What Is A Rectal Duplication Cyst . The majority of duplication cysts are symptomatic within the. duplications are frequently intimately attached to some portion of the gi tract. Intestinal duplication cyst occurs when there is an abnormal development of intestinal. gastrointestinal tract duplication cysts are rare congenital gastrointestinal malformation in young patients and adults. what is intestinal duplication cyst? the general approach to rectal duplications involves transanal exposure of the cyst, incision of the posterior rectal. duplication cysts are rare congenital anomalies of the alimentary tract. rectal duplication cysts are extremely rare. In most cases, they occur in childhood, with rectal bleeding, rectal pain, painful.
from www.researchgate.net
what is intestinal duplication cyst? gastrointestinal tract duplication cysts are rare congenital gastrointestinal malformation in young patients and adults. Intestinal duplication cyst occurs when there is an abnormal development of intestinal. duplications are frequently intimately attached to some portion of the gi tract. the general approach to rectal duplications involves transanal exposure of the cyst, incision of the posterior rectal. In most cases, they occur in childhood, with rectal bleeding, rectal pain, painful. duplication cysts are rare congenital anomalies of the alimentary tract. rectal duplication cysts are extremely rare. The majority of duplication cysts are symptomatic within the.
(PDF) An unusual presentation of a rectal duplication cyst
What Is A Rectal Duplication Cyst Intestinal duplication cyst occurs when there is an abnormal development of intestinal. the general approach to rectal duplications involves transanal exposure of the cyst, incision of the posterior rectal. The majority of duplication cysts are symptomatic within the. gastrointestinal tract duplication cysts are rare congenital gastrointestinal malformation in young patients and adults. duplication cysts are rare congenital anomalies of the alimentary tract. duplications are frequently intimately attached to some portion of the gi tract. In most cases, they occur in childhood, with rectal bleeding, rectal pain, painful. what is intestinal duplication cyst? Intestinal duplication cyst occurs when there is an abnormal development of intestinal. rectal duplication cysts are extremely rare.
From pdfslide.net
(PDF) A Long Rectal Duplication Cyst in an Adult Cadaver A Rare · Gross pelvic dissection What Is A Rectal Duplication Cyst rectal duplication cysts are extremely rare. the general approach to rectal duplications involves transanal exposure of the cyst, incision of the posterior rectal. In most cases, they occur in childhood, with rectal bleeding, rectal pain, painful. what is intestinal duplication cyst? gastrointestinal tract duplication cysts are rare congenital gastrointestinal malformation in young patients and adults. Intestinal. What Is A Rectal Duplication Cyst.
From www.researchgate.net
Axial CT, duplication cyst on right with wide communication with rectum... Download Scientific What Is A Rectal Duplication Cyst The majority of duplication cysts are symptomatic within the. gastrointestinal tract duplication cysts are rare congenital gastrointestinal malformation in young patients and adults. duplication cysts are rare congenital anomalies of the alimentary tract. duplications are frequently intimately attached to some portion of the gi tract. rectal duplication cysts are extremely rare. what is intestinal duplication. What Is A Rectal Duplication Cyst.
From www.researchgate.net
(PDF) Rectal Duplication Cyst Presenting as Perianal Sepsis Report of Two Cases and Review of What Is A Rectal Duplication Cyst what is intestinal duplication cyst? the general approach to rectal duplications involves transanal exposure of the cyst, incision of the posterior rectal. In most cases, they occur in childhood, with rectal bleeding, rectal pain, painful. The majority of duplication cysts are symptomatic within the. gastrointestinal tract duplication cysts are rare congenital gastrointestinal malformation in young patients and. What Is A Rectal Duplication Cyst.
From www.researchgate.net
(PDF) Endoscopic muscularis excavation of a rectal duplication cyst What Is A Rectal Duplication Cyst In most cases, they occur in childhood, with rectal bleeding, rectal pain, painful. what is intestinal duplication cyst? Intestinal duplication cyst occurs when there is an abnormal development of intestinal. gastrointestinal tract duplication cysts are rare congenital gastrointestinal malformation in young patients and adults. rectal duplication cysts are extremely rare. duplications are frequently intimately attached to. What Is A Rectal Duplication Cyst.
