Adhesive Capsulitis Stages . Adhesive capsulitis (also known as frozen shoulder) is a condition of the shoulder characterized by functional loss of both passive and active shoulder motion commonly associated. Adhesive capsulitis, also known as frozen shoulder, is an inflammatory condition characterized by shoulder stiffness, pain, and significant loss of passive range of motion. What are the symptoms of frozen shoulder (adhesive capsulitis)? Adhesive capsulitis, also known as “frozen shoulder,” is a common shoulder condition characterized by pain and decreased range of motion, especially in external rotation. In this stage, your shoulder becomes. Healthcare providers divide frozen shoulder symptoms into three stages: The hallmark sign of frozen shoulder, also known as adhesive capsulitis, is the inability to move your shoulder—either on your own or with the help of. These terms describe the typical progression of.
from www.slideshare.net
Adhesive capsulitis, also known as frozen shoulder, is an inflammatory condition characterized by shoulder stiffness, pain, and significant loss of passive range of motion. Adhesive capsulitis, also known as “frozen shoulder,” is a common shoulder condition characterized by pain and decreased range of motion, especially in external rotation. The hallmark sign of frozen shoulder, also known as adhesive capsulitis, is the inability to move your shoulder—either on your own or with the help of. Adhesive capsulitis (also known as frozen shoulder) is a condition of the shoulder characterized by functional loss of both passive and active shoulder motion commonly associated. In this stage, your shoulder becomes. Healthcare providers divide frozen shoulder symptoms into three stages: These terms describe the typical progression of. What are the symptoms of frozen shoulder (adhesive capsulitis)?
Frozen Shoulder ( Adhesive Capsulitis )
Adhesive Capsulitis Stages Adhesive capsulitis, also known as frozen shoulder, is an inflammatory condition characterized by shoulder stiffness, pain, and significant loss of passive range of motion. Adhesive capsulitis, also known as frozen shoulder, is an inflammatory condition characterized by shoulder stiffness, pain, and significant loss of passive range of motion. Adhesive capsulitis, also known as “frozen shoulder,” is a common shoulder condition characterized by pain and decreased range of motion, especially in external rotation. The hallmark sign of frozen shoulder, also known as adhesive capsulitis, is the inability to move your shoulder—either on your own or with the help of. What are the symptoms of frozen shoulder (adhesive capsulitis)? Adhesive capsulitis (also known as frozen shoulder) is a condition of the shoulder characterized by functional loss of both passive and active shoulder motion commonly associated. These terms describe the typical progression of. In this stage, your shoulder becomes. Healthcare providers divide frozen shoulder symptoms into three stages:
From www.youtube.com
HOW TO FIX FROZEN SHOULDER TV SHOW ADHESIVE CAPSULITIS CURE TRIGENICS "OAT" PROCEDURE YouTube Adhesive Capsulitis Stages These terms describe the typical progression of. What are the symptoms of frozen shoulder (adhesive capsulitis)? Healthcare providers divide frozen shoulder symptoms into three stages: Adhesive capsulitis, also known as “frozen shoulder,” is a common shoulder condition characterized by pain and decreased range of motion, especially in external rotation. The hallmark sign of frozen shoulder, also known as adhesive capsulitis,. Adhesive Capsulitis Stages.
From www.pogophysio.com.au
A Review of Current Frozen Shoulder Treatment Options with Lewis Craig Pogo Physio Gold Coast Adhesive Capsulitis Stages These terms describe the typical progression of. Healthcare providers divide frozen shoulder symptoms into three stages: The hallmark sign of frozen shoulder, also known as adhesive capsulitis, is the inability to move your shoulder—either on your own or with the help of. Adhesive capsulitis, also known as frozen shoulder, is an inflammatory condition characterized by shoulder stiffness, pain, and significant. Adhesive Capsulitis Stages.
From www.primacarerehab.com
Adhesive Capsulitis AKA Frozen Shoulder Adhesive Capsulitis Stages Adhesive capsulitis, also known as frozen shoulder, is an inflammatory condition characterized by shoulder stiffness, pain, and significant loss of passive range of motion. In this stage, your shoulder becomes. Healthcare providers divide frozen shoulder symptoms into three stages: These terms describe the typical progression of. Adhesive capsulitis (also known as frozen shoulder) is a condition of the shoulder characterized. Adhesive Capsulitis Stages.
