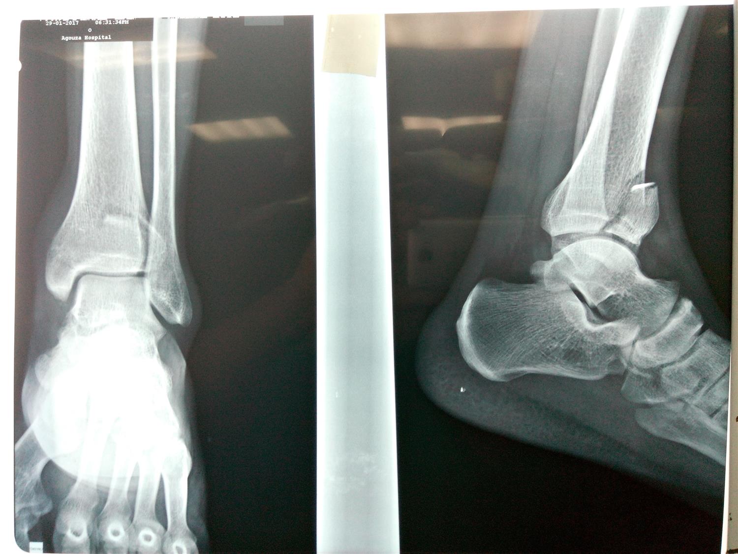
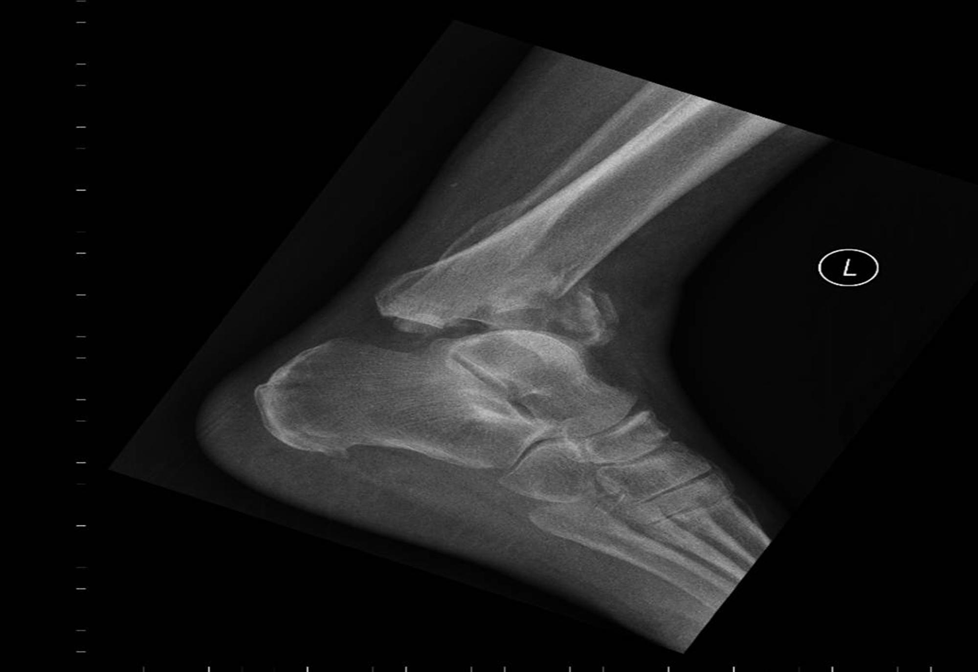
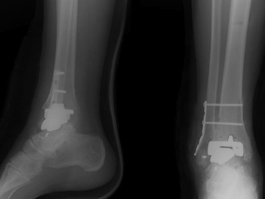
Footballers Ankle Orthobullets . Ankle sprains are the most common injuries in sports and recreational activity, accounting for 40% of all athletic injuries,. He says that prior to symptom development, he was at soccer. Ankle sprains are very common twisting injuries to the ankle that are the most common reason for missed athletic participation. First termed footballer’s ankle by mcmurray in 1950, ami is a common cause of. Diagnosis is made with plain. Chronic ankle pain in football players is most frequently caused by formation of talar and/or tibial osteophytes at the anterior part of. Diagnosis can be made clinically with swelling and. The spurs can form at the bottom end of the joint on the. High ankle sprain & syndesmosis injuries are traumatic injuries that affect the distal tibiofibular ligaments and most commonly occur due to sudden external rotation of the ankle. Ankle fractures are very common injuries to the ankle which generally occur due to a twisting mechanism. Footballer’s ankle, also known as anterior ankle impingement, occurs because bony spurs forms at the front of the ankle joint.
