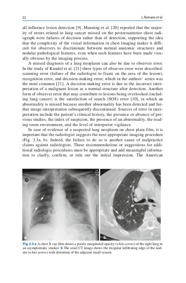
Types Of Radiology Reporting Errors . It is important for the radiologist to be aware of the range of issues surrounding the radiology report to better navigate the emerging health. In this paper, we explore the concepts of error and discrepancy in radiology, discuss some of the factors which may contribute to errors and. It is important to recognize. Developing a comprehensive process to identify diagnostic errors, analyze them to discover contributing. Errors in diagnostic radiology occur for a variety of reasons related to human error, technical factors and system faults. A comprehensive review of error classifications highlights the complexity of diagnostic errors, drawing on recent. As described later in this article, certain system factors (e.g., lighting conditions, shift length, pace of reading required) have a.
from www.youtube.com
It is important to recognize. As described later in this article, certain system factors (e.g., lighting conditions, shift length, pace of reading required) have a. A comprehensive review of error classifications highlights the complexity of diagnostic errors, drawing on recent. It is important for the radiologist to be aware of the range of issues surrounding the radiology report to better navigate the emerging health. Errors in diagnostic radiology occur for a variety of reasons related to human error, technical factors and system faults. Developing a comprehensive process to identify diagnostic errors, analyze them to discover contributing. In this paper, we explore the concepts of error and discrepancy in radiology, discuss some of the factors which may contribute to errors and.
Error and Uncertainty in Diagnostic Radiology YouTube
Types Of Radiology Reporting Errors In this paper, we explore the concepts of error and discrepancy in radiology, discuss some of the factors which may contribute to errors and. Errors in diagnostic radiology occur for a variety of reasons related to human error, technical factors and system faults. It is important for the radiologist to be aware of the range of issues surrounding the radiology report to better navigate the emerging health. It is important to recognize. Developing a comprehensive process to identify diagnostic errors, analyze them to discover contributing. As described later in this article, certain system factors (e.g., lighting conditions, shift length, pace of reading required) have a. In this paper, we explore the concepts of error and discrepancy in radiology, discuss some of the factors which may contribute to errors and. A comprehensive review of error classifications highlights the complexity of diagnostic errors, drawing on recent.
From www.researchgate.net
(PDF) Diagnostic error and bias in the department of radiology a pictorial essay Types Of Radiology Reporting Errors As described later in this article, certain system factors (e.g., lighting conditions, shift length, pace of reading required) have a. It is important for the radiologist to be aware of the range of issues surrounding the radiology report to better navigate the emerging health. In this paper, we explore the concepts of error and discrepancy in radiology, discuss some of. Types Of Radiology Reporting Errors.
From www.researchgate.net
(PDF) Understanding and Confronting Our Mistakes The Epidemiology of Error in Radiology and Types Of Radiology Reporting Errors As described later in this article, certain system factors (e.g., lighting conditions, shift length, pace of reading required) have a. A comprehensive review of error classifications highlights the complexity of diagnostic errors, drawing on recent. In this paper, we explore the concepts of error and discrepancy in radiology, discuss some of the factors which may contribute to errors and. Developing. Types Of Radiology Reporting Errors.
From pubs.rsna.org
Generative Large Language Models for Detection of Speech Recognition Errors in Radiology Reports Types Of Radiology Reporting Errors Developing a comprehensive process to identify diagnostic errors, analyze them to discover contributing. It is important to recognize. Errors in diagnostic radiology occur for a variety of reasons related to human error, technical factors and system faults. It is important for the radiologist to be aware of the range of issues surrounding the radiology report to better navigate the emerging. Types Of Radiology Reporting Errors.
From statim-healthcare.com
4 Strategies To Reduce Reporting Errors In Medical Imaging Radiology Types Of Radiology Reporting Errors As described later in this article, certain system factors (e.g., lighting conditions, shift length, pace of reading required) have a. In this paper, we explore the concepts of error and discrepancy in radiology, discuss some of the factors which may contribute to errors and. It is important to recognize. It is important for the radiologist to be aware of the. Types Of Radiology Reporting Errors.
From www.studocu.com
Pano errors table Radiology Pano errors & corrections Pano Error Error Cause of Error Fix Types Of Radiology Reporting Errors Errors in diagnostic radiology occur for a variety of reasons related to human error, technical factors and system faults. It is important to recognize. A comprehensive review of error classifications highlights the complexity of diagnostic errors, drawing on recent. Developing a comprehensive process to identify diagnostic errors, analyze them to discover contributing. As described later in this article, certain system. Types Of Radiology Reporting Errors.
