Solitary Spindle Cell Xanthogranuloma . It presents with a well demarcated nodule composed. Spindle cell xanthogranuloma is a rare variant form of juvenile xanthogranuloma. It occurs mainly in adults. Solitary spindle cell xanthogranuloma occurs with decreasing frequency on the head, neck, upper trunk, or occasionally the extremities of young.
from www.cureus.com
Solitary spindle cell xanthogranuloma occurs with decreasing frequency on the head, neck, upper trunk, or occasionally the extremities of young. It presents with a well demarcated nodule composed. Spindle cell xanthogranuloma is a rare variant form of juvenile xanthogranuloma. It occurs mainly in adults.
Cureus A Vascularappearing Spindle Cell Xanthogranuloma in a Child
Solitary Spindle Cell Xanthogranuloma It presents with a well demarcated nodule composed. Spindle cell xanthogranuloma is a rare variant form of juvenile xanthogranuloma. Solitary spindle cell xanthogranuloma occurs with decreasing frequency on the head, neck, upper trunk, or occasionally the extremities of young. It occurs mainly in adults. It presents with a well demarcated nodule composed.
From ar.inspiredpencil.com
Juvenile Xanthogranuloma Histology Solitary Spindle Cell Xanthogranuloma It presents with a well demarcated nodule composed. It occurs mainly in adults. Solitary spindle cell xanthogranuloma occurs with decreasing frequency on the head, neck, upper trunk, or occasionally the extremities of young. Spindle cell xanthogranuloma is a rare variant form of juvenile xanthogranuloma. Solitary Spindle Cell Xanthogranuloma.
From www.semanticscholar.org
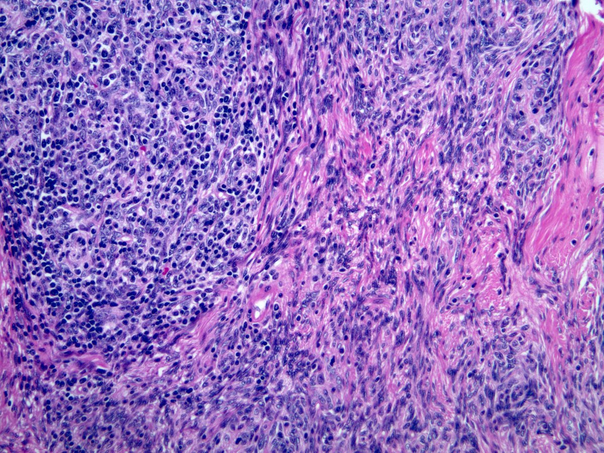
Figure 1 from A Vascularappearing Spindle Cell Xanthogranuloma in a Solitary Spindle Cell Xanthogranuloma Spindle cell xanthogranuloma is a rare variant form of juvenile xanthogranuloma. Solitary spindle cell xanthogranuloma occurs with decreasing frequency on the head, neck, upper trunk, or occasionally the extremities of young. It presents with a well demarcated nodule composed. It occurs mainly in adults. Solitary Spindle Cell Xanthogranuloma.
From www.semanticscholar.org
Figure 1 from A Vascularappearing Spindle Cell Xanthogranuloma in a Solitary Spindle Cell Xanthogranuloma It occurs mainly in adults. Solitary spindle cell xanthogranuloma occurs with decreasing frequency on the head, neck, upper trunk, or occasionally the extremities of young. Spindle cell xanthogranuloma is a rare variant form of juvenile xanthogranuloma. It presents with a well demarcated nodule composed. Solitary Spindle Cell Xanthogranuloma.
From clinics.elsevier.es
Dermoscopy in the diagnosis of juvenile xanthogranuloma* Anais Solitary Spindle Cell Xanthogranuloma Spindle cell xanthogranuloma is a rare variant form of juvenile xanthogranuloma. Solitary spindle cell xanthogranuloma occurs with decreasing frequency on the head, neck, upper trunk, or occasionally the extremities of young. It presents with a well demarcated nodule composed. It occurs mainly in adults. Solitary Spindle Cell Xanthogranuloma.
From www.researchgate.net
Clinicopathologic aspects of nonlipidized juvenile xanthogranuloma Solitary Spindle Cell Xanthogranuloma Spindle cell xanthogranuloma is a rare variant form of juvenile xanthogranuloma. It presents with a well demarcated nodule composed. It occurs mainly in adults. Solitary spindle cell xanthogranuloma occurs with decreasing frequency on the head, neck, upper trunk, or occasionally the extremities of young. Solitary Spindle Cell Xanthogranuloma.
