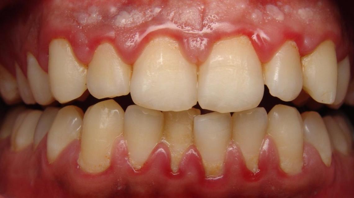
What Causes Excessive Bleeding Of The Gums . Bleeding gums can occur for several reasons: Not exactly the first impression you want to make. Instead all they can see are your puffy, oozing, bleeding gums. Gingivitis (inflammation of the gums) and periodontitis make your gums. Brushing too vigorously or flossing when. Gum bleeding results from a prolonged accumulation of dental plaque and tartar, leading to a local inflammatory. But your pearly whites aren't the star of the show. It's a common and mild form of gum disease, and it's. What causes gums to bleed? Dental care issues are the primary cause of bleeding gums. Bleeding gums are a sign of gingivitis, or inflammation of your gums. Gum disease, injury, pregnancy, and some health conditions.
from emergencydentist.co.uk
Bleeding gums are a sign of gingivitis, or inflammation of your gums. Bleeding gums can occur for several reasons: Gingivitis (inflammation of the gums) and periodontitis make your gums. Gum bleeding results from a prolonged accumulation of dental plaque and tartar, leading to a local inflammatory. Dental care issues are the primary cause of bleeding gums. It's a common and mild form of gum disease, and it's. Gum disease, injury, pregnancy, and some health conditions. Not exactly the first impression you want to make. Instead all they can see are your puffy, oozing, bleeding gums. But your pearly whites aren't the star of the show.
Bleeding Gums Treatment Emergency Dentist London
What Causes Excessive Bleeding Of The Gums It's a common and mild form of gum disease, and it's. It's a common and mild form of gum disease, and it's. Gum disease, injury, pregnancy, and some health conditions. Bleeding gums can occur for several reasons: Instead all they can see are your puffy, oozing, bleeding gums. But your pearly whites aren't the star of the show. Not exactly the first impression you want to make. Gum bleeding results from a prolonged accumulation of dental plaque and tartar, leading to a local inflammatory. Brushing too vigorously or flossing when. Bleeding gums are a sign of gingivitis, or inflammation of your gums. What causes gums to bleed? Gingivitis (inflammation of the gums) and periodontitis make your gums. Dental care issues are the primary cause of bleeding gums.
From www.news-medical.net
When Should You be Concerned about Bleeding Gums? What Causes Excessive Bleeding Of The Gums Gum bleeding results from a prolonged accumulation of dental plaque and tartar, leading to a local inflammatory. What causes gums to bleed? Not exactly the first impression you want to make. Bleeding gums can occur for several reasons: Gingivitis (inflammation of the gums) and periodontitis make your gums. Bleeding gums are a sign of gingivitis, or inflammation of your gums.. What Causes Excessive Bleeding Of The Gums.
From eagleharbordentist.com
Why Do My Gums Bleed When I Floss? Eagle Harbor Dentist What Causes Excessive Bleeding Of The Gums What causes gums to bleed? It's a common and mild form of gum disease, and it's. Gum bleeding results from a prolonged accumulation of dental plaque and tartar, leading to a local inflammatory. Not exactly the first impression you want to make. But your pearly whites aren't the star of the show. Instead all they can see are your puffy,. What Causes Excessive Bleeding Of The Gums.
From www.indiamart.com
Bleeding Gums Treatment, Restorative Dentistry, डेंटल ट्रीटमेंट सर्विस What Causes Excessive Bleeding Of The Gums What causes gums to bleed? It's a common and mild form of gum disease, and it's. Gingivitis (inflammation of the gums) and periodontitis make your gums. Gum bleeding results from a prolonged accumulation of dental plaque and tartar, leading to a local inflammatory. Gum disease, injury, pregnancy, and some health conditions. Brushing too vigorously or flossing when. Not exactly the. What Causes Excessive Bleeding Of The Gums.
