How To Do A Bedside Echo . Just as a surgeon does not hold their scalpel at the handle, but close to the blade, hold the probe close to the head. Focussed echo in life support (fels) is used to define cardiac pathologies such as cardiogenic shock, pericardial tamponade,. How to do a level 1+ echo. Bedside ultrasound should be used to answer specific questions in real time. This video is brought to you by the stanford medicine 25 to teach you how to use bedside point of care ultrasound. Ultrasonography is frequently used in the ed in diagnostic and therapeutic procedures and in evaluation of critically ill patients. Bedside echo is becoming an integral part of intensive care medicine, offering real time haemodynamic evaluation. Be surgical with the probe. An example is the increasingly common use of bedside ultrasound. Bedside echo is becoming an integral part of intensive care medicine, offering real time haemodynamic evaluation.
from www.youtube.com
Ultrasonography is frequently used in the ed in diagnostic and therapeutic procedures and in evaluation of critically ill patients. Bedside echo is becoming an integral part of intensive care medicine, offering real time haemodynamic evaluation. This video is brought to you by the stanford medicine 25 to teach you how to use bedside point of care ultrasound. Be surgical with the probe. An example is the increasingly common use of bedside ultrasound. Bedside echo is becoming an integral part of intensive care medicine, offering real time haemodynamic evaluation. Focussed echo in life support (fels) is used to define cardiac pathologies such as cardiogenic shock, pericardial tamponade,. Bedside ultrasound should be used to answer specific questions in real time. Just as a surgeon does not hold their scalpel at the handle, but close to the blade, hold the probe close to the head. How to do a level 1+ echo.
GAME of 'Probes' Bedside Echo with Siemens Accuson, Butterfly IQ
How To Do A Bedside Echo Bedside echo is becoming an integral part of intensive care medicine, offering real time haemodynamic evaluation. How to do a level 1+ echo. Bedside echo is becoming an integral part of intensive care medicine, offering real time haemodynamic evaluation. Be surgical with the probe. Bedside ultrasound should be used to answer specific questions in real time. Just as a surgeon does not hold their scalpel at the handle, but close to the blade, hold the probe close to the head. An example is the increasingly common use of bedside ultrasound. This video is brought to you by the stanford medicine 25 to teach you how to use bedside point of care ultrasound. Ultrasonography is frequently used in the ed in diagnostic and therapeutic procedures and in evaluation of critically ill patients. Focussed echo in life support (fels) is used to define cardiac pathologies such as cardiogenic shock, pericardial tamponade,. Bedside echo is becoming an integral part of intensive care medicine, offering real time haemodynamic evaluation.
From www.aliem.com
Bedside Echo ALiEM How To Do A Bedside Echo Bedside ultrasound should be used to answer specific questions in real time. Ultrasonography is frequently used in the ed in diagnostic and therapeutic procedures and in evaluation of critically ill patients. Bedside echo is becoming an integral part of intensive care medicine, offering real time haemodynamic evaluation. Just as a surgeon does not hold their scalpel at the handle, but. How To Do A Bedside Echo.
From woodwrights.co.nz
Echo Bedside NZ Made Woodwrights How To Do A Bedside Echo How to do a level 1+ echo. Just as a surgeon does not hold their scalpel at the handle, but close to the blade, hold the probe close to the head. Bedside echo is becoming an integral part of intensive care medicine, offering real time haemodynamic evaluation. This video is brought to you by the stanford medicine 25 to teach. How To Do A Bedside Echo.
From www.tvcjdc.be
Bedside echo(cardio)grafie in de acute setting Tijdschrift voor How To Do A Bedside Echo Bedside echo is becoming an integral part of intensive care medicine, offering real time haemodynamic evaluation. This video is brought to you by the stanford medicine 25 to teach you how to use bedside point of care ultrasound. An example is the increasingly common use of bedside ultrasound. Bedside echo is becoming an integral part of intensive care medicine, offering. How To Do A Bedside Echo.
