Chondromalacia Patella X-Ray . An ap view of the patellofemoral joint is needed to detect any radiological change. Chondromalacia patellae is a condition characterized by softening, fraying, and ulceration of patellar articular cartilage. Chondromalacia patellae is a condition where there is damaged cartilage behind the patella (kneecap). Idiopathic chondromalacia patellae is a condition characterized by idiopathic articular changes of the patella leading to anterior knee. It is like a softening or. The classification was initially devised for chondromalacia patella grading. Softening or wearing away of the patellar articular cartilage (chondromalacia patella) causes varying degrees of. In all but the most advanced cases, there is no convincing radiological change.
from bdortho.blogspot.com
Chondromalacia patellae is a condition where there is damaged cartilage behind the patella (kneecap). It is like a softening or. In all but the most advanced cases, there is no convincing radiological change. An ap view of the patellofemoral joint is needed to detect any radiological change. Softening or wearing away of the patellar articular cartilage (chondromalacia patella) causes varying degrees of. The classification was initially devised for chondromalacia patella grading. Idiopathic chondromalacia patellae is a condition characterized by idiopathic articular changes of the patella leading to anterior knee. Chondromalacia patellae is a condition characterized by softening, fraying, and ulceration of patellar articular cartilage.
Xrays and Slides chondromalacia patella
Chondromalacia Patella X-Ray The classification was initially devised for chondromalacia patella grading. An ap view of the patellofemoral joint is needed to detect any radiological change. The classification was initially devised for chondromalacia patella grading. Chondromalacia patellae is a condition characterized by softening, fraying, and ulceration of patellar articular cartilage. Idiopathic chondromalacia patellae is a condition characterized by idiopathic articular changes of the patella leading to anterior knee. Chondromalacia patellae is a condition where there is damaged cartilage behind the patella (kneecap). Softening or wearing away of the patellar articular cartilage (chondromalacia patella) causes varying degrees of. In all but the most advanced cases, there is no convincing radiological change. It is like a softening or.
From radedasia.com
CHONDROMALACIA PATELLA FEMORAL TROCHLEAR CARTILAGE MRI KNEE Radedasia Chondromalacia Patella X-Ray An ap view of the patellofemoral joint is needed to detect any radiological change. Chondromalacia patellae is a condition where there is damaged cartilage behind the patella (kneecap). It is like a softening or. Idiopathic chondromalacia patellae is a condition characterized by idiopathic articular changes of the patella leading to anterior knee. The classification was initially devised for chondromalacia patella. Chondromalacia Patella X-Ray.
From www.flickr.com
Knee With Patella Right xray 0000 no info Picture taken… Flickr Chondromalacia Patella X-Ray Chondromalacia patellae is a condition characterized by softening, fraying, and ulceration of patellar articular cartilage. Chondromalacia patellae is a condition where there is damaged cartilage behind the patella (kneecap). Softening or wearing away of the patellar articular cartilage (chondromalacia patella) causes varying degrees of. It is like a softening or. The classification was initially devised for chondromalacia patella grading. An. Chondromalacia Patella X-Ray.
From www.ejradiology.com
T2 mapping in patellar chondromalacia European Journal of Radiology Chondromalacia Patella X-Ray The classification was initially devised for chondromalacia patella grading. Softening or wearing away of the patellar articular cartilage (chondromalacia patella) causes varying degrees of. An ap view of the patellofemoral joint is needed to detect any radiological change. It is like a softening or. Chondromalacia patellae is a condition where there is damaged cartilage behind the patella (kneecap). In all. Chondromalacia Patella X-Ray.
From www.boisedoc.com
Knees / Hips / Legs Cartilage Injuries — Direct Orthopedic Care Chondromalacia Patella X-Ray Chondromalacia patellae is a condition characterized by softening, fraying, and ulceration of patellar articular cartilage. An ap view of the patellofemoral joint is needed to detect any radiological change. In all but the most advanced cases, there is no convincing radiological change. Idiopathic chondromalacia patellae is a condition characterized by idiopathic articular changes of the patella leading to anterior knee.. Chondromalacia Patella X-Ray.
