Antibodies Thyroid Peroxidase . — most people with hashimoto's disease will have thyroid peroxidase (tpo) antibodies in their blood. what is the thyroid peroxidase antibodies (tpoab) test used for? thyroid antibody tests are used to check for different thyroid antibodies that affect your thyroid in different ways. Thyroid antibodies can form in. Some antibodies destroy thyroid tissue. Tpo antibodies may be checked in patients with a high tsh, to. there are different types of thyroid antibodies. — thyroid peroxidase (tpo) antibodies are a type of thyroid antibody. — in autoimmune thyroid diseases such as hashimoto's thyroiditis and graves' disease, the body produces. Others cause the thyroid to make. — thyroid peroxidase (tpo) antibodies are tested to help diagnose hashimoto's disease.
from www.antibodies.com
there are different types of thyroid antibodies. Others cause the thyroid to make. — in autoimmune thyroid diseases such as hashimoto's thyroiditis and graves' disease, the body produces. what is the thyroid peroxidase antibodies (tpoab) test used for? Tpo antibodies may be checked in patients with a high tsh, to. — most people with hashimoto's disease will have thyroid peroxidase (tpo) antibodies in their blood. — thyroid peroxidase (tpo) antibodies are a type of thyroid antibody. Some antibodies destroy thyroid tissue. thyroid antibody tests are used to check for different thyroid antibodies that affect your thyroid in different ways. — thyroid peroxidase (tpo) antibodies are tested to help diagnose hashimoto's disease.
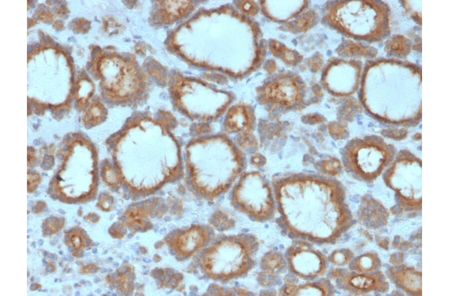
AntiThyroid Peroxidase Antibody [TPO/3695] (A250202)
Antibodies Thyroid Peroxidase — most people with hashimoto's disease will have thyroid peroxidase (tpo) antibodies in their blood. there are different types of thyroid antibodies. — thyroid peroxidase (tpo) antibodies are tested to help diagnose hashimoto's disease. thyroid antibody tests are used to check for different thyroid antibodies that affect your thyroid in different ways. what is the thyroid peroxidase antibodies (tpoab) test used for? — thyroid peroxidase (tpo) antibodies are a type of thyroid antibody. Tpo antibodies may be checked in patients with a high tsh, to. Others cause the thyroid to make. — most people with hashimoto's disease will have thyroid peroxidase (tpo) antibodies in their blood. — in autoimmune thyroid diseases such as hashimoto's thyroiditis and graves' disease, the body produces. Thyroid antibodies can form in. Some antibodies destroy thyroid tissue.
From www.antibodies.com
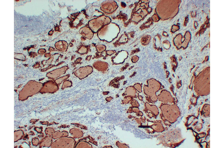
AntiThyroid Peroxidase Antibody [TPO/3700] (A250196) Antibodies Thyroid Peroxidase — thyroid peroxidase (tpo) antibodies are a type of thyroid antibody. — most people with hashimoto's disease will have thyroid peroxidase (tpo) antibodies in their blood. Tpo antibodies may be checked in patients with a high tsh, to. — in autoimmune thyroid diseases such as hashimoto's thyroiditis and graves' disease, the body produces. Some antibodies destroy thyroid. Antibodies Thyroid Peroxidase.
From labpedia.net
Antithyroglobulin antibody (Thyroid autoantibody) Antibodies Thyroid Peroxidase — thyroid peroxidase (tpo) antibodies are a type of thyroid antibody. Others cause the thyroid to make. — most people with hashimoto's disease will have thyroid peroxidase (tpo) antibodies in their blood. Tpo antibodies may be checked in patients with a high tsh, to. there are different types of thyroid antibodies. Some antibodies destroy thyroid tissue. . Antibodies Thyroid Peroxidase.
From www.thermofisher.com
Thyroid Peroxidase Polyclonal Antibody (PA582323) Antibodies Thyroid Peroxidase — thyroid peroxidase (tpo) antibodies are tested to help diagnose hashimoto's disease. thyroid antibody tests are used to check for different thyroid antibodies that affect your thyroid in different ways. Tpo antibodies may be checked in patients with a high tsh, to. what is the thyroid peroxidase antibodies (tpoab) test used for? Others cause the thyroid to. Antibodies Thyroid Peroxidase.
