Vitamin B12 Deficiency Low Neutrophils . When people have abnormally low levels of white blood cells (called neutrophils), they have a condition known as neutropenia. Vitamin deficiencies, most commonly vitamin b12, folate, and copper deficiency. Patients with folate or vitamin b 12 deficiency can be neutropenic, but this rarely occurs without concomitant macrocytosis and. Neutropenia refers to a decrease in circulating neutrophils, which for adults corresponds to <1500 cells/microl in most. Sepsis, an infection of the bloodstream that uses up neutrophils quicker than they. Vitamin b12 is also used as a cofactor for the enzyme. Thus, b12 deficiency characteristically results in the formation of hypersegmented neutrophils.
from livelovefruit.com
Vitamin b12 is also used as a cofactor for the enzyme. Thus, b12 deficiency characteristically results in the formation of hypersegmented neutrophils. Sepsis, an infection of the bloodstream that uses up neutrophils quicker than they. Patients with folate or vitamin b 12 deficiency can be neutropenic, but this rarely occurs without concomitant macrocytosis and. Vitamin deficiencies, most commonly vitamin b12, folate, and copper deficiency. Neutropenia refers to a decrease in circulating neutrophils, which for adults corresponds to <1500 cells/microl in most. When people have abnormally low levels of white blood cells (called neutrophils), they have a condition known as neutropenia.
12 Early Warning Signs of a Vitamin B12 Deficiency Live Love Fruit
Vitamin B12 Deficiency Low Neutrophils Vitamin b12 is also used as a cofactor for the enzyme. Thus, b12 deficiency characteristically results in the formation of hypersegmented neutrophils. Patients with folate or vitamin b 12 deficiency can be neutropenic, but this rarely occurs without concomitant macrocytosis and. When people have abnormally low levels of white blood cells (called neutrophils), they have a condition known as neutropenia. Vitamin deficiencies, most commonly vitamin b12, folate, and copper deficiency. Sepsis, an infection of the bloodstream that uses up neutrophils quicker than they. Vitamin b12 is also used as a cofactor for the enzyme. Neutropenia refers to a decrease in circulating neutrophils, which for adults corresponds to <1500 cells/microl in most.
From www.pinterest.com
11 Symptoms Of Vitamin B12 Deficiency And How It Affects Your Mind And Body Vitamin b12, B12 Vitamin B12 Deficiency Low Neutrophils Patients with folate or vitamin b 12 deficiency can be neutropenic, but this rarely occurs without concomitant macrocytosis and. When people have abnormally low levels of white blood cells (called neutrophils), they have a condition known as neutropenia. Vitamin b12 is also used as a cofactor for the enzyme. Thus, b12 deficiency characteristically results in the formation of hypersegmented neutrophils.. Vitamin B12 Deficiency Low Neutrophils.
From www.reddit.com
Hypersegmented neutrophils > vitamin B12 deficiency r/medical_highyield Vitamin B12 Deficiency Low Neutrophils Patients with folate or vitamin b 12 deficiency can be neutropenic, but this rarely occurs without concomitant macrocytosis and. Thus, b12 deficiency characteristically results in the formation of hypersegmented neutrophils. Neutropenia refers to a decrease in circulating neutrophils, which for adults corresponds to <1500 cells/microl in most. Sepsis, an infection of the bloodstream that uses up neutrophils quicker than they.. Vitamin B12 Deficiency Low Neutrophils.
From kikoxp.com
Folate & Vitamin B12 Deficiency Macrocytic Anemia (Hypersegmented Neutrophils & Target Cells Vitamin B12 Deficiency Low Neutrophils Vitamin deficiencies, most commonly vitamin b12, folate, and copper deficiency. Neutropenia refers to a decrease in circulating neutrophils, which for adults corresponds to <1500 cells/microl in most. Sepsis, an infection of the bloodstream that uses up neutrophils quicker than they. When people have abnormally low levels of white blood cells (called neutrophils), they have a condition known as neutropenia. Vitamin. Vitamin B12 Deficiency Low Neutrophils.