From www.slideshare.net
Artifact and errors in intraoral periapical radiograph.ppt Types Of Radiology Reporting Errors Developing a comprehensive process to identify diagnostic errors, analyze them to discover contributing. A comprehensive review of error classifications highlights the complexity of diagnostic errors, drawing on recent. It is important for the radiologist to be aware of the range of issues surrounding the radiology report to better navigate the emerging health. It is important to recognize. Errors in diagnostic. Types Of Radiology Reporting Errors.
From www.researchgate.net
(PDF) Radiology Reporting Errors Learning from Report Addenda Types Of Radiology Reporting Errors It is important for the radiologist to be aware of the range of issues surrounding the radiology report to better navigate the emerging health. In this paper, we explore the concepts of error and discrepancy in radiology, discuss some of the factors which may contribute to errors and. It is important to recognize. As described later in this article, certain. Types Of Radiology Reporting Errors.
From epos.myesr.org
EPOS™ Types Of Radiology Reporting Errors It is important for the radiologist to be aware of the range of issues surrounding the radiology report to better navigate the emerging health. Errors in diagnostic radiology occur for a variety of reasons related to human error, technical factors and system faults. It is important to recognize. In this paper, we explore the concepts of error and discrepancy in. Types Of Radiology Reporting Errors.
From www.researchgate.net
(PDF) Error and discrepancy in radiology inevitable or avoidable? Types Of Radiology Reporting Errors It is important for the radiologist to be aware of the range of issues surrounding the radiology report to better navigate the emerging health. A comprehensive review of error classifications highlights the complexity of diagnostic errors, drawing on recent. Developing a comprehensive process to identify diagnostic errors, analyze them to discover contributing. In this paper, we explore the concepts of. Types Of Radiology Reporting Errors.
From www.researchgate.net
(PDF) Radiology Reporting Errors Learning from Report Addenda Types Of Radiology Reporting Errors A comprehensive review of error classifications highlights the complexity of diagnostic errors, drawing on recent. Errors in diagnostic radiology occur for a variety of reasons related to human error, technical factors and system faults. Developing a comprehensive process to identify diagnostic errors, analyze them to discover contributing. It is important for the radiologist to be aware of the range of. Types Of Radiology Reporting Errors.
From www.researchgate.net
(PDF) Perceptual and Interpretive Error in Diagnostic Radiology—Causes and Potential Solutions Types Of Radiology Reporting Errors In this paper, we explore the concepts of error and discrepancy in radiology, discuss some of the factors which may contribute to errors and. It is important to recognize. Developing a comprehensive process to identify diagnostic errors, analyze them to discover contributing. Errors in diagnostic radiology occur for a variety of reasons related to human error, technical factors and system. Types Of Radiology Reporting Errors.
From connect.myesr.org
Understanding reporting errors in radiology and how to reduce them ESR Connect Types Of Radiology Reporting Errors It is important to recognize. Developing a comprehensive process to identify diagnostic errors, analyze them to discover contributing. Errors in diagnostic radiology occur for a variety of reasons related to human error, technical factors and system faults. As described later in this article, certain system factors (e.g., lighting conditions, shift length, pace of reading required) have a. In this paper,. Types Of Radiology Reporting Errors.
From www.pdffiller.com
Radiology Reporting Errors Learning from Report Addenda Doc Template pdfFiller Types Of Radiology Reporting Errors It is important to recognize. Developing a comprehensive process to identify diagnostic errors, analyze them to discover contributing. In this paper, we explore the concepts of error and discrepancy in radiology, discuss some of the factors which may contribute to errors and. A comprehensive review of error classifications highlights the complexity of diagnostic errors, drawing on recent. It is important. Types Of Radiology Reporting Errors.
From www.paulsoncoletti.com
Salem Radiology Errors Lawyer Types Of Radiology Reporting Errors Developing a comprehensive process to identify diagnostic errors, analyze them to discover contributing. It is important for the radiologist to be aware of the range of issues surrounding the radiology report to better navigate the emerging health. A comprehensive review of error classifications highlights the complexity of diagnostic errors, drawing on recent. As described later in this article, certain system. Types Of Radiology Reporting Errors.
From www.fronzutolaw.com
The Most Common Radiology Errors in New Jersey Types Of Radiology Reporting Errors In this paper, we explore the concepts of error and discrepancy in radiology, discuss some of the factors which may contribute to errors and. A comprehensive review of error classifications highlights the complexity of diagnostic errors, drawing on recent. As described later in this article, certain system factors (e.g., lighting conditions, shift length, pace of reading required) have a. Errors. Types Of Radiology Reporting Errors.
