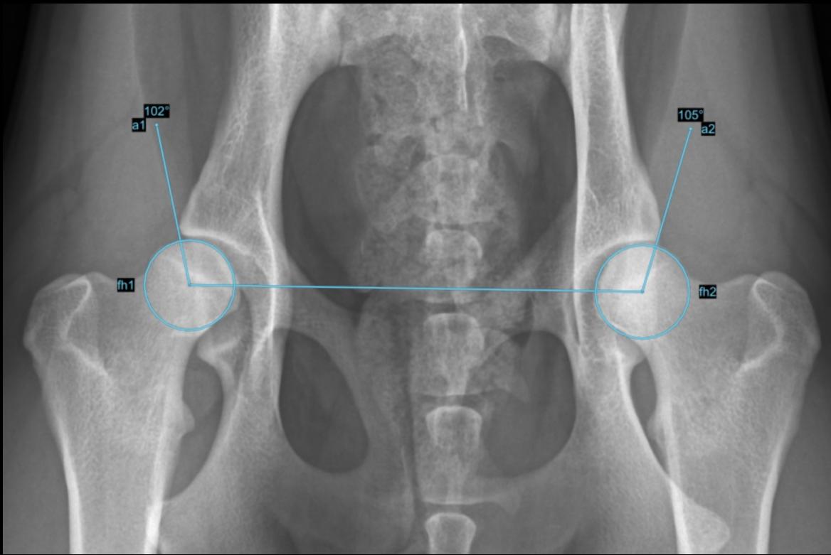
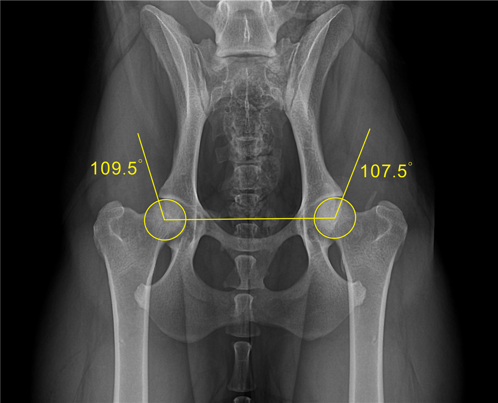
Hip Dysplasia Dog Norberg Angle . Hip dysplasia is the most common orthopedic condition of the dog, causing joint inflammation and secondary osteoarthritis, which lead to variable degrees of clinical discomfort. The angle between these lines is the. The norberg angle and the percentile rank accurately discriminated between dogs with or without canine hip dysplasia, with positive and negative likelihood ratios of 6·31 and. Then take the center of the femoral head and draw a line to the outer point of the pelvis. 66 genetically, it is a disease of complex inheritance, meaning that multiple genes, combined with environmental influences, ultimately cause expression of the condition. Extended hip and abducted hind limb radiographs performed at 1 year of age (18 months for large breed dogs) are scored according to the official. The norberg angle and the percentile rank accurately discriminated between dogs with or without canine hip dysplasia, with positive and.
from myvetanimalhospital.com.au
The norberg angle and the percentile rank accurately discriminated between dogs with or without canine hip dysplasia, with positive and. Extended hip and abducted hind limb radiographs performed at 1 year of age (18 months for large breed dogs) are scored according to the official. 66 genetically, it is a disease of complex inheritance, meaning that multiple genes, combined with environmental influences, ultimately cause expression of the condition. The norberg angle and the percentile rank accurately discriminated between dogs with or without canine hip dysplasia, with positive and negative likelihood ratios of 6·31 and. Then take the center of the femoral head and draw a line to the outer point of the pelvis. Hip dysplasia is the most common orthopedic condition of the dog, causing joint inflammation and secondary osteoarthritis, which lead to variable degrees of clinical discomfort. The angle between these lines is the.
Hip Dysplasia What You Need To Know My Vet Animal Hospital
Hip Dysplasia Dog Norberg Angle 66 genetically, it is a disease of complex inheritance, meaning that multiple genes, combined with environmental influences, ultimately cause expression of the condition. The norberg angle and the percentile rank accurately discriminated between dogs with or without canine hip dysplasia, with positive and negative likelihood ratios of 6·31 and. Extended hip and abducted hind limb radiographs performed at 1 year of age (18 months for large breed dogs) are scored according to the official. The angle between these lines is the. Then take the center of the femoral head and draw a line to the outer point of the pelvis. The norberg angle and the percentile rank accurately discriminated between dogs with or without canine hip dysplasia, with positive and. 66 genetically, it is a disease of complex inheritance, meaning that multiple genes, combined with environmental influences, ultimately cause expression of the condition. Hip dysplasia is the most common orthopedic condition of the dog, causing joint inflammation and secondary osteoarthritis, which lead to variable degrees of clinical discomfort.