From www.researchgate.net
Values of thyroid peroxidase autoantibodies, in males and females,... Download Scientific Diagram Antibodies Thyroid Peroxidase — thyroid peroxidase (tpo) antibodies are tested to help diagnose hashimoto's disease. what is the thyroid peroxidase antibodies (tpoab) test used for? Some antibodies destroy thyroid tissue. Others cause the thyroid to make. — most people with hashimoto's disease will have thyroid peroxidase (tpo) antibodies in their blood. Thyroid antibodies can form in. Tpo antibodies may be. Antibodies Thyroid Peroxidase.
From www.antibodies.com
AntiThyroid Peroxidase Antibody (A82544) Antibodies Thyroid Peroxidase Others cause the thyroid to make. thyroid antibody tests are used to check for different thyroid antibodies that affect your thyroid in different ways. — most people with hashimoto's disease will have thyroid peroxidase (tpo) antibodies in their blood. Tpo antibodies may be checked in patients with a high tsh, to. — thyroid peroxidase (tpo) antibodies are. Antibodies Thyroid Peroxidase.
From dxoajvwzf.blob.core.windows.net
Thyroid Antibodies Values at Kayla Stout blog Antibodies Thyroid Peroxidase — thyroid peroxidase (tpo) antibodies are tested to help diagnose hashimoto's disease. thyroid antibody tests are used to check for different thyroid antibodies that affect your thyroid in different ways. Tpo antibodies may be checked in patients with a high tsh, to. — thyroid peroxidase (tpo) antibodies are a type of thyroid antibody. Some antibodies destroy thyroid. Antibodies Thyroid Peroxidase.
From www.antibodies.com
AntiThyroid Peroxidase Antibody [TPO/3694] (A253381) Antibodies Thyroid Peroxidase Thyroid antibodies can form in. — most people with hashimoto's disease will have thyroid peroxidase (tpo) antibodies in their blood. there are different types of thyroid antibodies. — in autoimmune thyroid diseases such as hashimoto's thyroiditis and graves' disease, the body produces. — thyroid peroxidase (tpo) antibodies are tested to help diagnose hashimoto's disease. what. Antibodies Thyroid Peroxidase.
From www.antibodies.com
AntiThyroid Peroxidase Antibody [ABTTPO] (A95980) Antibodies Thyroid Peroxidase Others cause the thyroid to make. — in autoimmune thyroid diseases such as hashimoto's thyroiditis and graves' disease, the body produces. Thyroid antibodies can form in. there are different types of thyroid antibodies. Some antibodies destroy thyroid tissue. what is the thyroid peroxidase antibodies (tpoab) test used for? — thyroid peroxidase (tpo) antibodies are tested to. Antibodies Thyroid Peroxidase.
From www.discountedlabs.com
THYROID Peroxidase Antibody (Anti TOP Ab) Antibodies Thyroid Peroxidase thyroid antibody tests are used to check for different thyroid antibodies that affect your thyroid in different ways. — thyroid peroxidase (tpo) antibodies are a type of thyroid antibody. what is the thyroid peroxidase antibodies (tpoab) test used for? — thyroid peroxidase (tpo) antibodies are tested to help diagnose hashimoto's disease. Thyroid antibodies can form in.. Antibodies Thyroid Peroxidase.
From movementdisorders.onlinelibrary.wiley.com
Thyroid Disorders and Movement Disorders—A Systematic Review Schneider 2023 Movement Antibodies Thyroid Peroxidase thyroid antibody tests are used to check for different thyroid antibodies that affect your thyroid in different ways. — in autoimmune thyroid diseases such as hashimoto's thyroiditis and graves' disease, the body produces. Others cause the thyroid to make. — thyroid peroxidase (tpo) antibodies are a type of thyroid antibody. — most people with hashimoto's disease. Antibodies Thyroid Peroxidase.
From www.endocrinepractice.org
Positive Thyroid Peroxidase Antibody and Thyroglobulin Antibody are Associated With Better Antibodies Thyroid Peroxidase — thyroid peroxidase (tpo) antibodies are tested to help diagnose hashimoto's disease. Some antibodies destroy thyroid tissue. Others cause the thyroid to make. what is the thyroid peroxidase antibodies (tpoab) test used for? Tpo antibodies may be checked in patients with a high tsh, to. — in autoimmune thyroid diseases such as hashimoto's thyroiditis and graves' disease,. Antibodies Thyroid Peroxidase.
