Abscess Abdomen . abdominal abscesses may form below the diaphragm, in the middle of the abdomen, in the pelvis, or behind the abdominal cavity. — an abdominal abscess is a pocket of pus located in the abdomen. — an abdominal abscess is when infected fluid (pus) builds up and forms a pocket (or abscess) in your abdomen. Abdominal abscesses can form near the inside of the abdominal wall, at the back of the abdomen, or around organs in. They are a common and serious. — an abdominal abscess is a pocket of infected fluid and pus located inside the belly (abdominal cavity).
from www.ctisus.com
They are a common and serious. Abdominal abscesses can form near the inside of the abdominal wall, at the back of the abdomen, or around organs in. — an abdominal abscess is a pocket of pus located in the abdomen. abdominal abscesses may form below the diaphragm, in the middle of the abdomen, in the pelvis, or behind the abdominal cavity. — an abdominal abscess is a pocket of infected fluid and pus located inside the belly (abdominal cavity). — an abdominal abscess is when infected fluid (pus) builds up and forms a pocket (or abscess) in your abdomen.
Abdominal Wall Abscess and Enterocutaneous Fistulae (ECF) Small Bowel
Abscess Abdomen Abdominal abscesses can form near the inside of the abdominal wall, at the back of the abdomen, or around organs in. They are a common and serious. — an abdominal abscess is when infected fluid (pus) builds up and forms a pocket (or abscess) in your abdomen. Abdominal abscesses can form near the inside of the abdominal wall, at the back of the abdomen, or around organs in. abdominal abscesses may form below the diaphragm, in the middle of the abdomen, in the pelvis, or behind the abdominal cavity. — an abdominal abscess is a pocket of pus located in the abdomen. — an abdominal abscess is a pocket of infected fluid and pus located inside the belly (abdominal cavity).
From www.gastrojournal.org
An Unusual Cause of Anterior Abdominal Wall Abscess Gastroenterology Abscess Abdomen abdominal abscesses may form below the diaphragm, in the middle of the abdomen, in the pelvis, or behind the abdominal cavity. — an abdominal abscess is a pocket of infected fluid and pus located inside the belly (abdominal cavity). Abdominal abscesses can form near the inside of the abdominal wall, at the back of the abdomen, or around. Abscess Abdomen.
From medizzy.com
Intraabdominal Abscess MEDizzy Abscess Abdomen — an abdominal abscess is a pocket of pus located in the abdomen. Abdominal abscesses can form near the inside of the abdominal wall, at the back of the abdomen, or around organs in. abdominal abscesses may form below the diaphragm, in the middle of the abdomen, in the pelvis, or behind the abdominal cavity. — an. Abscess Abdomen.
From www.researchgate.net
USG Showing abscess with central liquefication Fig 2 CT Abdomen with Abscess Abdomen — an abdominal abscess is a pocket of pus located in the abdomen. — an abdominal abscess is a pocket of infected fluid and pus located inside the belly (abdominal cavity). They are a common and serious. abdominal abscesses may form below the diaphragm, in the middle of the abdomen, in the pelvis, or behind the abdominal. Abscess Abdomen.
From www.researchgate.net
(a) abscess involving left anterior lower chest wall and upper abdomen Abscess Abdomen — an abdominal abscess is a pocket of infected fluid and pus located inside the belly (abdominal cavity). — an abdominal abscess is a pocket of pus located in the abdomen. — an abdominal abscess is when infected fluid (pus) builds up and forms a pocket (or abscess) in your abdomen. Abdominal abscesses can form near the. Abscess Abdomen.
From www.researchgate.net
Anterior abdominal wall abscess. a Bmode US shows a thickened terminal Abscess Abdomen They are a common and serious. — an abdominal abscess is a pocket of infected fluid and pus located inside the belly (abdominal cavity). Abdominal abscesses can form near the inside of the abdominal wall, at the back of the abdomen, or around organs in. abdominal abscesses may form below the diaphragm, in the middle of the abdomen,. Abscess Abdomen.