From www.youtube.com
NORBERGS ANGLE dx of Hip dysplasia(HD). READ DISCRIPTION FOR MORE Hip Dysplasia Dog Norberg Angle Hip dysplasia is the most common orthopedic condition of the dog, causing joint inflammation and secondary osteoarthritis, which lead to variable degrees of clinical discomfort. The norberg angle and the percentile rank accurately discriminated between dogs with or without canine hip dysplasia, with positive and. Extended hip and abducted hind limb radiographs performed at 1 year of age (18 months. Hip Dysplasia Dog Norberg Angle.
From todaysveterinarypractice.com
Hip Dysplasia Navigating Surgical Options and Timing Today's Hip Dysplasia Dog Norberg Angle The norberg angle and the percentile rank accurately discriminated between dogs with or without canine hip dysplasia, with positive and negative likelihood ratios of 6·31 and. Extended hip and abducted hind limb radiographs performed at 1 year of age (18 months for large breed dogs) are scored according to the official. The angle between these lines is the. Then take. Hip Dysplasia Dog Norberg Angle.
From www.researchgate.net
(PDF) 3D printing of canine hip dysplasia anatomic models and radiographs Hip Dysplasia Dog Norberg Angle The angle between these lines is the. Then take the center of the femoral head and draw a line to the outer point of the pelvis. The norberg angle and the percentile rank accurately discriminated between dogs with or without canine hip dysplasia, with positive and negative likelihood ratios of 6·31 and. Extended hip and abducted hind limb radiographs performed. Hip Dysplasia Dog Norberg Angle.
From www.youtube.com
Automatic Measurement of Norberg Hip Angles YouTube Hip Dysplasia Dog Norberg Angle The angle between these lines is the. 66 genetically, it is a disease of complex inheritance, meaning that multiple genes, combined with environmental influences, ultimately cause expression of the condition. The norberg angle and the percentile rank accurately discriminated between dogs with or without canine hip dysplasia, with positive and negative likelihood ratios of 6·31 and. Hip dysplasia is the. Hip Dysplasia Dog Norberg Angle.
From puainta.com
Hip Dysplasia in Dogs Hip Dysplasia Dog Norberg Angle 66 genetically, it is a disease of complex inheritance, meaning that multiple genes, combined with environmental influences, ultimately cause expression of the condition. Extended hip and abducted hind limb radiographs performed at 1 year of age (18 months for large breed dogs) are scored according to the official. Hip dysplasia is the most common orthopedic condition of the dog, causing. Hip Dysplasia Dog Norberg Angle.
From www.researchgate.net
Measurement of the Norberg angle in the extended view. Download Hip Dysplasia Dog Norberg Angle Extended hip and abducted hind limb radiographs performed at 1 year of age (18 months for large breed dogs) are scored according to the official. The norberg angle and the percentile rank accurately discriminated between dogs with or without canine hip dysplasia, with positive and negative likelihood ratios of 6·31 and. 66 genetically, it is a disease of complex inheritance,. Hip Dysplasia Dog Norberg Angle.
From cegdaqde.blob.core.windows.net
Can Hip Dysplasia Correct Itself In Dogs at Nelson Stromberg blog Hip Dysplasia Dog Norberg Angle The norberg angle and the percentile rank accurately discriminated between dogs with or without canine hip dysplasia, with positive and negative likelihood ratios of 6·31 and. Then take the center of the femoral head and draw a line to the outer point of the pelvis. The angle between these lines is the. Hip dysplasia is the most common orthopedic condition. Hip Dysplasia Dog Norberg Angle.
From superveterinary.com
Image Diagnostic Software SuperXvue® DXR superveterinary Hip Dysplasia Dog Norberg Angle The norberg angle and the percentile rank accurately discriminated between dogs with or without canine hip dysplasia, with positive and negative likelihood ratios of 6·31 and. Extended hip and abducted hind limb radiographs performed at 1 year of age (18 months for large breed dogs) are scored according to the official. Hip dysplasia is the most common orthopedic condition of. Hip Dysplasia Dog Norberg Angle.
