How Often Should I Have An Mri With Ms . How often you need to get an mri for ms varies, but generally people with ms first have an mri at the time of diagnosis, then again after starting disease modifying. When making the diagnosis of ms, brain and cervical spinal cord mris. The same modality should be used each time. The guidelines are published in the lancet neurology and aim to improve the use of mri for people with multiple sclerosis (ms). So, what's happening here and what should someone do? When the first mri does not fulfill the criteria, brain mri every 6 to 12 months in clinically isolated syndrome and subclinical ms radiologically isolated syndrome is. But, there's lots of factors to consider when deciding how often to have a scan. When should an mri of the brain be obtained? Changes in mri acquisition protocols. Research has highlighted the benefits of regular mri scans to monitor ms and inform treatment decisions.
from radiologycases.my
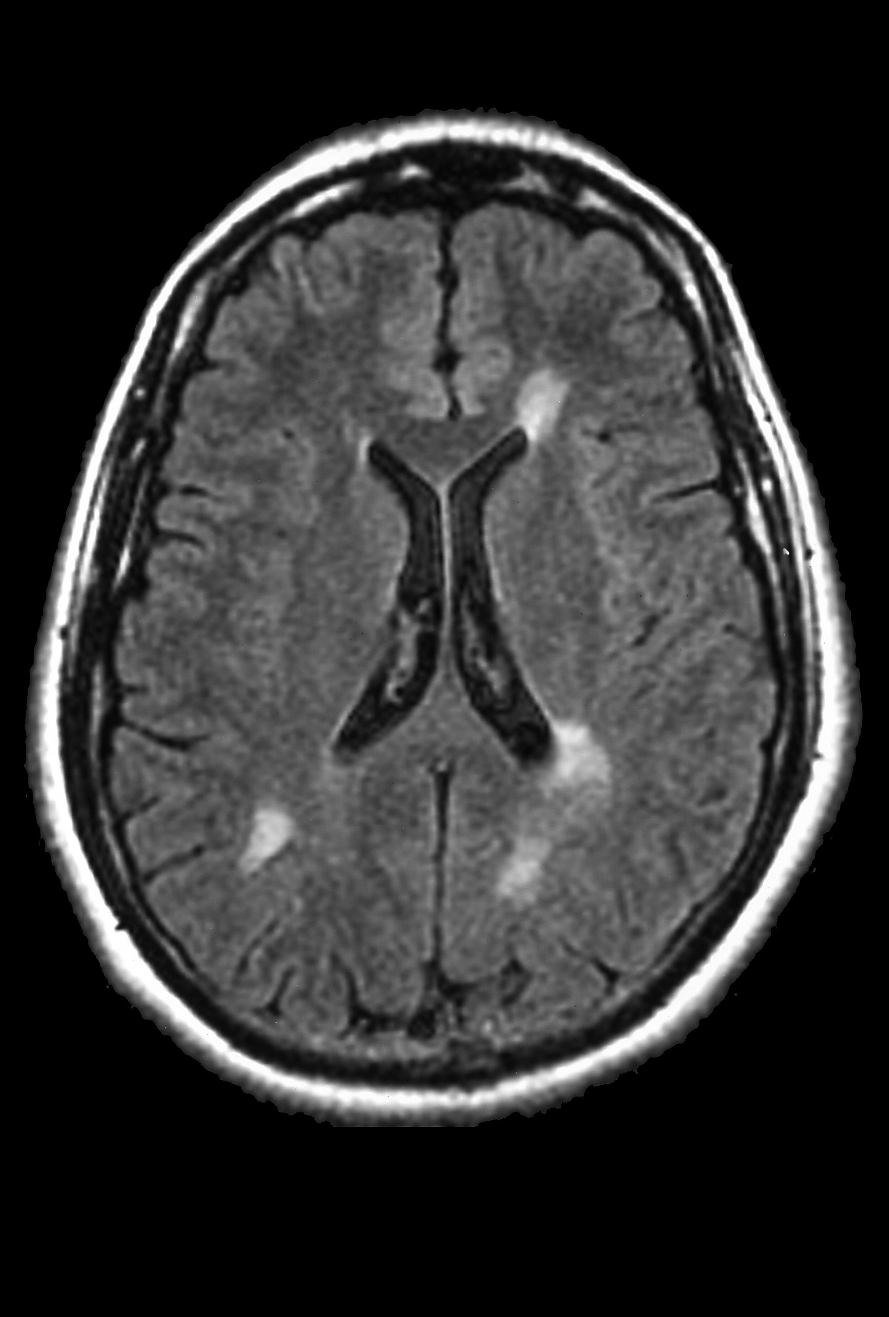
So, what's happening here and what should someone do? Research has highlighted the benefits of regular mri scans to monitor ms and inform treatment decisions. When the first mri does not fulfill the criteria, brain mri every 6 to 12 months in clinically isolated syndrome and subclinical ms radiologically isolated syndrome is. When should an mri of the brain be obtained? The same modality should be used each time. But, there's lots of factors to consider when deciding how often to have a scan. When making the diagnosis of ms, brain and cervical spinal cord mris. How often you need to get an mri for ms varies, but generally people with ms first have an mri at the time of diagnosis, then again after starting disease modifying. The guidelines are published in the lancet neurology and aim to improve the use of mri for people with multiple sclerosis (ms). Changes in mri acquisition protocols.
