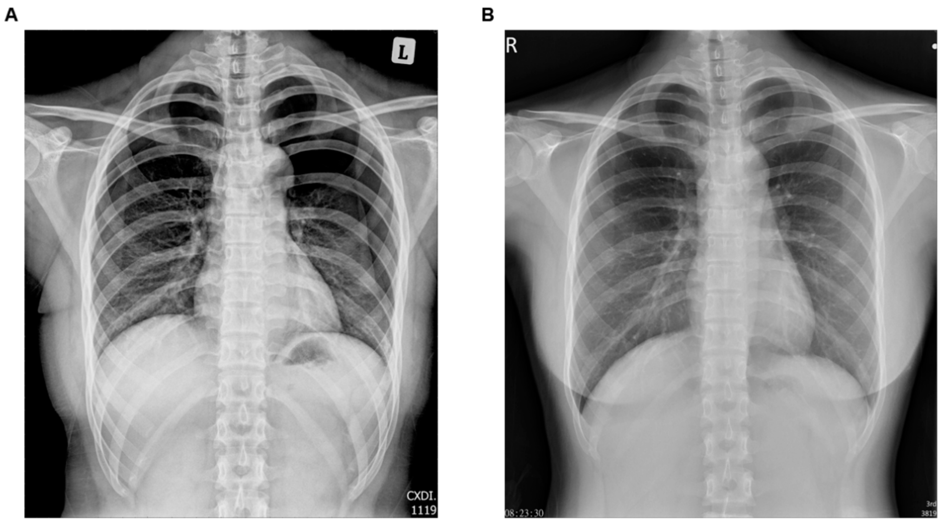
Acupuncture Needles Xray . We describe the imaging appearance of these. Although they have a characteristic imaging appearance, without prior knowledge,. Observe the multiple radiopaque densities scattered throughout the. In some practices, the needle remnants are left permanently in the tissue to provide continuous neurological stimulation, also known as hari. Traditional chinese acupuncture involves placing needles into the subcutaneous tissues along predefined meridians, and later totally removing. These were determined to be permanently implanted acupuncture needles. Performed widely in us, especially amongst chinese, korean and japanese clinical findings. Needle movements such as lifting, inserting, and twisting cause the patient to experience the phenomenon of deqi (defined as. The patient had previously undergone.
from www.mdpi.com
The patient had previously undergone. These were determined to be permanently implanted acupuncture needles. In some practices, the needle remnants are left permanently in the tissue to provide continuous neurological stimulation, also known as hari. Performed widely in us, especially amongst chinese, korean and japanese clinical findings. We describe the imaging appearance of these. Observe the multiple radiopaque densities scattered throughout the. Although they have a characteristic imaging appearance, without prior knowledge,. Traditional chinese acupuncture involves placing needles into the subcutaneous tissues along predefined meridians, and later totally removing. Needle movements such as lifting, inserting, and twisting cause the patient to experience the phenomenon of deqi (defined as.
Medicina Free FullText Iatrogenic Pneumothorax during Acupuncture
Acupuncture Needles Xray Observe the multiple radiopaque densities scattered throughout the. Although they have a characteristic imaging appearance, without prior knowledge,. Traditional chinese acupuncture involves placing needles into the subcutaneous tissues along predefined meridians, and later totally removing. The patient had previously undergone. We describe the imaging appearance of these. In some practices, the needle remnants are left permanently in the tissue to provide continuous neurological stimulation, also known as hari. Needle movements such as lifting, inserting, and twisting cause the patient to experience the phenomenon of deqi (defined as. Observe the multiple radiopaque densities scattered throughout the. These were determined to be permanently implanted acupuncture needles. Performed widely in us, especially amongst chinese, korean and japanese clinical findings.
From casereports.bmj.com
Point of emphasis retained acupuncture needles after 30 years BMJ Acupuncture Needles Xray Performed widely in us, especially amongst chinese, korean and japanese clinical findings. The patient had previously undergone. Although they have a characteristic imaging appearance, without prior knowledge,. These were determined to be permanently implanted acupuncture needles. Needle movements such as lifting, inserting, and twisting cause the patient to experience the phenomenon of deqi (defined as. Observe the multiple radiopaque densities. Acupuncture Needles Xray.
