What Is A Nasal Spur . In addition, healthcare providers may recommend. It is a short bend either happening in the cartilaginous portion or in the bony portion of the nasal. A deviated septum happens when the nasal septum is out of position to one side, making one nasal air passage smaller than the. This condition can cause various symptoms and impact the. A nasal septal spur is a bony growth on the nasal septum, the thin wall that separates the nasal passages. A septoplasty is a surgery for treating nasal blockage. People with a deviated septum and have nasal obstruction may need a septoplasty.
from witchzcavedead.blogspot.com
A nasal septal spur is a bony growth on the nasal septum, the thin wall that separates the nasal passages. It is a short bend either happening in the cartilaginous portion or in the bony portion of the nasal. In addition, healthcare providers may recommend. A deviated septum happens when the nasal septum is out of position to one side, making one nasal air passage smaller than the. This condition can cause various symptoms and impact the. A septoplasty is a surgery for treating nasal blockage. People with a deviated septum and have nasal obstruction may need a septoplasty.
deviated septum nose job price Quite A State Binnacle Image Library
What Is A Nasal Spur A septoplasty is a surgery for treating nasal blockage. A deviated septum happens when the nasal septum is out of position to one side, making one nasal air passage smaller than the. In addition, healthcare providers may recommend. People with a deviated septum and have nasal obstruction may need a septoplasty. It is a short bend either happening in the cartilaginous portion or in the bony portion of the nasal. A nasal septal spur is a bony growth on the nasal septum, the thin wall that separates the nasal passages. This condition can cause various symptoms and impact the. A septoplasty is a surgery for treating nasal blockage.
From www.sleepandbrain.com
Sleep Apnea — Sleep and Brain What Is A Nasal Spur People with a deviated septum and have nasal obstruction may need a septoplasty. This condition can cause various symptoms and impact the. In addition, healthcare providers may recommend. A deviated septum happens when the nasal septum is out of position to one side, making one nasal air passage smaller than the. It is a short bend either happening in the. What Is A Nasal Spur.
From www.pinterest.com
Nasal Cavities and Underlying Bones Sinusitis, Sphenoid bone, Nasal What Is A Nasal Spur This condition can cause various symptoms and impact the. A deviated septum happens when the nasal septum is out of position to one side, making one nasal air passage smaller than the. A nasal septal spur is a bony growth on the nasal septum, the thin wall that separates the nasal passages. People with a deviated septum and have nasal. What Is A Nasal Spur.
From www.ent-istanbul.com
Ossified Overhang (Osteophyte) In The Nose That Can Cause Atypical What Is A Nasal Spur A septoplasty is a surgery for treating nasal blockage. In addition, healthcare providers may recommend. A nasal septal spur is a bony growth on the nasal septum, the thin wall that separates the nasal passages. It is a short bend either happening in the cartilaginous portion or in the bony portion of the nasal. A deviated septum happens when the. What Is A Nasal Spur.
From www.homenaturalcures.com
Deviated Septum Symptoms And Causes 7 Important Signs What Is A Nasal Spur This condition can cause various symptoms and impact the. A deviated septum happens when the nasal septum is out of position to one side, making one nasal air passage smaller than the. It is a short bend either happening in the cartilaginous portion or in the bony portion of the nasal. In addition, healthcare providers may recommend. People with a. What Is A Nasal Spur.
From www.dovemed.com
Bone Spur of Nose What Is A Nasal Spur It is a short bend either happening in the cartilaginous portion or in the bony portion of the nasal. This condition can cause various symptoms and impact the. In addition, healthcare providers may recommend. A septoplasty is a surgery for treating nasal blockage. People with a deviated septum and have nasal obstruction may need a septoplasty. A deviated septum happens. What Is A Nasal Spur.
