Psyllium Husk Cholesterol Study . the study pooled findings from 28 trials in people with normal and high cholesterol levels. It found that a daily dose of about 10 grams of psyllium husk lowered. the effects of consuming foods containing 0 (control), 3.4, 6.8, or 10.2 g psyllium seed husk (psh)/d for 24 wk on the serum lipid. — psyllium fiber effectively improves conventional and alternative lipids markers, potentially delaying the process.
from draxe.com
the study pooled findings from 28 trials in people with normal and high cholesterol levels. — psyllium fiber effectively improves conventional and alternative lipids markers, potentially delaying the process. It found that a daily dose of about 10 grams of psyllium husk lowered. the effects of consuming foods containing 0 (control), 3.4, 6.8, or 10.2 g psyllium seed husk (psh)/d for 24 wk on the serum lipid.
Psyllium Husk Benefits, Uses, Dosage and Side Effects Dr. Axe
Psyllium Husk Cholesterol Study the study pooled findings from 28 trials in people with normal and high cholesterol levels. — psyllium fiber effectively improves conventional and alternative lipids markers, potentially delaying the process. the effects of consuming foods containing 0 (control), 3.4, 6.8, or 10.2 g psyllium seed husk (psh)/d for 24 wk on the serum lipid. the study pooled findings from 28 trials in people with normal and high cholesterol levels. It found that a daily dose of about 10 grams of psyllium husk lowered.
From xovakpharmtech.com
Psyllium Husk Capsules Organic Medicine For Weight Management & Lowers Cholesterol Psyllium Husk Cholesterol Study the effects of consuming foods containing 0 (control), 3.4, 6.8, or 10.2 g psyllium seed husk (psh)/d for 24 wk on the serum lipid. the study pooled findings from 28 trials in people with normal and high cholesterol levels. — psyllium fiber effectively improves conventional and alternative lipids markers, potentially delaying the process. It found that a. Psyllium Husk Cholesterol Study.
From diabetesmealplans.com
Psyllium Husk for Diabetes Blood Sugar & Cholesterol Lowering Effects Psyllium Husk Cholesterol Study It found that a daily dose of about 10 grams of psyllium husk lowered. — psyllium fiber effectively improves conventional and alternative lipids markers, potentially delaying the process. the effects of consuming foods containing 0 (control), 3.4, 6.8, or 10.2 g psyllium seed husk (psh)/d for 24 wk on the serum lipid. the study pooled findings from. Psyllium Husk Cholesterol Study.
From www.health.harvard.edu
Psyllium fiber Regularity and healthier lipid levels? Harvard Health Psyllium Husk Cholesterol Study the study pooled findings from 28 trials in people with normal and high cholesterol levels. It found that a daily dose of about 10 grams of psyllium husk lowered. — psyllium fiber effectively improves conventional and alternative lipids markers, potentially delaying the process. the effects of consuming foods containing 0 (control), 3.4, 6.8, or 10.2 g psyllium. Psyllium Husk Cholesterol Study.
From www.gosupps.com
Himalaya Organic Psyllium Whole Husk 12 oz 56 Tablespoon Supply Daily Fiber & Cholesterol Psyllium Husk Cholesterol Study It found that a daily dose of about 10 grams of psyllium husk lowered. the effects of consuming foods containing 0 (control), 3.4, 6.8, or 10.2 g psyllium seed husk (psh)/d for 24 wk on the serum lipid. — psyllium fiber effectively improves conventional and alternative lipids markers, potentially delaying the process. the study pooled findings from. Psyllium Husk Cholesterol Study.
From colonbroom.com
Psyllium Husk for Cholesterol Promoting Heart Health Psyllium Husk Cholesterol Study It found that a daily dose of about 10 grams of psyllium husk lowered. the study pooled findings from 28 trials in people with normal and high cholesterol levels. the effects of consuming foods containing 0 (control), 3.4, 6.8, or 10.2 g psyllium seed husk (psh)/d for 24 wk on the serum lipid. — psyllium fiber effectively. Psyllium Husk Cholesterol Study.