From superveterinary.com
Image Diagnostic Software SuperXvue® DXR superveterinary Hip Dysplasia Dog Norberg Angle The angle between these lines is the. Hip dysplasia is the most common orthopedic condition of the dog, causing joint inflammation and secondary osteoarthritis, which lead to variable degrees of clinical discomfort. Extended hip and abducted hind limb radiographs performed at 1 year of age (18 months for large breed dogs) are scored according to the official. Then take the. Hip Dysplasia Dog Norberg Angle.
From www.researchgate.net
Differences between Norberg angle on examiner restraining Hip Dysplasia Dog Norberg Angle The norberg angle and the percentile rank accurately discriminated between dogs with or without canine hip dysplasia, with positive and. Hip dysplasia is the most common orthopedic condition of the dog, causing joint inflammation and secondary osteoarthritis, which lead to variable degrees of clinical discomfort. Extended hip and abducted hind limb radiographs performed at 1 year of age (18 months. Hip Dysplasia Dog Norberg Angle.
From www.amtmindia.org
Hip Dysplasia In Dogs Everything You Need To Know Animal Matter To Me Hip Dysplasia Dog Norberg Angle Extended hip and abducted hind limb radiographs performed at 1 year of age (18 months for large breed dogs) are scored according to the official. The angle between these lines is the. Hip dysplasia is the most common orthopedic condition of the dog, causing joint inflammation and secondary osteoarthritis, which lead to variable degrees of clinical discomfort. The norberg angle. Hip Dysplasia Dog Norberg Angle.
From www.semanticscholar.org
Table 1 from Scoring radiographs for canine Hip Dysplasia The big Hip Dysplasia Dog Norberg Angle The angle between these lines is the. Then take the center of the femoral head and draw a line to the outer point of the pelvis. The norberg angle and the percentile rank accurately discriminated between dogs with or without canine hip dysplasia, with positive and. 66 genetically, it is a disease of complex inheritance, meaning that multiple genes, combined. Hip Dysplasia Dog Norberg Angle.
From myvetanimalhospital.com.au
Hip Dysplasia What You Need To Know My Vet Animal Hospital Hip Dysplasia Dog Norberg Angle Extended hip and abducted hind limb radiographs performed at 1 year of age (18 months for large breed dogs) are scored according to the official. 66 genetically, it is a disease of complex inheritance, meaning that multiple genes, combined with environmental influences, ultimately cause expression of the condition. Hip dysplasia is the most common orthopedic condition of the dog, causing. Hip Dysplasia Dog Norberg Angle.
From blog.parnell.com
What You Need to Know about Hip Dysplasia in Dogs Hip Dysplasia Dog Norberg Angle Then take the center of the femoral head and draw a line to the outer point of the pelvis. The norberg angle and the percentile rank accurately discriminated between dogs with or without canine hip dysplasia, with positive and. The angle between these lines is the. Hip dysplasia is the most common orthopedic condition of the dog, causing joint inflammation. Hip Dysplasia Dog Norberg Angle.
From pethelpful.com
A Simple Guide to Hip Dysplasia in Dogs PetHelpful Hip Dysplasia Dog Norberg Angle Hip dysplasia is the most common orthopedic condition of the dog, causing joint inflammation and secondary osteoarthritis, which lead to variable degrees of clinical discomfort. The angle between these lines is the. The norberg angle and the percentile rank accurately discriminated between dogs with or without canine hip dysplasia, with positive and negative likelihood ratios of 6·31 and. 66 genetically,. Hip Dysplasia Dog Norberg Angle.
From journals.sagepub.com
Feline hip dysplasia A challenge to recognise and treat Karen Perry Hip Dysplasia Dog Norberg Angle The norberg angle and the percentile rank accurately discriminated between dogs with or without canine hip dysplasia, with positive and negative likelihood ratios of 6·31 and. Then take the center of the femoral head and draw a line to the outer point of the pelvis. The angle between these lines is the. 66 genetically, it is a disease of complex. Hip Dysplasia Dog Norberg Angle.
From www.andysvetclinic.net
Hip Dysplasia Hip Dysplasia Dog Norberg Angle Extended hip and abducted hind limb radiographs performed at 1 year of age (18 months for large breed dogs) are scored according to the official. The angle between these lines is the. 66 genetically, it is a disease of complex inheritance, meaning that multiple genes, combined with environmental influences, ultimately cause expression of the condition. The norberg angle and the. Hip Dysplasia Dog Norberg Angle.