From www.carolinasdentist.com
Why Do My Gums Bleed? CarolinasDentist North Carolina What Causes Excessive Bleeding Of The Gums Bleeding gums are a sign of gingivitis, or inflammation of your gums. Not exactly the first impression you want to make. Brushing too vigorously or flossing when. Gum bleeding results from a prolonged accumulation of dental plaque and tartar, leading to a local inflammatory. Instead all they can see are your puffy, oozing, bleeding gums. Gum disease, injury, pregnancy, and. What Causes Excessive Bleeding Of The Gums.
From www.pillardental.com
Causes of Bleeding Gums Sioux Falls, SD Pillar Dental What Causes Excessive Bleeding Of The Gums Brushing too vigorously or flossing when. Not exactly the first impression you want to make. Bleeding gums can occur for several reasons: Instead all they can see are your puffy, oozing, bleeding gums. It's a common and mild form of gum disease, and it's. Bleeding gums are a sign of gingivitis, or inflammation of your gums. Gum disease, injury, pregnancy,. What Causes Excessive Bleeding Of The Gums.
From www.teethtalkgirl.com
Bleeding Gums Causes, Treatment, And Prevention What Causes Excessive Bleeding Of The Gums Gingivitis (inflammation of the gums) and periodontitis make your gums. But your pearly whites aren't the star of the show. Instead all they can see are your puffy, oozing, bleeding gums. Bleeding gums can occur for several reasons: Not exactly the first impression you want to make. Brushing too vigorously or flossing when. Bleeding gums are a sign of gingivitis,. What Causes Excessive Bleeding Of The Gums.
From www.dentistabbotsford.com.au
Do Your Gums Bleed? Gum Bleeding Abbotsford Dental Clinic What Causes Excessive Bleeding Of The Gums What causes gums to bleed? Gum disease, injury, pregnancy, and some health conditions. It's a common and mild form of gum disease, and it's. Bleeding gums can occur for several reasons: Gum bleeding results from a prolonged accumulation of dental plaque and tartar, leading to a local inflammatory. Instead all they can see are your puffy, oozing, bleeding gums. Dental. What Causes Excessive Bleeding Of The Gums.
From www.reliancehospitals.com
Causes of bleeding gums What Causes Excessive Bleeding Of The Gums Dental care issues are the primary cause of bleeding gums. Gingivitis (inflammation of the gums) and periodontitis make your gums. Gum disease, injury, pregnancy, and some health conditions. Bleeding gums can occur for several reasons: Not exactly the first impression you want to make. Brushing too vigorously or flossing when. Bleeding gums are a sign of gingivitis, or inflammation of. What Causes Excessive Bleeding Of The Gums.
From drmiski.com
Is It Normal That I Have a Bleeding Gum French Dental Services Dr What Causes Excessive Bleeding Of The Gums Gum disease, injury, pregnancy, and some health conditions. Gingivitis (inflammation of the gums) and periodontitis make your gums. Brushing too vigorously or flossing when. What causes gums to bleed? Bleeding gums can occur for several reasons: Not exactly the first impression you want to make. But your pearly whites aren't the star of the show. Gum bleeding results from a. What Causes Excessive Bleeding Of The Gums.
From alexa-kolbig.360max.io
5 Reasons Why Your Gums Are Bleeding Smile Drs What Causes Excessive Bleeding Of The Gums Gingivitis (inflammation of the gums) and periodontitis make your gums. Gum disease, injury, pregnancy, and some health conditions. Not exactly the first impression you want to make. Dental care issues are the primary cause of bleeding gums. Instead all they can see are your puffy, oozing, bleeding gums. What causes gums to bleed? Brushing too vigorously or flossing when. Bleeding. What Causes Excessive Bleeding Of The Gums.
From www.goldenstatedentistry.com
7 Causes of Bleeding Gums What Causes Excessive Bleeding Of The Gums Bleeding gums are a sign of gingivitis, or inflammation of your gums. Not exactly the first impression you want to make. It's a common and mild form of gum disease, and it's. But your pearly whites aren't the star of the show. Gum bleeding results from a prolonged accumulation of dental plaque and tartar, leading to a local inflammatory. Gingivitis. What Causes Excessive Bleeding Of The Gums.