From www.researchgate.net
(PDF) Use of psyllium husk with new and pharmacodynamic considerations Psyllium Husk Cholesterol Study the effects of consuming foods containing 0 (control), 3.4, 6.8, or 10.2 g psyllium seed husk (psh)/d for 24 wk on the serum lipid. the study pooled findings from 28 trials in people with normal and high cholesterol levels. — psyllium fiber effectively improves conventional and alternative lipids markers, potentially delaying the process. It found that a. Psyllium Husk Cholesterol Study.
From www.researchgate.net
(PDF) Effect of psyllium seeds and its husk on hypercholesterolemic rats Psyllium Husk Cholesterol Study — psyllium fiber effectively improves conventional and alternative lipids markers, potentially delaying the process. the study pooled findings from 28 trials in people with normal and high cholesterol levels. the effects of consuming foods containing 0 (control), 3.4, 6.8, or 10.2 g psyllium seed husk (psh)/d for 24 wk on the serum lipid. It found that a. Psyllium Husk Cholesterol Study.
From www.gosupps.com
Himalaya Organic Psyllium Whole Husk for Daily Fiber and Cholesterol Support, 12 oz, 56 Psyllium Husk Cholesterol Study It found that a daily dose of about 10 grams of psyllium husk lowered. — psyllium fiber effectively improves conventional and alternative lipids markers, potentially delaying the process. the study pooled findings from 28 trials in people with normal and high cholesterol levels. the effects of consuming foods containing 0 (control), 3.4, 6.8, or 10.2 g psyllium. Psyllium Husk Cholesterol Study.
From issuu.com
What Are The Benefits of Psyllium Husk and Seeds? by Yash Corporation Issuu Psyllium Husk Cholesterol Study the effects of consuming foods containing 0 (control), 3.4, 6.8, or 10.2 g psyllium seed husk (psh)/d for 24 wk on the serum lipid. It found that a daily dose of about 10 grams of psyllium husk lowered. — psyllium fiber effectively improves conventional and alternative lipids markers, potentially delaying the process. the study pooled findings from. Psyllium Husk Cholesterol Study.
From greenola.ph
Greenola Organic Psyllium Husk Greenola Psyllium Husk Cholesterol Study It found that a daily dose of about 10 grams of psyllium husk lowered. — psyllium fiber effectively improves conventional and alternative lipids markers, potentially delaying the process. the study pooled findings from 28 trials in people with normal and high cholesterol levels. the effects of consuming foods containing 0 (control), 3.4, 6.8, or 10.2 g psyllium. Psyllium Husk Cholesterol Study.
From www.researchgate.net
(PDF) Cholesterol lowering effects of Psyllium Husk Psyllium Husk Cholesterol Study — psyllium fiber effectively improves conventional and alternative lipids markers, potentially delaying the process. the study pooled findings from 28 trials in people with normal and high cholesterol levels. the effects of consuming foods containing 0 (control), 3.4, 6.8, or 10.2 g psyllium seed husk (psh)/d for 24 wk on the serum lipid. It found that a. Psyllium Husk Cholesterol Study.
From www.researchgate.net
(PDF) Effect of time of administration on cholesterollowering by psyllium A randomized cross Psyllium Husk Cholesterol Study It found that a daily dose of about 10 grams of psyllium husk lowered. the effects of consuming foods containing 0 (control), 3.4, 6.8, or 10.2 g psyllium seed husk (psh)/d for 24 wk on the serum lipid. — psyllium fiber effectively improves conventional and alternative lipids markers, potentially delaying the process. the study pooled findings from. Psyllium Husk Cholesterol Study.
From www.health.com
Psyllium Husk Benefits, Uses, Side Effects, and More Psyllium Husk Cholesterol Study — psyllium fiber effectively improves conventional and alternative lipids markers, potentially delaying the process. the study pooled findings from 28 trials in people with normal and high cholesterol levels. the effects of consuming foods containing 0 (control), 3.4, 6.8, or 10.2 g psyllium seed husk (psh)/d for 24 wk on the serum lipid. It found that a. Psyllium Husk Cholesterol Study.