From www.semanticscholar.org
[PDF] Effects of intertrochanteric varus osteotomy on Norberg angle and Hip Dysplasia Dog Norberg Angle Then take the center of the femoral head and draw a line to the outer point of the pelvis. Hip dysplasia is the most common orthopedic condition of the dog, causing joint inflammation and secondary osteoarthritis, which lead to variable degrees of clinical discomfort. The norberg angle and the percentile rank accurately discriminated between dogs with or without canine hip. Hip Dysplasia Dog Norberg Angle.
From www.asgscottsdale.com
Hip Dysplasia Arizona Canine Orthopedics & Sports Medicine Hip Dysplasia Dog Norberg Angle The norberg angle and the percentile rank accurately discriminated between dogs with or without canine hip dysplasia, with positive and. Extended hip and abducted hind limb radiographs performed at 1 year of age (18 months for large breed dogs) are scored according to the official. 66 genetically, it is a disease of complex inheritance, meaning that multiple genes, combined with. Hip Dysplasia Dog Norberg Angle.
From www.mdpi.com
Animals Free FullText Acetabular Coverage Area Occupied by the Hip Dysplasia Dog Norberg Angle Hip dysplasia is the most common orthopedic condition of the dog, causing joint inflammation and secondary osteoarthritis, which lead to variable degrees of clinical discomfort. Extended hip and abducted hind limb radiographs performed at 1 year of age (18 months for large breed dogs) are scored according to the official. 66 genetically, it is a disease of complex inheritance, meaning. Hip Dysplasia Dog Norberg Angle.
From www.researchgate.net
Xray images of a 14 month old female Border Collie (21 kg) with B1 hip Hip Dysplasia Dog Norberg Angle The angle between these lines is the. Then take the center of the femoral head and draw a line to the outer point of the pelvis. Extended hip and abducted hind limb radiographs performed at 1 year of age (18 months for large breed dogs) are scored according to the official. The norberg angle and the percentile rank accurately discriminated. Hip Dysplasia Dog Norberg Angle.
From canna-pet.com
Hip Dysplasia in Dogs Causes, Treatment & More Hip Dysplasia Dog Norberg Angle 66 genetically, it is a disease of complex inheritance, meaning that multiple genes, combined with environmental influences, ultimately cause expression of the condition. The norberg angle and the percentile rank accurately discriminated between dogs with or without canine hip dysplasia, with positive and negative likelihood ratios of 6·31 and. The norberg angle and the percentile rank accurately discriminated between dogs. Hip Dysplasia Dog Norberg Angle.
From www.kyon.ch
Displasia do quadril em cães KYON Hip Dysplasia Dog Norberg Angle Then take the center of the femoral head and draw a line to the outer point of the pelvis. The norberg angle and the percentile rank accurately discriminated between dogs with or without canine hip dysplasia, with positive and. The norberg angle and the percentile rank accurately discriminated between dogs with or without canine hip dysplasia, with positive and negative. Hip Dysplasia Dog Norberg Angle.
From www.elwoodvet.net
Hip dysplasia — Elwood vet Hip Dysplasia Dog Norberg Angle Hip dysplasia is the most common orthopedic condition of the dog, causing joint inflammation and secondary osteoarthritis, which lead to variable degrees of clinical discomfort. Then take the center of the femoral head and draw a line to the outer point of the pelvis. The norberg angle and the percentile rank accurately discriminated between dogs with or without canine hip. Hip Dysplasia Dog Norberg Angle.
From barkercise.com
A Vet's Guide to Hip Dysplasia in Dogs Barkercise Hip Dysplasia Dog Norberg Angle 66 genetically, it is a disease of complex inheritance, meaning that multiple genes, combined with environmental influences, ultimately cause expression of the condition. The angle between these lines is the. Extended hip and abducted hind limb radiographs performed at 1 year of age (18 months for large breed dogs) are scored according to the official. The norberg angle and the. Hip Dysplasia Dog Norberg Angle.
From www.slideserve.com
PPT Hip Dysplasia PowerPoint Presentation ID3654141 Hip Dysplasia Dog Norberg Angle Then take the center of the femoral head and draw a line to the outer point of the pelvis. Hip dysplasia is the most common orthopedic condition of the dog, causing joint inflammation and secondary osteoarthritis, which lead to variable degrees of clinical discomfort. The norberg angle and the percentile rank accurately discriminated between dogs with or without canine hip. Hip Dysplasia Dog Norberg Angle.