From www.researchgate.net
Spindle cell/sclerosing A. Fusiform morphology of Solitary Spindle Cell Xanthogranuloma Solitary spindle cell xanthogranuloma occurs with decreasing frequency on the head, neck, upper trunk, or occasionally the extremities of young. It presents with a well demarcated nodule composed. It occurs mainly in adults. Spindle cell xanthogranuloma is a rare variant form of juvenile xanthogranuloma. Solitary Spindle Cell Xanthogranuloma.
From www.actasdermo.org
Multiple Acral Papules Actas DermoSifiliográficas (English Edition) Solitary Spindle Cell Xanthogranuloma Solitary spindle cell xanthogranuloma occurs with decreasing frequency on the head, neck, upper trunk, or occasionally the extremities of young. Spindle cell xanthogranuloma is a rare variant form of juvenile xanthogranuloma. It presents with a well demarcated nodule composed. It occurs mainly in adults. Solitary Spindle Cell Xanthogranuloma.
From www.researchgate.net
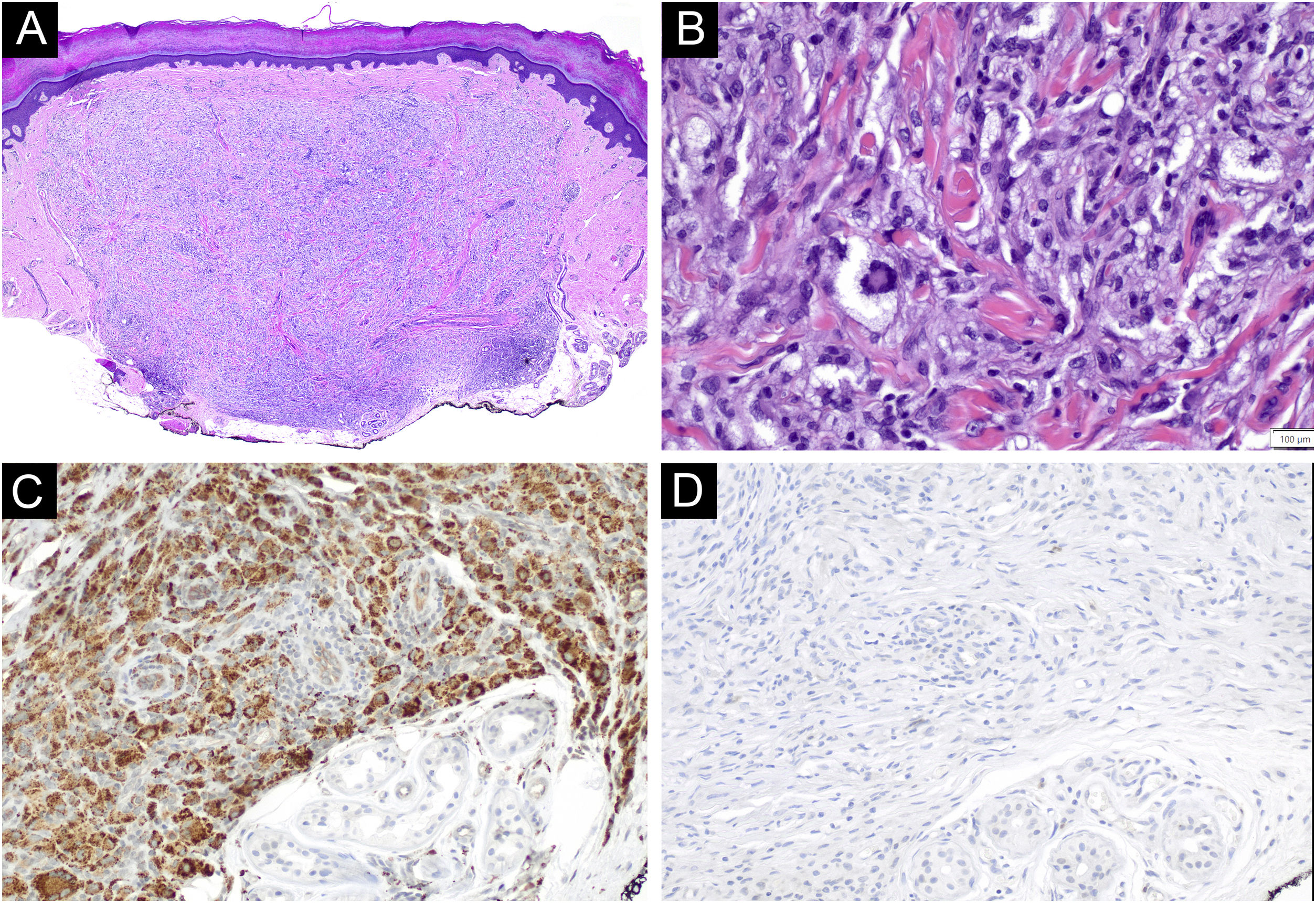
Histological view showing spindle cell proliferation arranged in a Solitary Spindle Cell Xanthogranuloma It occurs mainly in adults. Solitary spindle cell xanthogranuloma occurs with decreasing frequency on the head, neck, upper trunk, or occasionally the extremities of young. Spindle cell xanthogranuloma is a rare variant form of juvenile xanthogranuloma. It presents with a well demarcated nodule composed. Solitary Spindle Cell Xanthogranuloma.