From www.dreamstime.com
Xray of Knee with Chondromalacia Stock Image Image of sport, painful Chondromalacia Patella X-Ray In all but the most advanced cases, there is no convincing radiological change. Chondromalacia patellae is a condition characterized by softening, fraying, and ulceration of patellar articular cartilage. Chondromalacia patellae is a condition where there is damaged cartilage behind the patella (kneecap). An ap view of the patellofemoral joint is needed to detect any radiological change. The classification was initially. Chondromalacia Patella X-Ray.
From wikidoc.org
Chondroma x ray wikidoc Chondromalacia Patella X-Ray It is like a softening or. In all but the most advanced cases, there is no convincing radiological change. Chondromalacia patellae is a condition where there is damaged cartilage behind the patella (kneecap). Softening or wearing away of the patellar articular cartilage (chondromalacia patella) causes varying degrees of. The classification was initially devised for chondromalacia patella grading. Chondromalacia patellae is. Chondromalacia Patella X-Ray.
From www.researchgate.net
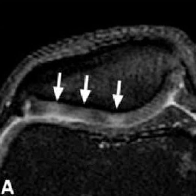
Chondromalacia patellae grades IIIV in various patients. (A) Axial Chondromalacia Patella X-Ray Chondromalacia patellae is a condition where there is damaged cartilage behind the patella (kneecap). Chondromalacia patellae is a condition characterized by softening, fraying, and ulceration of patellar articular cartilage. In all but the most advanced cases, there is no convincing radiological change. Softening or wearing away of the patellar articular cartilage (chondromalacia patella) causes varying degrees of. It is like. Chondromalacia Patella X-Ray.
From www.orthobullets.com
Lateral Patellar Compression Syndrome Knee & Sports Orthobullets Chondromalacia Patella X-Ray Idiopathic chondromalacia patellae is a condition characterized by idiopathic articular changes of the patella leading to anterior knee. It is like a softening or. Softening or wearing away of the patellar articular cartilage (chondromalacia patella) causes varying degrees of. Chondromalacia patellae is a condition characterized by softening, fraying, and ulceration of patellar articular cartilage. The classification was initially devised for. Chondromalacia Patella X-Ray.
From exercises.physio-pedia.com
Chondromalacia Patella Rehab My Patient Chondromalacia Patella X-Ray The classification was initially devised for chondromalacia patella grading. Chondromalacia patellae is a condition characterized by softening, fraying, and ulceration of patellar articular cartilage. An ap view of the patellofemoral joint is needed to detect any radiological change. In all but the most advanced cases, there is no convincing radiological change. Idiopathic chondromalacia patellae is a condition characterized by idiopathic. Chondromalacia Patella X-Ray.
From www.orthobullets.com
Idiopathic Chondromalacia Patellae Knee & Sports Orthobullets Chondromalacia Patella X-Ray Chondromalacia patellae is a condition where there is damaged cartilage behind the patella (kneecap). The classification was initially devised for chondromalacia patella grading. Softening or wearing away of the patellar articular cartilage (chondromalacia patella) causes varying degrees of. An ap view of the patellofemoral joint is needed to detect any radiological change. Chondromalacia patellae is a condition characterized by softening,. Chondromalacia Patella X-Ray.
From www.svuhradiology.ie
Osteochondral defect, knee Radiology at St. Vincent's University Hospital Chondromalacia Patella X-Ray Idiopathic chondromalacia patellae is a condition characterized by idiopathic articular changes of the patella leading to anterior knee. In all but the most advanced cases, there is no convincing radiological change. Chondromalacia patellae is a condition where there is damaged cartilage behind the patella (kneecap). It is like a softening or. Softening or wearing away of the patellar articular cartilage. Chondromalacia Patella X-Ray.