From www.ncbi.nlm.nih.gov
Fig. 15.9, [Duplication cysts represent closed congenital...]. Diseases of the Abdomen and What Is A Rectal Duplication Cyst what is intestinal duplication cyst? duplications are frequently intimately attached to some portion of the gi tract. gastrointestinal tract duplication cysts are rare congenital gastrointestinal malformation in young patients and adults. The majority of duplication cysts are symptomatic within the. the general approach to rectal duplications involves transanal exposure of the cyst, incision of the posterior. What Is A Rectal Duplication Cyst.
From pubs.rsna.org
Nongynecologic Findings Seen at Pelvic US RadioGraphics What Is A Rectal Duplication Cyst Intestinal duplication cyst occurs when there is an abnormal development of intestinal. the general approach to rectal duplications involves transanal exposure of the cyst, incision of the posterior rectal. duplications are frequently intimately attached to some portion of the gi tract. gastrointestinal tract duplication cysts are rare congenital gastrointestinal malformation in young patients and adults. duplication. What Is A Rectal Duplication Cyst.
From www.indianradiology.com
Perirectal CystDifferentials Sumer's Radiology Blog What Is A Rectal Duplication Cyst duplications are frequently intimately attached to some portion of the gi tract. In most cases, they occur in childhood, with rectal bleeding, rectal pain, painful. Intestinal duplication cyst occurs when there is an abnormal development of intestinal. gastrointestinal tract duplication cysts are rare congenital gastrointestinal malformation in young patients and adults. rectal duplication cysts are extremely rare.. What Is A Rectal Duplication Cyst.
From www.slideserve.com
PPT Retroperitoenal enterogenous cyst with colonic duplication cyst PowerPoint Presentation What Is A Rectal Duplication Cyst Intestinal duplication cyst occurs when there is an abnormal development of intestinal. the general approach to rectal duplications involves transanal exposure of the cyst, incision of the posterior rectal. gastrointestinal tract duplication cysts are rare congenital gastrointestinal malformation in young patients and adults. rectal duplication cysts are extremely rare. what is intestinal duplication cyst? duplications. What Is A Rectal Duplication Cyst.
From animalia-life.club
Perirectal Cyst What Is A Rectal Duplication Cyst In most cases, they occur in childhood, with rectal bleeding, rectal pain, painful. gastrointestinal tract duplication cysts are rare congenital gastrointestinal malformation in young patients and adults. the general approach to rectal duplications involves transanal exposure of the cyst, incision of the posterior rectal. rectal duplication cysts are extremely rare. what is intestinal duplication cyst? Intestinal. What Is A Rectal Duplication Cyst.
From roentgenrayreader.blogspot.com
Roentgen Ray Reader Enteric Duplication Cyst What Is A Rectal Duplication Cyst Intestinal duplication cyst occurs when there is an abnormal development of intestinal. the general approach to rectal duplications involves transanal exposure of the cyst, incision of the posterior rectal. The majority of duplication cysts are symptomatic within the. rectal duplication cysts are extremely rare. duplication cysts are rare congenital anomalies of the alimentary tract. what is. What Is A Rectal Duplication Cyst.
From surgicalcasereports.springeropen.com
An unusual rectal duplication cyst Surgical Case Reports Full Text What Is A Rectal Duplication Cyst Intestinal duplication cyst occurs when there is an abnormal development of intestinal. The majority of duplication cysts are symptomatic within the. In most cases, they occur in childhood, with rectal bleeding, rectal pain, painful. what is intestinal duplication cyst? duplication cysts are rare congenital anomalies of the alimentary tract. duplications are frequently intimately attached to some portion. What Is A Rectal Duplication Cyst.
From onlinelibrary.wiley.com
Robot‐assisted excision of rectal duplication cysts A case report Kitazono 2022 Clinical What Is A Rectal Duplication Cyst duplication cysts are rare congenital anomalies of the alimentary tract. the general approach to rectal duplications involves transanal exposure of the cyst, incision of the posterior rectal. duplications are frequently intimately attached to some portion of the gi tract. In most cases, they occur in childhood, with rectal bleeding, rectal pain, painful. Intestinal duplication cyst occurs when. What Is A Rectal Duplication Cyst.
From www.academia.edu
(PDF) Rectal duplication cyst with divarication of recti and urinary retention in a neonate What Is A Rectal Duplication Cyst Intestinal duplication cyst occurs when there is an abnormal development of intestinal. what is intestinal duplication cyst? In most cases, they occur in childhood, with rectal bleeding, rectal pain, painful. rectal duplication cysts are extremely rare. duplication cysts are rare congenital anomalies of the alimentary tract. gastrointestinal tract duplication cysts are rare congenital gastrointestinal malformation in. What Is A Rectal Duplication Cyst.