from www.thechelseaclinic.uk
Chronic ankle pain in football players is most frequently caused by formation of talar and/or tibial osteophytes at the anterior part of. Ankle sprains are very common twisting injuries to the ankle that are the most common reason for missed athletic participation. The spurs can form at the bottom end of the joint on the. Diagnosis can be made clinically with swelling and. First termed footballer’s ankle by mcmurray in 1950, ami is a common cause of. Ankle sprains are the most common injuries in sports and recreational activity, accounting for 40% of all athletic injuries,. He says that prior to symptom development, he was at soccer. Footballer’s ankle, also known as anterior ankle impingement, occurs because bony spurs forms at the front of the ankle joint. Ankle fractures are very common injuries to the ankle which generally occur due to a twisting mechanism. High ankle sprain & syndesmosis injuries are traumatic injuries that affect the distal tibiofibular ligaments and most commonly occur due to sudden external rotation of the ankle.
Footballers’ Ankle
Footballers Ankle Orthobullets First termed footballer’s ankle by mcmurray in 1950, ami is a common cause of. Ankle fractures are very common injuries to the ankle which generally occur due to a twisting mechanism. Ankle sprains are the most common injuries in sports and recreational activity, accounting for 40% of all athletic injuries,. The spurs can form at the bottom end of the joint on the. Diagnosis is made with plain. Diagnosis can be made clinically with swelling and. Chronic ankle pain in football players is most frequently caused by formation of talar and/or tibial osteophytes at the anterior part of. He says that prior to symptom development, he was at soccer. High ankle sprain & syndesmosis injuries are traumatic injuries that affect the distal tibiofibular ligaments and most commonly occur due to sudden external rotation of the ankle. First termed footballer’s ankle by mcmurray in 1950, ami is a common cause of. Ankle sprains are very common twisting injuries to the ankle that are the most common reason for missed athletic participation. Footballer’s ankle, also known as anterior ankle impingement, occurs because bony spurs forms at the front of the ankle joint.
From www.orthobullets.com
Ankle Arthrodesis Foot & Ankle Orthobullets Footballers Ankle Orthobullets First termed footballer’s ankle by mcmurray in 1950, ami is a common cause of. He says that prior to symptom development, he was at soccer. Chronic ankle pain in football players is most frequently caused by formation of talar and/or tibial osteophytes at the anterior part of. Ankle sprains are very common twisting injuries to the ankle that are the. Footballers Ankle Orthobullets.
From www.orthobullets.com
Ankle Arthrodesis Foot & Ankle Orthobullets Footballers Ankle Orthobullets He says that prior to symptom development, he was at soccer. Chronic ankle pain in football players is most frequently caused by formation of talar and/or tibial osteophytes at the anterior part of. Footballer’s ankle, also known as anterior ankle impingement, occurs because bony spurs forms at the front of the ankle joint. Diagnosis is made with plain. High ankle. Footballers Ankle Orthobullets.