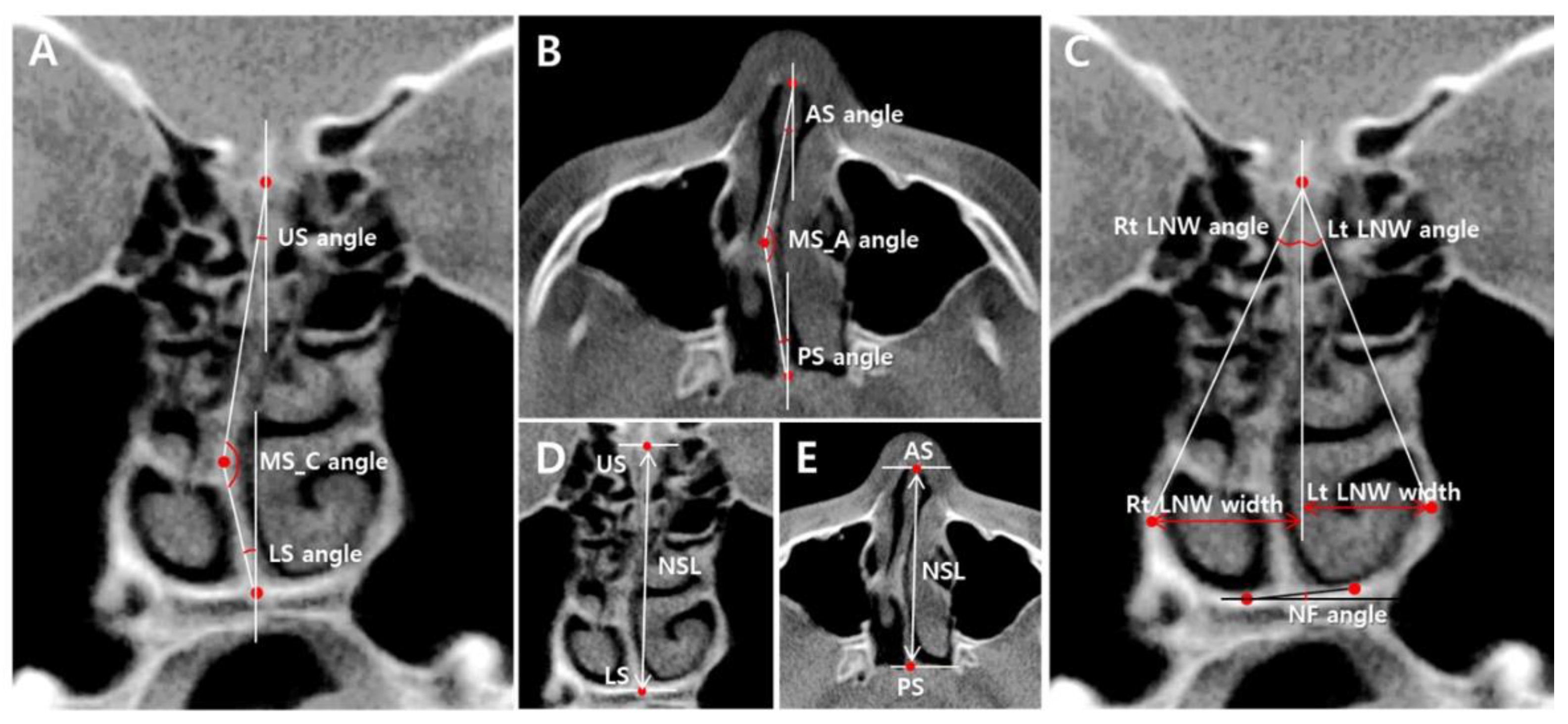
From www.mdpi.com
Applied Sciences Free FullText A CBCT Evaluation of Nasal Septal What Is A Nasal Spur A deviated septum happens when the nasal septum is out of position to one side, making one nasal air passage smaller than the. In addition, healthcare providers may recommend. It is a short bend either happening in the cartilaginous portion or in the bony portion of the nasal. A septoplasty is a surgery for treating nasal blockage. A nasal septal. What Is A Nasal Spur.
From www.ent-istanbul.com
Treatment of Deviated Nasal Septum and Health Effects What Is A Nasal Spur This condition can cause various symptoms and impact the. It is a short bend either happening in the cartilaginous portion or in the bony portion of the nasal. People with a deviated septum and have nasal obstruction may need a septoplasty. A septoplasty is a surgery for treating nasal blockage. A nasal septal spur is a bony growth on the. What Is A Nasal Spur.