From www.youtube.com
Abdominal Abscesses Symptoms, diagnosis and treatment YouTube Abscess Abdomen — an abdominal abscess is a pocket of pus located in the abdomen. Abdominal abscesses can form near the inside of the abdominal wall, at the back of the abdomen, or around organs in. They are a common and serious. — an abdominal abscess is when infected fluid (pus) builds up and forms a pocket (or abscess) in. Abscess Abdomen.
From www.trialexhibitsinc.com
Abdominal Abscess TrialExhibits Inc. Abscess Abdomen They are a common and serious. abdominal abscesses may form below the diaphragm, in the middle of the abdomen, in the pelvis, or behind the abdominal cavity. — an abdominal abscess is a pocket of pus located in the abdomen. — an abdominal abscess is when infected fluid (pus) builds up and forms a pocket (or abscess). Abscess Abdomen.
From www.ctisus.com
Abdominal Wall Abscess and Enterocutaneous Fistulae (ECF) Small Bowel Abscess Abdomen — an abdominal abscess is a pocket of pus located in the abdomen. — an abdominal abscess is when infected fluid (pus) builds up and forms a pocket (or abscess) in your abdomen. abdominal abscesses may form below the diaphragm, in the middle of the abdomen, in the pelvis, or behind the abdominal cavity. They are a. Abscess Abdomen.
From www.ccjm.org
Iliopsoas abscess Cleveland Clinic Journal of Medicine Abscess Abdomen — an abdominal abscess is when infected fluid (pus) builds up and forms a pocket (or abscess) in your abdomen. They are a common and serious. abdominal abscesses may form below the diaphragm, in the middle of the abdomen, in the pelvis, or behind the abdominal cavity. — an abdominal abscess is a pocket of pus located. Abscess Abdomen.
From radiologykey.com
Abdominal Abscess Radiology Key Abscess Abdomen — an abdominal abscess is a pocket of infected fluid and pus located inside the belly (abdominal cavity). abdominal abscesses may form below the diaphragm, in the middle of the abdomen, in the pelvis, or behind the abdominal cavity. Abdominal abscesses can form near the inside of the abdominal wall, at the back of the abdomen, or around. Abscess Abdomen.
From www.researchgate.net
(PDF) Abdominal Wall Abscess Formation Two Years After Laparoscopic Abscess Abdomen Abdominal abscesses can form near the inside of the abdominal wall, at the back of the abdomen, or around organs in. — an abdominal abscess is when infected fluid (pus) builds up and forms a pocket (or abscess) in your abdomen. — an abdominal abscess is a pocket of pus located in the abdomen. abdominal abscesses may. Abscess Abdomen.
From mavink.com
Cutaneous Abscess Of Abdominal Wall Abscess Abdomen Abdominal abscesses can form near the inside of the abdominal wall, at the back of the abdomen, or around organs in. — an abdominal abscess is a pocket of pus located in the abdomen. They are a common and serious. abdominal abscesses may form below the diaphragm, in the middle of the abdomen, in the pelvis, or behind. Abscess Abdomen.
From www.researchgate.net
(a) Demonstrates an abdominal abscess on the right side of the abdomen Abscess Abdomen — an abdominal abscess is a pocket of infected fluid and pus located inside the belly (abdominal cavity). — an abdominal abscess is a pocket of pus located in the abdomen. — an abdominal abscess is when infected fluid (pus) builds up and forms a pocket (or abscess) in your abdomen. abdominal abscesses may form below. Abscess Abdomen.
From www.cureus.com
Cureus Rare Case of Primary Anterior Abdominal Wall Abscess Abscess Abdomen They are a common and serious. — an abdominal abscess is a pocket of infected fluid and pus located inside the belly (abdominal cavity). Abdominal abscesses can form near the inside of the abdominal wall, at the back of the abdomen, or around organs in. abdominal abscesses may form below the diaphragm, in the middle of the abdomen,. Abscess Abdomen.
