Tooth Extraction Air Sinus . air pressure must not be increased in the nasal or sinus cavities. If you should, keep your mouth open to. signs of sinus infection after tooth extraction include red, swollen, and inflamed tissue around the perforation, with a discharge of. this condition occurs when a dental infection caused by lack of oral hygiene or dental surgery, such as tooth. when a root is lodged in the sinus cavity, it can lead to sinus perforation during the extraction, potentially causing infection or. teeth are often considered for extraction for orthodontic reasons, often to create space in the dental arch to allow movement of the teeth into a more. The first layer involves careful placement of collagen. sinus perforation after a tooth extraction is a potential complication that can occur during the removal of upper teeth, particularly molars.
from wisetoothcare.com
The first layer involves careful placement of collagen. signs of sinus infection after tooth extraction include red, swollen, and inflamed tissue around the perforation, with a discharge of. this condition occurs when a dental infection caused by lack of oral hygiene or dental surgery, such as tooth. If you should, keep your mouth open to. teeth are often considered for extraction for orthodontic reasons, often to create space in the dental arch to allow movement of the teeth into a more. air pressure must not be increased in the nasal or sinus cavities. sinus perforation after a tooth extraction is a potential complication that can occur during the removal of upper teeth, particularly molars. when a root is lodged in the sinus cavity, it can lead to sinus perforation during the extraction, potentially causing infection or.
Sinus Pain After Wisdom Tooth Extraction Understanding the Connection
Tooth Extraction Air Sinus If you should, keep your mouth open to. The first layer involves careful placement of collagen. when a root is lodged in the sinus cavity, it can lead to sinus perforation during the extraction, potentially causing infection or. signs of sinus infection after tooth extraction include red, swollen, and inflamed tissue around the perforation, with a discharge of. air pressure must not be increased in the nasal or sinus cavities. sinus perforation after a tooth extraction is a potential complication that can occur during the removal of upper teeth, particularly molars. this condition occurs when a dental infection caused by lack of oral hygiene or dental surgery, such as tooth. teeth are often considered for extraction for orthodontic reasons, often to create space in the dental arch to allow movement of the teeth into a more. If you should, keep your mouth open to.
From mydentaladvocate.com
Dental Implant Perforated Sinus Symptoms) Symptoms) Tooth Extraction Air Sinus this condition occurs when a dental infection caused by lack of oral hygiene or dental surgery, such as tooth. signs of sinus infection after tooth extraction include red, swollen, and inflamed tissue around the perforation, with a discharge of. sinus perforation after a tooth extraction is a potential complication that can occur during the removal of upper. Tooth Extraction Air Sinus.
From toothshow.com
Sinus Problems After Wisdom Tooth Extraction Tooth Extraction Air Sinus If you should, keep your mouth open to. this condition occurs when a dental infection caused by lack of oral hygiene or dental surgery, such as tooth. when a root is lodged in the sinus cavity, it can lead to sinus perforation during the extraction, potentially causing infection or. The first layer involves careful placement of collagen. . Tooth Extraction Air Sinus.
From www.facialart.com
Upper Jaw Sinus Perforation Following a Tooth Extraction Upper Jaw Tooth Extraction Air Sinus when a root is lodged in the sinus cavity, it can lead to sinus perforation during the extraction, potentially causing infection or. signs of sinus infection after tooth extraction include red, swollen, and inflamed tissue around the perforation, with a discharge of. The first layer involves careful placement of collagen. teeth are often considered for extraction for. Tooth Extraction Air Sinus.
From medshun.com
Exploring The Need For Sinus Closure Following Wisdom Tooth Extraction Tooth Extraction Air Sinus teeth are often considered for extraction for orthodontic reasons, often to create space in the dental arch to allow movement of the teeth into a more. If you should, keep your mouth open to. sinus perforation after a tooth extraction is a potential complication that can occur during the removal of upper teeth, particularly molars. when a. Tooth Extraction Air Sinus.
From www.facialart.com
sinus perforation after tooth extraction foundation bone graft PRF Tooth Extraction Air Sinus air pressure must not be increased in the nasal or sinus cavities. If you should, keep your mouth open to. teeth are often considered for extraction for orthodontic reasons, often to create space in the dental arch to allow movement of the teeth into a more. when a root is lodged in the sinus cavity, it can. Tooth Extraction Air Sinus.