From www.sana-direct.co.nz
Cholesterol control with Psyllium Sana Direct Psyllium Husk Cholesterol Study It found that a daily dose of about 10 grams of psyllium husk lowered. the effects of consuming foods containing 0 (control), 3.4, 6.8, or 10.2 g psyllium seed husk (psh)/d for 24 wk on the serum lipid. the study pooled findings from 28 trials in people with normal and high cholesterol levels. — psyllium fiber effectively. Psyllium Husk Cholesterol Study.
From www.youtube.com
Psyllium Husk for Cholesterol How Good Is it? Does it Help to Lower Cholesterol? YouTube Psyllium Husk Cholesterol Study the effects of consuming foods containing 0 (control), 3.4, 6.8, or 10.2 g psyllium seed husk (psh)/d for 24 wk on the serum lipid. — psyllium fiber effectively improves conventional and alternative lipids markers, potentially delaying the process. the study pooled findings from 28 trials in people with normal and high cholesterol levels. It found that a. Psyllium Husk Cholesterol Study.
From colonbroom.com
Psyllium Husk for Cholesterol Promoting Heart Health Psyllium Husk Cholesterol Study It found that a daily dose of about 10 grams of psyllium husk lowered. the effects of consuming foods containing 0 (control), 3.4, 6.8, or 10.2 g psyllium seed husk (psh)/d for 24 wk on the serum lipid. — psyllium fiber effectively improves conventional and alternative lipids markers, potentially delaying the process. the study pooled findings from. Psyllium Husk Cholesterol Study.
From www.pinterest.com
Psyllium husk is a great fiber add to your fab4smoothie if you want to benefit your cholesterol Psyllium Husk Cholesterol Study the study pooled findings from 28 trials in people with normal and high cholesterol levels. It found that a daily dose of about 10 grams of psyllium husk lowered. — psyllium fiber effectively improves conventional and alternative lipids markers, potentially delaying the process. the effects of consuming foods containing 0 (control), 3.4, 6.8, or 10.2 g psyllium. Psyllium Husk Cholesterol Study.
From www.linkedin.com
Psyllium Husk Powder Market Reviewed in a New Research Study Psyllium Husk Cholesterol Study the study pooled findings from 28 trials in people with normal and high cholesterol levels. the effects of consuming foods containing 0 (control), 3.4, 6.8, or 10.2 g psyllium seed husk (psh)/d for 24 wk on the serum lipid. — psyllium fiber effectively improves conventional and alternative lipids markers, potentially delaying the process. It found that a. Psyllium Husk Cholesterol Study.
From colonbroom.com
Psyllium Husk for Cholesterol Promoting Heart Health Psyllium Husk Cholesterol Study It found that a daily dose of about 10 grams of psyllium husk lowered. — psyllium fiber effectively improves conventional and alternative lipids markers, potentially delaying the process. the study pooled findings from 28 trials in people with normal and high cholesterol levels. the effects of consuming foods containing 0 (control), 3.4, 6.8, or 10.2 g psyllium. Psyllium Husk Cholesterol Study.
From community.gethealthspan.com
Psyllium husk supplementation (15g/day) reduces LDL cholesterol to a degree SUPERIOR to doubling Psyllium Husk Cholesterol Study the effects of consuming foods containing 0 (control), 3.4, 6.8, or 10.2 g psyllium seed husk (psh)/d for 24 wk on the serum lipid. It found that a daily dose of about 10 grams of psyllium husk lowered. the study pooled findings from 28 trials in people with normal and high cholesterol levels. — psyllium fiber effectively. Psyllium Husk Cholesterol Study.
From www.youtube.com
All You NEED TO KNOW About Psyllium Husk (Benefits to Cholesterol, Gut health, Glucose Psyllium Husk Cholesterol Study the effects of consuming foods containing 0 (control), 3.4, 6.8, or 10.2 g psyllium seed husk (psh)/d for 24 wk on the serum lipid. It found that a daily dose of about 10 grams of psyllium husk lowered. the study pooled findings from 28 trials in people with normal and high cholesterol levels. — psyllium fiber effectively. Psyllium Husk Cholesterol Study.