From www.istockphoto.com
Intra Abdominal Mass Spindle Cell Positive Malignant Cells Solitary Spindle Cell Xanthogranuloma Solitary spindle cell xanthogranuloma occurs with decreasing frequency on the head, neck, upper trunk, or occasionally the extremities of young. Spindle cell xanthogranuloma is a rare variant form of juvenile xanthogranuloma. It presents with a well demarcated nodule composed. It occurs mainly in adults. Solitary Spindle Cell Xanthogranuloma.
From www.pathologyoutlines.com
Pathology Outlines Juvenile xanthogranuloma Solitary Spindle Cell Xanthogranuloma It occurs mainly in adults. Solitary spindle cell xanthogranuloma occurs with decreasing frequency on the head, neck, upper trunk, or occasionally the extremities of young. It presents with a well demarcated nodule composed. Spindle cell xanthogranuloma is a rare variant form of juvenile xanthogranuloma. Solitary Spindle Cell Xanthogranuloma.
From www.researchgate.net
Spindle cells seen on histology feature of a mesothelioma Solitary Spindle Cell Xanthogranuloma It presents with a well demarcated nodule composed. Spindle cell xanthogranuloma is a rare variant form of juvenile xanthogranuloma. Solitary spindle cell xanthogranuloma occurs with decreasing frequency on the head, neck, upper trunk, or occasionally the extremities of young. It occurs mainly in adults. Solitary Spindle Cell Xanthogranuloma.
From www.pathologyatlas.ca
Circumscribed solitary neuroma Ottawa Atlas of Pathology Solitary Spindle Cell Xanthogranuloma Solitary spindle cell xanthogranuloma occurs with decreasing frequency on the head, neck, upper trunk, or occasionally the extremities of young. It occurs mainly in adults. It presents with a well demarcated nodule composed. Spindle cell xanthogranuloma is a rare variant form of juvenile xanthogranuloma. Solitary Spindle Cell Xanthogranuloma.
From www.researchgate.net
Histopathology of the specimen showed spindle cell tumour with myxoid Solitary Spindle Cell Xanthogranuloma Spindle cell xanthogranuloma is a rare variant form of juvenile xanthogranuloma. Solitary spindle cell xanthogranuloma occurs with decreasing frequency on the head, neck, upper trunk, or occasionally the extremities of young. It occurs mainly in adults. It presents with a well demarcated nodule composed. Solitary Spindle Cell Xanthogranuloma.
From www.researchgate.net
Histopathology (a, H and E, b 200) showed malignant spindle cell tumor Solitary Spindle Cell Xanthogranuloma Spindle cell xanthogranuloma is a rare variant form of juvenile xanthogranuloma. Solitary spindle cell xanthogranuloma occurs with decreasing frequency on the head, neck, upper trunk, or occasionally the extremities of young. It occurs mainly in adults. It presents with a well demarcated nodule composed. Solitary Spindle Cell Xanthogranuloma.