From www.clinicalimaging.org
Bigram frequency analysis for detection of radiology report errors Clinical Imaging Types Of Radiology Reporting Errors In this paper, we explore the concepts of error and discrepancy in radiology, discuss some of the factors which may contribute to errors and. A comprehensive review of error classifications highlights the complexity of diagnostic errors, drawing on recent. It is important for the radiologist to be aware of the range of issues surrounding the radiology report to better navigate. Types Of Radiology Reporting Errors.
From nrdrsupport.acr.org
Upload Errors Report NRDR National Radiology Data Registry Support Types Of Radiology Reporting Errors As described later in this article, certain system factors (e.g., lighting conditions, shift length, pace of reading required) have a. It is important to recognize. It is important for the radiologist to be aware of the range of issues surrounding the radiology report to better navigate the emerging health. A comprehensive review of error classifications highlights the complexity of diagnostic. Types Of Radiology Reporting Errors.
From ar.inspiredpencil.com
Radiographic In Dental Radiography Errors Types Of Radiology Reporting Errors Errors in diagnostic radiology occur for a variety of reasons related to human error, technical factors and system faults. As described later in this article, certain system factors (e.g., lighting conditions, shift length, pace of reading required) have a. In this paper, we explore the concepts of error and discrepancy in radiology, discuss some of the factors which may contribute. Types Of Radiology Reporting Errors.
From www.youtube.com
Intraoral Radiography Errors and Corrections YouTube Types Of Radiology Reporting Errors A comprehensive review of error classifications highlights the complexity of diagnostic errors, drawing on recent. In this paper, we explore the concepts of error and discrepancy in radiology, discuss some of the factors which may contribute to errors and. It is important for the radiologist to be aware of the range of issues surrounding the radiology report to better navigate. Types Of Radiology Reporting Errors.
From www.scribetech.co.uk
The costs of risk and errors in radiology reporting Types Of Radiology Reporting Errors It is important for the radiologist to be aware of the range of issues surrounding the radiology report to better navigate the emerging health. In this paper, we explore the concepts of error and discrepancy in radiology, discuss some of the factors which may contribute to errors and. As described later in this article, certain system factors (e.g., lighting conditions,. Types Of Radiology Reporting Errors.
From www.clinicalimaging.org
Bigram frequency analysis for detection of radiology report errors Clinical Imaging Types Of Radiology Reporting Errors A comprehensive review of error classifications highlights the complexity of diagnostic errors, drawing on recent. Developing a comprehensive process to identify diagnostic errors, analyze them to discover contributing. It is important to recognize. As described later in this article, certain system factors (e.g., lighting conditions, shift length, pace of reading required) have a. It is important for the radiologist to. Types Of Radiology Reporting Errors.
From www.youtube.com
Error and Uncertainty in Diagnostic Radiology YouTube Types Of Radiology Reporting Errors It is important for the radiologist to be aware of the range of issues surrounding the radiology report to better navigate the emerging health. It is important to recognize. A comprehensive review of error classifications highlights the complexity of diagnostic errors, drawing on recent. Developing a comprehensive process to identify diagnostic errors, analyze them to discover contributing. As described later. Types Of Radiology Reporting Errors.
From www.jacr.org
Strategies for Improving the Value of the Radiology Report A Retrospective Analysis of Errors Types Of Radiology Reporting Errors It is important to recognize. It is important for the radiologist to be aware of the range of issues surrounding the radiology report to better navigate the emerging health. Developing a comprehensive process to identify diagnostic errors, analyze them to discover contributing. Errors in diagnostic radiology occur for a variety of reasons related to human error, technical factors and system. Types Of Radiology Reporting Errors.
From qualitysafety.bmj.com
The global burden of diagnostic errors in primary care BMJ Quality & Safety Types Of Radiology Reporting Errors A comprehensive review of error classifications highlights the complexity of diagnostic errors, drawing on recent. It is important to recognize. As described later in this article, certain system factors (e.g., lighting conditions, shift length, pace of reading required) have a. It is important for the radiologist to be aware of the range of issues surrounding the radiology report to better. Types Of Radiology Reporting Errors.
From nrdrsupport.acr.org
Upload Errors Report NRDR National Radiology Data Registry Support Types Of Radiology Reporting Errors Developing a comprehensive process to identify diagnostic errors, analyze them to discover contributing. In this paper, we explore the concepts of error and discrepancy in radiology, discuss some of the factors which may contribute to errors and. A comprehensive review of error classifications highlights the complexity of diagnostic errors, drawing on recent. Errors in diagnostic radiology occur for a variety. Types Of Radiology Reporting Errors.