From www.ctisus.com
Chondroblastoma patella X Rays Case Studies CTisus CT Scanning Chondromalacia Patella X-Ray In all but the most advanced cases, there is no convincing radiological change. An ap view of the patellofemoral joint is needed to detect any radiological change. Idiopathic chondromalacia patellae is a condition characterized by idiopathic articular changes of the patella leading to anterior knee. Chondromalacia patellae is a condition characterized by softening, fraying, and ulceration of patellar articular cartilage.. Chondromalacia Patella X-Ray.
From www.wisegeek.com
What is Chondrocalcinosis? (with pictures) Chondromalacia Patella X-Ray Softening or wearing away of the patellar articular cartilage (chondromalacia patella) causes varying degrees of. Chondromalacia patellae is a condition characterized by softening, fraying, and ulceration of patellar articular cartilage. Chondromalacia patellae is a condition where there is damaged cartilage behind the patella (kneecap). It is like a softening or. In all but the most advanced cases, there is no. Chondromalacia Patella X-Ray.
From coloradosportsdoctor.com
What is Chondromalacia? Dr. Chris Jones Colorado Springs, CO Chondromalacia Patella X-Ray In all but the most advanced cases, there is no convincing radiological change. Chondromalacia patellae is a condition where there is damaged cartilage behind the patella (kneecap). The classification was initially devised for chondromalacia patella grading. Softening or wearing away of the patellar articular cartilage (chondromalacia patella) causes varying degrees of. An ap view of the patellofemoral joint is needed. Chondromalacia Patella X-Ray.
From www.vrogue.co
Chondromalacia Patella Commack Ny Patella Femoral Pai vrogue.co Chondromalacia Patella X-Ray Chondromalacia patellae is a condition where there is damaged cartilage behind the patella (kneecap). Softening or wearing away of the patellar articular cartilage (chondromalacia patella) causes varying degrees of. It is like a softening or. Idiopathic chondromalacia patellae is a condition characterized by idiopathic articular changes of the patella leading to anterior knee. Chondromalacia patellae is a condition characterized by. Chondromalacia Patella X-Ray.
From mavink.com
Patellofemoral Syndrome X Ray Chondromalacia Patella X-Ray It is like a softening or. The classification was initially devised for chondromalacia patella grading. Chondromalacia patellae is a condition where there is damaged cartilage behind the patella (kneecap). Softening or wearing away of the patellar articular cartilage (chondromalacia patella) causes varying degrees of. An ap view of the patellofemoral joint is needed to detect any radiological change. Chondromalacia patellae. Chondromalacia Patella X-Ray.
From www.vrogue.co
Patella Fracture Sunrise vrogue.co Chondromalacia Patella X-Ray Chondromalacia patellae is a condition where there is damaged cartilage behind the patella (kneecap). An ap view of the patellofemoral joint is needed to detect any radiological change. In all but the most advanced cases, there is no convincing radiological change. The classification was initially devised for chondromalacia patella grading. It is like a softening or. Idiopathic chondromalacia patellae is. Chondromalacia Patella X-Ray.
From eorif.com
Patellofemoral Arthritis Images eORIF Chondromalacia Patella X-Ray Chondromalacia patellae is a condition where there is damaged cartilage behind the patella (kneecap). The classification was initially devised for chondromalacia patella grading. Chondromalacia patellae is a condition characterized by softening, fraying, and ulceration of patellar articular cartilage. Idiopathic chondromalacia patellae is a condition characterized by idiopathic articular changes of the patella leading to anterior knee. An ap view of. Chondromalacia Patella X-Ray.
From www.dreamstime.com
Xray of Knee with Chondromalacia Stock Image Image of osteoarthritis Chondromalacia Patella X-Ray The classification was initially devised for chondromalacia patella grading. Chondromalacia patellae is a condition where there is damaged cartilage behind the patella (kneecap). Idiopathic chondromalacia patellae is a condition characterized by idiopathic articular changes of the patella leading to anterior knee. In all but the most advanced cases, there is no convincing radiological change. Chondromalacia patellae is a condition characterized. Chondromalacia Patella X-Ray.
