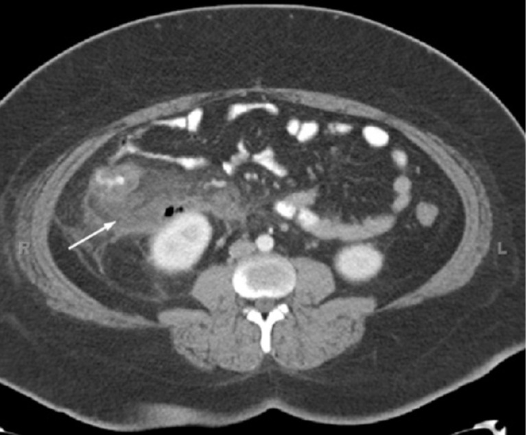
Ct Scan For Abdominal Pain . Abdominal ct scans are used when a doctor suspects something might be wrong in the abdominal area but can’t find enough information through a physical exam or lab. Ct scans can detect a pancreatic lesion or a large gastrointestinal mass, but a normal ‘standard’ protocol ct scan (that is,. A good physician history and physical exam are. Acute cholecystitis, pancreatic abscess, pancreatitis, alcoholic liver disease, or blockage of bile ducts can be diagnosed through abdominal. It can help diagnose abdominal problems, such as. A ct scan of the abdomen is one component of the workup of abdominal pain. Computed tomography (ct) is recommended for evaluating right or left lower quadrant pain. Axial (a) and coronal (b) views reveal diffuse mural and periappendiceal edema, with thickening of the appendix (red arrows).
from www.pinterest.co.uk
Computed tomography (ct) is recommended for evaluating right or left lower quadrant pain. Axial (a) and coronal (b) views reveal diffuse mural and periappendiceal edema, with thickening of the appendix (red arrows). A good physician history and physical exam are. A ct scan of the abdomen is one component of the workup of abdominal pain. Abdominal ct scans are used when a doctor suspects something might be wrong in the abdominal area but can’t find enough information through a physical exam or lab. Ct scans can detect a pancreatic lesion or a large gastrointestinal mass, but a normal ‘standard’ protocol ct scan (that is,. It can help diagnose abdominal problems, such as. Acute cholecystitis, pancreatic abscess, pancreatitis, alcoholic liver disease, or blockage of bile ducts can be diagnosed through abdominal.
Radiology basics of abdominal CT anatomy with annotated coronal images
Ct Scan For Abdominal Pain A ct scan of the abdomen is one component of the workup of abdominal pain. A good physician history and physical exam are. Axial (a) and coronal (b) views reveal diffuse mural and periappendiceal edema, with thickening of the appendix (red arrows). It can help diagnose abdominal problems, such as. Abdominal ct scans are used when a doctor suspects something might be wrong in the abdominal area but can’t find enough information through a physical exam or lab. Acute cholecystitis, pancreatic abscess, pancreatitis, alcoholic liver disease, or blockage of bile ducts can be diagnosed through abdominal. Computed tomography (ct) is recommended for evaluating right or left lower quadrant pain. Ct scans can detect a pancreatic lesion or a large gastrointestinal mass, but a normal ‘standard’ protocol ct scan (that is,. A ct scan of the abdomen is one component of the workup of abdominal pain.
From www.youtube.com
How to interpret an abdominal CT YouTube Ct Scan For Abdominal Pain Ct scans can detect a pancreatic lesion or a large gastrointestinal mass, but a normal ‘standard’ protocol ct scan (that is,. Axial (a) and coronal (b) views reveal diffuse mural and periappendiceal edema, with thickening of the appendix (red arrows). A good physician history and physical exam are. Abdominal ct scans are used when a doctor suspects something might be. Ct Scan For Abdominal Pain.
From mungfali.com
CT Scan Abdomen Anatomy Ct Scan For Abdominal Pain A good physician history and physical exam are. Axial (a) and coronal (b) views reveal diffuse mural and periappendiceal edema, with thickening of the appendix (red arrows). Acute cholecystitis, pancreatic abscess, pancreatitis, alcoholic liver disease, or blockage of bile ducts can be diagnosed through abdominal. Computed tomography (ct) is recommended for evaluating right or left lower quadrant pain. It can. Ct Scan For Abdominal Pain.