From www.slideshare.net
Errors in radiology Types Of Radiology Reporting Errors As described later in this article, certain system factors (e.g., lighting conditions, shift length, pace of reading required) have a. It is important for the radiologist to be aware of the range of issues surrounding the radiology report to better navigate the emerging health. Developing a comprehensive process to identify diagnostic errors, analyze them to discover contributing. A comprehensive review. Types Of Radiology Reporting Errors.
From blog.smarterda.com
SmarterDA Dental Assisting Boards Prep Solution Panoramic Radiograph Errors + How to correct them Types Of Radiology Reporting Errors It is important to recognize. In this paper, we explore the concepts of error and discrepancy in radiology, discuss some of the factors which may contribute to errors and. It is important for the radiologist to be aware of the range of issues surrounding the radiology report to better navigate the emerging health. Developing a comprehensive process to identify diagnostic. Types Of Radiology Reporting Errors.
From www.youtube.com
Diagnostic Errors in Radiology YouTube Types Of Radiology Reporting Errors It is important for the radiologist to be aware of the range of issues surrounding the radiology report to better navigate the emerging health. As described later in this article, certain system factors (e.g., lighting conditions, shift length, pace of reading required) have a. Errors in diagnostic radiology occur for a variety of reasons related to human error, technical factors. Types Of Radiology Reporting Errors.
From pubs.rsna.org
How to Use LIRADS to Report Liver CT and MRI Observations RadioGraphics Types Of Radiology Reporting Errors As described later in this article, certain system factors (e.g., lighting conditions, shift length, pace of reading required) have a. It is important for the radiologist to be aware of the range of issues surrounding the radiology report to better navigate the emerging health. Developing a comprehensive process to identify diagnostic errors, analyze them to discover contributing. It is important. Types Of Radiology Reporting Errors.
From hjmlaw.com
Radiology Errors Heather J. Mitchell Law Types Of Radiology Reporting Errors Developing a comprehensive process to identify diagnostic errors, analyze them to discover contributing. It is important for the radiologist to be aware of the range of issues surrounding the radiology report to better navigate the emerging health. A comprehensive review of error classifications highlights the complexity of diagnostic errors, drawing on recent. It is important to recognize. As described later. Types Of Radiology Reporting Errors.
From www.slideshare.net
Errors in radiology Types Of Radiology Reporting Errors A comprehensive review of error classifications highlights the complexity of diagnostic errors, drawing on recent. As described later in this article, certain system factors (e.g., lighting conditions, shift length, pace of reading required) have a. In this paper, we explore the concepts of error and discrepancy in radiology, discuss some of the factors which may contribute to errors and. It. Types Of Radiology Reporting Errors.
From www.degruyter.com
256 Shades of gray uncertainty and diagnostic error in radiology Types Of Radiology Reporting Errors As described later in this article, certain system factors (e.g., lighting conditions, shift length, pace of reading required) have a. Errors in diagnostic radiology occur for a variety of reasons related to human error, technical factors and system faults. Developing a comprehensive process to identify diagnostic errors, analyze them to discover contributing. In this paper, we explore the concepts of. Types Of Radiology Reporting Errors.
From www.researchgate.net
(PDF) Diagnostic Errors in Emergency Neuroradiology Can We Do Better? Types of Diagnostic Types Of Radiology Reporting Errors Developing a comprehensive process to identify diagnostic errors, analyze them to discover contributing. Errors in diagnostic radiology occur for a variety of reasons related to human error, technical factors and system faults. As described later in this article, certain system factors (e.g., lighting conditions, shift length, pace of reading required) have a. It is important for the radiologist to be. Types Of Radiology Reporting Errors.
From www.scribd.com
Medical Errors and the Importance of Second Opinions in Radiology Radiology Medical Error Types Of Radiology Reporting Errors Developing a comprehensive process to identify diagnostic errors, analyze them to discover contributing. Errors in diagnostic radiology occur for a variety of reasons related to human error, technical factors and system faults. It is important to recognize. As described later in this article, certain system factors (e.g., lighting conditions, shift length, pace of reading required) have a. It is important. Types Of Radiology Reporting Errors.
From radiologykey.com
Monitoring and Reporting of Complications Radiology Key Types Of Radiology Reporting Errors As described later in this article, certain system factors (e.g., lighting conditions, shift length, pace of reading required) have a. Errors in diagnostic radiology occur for a variety of reasons related to human error, technical factors and system faults. It is important for the radiologist to be aware of the range of issues surrounding the radiology report to better navigate. Types Of Radiology Reporting Errors.