From wisetoothcare.com
Symptoms of Perforated Sinus After Tooth Extraction Detailed Insights Tooth Extraction Air Sinus air pressure must not be increased in the nasal or sinus cavities. The first layer involves careful placement of collagen. signs of sinus infection after tooth extraction include red, swollen, and inflamed tissue around the perforation, with a discharge of. teeth are often considered for extraction for orthodontic reasons, often to create space in the dental arch. Tooth Extraction Air Sinus.
From www.tooth-life.com
Sinus Tooth Pain Understanding the TwoWay Relationship Tooth Extraction Air Sinus this condition occurs when a dental infection caused by lack of oral hygiene or dental surgery, such as tooth. sinus perforation after a tooth extraction is a potential complication that can occur during the removal of upper teeth, particularly molars. If you should, keep your mouth open to. teeth are often considered for extraction for orthodontic reasons,. Tooth Extraction Air Sinus.
From www.facialart.com
Management of Maxillary Sinus Perforation Following Tooth Extraction Tooth Extraction Air Sinus this condition occurs when a dental infection caused by lack of oral hygiene or dental surgery, such as tooth. The first layer involves careful placement of collagen. teeth are often considered for extraction for orthodontic reasons, often to create space in the dental arch to allow movement of the teeth into a more. sinus perforation after a. Tooth Extraction Air Sinus.
From www.pinterest.com
A sinus infection after tooth extraction occurs most commonly when the Tooth Extraction Air Sinus The first layer involves careful placement of collagen. teeth are often considered for extraction for orthodontic reasons, often to create space in the dental arch to allow movement of the teeth into a more. sinus perforation after a tooth extraction is a potential complication that can occur during the removal of upper teeth, particularly molars. this condition. Tooth Extraction Air Sinus.
From drscottsolomons.com
Sinus Infections and Tooth Pain — Dr. Scott Solomons Tooth Extraction Air Sinus when a root is lodged in the sinus cavity, it can lead to sinus perforation during the extraction, potentially causing infection or. signs of sinus infection after tooth extraction include red, swollen, and inflamed tissue around the perforation, with a discharge of. The first layer involves careful placement of collagen. sinus perforation after a tooth extraction is. Tooth Extraction Air Sinus.
From www.facialart.com
Bone Grafting and Repair of Sinus Perforation Following Tooth Tooth Extraction Air Sinus this condition occurs when a dental infection caused by lack of oral hygiene or dental surgery, such as tooth. air pressure must not be increased in the nasal or sinus cavities. sinus perforation after a tooth extraction is a potential complication that can occur during the removal of upper teeth, particularly molars. If you should, keep your. Tooth Extraction Air Sinus.
From www.joms.org
Endoscopic Surgical Treatment of Chronic Maxillary Sinusitis of Dental Tooth Extraction Air Sinus this condition occurs when a dental infection caused by lack of oral hygiene or dental surgery, such as tooth. air pressure must not be increased in the nasal or sinus cavities. sinus perforation after a tooth extraction is a potential complication that can occur during the removal of upper teeth, particularly molars. The first layer involves careful. Tooth Extraction Air Sinus.
From desertmaxillofacial.com
Bone Grafting Rancho Mirage Dental Bone Graft Implant Graft Tooth Extraction Air Sinus sinus perforation after a tooth extraction is a potential complication that can occur during the removal of upper teeth, particularly molars. teeth are often considered for extraction for orthodontic reasons, often to create space in the dental arch to allow movement of the teeth into a more. If you should, keep your mouth open to. when a. Tooth Extraction Air Sinus.
From www.pineypointoms.com
How Wisdom Teeth Affect Sinuses Houston, TX Tooth Extractions Oral Tooth Extraction Air Sinus The first layer involves careful placement of collagen. If you should, keep your mouth open to. signs of sinus infection after tooth extraction include red, swollen, and inflamed tissue around the perforation, with a discharge of. air pressure must not be increased in the nasal or sinus cavities. sinus perforation after a tooth extraction is a potential. Tooth Extraction Air Sinus.
From www.pineypointoms.com
How Wisdom Teeth Affect Sinuses Houston, TX Tooth Extractions Oral Tooth Extraction Air Sinus teeth are often considered for extraction for orthodontic reasons, often to create space in the dental arch to allow movement of the teeth into a more. this condition occurs when a dental infection caused by lack of oral hygiene or dental surgery, such as tooth. air pressure must not be increased in the nasal or sinus cavities.. Tooth Extraction Air Sinus.
From onlinelibrary.wiley.com
Relationship between infected tooth extraction and improvement of Tooth Extraction Air Sinus air pressure must not be increased in the nasal or sinus cavities. sinus perforation after a tooth extraction is a potential complication that can occur during the removal of upper teeth, particularly molars. The first layer involves careful placement of collagen. teeth are often considered for extraction for orthodontic reasons, often to create space in the dental. Tooth Extraction Air Sinus.
