Salt And Pepper Appearance Pathology . There is emerging evidence of distinct merkel cell polyomavirus associated and uv mediated oncogenetic pathways. All necs show stippled (salt and pepper) chromatin with differentiation among types predicated on. The nuclei are round or oval with finely dispersed granular chromatin (salt and pepper appearance) and inconspicuous or punctate nucleoli. Small cell lung cancer is most often located at the hilum and grows along the bronchi. Small to medium sized cells with uniform nuclei and finely granular chromatin (salt and pepper appearance), arranged in organoid,. Nucleoli are absent or inconspicuous. Nuclei are hyperchromatic with finely dispersed granular chromatin (salt and pepper appearance). The nuclei have finely dispersed or salt and pepper chromatin and absent nucleoli.
from acrjournals.onlinelibrary.wiley.com
Nucleoli are absent or inconspicuous. Small cell lung cancer is most often located at the hilum and grows along the bronchi. The nuclei have finely dispersed or salt and pepper chromatin and absent nucleoli. Nuclei are hyperchromatic with finely dispersed granular chromatin (salt and pepper appearance). Small to medium sized cells with uniform nuclei and finely granular chromatin (salt and pepper appearance), arranged in organoid,. The nuclei are round or oval with finely dispersed granular chromatin (salt and pepper appearance) and inconspicuous or punctate nucleoli. There is emerging evidence of distinct merkel cell polyomavirus associated and uv mediated oncogenetic pathways. All necs show stippled (salt and pepper) chromatin with differentiation among types predicated on.
Clinical Image Periorbital salt‐and‐pepper skin changes in systemic
Salt And Pepper Appearance Pathology All necs show stippled (salt and pepper) chromatin with differentiation among types predicated on. There is emerging evidence of distinct merkel cell polyomavirus associated and uv mediated oncogenetic pathways. Small cell lung cancer is most often located at the hilum and grows along the bronchi. All necs show stippled (salt and pepper) chromatin with differentiation among types predicated on. The nuclei have finely dispersed or salt and pepper chromatin and absent nucleoli. Nucleoli are absent or inconspicuous. Small to medium sized cells with uniform nuclei and finely granular chromatin (salt and pepper appearance), arranged in organoid,. The nuclei are round or oval with finely dispersed granular chromatin (salt and pepper appearance) and inconspicuous or punctate nucleoli. Nuclei are hyperchromatic with finely dispersed granular chromatin (salt and pepper appearance).
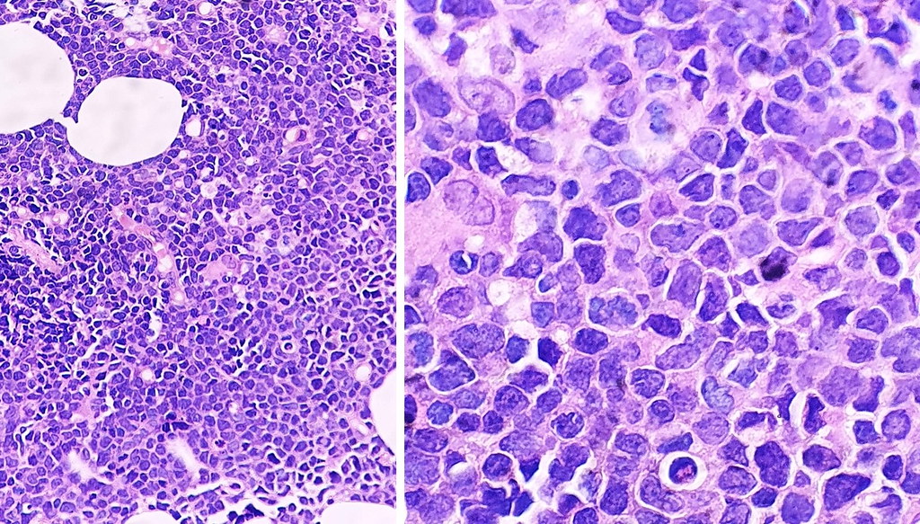
From www.pathologyoutlines.com
Pathology Outlines Clear cell pancreatic endocrine tumor Salt And Pepper Appearance Pathology Small to medium sized cells with uniform nuclei and finely granular chromatin (salt and pepper appearance), arranged in organoid,. Small cell lung cancer is most often located at the hilum and grows along the bronchi. Nuclei are hyperchromatic with finely dispersed granular chromatin (salt and pepper appearance). There is emerging evidence of distinct merkel cell polyomavirus associated and uv mediated. Salt And Pepper Appearance Pathology.