Multiple Sclerosis Radiology Cases
How Often Should I Have An Mri With Ms How often you need to get an mri for ms varies, but generally people with ms first have an mri at the time of diagnosis, then again after starting disease modifying. When making the diagnosis of ms, brain and cervical spinal cord mris. So, what's happening here and what should someone do? Changes in mri acquisition protocols. The same modality should be used each time. How often you need to get an mri for ms varies, but generally people with ms first have an mri at the time of diagnosis, then again after starting disease modifying. When the first mri does not fulfill the criteria, brain mri every 6 to 12 months in clinically isolated syndrome and subclinical ms radiologically isolated syndrome is. But, there's lots of factors to consider when deciding how often to have a scan. When should an mri of the brain be obtained? Research has highlighted the benefits of regular mri scans to monitor ms and inform treatment decisions. The guidelines are published in the lancet neurology and aim to improve the use of mri for people with multiple sclerosis (ms).
From radiologycases.my
Multiple sclerosis Radiology Cases How Often Should I Have An Mri With Ms So, what's happening here and what should someone do? The guidelines are published in the lancet neurology and aim to improve the use of mri for people with multiple sclerosis (ms). When making the diagnosis of ms, brain and cervical spinal cord mris. When the first mri does not fulfill the criteria, brain mri every 6 to 12 months in. How Often Should I Have An Mri With Ms.
From fineartamerica.com
Mri Of Multiple Sclerosis Photograph by Medical Body Scans How Often Should I Have An Mri With Ms So, what's happening here and what should someone do? When making the diagnosis of ms, brain and cervical spinal cord mris. How often you need to get an mri for ms varies, but generally people with ms first have an mri at the time of diagnosis, then again after starting disease modifying. The guidelines are published in the lancet neurology. How Often Should I Have An Mri With Ms.
From healthjade.com
Demyelination definition, causes, symptoms, diagnosis & treatment How Often Should I Have An Mri With Ms The guidelines are published in the lancet neurology and aim to improve the use of mri for people with multiple sclerosis (ms). Changes in mri acquisition protocols. When should an mri of the brain be obtained? So, what's happening here and what should someone do? But, there's lots of factors to consider when deciding how often to have a scan.. How Often Should I Have An Mri With Ms.
From www.dreamstime.com
MRI Brain Scans of a Patient with Multiple Sclerosis Stock Image How Often Should I Have An Mri With Ms When should an mri of the brain be obtained? The guidelines are published in the lancet neurology and aim to improve the use of mri for people with multiple sclerosis (ms). When the first mri does not fulfill the criteria, brain mri every 6 to 12 months in clinically isolated syndrome and subclinical ms radiologically isolated syndrome is. Research has. How Often Should I Have An Mri With Ms.
From www.neutechmedical.com
Normal Vs MS Brain MRI Images Archives How Often Should I Have An Mri With Ms When should an mri of the brain be obtained? Changes in mri acquisition protocols. The guidelines are published in the lancet neurology and aim to improve the use of mri for people with multiple sclerosis (ms). But, there's lots of factors to consider when deciding how often to have a scan. So, what's happening here and what should someone do?. How Often Should I Have An Mri With Ms.
From www.neutechmedical.com
Normal Vs MS Brain MRI Images Archives How Often Should I Have An Mri With Ms The guidelines are published in the lancet neurology and aim to improve the use of mri for people with multiple sclerosis (ms). When making the diagnosis of ms, brain and cervical spinal cord mris. But, there's lots of factors to consider when deciding how often to have a scan. When the first mri does not fulfill the criteria, brain mri. How Often Should I Have An Mri With Ms.