From www.slideshare.net
MRI of patellar disorders Chondromalacia Patella X-Ray It is like a softening or. Chondromalacia patellae is a condition where there is damaged cartilage behind the patella (kneecap). In all but the most advanced cases, there is no convincing radiological change. Softening or wearing away of the patellar articular cartilage (chondromalacia patella) causes varying degrees of. Chondromalacia patellae is a condition characterized by softening, fraying, and ulceration of. Chondromalacia Patella X-Ray.
From www.pinterest.com
Viewing playlist AAAMARCH Chondromalacia Chondromalacia Patella X-Ray An ap view of the patellofemoral joint is needed to detect any radiological change. Softening or wearing away of the patellar articular cartilage (chondromalacia patella) causes varying degrees of. It is like a softening or. The classification was initially devised for chondromalacia patella grading. In all but the most advanced cases, there is no convincing radiological change. Chondromalacia patellae is. Chondromalacia Patella X-Ray.
From www.cortho.org
Case Study Patellofemoral Chondroplasty in 60 yr. Old Female Chondromalacia Patella X-Ray In all but the most advanced cases, there is no convincing radiological change. It is like a softening or. An ap view of the patellofemoral joint is needed to detect any radiological change. Chondromalacia patellae is a condition characterized by softening, fraying, and ulceration of patellar articular cartilage. The classification was initially devised for chondromalacia patella grading. Chondromalacia patellae is. Chondromalacia Patella X-Ray.
From www.youtube.com
Knee x ray, Knee Osteoarthritis Gap Reduced, Chondromalacia patella Chondromalacia Patella X-Ray Idiopathic chondromalacia patellae is a condition characterized by idiopathic articular changes of the patella leading to anterior knee. In all but the most advanced cases, there is no convincing radiological change. An ap view of the patellofemoral joint is needed to detect any radiological change. The classification was initially devised for chondromalacia patella grading. Softening or wearing away of the. Chondromalacia Patella X-Ray.
From www.alleviatepainclinic.com
Knee pain management strategies Knee pain doctor Bengaluru Chondromalacia Patella X-Ray Chondromalacia patellae is a condition where there is damaged cartilage behind the patella (kneecap). In all but the most advanced cases, there is no convincing radiological change. The classification was initially devised for chondromalacia patella grading. Softening or wearing away of the patellar articular cartilage (chondromalacia patella) causes varying degrees of. An ap view of the patellofemoral joint is needed. Chondromalacia Patella X-Ray.
From www.orthobullets.com
Idiopathic Chondromalacia Patellae Knee & Sports Orthobullets Chondromalacia Patella X-Ray Idiopathic chondromalacia patellae is a condition characterized by idiopathic articular changes of the patella leading to anterior knee. Softening or wearing away of the patellar articular cartilage (chondromalacia patella) causes varying degrees of. Chondromalacia patellae is a condition where there is damaged cartilage behind the patella (kneecap). Chondromalacia patellae is a condition characterized by softening, fraying, and ulceration of patellar. Chondromalacia Patella X-Ray.
From www.indianradiology.com
Chondromalacia PatellaeMRI Sumer's Radiology Blog Chondromalacia Patella X-Ray Softening or wearing away of the patellar articular cartilage (chondromalacia patella) causes varying degrees of. An ap view of the patellofemoral joint is needed to detect any radiological change. The classification was initially devised for chondromalacia patella grading. It is like a softening or. Chondromalacia patellae is a condition characterized by softening, fraying, and ulceration of patellar articular cartilage. In. Chondromalacia Patella X-Ray.
From www.researchgate.net
Lateral radiograph of knee showing dislocated patella. Figure 2 AP Chondromalacia Patella X-Ray Softening or wearing away of the patellar articular cartilage (chondromalacia patella) causes varying degrees of. It is like a softening or. In all but the most advanced cases, there is no convincing radiological change. The classification was initially devised for chondromalacia patella grading. Chondromalacia patellae is a condition characterized by softening, fraying, and ulceration of patellar articular cartilage. Idiopathic chondromalacia. Chondromalacia Patella X-Ray.