From naturalcave.com
Acupuncture And Everything You Need To Know About It Acupuncture Needles Xray Traditional chinese acupuncture involves placing needles into the subcutaneous tissues along predefined meridians, and later totally removing. Needle movements such as lifting, inserting, and twisting cause the patient to experience the phenomenon of deqi (defined as. Although they have a characteristic imaging appearance, without prior knowledge,. Observe the multiple radiopaque densities scattered throughout the. Performed widely in us, especially amongst. Acupuncture Needles Xray.
From www.cmaj.ca
A hedgehoglike appearance resulting from Hari acupuncture CMAJ Acupuncture Needles Xray These were determined to be permanently implanted acupuncture needles. Although they have a characteristic imaging appearance, without prior knowledge,. Traditional chinese acupuncture involves placing needles into the subcutaneous tissues along predefined meridians, and later totally removing. The patient had previously undergone. Observe the multiple radiopaque densities scattered throughout the. Performed widely in us, especially amongst chinese, korean and japanese clinical. Acupuncture Needles Xray.
From mercklingdc.com
The Basics of Acupuncture Points Merckling Family Chiropractic Acupuncture Needles Xray Needle movements such as lifting, inserting, and twisting cause the patient to experience the phenomenon of deqi (defined as. Traditional chinese acupuncture involves placing needles into the subcutaneous tissues along predefined meridians, and later totally removing. The patient had previously undergone. Observe the multiple radiopaque densities scattered throughout the. Performed widely in us, especially amongst chinese, korean and japanese clinical. Acupuncture Needles Xray.
From deformutilation.blogspot.com
Deformutilation XRay Reveals Needles in the Neck Acupuncture Needles Xray In some practices, the needle remnants are left permanently in the tissue to provide continuous neurological stimulation, also known as hari. We describe the imaging appearance of these. These were determined to be permanently implanted acupuncture needles. Observe the multiple radiopaque densities scattered throughout the. Although they have a characteristic imaging appearance, without prior knowledge,. Performed widely in us, especially. Acupuncture Needles Xray.
From healthjade.net
Acupuncture How Does Acupuncture Work Benefits & Side Effects Acupuncture Needles Xray In some practices, the needle remnants are left permanently in the tissue to provide continuous neurological stimulation, also known as hari. Needle movements such as lifting, inserting, and twisting cause the patient to experience the phenomenon of deqi (defined as. These were determined to be permanently implanted acupuncture needles. Although they have a characteristic imaging appearance, without prior knowledge,. We. Acupuncture Needles Xray.
From medtac.com.au
MedATC Acupuncture Needles Buy Needles Online Acupuncture Needles Xray Performed widely in us, especially amongst chinese, korean and japanese clinical findings. The patient had previously undergone. We describe the imaging appearance of these. In some practices, the needle remnants are left permanently in the tissue to provide continuous neurological stimulation, also known as hari. Needle movements such as lifting, inserting, and twisting cause the patient to experience the phenomenon. Acupuncture Needles Xray.
From radiomed.ru
Обучающие файлы зарубежных университетов. Университет Аризоны Acupuncture Needles Xray Traditional chinese acupuncture involves placing needles into the subcutaneous tissues along predefined meridians, and later totally removing. Although they have a characteristic imaging appearance, without prior knowledge,. The patient had previously undergone. Observe the multiple radiopaque densities scattered throughout the. In some practices, the needle remnants are left permanently in the tissue to provide continuous neurological stimulation, also known as. Acupuncture Needles Xray.
From www.alibaba.com
Shenlong Sterile Acupuncture Needle For Single Use Huanqiu Brand Acupuncture Needles Xray These were determined to be permanently implanted acupuncture needles. Performed widely in us, especially amongst chinese, korean and japanese clinical findings. Although they have a characteristic imaging appearance, without prior knowledge,. The patient had previously undergone. Traditional chinese acupuncture involves placing needles into the subcutaneous tissues along predefined meridians, and later totally removing. We describe the imaging appearance of these.. Acupuncture Needles Xray.