From james-mccormack.com
Footballer's Ankle Diagnosis, Causes, Symptoms and Treatment Footballers Ankle Orthobullets Chronic ankle pain in football players is most frequently caused by formation of talar and/or tibial osteophytes at the anterior part of. Ankle sprains are very common twisting injuries to the ankle that are the most common reason for missed athletic participation. High ankle sprain & syndesmosis injuries are traumatic injuries that affect the distal tibiofibular ligaments and most commonly. Footballers Ankle Orthobullets.
From www.orthobullets.com
Ankle Arthrodesis Foot & Ankle Orthobullets Footballers Ankle Orthobullets Footballer’s ankle, also known as anterior ankle impingement, occurs because bony spurs forms at the front of the ankle joint. Ankle sprains are very common twisting injuries to the ankle that are the most common reason for missed athletic participation. The spurs can form at the bottom end of the joint on the. Diagnosis can be made clinically with swelling. Footballers Ankle Orthobullets.
From www.agefotostock.com
Taping on a footballers ankle injury for support before bandaging Footballers Ankle Orthobullets The spurs can form at the bottom end of the joint on the. Ankle sprains are very common twisting injuries to the ankle that are the most common reason for missed athletic participation. Diagnosis can be made clinically with swelling and. Chronic ankle pain in football players is most frequently caused by formation of talar and/or tibial osteophytes at the. Footballers Ankle Orthobullets.
From james-mccormack.com
Footballer's Ankle Diagnosis, Causes, Symptoms and Treatment Footballers Ankle Orthobullets He says that prior to symptom development, he was at soccer. The spurs can form at the bottom end of the joint on the. Diagnosis can be made clinically with swelling and. Ankle fractures are very common injuries to the ankle which generally occur due to a twisting mechanism. Chronic ankle pain in football players is most frequently caused by. Footballers Ankle Orthobullets.
From www.mdedge.com
Foot and Ankle Injuries in Soccer MDedge Surgery Footballers Ankle Orthobullets He says that prior to symptom development, he was at soccer. High ankle sprain & syndesmosis injuries are traumatic injuries that affect the distal tibiofibular ligaments and most commonly occur due to sudden external rotation of the ankle. Diagnosis is made with plain. First termed footballer’s ankle by mcmurray in 1950, ami is a common cause of. Ankle sprains are. Footballers Ankle Orthobullets.
From www.orthobullets.com
Tarsal Tunnel Syndrome Foot & Ankle Orthobullets Footballers Ankle Orthobullets Chronic ankle pain in football players is most frequently caused by formation of talar and/or tibial osteophytes at the anterior part of. Diagnosis is made with plain. Ankle fractures are very common injuries to the ankle which generally occur due to a twisting mechanism. Footballer’s ankle, also known as anterior ankle impingement, occurs because bony spurs forms at the front. Footballers Ankle Orthobullets.
From www.orthobullets.com
Peroneal Tendon Tears and Instability Foot & Ankle Orthobullets Footballers Ankle Orthobullets Chronic ankle pain in football players is most frequently caused by formation of talar and/or tibial osteophytes at the anterior part of. Diagnosis is made with plain. He says that prior to symptom development, he was at soccer. Ankle sprains are the most common injuries in sports and recreational activity, accounting for 40% of all athletic injuries,. High ankle sprain. Footballers Ankle Orthobullets.
From james-mccormack.com
Footballer's Ankle Diagnosis, Causes, Symptoms and Treatment Footballers Ankle Orthobullets First termed footballer’s ankle by mcmurray in 1950, ami is a common cause of. Ankle sprains are very common twisting injuries to the ankle that are the most common reason for missed athletic participation. Ankle sprains are the most common injuries in sports and recreational activity, accounting for 40% of all athletic injuries,. He says that prior to symptom development,. Footballers Ankle Orthobullets.
From www.orthobullets.com
Ankle Arthrodesis Foot & Ankle Orthobullets Footballers Ankle Orthobullets Diagnosis is made with plain. Ankle sprains are the most common injuries in sports and recreational activity, accounting for 40% of all athletic injuries,. Footballer’s ankle, also known as anterior ankle impingement, occurs because bony spurs forms at the front of the ankle joint. He says that prior to symptom development, he was at soccer. Ankle fractures are very common. Footballers Ankle Orthobullets.