From radiopaedia.org
Chondromalacia patella Radiology Case Chondromalacia Patella X-Ray In all but the most advanced cases, there is no convincing radiological change. Idiopathic chondromalacia patellae is a condition characterized by idiopathic articular changes of the patella leading to anterior knee. Softening or wearing away of the patellar articular cartilage (chondromalacia patella) causes varying degrees of. Chondromalacia patellae is a condition characterized by softening, fraying, and ulceration of patellar articular. Chondromalacia Patella X-Ray.
From www.differencebetween.com
What is the Difference Between Chondromalacia Patella and Chondromalacia Patella X-Ray Idiopathic chondromalacia patellae is a condition characterized by idiopathic articular changes of the patella leading to anterior knee. The classification was initially devised for chondromalacia patella grading. Chondromalacia patellae is a condition characterized by softening, fraying, and ulceration of patellar articular cartilage. An ap view of the patellofemoral joint is needed to detect any radiological change. Softening or wearing away. Chondromalacia Patella X-Ray.
From bdortho.blogspot.com
Xrays and Slides chondromalacia patella Chondromalacia Patella X-Ray An ap view of the patellofemoral joint is needed to detect any radiological change. It is like a softening or. Softening or wearing away of the patellar articular cartilage (chondromalacia patella) causes varying degrees of. Chondromalacia patellae is a condition where there is damaged cartilage behind the patella (kneecap). The classification was initially devised for chondromalacia patella grading. Idiopathic chondromalacia. Chondromalacia Patella X-Ray.
From radiopaedia.org
Chondromalacia patella Image Chondromalacia Patella X-Ray The classification was initially devised for chondromalacia patella grading. An ap view of the patellofemoral joint is needed to detect any radiological change. Chondromalacia patellae is a condition characterized by softening, fraying, and ulceration of patellar articular cartilage. Idiopathic chondromalacia patellae is a condition characterized by idiopathic articular changes of the patella leading to anterior knee. In all but the. Chondromalacia Patella X-Ray.
From www.vrogue.co
Chondromalacia Patella Carolina Regional Orthopedics vrogue.co Chondromalacia Patella X-Ray In all but the most advanced cases, there is no convincing radiological change. Chondromalacia patellae is a condition characterized by softening, fraying, and ulceration of patellar articular cartilage. Chondromalacia patellae is a condition where there is damaged cartilage behind the patella (kneecap). The classification was initially devised for chondromalacia patella grading. Idiopathic chondromalacia patellae is a condition characterized by idiopathic. Chondromalacia Patella X-Ray.
From www.orthobullets.com
Idiopathic Chondromalacia Patellae Knee & Sports Orthobullets Chondromalacia Patella X-Ray Chondromalacia patellae is a condition characterized by softening, fraying, and ulceration of patellar articular cartilage. It is like a softening or. An ap view of the patellofemoral joint is needed to detect any radiological change. The classification was initially devised for chondromalacia patella grading. Idiopathic chondromalacia patellae is a condition characterized by idiopathic articular changes of the patella leading to. Chondromalacia Patella X-Ray.
From mavink.com
Patellofemoral Syndrome X Ray Chondromalacia Patella X-Ray It is like a softening or. Chondromalacia patellae is a condition characterized by softening, fraying, and ulceration of patellar articular cartilage. The classification was initially devised for chondromalacia patella grading. Softening or wearing away of the patellar articular cartilage (chondromalacia patella) causes varying degrees of. In all but the most advanced cases, there is no convincing radiological change. Idiopathic chondromalacia. Chondromalacia Patella X-Ray.
From www.ejradiology.com
Patellofemoral morphometry in patients with idiopathic patellofemoral Chondromalacia Patella X-Ray Chondromalacia patellae is a condition where there is damaged cartilage behind the patella (kneecap). It is like a softening or. In all but the most advanced cases, there is no convincing radiological change. Chondromalacia patellae is a condition characterized by softening, fraying, and ulceration of patellar articular cartilage. Softening or wearing away of the patellar articular cartilage (chondromalacia patella) causes. Chondromalacia Patella X-Ray.