From www.frontiersin.org
Frontiers Case report Electroacupuncture for acute pain flareup of Acupuncture Needles Xray Needle movements such as lifting, inserting, and twisting cause the patient to experience the phenomenon of deqi (defined as. The patient had previously undergone. Although they have a characteristic imaging appearance, without prior knowledge,. Traditional chinese acupuncture involves placing needles into the subcutaneous tissues along predefined meridians, and later totally removing. In some practices, the needle remnants are left permanently. Acupuncture Needles Xray.
From www.sciencephoto.com
Acupuncture needles in a patient's neck Stock Image M745/0114 Acupuncture Needles Xray We describe the imaging appearance of these. The patient had previously undergone. Needle movements such as lifting, inserting, and twisting cause the patient to experience the phenomenon of deqi (defined as. Traditional chinese acupuncture involves placing needles into the subcutaneous tissues along predefined meridians, and later totally removing. These were determined to be permanently implanted acupuncture needles. In some practices,. Acupuncture Needles Xray.
From www.iflscience.com
Images Appear To Show Broken Heroin Needles Stuck In Patient's Neck Acupuncture Needles Xray We describe the imaging appearance of these. Although they have a characteristic imaging appearance, without prior knowledge,. Performed widely in us, especially amongst chinese, korean and japanese clinical findings. These were determined to be permanently implanted acupuncture needles. In some practices, the needle remnants are left permanently in the tissue to provide continuous neurological stimulation, also known as hari. Observe. Acupuncture Needles Xray.
From www.sciencephoto.com
Close up of acupuncture needles Stock Image C031/0960 Science Acupuncture Needles Xray The patient had previously undergone. Performed widely in us, especially amongst chinese, korean and japanese clinical findings. Needle movements such as lifting, inserting, and twisting cause the patient to experience the phenomenon of deqi (defined as. Observe the multiple radiopaque densities scattered throughout the. In some practices, the needle remnants are left permanently in the tissue to provide continuous neurological. Acupuncture Needles Xray.
From noha.co
Acupuncture Hermits Point Medicine Acupuncture Needles Xray Traditional chinese acupuncture involves placing needles into the subcutaneous tissues along predefined meridians, and later totally removing. Performed widely in us, especially amongst chinese, korean and japanese clinical findings. Needle movements such as lifting, inserting, and twisting cause the patient to experience the phenomenon of deqi (defined as. We describe the imaging appearance of these. The patient had previously undergone.. Acupuncture Needles Xray.
From www.livescience.com
Why a Woman's Wrists Glowed with Gold Filaments on an XRay Live Science Acupuncture Needles Xray Performed widely in us, especially amongst chinese, korean and japanese clinical findings. Traditional chinese acupuncture involves placing needles into the subcutaneous tissues along predefined meridians, and later totally removing. We describe the imaging appearance of these. Needle movements such as lifting, inserting, and twisting cause the patient to experience the phenomenon of deqi (defined as. These were determined to be. Acupuncture Needles Xray.
From www.acutop.com
AcuTop AcuTop® Acupuncture Needle Type 5CB purchase online Acupuncture Needles Xray Although they have a characteristic imaging appearance, without prior knowledge,. Performed widely in us, especially amongst chinese, korean and japanese clinical findings. The patient had previously undergone. Observe the multiple radiopaque densities scattered throughout the. We describe the imaging appearance of these. In some practices, the needle remnants are left permanently in the tissue to provide continuous neurological stimulation, also. Acupuncture Needles Xray.
From www.dreamstime.com
Acupuncturist Needle Pricking into Skin, with Shallow Depth of F Stock Acupuncture Needles Xray We describe the imaging appearance of these. In some practices, the needle remnants are left permanently in the tissue to provide continuous neurological stimulation, also known as hari. Performed widely in us, especially amongst chinese, korean and japanese clinical findings. Although they have a characteristic imaging appearance, without prior knowledge,. These were determined to be permanently implanted acupuncture needles. Needle. Acupuncture Needles Xray.
From mymeglio.com
Acupuncture Needles Meglio Acupuncture Needles Xray In some practices, the needle remnants are left permanently in the tissue to provide continuous neurological stimulation, also known as hari. We describe the imaging appearance of these. These were determined to be permanently implanted acupuncture needles. Performed widely in us, especially amongst chinese, korean and japanese clinical findings. Needle movements such as lifting, inserting, and twisting cause the patient. Acupuncture Needles Xray.