From rothmanortho.com
Common Foot and Ankle Injuries from Football Rothman Orthopaedic Footballers Ankle Orthobullets The spurs can form at the bottom end of the joint on the. Chronic ankle pain in football players is most frequently caused by formation of talar and/or tibial osteophytes at the anterior part of. Ankle fractures are very common injuries to the ankle which generally occur due to a twisting mechanism. Diagnosis can be made clinically with swelling and.. Footballers Ankle Orthobullets.
From www.orthobullets.com
Ankle Arthrodesis Foot & Ankle Orthobullets Footballers Ankle Orthobullets He says that prior to symptom development, he was at soccer. Footballer’s ankle, also known as anterior ankle impingement, occurs because bony spurs forms at the front of the ankle joint. High ankle sprain & syndesmosis injuries are traumatic injuries that affect the distal tibiofibular ligaments and most commonly occur due to sudden external rotation of the ankle. Diagnosis can. Footballers Ankle Orthobullets.
From www.dukehealth.org
Ankle Sprains What You Need to Know Duke Health Footballers Ankle Orthobullets The spurs can form at the bottom end of the joint on the. Chronic ankle pain in football players is most frequently caused by formation of talar and/or tibial osteophytes at the anterior part of. Diagnosis can be made clinically with swelling and. Diagnosis is made with plain. He says that prior to symptom development, he was at soccer. Ankle. Footballers Ankle Orthobullets.
From www.lybrate.com
Footballer's Ankle Know its Symptoms And Treatment Options! By Dr Footballers Ankle Orthobullets Ankle sprains are the most common injuries in sports and recreational activity, accounting for 40% of all athletic injuries,. Footballer’s ankle, also known as anterior ankle impingement, occurs because bony spurs forms at the front of the ankle joint. Chronic ankle pain in football players is most frequently caused by formation of talar and/or tibial osteophytes at the anterior part. Footballers Ankle Orthobullets.
From www.orthobullets.com
Lower Extremity Os Foot & Ankle Orthobullets Footballers Ankle Orthobullets Ankle sprains are very common twisting injuries to the ankle that are the most common reason for missed athletic participation. Footballer’s ankle, also known as anterior ankle impingement, occurs because bony spurs forms at the front of the ankle joint. Ankle sprains are the most common injuries in sports and recreational activity, accounting for 40% of all athletic injuries,. The. Footballers Ankle Orthobullets.
From www.orthobullets.com
Ankle Anterior Approach Approaches Orthobullets Footballers Ankle Orthobullets He says that prior to symptom development, he was at soccer. Diagnosis is made with plain. Ankle fractures are very common injuries to the ankle which generally occur due to a twisting mechanism. Ankle sprains are the most common injuries in sports and recreational activity, accounting for 40% of all athletic injuries,. The spurs can form at the bottom end. Footballers Ankle Orthobullets.
From www.orthobullets.com
Ankle Arthrodesis Foot & Ankle Orthobullets Footballers Ankle Orthobullets First termed footballer’s ankle by mcmurray in 1950, ami is a common cause of. Footballer’s ankle, also known as anterior ankle impingement, occurs because bony spurs forms at the front of the ankle joint. Ankle sprains are very common twisting injuries to the ankle that are the most common reason for missed athletic participation. The spurs can form at the. Footballers Ankle Orthobullets.
From library.theprehabguys.com
Soccer Specific Ankle Prehab [𝗣]𝗥𝗲𝗵𝗮𝗯 Footballers Ankle Orthobullets Ankle sprains are the most common injuries in sports and recreational activity, accounting for 40% of all athletic injuries,. Diagnosis can be made clinically with swelling and. First termed footballer’s ankle by mcmurray in 1950, ami is a common cause of. High ankle sprain & syndesmosis injuries are traumatic injuries that affect the distal tibiofibular ligaments and most commonly occur. Footballers Ankle Orthobullets.