From ar.inspiredpencil.com
Subacromial Joint Adhesive Capsulitis Stages Healthcare providers divide frozen shoulder symptoms into three stages: Adhesive capsulitis (also known as frozen shoulder) is a condition of the shoulder characterized by functional loss of both passive and active shoulder motion commonly associated. Adhesive capsulitis, also known as “frozen shoulder,” is a common shoulder condition characterized by pain and decreased range of motion, especially in external rotation. The. Adhesive Capsulitis Stages.
From murdochorthopaedic.com.au
Adhesive Capsulitis / Frozen Shoulder Murdoch Orthopaedic Clinic Adhesive Capsulitis Stages The hallmark sign of frozen shoulder, also known as adhesive capsulitis, is the inability to move your shoulder—either on your own or with the help of. These terms describe the typical progression of. Adhesive capsulitis (also known as frozen shoulder) is a condition of the shoulder characterized by functional loss of both passive and active shoulder motion commonly associated. What. Adhesive Capsulitis Stages.
From orthoinfo.aaos.org
Frozen Shoulder Adhesive Capsulitis OrthoInfo AAOS Adhesive Capsulitis Stages These terms describe the typical progression of. Healthcare providers divide frozen shoulder symptoms into three stages: The hallmark sign of frozen shoulder, also known as adhesive capsulitis, is the inability to move your shoulder—either on your own or with the help of. Adhesive capsulitis (also known as frozen shoulder) is a condition of the shoulder characterized by functional loss of. Adhesive Capsulitis Stages.
From www.youtube.com
FROZEN SHOULDER ADHESIVE CAPSULITIS STAGES CAUSES TREATMENT BODYFIT238 Part1 Adhesive Capsulitis Stages The hallmark sign of frozen shoulder, also known as adhesive capsulitis, is the inability to move your shoulder—either on your own or with the help of. What are the symptoms of frozen shoulder (adhesive capsulitis)? These terms describe the typical progression of. Adhesive capsulitis, also known as frozen shoulder, is an inflammatory condition characterized by shoulder stiffness, pain, and significant. Adhesive Capsulitis Stages.
From www.jaredphysio.com
Frozen Shoulder the enigma. Instalment 1 Adhesive Capsulitis Stages Adhesive capsulitis, also known as frozen shoulder, is an inflammatory condition characterized by shoulder stiffness, pain, and significant loss of passive range of motion. Adhesive capsulitis (also known as frozen shoulder) is a condition of the shoulder characterized by functional loss of both passive and active shoulder motion commonly associated. What are the symptoms of frozen shoulder (adhesive capsulitis)? The. Adhesive Capsulitis Stages.
From dxoctndku.blob.core.windows.net
Adhesive Capsulitis Capsular Pattern at Vernon Whitaker blog Adhesive Capsulitis Stages Adhesive capsulitis (also known as frozen shoulder) is a condition of the shoulder characterized by functional loss of both passive and active shoulder motion commonly associated. These terms describe the typical progression of. What are the symptoms of frozen shoulder (adhesive capsulitis)? Adhesive capsulitis, also known as frozen shoulder, is an inflammatory condition characterized by shoulder stiffness, pain, and significant. Adhesive Capsulitis Stages.
From rowher.saisonsdumonde.fr
Adhesive Capsulitis of the Shoulder Radsource Adhesive Capsulitis Stages The hallmark sign of frozen shoulder, also known as adhesive capsulitis, is the inability to move your shoulder—either on your own or with the help of. In this stage, your shoulder becomes. Adhesive capsulitis, also known as frozen shoulder, is an inflammatory condition characterized by shoulder stiffness, pain, and significant loss of passive range of motion. Adhesive capsulitis, also known. Adhesive Capsulitis Stages.
From orthoinfo.org
Frozen Shoulder Adhesive Capsulitis OrthoInfo AAOS Adhesive Capsulitis Stages Adhesive capsulitis (also known as frozen shoulder) is a condition of the shoulder characterized by functional loss of both passive and active shoulder motion commonly associated. These terms describe the typical progression of. Adhesive capsulitis, also known as “frozen shoulder,” is a common shoulder condition characterized by pain and decreased range of motion, especially in external rotation. The hallmark sign. Adhesive Capsulitis Stages.