From www.mdpi.com
Medicina Free FullText Iatrogenic Pneumothorax during Acupuncture Acupuncture Needles Xray Traditional chinese acupuncture involves placing needles into the subcutaneous tissues along predefined meridians, and later totally removing. These were determined to be permanently implanted acupuncture needles. In some practices, the needle remnants are left permanently in the tissue to provide continuous neurological stimulation, also known as hari. We describe the imaging appearance of these. Needle movements such as lifting, inserting,. Acupuncture Needles Xray.
From www.bigstockphoto.com
Acupuncture Needles Image & Photo (Free Trial) Bigstock Acupuncture Needles Xray Observe the multiple radiopaque densities scattered throughout the. Although they have a characteristic imaging appearance, without prior knowledge,. Needle movements such as lifting, inserting, and twisting cause the patient to experience the phenomenon of deqi (defined as. Performed widely in us, especially amongst chinese, korean and japanese clinical findings. Traditional chinese acupuncture involves placing needles into the subcutaneous tissues along. Acupuncture Needles Xray.
From www.livescience.com
XRay Reveals Hundreds of Gold Needles in Woman's Knees Live Science Acupuncture Needles Xray Although they have a characteristic imaging appearance, without prior knowledge,. Performed widely in us, especially amongst chinese, korean and japanese clinical findings. These were determined to be permanently implanted acupuncture needles. Observe the multiple radiopaque densities scattered throughout the. The patient had previously undergone. In some practices, the needle remnants are left permanently in the tissue to provide continuous neurological. Acupuncture Needles Xray.
From medtac.com.au
MedATC JType Acupuncture Needles Buy Needles Online Acupuncture Needles Xray In some practices, the needle remnants are left permanently in the tissue to provide continuous neurological stimulation, also known as hari. Observe the multiple radiopaque densities scattered throughout the. Performed widely in us, especially amongst chinese, korean and japanese clinical findings. Although they have a characteristic imaging appearance, without prior knowledge,. These were determined to be permanently implanted acupuncture needles.. Acupuncture Needles Xray.
From www.sciencephoto.com
Acupuncture needles Stock Image M745/0177 Science Photo Library Acupuncture Needles Xray Traditional chinese acupuncture involves placing needles into the subcutaneous tissues along predefined meridians, and later totally removing. Observe the multiple radiopaque densities scattered throughout the. Although they have a characteristic imaging appearance, without prior knowledge,. In some practices, the needle remnants are left permanently in the tissue to provide continuous neurological stimulation, also known as hari. Needle movements such as. Acupuncture Needles Xray.
From www.semanticscholar.org
Figure 1 from Acupuncture needle fragments identified on Xray and Acupuncture Needles Xray Although they have a characteristic imaging appearance, without prior knowledge,. Observe the multiple radiopaque densities scattered throughout the. The patient had previously undergone. We describe the imaging appearance of these. Needle movements such as lifting, inserting, and twisting cause the patient to experience the phenomenon of deqi (defined as. Traditional chinese acupuncture involves placing needles into the subcutaneous tissues along. Acupuncture Needles Xray.
From www.lierre.ca
Acupuncture needles Acupuncture Needles Xray Traditional chinese acupuncture involves placing needles into the subcutaneous tissues along predefined meridians, and later totally removing. Needle movements such as lifting, inserting, and twisting cause the patient to experience the phenomenon of deqi (defined as. We describe the imaging appearance of these. These were determined to be permanently implanted acupuncture needles. Although they have a characteristic imaging appearance, without. Acupuncture Needles Xray.
From www.reddit.com
Gold thread acupuncture for rheumatoid arthritis r/medizzy Acupuncture Needles Xray Observe the multiple radiopaque densities scattered throughout the. Needle movements such as lifting, inserting, and twisting cause the patient to experience the phenomenon of deqi (defined as. Traditional chinese acupuncture involves placing needles into the subcutaneous tissues along predefined meridians, and later totally removing. We describe the imaging appearance of these. These were determined to be permanently implanted acupuncture needles.. Acupuncture Needles Xray.
From acuherbs.com.au
Acupuncture Needles(0.25) acuherbs Acupuncture Needles Xray In some practices, the needle remnants are left permanently in the tissue to provide continuous neurological stimulation, also known as hari. We describe the imaging appearance of these. Traditional chinese acupuncture involves placing needles into the subcutaneous tissues along predefined meridians, and later totally removing. The patient had previously undergone. Needle movements such as lifting, inserting, and twisting cause the. Acupuncture Needles Xray.