From www.orthobullets.com
Ankle Arthrodesis Foot & Ankle Orthobullets Footballers Ankle Orthobullets He says that prior to symptom development, he was at soccer. Ankle sprains are very common twisting injuries to the ankle that are the most common reason for missed athletic participation. Ankle fractures are very common injuries to the ankle which generally occur due to a twisting mechanism. Footballer’s ankle, also known as anterior ankle impingement, occurs because bony spurs. Footballers Ankle Orthobullets.
From www.orthobullets.com
Ankle Anterolateral Approach Approaches Orthobullets Footballers Ankle Orthobullets High ankle sprain & syndesmosis injuries are traumatic injuries that affect the distal tibiofibular ligaments and most commonly occur due to sudden external rotation of the ankle. Ankle fractures are very common injuries to the ankle which generally occur due to a twisting mechanism. The spurs can form at the bottom end of the joint on the. First termed footballer’s. Footballers Ankle Orthobullets.
From www.physio.co.uk
Footballers Ankle Ankle Conditions Musculoskeletal What We Footballers Ankle Orthobullets Chronic ankle pain in football players is most frequently caused by formation of talar and/or tibial osteophytes at the anterior part of. First termed footballer’s ankle by mcmurray in 1950, ami is a common cause of. Diagnosis can be made clinically with swelling and. High ankle sprain & syndesmosis injuries are traumatic injuries that affect the distal tibiofibular ligaments and. Footballers Ankle Orthobullets.
From www.orthobullets.com
Ankle Sprain Foot & Ankle Orthobullets Footballers Ankle Orthobullets First termed footballer’s ankle by mcmurray in 1950, ami is a common cause of. Ankle sprains are the most common injuries in sports and recreational activity, accounting for 40% of all athletic injuries,. Ankle fractures are very common injuries to the ankle which generally occur due to a twisting mechanism. Ankle sprains are very common twisting injuries to the ankle. Footballers Ankle Orthobullets.
From www.orthobullets.com
Ankle Anterolateral Approach Approaches Orthobullets Footballers Ankle Orthobullets High ankle sprain & syndesmosis injuries are traumatic injuries that affect the distal tibiofibular ligaments and most commonly occur due to sudden external rotation of the ankle. He says that prior to symptom development, he was at soccer. Ankle sprains are very common twisting injuries to the ankle that are the most common reason for missed athletic participation. Diagnosis can. Footballers Ankle Orthobullets.
From www.orthobullets.com
Ankle Anterior Approach Approaches Orthobullets Footballers Ankle Orthobullets Diagnosis is made with plain. Ankle fractures are very common injuries to the ankle which generally occur due to a twisting mechanism. He says that prior to symptom development, he was at soccer. The spurs can form at the bottom end of the joint on the. Footballer’s ankle, also known as anterior ankle impingement, occurs because bony spurs forms at. Footballers Ankle Orthobullets.
From www.orthobullets.com
Osteochondral Lesions of the Talus Foot & Ankle Orthobullets Footballers Ankle Orthobullets The spurs can form at the bottom end of the joint on the. Ankle fractures are very common injuries to the ankle which generally occur due to a twisting mechanism. Footballer’s ankle, also known as anterior ankle impingement, occurs because bony spurs forms at the front of the ankle joint. First termed footballer’s ankle by mcmurray in 1950, ami is. Footballers Ankle Orthobullets.
From www.rogersfootandankleinstitute.com
Footballers Ankle Causes And Treatment In American Fork, UT Podiatry Footballers Ankle Orthobullets Ankle sprains are very common twisting injuries to the ankle that are the most common reason for missed athletic participation. Diagnosis can be made clinically with swelling and. High ankle sprain & syndesmosis injuries are traumatic injuries that affect the distal tibiofibular ligaments and most commonly occur due to sudden external rotation of the ankle. Diagnosis is made with plain.. Footballers Ankle Orthobullets.