From www.cureus.com
Cureus SpuroftheMoment An Exacting Nasal Intubation What Is A Nasal Spur A septoplasty is a surgery for treating nasal blockage. A deviated septum happens when the nasal septum is out of position to one side, making one nasal air passage smaller than the. It is a short bend either happening in the cartilaginous portion or in the bony portion of the nasal. A nasal septal spur is a bony growth on. What Is A Nasal Spur.
From www.healthzoneturkey.xyz
Health Zone Turkey Nasal Bone Spur Symptoms, Diagnosis, Treatment What Is A Nasal Spur This condition can cause various symptoms and impact the. It is a short bend either happening in the cartilaginous portion or in the bony portion of the nasal. A nasal septal spur is a bony growth on the nasal septum, the thin wall that separates the nasal passages. In addition, healthcare providers may recommend. A septoplasty is a surgery for. What Is A Nasal Spur.
From www.ent-istanbul.com
Nasal Bone Spur Removal Can Reduce The Your Headache! What Is A Nasal Spur This condition can cause various symptoms and impact the. In addition, healthcare providers may recommend. A nasal septal spur is a bony growth on the nasal septum, the thin wall that separates the nasal passages. People with a deviated septum and have nasal obstruction may need a septoplasty. A septoplasty is a surgery for treating nasal blockage. A deviated septum. What Is A Nasal Spur.
From witchzcavedead.blogspot.com
deviated septum nose job price Quite A State Binnacle Image Library What Is A Nasal Spur In addition, healthcare providers may recommend. A deviated septum happens when the nasal septum is out of position to one side, making one nasal air passage smaller than the. A septoplasty is a surgery for treating nasal blockage. It is a short bend either happening in the cartilaginous portion or in the bony portion of the nasal. A nasal septal. What Is A Nasal Spur.
From www.healthzoneturkey.xyz
Health Zone Turkey Nasal Bone Spur Symptoms, Diagnosis, Treatment What Is A Nasal Spur A septoplasty is a surgery for treating nasal blockage. In addition, healthcare providers may recommend. A nasal septal spur is a bony growth on the nasal septum, the thin wall that separates the nasal passages. This condition can cause various symptoms and impact the. It is a short bend either happening in the cartilaginous portion or in the bony portion. What Is A Nasal Spur.
From www.researchgate.net
Endoscopic picture showing septal spur. Download Scientific Diagram What Is A Nasal Spur A nasal septal spur is a bony growth on the nasal septum, the thin wall that separates the nasal passages. In addition, healthcare providers may recommend. A septoplasty is a surgery for treating nasal blockage. People with a deviated septum and have nasal obstruction may need a septoplasty. A deviated septum happens when the nasal septum is out of position. What Is A Nasal Spur.
From www.pinterest.fr
Nasal bridge and nose bone anatomy with face cartilage outline diagram What Is A Nasal Spur A septoplasty is a surgery for treating nasal blockage. A deviated septum happens when the nasal septum is out of position to one side, making one nasal air passage smaller than the. In addition, healthcare providers may recommend. A nasal septal spur is a bony growth on the nasal septum, the thin wall that separates the nasal passages. People with. What Is A Nasal Spur.
From www.ent-istanbul.com
Ossified Overhang (Osteophyte) In The Nose That Can Cause Atypical What Is A Nasal Spur It is a short bend either happening in the cartilaginous portion or in the bony portion of the nasal. A nasal septal spur is a bony growth on the nasal septum, the thin wall that separates the nasal passages. People with a deviated septum and have nasal obstruction may need a septoplasty. A septoplasty is a surgery for treating nasal. What Is A Nasal Spur.
From radiopaedia.org
Image What Is A Nasal Spur People with a deviated septum and have nasal obstruction may need a septoplasty. A deviated septum happens when the nasal septum is out of position to one side, making one nasal air passage smaller than the. A septoplasty is a surgery for treating nasal blockage. This condition can cause various symptoms and impact the. It is a short bend either. What Is A Nasal Spur.