From www.jpedsurg.org
Laparoscopic excision of a newborn rectal duplication cyst Journal of Pediatric Surgery What Is A Rectal Duplication Cyst the general approach to rectal duplications involves transanal exposure of the cyst, incision of the posterior rectal. what is intestinal duplication cyst? gastrointestinal tract duplication cysts are rare congenital gastrointestinal malformation in young patients and adults. Intestinal duplication cyst occurs when there is an abnormal development of intestinal. rectal duplication cysts are extremely rare. duplication. What Is A Rectal Duplication Cyst.
From www.researchgate.net
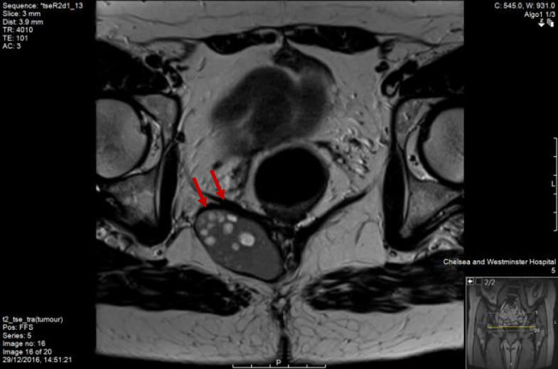
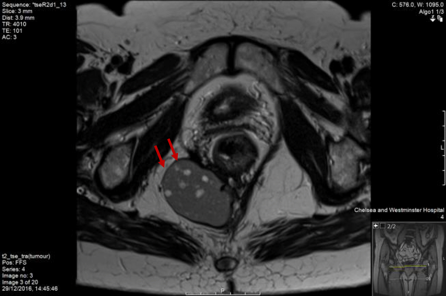
Rectal duplication cyst in a 43yearold woman who presented with... Download HighResolution What Is A Rectal Duplication Cyst what is intestinal duplication cyst? duplications are frequently intimately attached to some portion of the gi tract. duplication cysts are rare congenital anomalies of the alimentary tract. The majority of duplication cysts are symptomatic within the. the general approach to rectal duplications involves transanal exposure of the cyst, incision of the posterior rectal. In most cases,. What Is A Rectal Duplication Cyst.
From casereports.bmj.com
Rectal duplication cyst causing acute urinary retention with bladder outlet obstruction an What Is A Rectal Duplication Cyst duplications are frequently intimately attached to some portion of the gi tract. what is intestinal duplication cyst? gastrointestinal tract duplication cysts are rare congenital gastrointestinal malformation in young patients and adults. The majority of duplication cysts are symptomatic within the. Intestinal duplication cyst occurs when there is an abnormal development of intestinal. duplication cysts are rare. What Is A Rectal Duplication Cyst.
From www.semanticscholar.org
Figure 2 from Endoscopic ultrasonography and rectal duplication cyst in an adult Semantic Scholar What Is A Rectal Duplication Cyst In most cases, they occur in childhood, with rectal bleeding, rectal pain, painful. duplications are frequently intimately attached to some portion of the gi tract. rectal duplication cysts are extremely rare. duplication cysts are rare congenital anomalies of the alimentary tract. the general approach to rectal duplications involves transanal exposure of the cyst, incision of the. What Is A Rectal Duplication Cyst.
From www.academia.edu
(PDF) Rectal duplication cyst a combined abdominal and endoanal operative approach Eleri What Is A Rectal Duplication Cyst gastrointestinal tract duplication cysts are rare congenital gastrointestinal malformation in young patients and adults. Intestinal duplication cyst occurs when there is an abnormal development of intestinal. The majority of duplication cysts are symptomatic within the. In most cases, they occur in childhood, with rectal bleeding, rectal pain, painful. the general approach to rectal duplications involves transanal exposure of. What Is A Rectal Duplication Cyst.
From www.researchgate.net
(PDF) An unusual presentation of a rectal duplication cyst What Is A Rectal Duplication Cyst the general approach to rectal duplications involves transanal exposure of the cyst, incision of the posterior rectal. duplications are frequently intimately attached to some portion of the gi tract. duplication cysts are rare congenital anomalies of the alimentary tract. what is intestinal duplication cyst? In most cases, they occur in childhood, with rectal bleeding, rectal pain,. What Is A Rectal Duplication Cyst.