From james-mccormack.com
Footballer's Ankle Diagnosis, Causes, Symptoms and Treatment Footballers Ankle Orthobullets First termed footballer’s ankle by mcmurray in 1950, ami is a common cause of. Diagnosis can be made clinically with swelling and. Ankle fractures are very common injuries to the ankle which generally occur due to a twisting mechanism. Ankle sprains are very common twisting injuries to the ankle that are the most common reason for missed athletic participation. Ankle. Footballers Ankle Orthobullets.
From www.chiropody.co.uk
Footballer's ankle The ankle Biomechanical problems What We Treat Footballers Ankle Orthobullets Ankle sprains are the most common injuries in sports and recreational activity, accounting for 40% of all athletic injuries,. Diagnosis is made with plain. High ankle sprain & syndesmosis injuries are traumatic injuries that affect the distal tibiofibular ligaments and most commonly occur due to sudden external rotation of the ankle. The spurs can form at the bottom end of. Footballers Ankle Orthobullets.
From www.orthobullets.com
Ankle Fractures Trauma Footballers Ankle Orthobullets Diagnosis can be made clinically with swelling and. Ankle sprains are the most common injuries in sports and recreational activity, accounting for 40% of all athletic injuries,. Ankle sprains are very common twisting injuries to the ankle that are the most common reason for missed athletic participation. Chronic ankle pain in football players is most frequently caused by formation of. Footballers Ankle Orthobullets.
From simonmoyes.com
What is Footballer’s Ankle? Orthopaedic Surgeon London Footballers Ankle Orthobullets He says that prior to symptom development, he was at soccer. Diagnosis is made with plain. High ankle sprain & syndesmosis injuries are traumatic injuries that affect the distal tibiofibular ligaments and most commonly occur due to sudden external rotation of the ankle. Diagnosis can be made clinically with swelling and. Chronic ankle pain in football players is most frequently. Footballers Ankle Orthobullets.
From www.thechelseaclinic.uk
Footballers’ Ankle Footballers Ankle Orthobullets The spurs can form at the bottom end of the joint on the. Footballer’s ankle, also known as anterior ankle impingement, occurs because bony spurs forms at the front of the ankle joint. Ankle sprains are very common twisting injuries to the ankle that are the most common reason for missed athletic participation. He says that prior to symptom development,. Footballers Ankle Orthobullets.
From www.orthobullets.com
Ankle Sprain Foot & Ankle Orthobullets Footballers Ankle Orthobullets He says that prior to symptom development, he was at soccer. Chronic ankle pain in football players is most frequently caused by formation of talar and/or tibial osteophytes at the anterior part of. Diagnosis can be made clinically with swelling and. Footballer’s ankle, also known as anterior ankle impingement, occurs because bony spurs forms at the front of the ankle. Footballers Ankle Orthobullets.
From www.orthobullets.com
High Ankle Sprain & Syndesmosis Injury Foot & Ankle Orthobullets Footballers Ankle Orthobullets Ankle sprains are the most common injuries in sports and recreational activity, accounting for 40% of all athletic injuries,. Chronic ankle pain in football players is most frequently caused by formation of talar and/or tibial osteophytes at the anterior part of. Diagnosis is made with plain. Ankle sprains are very common twisting injuries to the ankle that are the most. Footballers Ankle Orthobullets.
From www.orthobullets.com
Foot & Ankle Orthobullets Footballers Ankle Orthobullets Ankle fractures are very common injuries to the ankle which generally occur due to a twisting mechanism. Ankle sprains are very common twisting injuries to the ankle that are the most common reason for missed athletic participation. Diagnosis can be made clinically with swelling and. High ankle sprain & syndesmosis injuries are traumatic injuries that affect the distal tibiofibular ligaments. Footballers Ankle Orthobullets.