From www.labpedia.net
AntiThyroid Microsomal Antibody, AntiThyroid Peroxidase antibody, ThyrotropinReceptor Antibodies Thyroid Peroxidase Some antibodies destroy thyroid tissue. what is the thyroid peroxidase antibodies (tpoab) test used for? — most people with hashimoto's disease will have thyroid peroxidase (tpo) antibodies in their blood. Tpo antibodies may be checked in patients with a high tsh, to. — in autoimmune thyroid diseases such as hashimoto's thyroiditis and graves' disease, the body produces.. Antibodies Thyroid Peroxidase.
From www.fishersci.com
Thyroid Peroxidase Antibody (SR1031), Novus Biologicals 50 μg; UnconjugatedAntibodies, Fisher Antibodies Thyroid Peroxidase Others cause the thyroid to make. what is the thyroid peroxidase antibodies (tpoab) test used for? — most people with hashimoto's disease will have thyroid peroxidase (tpo) antibodies in their blood. Tpo antibodies may be checked in patients with a high tsh, to. — thyroid peroxidase (tpo) antibodies are tested to help diagnose hashimoto's disease. thyroid. Antibodies Thyroid Peroxidase.
From stock.adobe.com
Thyroid test,Thyroid gland. Thyroglobulin, Thyroid peroxidase and Thyroid stimulating hormone Antibodies Thyroid Peroxidase — most people with hashimoto's disease will have thyroid peroxidase (tpo) antibodies in their blood. — thyroid peroxidase (tpo) antibodies are a type of thyroid antibody. there are different types of thyroid antibodies. Thyroid antibodies can form in. what is the thyroid peroxidase antibodies (tpoab) test used for? Others cause the thyroid to make. thyroid. Antibodies Thyroid Peroxidase.
From www.abcam.com
AntiThyroid Peroxidase/TPO antibody [EPR5380] BSA and Azide free (ab239972) Antibodies Thyroid Peroxidase — most people with hashimoto's disease will have thyroid peroxidase (tpo) antibodies in their blood. Tpo antibodies may be checked in patients with a high tsh, to. Thyroid antibodies can form in. Others cause the thyroid to make. what is the thyroid peroxidase antibodies (tpoab) test used for? — thyroid peroxidase (tpo) antibodies are tested to help. Antibodies Thyroid Peroxidase.
From www.youtube.com
Anti TPO Test Anti Thyroid Peroxidase Antibody Test YouTube Antibodies Thyroid Peroxidase Some antibodies destroy thyroid tissue. — in autoimmune thyroid diseases such as hashimoto's thyroiditis and graves' disease, the body produces. thyroid antibody tests are used to check for different thyroid antibodies that affect your thyroid in different ways. — thyroid peroxidase (tpo) antibodies are tested to help diagnose hashimoto's disease. there are different types of thyroid. Antibodies Thyroid Peroxidase.
From www.restartmed.com
Thyroid Peroxidase Antibodies Lab Test, High Levels & More Antibodies Thyroid Peroxidase — most people with hashimoto's disease will have thyroid peroxidase (tpo) antibodies in their blood. — thyroid peroxidase (tpo) antibodies are a type of thyroid antibody. thyroid antibody tests are used to check for different thyroid antibodies that affect your thyroid in different ways. Some antibodies destroy thyroid tissue. Thyroid antibodies can form in. — thyroid. Antibodies Thyroid Peroxidase.
From www.researchgate.net
Thyroid peroxidase (TPO) and thyroglobulin (TG) antibodies in patients... Download Scientific Antibodies Thyroid Peroxidase Others cause the thyroid to make. what is the thyroid peroxidase antibodies (tpoab) test used for? there are different types of thyroid antibodies. — thyroid peroxidase (tpo) antibodies are tested to help diagnose hashimoto's disease. — thyroid peroxidase (tpo) antibodies are a type of thyroid antibody. Tpo antibodies may be checked in patients with a high. Antibodies Thyroid Peroxidase.
From www.antibodies.com
AntiThyroid Peroxidase Antibody [TPO/3700] (A250196) Antibodies Thyroid Peroxidase Some antibodies destroy thyroid tissue. what is the thyroid peroxidase antibodies (tpoab) test used for? — most people with hashimoto's disease will have thyroid peroxidase (tpo) antibodies in their blood. thyroid antibody tests are used to check for different thyroid antibodies that affect your thyroid in different ways. — in autoimmune thyroid diseases such as hashimoto's. Antibodies Thyroid Peroxidase.
