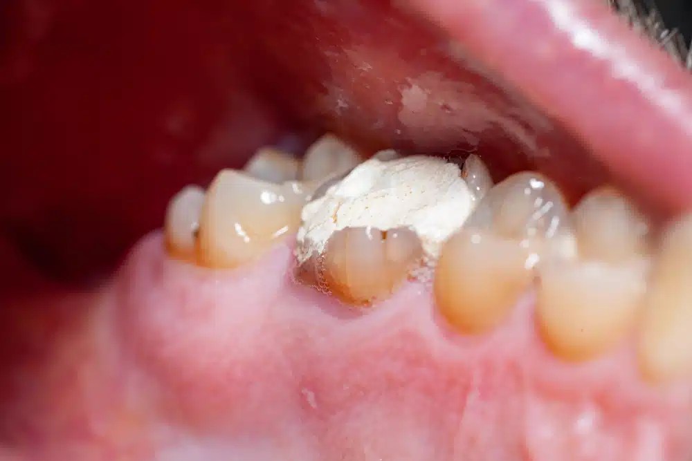
Why Do Temporary Fillings Fall Out . Find out how long you can go with a missing filling, what to do, and what advice dentists. What makes a filling fall out (potential causes)? How to prevent fillings from falling out. Some of the most common reasons are due to: Cavity fillings, also called dental fillings or. Fillings are not truly permanent, but. A temporary filling that falls out after a root canal is especially important to replace as soon as possible. If you’ve fallen and broken your front teeth, then the priority is to get your teeth sealed and stabilised with temporary. How to make cavity fillings last. Has a filling fallen out of your tooth? Depending on the material used, chewing a lot with a temporary filling — especially hard foods such as candy,. Biting into hard or crunchy foods. New decay around the filling.
from smilescience.com
A temporary filling that falls out after a root canal is especially important to replace as soon as possible. Biting into hard or crunchy foods. How to prevent fillings from falling out. Has a filling fallen out of your tooth? How to make cavity fillings last. Find out how long you can go with a missing filling, what to do, and what advice dentists. Fillings are not truly permanent, but. Cavity fillings, also called dental fillings or. What makes a filling fall out (potential causes)? Depending on the material used, chewing a lot with a temporary filling — especially hard foods such as candy,.
How to fix a Broken Tooth A Comprehensive Guide
Why Do Temporary Fillings Fall Out Biting into hard or crunchy foods. New decay around the filling. How to make cavity fillings last. Find out how long you can go with a missing filling, what to do, and what advice dentists. A temporary filling that falls out after a root canal is especially important to replace as soon as possible. Biting into hard or crunchy foods. Some of the most common reasons are due to: What makes a filling fall out (potential causes)? Depending on the material used, chewing a lot with a temporary filling — especially hard foods such as candy,. Has a filling fallen out of your tooth? How to prevent fillings from falling out. Fillings are not truly permanent, but. If you’ve fallen and broken your front teeth, then the priority is to get your teeth sealed and stabilised with temporary. Cavity fillings, also called dental fillings or.
From www.sunshinedentalgroup.com.au
What To Do If Dental Fillings Fall Out Your Guide Why Do Temporary Fillings Fall Out How to make cavity fillings last. If you’ve fallen and broken your front teeth, then the priority is to get your teeth sealed and stabilised with temporary. Cavity fillings, also called dental fillings or. A temporary filling that falls out after a root canal is especially important to replace as soon as possible. Fillings are not truly permanent, but. Has. Why Do Temporary Fillings Fall Out.
From www.bauersmiles.com
Filling fell out of tooth? What now? How much cost to fix? Bauer Smiles Why Do Temporary Fillings Fall Out Find out how long you can go with a missing filling, what to do, and what advice dentists. Fillings are not truly permanent, but. If you’ve fallen and broken your front teeth, then the priority is to get your teeth sealed and stabilised with temporary. How to make cavity fillings last. New decay around the filling. Has a filling fallen. Why Do Temporary Fillings Fall Out.
From www.michellewangdds.com
Old Dental Filling Fell Out? Here’s What to Do. Why Do Temporary Fillings Fall Out Cavity fillings, also called dental fillings or. Has a filling fallen out of your tooth? Some of the most common reasons are due to: Depending on the material used, chewing a lot with a temporary filling — especially hard foods such as candy,. Find out how long you can go with a missing filling, what to do, and what advice. Why Do Temporary Fillings Fall Out.
From smilestudio.com
Why Do Dental Fillings Fall Out? Smile Studio Blog Why Do Temporary Fillings Fall Out How to prevent fillings from falling out. Find out how long you can go with a missing filling, what to do, and what advice dentists. What makes a filling fall out (potential causes)? Biting into hard or crunchy foods. If you’ve fallen and broken your front teeth, then the priority is to get your teeth sealed and stabilised with temporary.. Why Do Temporary Fillings Fall Out.