From stuffslane.com
Acupuncture Needle(50pieces) Stuffslane Acupuncture Needles Xray Observe the multiple radiopaque densities scattered throughout the. Performed widely in us, especially amongst chinese, korean and japanese clinical findings. We describe the imaging appearance of these. These were determined to be permanently implanted acupuncture needles. Although they have a characteristic imaging appearance, without prior knowledge,. Needle movements such as lifting, inserting, and twisting cause the patient to experience the. Acupuncture Needles Xray.
From www.dreamstime.com
Acupuncture needles stock photo. Image of body, background 19690412 Acupuncture Needles Xray Performed widely in us, especially amongst chinese, korean and japanese clinical findings. Traditional chinese acupuncture involves placing needles into the subcutaneous tissues along predefined meridians, and later totally removing. These were determined to be permanently implanted acupuncture needles. The patient had previously undergone. Although they have a characteristic imaging appearance, without prior knowledge,. In some practices, the needle remnants are. Acupuncture Needles Xray.
From www.dreamstime.com
Acupuncturist Needle Pricking into Skin, with Shallow Depth of F Stock Acupuncture Needles Xray In some practices, the needle remnants are left permanently in the tissue to provide continuous neurological stimulation, also known as hari. The patient had previously undergone. We describe the imaging appearance of these. These were determined to be permanently implanted acupuncture needles. Needle movements such as lifting, inserting, and twisting cause the patient to experience the phenomenon of deqi (defined. Acupuncture Needles Xray.
From letsgobrandongreen.com
Acupuncture Needles with Individual Guide Tube Free Shipping LET's Acupuncture Needles Xray Traditional chinese acupuncture involves placing needles into the subcutaneous tissues along predefined meridians, and later totally removing. We describe the imaging appearance of these. Although they have a characteristic imaging appearance, without prior knowledge,. In some practices, the needle remnants are left permanently in the tissue to provide continuous neurological stimulation, also known as hari. Observe the multiple radiopaque densities. Acupuncture Needles Xray.
From www.huffingtonpost.com
XRay Reveals Hundreds Of Gold Acupuncture Needles In Woman's Knees Acupuncture Needles Xray These were determined to be permanently implanted acupuncture needles. Performed widely in us, especially amongst chinese, korean and japanese clinical findings. The patient had previously undergone. Needle movements such as lifting, inserting, and twisting cause the patient to experience the phenomenon of deqi (defined as. Observe the multiple radiopaque densities scattered throughout the. In some practices, the needle remnants are. Acupuncture Needles Xray.
From fit.thequint.com
XRay Reveals Acupuncture Needles from Thirty Years Ago in a 94Year Acupuncture Needles Xray These were determined to be permanently implanted acupuncture needles. Traditional chinese acupuncture involves placing needles into the subcutaneous tissues along predefined meridians, and later totally removing. Needle movements such as lifting, inserting, and twisting cause the patient to experience the phenomenon of deqi (defined as. Although they have a characteristic imaging appearance, without prior knowledge,. Performed widely in us, especially. Acupuncture Needles Xray.
From www.researchgate.net
Preoperative Abdominal Xray. The broken acupuncture needle was showed Acupuncture Needles Xray Observe the multiple radiopaque densities scattered throughout the. Although they have a characteristic imaging appearance, without prior knowledge,. These were determined to be permanently implanted acupuncture needles. The patient had previously undergone. In some practices, the needle remnants are left permanently in the tissue to provide continuous neurological stimulation, also known as hari. Traditional chinese acupuncture involves placing needles into. Acupuncture Needles Xray.
From www.aacinfonetwork.com
acupuncture needles AAC Info Network Acupuncture Needles Xray Performed widely in us, especially amongst chinese, korean and japanese clinical findings. Observe the multiple radiopaque densities scattered throughout the. The patient had previously undergone. In some practices, the needle remnants are left permanently in the tissue to provide continuous neurological stimulation, also known as hari. Although they have a characteristic imaging appearance, without prior knowledge,. These were determined to. Acupuncture Needles Xray.