From www.researchgate.net
(PDF) The presence of thyroid peroxidase antibodies in Graves' disease is predictive of disease Antibodies Thyroid Peroxidase what is the thyroid peroxidase antibodies (tpoab) test used for? Tpo antibodies may be checked in patients with a high tsh, to. — thyroid peroxidase (tpo) antibodies are a type of thyroid antibody. Thyroid antibodies can form in. — thyroid peroxidase (tpo) antibodies are tested to help diagnose hashimoto's disease. — in autoimmune thyroid diseases such. Antibodies Thyroid Peroxidase.
From labpedia.net
AntiThyroid Microsomal Antibody, AntiThyroid Peroxidase antibody, ThyrotropinReceptor Antibodies Thyroid Peroxidase Some antibodies destroy thyroid tissue. thyroid antibody tests are used to check for different thyroid antibodies that affect your thyroid in different ways. — in autoimmune thyroid diseases such as hashimoto's thyroiditis and graves' disease, the body produces. Tpo antibodies may be checked in patients with a high tsh, to. there are different types of thyroid antibodies.. Antibodies Thyroid Peroxidase.
From www.biosb.com
Thyroid Peroxidase Antibody (EP159) Bio SB Antibodies Thyroid Peroxidase Tpo antibodies may be checked in patients with a high tsh, to. there are different types of thyroid antibodies. Thyroid antibodies can form in. thyroid antibody tests are used to check for different thyroid antibodies that affect your thyroid in different ways. what is the thyroid peroxidase antibodies (tpoab) test used for? Some antibodies destroy thyroid tissue.. Antibodies Thyroid Peroxidase.
From www.slideserve.com
PPT Thyroid Function Tests PowerPoint Presentation ID4089389 Antibodies Thyroid Peroxidase Some antibodies destroy thyroid tissue. — thyroid peroxidase (tpo) antibodies are a type of thyroid antibody. thyroid antibody tests are used to check for different thyroid antibodies that affect your thyroid in different ways. Others cause the thyroid to make. — in autoimmune thyroid diseases such as hashimoto's thyroiditis and graves' disease, the body produces. Thyroid antibodies. Antibodies Thyroid Peroxidase.
From www.antibodies.com
AntiThyroid Peroxidase Antibody (A83130) Antibodies Thyroid Peroxidase Others cause the thyroid to make. — thyroid peroxidase (tpo) antibodies are a type of thyroid antibody. Some antibodies destroy thyroid tissue. what is the thyroid peroxidase antibodies (tpoab) test used for? — in autoimmune thyroid diseases such as hashimoto's thyroiditis and graves' disease, the body produces. there are different types of thyroid antibodies. Thyroid antibodies. Antibodies Thyroid Peroxidase.
From www.antibodies.com
AntiThyroid Peroxidase Antibody [TPO/3695] (A250202) Antibodies Thyroid Peroxidase — in autoimmune thyroid diseases such as hashimoto's thyroiditis and graves' disease, the body produces. — thyroid peroxidase (tpo) antibodies are tested to help diagnose hashimoto's disease. what is the thyroid peroxidase antibodies (tpoab) test used for? Others cause the thyroid to make. Thyroid antibodies can form in. there are different types of thyroid antibodies. Some. Antibodies Thyroid Peroxidase.
From www.labpedia.net
AntiThyroid Microsomal Antibody, AntiThyroid Peroxidase antibody, ThyrotropinReceptor Antibodies Thyroid Peroxidase Tpo antibodies may be checked in patients with a high tsh, to. — thyroid peroxidase (tpo) antibodies are tested to help diagnose hashimoto's disease. Others cause the thyroid to make. Some antibodies destroy thyroid tissue. there are different types of thyroid antibodies. — thyroid peroxidase (tpo) antibodies are a type of thyroid antibody. — in autoimmune. Antibodies Thyroid Peroxidase.
From healthjade.net
Thyroid peroxidase function, thyroid peroxidase antibody test Antibodies Thyroid Peroxidase Thyroid antibodies can form in. — thyroid peroxidase (tpo) antibodies are a type of thyroid antibody. what is the thyroid peroxidase antibodies (tpoab) test used for? Some antibodies destroy thyroid tissue. — in autoimmune thyroid diseases such as hashimoto's thyroiditis and graves' disease, the body produces. Tpo antibodies may be checked in patients with a high tsh,. Antibodies Thyroid Peroxidase.