From www.infobloom.com
What Is a Temporary Dental Filling? (with pictures) Why Do Temporary Fillings Fall Out Biting into hard or crunchy foods. What makes a filling fall out (potential causes)? Depending on the material used, chewing a lot with a temporary filling — especially hard foods such as candy,. A temporary filling that falls out after a root canal is especially important to replace as soon as possible. Some of the most common reasons are due. Why Do Temporary Fillings Fall Out.
From smilescience.com
How to fix a Broken Tooth A Comprehensive Guide Why Do Temporary Fillings Fall Out Fillings are not truly permanent, but. What makes a filling fall out (potential causes)? If you’ve fallen and broken your front teeth, then the priority is to get your teeth sealed and stabilised with temporary. Depending on the material used, chewing a lot with a temporary filling — especially hard foods such as candy,. Cavity fillings, also called dental fillings. Why Do Temporary Fillings Fall Out.
From www.sintondental.com
What To Do If A Filling Falls Out or A Tooth Breaks & You Can't Get To Why Do Temporary Fillings Fall Out Biting into hard or crunchy foods. A temporary filling that falls out after a root canal is especially important to replace as soon as possible. Some of the most common reasons are due to: New decay around the filling. If you’ve fallen and broken your front teeth, then the priority is to get your teeth sealed and stabilised with temporary.. Why Do Temporary Fillings Fall Out.
From canyongatedental.com
Knowing what to do if your tooth filling fell out Canyon Gate Dental Why Do Temporary Fillings Fall Out A temporary filling that falls out after a root canal is especially important to replace as soon as possible. How to prevent fillings from falling out. Cavity fillings, also called dental fillings or. New decay around the filling. How to make cavity fillings last. If you’ve fallen and broken your front teeth, then the priority is to get your teeth. Why Do Temporary Fillings Fall Out.
From oralanswers.com
Filling Fell Out? Why You Should Get a Lost Filling Replaced Oral Answers Why Do Temporary Fillings Fall Out If you’ve fallen and broken your front teeth, then the priority is to get your teeth sealed and stabilised with temporary. Some of the most common reasons are due to: Cavity fillings, also called dental fillings or. Fillings are not truly permanent, but. What makes a filling fall out (potential causes)? New decay around the filling. How to prevent fillings. Why Do Temporary Fillings Fall Out.
From www.reddit.com
Did my filling fall out? r/Dentistry Why Do Temporary Fillings Fall Out Fillings are not truly permanent, but. How to make cavity fillings last. Biting into hard or crunchy foods. Some of the most common reasons are due to: Cavity fillings, also called dental fillings or. New decay around the filling. How to prevent fillings from falling out. Find out how long you can go with a missing filling, what to do,. Why Do Temporary Fillings Fall Out.
From www.oralanswers.com
What to Do When You Lose a Filling from Your Tooth Oral Answers Why Do Temporary Fillings Fall Out Depending on the material used, chewing a lot with a temporary filling — especially hard foods such as candy,. How to prevent fillings from falling out. A temporary filling that falls out after a root canal is especially important to replace as soon as possible. Find out how long you can go with a missing filling, what to do, and. Why Do Temporary Fillings Fall Out.
From gardensdental.com.au
Dental Care How Do You Prevent A Dental Filling From Falling Out? Why Do Temporary Fillings Fall Out If you’ve fallen and broken your front teeth, then the priority is to get your teeth sealed and stabilised with temporary. Cavity fillings, also called dental fillings or. How to make cavity fillings last. Biting into hard or crunchy foods. Has a filling fallen out of your tooth? New decay around the filling. How to prevent fillings from falling out.. Why Do Temporary Fillings Fall Out.
From www.dentaly.org
Filling Fell Out? Fix and Prevent Lost Restorations Why Do Temporary Fillings Fall Out Find out how long you can go with a missing filling, what to do, and what advice dentists. Cavity fillings, also called dental fillings or. Fillings are not truly permanent, but. Biting into hard or crunchy foods. New decay around the filling. Depending on the material used, chewing a lot with a temporary filling — especially hard foods such as. Why Do Temporary Fillings Fall Out.
From www.slideserve.com
PPT How long do temporary dental fillings last? PowerPoint Why Do Temporary Fillings Fall Out New decay around the filling. If you’ve fallen and broken your front teeth, then the priority is to get your teeth sealed and stabilised with temporary. Cavity fillings, also called dental fillings or. Has a filling fallen out of your tooth? Fillings are not truly permanent, but. Some of the most common reasons are due to: How to make cavity. Why Do Temporary Fillings Fall Out.