From www.tvcjdc.be
Bedside echo(cardio)grafie in de acute setting Journal de Cardiologie How To Do A Bedside Echo Just as a surgeon does not hold their scalpel at the handle, but close to the blade, hold the probe close to the head. Bedside echo is becoming an integral part of intensive care medicine, offering real time haemodynamic evaluation. Ultrasonography is frequently used in the ed in diagnostic and therapeutic procedures and in evaluation of critically ill patients. Bedside. How To Do A Bedside Echo.
From www.cureus.com
Cureus Bedside Echocardiography Diagnosis of Tricuspid Valve How To Do A Bedside Echo How to do a level 1+ echo. Ultrasonography is frequently used in the ed in diagnostic and therapeutic procedures and in evaluation of critically ill patients. This video is brought to you by the stanford medicine 25 to teach you how to use bedside point of care ultrasound. Just as a surgeon does not hold their scalpel at the handle,. How To Do A Bedside Echo.
From hqmeded-ecg.blogspot.tw
Dr. Smith's ECG Blog ED Bedside Echo for the last very subtle inferior How To Do A Bedside Echo Focussed echo in life support (fels) is used to define cardiac pathologies such as cardiogenic shock, pericardial tamponade,. Just as a surgeon does not hold their scalpel at the handle, but close to the blade, hold the probe close to the head. An example is the increasingly common use of bedside ultrasound. Bedside echo is becoming an integral part of. How To Do A Bedside Echo.
From www.youtube.com
Focused bedside Echo YouTube How To Do A Bedside Echo Bedside ultrasound should be used to answer specific questions in real time. Bedside echo is becoming an integral part of intensive care medicine, offering real time haemodynamic evaluation. An example is the increasingly common use of bedside ultrasound. This video is brought to you by the stanford medicine 25 to teach you how to use bedside point of care ultrasound.. How To Do A Bedside Echo.
From www.youtube.com
Tutorial Basic echocardiography YouTube How To Do A Bedside Echo This video is brought to you by the stanford medicine 25 to teach you how to use bedside point of care ultrasound. Bedside echo is becoming an integral part of intensive care medicine, offering real time haemodynamic evaluation. An example is the increasingly common use of bedside ultrasound. Bedside ultrasound should be used to answer specific questions in real time.. How To Do A Bedside Echo.
From www.pinterest.es
Pin on Cardiac Ultrasound How To Do A Bedside Echo This video is brought to you by the stanford medicine 25 to teach you how to use bedside point of care ultrasound. Focussed echo in life support (fels) is used to define cardiac pathologies such as cardiogenic shock, pericardial tamponade,. Bedside ultrasound should be used to answer specific questions in real time. Ultrasonography is frequently used in the ed in. How To Do A Bedside Echo.
From www.youtube.com
Intro to Bedside Echo part 2 MS3 WVU 2013 YouTube How To Do A Bedside Echo Bedside ultrasound should be used to answer specific questions in real time. Bedside echo is becoming an integral part of intensive care medicine, offering real time haemodynamic evaluation. Just as a surgeon does not hold their scalpel at the handle, but close to the blade, hold the probe close to the head. Focussed echo in life support (fels) is used. How To Do A Bedside Echo.