From radiologykey.com
Abdominal Abscess Radiology Key Abscess Abdomen They are a common and serious. abdominal abscesses may form below the diaphragm, in the middle of the abdomen, in the pelvis, or behind the abdominal cavity. — an abdominal abscess is when infected fluid (pus) builds up and forms a pocket (or abscess) in your abdomen. — an abdominal abscess is a pocket of infected fluid. Abscess Abdomen.
From www.merckmanuals.com
IntraAbdominal Abscesses Gastrointestinal Disorders Merck Manuals Abscess Abdomen They are a common and serious. abdominal abscesses may form below the diaphragm, in the middle of the abdomen, in the pelvis, or behind the abdominal cavity. Abdominal abscesses can form near the inside of the abdominal wall, at the back of the abdomen, or around organs in. — an abdominal abscess is when infected fluid (pus) builds. Abscess Abdomen.
From idimaging.blogspot.com
Cases and Images in Infectious Disease Intra Abdominal Abscess Abscess Abdomen — an abdominal abscess is when infected fluid (pus) builds up and forms a pocket (or abscess) in your abdomen. Abdominal abscesses can form near the inside of the abdominal wall, at the back of the abdomen, or around organs in. — an abdominal abscess is a pocket of infected fluid and pus located inside the belly (abdominal. Abscess Abdomen.
From www.researchgate.net
Photograph of the abdominal wall abscess after surgical drainage Abscess Abdomen — an abdominal abscess is a pocket of pus located in the abdomen. — an abdominal abscess is a pocket of infected fluid and pus located inside the belly (abdominal cavity). Abdominal abscesses can form near the inside of the abdominal wall, at the back of the abdomen, or around organs in. abdominal abscesses may form below. Abscess Abdomen.
From www.sciencephoto.com
Abscess on the abdomen Stock Image C004/2390 Science Photo Library Abscess Abdomen — an abdominal abscess is when infected fluid (pus) builds up and forms a pocket (or abscess) in your abdomen. Abdominal abscesses can form near the inside of the abdominal wall, at the back of the abdomen, or around organs in. — an abdominal abscess is a pocket of pus located in the abdomen. They are a common. Abscess Abdomen.
From radiopaedia.org
Anterior abdominal wall abscess Image Abscess Abdomen — an abdominal abscess is a pocket of infected fluid and pus located inside the belly (abdominal cavity). abdominal abscesses may form below the diaphragm, in the middle of the abdomen, in the pelvis, or behind the abdominal cavity. Abdominal abscesses can form near the inside of the abdominal wall, at the back of the abdomen, or around. Abscess Abdomen.
From www.ctisus.com
Abdominal Wall Abscess Colon Case Studies CTisus CT Scanning Abscess Abdomen They are a common and serious. — an abdominal abscess is a pocket of pus located in the abdomen. — an abdominal abscess is when infected fluid (pus) builds up and forms a pocket (or abscess) in your abdomen. abdominal abscesses may form below the diaphragm, in the middle of the abdomen, in the pelvis, or behind. Abscess Abdomen.
From radiologyacrossborders.org
Abscess (IntraAbdominal) Abscess Abdomen — an abdominal abscess is when infected fluid (pus) builds up and forms a pocket (or abscess) in your abdomen. Abdominal abscesses can form near the inside of the abdominal wall, at the back of the abdomen, or around organs in. abdominal abscesses may form below the diaphragm, in the middle of the abdomen, in the pelvis, or. Abscess Abdomen.
From www.cureus.com
Cureus Rare Case of Primary Anterior Abdominal Wall Abscess Abscess Abdomen — an abdominal abscess is when infected fluid (pus) builds up and forms a pocket (or abscess) in your abdomen. — an abdominal abscess is a pocket of infected fluid and pus located inside the belly (abdominal cavity). — an abdominal abscess is a pocket of pus located in the abdomen. Abdominal abscesses can form near the. Abscess Abdomen.
From radiologykey.com
Abdominal Abscess Radiology Key Abscess Abdomen They are a common and serious. abdominal abscesses may form below the diaphragm, in the middle of the abdomen, in the pelvis, or behind the abdominal cavity. Abdominal abscesses can form near the inside of the abdominal wall, at the back of the abdomen, or around organs in. — an abdominal abscess is a pocket of infected fluid. Abscess Abdomen.