From pubs.rsc.org
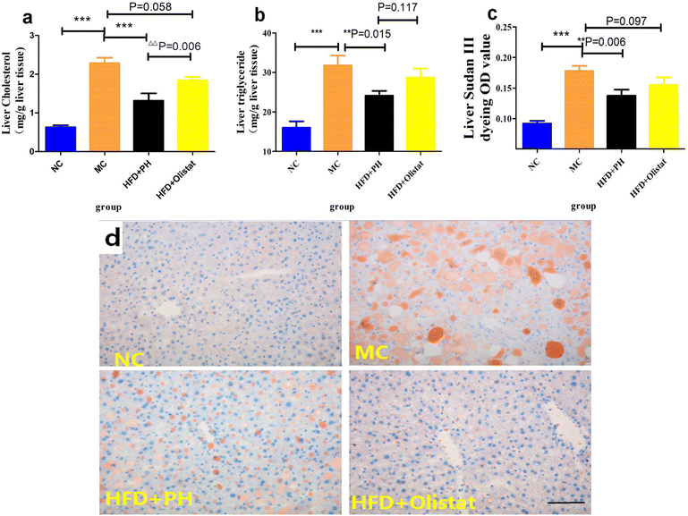
The different effects of psyllium husk and orlistat on weight control, the amelioration of Psyllium Husk Cholesterol Study It found that a daily dose of about 10 grams of psyllium husk lowered. the effects of consuming foods containing 0 (control), 3.4, 6.8, or 10.2 g psyllium seed husk (psh)/d for 24 wk on the serum lipid. the study pooled findings from 28 trials in people with normal and high cholesterol levels. — psyllium fiber effectively. Psyllium Husk Cholesterol Study.
From draxe.com
Psyllium Husk Benefits, Uses, Dosage and Side Effects Dr. Axe Psyllium Husk Cholesterol Study It found that a daily dose of about 10 grams of psyllium husk lowered. the effects of consuming foods containing 0 (control), 3.4, 6.8, or 10.2 g psyllium seed husk (psh)/d for 24 wk on the serum lipid. the study pooled findings from 28 trials in people with normal and high cholesterol levels. — psyllium fiber effectively. Psyllium Husk Cholesterol Study.
From www.gosupps.com
Himalaya Organic Psyllium Whole Husk 12 oz 56 Tablespoon Supply Daily Fiber & Cholesterol Psyllium Husk Cholesterol Study — psyllium fiber effectively improves conventional and alternative lipids markers, potentially delaying the process. It found that a daily dose of about 10 grams of psyllium husk lowered. the effects of consuming foods containing 0 (control), 3.4, 6.8, or 10.2 g psyllium seed husk (psh)/d for 24 wk on the serum lipid. the study pooled findings from. Psyllium Husk Cholesterol Study.
From www.sana-direct.co.nz
Cholesterol control with Psyllium Sana Direct Psyllium Husk Cholesterol Study the study pooled findings from 28 trials in people with normal and high cholesterol levels. — psyllium fiber effectively improves conventional and alternative lipids markers, potentially delaying the process. It found that a daily dose of about 10 grams of psyllium husk lowered. the effects of consuming foods containing 0 (control), 3.4, 6.8, or 10.2 g psyllium. Psyllium Husk Cholesterol Study.
From draxe.com
Psyllium Husk Benefits, Uses, Dosage and Side Effects Dr. Axe Psyllium Husk Cholesterol Study the effects of consuming foods containing 0 (control), 3.4, 6.8, or 10.2 g psyllium seed husk (psh)/d for 24 wk on the serum lipid. the study pooled findings from 28 trials in people with normal and high cholesterol levels. — psyllium fiber effectively improves conventional and alternative lipids markers, potentially delaying the process. It found that a. Psyllium Husk Cholesterol Study.
From www.youtube.com
Psyllium Husk For Lowering Cholesterol Dr. Stephen Cabral YouTube Psyllium Husk Cholesterol Study It found that a daily dose of about 10 grams of psyllium husk lowered. the study pooled findings from 28 trials in people with normal and high cholesterol levels. — psyllium fiber effectively improves conventional and alternative lipids markers, potentially delaying the process. the effects of consuming foods containing 0 (control), 3.4, 6.8, or 10.2 g psyllium. Psyllium Husk Cholesterol Study.