From www.researchgate.net
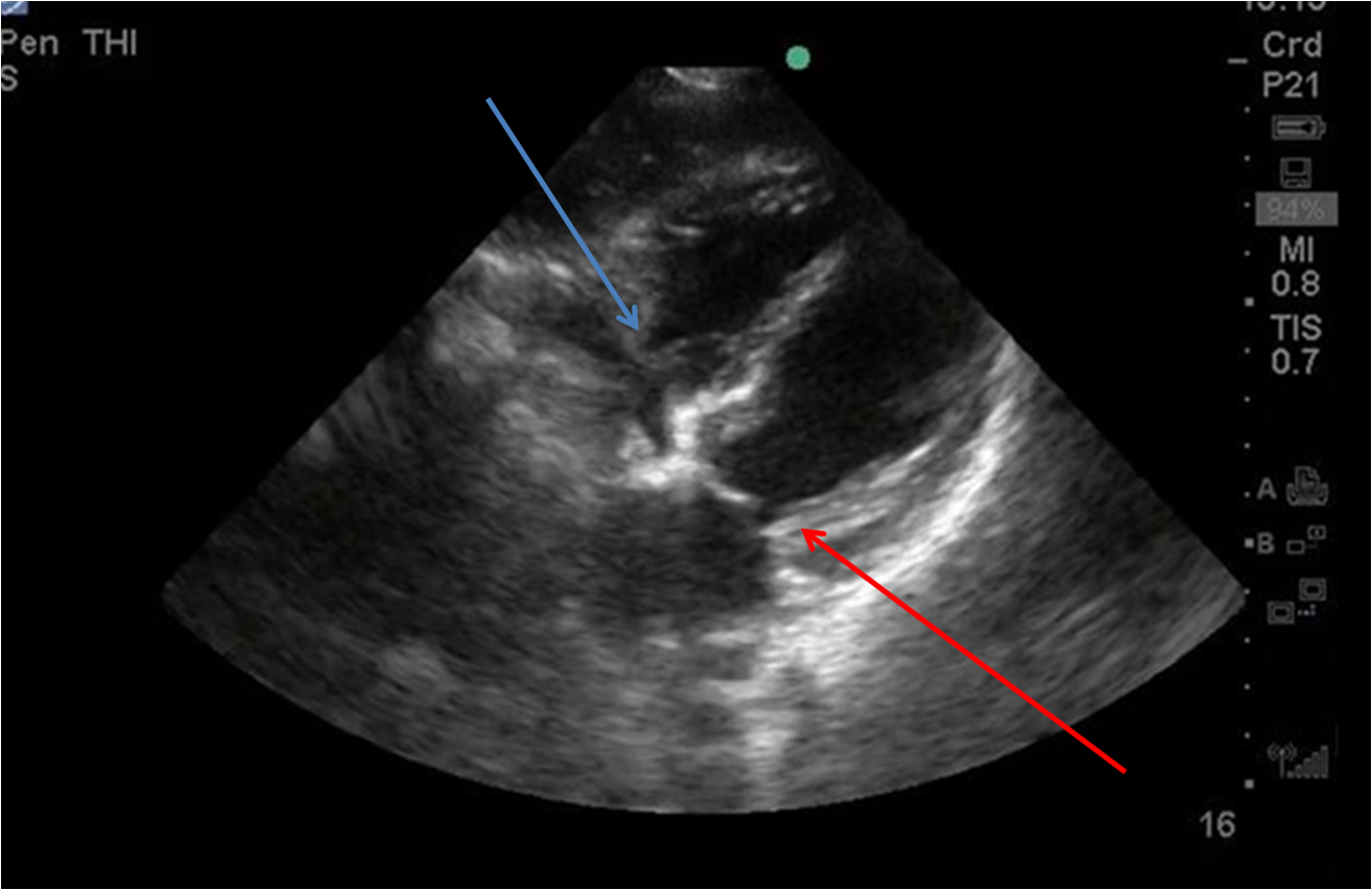
A bedside echocardiogram revealed massive pericardial effusion How To Do A Bedside Echo Bedside ultrasound should be used to answer specific questions in real time. Bedside echo is becoming an integral part of intensive care medicine, offering real time haemodynamic evaluation. Be surgical with the probe. How to do a level 1+ echo. Focussed echo in life support (fels) is used to define cardiac pathologies such as cardiogenic shock, pericardial tamponade,. Ultrasonography is. How To Do A Bedside Echo.