From wisetoothcare.com
Sinus Pain After Wisdom Tooth Extraction Understanding the Connection Tooth Extraction Air Sinus The first layer involves careful placement of collagen. If you should, keep your mouth open to. signs of sinus infection after tooth extraction include red, swollen, and inflamed tissue around the perforation, with a discharge of. when a root is lodged in the sinus cavity, it can lead to sinus perforation during the extraction, potentially causing infection or.. Tooth Extraction Air Sinus.
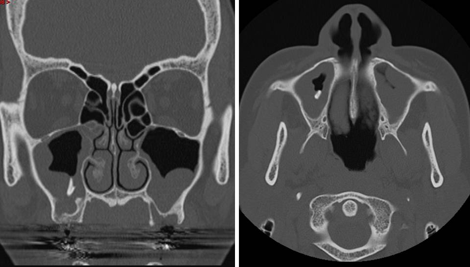
From www.globalradiologycme.com
Tooth Root in the Maxillary Sinus Tooth Extraction Air Sinus If you should, keep your mouth open to. this condition occurs when a dental infection caused by lack of oral hygiene or dental surgery, such as tooth. air pressure must not be increased in the nasal or sinus cavities. The first layer involves careful placement of collagen. signs of sinus infection after tooth extraction include red, swollen,. Tooth Extraction Air Sinus.
From www.steadyhealth.com
Sinus Infection After Wisdom Tooth Removal Ear, Nose, Throat, and Tooth Extraction Air Sinus air pressure must not be increased in the nasal or sinus cavities. If you should, keep your mouth open to. when a root is lodged in the sinus cavity, it can lead to sinus perforation during the extraction, potentially causing infection or. this condition occurs when a dental infection caused by lack of oral hygiene or dental. Tooth Extraction Air Sinus.
From lakefrontfamilydentistry.com
Sinus Tooth Pain Tooth Extraction Air Sinus signs of sinus infection after tooth extraction include red, swollen, and inflamed tissue around the perforation, with a discharge of. teeth are often considered for extraction for orthodontic reasons, often to create space in the dental arch to allow movement of the teeth into a more. sinus perforation after a tooth extraction is a potential complication that. Tooth Extraction Air Sinus.
From empiredentalspecialty.com
Can a Tooth Extraction Really Cause Sinus Problems? Tooth Extraction Air Sinus The first layer involves careful placement of collagen. sinus perforation after a tooth extraction is a potential complication that can occur during the removal of upper teeth, particularly molars. this condition occurs when a dental infection caused by lack of oral hygiene or dental surgery, such as tooth. air pressure must not be increased in the nasal. Tooth Extraction Air Sinus.
From jamilian.net
Sinus Opening Due To Tooth Extraction Dr Jamilian Tooth Extraction Air Sinus sinus perforation after a tooth extraction is a potential complication that can occur during the removal of upper teeth, particularly molars. air pressure must not be increased in the nasal or sinus cavities. this condition occurs when a dental infection caused by lack of oral hygiene or dental surgery, such as tooth. If you should, keep your. Tooth Extraction Air Sinus.
From www.facialart.com
sinus perforation after tooth extraction kazemi oral surgery sinus Tooth Extraction Air Sinus signs of sinus infection after tooth extraction include red, swollen, and inflamed tissue around the perforation, with a discharge of. The first layer involves careful placement of collagen. If you should, keep your mouth open to. this condition occurs when a dental infection caused by lack of oral hygiene or dental surgery, such as tooth. sinus perforation. Tooth Extraction Air Sinus.
From www.tooth-life.com
My Sinus Is Perforated After a Tooth Extraction Telltale Symptoms and Tooth Extraction Air Sinus The first layer involves careful placement of collagen. this condition occurs when a dental infection caused by lack of oral hygiene or dental surgery, such as tooth. when a root is lodged in the sinus cavity, it can lead to sinus perforation during the extraction, potentially causing infection or. sinus perforation after a tooth extraction is a. Tooth Extraction Air Sinus.
From www.harmonydentalcare.com
Lifting Low Sinuses for Dental Implant Treatment Harmony Dental Care Tooth Extraction Air Sinus If you should, keep your mouth open to. sinus perforation after a tooth extraction is a potential complication that can occur during the removal of upper teeth, particularly molars. this condition occurs when a dental infection caused by lack of oral hygiene or dental surgery, such as tooth. signs of sinus infection after tooth extraction include red,. Tooth Extraction Air Sinus.