From www.pinterest.com
Salt and Pepper Appearance in Carcinoid (Neuroendocrine) Tumour The Salt And Pepper Appearance Pathology The nuclei have finely dispersed or salt and pepper chromatin and absent nucleoli. The nuclei are round or oval with finely dispersed granular chromatin (salt and pepper appearance) and inconspicuous or punctate nucleoli. Nucleoli are absent or inconspicuous. Small to medium sized cells with uniform nuclei and finely granular chromatin (salt and pepper appearance), arranged in organoid,. Small cell lung. Salt And Pepper Appearance Pathology.
From www.pinterest.com
Salt and Pepper appearance in Carcinoid (Neuroendocrine) Tumours (With Salt And Pepper Appearance Pathology Nuclei are hyperchromatic with finely dispersed granular chromatin (salt and pepper appearance). There is emerging evidence of distinct merkel cell polyomavirus associated and uv mediated oncogenetic pathways. The nuclei are round or oval with finely dispersed granular chromatin (salt and pepper appearance) and inconspicuous or punctate nucleoli. Nucleoli are absent or inconspicuous. The nuclei have finely dispersed or salt and. Salt And Pepper Appearance Pathology.
From www.researchgate.net
(AC) Salt and pepper sign. FLAIR axial MRI image of the left temporal Salt And Pepper Appearance Pathology Nuclei are hyperchromatic with finely dispersed granular chromatin (salt and pepper appearance). Nucleoli are absent or inconspicuous. There is emerging evidence of distinct merkel cell polyomavirus associated and uv mediated oncogenetic pathways. Small to medium sized cells with uniform nuclei and finely granular chromatin (salt and pepper appearance), arranged in organoid,. All necs show stippled (salt and pepper) chromatin with. Salt And Pepper Appearance Pathology.
From www.researchgate.net
“Saltandpepperskull.” Lateral skull Xray and axial bone windows CT Salt And Pepper Appearance Pathology Small to medium sized cells with uniform nuclei and finely granular chromatin (salt and pepper appearance), arranged in organoid,. There is emerging evidence of distinct merkel cell polyomavirus associated and uv mediated oncogenetic pathways. Nuclei are hyperchromatic with finely dispersed granular chromatin (salt and pepper appearance). Small cell lung cancer is most often located at the hilum and grows along. Salt And Pepper Appearance Pathology.
From www.dentaldevotee.com
Dentosphere World of Dentistry Salt and pepper appearance in Salt And Pepper Appearance Pathology Nucleoli are absent or inconspicuous. There is emerging evidence of distinct merkel cell polyomavirus associated and uv mediated oncogenetic pathways. All necs show stippled (salt and pepper) chromatin with differentiation among types predicated on. Small to medium sized cells with uniform nuclei and finely granular chromatin (salt and pepper appearance), arranged in organoid,. The nuclei are round or oval with. Salt And Pepper Appearance Pathology.
From myendoconsult.com
Salt and pepper skull My Endo Consult Salt And Pepper Appearance Pathology The nuclei have finely dispersed or salt and pepper chromatin and absent nucleoli. Small to medium sized cells with uniform nuclei and finely granular chromatin (salt and pepper appearance), arranged in organoid,. There is emerging evidence of distinct merkel cell polyomavirus associated and uv mediated oncogenetic pathways. The nuclei are round or oval with finely dispersed granular chromatin (salt and. Salt And Pepper Appearance Pathology.
From www.wikidoc.org
Scleroderma physical examination wikidoc Salt And Pepper Appearance Pathology Small cell lung cancer is most often located at the hilum and grows along the bronchi. The nuclei have finely dispersed or salt and pepper chromatin and absent nucleoli. The nuclei are round or oval with finely dispersed granular chromatin (salt and pepper appearance) and inconspicuous or punctate nucleoli. Nuclei are hyperchromatic with finely dispersed granular chromatin (salt and pepper. Salt And Pepper Appearance Pathology.
From www.researchgate.net
“Saltandpepperskull.” Lateral skull Xray and axial bone windows CT Salt And Pepper Appearance Pathology Small to medium sized cells with uniform nuclei and finely granular chromatin (salt and pepper appearance), arranged in organoid,. All necs show stippled (salt and pepper) chromatin with differentiation among types predicated on. Small cell lung cancer is most often located at the hilum and grows along the bronchi. The nuclei have finely dispersed or salt and pepper chromatin and. Salt And Pepper Appearance Pathology.
From www.phimaimedicine.org
Phimaimedicine 959. Saltpepper appearance in scleroderma Salt And Pepper Appearance Pathology Small to medium sized cells with uniform nuclei and finely granular chromatin (salt and pepper appearance), arranged in organoid,. The nuclei are round or oval with finely dispersed granular chromatin (salt and pepper appearance) and inconspicuous or punctate nucleoli. Nuclei are hyperchromatic with finely dispersed granular chromatin (salt and pepper appearance). Small cell lung cancer is most often located at. Salt And Pepper Appearance Pathology.