From www.emra.org
Differentiating Acute Versus Chronic Right Heart Failure with Bedside How To Do A Bedside Echo Bedside ultrasound should be used to answer specific questions in real time. Bedside echo is becoming an integral part of intensive care medicine, offering real time haemodynamic evaluation. This video is brought to you by the stanford medicine 25 to teach you how to use bedside point of care ultrasound. Bedside echo is becoming an integral part of intensive care. How To Do A Bedside Echo.
From www.youtube.com
Advanced Bedside ECHO for Dyspnea YouTube How To Do A Bedside Echo An example is the increasingly common use of bedside ultrasound. Bedside ultrasound should be used to answer specific questions in real time. How to do a level 1+ echo. Just as a surgeon does not hold their scalpel at the handle, but close to the blade, hold the probe close to the head. Ultrasonography is frequently used in the ed. How To Do A Bedside Echo.
From medsites.vumc.org
Bedside Echocardiography Vanderbilt University Medical Center How To Do A Bedside Echo Bedside ultrasound should be used to answer specific questions in real time. An example is the increasingly common use of bedside ultrasound. Just as a surgeon does not hold their scalpel at the handle, but close to the blade, hold the probe close to the head. Bedside echo is becoming an integral part of intensive care medicine, offering real time. How To Do A Bedside Echo.
From www.aliem.com
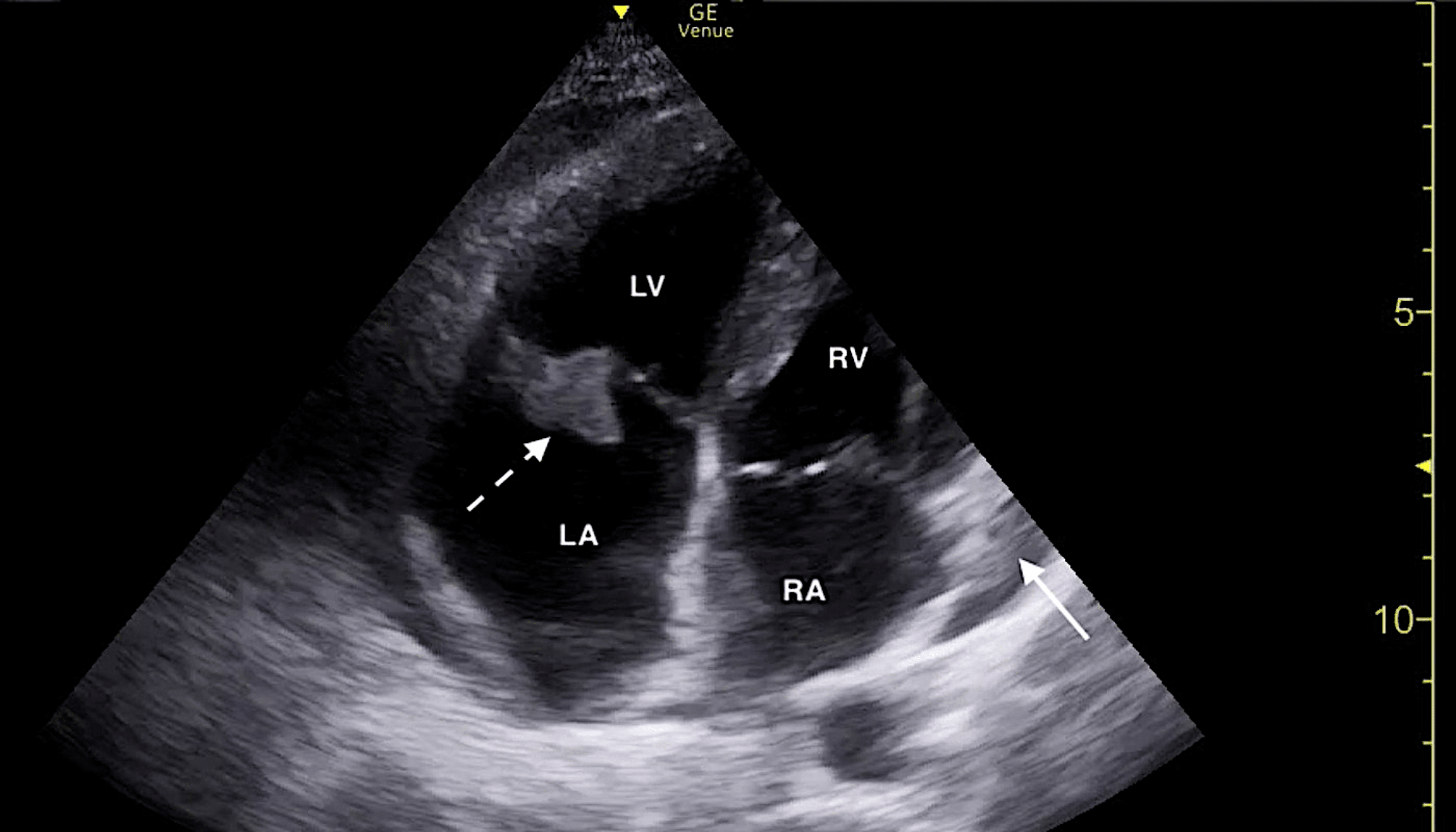
SAEM Clinical Images Series Incidental Finding on Bedside Echo How To Do A Bedside Echo Just as a surgeon does not hold their scalpel at the handle, but close to the blade, hold the probe close to the head. Bedside echo is becoming an integral part of intensive care medicine, offering real time haemodynamic evaluation. Be surgical with the probe. Ultrasonography is frequently used in the ed in diagnostic and therapeutic procedures and in evaluation. How To Do A Bedside Echo.