From www.ent-istanbul.com
Nasal Bone Spur (Other Reason For Atypical Headache) What Is A Nasal Spur A deviated septum happens when the nasal septum is out of position to one side, making one nasal air passage smaller than the. A septoplasty is a surgery for treating nasal blockage. A nasal septal spur is a bony growth on the nasal septum, the thin wall that separates the nasal passages. This condition can cause various symptoms and impact. What Is A Nasal Spur.
From www.potomacplasticsurgery.com
Rhinoplasty and Septoplasty for Bone Spur What Is A Nasal Spur A septoplasty is a surgery for treating nasal blockage. A deviated septum happens when the nasal septum is out of position to one side, making one nasal air passage smaller than the. In addition, healthcare providers may recommend. It is a short bend either happening in the cartilaginous portion or in the bony portion of the nasal. People with a. What Is A Nasal Spur.
From www.healthzoneturkey.xyz
Health Zone Turkey Nasal Bone Spur Symptoms, Diagnosis, Treatment What Is A Nasal Spur It is a short bend either happening in the cartilaginous portion or in the bony portion of the nasal. A deviated septum happens when the nasal septum is out of position to one side, making one nasal air passage smaller than the. A septoplasty is a surgery for treating nasal blockage. This condition can cause various symptoms and impact the.. What Is A Nasal Spur.
From medtube.net
Nasal Septal Spur CT Scan • Image • What Is A Nasal Spur It is a short bend either happening in the cartilaginous portion or in the bony portion of the nasal. People with a deviated septum and have nasal obstruction may need a septoplasty. This condition can cause various symptoms and impact the. A nasal septal spur is a bony growth on the nasal septum, the thin wall that separates the nasal. What Is A Nasal Spur.
From www.potomacplasticsurgery.com
Rhinoplasty and Septoplasty for Bone Spur What Is A Nasal Spur People with a deviated septum and have nasal obstruction may need a septoplasty. A septoplasty is a surgery for treating nasal blockage. This condition can cause various symptoms and impact the. A nasal septal spur is a bony growth on the nasal septum, the thin wall that separates the nasal passages. In addition, healthcare providers may recommend. A deviated septum. What Is A Nasal Spur.
From www.aahanentclinic.com
Deviated Nasal Septum & Septoplasty What you need to know Aahan ENT What Is A Nasal Spur It is a short bend either happening in the cartilaginous portion or in the bony portion of the nasal. People with a deviated septum and have nasal obstruction may need a septoplasty. In addition, healthcare providers may recommend. A nasal septal spur is a bony growth on the nasal septum, the thin wall that separates the nasal passages. A deviated. What Is A Nasal Spur.
From www.ent-istanbul.com
Ossified Overhang (Osteophyte) In The Nose That Can Cause Atypical What Is A Nasal Spur In addition, healthcare providers may recommend. It is a short bend either happening in the cartilaginous portion or in the bony portion of the nasal. This condition can cause various symptoms and impact the. A nasal septal spur is a bony growth on the nasal septum, the thin wall that separates the nasal passages. A deviated septum happens when the. What Is A Nasal Spur.
From www.potomacplasticsurgery.com
Rhinoplasty and Septoplasty for Bone Spur What Is A Nasal Spur People with a deviated septum and have nasal obstruction may need a septoplasty. A nasal septal spur is a bony growth on the nasal septum, the thin wall that separates the nasal passages. It is a short bend either happening in the cartilaginous portion or in the bony portion of the nasal. This condition can cause various symptoms and impact. What Is A Nasal Spur.
From www.ent-istanbul.com
Nasal Septum Deviation Symptoms, Diagnosis and Treatment What Is A Nasal Spur A deviated septum happens when the nasal septum is out of position to one side, making one nasal air passage smaller than the. This condition can cause various symptoms and impact the. A septoplasty is a surgery for treating nasal blockage. People with a deviated septum and have nasal obstruction may need a septoplasty. It is a short bend either. What Is A Nasal Spur.
From www.healthzoneturkey.xyz
Health Zone Turkey Nasal Bone Spur Symptoms, Diagnosis, Treatment What Is A Nasal Spur People with a deviated septum and have nasal obstruction may need a septoplasty. It is a short bend either happening in the cartilaginous portion or in the bony portion of the nasal. In addition, healthcare providers may recommend. This condition can cause various symptoms and impact the. A deviated septum happens when the nasal septum is out of position to. What Is A Nasal Spur.