From forum.facmedicine.com
How To Read CT Scan CT Abdomen Faculty of Medicine Ct Scan For Abdominal Pain It can help diagnose abdominal problems, such as. Computed tomography (ct) is recommended for evaluating right or left lower quadrant pain. A ct scan of the abdomen is one component of the workup of abdominal pain. Ct scans can detect a pancreatic lesion or a large gastrointestinal mass, but a normal ‘standard’ protocol ct scan (that is,. Axial (a) and. Ct Scan For Abdominal Pain.
From www.medicalnewstoday.com
Abdominal CT scans Definition, uses, picture, and more Ct Scan For Abdominal Pain Axial (a) and coronal (b) views reveal diffuse mural and periappendiceal edema, with thickening of the appendix (red arrows). Ct scans can detect a pancreatic lesion or a large gastrointestinal mass, but a normal ‘standard’ protocol ct scan (that is,. A ct scan of the abdomen is one component of the workup of abdominal pain. Acute cholecystitis, pancreatic abscess, pancreatitis,. Ct Scan For Abdominal Pain.
From www.animalia-life.club
Normal Ct Scan Abdomen Ct Scan For Abdominal Pain Axial (a) and coronal (b) views reveal diffuse mural and periappendiceal edema, with thickening of the appendix (red arrows). Ct scans can detect a pancreatic lesion or a large gastrointestinal mass, but a normal ‘standard’ protocol ct scan (that is,. A ct scan of the abdomen is one component of the workup of abdominal pain. A good physician history and. Ct Scan For Abdominal Pain.
From litfl.com
Abdominal CT Phases • LITFL • Radiology library Ct Scan For Abdominal Pain Axial (a) and coronal (b) views reveal diffuse mural and periappendiceal edema, with thickening of the appendix (red arrows). A ct scan of the abdomen is one component of the workup of abdominal pain. A good physician history and physical exam are. Ct scans can detect a pancreatic lesion or a large gastrointestinal mass, but a normal ‘standard’ protocol ct. Ct Scan For Abdominal Pain.
From www.gynecoloncol.com
Abdominal CT Scan Information for Patients GynecolOncol Ct Scan For Abdominal Pain A good physician history and physical exam are. Abdominal ct scans are used when a doctor suspects something might be wrong in the abdominal area but can’t find enough information through a physical exam or lab. Axial (a) and coronal (b) views reveal diffuse mural and periappendiceal edema, with thickening of the appendix (red arrows). It can help diagnose abdominal. Ct Scan For Abdominal Pain.
From leftabdominalpainagai.blogspot.com
Left Abdominal Pain Lower Left Abdominal Pain Ct Scan Normal Ct Scan For Abdominal Pain Abdominal ct scans are used when a doctor suspects something might be wrong in the abdominal area but can’t find enough information through a physical exam or lab. A good physician history and physical exam are. Acute cholecystitis, pancreatic abscess, pancreatitis, alcoholic liver disease, or blockage of bile ducts can be diagnosed through abdominal. Axial (a) and coronal (b) views. Ct Scan For Abdominal Pain.
From bluegrassregionalimaging.com
Abdominal CT Scan Bluegrass Regional Imaging Ct Scan For Abdominal Pain Acute cholecystitis, pancreatic abscess, pancreatitis, alcoholic liver disease, or blockage of bile ducts can be diagnosed through abdominal. Ct scans can detect a pancreatic lesion or a large gastrointestinal mass, but a normal ‘standard’ protocol ct scan (that is,. Computed tomography (ct) is recommended for evaluating right or left lower quadrant pain. Abdominal ct scans are used when a doctor. Ct Scan For Abdominal Pain.
From litfl.com
Abdominal CT Phases • LITFL • Radiology library Ct Scan For Abdominal Pain Computed tomography (ct) is recommended for evaluating right or left lower quadrant pain. Acute cholecystitis, pancreatic abscess, pancreatitis, alcoholic liver disease, or blockage of bile ducts can be diagnosed through abdominal. Ct scans can detect a pancreatic lesion or a large gastrointestinal mass, but a normal ‘standard’ protocol ct scan (that is,. A ct scan of the abdomen is one. Ct Scan For Abdominal Pain.