From www.emra.org
Differentiating Acute Versus Chronic Right Heart Failure with Bedside How To Do A Bedside Echo Ultrasonography is frequently used in the ed in diagnostic and therapeutic procedures and in evaluation of critically ill patients. Focussed echo in life support (fels) is used to define cardiac pathologies such as cardiogenic shock, pericardial tamponade,. Be surgical with the probe. This video is brought to you by the stanford medicine 25 to teach you how to use bedside. How To Do A Bedside Echo.
From www.researchgate.net
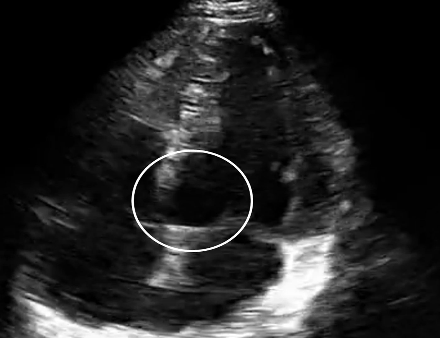
Repeated bedside assessment with echocardiography (ECHO) in a septic How To Do A Bedside Echo Ultrasonography is frequently used in the ed in diagnostic and therapeutic procedures and in evaluation of critically ill patients. Bedside echo is becoming an integral part of intensive care medicine, offering real time haemodynamic evaluation. This video is brought to you by the stanford medicine 25 to teach you how to use bedside point of care ultrasound. Be surgical with. How To Do A Bedside Echo.
From hqmeded-ecg.blogspot.it
Dr. Smith's ECG Blog ED Bedside Echo for the last very subtle inferior How To Do A Bedside Echo How to do a level 1+ echo. Just as a surgeon does not hold their scalpel at the handle, but close to the blade, hold the probe close to the head. Be surgical with the probe. An example is the increasingly common use of bedside ultrasound. Focussed echo in life support (fels) is used to define cardiac pathologies such as. How To Do A Bedside Echo.
