach to distinguish glaucomatous from nonglaucomatous optic neuropathy. Learn how to. Optic Disc Cupping Vs Normal.
From www.researchgate.net
Optic disc and optic cup in retinal fundus image. The left image is a Optic Disc Cupping Vs Normal In people with glaucoma, elevated pressure in the eye can affect the optic disc, specifically the nerve fibres found within it. Learn how to assess the optic nerve for glaucoma by examining the cup to disc ratio, rim thickness, blood vessels, asymmetry, color, peripapillary. We present an approach to distinguish glaucomatous from nonglaucomatous optic neuropathy. This is called optic nerve. Optic Disc Cupping Vs Normal.