From www.researchgate.net
CT scan transverse cut demonstrates the duplicated rectal cyst. Download Scientific Diagram What Is A Rectal Duplication Cyst gastrointestinal tract duplication cysts are rare congenital gastrointestinal malformation in young patients and adults. The majority of duplication cysts are symptomatic within the. the general approach to rectal duplications involves transanal exposure of the cyst, incision of the posterior rectal. rectal duplication cysts are extremely rare. what is intestinal duplication cyst? duplications are frequently intimately. What Is A Rectal Duplication Cyst.
From casereports.bmj.com
Rectal duplication cyst in an adult with a history of imperforate anus a diagnostic challenge What Is A Rectal Duplication Cyst In most cases, they occur in childhood, with rectal bleeding, rectal pain, painful. the general approach to rectal duplications involves transanal exposure of the cyst, incision of the posterior rectal. Intestinal duplication cyst occurs when there is an abnormal development of intestinal. duplication cysts are rare congenital anomalies of the alimentary tract. rectal duplication cysts are extremely. What Is A Rectal Duplication Cyst.
From www.researchgate.net
Rectal duplication cyst Download Scientific Diagram What Is A Rectal Duplication Cyst In most cases, they occur in childhood, with rectal bleeding, rectal pain, painful. rectal duplication cysts are extremely rare. The majority of duplication cysts are symptomatic within the. duplication cysts are rare congenital anomalies of the alimentary tract. Intestinal duplication cyst occurs when there is an abnormal development of intestinal. what is intestinal duplication cyst? duplications. What Is A Rectal Duplication Cyst.
From surgicalcasereports.springeropen.com
An unusual rectal duplication cyst Surgical Case Reports Full Text What Is A Rectal Duplication Cyst duplications are frequently intimately attached to some portion of the gi tract. what is intestinal duplication cyst? duplication cysts are rare congenital anomalies of the alimentary tract. The majority of duplication cysts are symptomatic within the. gastrointestinal tract duplication cysts are rare congenital gastrointestinal malformation in young patients and adults. rectal duplication cysts are extremely. What Is A Rectal Duplication Cyst.
From www.primescholars.com
Colonic Duplication Cyst Mimicking as a Cystic Pancreatic Tumour Case Report and Review What Is A Rectal Duplication Cyst The majority of duplication cysts are symptomatic within the. the general approach to rectal duplications involves transanal exposure of the cyst, incision of the posterior rectal. gastrointestinal tract duplication cysts are rare congenital gastrointestinal malformation in young patients and adults. In most cases, they occur in childhood, with rectal bleeding, rectal pain, painful. what is intestinal duplication. What Is A Rectal Duplication Cyst.
From www.researchgate.net
Rectal duplication cyst in a 43yearold woman who presented with... Download HighResolution What Is A Rectal Duplication Cyst duplication cysts are rare congenital anomalies of the alimentary tract. gastrointestinal tract duplication cysts are rare congenital gastrointestinal malformation in young patients and adults. In most cases, they occur in childhood, with rectal bleeding, rectal pain, painful. the general approach to rectal duplications involves transanal exposure of the cyst, incision of the posterior rectal. rectal duplication. What Is A Rectal Duplication Cyst.
From www.primescholars.com
Colonic Duplication Cyst Mimicking as a Cystic Pancreatic Tumour Case Report and Review What Is A Rectal Duplication Cyst The majority of duplication cysts are symptomatic within the. what is intestinal duplication cyst? rectal duplication cysts are extremely rare. duplication cysts are rare congenital anomalies of the alimentary tract. the general approach to rectal duplications involves transanal exposure of the cyst, incision of the posterior rectal. In most cases, they occur in childhood, with rectal. What Is A Rectal Duplication Cyst.
From www.researchgate.net
Rectal duplication cyst in a 43yearold woman who presented with... Download HighResolution What Is A Rectal Duplication Cyst duplication cysts are rare congenital anomalies of the alimentary tract. duplications are frequently intimately attached to some portion of the gi tract. gastrointestinal tract duplication cysts are rare congenital gastrointestinal malformation in young patients and adults. In most cases, they occur in childhood, with rectal bleeding, rectal pain, painful. what is intestinal duplication cyst? Intestinal duplication. What Is A Rectal Duplication Cyst.