From radiologykey.com
Abdominal Abscess Radiology Key Abscess Abdomen — an abdominal abscess is when infected fluid (pus) builds up and forms a pocket (or abscess) in your abdomen. abdominal abscesses may form below the diaphragm, in the middle of the abdomen, in the pelvis, or behind the abdominal cavity. — an abdominal abscess is a pocket of pus located in the abdomen. — an. Abscess Abdomen.
From www.positivehealthwellness.com
Everything You Need to Know About Abdominal Abscess (Plus Treatment Abscess Abdomen — an abdominal abscess is a pocket of pus located in the abdomen. They are a common and serious. — an abdominal abscess is when infected fluid (pus) builds up and forms a pocket (or abscess) in your abdomen. — an abdominal abscess is a pocket of infected fluid and pus located inside the belly (abdominal cavity).. Abscess Abdomen.
From www.osmosis.org
Intraabdominal abscess Clinical sciences Osmosis Video Library Abscess Abdomen They are a common and serious. — an abdominal abscess is when infected fluid (pus) builds up and forms a pocket (or abscess) in your abdomen. — an abdominal abscess is a pocket of pus located in the abdomen. — an abdominal abscess is a pocket of infected fluid and pus located inside the belly (abdominal cavity).. Abscess Abdomen.
From www.ganeshdiagnostic.com
Abdominal Abscess Symptoms, Diagnosis, Causes & Treatment Abscess Abdomen They are a common and serious. abdominal abscesses may form below the diaphragm, in the middle of the abdomen, in the pelvis, or behind the abdominal cavity. — an abdominal abscess is when infected fluid (pus) builds up and forms a pocket (or abscess) in your abdomen. Abdominal abscesses can form near the inside of the abdominal wall,. Abscess Abdomen.
From www.sciencephoto.com
Abdominal abscess Stock Image C038/1498 Science Photo Library Abscess Abdomen — an abdominal abscess is when infected fluid (pus) builds up and forms a pocket (or abscess) in your abdomen. Abdominal abscesses can form near the inside of the abdominal wall, at the back of the abdomen, or around organs in. — an abdominal abscess is a pocket of infected fluid and pus located inside the belly (abdominal. Abscess Abdomen.
From www.researchgate.net
Photograph of the abdominal wall abscess after surgical drainage Abscess Abdomen Abdominal abscesses can form near the inside of the abdominal wall, at the back of the abdomen, or around organs in. abdominal abscesses may form below the diaphragm, in the middle of the abdomen, in the pelvis, or behind the abdominal cavity. — an abdominal abscess is when infected fluid (pus) builds up and forms a pocket (or. Abscess Abdomen.
From www.cureus.com
Cureus Rare Case of Primary Anterior Abdominal Wall Abscess Abscess Abdomen — an abdominal abscess is a pocket of infected fluid and pus located inside the belly (abdominal cavity). — an abdominal abscess is a pocket of pus located in the abdomen. abdominal abscesses may form below the diaphragm, in the middle of the abdomen, in the pelvis, or behind the abdominal cavity. Abdominal abscesses can form near. Abscess Abdomen.
From radiopaedia.org
Anterior abdominal wall abscess post LSCS Image Abscess Abdomen — an abdominal abscess is a pocket of pus located in the abdomen. — an abdominal abscess is when infected fluid (pus) builds up and forms a pocket (or abscess) in your abdomen. — an abdominal abscess is a pocket of infected fluid and pus located inside the belly (abdominal cavity). abdominal abscesses may form below. Abscess Abdomen.
From www.ctisus.com
Abdominal Wall Abscess and Enterocutaneous Fistulae (ECF) Small Bowel Abscess Abdomen Abdominal abscesses can form near the inside of the abdominal wall, at the back of the abdomen, or around organs in. — an abdominal abscess is a pocket of pus located in the abdomen. — an abdominal abscess is a pocket of infected fluid and pus located inside the belly (abdominal cavity). — an abdominal abscess is. Abscess Abdomen.