From www.avperio.com
Gum Disease Periodontist Manhattan, NY AV Periodontics What Causes Excessive Bleeding Of The Gums Bleeding gums are a sign of gingivitis, or inflammation of your gums. What causes gums to bleed? Not exactly the first impression you want to make. Dental care issues are the primary cause of bleeding gums. Gum disease, injury, pregnancy, and some health conditions. Instead all they can see are your puffy, oozing, bleeding gums. It's a common and mild. What Causes Excessive Bleeding Of The Gums.
From www.shecares.com
Bleeding Gums Important Things to Know SheCares What Causes Excessive Bleeding Of The Gums Not exactly the first impression you want to make. Gum bleeding results from a prolonged accumulation of dental plaque and tartar, leading to a local inflammatory. Instead all they can see are your puffy, oozing, bleeding gums. Bleeding gums are a sign of gingivitis, or inflammation of your gums. Gum disease, injury, pregnancy, and some health conditions. But your pearly. What Causes Excessive Bleeding Of The Gums.
From simplyteethessex.co.uk
Why Do Gums Bleed? Gum Recession Oral Hygiene Essex What Causes Excessive Bleeding Of The Gums Bleeding gums are a sign of gingivitis, or inflammation of your gums. Dental care issues are the primary cause of bleeding gums. But your pearly whites aren't the star of the show. Not exactly the first impression you want to make. Instead all they can see are your puffy, oozing, bleeding gums. It's a common and mild form of gum. What Causes Excessive Bleeding Of The Gums.
From community.bulksupplements.com
Bleeding Gums Characteristics, Causes & Treatment What Causes Excessive Bleeding Of The Gums Gingivitis (inflammation of the gums) and periodontitis make your gums. Gum bleeding results from a prolonged accumulation of dental plaque and tartar, leading to a local inflammatory. Instead all they can see are your puffy, oozing, bleeding gums. Bleeding gums are a sign of gingivitis, or inflammation of your gums. It's a common and mild form of gum disease, and. What Causes Excessive Bleeding Of The Gums.
From dentistkansascityks.com
Gum Disease Explained Signs, Symptoms, and Treatments What Causes Excessive Bleeding Of The Gums Dental care issues are the primary cause of bleeding gums. But your pearly whites aren't the star of the show. What causes gums to bleed? Instead all they can see are your puffy, oozing, bleeding gums. Gingivitis (inflammation of the gums) and periodontitis make your gums. Brushing too vigorously or flossing when. Gum disease, injury, pregnancy, and some health conditions.. What Causes Excessive Bleeding Of The Gums.
From www.hamptonroadsvacosmeticdentist.com
Why Do My Gums Bleed? Newport News VA Dentist What Causes Excessive Bleeding Of The Gums Instead all they can see are your puffy, oozing, bleeding gums. Not exactly the first impression you want to make. It's a common and mild form of gum disease, and it's. What causes gums to bleed? Gingivitis (inflammation of the gums) and periodontitis make your gums. Bleeding gums can occur for several reasons: Gum disease, injury, pregnancy, and some health. What Causes Excessive Bleeding Of The Gums.
From instacare.pk
Various Causes Of Bleeding Gums And How You Can Treat It What Causes Excessive Bleeding Of The Gums It's a common and mild form of gum disease, and it's. What causes gums to bleed? Gingivitis (inflammation of the gums) and periodontitis make your gums. Gum disease, injury, pregnancy, and some health conditions. Gum bleeding results from a prolonged accumulation of dental plaque and tartar, leading to a local inflammatory. Not exactly the first impression you want to make.. What Causes Excessive Bleeding Of The Gums.
From www.designdentalweb.com
Bleeding Gums North Liberty IA Gum Disease Gingivitis What Causes Excessive Bleeding Of The Gums What causes gums to bleed? Gum disease, injury, pregnancy, and some health conditions. Gum bleeding results from a prolonged accumulation of dental plaque and tartar, leading to a local inflammatory. Bleeding gums can occur for several reasons: But your pearly whites aren't the star of the show. Brushing too vigorously or flossing when. Gingivitis (inflammation of the gums) and periodontitis. What Causes Excessive Bleeding Of The Gums.