From www.neutechmedical.com
Normal Brain MRI Vs MS Best Way to Learn 24 AR Medical Technology How Often Should I Have An Mri With Ms When the first mri does not fulfill the criteria, brain mri every 6 to 12 months in clinically isolated syndrome and subclinical ms radiologically isolated syndrome is. The guidelines are published in the lancet neurology and aim to improve the use of mri for people with multiple sclerosis (ms). So, what's happening here and what should someone do? Research has. How Often Should I Have An Mri With Ms.
From www.sciencephoto.com
Multiple sclerosis, MRI scans Stock Image C047/4261 Science Photo How Often Should I Have An Mri With Ms How often you need to get an mri for ms varies, but generally people with ms first have an mri at the time of diagnosis, then again after starting disease modifying. Changes in mri acquisition protocols. When making the diagnosis of ms, brain and cervical spinal cord mris. When the first mri does not fulfill the criteria, brain mri every. How Often Should I Have An Mri With Ms.
From radiologycases.my
Multiple Sclerosis Radiology Cases How Often Should I Have An Mri With Ms How often you need to get an mri for ms varies, but generally people with ms first have an mri at the time of diagnosis, then again after starting disease modifying. Research has highlighted the benefits of regular mri scans to monitor ms and inform treatment decisions. The guidelines are published in the lancet neurology and aim to improve the. How Often Should I Have An Mri With Ms.
From www.alamy.com
A MRI brain scans of a patient with Multiple Sclerosis Stock Photo Alamy How Often Should I Have An Mri With Ms When should an mri of the brain be obtained? The same modality should be used each time. When making the diagnosis of ms, brain and cervical spinal cord mris. Research has highlighted the benefits of regular mri scans to monitor ms and inform treatment decisions. How often you need to get an mri for ms varies, but generally people with. How Often Should I Have An Mri With Ms.
From www.medicalnewstoday.com
Multiple sclerosis (MS) Tests and diagnosis How Often Should I Have An Mri With Ms When should an mri of the brain be obtained? Changes in mri acquisition protocols. When making the diagnosis of ms, brain and cervical spinal cord mris. The guidelines are published in the lancet neurology and aim to improve the use of mri for people with multiple sclerosis (ms). The same modality should be used each time. Research has highlighted the. How Often Should I Have An Mri With Ms.
From multiplesclerosisnewstoday.com
MRI and MS diagnosis Does MS show up on MRI? Multiple Sclerosis How Often Should I Have An Mri With Ms Research has highlighted the benefits of regular mri scans to monitor ms and inform treatment decisions. Changes in mri acquisition protocols. So, what's happening here and what should someone do? When the first mri does not fulfill the criteria, brain mri every 6 to 12 months in clinically isolated syndrome and subclinical ms radiologically isolated syndrome is. When making the. How Often Should I Have An Mri With Ms.
From www.vrogue.co
Typical Imaging Features Of Multiple Sclerosis With C vrogue.co How Often Should I Have An Mri With Ms So, what's happening here and what should someone do? The guidelines are published in the lancet neurology and aim to improve the use of mri for people with multiple sclerosis (ms). But, there's lots of factors to consider when deciding how often to have a scan. The same modality should be used each time. When making the diagnosis of ms,. How Often Should I Have An Mri With Ms.
From www.verywellhealth.com
Resonance Imaging (MRI) Uses, Procedure, Results How Often Should I Have An Mri With Ms So, what's happening here and what should someone do? Changes in mri acquisition protocols. When making the diagnosis of ms, brain and cervical spinal cord mris. How often you need to get an mri for ms varies, but generally people with ms first have an mri at the time of diagnosis, then again after starting disease modifying. The same modality. How Often Should I Have An Mri With Ms.
From www.alamy.com
MRI Scan image of a human brain showing all main multiple sclerosis How Often Should I Have An Mri With Ms When making the diagnosis of ms, brain and cervical spinal cord mris. Changes in mri acquisition protocols. Research has highlighted the benefits of regular mri scans to monitor ms and inform treatment decisions. When should an mri of the brain be obtained? So, what's happening here and what should someone do? When the first mri does not fulfill the criteria,. How Often Should I Have An Mri With Ms.