From www.dxline.info
Abdominal CT scan. Causes, symptoms, treatment Abdominal CT scan Ct Scan For Abdominal Pain A good physician history and physical exam are. Axial (a) and coronal (b) views reveal diffuse mural and periappendiceal edema, with thickening of the appendix (red arrows). Acute cholecystitis, pancreatic abscess, pancreatitis, alcoholic liver disease, or blockage of bile ducts can be diagnosed through abdominal. Abdominal ct scans are used when a doctor suspects something might be wrong in the. Ct Scan For Abdominal Pain.
From www.shutterstock.com
Ct Scan Abdomen By Mri Scan Stock Photo (Edit Now) 790209895 Ct Scan For Abdominal Pain Computed tomography (ct) is recommended for evaluating right or left lower quadrant pain. Abdominal ct scans are used when a doctor suspects something might be wrong in the abdominal area but can’t find enough information through a physical exam or lab. Axial (a) and coronal (b) views reveal diffuse mural and periappendiceal edema, with thickening of the appendix (red arrows).. Ct Scan For Abdominal Pain.
From www.shutterstock.com
Ct Scan Whole Abdomen Abdominal Pain Foto Stok 401830768 Shutterstock Ct Scan For Abdominal Pain It can help diagnose abdominal problems, such as. A ct scan of the abdomen is one component of the workup of abdominal pain. Acute cholecystitis, pancreatic abscess, pancreatitis, alcoholic liver disease, or blockage of bile ducts can be diagnosed through abdominal. Abdominal ct scans are used when a doctor suspects something might be wrong in the abdominal area but can’t. Ct Scan For Abdominal Pain.
From www.dreamstime.com
CT Scan of Abdomen of Man in Medical Clinic. Man is Doing Computed Ct Scan For Abdominal Pain Computed tomography (ct) is recommended for evaluating right or left lower quadrant pain. Ct scans can detect a pancreatic lesion or a large gastrointestinal mass, but a normal ‘standard’ protocol ct scan (that is,. Acute cholecystitis, pancreatic abscess, pancreatitis, alcoholic liver disease, or blockage of bile ducts can be diagnosed through abdominal. A good physician history and physical exam are.. Ct Scan For Abdominal Pain.
From www.healthline.com
Abdominal CT Scan with Contrast Purpose, Risks, and More Ct Scan For Abdominal Pain Axial (a) and coronal (b) views reveal diffuse mural and periappendiceal edema, with thickening of the appendix (red arrows). Computed tomography (ct) is recommended for evaluating right or left lower quadrant pain. Acute cholecystitis, pancreatic abscess, pancreatitis, alcoholic liver disease, or blockage of bile ducts can be diagnosed through abdominal. Ct scans can detect a pancreatic lesion or a large. Ct Scan For Abdominal Pain.
From litfl.com
Abdominal CT Basics • LITFL • Radiology library Ct Scan For Abdominal Pain Ct scans can detect a pancreatic lesion or a large gastrointestinal mass, but a normal ‘standard’ protocol ct scan (that is,. Abdominal ct scans are used when a doctor suspects something might be wrong in the abdominal area but can’t find enough information through a physical exam or lab. Acute cholecystitis, pancreatic abscess, pancreatitis, alcoholic liver disease, or blockage of. Ct Scan For Abdominal Pain.
From www.cancer.gov
Computed Tomography (CT) Scans and Cancer Fact Sheet National Cancer Ct Scan For Abdominal Pain A ct scan of the abdomen is one component of the workup of abdominal pain. A good physician history and physical exam are. Acute cholecystitis, pancreatic abscess, pancreatitis, alcoholic liver disease, or blockage of bile ducts can be diagnosed through abdominal. Abdominal ct scans are used when a doctor suspects something might be wrong in the abdominal area but can’t. Ct Scan For Abdominal Pain.
From www.pinterest.co.uk
Radiology basics of abdominal CT anatomy with annotated coronal images Ct Scan For Abdominal Pain Abdominal ct scans are used when a doctor suspects something might be wrong in the abdominal area but can’t find enough information through a physical exam or lab. Ct scans can detect a pancreatic lesion or a large gastrointestinal mass, but a normal ‘standard’ protocol ct scan (that is,. A ct scan of the abdomen is one component of the. Ct Scan For Abdominal Pain.