From www.vitaminrush.com
Symptoms of vitamin B12 deficiency Vitamin Rush Vitamin B12 Deficiency Low Neutrophils Thus, b12 deficiency characteristically results in the formation of hypersegmented neutrophils. Vitamin deficiencies, most commonly vitamin b12, folate, and copper deficiency. Patients with folate or vitamin b 12 deficiency can be neutropenic, but this rarely occurs without concomitant macrocytosis and. Neutropenia refers to a decrease in circulating neutrophils, which for adults corresponds to <1500 cells/microl in most. When people have. Vitamin B12 Deficiency Low Neutrophils.
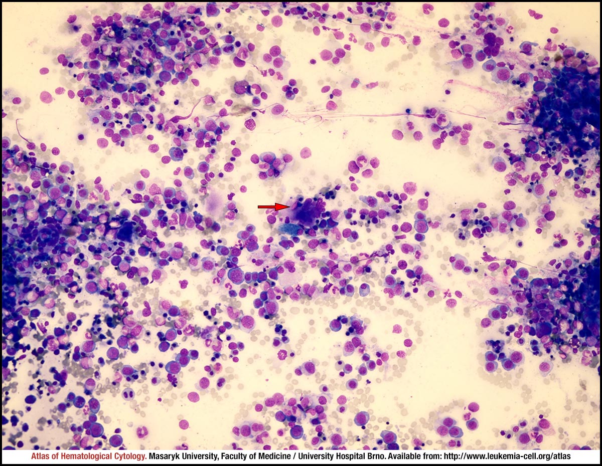
From www.leukemia-cell.org
Vitamin B12 deficiency CELL Atlas of Haematological Cytology Vitamin B12 Deficiency Low Neutrophils Neutropenia refers to a decrease in circulating neutrophils, which for adults corresponds to <1500 cells/microl in most. Sepsis, an infection of the bloodstream that uses up neutrophils quicker than they. Vitamin b12 is also used as a cofactor for the enzyme. When people have abnormally low levels of white blood cells (called neutrophils), they have a condition known as neutropenia.. Vitamin B12 Deficiency Low Neutrophils.
From funender.com
know vitamin b12 deficiency and what are the symptoms Vitamin B12 Deficiency Low Neutrophils Vitamin b12 is also used as a cofactor for the enzyme. Neutropenia refers to a decrease in circulating neutrophils, which for adults corresponds to <1500 cells/microl in most. Sepsis, an infection of the bloodstream that uses up neutrophils quicker than they. Thus, b12 deficiency characteristically results in the formation of hypersegmented neutrophils. When people have abnormally low levels of white. Vitamin B12 Deficiency Low Neutrophils.
From www.leukemia-cell.org
Vitamin B12 deficiency CELL Atlas of Haematological Cytology Vitamin B12 Deficiency Low Neutrophils Neutropenia refers to a decrease in circulating neutrophils, which for adults corresponds to <1500 cells/microl in most. When people have abnormally low levels of white blood cells (called neutrophils), they have a condition known as neutropenia. Vitamin b12 is also used as a cofactor for the enzyme. Patients with folate or vitamin b 12 deficiency can be neutropenic, but this. Vitamin B12 Deficiency Low Neutrophils.
From www.leukemia-cell.org
Vitamin B12 deficiency CELL Atlas of Haematological Cytology Vitamin B12 Deficiency Low Neutrophils Sepsis, an infection of the bloodstream that uses up neutrophils quicker than they. Vitamin b12 is also used as a cofactor for the enzyme. Thus, b12 deficiency characteristically results in the formation of hypersegmented neutrophils. Patients with folate or vitamin b 12 deficiency can be neutropenic, but this rarely occurs without concomitant macrocytosis and. When people have abnormally low levels. Vitamin B12 Deficiency Low Neutrophils.