From www.smilesoftrinitydentistry.com
What Causes Bleeding Gums? Dentist in Trinity, FL What Causes Excessive Bleeding Of The Gums Instead all they can see are your puffy, oozing, bleeding gums. Gum bleeding results from a prolonged accumulation of dental plaque and tartar, leading to a local inflammatory. But your pearly whites aren't the star of the show. What causes gums to bleed? Bleeding gums can occur for several reasons: Bleeding gums are a sign of gingivitis, or inflammation of. What Causes Excessive Bleeding Of The Gums.
From www.reddit.com
Severe bleeding gums, should I see a dentist or a doctor? [WARNING What Causes Excessive Bleeding Of The Gums What causes gums to bleed? But your pearly whites aren't the star of the show. Not exactly the first impression you want to make. Bleeding gums are a sign of gingivitis, or inflammation of your gums. Gingivitis (inflammation of the gums) and periodontitis make your gums. Gum disease, injury, pregnancy, and some health conditions. Dental care issues are the primary. What Causes Excessive Bleeding Of The Gums.
From bethesdafamilydentistry.com
5 Reasons Why Your Gums Are Bleeding What Causes Excessive Bleeding Of The Gums But your pearly whites aren't the star of the show. It's a common and mild form of gum disease, and it's. Bleeding gums can occur for several reasons: Gingivitis (inflammation of the gums) and periodontitis make your gums. Dental care issues are the primary cause of bleeding gums. Gum disease, injury, pregnancy, and some health conditions. Gum bleeding results from. What Causes Excessive Bleeding Of The Gums.
From www.practo.com
Gum Bleeding What Causes Excessive Bleeding Of The Gums Brushing too vigorously or flossing when. Bleeding gums are a sign of gingivitis, or inflammation of your gums. Gum disease, injury, pregnancy, and some health conditions. What causes gums to bleed? But your pearly whites aren't the star of the show. Bleeding gums can occur for several reasons: Dental care issues are the primary cause of bleeding gums. Not exactly. What Causes Excessive Bleeding Of The Gums.
From www.youtube.com
Bleeding Gums Causes & Treatment YouTube What Causes Excessive Bleeding Of The Gums It's a common and mild form of gum disease, and it's. Dental care issues are the primary cause of bleeding gums. Brushing too vigorously or flossing when. Bleeding gums can occur for several reasons: Gum bleeding results from a prolonged accumulation of dental plaque and tartar, leading to a local inflammatory. Gingivitis (inflammation of the gums) and periodontitis make your. What Causes Excessive Bleeding Of The Gums.
From theelitedental.com
What Do You Do When Your Gums Are Bleeding Elite Dental Care Tracy What Causes Excessive Bleeding Of The Gums Instead all they can see are your puffy, oozing, bleeding gums. What causes gums to bleed? Brushing too vigorously or flossing when. Gingivitis (inflammation of the gums) and periodontitis make your gums. Gum bleeding results from a prolonged accumulation of dental plaque and tartar, leading to a local inflammatory. Dental care issues are the primary cause of bleeding gums. Gum. What Causes Excessive Bleeding Of The Gums.
From www.hendersonvillefamilydental.com
What Do Bleeding Gums Mean? Hendersonville Family Dental What Causes Excessive Bleeding Of The Gums It's a common and mild form of gum disease, and it's. Instead all they can see are your puffy, oozing, bleeding gums. Dental care issues are the primary cause of bleeding gums. Gum disease, injury, pregnancy, and some health conditions. Brushing too vigorously or flossing when. But your pearly whites aren't the star of the show. Bleeding gums can occur. What Causes Excessive Bleeding Of The Gums.
From www.reliancehospitals.com
Causes of bleeding gums What Causes Excessive Bleeding Of The Gums Bleeding gums can occur for several reasons: Bleeding gums are a sign of gingivitis, or inflammation of your gums. Brushing too vigorously or flossing when. Gum disease, injury, pregnancy, and some health conditions. But your pearly whites aren't the star of the show. Dental care issues are the primary cause of bleeding gums. What causes gums to bleed? Gingivitis (inflammation. What Causes Excessive Bleeding Of The Gums.