From www.sciencephoto.com
Multiple sclerosis, MRI scans Stock Image C047/4264 Science Photo How Often Should I Have An Mri With Ms Changes in mri acquisition protocols. When the first mri does not fulfill the criteria, brain mri every 6 to 12 months in clinically isolated syndrome and subclinical ms radiologically isolated syndrome is. How often you need to get an mri for ms varies, but generally people with ms first have an mri at the time of diagnosis, then again after. How Often Should I Have An Mri With Ms.
From rowan-costa.blogspot.com
Multiple Sclerosis Mri MS MRI ASST Multiple sclerosis, Brain How Often Should I Have An Mri With Ms The guidelines are published in the lancet neurology and aim to improve the use of mri for people with multiple sclerosis (ms). When making the diagnosis of ms, brain and cervical spinal cord mris. Changes in mri acquisition protocols. But, there's lots of factors to consider when deciding how often to have a scan. Research has highlighted the benefits of. How Often Should I Have An Mri With Ms.
From radiopaedia.org
Multiple sclerosis Image How Often Should I Have An Mri With Ms The guidelines are published in the lancet neurology and aim to improve the use of mri for people with multiple sclerosis (ms). How often you need to get an mri for ms varies, but generally people with ms first have an mri at the time of diagnosis, then again after starting disease modifying. When the first mri does not fulfill. How Often Should I Have An Mri With Ms.
From www.researchgate.net
Conventional MRI in a patient with multiple sclerosis and cognitive How Often Should I Have An Mri With Ms The same modality should be used each time. Research has highlighted the benefits of regular mri scans to monitor ms and inform treatment decisions. But, there's lots of factors to consider when deciding how often to have a scan. When the first mri does not fulfill the criteria, brain mri every 6 to 12 months in clinically isolated syndrome and. How Often Should I Have An Mri With Ms.
From www.everydayhealth.com
5 Ways to Have a Better MRI Experience With MS Everyday Health How Often Should I Have An Mri With Ms The guidelines are published in the lancet neurology and aim to improve the use of mri for people with multiple sclerosis (ms). Research has highlighted the benefits of regular mri scans to monitor ms and inform treatment decisions. When making the diagnosis of ms, brain and cervical spinal cord mris. The same modality should be used each time. But, there's. How Often Should I Have An Mri With Ms.
From www.medical-professionals.com
MRI Protocols for MS Best Practices for MRI Techs How Often Should I Have An Mri With Ms When making the diagnosis of ms, brain and cervical spinal cord mris. But, there's lots of factors to consider when deciding how often to have a scan. When should an mri of the brain be obtained? So, what's happening here and what should someone do? The guidelines are published in the lancet neurology and aim to improve the use of. How Often Should I Have An Mri With Ms.
From www.medicalnewstoday.com
MRI and multiple sclerosis What it looks like, types, and more How Often Should I Have An Mri With Ms The same modality should be used each time. But, there's lots of factors to consider when deciding how often to have a scan. The guidelines are published in the lancet neurology and aim to improve the use of mri for people with multiple sclerosis (ms). When should an mri of the brain be obtained? Research has highlighted the benefits of. How Often Should I Have An Mri With Ms.
From www.vrogue.co
Multiple Sclerosis Common Symptoms And Diagnosis Opti vrogue.co How Often Should I Have An Mri With Ms But, there's lots of factors to consider when deciding how often to have a scan. Changes in mri acquisition protocols. Research has highlighted the benefits of regular mri scans to monitor ms and inform treatment decisions. When the first mri does not fulfill the criteria, brain mri every 6 to 12 months in clinically isolated syndrome and subclinical ms radiologically. How Often Should I Have An Mri With Ms.
From www.vrogue.co
Brain Mri Scan Showing Multiple Sclerosis Lesions Mul vrogue.co How Often Should I Have An Mri With Ms Changes in mri acquisition protocols. So, what's happening here and what should someone do? The guidelines are published in the lancet neurology and aim to improve the use of mri for people with multiple sclerosis (ms). When making the diagnosis of ms, brain and cervical spinal cord mris. Research has highlighted the benefits of regular mri scans to monitor ms. How Often Should I Have An Mri With Ms.
From www.thelancet.com
MRI criteria for the diagnosis of multiple sclerosis MAGNIMS consensus How Often Should I Have An Mri With Ms So, what's happening here and what should someone do? When the first mri does not fulfill the criteria, brain mri every 6 to 12 months in clinically isolated syndrome and subclinical ms radiologically isolated syndrome is. How often you need to get an mri for ms varies, but generally people with ms first have an mri at the time of. How Often Should I Have An Mri With Ms.