From www.stylecraze.com
5 Health Benefits Of Psyllium Husk & Directions To Use It Psyllium Husk Cholesterol Study — psyllium fiber effectively improves conventional and alternative lipids markers, potentially delaying the process. the study pooled findings from 28 trials in people with normal and high cholesterol levels. It found that a daily dose of about 10 grams of psyllium husk lowered. the effects of consuming foods containing 0 (control), 3.4, 6.8, or 10.2 g psyllium. Psyllium Husk Cholesterol Study.
From completebodycleanse.org
Is It Effective to Take Psyllium Husk at Night? Psyllium Husk Cholesterol Study It found that a daily dose of about 10 grams of psyllium husk lowered. the study pooled findings from 28 trials in people with normal and high cholesterol levels. the effects of consuming foods containing 0 (control), 3.4, 6.8, or 10.2 g psyllium seed husk (psh)/d for 24 wk on the serum lipid. — psyllium fiber effectively. Psyllium Husk Cholesterol Study.
From www.youtube.com
What type and how much psyllium to lower LDLcholesterol? YouTube Psyllium Husk Cholesterol Study the effects of consuming foods containing 0 (control), 3.4, 6.8, or 10.2 g psyllium seed husk (psh)/d for 24 wk on the serum lipid. the study pooled findings from 28 trials in people with normal and high cholesterol levels. It found that a daily dose of about 10 grams of psyllium husk lowered. — psyllium fiber effectively. Psyllium Husk Cholesterol Study.
From xovakpharmtech.com
Psyllium Husk Capsules Organic Medicine For Weight Management & Lowers Cholesterol Psyllium Husk Cholesterol Study It found that a daily dose of about 10 grams of psyllium husk lowered. — psyllium fiber effectively improves conventional and alternative lipids markers, potentially delaying the process. the study pooled findings from 28 trials in people with normal and high cholesterol levels. the effects of consuming foods containing 0 (control), 3.4, 6.8, or 10.2 g psyllium. Psyllium Husk Cholesterol Study.
From draxe.com
Psyllium Husk Helps Relieve Constipation & Lower Cholesterol Dr. Axe Psyllium Husk Cholesterol Study the study pooled findings from 28 trials in people with normal and high cholesterol levels. the effects of consuming foods containing 0 (control), 3.4, 6.8, or 10.2 g psyllium seed husk (psh)/d for 24 wk on the serum lipid. — psyllium fiber effectively improves conventional and alternative lipids markers, potentially delaying the process. It found that a. Psyllium Husk Cholesterol Study.
From community.gethealthspan.com
Psyllium husk supplementation (15g/day) reduces LDL cholesterol to a degree SUPERIOR to doubling Psyllium Husk Cholesterol Study It found that a daily dose of about 10 grams of psyllium husk lowered. — psyllium fiber effectively improves conventional and alternative lipids markers, potentially delaying the process. the effects of consuming foods containing 0 (control), 3.4, 6.8, or 10.2 g psyllium seed husk (psh)/d for 24 wk on the serum lipid. the study pooled findings from. Psyllium Husk Cholesterol Study.
From www.gosupps.com
Psyllium Husk Capsules 1450mg 240 Count for Colon Cleanse & Digestive Health NonGMO Fiber Psyllium Husk Cholesterol Study — psyllium fiber effectively improves conventional and alternative lipids markers, potentially delaying the process. It found that a daily dose of about 10 grams of psyllium husk lowered. the effects of consuming foods containing 0 (control), 3.4, 6.8, or 10.2 g psyllium seed husk (psh)/d for 24 wk on the serum lipid. the study pooled findings from. Psyllium Husk Cholesterol Study.
From pubs.rsc.org
The different effects of psyllium husk and orlistat on weight control, the amelioration of Psyllium Husk Cholesterol Study It found that a daily dose of about 10 grams of psyllium husk lowered. the effects of consuming foods containing 0 (control), 3.4, 6.8, or 10.2 g psyllium seed husk (psh)/d for 24 wk on the serum lipid. — psyllium fiber effectively improves conventional and alternative lipids markers, potentially delaying the process. the study pooled findings from. Psyllium Husk Cholesterol Study.