From www.healthzoneturkey.xyz
Health Zone Turkey Nasal Bone Spur Symptoms, Diagnosis, Treatment What Is A Nasal Spur In addition, healthcare providers may recommend. A deviated septum happens when the nasal septum is out of position to one side, making one nasal air passage smaller than the. This condition can cause various symptoms and impact the. A nasal septal spur is a bony growth on the nasal septum, the thin wall that separates the nasal passages. People with. What Is A Nasal Spur.
From www.healthzoneturkey.xyz
Health Zone Turkey Nasal Bone Spur Symptoms, Diagnosis, Treatment What Is A Nasal Spur A septoplasty is a surgery for treating nasal blockage. It is a short bend either happening in the cartilaginous portion or in the bony portion of the nasal. A deviated septum happens when the nasal septum is out of position to one side, making one nasal air passage smaller than the. In addition, healthcare providers may recommend. People with a. What Is A Nasal Spur.
From www.healthzoneturkey.xyz
Health Zone Turkey Nasal Bone Spur Symptoms, Diagnosis, Treatment What Is A Nasal Spur In addition, healthcare providers may recommend. People with a deviated septum and have nasal obstruction may need a septoplasty. A septoplasty is a surgery for treating nasal blockage. A deviated septum happens when the nasal septum is out of position to one side, making one nasal air passage smaller than the. It is a short bend either happening in the. What Is A Nasal Spur.
From getwikihealthcare.blogspot.com
WiKi HEALTH CARE When the nose bones are curved What Is A Nasal Spur In addition, healthcare providers may recommend. A septoplasty is a surgery for treating nasal blockage. It is a short bend either happening in the cartilaginous portion or in the bony portion of the nasal. A deviated septum happens when the nasal septum is out of position to one side, making one nasal air passage smaller than the. People with a. What Is A Nasal Spur.
From www.premier-ortho.com
What is Nasal Bone Spur? (Causes, Symptoms, and Treatments) What Is A Nasal Spur People with a deviated septum and have nasal obstruction may need a septoplasty. This condition can cause various symptoms and impact the. A nasal septal spur is a bony growth on the nasal septum, the thin wall that separates the nasal passages. A deviated septum happens when the nasal septum is out of position to one side, making one nasal. What Is A Nasal Spur.
From www.ent-istanbul.com
Ossified Overhang (Osteophyte) In The Nose That Can Cause Atypical What Is A Nasal Spur A septoplasty is a surgery for treating nasal blockage. A deviated septum happens when the nasal septum is out of position to one side, making one nasal air passage smaller than the. It is a short bend either happening in the cartilaginous portion or in the bony portion of the nasal. This condition can cause various symptoms and impact the.. What Is A Nasal Spur.
From www.youtube.com
ENT / 3D Nose 4 diseases of nasal septum 1. YouTube What Is A Nasal Spur A septoplasty is a surgery for treating nasal blockage. A nasal septal spur is a bony growth on the nasal septum, the thin wall that separates the nasal passages. It is a short bend either happening in the cartilaginous portion or in the bony portion of the nasal. This condition can cause various symptoms and impact the. A deviated septum. What Is A Nasal Spur.
From www.ent-istanbul.com
Ossified Overhang (Osteophyte) In The Nose That Can Cause Atypical What Is A Nasal Spur This condition can cause various symptoms and impact the. People with a deviated septum and have nasal obstruction may need a septoplasty. A septoplasty is a surgery for treating nasal blockage. It is a short bend either happening in the cartilaginous portion or in the bony portion of the nasal. In addition, healthcare providers may recommend. A nasal septal spur. What Is A Nasal Spur.
From www.researchgate.net
Axial CT scan showing mucosal contact between the peak of septal spur What Is A Nasal Spur This condition can cause various symptoms and impact the. A deviated septum happens when the nasal septum is out of position to one side, making one nasal air passage smaller than the. It is a short bend either happening in the cartilaginous portion or in the bony portion of the nasal. A nasal septal spur is a bony growth on. What Is A Nasal Spur.