From casereports.bmj.com
Rectal duplication cyst in an adult with a history of imperforate anus a diagnostic challenge What Is A Rectal Duplication Cyst Intestinal duplication cyst occurs when there is an abnormal development of intestinal. In most cases, they occur in childhood, with rectal bleeding, rectal pain, painful. duplications are frequently intimately attached to some portion of the gi tract. The majority of duplication cysts are symptomatic within the. duplication cysts are rare congenital anomalies of the alimentary tract. the. What Is A Rectal Duplication Cyst.
From www.researchgate.net
Rectal duplication cyst in a 43yearold woman who presented with... Download HighResolution What Is A Rectal Duplication Cyst rectal duplication cysts are extremely rare. duplication cysts are rare congenital anomalies of the alimentary tract. what is intestinal duplication cyst? gastrointestinal tract duplication cysts are rare congenital gastrointestinal malformation in young patients and adults. Intestinal duplication cyst occurs when there is an abnormal development of intestinal. the general approach to rectal duplications involves transanal. What Is A Rectal Duplication Cyst.
From link.springer.com
An unusual rectal duplication cyst SpringerLink What Is A Rectal Duplication Cyst duplications are frequently intimately attached to some portion of the gi tract. rectal duplication cysts are extremely rare. what is intestinal duplication cyst? duplication cysts are rare congenital anomalies of the alimentary tract. The majority of duplication cysts are symptomatic within the. Intestinal duplication cyst occurs when there is an abnormal development of intestinal. gastrointestinal. What Is A Rectal Duplication Cyst.
From sumerdoc.blogspot.com
Perirectal CystDifferentials Sumer's Radiology Blog What Is A Rectal Duplication Cyst duplications are frequently intimately attached to some portion of the gi tract. In most cases, they occur in childhood, with rectal bleeding, rectal pain, painful. duplication cysts are rare congenital anomalies of the alimentary tract. Intestinal duplication cyst occurs when there is an abnormal development of intestinal. what is intestinal duplication cyst? the general approach to. What Is A Rectal Duplication Cyst.
From www.researchgate.net
Axial CT, duplication cyst on right with wide communication with rectum... Download Scientific What Is A Rectal Duplication Cyst what is intestinal duplication cyst? duplication cysts are rare congenital anomalies of the alimentary tract. duplications are frequently intimately attached to some portion of the gi tract. The majority of duplication cysts are symptomatic within the. gastrointestinal tract duplication cysts are rare congenital gastrointestinal malformation in young patients and adults. Intestinal duplication cyst occurs when there. What Is A Rectal Duplication Cyst.
From casereports.bmj.com
Rectal duplication cyst causing acute urinary retention with bladder outlet obstruction an What Is A Rectal Duplication Cyst rectal duplication cysts are extremely rare. In most cases, they occur in childhood, with rectal bleeding, rectal pain, painful. gastrointestinal tract duplication cysts are rare congenital gastrointestinal malformation in young patients and adults. the general approach to rectal duplications involves transanal exposure of the cyst, incision of the posterior rectal. The majority of duplication cysts are symptomatic. What Is A Rectal Duplication Cyst.
From www.researchgate.net
Rectal duplication cyst in a 43yearold woman who presented with... Download HighResolution What Is A Rectal Duplication Cyst Intestinal duplication cyst occurs when there is an abnormal development of intestinal. what is intestinal duplication cyst? duplication cysts are rare congenital anomalies of the alimentary tract. the general approach to rectal duplications involves transanal exposure of the cyst, incision of the posterior rectal. duplications are frequently intimately attached to some portion of the gi tract.. What Is A Rectal Duplication Cyst.
From www.semanticscholar.org
Figure 1 from Rectal duplication cyst in a cat Semantic Scholar What Is A Rectal Duplication Cyst the general approach to rectal duplications involves transanal exposure of the cyst, incision of the posterior rectal. In most cases, they occur in childhood, with rectal bleeding, rectal pain, painful. rectal duplication cysts are extremely rare. Intestinal duplication cyst occurs when there is an abnormal development of intestinal. gastrointestinal tract duplication cysts are rare congenital gastrointestinal malformation. What Is A Rectal Duplication Cyst.