From www.performancehealthcincy.com
Frozen Shoulder Adhesive Capsulitis Stages Adhesive capsulitis (also known as frozen shoulder) is a condition of the shoulder characterized by functional loss of both passive and active shoulder motion commonly associated. What are the symptoms of frozen shoulder (adhesive capsulitis)? In this stage, your shoulder becomes. These terms describe the typical progression of. Healthcare providers divide frozen shoulder symptoms into three stages: Adhesive capsulitis, also. Adhesive Capsulitis Stages.
From www.youtube.com
Frozen Shoulder (Adhesive Capsulitis) Causes, Symptoms, Stages, Diagnosis, Treatment YouTube Adhesive Capsulitis Stages Healthcare providers divide frozen shoulder symptoms into three stages: What are the symptoms of frozen shoulder (adhesive capsulitis)? These terms describe the typical progression of. Adhesive capsulitis, also known as frozen shoulder, is an inflammatory condition characterized by shoulder stiffness, pain, and significant loss of passive range of motion. Adhesive capsulitis, also known as “frozen shoulder,” is a common shoulder. Adhesive Capsulitis Stages.
From www.progressivespineandsports.com
What Is Frozen Shoulder (Adhesive Capsulitis)? Progressive Spine & Sports Medicine Pain Medicine Adhesive Capsulitis Stages The hallmark sign of frozen shoulder, also known as adhesive capsulitis, is the inability to move your shoulder—either on your own or with the help of. Healthcare providers divide frozen shoulder symptoms into three stages: Adhesive capsulitis, also known as frozen shoulder, is an inflammatory condition characterized by shoulder stiffness, pain, and significant loss of passive range of motion. Adhesive. Adhesive Capsulitis Stages.
From jadeclinics.in
Learn more about Symptoms, Causes, and Treatment Stages for Frozen Shoulder Adhesive Capsulitis Stages Adhesive capsulitis, also known as frozen shoulder, is an inflammatory condition characterized by shoulder stiffness, pain, and significant loss of passive range of motion. The hallmark sign of frozen shoulder, also known as adhesive capsulitis, is the inability to move your shoulder—either on your own or with the help of. In this stage, your shoulder becomes. Adhesive capsulitis (also known. Adhesive Capsulitis Stages.
From drjustinalexander.com.au
Frozen Shoulder (Adhesive Capsulitis) Stages, Treatment & Management Adhesive Capsulitis Stages Adhesive capsulitis, also known as frozen shoulder, is an inflammatory condition characterized by shoulder stiffness, pain, and significant loss of passive range of motion. Adhesive capsulitis (also known as frozen shoulder) is a condition of the shoulder characterized by functional loss of both passive and active shoulder motion commonly associated. In this stage, your shoulder becomes. These terms describe the. Adhesive Capsulitis Stages.
From www.studocu.com
SkeletalFinal Adhesive Capsulitis (Frozen Shoulder) Stages Stages Symptom Duration Signs and Adhesive Capsulitis Stages In this stage, your shoulder becomes. Adhesive capsulitis, also known as frozen shoulder, is an inflammatory condition characterized by shoulder stiffness, pain, and significant loss of passive range of motion. These terms describe the typical progression of. What are the symptoms of frozen shoulder (adhesive capsulitis)? The hallmark sign of frozen shoulder, also known as adhesive capsulitis, is the inability. Adhesive Capsulitis Stages.
From www.stoneclinic.com
Frozen Shoulder Adhesive Capsulitis Stages Adhesive capsulitis (also known as frozen shoulder) is a condition of the shoulder characterized by functional loss of both passive and active shoulder motion commonly associated. Adhesive capsulitis, also known as frozen shoulder, is an inflammatory condition characterized by shoulder stiffness, pain, and significant loss of passive range of motion. Healthcare providers divide frozen shoulder symptoms into three stages: In. Adhesive Capsulitis Stages.
From www.youtube.com
Do you know about the Stages of Frozen Shoulder (Adhesive Capsulitis) An Easy Guide? YouTube Adhesive Capsulitis Stages What are the symptoms of frozen shoulder (adhesive capsulitis)? The hallmark sign of frozen shoulder, also known as adhesive capsulitis, is the inability to move your shoulder—either on your own or with the help of. Healthcare providers divide frozen shoulder symptoms into three stages: These terms describe the typical progression of. Adhesive capsulitis, also known as “frozen shoulder,” is a. Adhesive Capsulitis Stages.