From www.verywellhealth.com
"Thyroid Peroxidase Antibody Test Purpose, Procedure, Results Antibodies Thyroid Peroxidase Others cause the thyroid to make. — thyroid peroxidase (tpo) antibodies are tested to help diagnose hashimoto's disease. — in autoimmune thyroid diseases such as hashimoto's thyroiditis and graves' disease, the body produces. Some antibodies destroy thyroid tissue. — thyroid peroxidase (tpo) antibodies are a type of thyroid antibody. what is the thyroid peroxidase antibodies (tpoab). Antibodies Thyroid Peroxidase.
From www.researchgate.net
Serum levels of antithyroid peroxidase antibodies and... Download Scientific Diagram Antibodies Thyroid Peroxidase there are different types of thyroid antibodies. Some antibodies destroy thyroid tissue. thyroid antibody tests are used to check for different thyroid antibodies that affect your thyroid in different ways. Thyroid antibodies can form in. — thyroid peroxidase (tpo) antibodies are a type of thyroid antibody. — in autoimmune thyroid diseases such as hashimoto's thyroiditis and. Antibodies Thyroid Peroxidase.
From www.abcam.com
Rat Thyroid Peroxidase/TPO Antibody Pair BSA and Azide free (ab305077) Abcam Antibodies Thyroid Peroxidase — thyroid peroxidase (tpo) antibodies are a type of thyroid antibody. — in autoimmune thyroid diseases such as hashimoto's thyroiditis and graves' disease, the body produces. Others cause the thyroid to make. what is the thyroid peroxidase antibodies (tpoab) test used for? Tpo antibodies may be checked in patients with a high tsh, to. Thyroid antibodies can. Antibodies Thyroid Peroxidase.
From labpedia.net
AntiThyroid Microsomal Antibody, AntiThyroid Peroxidase antibody, ThyrotropinReceptor Antibodies Thyroid Peroxidase — most people with hashimoto's disease will have thyroid peroxidase (tpo) antibodies in their blood. thyroid antibody tests are used to check for different thyroid antibodies that affect your thyroid in different ways. Others cause the thyroid to make. Thyroid antibodies can form in. — in autoimmune thyroid diseases such as hashimoto's thyroiditis and graves' disease, the. Antibodies Thyroid Peroxidase.
From www.antibodies.com
AntiThyroid Peroxidase Antibody [ABTTPO] (A95980) Antibodies Thyroid Peroxidase thyroid antibody tests are used to check for different thyroid antibodies that affect your thyroid in different ways. — thyroid peroxidase (tpo) antibodies are tested to help diagnose hashimoto's disease. Thyroid antibodies can form in. what is the thyroid peroxidase antibodies (tpoab) test used for? Tpo antibodies may be checked in patients with a high tsh, to.. Antibodies Thyroid Peroxidase.
From www.ezmedlearning.com
Thyroid Hormone Synthesis Pathway StepByStep Flow Chart — EZmed Antibodies Thyroid Peroxidase — thyroid peroxidase (tpo) antibodies are a type of thyroid antibody. thyroid antibody tests are used to check for different thyroid antibodies that affect your thyroid in different ways. — in autoimmune thyroid diseases such as hashimoto's thyroiditis and graves' disease, the body produces. Thyroid antibodies can form in. there are different types of thyroid antibodies.. Antibodies Thyroid Peroxidase.
From thyroidpatients.ca
Infographics for Antibody testing Thyroid Patients Canada Antibodies Thyroid Peroxidase Some antibodies destroy thyroid tissue. what is the thyroid peroxidase antibodies (tpoab) test used for? Thyroid antibodies can form in. — thyroid peroxidase (tpo) antibodies are tested to help diagnose hashimoto's disease. — in autoimmune thyroid diseases such as hashimoto's thyroiditis and graves' disease, the body produces. thyroid antibody tests are used to check for different. Antibodies Thyroid Peroxidase.
From www.slideserve.com
PPT Thyroid Disease Facts PowerPoint Presentation, free download ID67801 Antibodies Thyroid Peroxidase there are different types of thyroid antibodies. Thyroid antibodies can form in. — thyroid peroxidase (tpo) antibodies are tested to help diagnose hashimoto's disease. — thyroid peroxidase (tpo) antibodies are a type of thyroid antibody. what is the thyroid peroxidase antibodies (tpoab) test used for? — most people with hashimoto's disease will have thyroid peroxidase. Antibodies Thyroid Peroxidase.