From www.ccjm.org
Megaloblastic anemia due to severe vitamin B12 deficiency Cleveland Clinic Journal of Medicine Vitamin B12 Deficiency Low Neutrophils When people have abnormally low levels of white blood cells (called neutrophils), they have a condition known as neutropenia. Vitamin deficiencies, most commonly vitamin b12, folate, and copper deficiency. Sepsis, an infection of the bloodstream that uses up neutrophils quicker than they. Patients with folate or vitamin b 12 deficiency can be neutropenic, but this rarely occurs without concomitant macrocytosis. Vitamin B12 Deficiency Low Neutrophils.
From www.verywellhealth.com
Vitamin B12 Deficiency and Multiple Sclerosis Vitamin B12 Deficiency Low Neutrophils Thus, b12 deficiency characteristically results in the formation of hypersegmented neutrophils. Vitamin deficiencies, most commonly vitamin b12, folate, and copper deficiency. Neutropenia refers to a decrease in circulating neutrophils, which for adults corresponds to <1500 cells/microl in most. Sepsis, an infection of the bloodstream that uses up neutrophils quicker than they. Vitamin b12 is also used as a cofactor for. Vitamin B12 Deficiency Low Neutrophils.
From www.researchgate.net
Peripheral smear showing hypersegmented neutrophils consistent with... Download Scientific Diagram Vitamin B12 Deficiency Low Neutrophils Sepsis, an infection of the bloodstream that uses up neutrophils quicker than they. Neutropenia refers to a decrease in circulating neutrophils, which for adults corresponds to <1500 cells/microl in most. Patients with folate or vitamin b 12 deficiency can be neutropenic, but this rarely occurs without concomitant macrocytosis and. Vitamin b12 is also used as a cofactor for the enzyme.. Vitamin B12 Deficiency Low Neutrophils.
From healthjade.net
Vitamin B12 deficiency, causes, signs, symptoms, diagnosis, treatment & prognosis Vitamin B12 Deficiency Low Neutrophils Thus, b12 deficiency characteristically results in the formation of hypersegmented neutrophils. Patients with folate or vitamin b 12 deficiency can be neutropenic, but this rarely occurs without concomitant macrocytosis and. Neutropenia refers to a decrease in circulating neutrophils, which for adults corresponds to <1500 cells/microl in most. Sepsis, an infection of the bloodstream that uses up neutrophils quicker than they.. Vitamin B12 Deficiency Low Neutrophils.
From yourmedguide.com
Why is vitamin B12 important and especially if you have diabetes? Your Med Guide Vitamin B12 Deficiency Low Neutrophils When people have abnormally low levels of white blood cells (called neutrophils), they have a condition known as neutropenia. Vitamin deficiencies, most commonly vitamin b12, folate, and copper deficiency. Thus, b12 deficiency characteristically results in the formation of hypersegmented neutrophils. Neutropenia refers to a decrease in circulating neutrophils, which for adults corresponds to <1500 cells/microl in most. Vitamin b12 is. Vitamin B12 Deficiency Low Neutrophils.
From www.verywellhealth.com
Vitamin B12 Deficiency Overview and More Vitamin B12 Deficiency Low Neutrophils Vitamin b12 is also used as a cofactor for the enzyme. When people have abnormally low levels of white blood cells (called neutrophils), they have a condition known as neutropenia. Vitamin deficiencies, most commonly vitamin b12, folate, and copper deficiency. Patients with folate or vitamin b 12 deficiency can be neutropenic, but this rarely occurs without concomitant macrocytosis and. Thus,. Vitamin B12 Deficiency Low Neutrophils.
From www.livestrong.com
Vitamin B12 Deficiency & Neutropenia livestrong Vitamin B12 Deficiency Low Neutrophils Patients with folate or vitamin b 12 deficiency can be neutropenic, but this rarely occurs without concomitant macrocytosis and. Vitamin b12 is also used as a cofactor for the enzyme. Thus, b12 deficiency characteristically results in the formation of hypersegmented neutrophils. Vitamin deficiencies, most commonly vitamin b12, folate, and copper deficiency. Sepsis, an infection of the bloodstream that uses up. Vitamin B12 Deficiency Low Neutrophils.