From www.dreamstime.com
CT Scan of Abdominal of Man in Medical Clinic. Man is Doing Computed Ct Scan For Abdominal Pain Abdominal ct scans are used when a doctor suspects something might be wrong in the abdominal area but can’t find enough information through a physical exam or lab. A good physician history and physical exam are. Ct scans can detect a pancreatic lesion or a large gastrointestinal mass, but a normal ‘standard’ protocol ct scan (that is,. A ct scan. Ct Scan For Abdominal Pain.
From litfl.com
Abdominal CT Basics • LITFL • Radiology library Ct Scan For Abdominal Pain It can help diagnose abdominal problems, such as. A ct scan of the abdomen is one component of the workup of abdominal pain. Axial (a) and coronal (b) views reveal diffuse mural and periappendiceal edema, with thickening of the appendix (red arrows). Ct scans can detect a pancreatic lesion or a large gastrointestinal mass, but a normal ‘standard’ protocol ct. Ct Scan For Abdominal Pain.
From litfl.com
What is the role of Abdominal CT? • LITFL • Radiology library Ct Scan For Abdominal Pain It can help diagnose abdominal problems, such as. Axial (a) and coronal (b) views reveal diffuse mural and periappendiceal edema, with thickening of the appendix (red arrows). Ct scans can detect a pancreatic lesion or a large gastrointestinal mass, but a normal ‘standard’ protocol ct scan (that is,. A ct scan of the abdomen is one component of the workup. Ct Scan For Abdominal Pain.
From litfl.com
Abdominal CT Planes • LITFL • Radiology library Ct Scan For Abdominal Pain Abdominal ct scans are used when a doctor suspects something might be wrong in the abdominal area but can’t find enough information through a physical exam or lab. A good physician history and physical exam are. Axial (a) and coronal (b) views reveal diffuse mural and periappendiceal edema, with thickening of the appendix (red arrows). A ct scan of the. Ct Scan For Abdominal Pain.
From theodc.net
CT whole abdomen ODC Ct Scan For Abdominal Pain Axial (a) and coronal (b) views reveal diffuse mural and periappendiceal edema, with thickening of the appendix (red arrows). Ct scans can detect a pancreatic lesion or a large gastrointestinal mass, but a normal ‘standard’ protocol ct scan (that is,. A ct scan of the abdomen is one component of the workup of abdominal pain. A good physician history and. Ct Scan For Abdominal Pain.
From litfl.com
Abdominal CT Basics • LITFL • Radiology library Ct Scan For Abdominal Pain A ct scan of the abdomen is one component of the workup of abdominal pain. Ct scans can detect a pancreatic lesion or a large gastrointestinal mass, but a normal ‘standard’ protocol ct scan (that is,. Abdominal ct scans are used when a doctor suspects something might be wrong in the abdominal area but can’t find enough information through a. Ct Scan For Abdominal Pain.
From x-ray.ca
Abdomen CT Insight Medical Imaging Ct Scan For Abdominal Pain Acute cholecystitis, pancreatic abscess, pancreatitis, alcoholic liver disease, or blockage of bile ducts can be diagnosed through abdominal. Computed tomography (ct) is recommended for evaluating right or left lower quadrant pain. It can help diagnose abdominal problems, such as. A good physician history and physical exam are. Ct scans can detect a pancreatic lesion or a large gastrointestinal mass, but. Ct Scan For Abdominal Pain.
From litfl.com
Abdominal CT Planes • LITFL • Radiology library Ct Scan For Abdominal Pain Abdominal ct scans are used when a doctor suspects something might be wrong in the abdominal area but can’t find enough information through a physical exam or lab. A good physician history and physical exam are. Axial (a) and coronal (b) views reveal diffuse mural and periappendiceal edema, with thickening of the appendix (red arrows). A ct scan of the. Ct Scan For Abdominal Pain.
From www.scribd.com
CT Scan_Abdominal Pain Modulk Ct Scan For Abdominal Pain Abdominal ct scans are used when a doctor suspects something might be wrong in the abdominal area but can’t find enough information through a physical exam or lab. Computed tomography (ct) is recommended for evaluating right or left lower quadrant pain. Acute cholecystitis, pancreatic abscess, pancreatitis, alcoholic liver disease, or blockage of bile ducts can be diagnosed through abdominal. Axial. Ct Scan For Abdominal Pain.