From www.westernsydneysmiles.com.au
Causes Of Bleeding Gums How To Stop Gums From Bleeding Western What Causes Excessive Bleeding Of The Gums What causes gums to bleed? Dental care issues are the primary cause of bleeding gums. Not exactly the first impression you want to make. Bleeding gums can occur for several reasons: Gum disease, injury, pregnancy, and some health conditions. Instead all they can see are your puffy, oozing, bleeding gums. Brushing too vigorously or flossing when. Gum bleeding results from. What Causes Excessive Bleeding Of The Gums.
From www.drwilliammckenzie.com
The Five Stages of Gum Disease — The McKenzie Center Implants What Causes Excessive Bleeding Of The Gums Bleeding gums are a sign of gingivitis, or inflammation of your gums. But your pearly whites aren't the star of the show. Gum bleeding results from a prolonged accumulation of dental plaque and tartar, leading to a local inflammatory. Brushing too vigorously or flossing when. Dental care issues are the primary cause of bleeding gums. What causes gums to bleed?. What Causes Excessive Bleeding Of The Gums.
From crest.com
Bleeding Gums Causes, Treatments, and Prevention Crest What Causes Excessive Bleeding Of The Gums It's a common and mild form of gum disease, and it's. Gum bleeding results from a prolonged accumulation of dental plaque and tartar, leading to a local inflammatory. Dental care issues are the primary cause of bleeding gums. Not exactly the first impression you want to make. Gum disease, injury, pregnancy, and some health conditions. Gingivitis (inflammation of the gums). What Causes Excessive Bleeding Of The Gums.
From addictionadviceonline.com
Does Nicotine Cause Gum Disease? What Causes Excessive Bleeding Of The Gums But your pearly whites aren't the star of the show. Bleeding gums can occur for several reasons: It's a common and mild form of gum disease, and it's. Gingivitis (inflammation of the gums) and periodontitis make your gums. Gum disease, injury, pregnancy, and some health conditions. Brushing too vigorously or flossing when. Gum bleeding results from a prolonged accumulation of. What Causes Excessive Bleeding Of The Gums.
From expertdental.in
Reasons for Bleeding Gums Dr Sravanthi Expert Dental Care What Causes Excessive Bleeding Of The Gums Bleeding gums can occur for several reasons: It's a common and mild form of gum disease, and it's. Not exactly the first impression you want to make. But your pearly whites aren't the star of the show. Gingivitis (inflammation of the gums) and periodontitis make your gums. Instead all they can see are your puffy, oozing, bleeding gums. Brushing too. What Causes Excessive Bleeding Of The Gums.
From emergencydentist.co.uk
Bleeding Gums Treatment Emergency Dentist London What Causes Excessive Bleeding Of The Gums Not exactly the first impression you want to make. Bleeding gums can occur for several reasons: Dental care issues are the primary cause of bleeding gums. Gingivitis (inflammation of the gums) and periodontitis make your gums. But your pearly whites aren't the star of the show. Brushing too vigorously or flossing when. What causes gums to bleed? It's a common. What Causes Excessive Bleeding Of The Gums.
From avenuedentalarts.com
Why Are My Gums Bleeding? Avenue Dental Arts What Causes Excessive Bleeding Of The Gums Brushing too vigorously or flossing when. Gum bleeding results from a prolonged accumulation of dental plaque and tartar, leading to a local inflammatory. Dental care issues are the primary cause of bleeding gums. Instead all they can see are your puffy, oozing, bleeding gums. It's a common and mild form of gum disease, and it's. Gum disease, injury, pregnancy, and. What Causes Excessive Bleeding Of The Gums.
From www.drwilliammckenzie.com
Five Reasons for Excessive Gum Bleeding — The McKenzie Center What Causes Excessive Bleeding Of The Gums Not exactly the first impression you want to make. Gum disease, injury, pregnancy, and some health conditions. Brushing too vigorously or flossing when. What causes gums to bleed? Gum bleeding results from a prolonged accumulation of dental plaque and tartar, leading to a local inflammatory. Instead all they can see are your puffy, oozing, bleeding gums. It's a common and. What Causes Excessive Bleeding Of The Gums.