From www.captodayonline.com
Peripheral blood evaluation B12 deficiency, anemia, ET, CMML CAP TODAY Vitamin B12 Deficiency Low Neutrophils Neutropenia refers to a decrease in circulating neutrophils, which for adults corresponds to <1500 cells/microl in most. When people have abnormally low levels of white blood cells (called neutrophils), they have a condition known as neutropenia. Thus, b12 deficiency characteristically results in the formation of hypersegmented neutrophils. Vitamin deficiencies, most commonly vitamin b12, folate, and copper deficiency. Sepsis, an infection. Vitamin B12 Deficiency Low Neutrophils.
From textbookhaematology4medical-scientist.blogspot.com
Haematology in a NutShell Pernicious Anemia (Vit B12 Deficiency Anemia) Vitamin B12 Deficiency Low Neutrophils Thus, b12 deficiency characteristically results in the formation of hypersegmented neutrophils. Patients with folate or vitamin b 12 deficiency can be neutropenic, but this rarely occurs without concomitant macrocytosis and. Sepsis, an infection of the bloodstream that uses up neutrophils quicker than they. Vitamin deficiencies, most commonly vitamin b12, folate, and copper deficiency. When people have abnormally low levels of. Vitamin B12 Deficiency Low Neutrophils.
From healthmediaint.jodymaroni.com
16 Benefits Of Vitamin B12, Dosage, And Side Effects Vitamin B12 Deficiency Low Neutrophils Patients with folate or vitamin b 12 deficiency can be neutropenic, but this rarely occurs without concomitant macrocytosis and. Sepsis, an infection of the bloodstream that uses up neutrophils quicker than they. Vitamin b12 is also used as a cofactor for the enzyme. Vitamin deficiencies, most commonly vitamin b12, folate, and copper deficiency. Neutropenia refers to a decrease in circulating. Vitamin B12 Deficiency Low Neutrophils.
From www.leukemia-cell.org
Vitamin B12 deficiency CELL Atlas of Haematological Cytology Vitamin B12 Deficiency Low Neutrophils Vitamin deficiencies, most commonly vitamin b12, folate, and copper deficiency. Thus, b12 deficiency characteristically results in the formation of hypersegmented neutrophils. Sepsis, an infection of the bloodstream that uses up neutrophils quicker than they. Patients with folate or vitamin b 12 deficiency can be neutropenic, but this rarely occurs without concomitant macrocytosis and. Neutropenia refers to a decrease in circulating. Vitamin B12 Deficiency Low Neutrophils.
From www.nejm.org
Vitamin B12 Deficiency NEJM Vitamin B12 Deficiency Low Neutrophils Thus, b12 deficiency characteristically results in the formation of hypersegmented neutrophils. Vitamin deficiencies, most commonly vitamin b12, folate, and copper deficiency. Vitamin b12 is also used as a cofactor for the enzyme. Patients with folate or vitamin b 12 deficiency can be neutropenic, but this rarely occurs without concomitant macrocytosis and. Sepsis, an infection of the bloodstream that uses up. Vitamin B12 Deficiency Low Neutrophils.
From www.researchgate.net
(PDF) Vitamin B12 Deficiency Presenting With Microangiopathic Hemolytic Anemia Vitamin B12 Deficiency Low Neutrophils When people have abnormally low levels of white blood cells (called neutrophils), they have a condition known as neutropenia. Vitamin deficiencies, most commonly vitamin b12, folate, and copper deficiency. Sepsis, an infection of the bloodstream that uses up neutrophils quicker than they. Vitamin b12 is also used as a cofactor for the enzyme. Patients with folate or vitamin b 12. Vitamin B12 Deficiency Low Neutrophils.