From twitter.com
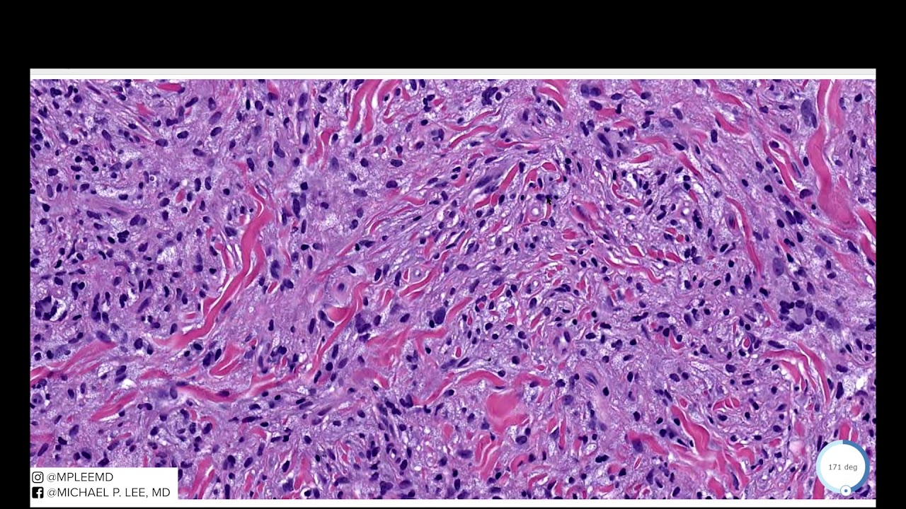
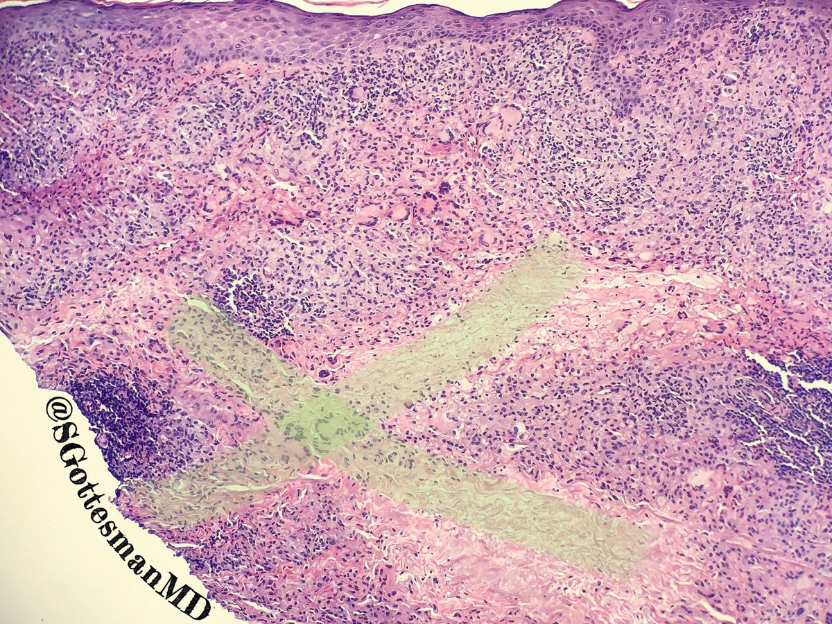
Silvija Gottesman MD on Twitter "RT SGottesmanMD Necrobiotic Solitary Spindle Cell Xanthogranuloma Spindle cell xanthogranuloma is a rare variant form of juvenile xanthogranuloma. It occurs mainly in adults. Solitary spindle cell xanthogranuloma occurs with decreasing frequency on the head, neck, upper trunk, or occasionally the extremities of young. It presents with a well demarcated nodule composed. Solitary Spindle Cell Xanthogranuloma.
From www.researchgate.net
(A) Myofibroblastic spindle cell proliferation and interspersed Solitary Spindle Cell Xanthogranuloma It occurs mainly in adults. Solitary spindle cell xanthogranuloma occurs with decreasing frequency on the head, neck, upper trunk, or occasionally the extremities of young. It presents with a well demarcated nodule composed. Spindle cell xanthogranuloma is a rare variant form of juvenile xanthogranuloma. Solitary Spindle Cell Xanthogranuloma.
From commons.wikimedia.org
FileJuvenile xanthogranuloma very high mag.jpg Wikimedia Commons Solitary Spindle Cell Xanthogranuloma Spindle cell xanthogranuloma is a rare variant form of juvenile xanthogranuloma. Solitary spindle cell xanthogranuloma occurs with decreasing frequency on the head, neck, upper trunk, or occasionally the extremities of young. It occurs mainly in adults. It presents with a well demarcated nodule composed. Solitary Spindle Cell Xanthogranuloma.