From www.greatpetcare.com
Hip Dysplasia in Dogs Great Pet Care Hip Dysplasia Dog Norberg Angle 66 genetically, it is a disease of complex inheritance, meaning that multiple genes, combined with environmental influences, ultimately cause expression of the condition. The angle between these lines is the. Then take the center of the femoral head and draw a line to the outer point of the pelvis. Extended hip and abducted hind limb radiographs performed at 1 year. Hip Dysplasia Dog Norberg Angle.
From www.veteldiagnostics.com
Automated Measurements for Norberg Hip Angle with AI Software Hip Dysplasia Dog Norberg Angle Hip dysplasia is the most common orthopedic condition of the dog, causing joint inflammation and secondary osteoarthritis, which lead to variable degrees of clinical discomfort. 66 genetically, it is a disease of complex inheritance, meaning that multiple genes, combined with environmental influences, ultimately cause expression of the condition. Extended hip and abducted hind limb radiographs performed at 1 year of. Hip Dysplasia Dog Norberg Angle.
From apps.soundvet.com
NorbergWinkel / Hip Displasia Measurement SmartPACS Hip Dysplasia Dog Norberg Angle The norberg angle and the percentile rank accurately discriminated between dogs with or without canine hip dysplasia, with positive and negative likelihood ratios of 6·31 and. Hip dysplasia is the most common orthopedic condition of the dog, causing joint inflammation and secondary osteoarthritis, which lead to variable degrees of clinical discomfort. The norberg angle and the percentile rank accurately discriminated. Hip Dysplasia Dog Norberg Angle.
From www.youtube.com
How to measure Norberg angle in dog's radiographएक्सरे से कुत्ता में Hip Dysplasia Dog Norberg Angle 66 genetically, it is a disease of complex inheritance, meaning that multiple genes, combined with environmental influences, ultimately cause expression of the condition. The norberg angle and the percentile rank accurately discriminated between dogs with or without canine hip dysplasia, with positive and. Then take the center of the femoral head and draw a line to the outer point of. Hip Dysplasia Dog Norberg Angle.
From www.semanticscholar.org
[PDF] Effects of intertrochanteric varus osteotomy on Norberg angle and Hip Dysplasia Dog Norberg Angle The angle between these lines is the. Hip dysplasia is the most common orthopedic condition of the dog, causing joint inflammation and secondary osteoarthritis, which lead to variable degrees of clinical discomfort. Extended hip and abducted hind limb radiographs performed at 1 year of age (18 months for large breed dogs) are scored according to the official. The norberg angle. Hip Dysplasia Dog Norberg Angle.
From animalia-life.club
Can Hip Dysplasia In Dogs Cause Death Hip Dysplasia Dog Norberg Angle 66 genetically, it is a disease of complex inheritance, meaning that multiple genes, combined with environmental influences, ultimately cause expression of the condition. Extended hip and abducted hind limb radiographs performed at 1 year of age (18 months for large breed dogs) are scored according to the official. Then take the center of the femoral head and draw a line. Hip Dysplasia Dog Norberg Angle.
From avmajournals.avma.org
Quantitative assessment of hip morphology to enhance the identification Hip Dysplasia Dog Norberg Angle The norberg angle and the percentile rank accurately discriminated between dogs with or without canine hip dysplasia, with positive and negative likelihood ratios of 6·31 and. Extended hip and abducted hind limb radiographs performed at 1 year of age (18 months for large breed dogs) are scored according to the official. The norberg angle and the percentile rank accurately discriminated. Hip Dysplasia Dog Norberg Angle.
From www.semanticscholar.org
Figure 2 from Comparing Norberg angle, linear femoral overlap and Hip Dysplasia Dog Norberg Angle Then take the center of the femoral head and draw a line to the outer point of the pelvis. Extended hip and abducted hind limb radiographs performed at 1 year of age (18 months for large breed dogs) are scored according to the official. 66 genetically, it is a disease of complex inheritance, meaning that multiple genes, combined with environmental. Hip Dysplasia Dog Norberg Angle.
From myvetanimalhospital.com.au
Hip Dysplasia What You Need To Know My Vet Animal Hospital Hip Dysplasia Dog Norberg Angle Then take the center of the femoral head and draw a line to the outer point of the pelvis. The norberg angle and the percentile rank accurately discriminated between dogs with or without canine hip dysplasia, with positive and negative likelihood ratios of 6·31 and. Extended hip and abducted hind limb radiographs performed at 1 year of age (18 months. Hip Dysplasia Dog Norberg Angle.