From www.verywellhealth.com
Neutrophils Function and Abnormal Results Vitamin B12 Deficiency Low Neutrophils Sepsis, an infection of the bloodstream that uses up neutrophils quicker than they. Vitamin deficiencies, most commonly vitamin b12, folate, and copper deficiency. Vitamin b12 is also used as a cofactor for the enzyme. When people have abnormally low levels of white blood cells (called neutrophils), they have a condition known as neutropenia. Thus, b12 deficiency characteristically results in the. Vitamin B12 Deficiency Low Neutrophils.
From perniciousanemia.org
What Are The 4 Stages of B12 Deficiency? • PA Relief Vitamin B12 Deficiency Low Neutrophils Sepsis, an infection of the bloodstream that uses up neutrophils quicker than they. Neutropenia refers to a decrease in circulating neutrophils, which for adults corresponds to <1500 cells/microl in most. Vitamin deficiencies, most commonly vitamin b12, folate, and copper deficiency. Patients with folate or vitamin b 12 deficiency can be neutropenic, but this rarely occurs without concomitant macrocytosis and. Thus,. Vitamin B12 Deficiency Low Neutrophils.
From www.medlink.com
Vitamin B12 deficiency MedLink Neurology Vitamin B12 Deficiency Low Neutrophils Thus, b12 deficiency characteristically results in the formation of hypersegmented neutrophils. Vitamin b12 is also used as a cofactor for the enzyme. Neutropenia refers to a decrease in circulating neutrophils, which for adults corresponds to <1500 cells/microl in most. Sepsis, an infection of the bloodstream that uses up neutrophils quicker than they. Vitamin deficiencies, most commonly vitamin b12, folate, and. Vitamin B12 Deficiency Low Neutrophils.
From santripty.com
Vitamin B12 Deficiency Symptoms, Causes & Treatment Santripty Vitamin B12 Deficiency Low Neutrophils Patients with folate or vitamin b 12 deficiency can be neutropenic, but this rarely occurs without concomitant macrocytosis and. Thus, b12 deficiency characteristically results in the formation of hypersegmented neutrophils. Vitamin b12 is also used as a cofactor for the enzyme. Vitamin deficiencies, most commonly vitamin b12, folate, and copper deficiency. When people have abnormally low levels of white blood. Vitamin B12 Deficiency Low Neutrophils.
From www.youtube.com
B12 DEFICIENCY SYMPTOMS 9 Signs and Symptoms of Vitamin B12 Deficiency YouTube Vitamin B12 Deficiency Low Neutrophils Thus, b12 deficiency characteristically results in the formation of hypersegmented neutrophils. Vitamin deficiencies, most commonly vitamin b12, folate, and copper deficiency. When people have abnormally low levels of white blood cells (called neutrophils), they have a condition known as neutropenia. Neutropenia refers to a decrease in circulating neutrophils, which for adults corresponds to <1500 cells/microl in most. Vitamin b12 is. Vitamin B12 Deficiency Low Neutrophils.
From www.leukemia-cell.org
Vitamin B12 deficiency CELL Atlas of Haematological Cytology Vitamin B12 Deficiency Low Neutrophils Vitamin b12 is also used as a cofactor for the enzyme. Neutropenia refers to a decrease in circulating neutrophils, which for adults corresponds to <1500 cells/microl in most. Vitamin deficiencies, most commonly vitamin b12, folate, and copper deficiency. Sepsis, an infection of the bloodstream that uses up neutrophils quicker than they. Thus, b12 deficiency characteristically results in the formation of. Vitamin B12 Deficiency Low Neutrophils.
From www.verywellfit.com
How Vitamin B12 Deficiency Affects the Body Vitamin B12 Deficiency Low Neutrophils Sepsis, an infection of the bloodstream that uses up neutrophils quicker than they. Thus, b12 deficiency characteristically results in the formation of hypersegmented neutrophils. Patients with folate or vitamin b 12 deficiency can be neutropenic, but this rarely occurs without concomitant macrocytosis and. When people have abnormally low levels of white blood cells (called neutrophils), they have a condition known. Vitamin B12 Deficiency Low Neutrophils.