From cambridgeshoulder.co.uk
Frozen Shoulder Cambridge Shoulder Adhesive Capsulitis Stages In this stage, your shoulder becomes. These terms describe the typical progression of. What are the symptoms of frozen shoulder (adhesive capsulitis)? Adhesive capsulitis, also known as “frozen shoulder,” is a common shoulder condition characterized by pain and decreased range of motion, especially in external rotation. Healthcare providers divide frozen shoulder symptoms into three stages: Adhesive capsulitis, also known as. Adhesive Capsulitis Stages.
From www.youtube.com
Lec 7 Shoulder hypomotility, Osteoarthritis stages, Adhesive capsulitis stages YouTube Adhesive Capsulitis Stages What are the symptoms of frozen shoulder (adhesive capsulitis)? Adhesive capsulitis, also known as frozen shoulder, is an inflammatory condition characterized by shoulder stiffness, pain, and significant loss of passive range of motion. The hallmark sign of frozen shoulder, also known as adhesive capsulitis, is the inability to move your shoulder—either on your own or with the help of. Adhesive. Adhesive Capsulitis Stages.
From www.accesssportsmed.com
What is Frozen Shoulder (Adhesive Capsulitis)? Symptoms & Causes Adhesive Capsulitis Stages What are the symptoms of frozen shoulder (adhesive capsulitis)? These terms describe the typical progression of. Adhesive capsulitis, also known as frozen shoulder, is an inflammatory condition characterized by shoulder stiffness, pain, and significant loss of passive range of motion. Healthcare providers divide frozen shoulder symptoms into three stages: The hallmark sign of frozen shoulder, also known as adhesive capsulitis,. Adhesive Capsulitis Stages.
From doctorstock.photoshelter.com
Traumatic Injury to the Shoulder with Capsulitis Doctor Stock Adhesive Capsulitis Stages Adhesive capsulitis, also known as “frozen shoulder,” is a common shoulder condition characterized by pain and decreased range of motion, especially in external rotation. Healthcare providers divide frozen shoulder symptoms into three stages: Adhesive capsulitis, also known as frozen shoulder, is an inflammatory condition characterized by shoulder stiffness, pain, and significant loss of passive range of motion. In this stage,. Adhesive Capsulitis Stages.
From www.vejthani.com
3 Stages of Frozen Shoulder Find out which stage you are in Adhesive Capsulitis Stages What are the symptoms of frozen shoulder (adhesive capsulitis)? Adhesive capsulitis, also known as “frozen shoulder,” is a common shoulder condition characterized by pain and decreased range of motion, especially in external rotation. In this stage, your shoulder becomes. Adhesive capsulitis (also known as frozen shoulder) is a condition of the shoulder characterized by functional loss of both passive and. Adhesive Capsulitis Stages.
From www.youtube.com
FROZEN SHOULDER (adhesive capsulitis) Stages and causes HOMEOPATHIC TREATMENT YouTube Adhesive Capsulitis Stages The hallmark sign of frozen shoulder, also known as adhesive capsulitis, is the inability to move your shoulder—either on your own or with the help of. In this stage, your shoulder becomes. Adhesive capsulitis, also known as frozen shoulder, is an inflammatory condition characterized by shoulder stiffness, pain, and significant loss of passive range of motion. What are the symptoms. Adhesive Capsulitis Stages.
From www.slideshare.net
Frozen Shoulder ( Adhesive Capsulitis ) Adhesive Capsulitis Stages What are the symptoms of frozen shoulder (adhesive capsulitis)? Healthcare providers divide frozen shoulder symptoms into three stages: The hallmark sign of frozen shoulder, also known as adhesive capsulitis, is the inability to move your shoulder—either on your own or with the help of. In this stage, your shoulder becomes. Adhesive capsulitis (also known as frozen shoulder) is a condition. Adhesive Capsulitis Stages.
From loegkvrrs.blob.core.windows.net
Adhesive Capsulitis Freezing Stage at Teresa Steele blog Adhesive Capsulitis Stages These terms describe the typical progression of. What are the symptoms of frozen shoulder (adhesive capsulitis)? The hallmark sign of frozen shoulder, also known as adhesive capsulitis, is the inability to move your shoulder—either on your own or with the help of. Adhesive capsulitis, also known as frozen shoulder, is an inflammatory condition characterized by shoulder stiffness, pain, and significant. Adhesive Capsulitis Stages.