From thejns.org
Necrobiotic xanthogranuloma with cutaneous and cerebral manifestations Solitary Spindle Cell Xanthogranuloma It occurs mainly in adults. It presents with a well demarcated nodule composed. Spindle cell xanthogranuloma is a rare variant form of juvenile xanthogranuloma. Solitary spindle cell xanthogranuloma occurs with decreasing frequency on the head, neck, upper trunk, or occasionally the extremities of young. Solitary Spindle Cell Xanthogranuloma.
From www.anaisdedermatologia.org.br
Solitary palmar adult xanthogranuloma Anais Brasileiros de Dermatologia Solitary Spindle Cell Xanthogranuloma It presents with a well demarcated nodule composed. It occurs mainly in adults. Spindle cell xanthogranuloma is a rare variant form of juvenile xanthogranuloma. Solitary spindle cell xanthogranuloma occurs with decreasing frequency on the head, neck, upper trunk, or occasionally the extremities of young. Solitary Spindle Cell Xanthogranuloma.
From www.youtube.com
Juvenile xanthogranuloma WITHOUT Touton giant cells JXG pathology Solitary Spindle Cell Xanthogranuloma It occurs mainly in adults. Solitary spindle cell xanthogranuloma occurs with decreasing frequency on the head, neck, upper trunk, or occasionally the extremities of young. It presents with a well demarcated nodule composed. Spindle cell xanthogranuloma is a rare variant form of juvenile xanthogranuloma. Solitary Spindle Cell Xanthogranuloma.
From www.researchgate.net
Solitary fibrous tumor histologic findings. Dermal neoplasm consisting Solitary Spindle Cell Xanthogranuloma It presents with a well demarcated nodule composed. Spindle cell xanthogranuloma is a rare variant form of juvenile xanthogranuloma. Solitary spindle cell xanthogranuloma occurs with decreasing frequency on the head, neck, upper trunk, or occasionally the extremities of young. It occurs mainly in adults. Solitary Spindle Cell Xanthogranuloma.
From www.researchgate.net
a Solitary fibrous tumor (SFT) composed of short spindle cells with a Solitary Spindle Cell Xanthogranuloma Solitary spindle cell xanthogranuloma occurs with decreasing frequency on the head, neck, upper trunk, or occasionally the extremities of young. It occurs mainly in adults. It presents with a well demarcated nodule composed. Spindle cell xanthogranuloma is a rare variant form of juvenile xanthogranuloma. Solitary Spindle Cell Xanthogranuloma.
From www.vecteezy.com
Cytological study of intra abdominal mass, Spindle cell Solitary Spindle Cell Xanthogranuloma Solitary spindle cell xanthogranuloma occurs with decreasing frequency on the head, neck, upper trunk, or occasionally the extremities of young. It presents with a well demarcated nodule composed. Spindle cell xanthogranuloma is a rare variant form of juvenile xanthogranuloma. It occurs mainly in adults. Solitary Spindle Cell Xanthogranuloma.
From www.youtube.com
Juvenile Xanthogranuloma (JXG). Dermpath Made Easy YouTube Solitary Spindle Cell Xanthogranuloma It presents with a well demarcated nodule composed. Solitary spindle cell xanthogranuloma occurs with decreasing frequency on the head, neck, upper trunk, or occasionally the extremities of young. Spindle cell xanthogranuloma is a rare variant form of juvenile xanthogranuloma. It occurs mainly in adults. Solitary Spindle Cell Xanthogranuloma.
From www.aaojournal.org
Solitary spindlecell xanthogranulomaof the eyelid Ophthalmology Solitary Spindle Cell Xanthogranuloma It presents with a well demarcated nodule composed. Solitary spindle cell xanthogranuloma occurs with decreasing frequency on the head, neck, upper trunk, or occasionally the extremities of young. Spindle cell xanthogranuloma is a rare variant form of juvenile xanthogranuloma. It occurs mainly in adults. Solitary Spindle Cell Xanthogranuloma.
From twitter.com
Jerad Gardner, MD on Twitter "RT smlungpathguy Thymoma, type AB Solitary Spindle Cell Xanthogranuloma It occurs mainly in adults. It presents with a well demarcated nodule composed. Spindle cell xanthogranuloma is a rare variant form of juvenile xanthogranuloma. Solitary spindle cell xanthogranuloma occurs with decreasing frequency on the head, neck, upper trunk, or occasionally the extremities of young. Solitary Spindle Cell Xanthogranuloma.