From www.aafp.org
Update on Vitamin B12 Deficiency AAFP Vitamin B12 Deficiency Low Neutrophils Thus, b12 deficiency characteristically results in the formation of hypersegmented neutrophils. When people have abnormally low levels of white blood cells (called neutrophils), they have a condition known as neutropenia. Vitamin b12 is also used as a cofactor for the enzyme. Neutropenia refers to a decrease in circulating neutrophils, which for adults corresponds to <1500 cells/microl in most. Patients with. Vitamin B12 Deficiency Low Neutrophils.
From www.msdmanuals.com
Image Oval Macrocytes and Hypersegmented Neutrophils in Vitamin B12 Deficiency MSD Manual Vitamin B12 Deficiency Low Neutrophils Vitamin b12 is also used as a cofactor for the enzyme. Neutropenia refers to a decrease in circulating neutrophils, which for adults corresponds to <1500 cells/microl in most. Patients with folate or vitamin b 12 deficiency can be neutropenic, but this rarely occurs without concomitant macrocytosis and. Thus, b12 deficiency characteristically results in the formation of hypersegmented neutrophils. When people. Vitamin B12 Deficiency Low Neutrophils.
From mavink.com
Stages Of Vitamin A Deficiency Vitamin B12 Deficiency Low Neutrophils Patients with folate or vitamin b 12 deficiency can be neutropenic, but this rarely occurs without concomitant macrocytosis and. Neutropenia refers to a decrease in circulating neutrophils, which for adults corresponds to <1500 cells/microl in most. Vitamin deficiencies, most commonly vitamin b12, folate, and copper deficiency. When people have abnormally low levels of white blood cells (called neutrophils), they have. Vitamin B12 Deficiency Low Neutrophils.
From www.top10homeremedies.com
Signs of Vitamin B12 Deficiency and How to Fix It Top 10 Home Remedies Vitamin B12 Deficiency Low Neutrophils Sepsis, an infection of the bloodstream that uses up neutrophils quicker than they. When people have abnormally low levels of white blood cells (called neutrophils), they have a condition known as neutropenia. Vitamin b12 is also used as a cofactor for the enzyme. Patients with folate or vitamin b 12 deficiency can be neutropenic, but this rarely occurs without concomitant. Vitamin B12 Deficiency Low Neutrophils.
From livelovefruit.com
12 Early Warning Signs of a Vitamin B12 Deficiency Live Love Fruit Vitamin B12 Deficiency Low Neutrophils Patients with folate or vitamin b 12 deficiency can be neutropenic, but this rarely occurs without concomitant macrocytosis and. Thus, b12 deficiency characteristically results in the formation of hypersegmented neutrophils. Neutropenia refers to a decrease in circulating neutrophils, which for adults corresponds to <1500 cells/microl in most. When people have abnormally low levels of white blood cells (called neutrophils), they. Vitamin B12 Deficiency Low Neutrophils.
From www.studypool.com
SOLUTION Etiology and pathogenesisof vitamin b12 deficiency Studypool Vitamin B12 Deficiency Low Neutrophils When people have abnormally low levels of white blood cells (called neutrophils), they have a condition known as neutropenia. Patients with folate or vitamin b 12 deficiency can be neutropenic, but this rarely occurs without concomitant macrocytosis and. Vitamin deficiencies, most commonly vitamin b12, folate, and copper deficiency. Vitamin b12 is also used as a cofactor for the enzyme. Neutropenia. Vitamin B12 Deficiency Low Neutrophils.
From casereports.bmj.com
Hypotension an unusual presentation of vitamin B12 deficiency, with complete recovery following Vitamin B12 Deficiency Low Neutrophils When people have abnormally low levels of white blood cells (called neutrophils), they have a condition known as neutropenia. Thus, b12 deficiency characteristically results in the formation of hypersegmented neutrophils. Neutropenia refers to a decrease in circulating neutrophils, which for adults corresponds to <1500 cells/microl in most. Sepsis, an infection of the bloodstream that uses up neutrophils quicker than they.. Vitamin B12 Deficiency Low Neutrophils.