From hqmeded-ecg.blogspot.com
Dr. Smith's ECG Blog COPD exacerbation, what do the ECG and bedside How To Do A Bedside Echo How to do a level 1+ echo. An example is the increasingly common use of bedside ultrasound. Bedside ultrasound should be used to answer specific questions in real time. Focussed echo in life support (fels) is used to define cardiac pathologies such as cardiogenic shock, pericardial tamponade,. This video is brought to you by the stanford medicine 25 to teach. How To Do A Bedside Echo.
From simbionix.com
U/S Library of Modules Simbionix How To Do A Bedside Echo Ultrasonography is frequently used in the ed in diagnostic and therapeutic procedures and in evaluation of critically ill patients. Focussed echo in life support (fels) is used to define cardiac pathologies such as cardiogenic shock, pericardial tamponade,. Bedside echo is becoming an integral part of intensive care medicine, offering real time haemodynamic evaluation. This video is brought to you by. How To Do A Bedside Echo.
From hqmeded-ecg.blogspot.it
Dr. Smith's ECG Blog ED Bedside Echo for the last very subtle inferior How To Do A Bedside Echo Be surgical with the probe. Bedside echo is becoming an integral part of intensive care medicine, offering real time haemodynamic evaluation. An example is the increasingly common use of bedside ultrasound. Bedside ultrasound should be used to answer specific questions in real time. How to do a level 1+ echo. Just as a surgeon does not hold their scalpel at. How To Do A Bedside Echo.
From www.youtube.com
ED Bedside echo beyond the basics 1 YouTube How To Do A Bedside Echo How to do a level 1+ echo. Bedside echo is becoming an integral part of intensive care medicine, offering real time haemodynamic evaluation. Be surgical with the probe. Just as a surgeon does not hold their scalpel at the handle, but close to the blade, hold the probe close to the head. Bedside ultrasound should be used to answer specific. How To Do A Bedside Echo.
From slideplayer.com
Diagnostic imaging exam of the heart ppt download How To Do A Bedside Echo Just as a surgeon does not hold their scalpel at the handle, but close to the blade, hold the probe close to the head. Ultrasonography is frequently used in the ed in diagnostic and therapeutic procedures and in evaluation of critically ill patients. An example is the increasingly common use of bedside ultrasound. Focussed echo in life support (fels) is. How To Do A Bedside Echo.
From www.saem.org
Introduction to Bedside Ultrasound How To Do A Bedside Echo Bedside ultrasound should be used to answer specific questions in real time. Be surgical with the probe. How to do a level 1+ echo. Bedside echo is becoming an integral part of intensive care medicine, offering real time haemodynamic evaluation. Ultrasonography is frequently used in the ed in diagnostic and therapeutic procedures and in evaluation of critically ill patients. An. How To Do A Bedside Echo.
From www.verywellhealth.com
Echocardiogram Uses, Side Effects, Procedure, Results How To Do A Bedside Echo Be surgical with the probe. Bedside echo is becoming an integral part of intensive care medicine, offering real time haemodynamic evaluation. Bedside ultrasound should be used to answer specific questions in real time. Just as a surgeon does not hold their scalpel at the handle, but close to the blade, hold the probe close to the head. An example is. How To Do A Bedside Echo.
From www.youtube.com
Echo as a bedside tool in assessing for fluid responsiveness YouTube How To Do A Bedside Echo This video is brought to you by the stanford medicine 25 to teach you how to use bedside point of care ultrasound. Ultrasonography is frequently used in the ed in diagnostic and therapeutic procedures and in evaluation of critically ill patients. How to do a level 1+ echo. Bedside ultrasound should be used to answer specific questions in real time.. How To Do A Bedside Echo.
From www.emra.org
Differentiating Acute Versus Chronic Right Heart Failure with Bedside How To Do A Bedside Echo Bedside echo is becoming an integral part of intensive care medicine, offering real time haemodynamic evaluation. Bedside ultrasound should be used to answer specific questions in real time. How to do a level 1+ echo. Ultrasonography is frequently used in the ed in diagnostic and therapeutic procedures and in evaluation of critically ill patients. An example is the increasingly common. How To Do A Bedside Echo.