From www.alamy.com
CT Scan of whole body with injection contrast media coronal view for Ct Scan For Abdominal Pain Computed tomography (ct) is recommended for evaluating right or left lower quadrant pain. A good physician history and physical exam are. Ct scans can detect a pancreatic lesion or a large gastrointestinal mass, but a normal ‘standard’ protocol ct scan (that is,. Abdominal ct scans are used when a doctor suspects something might be wrong in the abdominal area but. Ct Scan For Abdominal Pain.
From www.touchstoneimaging.com
How Long Does a CT Scan of the Abdomen Take? • Touchstone Medical Imaging Ct Scan For Abdominal Pain Acute cholecystitis, pancreatic abscess, pancreatitis, alcoholic liver disease, or blockage of bile ducts can be diagnosed through abdominal. Abdominal ct scans are used when a doctor suspects something might be wrong in the abdominal area but can’t find enough information through a physical exam or lab. Ct scans can detect a pancreatic lesion or a large gastrointestinal mass, but a. Ct Scan For Abdominal Pain.
From www.kenhub.com
Abdominal CT How to read the abdominal CT Kenhub Ct Scan For Abdominal Pain A good physician history and physical exam are. Computed tomography (ct) is recommended for evaluating right or left lower quadrant pain. Axial (a) and coronal (b) views reveal diffuse mural and periappendiceal edema, with thickening of the appendix (red arrows). Ct scans can detect a pancreatic lesion or a large gastrointestinal mass, but a normal ‘standard’ protocol ct scan (that. Ct Scan For Abdominal Pain.
From litfl.com
Abdominal CT Basics • LITFL • Radiology library Ct Scan For Abdominal Pain Abdominal ct scans are used when a doctor suspects something might be wrong in the abdominal area but can’t find enough information through a physical exam or lab. Acute cholecystitis, pancreatic abscess, pancreatitis, alcoholic liver disease, or blockage of bile ducts can be diagnosed through abdominal. Axial (a) and coronal (b) views reveal diffuse mural and periappendiceal edema, with thickening. Ct Scan For Abdominal Pain.
From www.melbourneradiology.com.au
CT Scan with IV Contrast Patient Fact Sheet Ct Scan For Abdominal Pain Abdominal ct scans are used when a doctor suspects something might be wrong in the abdominal area but can’t find enough information through a physical exam or lab. A ct scan of the abdomen is one component of the workup of abdominal pain. Computed tomography (ct) is recommended for evaluating right or left lower quadrant pain. Ct scans can detect. Ct Scan For Abdominal Pain.
From litfl.com
Abdominal CT diverticulitis • LITFL • Radiology Library Ct Scan For Abdominal Pain A ct scan of the abdomen is one component of the workup of abdominal pain. Abdominal ct scans are used when a doctor suspects something might be wrong in the abdominal area but can’t find enough information through a physical exam or lab. Computed tomography (ct) is recommended for evaluating right or left lower quadrant pain. Axial (a) and coronal. Ct Scan For Abdominal Pain.
From mavink.com
Abdominal Ct Scan Pancreatic Cancer Ct Scan For Abdominal Pain Computed tomography (ct) is recommended for evaluating right or left lower quadrant pain. Axial (a) and coronal (b) views reveal diffuse mural and periappendiceal edema, with thickening of the appendix (red arrows). Abdominal ct scans are used when a doctor suspects something might be wrong in the abdominal area but can’t find enough information through a physical exam or lab.. Ct Scan For Abdominal Pain.
From pulskardioloskicentar.rs
Abdominal And Pelvic CT Scanner Belgrade Pulse Cardiology Center Ct Scan For Abdominal Pain Acute cholecystitis, pancreatic abscess, pancreatitis, alcoholic liver disease, or blockage of bile ducts can be diagnosed through abdominal. Abdominal ct scans are used when a doctor suspects something might be wrong in the abdominal area but can’t find enough information through a physical exam or lab. A good physician history and physical exam are. Computed tomography (ct) is recommended for. Ct Scan For Abdominal Pain.