From calgaryguide.ucalgary.ca
Multiple Sclerosis on Brain MRI Calgary Guide How Often Should I Have An Mri With Ms How often you need to get an mri for ms varies, but generally people with ms first have an mri at the time of diagnosis, then again after starting disease modifying. When making the diagnosis of ms, brain and cervical spinal cord mris. When should an mri of the brain be obtained? Research has highlighted the benefits of regular mri. How Often Should I Have An Mri With Ms.
From www.sciencephoto.com
Multiple sclerosis, MRI scan Stock Image C010/3492 Science Photo How Often Should I Have An Mri With Ms When should an mri of the brain be obtained? How often you need to get an mri for ms varies, but generally people with ms first have an mri at the time of diagnosis, then again after starting disease modifying. The guidelines are published in the lancet neurology and aim to improve the use of mri for people with multiple. How Often Should I Have An Mri With Ms.
From www.researchgate.net
Examples of typical MS MRI findings Download Scientific Diagram How Often Should I Have An Mri With Ms But, there's lots of factors to consider when deciding how often to have a scan. How often you need to get an mri for ms varies, but generally people with ms first have an mri at the time of diagnosis, then again after starting disease modifying. When should an mri of the brain be obtained? The same modality should be. How Often Should I Have An Mri With Ms.
From alanabrowne.blogspot.com
Multiple Sclerosis Mri Scan Multiple sclerosis, MRI brain scan How Often Should I Have An Mri With Ms Changes in mri acquisition protocols. But, there's lots of factors to consider when deciding how often to have a scan. So, what's happening here and what should someone do? Research has highlighted the benefits of regular mri scans to monitor ms and inform treatment decisions. When the first mri does not fulfill the criteria, brain mri every 6 to 12. How Often Should I Have An Mri With Ms.
From www.researchgate.net
Examples of typical MS MRI findings Download Scientific Diagram How Often Should I Have An Mri With Ms Changes in mri acquisition protocols. When should an mri of the brain be obtained? When the first mri does not fulfill the criteria, brain mri every 6 to 12 months in clinically isolated syndrome and subclinical ms radiologically isolated syndrome is. So, what's happening here and what should someone do? The guidelines are published in the lancet neurology and aim. How Often Should I Have An Mri With Ms.
From www.thelancet.com
MRI criteria for the diagnosis of multiple sclerosis MAGNIMS consensus How Often Should I Have An Mri With Ms How often you need to get an mri for ms varies, but generally people with ms first have an mri at the time of diagnosis, then again after starting disease modifying. When should an mri of the brain be obtained? Changes in mri acquisition protocols. When the first mri does not fulfill the criteria, brain mri every 6 to 12. How Often Should I Have An Mri With Ms.
From virtualmedstudent.com
Multiple Sclerosis How Often Should I Have An Mri With Ms Changes in mri acquisition protocols. When making the diagnosis of ms, brain and cervical spinal cord mris. The same modality should be used each time. So, what's happening here and what should someone do? How often you need to get an mri for ms varies, but generally people with ms first have an mri at the time of diagnosis, then. How Often Should I Have An Mri With Ms.
From brooklynopenmri.com
The Role of MRI in the Diagnosis of Multiple Sclerosis How Often Should I Have An Mri With Ms The same modality should be used each time. But, there's lots of factors to consider when deciding how often to have a scan. So, what's happening here and what should someone do? Changes in mri acquisition protocols. When making the diagnosis of ms, brain and cervical spinal cord mris. The guidelines are published in the lancet neurology and aim to. How Often Should I Have An Mri With Ms.
From multiplesclerosisnewstoday.com
MRI and MS diagnosis Does MS show up on MRI? Multiple Sclerosis How Often Should I Have An Mri With Ms Research has highlighted the benefits of regular mri scans to monitor ms and inform treatment decisions. But, there's lots of factors to consider when deciding how often to have a scan. Changes in mri acquisition protocols. When making the diagnosis of ms, brain and cervical spinal cord mris. So, what's happening here and what should someone do? When the first. How Often Should I Have An Mri With Ms.
From www.sciencephoto.com
Multiple Sclerosis on MRI Stock Image C043/2976 Science Photo Library How Often Should I Have An Mri With Ms Changes in mri acquisition protocols. So, what's happening here and what should someone do? When should an mri of the brain be obtained? Research has highlighted the benefits of regular mri scans to monitor ms and inform treatment decisions. How often you need to get an mri for ms varies, but generally people with ms first have an mri at. How Often Should I Have An Mri With Ms.