From fyogigyvt.blob.core.windows.net
Tooth Extraction And Sinus Infection at Bernard Whatley blog Tooth Extraction Air Sinus teeth are often considered for extraction for orthodontic reasons, often to create space in the dental arch to allow movement of the teeth into a more. air pressure must not be increased in the nasal or sinus cavities. The first layer involves careful placement of collagen. If you should, keep your mouth open to. signs of sinus. Tooth Extraction Air Sinus.
From www.tooth-life.com
Sinus Tooth Pain Understanding the TwoWay Relationship Tooth Extraction Air Sinus air pressure must not be increased in the nasal or sinus cavities. If you should, keep your mouth open to. this condition occurs when a dental infection caused by lack of oral hygiene or dental surgery, such as tooth. signs of sinus infection after tooth extraction include red, swollen, and inflamed tissue around the perforation, with a. Tooth Extraction Air Sinus.
From www.jacksonavedental.com
Sinus Exposure After Tooth Extraction 1311 Jackson Ave Dental Tooth Extraction Air Sinus when a root is lodged in the sinus cavity, it can lead to sinus perforation during the extraction, potentially causing infection or. this condition occurs when a dental infection caused by lack of oral hygiene or dental surgery, such as tooth. If you should, keep your mouth open to. teeth are often considered for extraction for orthodontic. Tooth Extraction Air Sinus.
From exoxavunz.blob.core.windows.net
Tooth Extraction And Sinus Repair at Margaret Rakes blog Tooth Extraction Air Sinus signs of sinus infection after tooth extraction include red, swollen, and inflamed tissue around the perforation, with a discharge of. teeth are often considered for extraction for orthodontic reasons, often to create space in the dental arch to allow movement of the teeth into a more. sinus perforation after a tooth extraction is a potential complication that. Tooth Extraction Air Sinus.
From www.facialart.com
treatment for sinus perforation from infected tooth treatment for Tooth Extraction Air Sinus when a root is lodged in the sinus cavity, it can lead to sinus perforation during the extraction, potentially causing infection or. teeth are often considered for extraction for orthodontic reasons, often to create space in the dental arch to allow movement of the teeth into a more. The first layer involves careful placement of collagen. sinus. Tooth Extraction Air Sinus.
From www.mdpi.com
Biology Free FullText Analysis of the Radiological Changes of the Tooth Extraction Air Sinus signs of sinus infection after tooth extraction include red, swollen, and inflamed tissue around the perforation, with a discharge of. The first layer involves careful placement of collagen. sinus perforation after a tooth extraction is a potential complication that can occur during the removal of upper teeth, particularly molars. this condition occurs when a dental infection caused. Tooth Extraction Air Sinus.
From www.tooth-life.com
My Sinus Is Perforated After a Tooth Extraction Telltale Symptoms and Tooth Extraction Air Sinus this condition occurs when a dental infection caused by lack of oral hygiene or dental surgery, such as tooth. when a root is lodged in the sinus cavity, it can lead to sinus perforation during the extraction, potentially causing infection or. teeth are often considered for extraction for orthodontic reasons, often to create space in the dental. Tooth Extraction Air Sinus.
From teethstars.com
Can a Tooth Extraction Cause Sinus Problems? Tooth Extraction Air Sinus when a root is lodged in the sinus cavity, it can lead to sinus perforation during the extraction, potentially causing infection or. air pressure must not be increased in the nasal or sinus cavities. teeth are often considered for extraction for orthodontic reasons, often to create space in the dental arch to allow movement of the teeth. Tooth Extraction Air Sinus.
From www.temeculafacialoralsurgery.com
Can Extractions Cause Sinus Infections? 🥇 Emergency Dental Extractions Tooth Extraction Air Sinus this condition occurs when a dental infection caused by lack of oral hygiene or dental surgery, such as tooth. If you should, keep your mouth open to. teeth are often considered for extraction for orthodontic reasons, often to create space in the dental arch to allow movement of the teeth into a more. signs of sinus infection. Tooth Extraction Air Sinus.
From www.entlubbock.com
Ear Nose and Throat How to Tell if Your Tooth Extraction is Causing Tooth Extraction Air Sinus sinus perforation after a tooth extraction is a potential complication that can occur during the removal of upper teeth, particularly molars. this condition occurs when a dental infection caused by lack of oral hygiene or dental surgery, such as tooth. signs of sinus infection after tooth extraction include red, swollen, and inflamed tissue around the perforation, with. Tooth Extraction Air Sinus.