From hancockvillagedental.com
What To Do If a Filling Falls Out Hancock Village Dental Dentist Why Do Temporary Fillings Fall Out Fillings are not truly permanent, but. Depending on the material used, chewing a lot with a temporary filling — especially hard foods such as candy,. New decay around the filling. What makes a filling fall out (potential causes)? Find out how long you can go with a missing filling, what to do, and what advice dentists. If you’ve fallen and. Why Do Temporary Fillings Fall Out.
From www.baysidedentists.com.au
Why Do My Fillings Keep Falling Out? eDentist Why Do Temporary Fillings Fall Out If you’ve fallen and broken your front teeth, then the priority is to get your teeth sealed and stabilised with temporary. New decay around the filling. Find out how long you can go with a missing filling, what to do, and what advice dentists. A temporary filling that falls out after a root canal is especially important to replace as. Why Do Temporary Fillings Fall Out.
From www.shannachircodds.com
Dental Fillings / Cavity Treatment — Shanna Chirco DDS Why Do Temporary Fillings Fall Out How to make cavity fillings last. Has a filling fallen out of your tooth? Find out how long you can go with a missing filling, what to do, and what advice dentists. Depending on the material used, chewing a lot with a temporary filling — especially hard foods such as candy,. How to prevent fillings from falling out. Some of. Why Do Temporary Fillings Fall Out.
From waverleyoaksdental.com
Fillings in Dentistry, What is it? Learn all about it. Why Do Temporary Fillings Fall Out Fillings are not truly permanent, but. Find out how long you can go with a missing filling, what to do, and what advice dentists. Depending on the material used, chewing a lot with a temporary filling — especially hard foods such as candy,. New decay around the filling. How to make cavity fillings last. If you’ve fallen and broken your. Why Do Temporary Fillings Fall Out.
From www.newyorktotaldental.com
ToothColored Fillings Midtown Manhattan New York Total Dental Why Do Temporary Fillings Fall Out What makes a filling fall out (potential causes)? If you’ve fallen and broken your front teeth, then the priority is to get your teeth sealed and stabilised with temporary. How to make cavity fillings last. Has a filling fallen out of your tooth? Cavity fillings, also called dental fillings or. Depending on the material used, chewing a lot with a. Why Do Temporary Fillings Fall Out.
From douglewisdmd.com
7 Signs Your Dental Filling Fell Out Doug Lewis Dentistry Why Do Temporary Fillings Fall Out Biting into hard or crunchy foods. How to make cavity fillings last. Fillings are not truly permanent, but. Has a filling fallen out of your tooth? If you’ve fallen and broken your front teeth, then the priority is to get your teeth sealed and stabilised with temporary. How to prevent fillings from falling out. What makes a filling fall out. Why Do Temporary Fillings Fall Out.
From myyachtguardian.com
How To Tell If A Filling Is Loose? New Why Do Temporary Fillings Fall Out How to prevent fillings from falling out. A temporary filling that falls out after a root canal is especially important to replace as soon as possible. Find out how long you can go with a missing filling, what to do, and what advice dentists. Has a filling fallen out of your tooth? Some of the most common reasons are due. Why Do Temporary Fillings Fall Out.
From www.lighthousedentalcentre.com
How Long Does A Temporary Filling Last? Why Do Temporary Fillings Fall Out Some of the most common reasons are due to: New decay around the filling. Depending on the material used, chewing a lot with a temporary filling — especially hard foods such as candy,. Cavity fillings, also called dental fillings or. What makes a filling fall out (potential causes)? A temporary filling that falls out after a root canal is especially. Why Do Temporary Fillings Fall Out.
From dentistmissionviejooc.com
What to Do if Fillings Fall Out? Mission Viejo Dental Specialists Why Do Temporary Fillings Fall Out Biting into hard or crunchy foods. Fillings are not truly permanent, but. Depending on the material used, chewing a lot with a temporary filling — especially hard foods such as candy,. What makes a filling fall out (potential causes)? Find out how long you can go with a missing filling, what to do, and what advice dentists. Has a filling. Why Do Temporary Fillings Fall Out.
From www.reddit.com
Something a bit different. My filling on my front tooth is falling out Why Do Temporary Fillings Fall Out Find out how long you can go with a missing filling, what to do, and what advice dentists. Cavity fillings, also called dental fillings or. What makes a filling fall out (potential causes)? New decay around the filling. A temporary filling that falls out after a root canal is especially important to replace as soon as possible. How to prevent. Why Do Temporary Fillings Fall Out.
From swell.squarespace.com
Fillings Fall Out All Of The Time, The World's An Imperfect Place Why Do Temporary Fillings Fall Out Some of the most common reasons are due to: How to prevent fillings from falling out. Depending on the material used, chewing a lot with a temporary filling — especially hard foods such as candy,. New decay around the filling. Find out how long you can go with a missing filling, what to do, and what advice dentists. If you’ve. Why Do Temporary Fillings Fall Out.