From www.youtube.com
FROZEN SHOULDER (Adhesive capsulitis) STAGES CAUSES IMPAIRMENTS ACTIVITY LIMITATIONS YouTube Adhesive Capsulitis Stages What are the symptoms of frozen shoulder (adhesive capsulitis)? In this stage, your shoulder becomes. These terms describe the typical progression of. The hallmark sign of frozen shoulder, also known as adhesive capsulitis, is the inability to move your shoulder—either on your own or with the help of. Adhesive capsulitis, also known as “frozen shoulder,” is a common shoulder condition. Adhesive Capsulitis Stages.
From kneehipandshoulder.com
Adhesive capsulitis Sudhir Rao Knee Hip and Shoulder surgeon Adhesive Capsulitis Stages In this stage, your shoulder becomes. Adhesive capsulitis, also known as frozen shoulder, is an inflammatory condition characterized by shoulder stiffness, pain, and significant loss of passive range of motion. These terms describe the typical progression of. Adhesive capsulitis, also known as “frozen shoulder,” is a common shoulder condition characterized by pain and decreased range of motion, especially in external. Adhesive Capsulitis Stages.
From www.researchgate.net
Stages of adhesive capsulitis (adapted from Hannafin and Chiaia CORR [2]) Download Table Adhesive Capsulitis Stages Healthcare providers divide frozen shoulder symptoms into three stages: The hallmark sign of frozen shoulder, also known as adhesive capsulitis, is the inability to move your shoulder—either on your own or with the help of. These terms describe the typical progression of. Adhesive capsulitis, also known as frozen shoulder, is an inflammatory condition characterized by shoulder stiffness, pain, and significant. Adhesive Capsulitis Stages.
From somaticmovementcenter.com
What Causes Frozen Shoulder, and the Most Effective Treatment Adhesive Capsulitis Stages Adhesive capsulitis, also known as frozen shoulder, is an inflammatory condition characterized by shoulder stiffness, pain, and significant loss of passive range of motion. These terms describe the typical progression of. The hallmark sign of frozen shoulder, also known as adhesive capsulitis, is the inability to move your shoulder—either on your own or with the help of. What are the. Adhesive Capsulitis Stages.
From myrangemaster.com
Everything You Need To Know About Frozen Shoulder +Fixes RangeMaster Shoulder Therapy Adhesive Capsulitis Stages In this stage, your shoulder becomes. Adhesive capsulitis, also known as “frozen shoulder,” is a common shoulder condition characterized by pain and decreased range of motion, especially in external rotation. These terms describe the typical progression of. What are the symptoms of frozen shoulder (adhesive capsulitis)? Healthcare providers divide frozen shoulder symptoms into three stages: Adhesive capsulitis (also known as. Adhesive Capsulitis Stages.
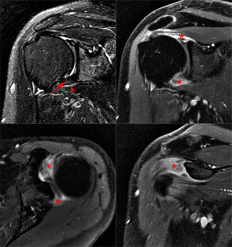
From radiopaedia.org
Adhesive capsulitis (frozen shoulder) Image Adhesive Capsulitis Stages What are the symptoms of frozen shoulder (adhesive capsulitis)? Adhesive capsulitis (also known as frozen shoulder) is a condition of the shoulder characterized by functional loss of both passive and active shoulder motion commonly associated. In this stage, your shoulder becomes. Adhesive capsulitis, also known as frozen shoulder, is an inflammatory condition characterized by shoulder stiffness, pain, and significant loss. Adhesive Capsulitis Stages.
From www.youtube.com
Adhesive Capsulitis ,frozen shoulder. Everything You Need To Know Dr. Nabil Ebraheim YouTube Adhesive Capsulitis Stages The hallmark sign of frozen shoulder, also known as adhesive capsulitis, is the inability to move your shoulder—either on your own or with the help of. Adhesive capsulitis (also known as frozen shoulder) is a condition of the shoulder characterized by functional loss of both passive and active shoulder motion commonly associated. What are the symptoms of frozen shoulder (adhesive. Adhesive Capsulitis Stages.
From www.vejthani.com
Warning Signs of Frozen Shoulder Adhesive Capsulitis Stages These terms describe the typical progression of. In this stage, your shoulder becomes. The hallmark sign of frozen shoulder, also known as adhesive capsulitis, is the inability to move your shoulder—either on your own or with the help of. Healthcare providers divide frozen shoulder symptoms into three stages: Adhesive capsulitis, also known as frozen shoulder, is an inflammatory condition characterized. Adhesive Capsulitis Stages.