From www.cureus.com
Cureus A Vascularappearing Spindle Cell Xanthogranuloma in a Child Solitary Spindle Cell Xanthogranuloma It occurs mainly in adults. Solitary spindle cell xanthogranuloma occurs with decreasing frequency on the head, neck, upper trunk, or occasionally the extremities of young. It presents with a well demarcated nodule composed. Spindle cell xanthogranuloma is a rare variant form of juvenile xanthogranuloma. Solitary Spindle Cell Xanthogranuloma.
From www.dermatologyadvisor.com
Juvenile xanthogranuloma (JXG) Dermatology Advisor Solitary Spindle Cell Xanthogranuloma Solitary spindle cell xanthogranuloma occurs with decreasing frequency on the head, neck, upper trunk, or occasionally the extremities of young. It occurs mainly in adults. Spindle cell xanthogranuloma is a rare variant form of juvenile xanthogranuloma. It presents with a well demarcated nodule composed. Solitary Spindle Cell Xanthogranuloma.
From www.researchgate.net
(A) Under H&E showing hypercellular plump spindle cells with Solitary Spindle Cell Xanthogranuloma Solitary spindle cell xanthogranuloma occurs with decreasing frequency on the head, neck, upper trunk, or occasionally the extremities of young. Spindle cell xanthogranuloma is a rare variant form of juvenile xanthogranuloma. It presents with a well demarcated nodule composed. It occurs mainly in adults. Solitary Spindle Cell Xanthogranuloma.
From www.researchgate.net
(PDF) A Vascularappearing Spindle Cell Xanthogranuloma in a Child Solitary Spindle Cell Xanthogranuloma It occurs mainly in adults. Solitary spindle cell xanthogranuloma occurs with decreasing frequency on the head, neck, upper trunk, or occasionally the extremities of young. Spindle cell xanthogranuloma is a rare variant form of juvenile xanthogranuloma. It presents with a well demarcated nodule composed. Solitary Spindle Cell Xanthogranuloma.
From www.aaojournal.org
Juvenile Xanthogranuloma Involving the Eye and Ocular Adnexa Solitary Spindle Cell Xanthogranuloma It occurs mainly in adults. Spindle cell xanthogranuloma is a rare variant form of juvenile xanthogranuloma. It presents with a well demarcated nodule composed. Solitary spindle cell xanthogranuloma occurs with decreasing frequency on the head, neck, upper trunk, or occasionally the extremities of young. Solitary Spindle Cell Xanthogranuloma.
From www.statpearls.com
Juvenile Xanthogranuloma (Nevoxanthoendothelioma, JXG) Article StatPearls Solitary Spindle Cell Xanthogranuloma It occurs mainly in adults. Spindle cell xanthogranuloma is a rare variant form of juvenile xanthogranuloma. Solitary spindle cell xanthogranuloma occurs with decreasing frequency on the head, neck, upper trunk, or occasionally the extremities of young. It presents with a well demarcated nodule composed. Solitary Spindle Cell Xanthogranuloma.
From www.researchgate.net
Calretinin expression in the spindle cells of a Solitary Spindle Cell Xanthogranuloma It presents with a well demarcated nodule composed. Spindle cell xanthogranuloma is a rare variant form of juvenile xanthogranuloma. It occurs mainly in adults. Solitary spindle cell xanthogranuloma occurs with decreasing frequency on the head, neck, upper trunk, or occasionally the extremities of young. Solitary Spindle Cell Xanthogranuloma.
From jcp.bmj.com
Benign spindle cell lesions of the breast a diagnostic approach to Solitary Spindle Cell Xanthogranuloma It presents with a well demarcated nodule composed. Spindle cell xanthogranuloma is a rare variant form of juvenile xanthogranuloma. Solitary spindle cell xanthogranuloma occurs with decreasing frequency on the head, neck, upper trunk, or occasionally the extremities of young. It occurs mainly in adults. Solitary Spindle Cell Xanthogranuloma.
From www.pathologica.it
Practical approach to diagnosis of blandlooking spindle cell lesions Solitary Spindle Cell Xanthogranuloma Solitary spindle cell xanthogranuloma occurs with decreasing frequency on the head, neck, upper trunk, or occasionally the extremities of young. Spindle cell xanthogranuloma is a rare variant form of juvenile xanthogranuloma. It occurs mainly in adults. It presents with a well demarcated nodule composed. Solitary Spindle Cell Xanthogranuloma.