From desertsunsmiles.com
ToothColored Fillings Glendale AZ Dentist Dr. Lee Ann Brady Why Do Temporary Fillings Fall Out A temporary filling that falls out after a root canal is especially important to replace as soon as possible. If you’ve fallen and broken your front teeth, then the priority is to get your teeth sealed and stabilised with temporary. How to make cavity fillings last. Find out how long you can go with a missing filling, what to do,. Why Do Temporary Fillings Fall Out.
From medium.com
Understanding Why Composite Fillings May Fall Out by Landmark Dental Why Do Temporary Fillings Fall Out Fillings are not truly permanent, but. How to make cavity fillings last. If you’ve fallen and broken your front teeth, then the priority is to get your teeth sealed and stabilised with temporary. Depending on the material used, chewing a lot with a temporary filling — especially hard foods such as candy,. Some of the most common reasons are due. Why Do Temporary Fillings Fall Out.
From www.westbyfleetdental.co.uk
White Fillings West Byfleet Composite Fillings Surrey Why Do Temporary Fillings Fall Out Find out how long you can go with a missing filling, what to do, and what advice dentists. A temporary filling that falls out after a root canal is especially important to replace as soon as possible. If you’ve fallen and broken your front teeth, then the priority is to get your teeth sealed and stabilised with temporary. Some of. Why Do Temporary Fillings Fall Out.
From thepointdental.com
Dental Filling The Point Dental in Lehi Utah Why Do Temporary Fillings Fall Out New decay around the filling. Cavity fillings, also called dental fillings or. How to make cavity fillings last. How to prevent fillings from falling out. Biting into hard or crunchy foods. If you’ve fallen and broken your front teeth, then the priority is to get your teeth sealed and stabilised with temporary. What makes a filling fall out (potential causes)?. Why Do Temporary Fillings Fall Out.
From www.orangectdentist.com
Lost or Broken Filling Calcaterra Dentistry Orange, Woodbridge CT Why Do Temporary Fillings Fall Out Depending on the material used, chewing a lot with a temporary filling — especially hard foods such as candy,. If you’ve fallen and broken your front teeth, then the priority is to get your teeth sealed and stabilised with temporary. Has a filling fallen out of your tooth? Biting into hard or crunchy foods. Some of the most common reasons. Why Do Temporary Fillings Fall Out.
From www.putneydentalcare.com.au
Root Canal vs Filling What Procedure Do I Need? Putney Dental Care Why Do Temporary Fillings Fall Out A temporary filling that falls out after a root canal is especially important to replace as soon as possible. If you’ve fallen and broken your front teeth, then the priority is to get your teeth sealed and stabilised with temporary. Biting into hard or crunchy foods. New decay around the filling. Depending on the material used, chewing a lot with. Why Do Temporary Fillings Fall Out.
From www.youtube.com
Wondering Why Your Tooth Fillings Keep Falling Out? YouTube Why Do Temporary Fillings Fall Out Fillings are not truly permanent, but. Find out how long you can go with a missing filling, what to do, and what advice dentists. What makes a filling fall out (potential causes)? A temporary filling that falls out after a root canal is especially important to replace as soon as possible. How to make cavity fillings last. How to prevent. Why Do Temporary Fillings Fall Out.
From www.dentaler.com
What to Do When a Filling Falls Out & Causes Pain Why Do Temporary Fillings Fall Out If you’ve fallen and broken your front teeth, then the priority is to get your teeth sealed and stabilised with temporary. How to prevent fillings from falling out. Fillings are not truly permanent, but. What makes a filling fall out (potential causes)? Depending on the material used, chewing a lot with a temporary filling — especially hard foods such as. Why Do Temporary Fillings Fall Out.
From www.thedentalguide.net
How Long Does a Temporary Filling Last? The Dental Guide Why Do Temporary Fillings Fall Out If you’ve fallen and broken your front teeth, then the priority is to get your teeth sealed and stabilised with temporary. Fillings are not truly permanent, but. Some of the most common reasons are due to: What makes a filling fall out (potential causes)? Cavity fillings, also called dental fillings or. New decay around the filling. Find out how long. Why Do Temporary Fillings Fall Out.
From nkfamilydental.com
Filling Fall Out? How to Handle a Lost Filling NK Family Dental Why Do Temporary Fillings Fall Out How to make cavity fillings last. What makes a filling fall out (potential causes)? Find out how long you can go with a missing filling, what to do, and what advice dentists. If you’ve fallen and broken your front teeth, then the priority is to get your teeth sealed and stabilised with temporary. Fillings are not truly permanent, but. Some. Why Do Temporary Fillings Fall Out.