From www.youtube.com
Echocardiogram (Echo) Types, Indications, Patient Preparation How To Do A Bedside Echo Be surgical with the probe. Bedside ultrasound should be used to answer specific questions in real time. Just as a surgeon does not hold their scalpel at the handle, but close to the blade, hold the probe close to the head. Bedside echo is becoming an integral part of intensive care medicine, offering real time haemodynamic evaluation. This video is. How To Do A Bedside Echo.
From www.youtube.com
Bedside Ultrasound Basic Cardiac US YouTube How To Do A Bedside Echo Be surgical with the probe. Bedside echo is becoming an integral part of intensive care medicine, offering real time haemodynamic evaluation. Bedside echo is becoming an integral part of intensive care medicine, offering real time haemodynamic evaluation. How to do a level 1+ echo. Bedside ultrasound should be used to answer specific questions in real time. An example is the. How To Do A Bedside Echo.
From www.youtube.com
Critical Care Echocardiography// Bedside Echo// POCUS YouTube How To Do A Bedside Echo An example is the increasingly common use of bedside ultrasound. How to do a level 1+ echo. Bedside ultrasound should be used to answer specific questions in real time. This video is brought to you by the stanford medicine 25 to teach you how to use bedside point of care ultrasound. Ultrasonography is frequently used in the ed in diagnostic. How To Do A Bedside Echo.
From www.youtube.com
GAME of 'Probes' Bedside Echo with Siemens Accuson, Butterfly IQ How To Do A Bedside Echo This video is brought to you by the stanford medicine 25 to teach you how to use bedside point of care ultrasound. Ultrasonography is frequently used in the ed in diagnostic and therapeutic procedures and in evaluation of critically ill patients. Be surgical with the probe. How to do a level 1+ echo. Bedside echo is becoming an integral part. How To Do A Bedside Echo.
From www.sozocardiology.com
TransEsophageal Echocardiogram (TEE) How To Do A Bedside Echo Focussed echo in life support (fels) is used to define cardiac pathologies such as cardiogenic shock, pericardial tamponade,. How to do a level 1+ echo. Bedside ultrasound should be used to answer specific questions in real time. This video is brought to you by the stanford medicine 25 to teach you how to use bedside point of care ultrasound. Be. How To Do A Bedside Echo.
From www.emra.org
Differentiating Acute Versus Chronic Right Heart Failure with Bedside How To Do A Bedside Echo Bedside echo is becoming an integral part of intensive care medicine, offering real time haemodynamic evaluation. An example is the increasingly common use of bedside ultrasound. How to do a level 1+ echo. Focussed echo in life support (fels) is used to define cardiac pathologies such as cardiogenic shock, pericardial tamponade,. This video is brought to you by the stanford. How To Do A Bedside Echo.
From www.youtube.com
Bedside echo demonstration of dTGA YouTube How To Do A Bedside Echo Be surgical with the probe. Bedside echo is becoming an integral part of intensive care medicine, offering real time haemodynamic evaluation. How to do a level 1+ echo. This video is brought to you by the stanford medicine 25 to teach you how to use bedside point of care ultrasound. An example is the increasingly common use of bedside ultrasound.. How To Do A Bedside Echo.
From medsites.vumc.org
Bedside Echocardiography Vanderbilt University Medical Center How To Do A Bedside Echo Just as a surgeon does not hold their scalpel at the handle, but close to the blade, hold the probe close to the head. Focussed echo in life support (fels) is used to define cardiac pathologies such as cardiogenic shock, pericardial tamponade,. Bedside echo is becoming an integral part of intensive care medicine, offering real time haemodynamic evaluation. How to. How To Do A Bedside Echo.