From www.clinicalradiologyonline.net
Ultrasound of the abdominal wall What lies beneath? Clinical Radiology Abscess Abdomen They are a common and serious. abdominal abscesses may form below the diaphragm, in the middle of the abdomen, in the pelvis, or behind the abdominal cavity. — an abdominal abscess is a pocket of pus located in the abdomen. — an abdominal abscess is a pocket of infected fluid and pus located inside the belly (abdominal. Abscess Abdomen.
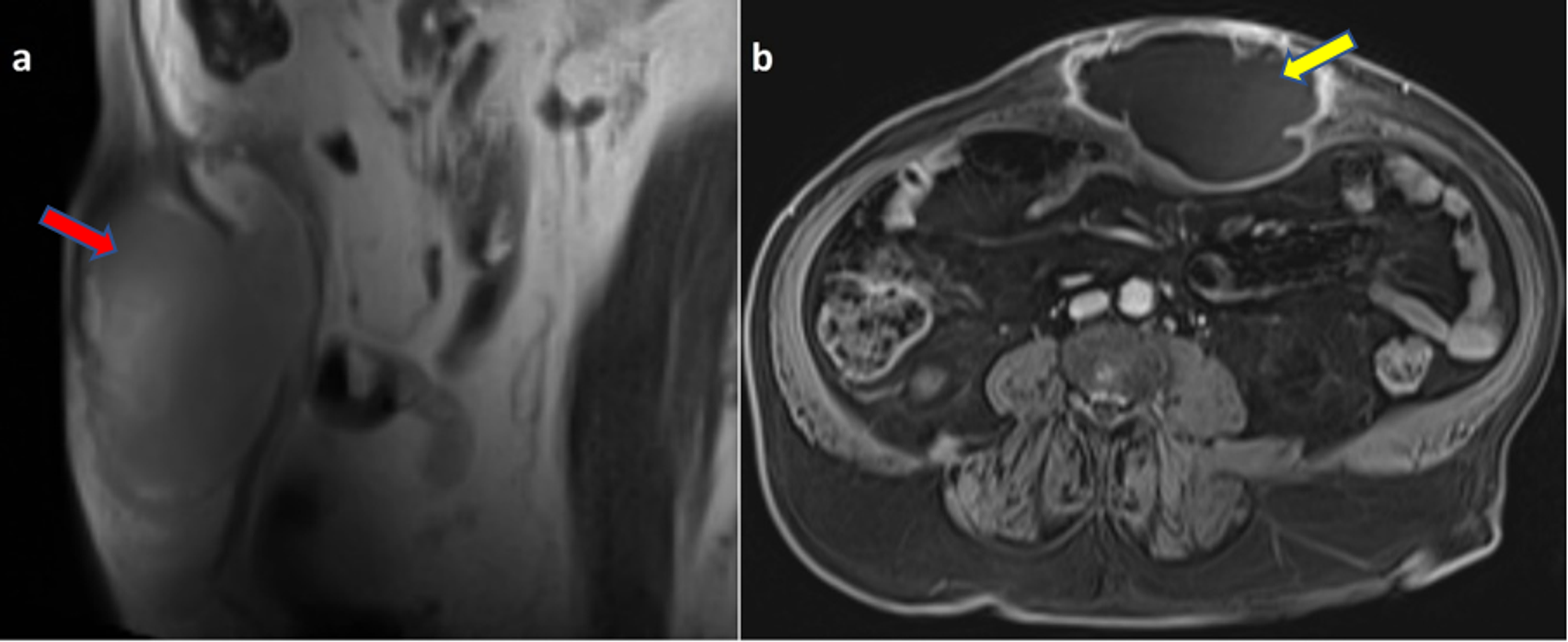
From mavink.com
Abdominal Abscess Mri Abscess Abdomen — an abdominal abscess is when infected fluid (pus) builds up and forms a pocket (or abscess) in your abdomen. Abdominal abscesses can form near the inside of the abdominal wall, at the back of the abdomen, or around organs in. They are a common and serious. abdominal abscesses may form below the diaphragm, in the middle of. Abscess Abdomen.