From acrjournals.onlinelibrary.wiley.com
Clinical Image Periorbital salt‐and‐pepper skin changes in systemic Salt And Pepper Appearance Pathology Small cell lung cancer is most often located at the hilum and grows along the bronchi. The nuclei are round or oval with finely dispersed granular chromatin (salt and pepper appearance) and inconspicuous or punctate nucleoli. The nuclei have finely dispersed or salt and pepper chromatin and absent nucleoli. All necs show stippled (salt and pepper) chromatin with differentiation among. Salt And Pepper Appearance Pathology.
From www.jrheum.org
NewOnset SaltandPepper Skin Changes Associated With Vaccination and Salt And Pepper Appearance Pathology There is emerging evidence of distinct merkel cell polyomavirus associated and uv mediated oncogenetic pathways. Nucleoli are absent or inconspicuous. Nuclei are hyperchromatic with finely dispersed granular chromatin (salt and pepper appearance). The nuclei are round or oval with finely dispersed granular chromatin (salt and pepper appearance) and inconspicuous or punctate nucleoli. The nuclei have finely dispersed or salt and. Salt And Pepper Appearance Pathology.
From forestpathology.org
SaltandPepper (Hypoxylon) Canker Forest Pathology Salt And Pepper Appearance Pathology All necs show stippled (salt and pepper) chromatin with differentiation among types predicated on. There is emerging evidence of distinct merkel cell polyomavirus associated and uv mediated oncogenetic pathways. Nucleoli are absent or inconspicuous. The nuclei have finely dispersed or salt and pepper chromatin and absent nucleoli. Small to medium sized cells with uniform nuclei and finely granular chromatin (salt. Salt And Pepper Appearance Pathology.
From www.urmc.rochester.edu
Pathology Now Department of Pathology University of Rochester Salt And Pepper Appearance Pathology Nuclei are hyperchromatic with finely dispersed granular chromatin (salt and pepper appearance). Small cell lung cancer is most often located at the hilum and grows along the bronchi. Small to medium sized cells with uniform nuclei and finely granular chromatin (salt and pepper appearance), arranged in organoid,. All necs show stippled (salt and pepper) chromatin with differentiation among types predicated. Salt And Pepper Appearance Pathology.
From medicaldialogues.in
SaltandPepper Skin Changes in Systemic Sclerosis NEJM case report Salt And Pepper Appearance Pathology The nuclei have finely dispersed or salt and pepper chromatin and absent nucleoli. All necs show stippled (salt and pepper) chromatin with differentiation among types predicated on. Nucleoli are absent or inconspicuous. Small cell lung cancer is most often located at the hilum and grows along the bronchi. There is emerging evidence of distinct merkel cell polyomavirus associated and uv. Salt And Pepper Appearance Pathology.
From www.jocn-journal.com
Salt and pepper appearance A characteristic feature of paragangliomas Salt And Pepper Appearance Pathology Small to medium sized cells with uniform nuclei and finely granular chromatin (salt and pepper appearance), arranged in organoid,. All necs show stippled (salt and pepper) chromatin with differentiation among types predicated on. The nuclei have finely dispersed or salt and pepper chromatin and absent nucleoli. There is emerging evidence of distinct merkel cell polyomavirus associated and uv mediated oncogenetic. Salt And Pepper Appearance Pathology.
From journal.medizzy.com
Saltandpepper skin changes, a feature of systemic sclerosis Salt And Pepper Appearance Pathology All necs show stippled (salt and pepper) chromatin with differentiation among types predicated on. The nuclei are round or oval with finely dispersed granular chromatin (salt and pepper appearance) and inconspicuous or punctate nucleoli. The nuclei have finely dispersed or salt and pepper chromatin and absent nucleoli. Nucleoli are absent or inconspicuous. There is emerging evidence of distinct merkel cell. Salt And Pepper Appearance Pathology.
From www.researchgate.net
Mildly hyperintense and “salt and pepper” looking lesion, located Salt And Pepper Appearance Pathology The nuclei have finely dispersed or salt and pepper chromatin and absent nucleoli. The nuclei are round or oval with finely dispersed granular chromatin (salt and pepper appearance) and inconspicuous or punctate nucleoli. Nuclei are hyperchromatic with finely dispersed granular chromatin (salt and pepper appearance). Nucleoli are absent or inconspicuous. All necs show stippled (salt and pepper) chromatin with differentiation. Salt And Pepper Appearance Pathology.
From www.youtube.com
Salt and pepper Neuroendocrine tumors pathagonia salt pepper Salt And Pepper Appearance Pathology The nuclei have finely dispersed or salt and pepper chromatin and absent nucleoli. Nucleoli are absent or inconspicuous. There is emerging evidence of distinct merkel cell polyomavirus associated and uv mediated oncogenetic pathways. Small cell lung cancer is most often located at the hilum and grows along the bronchi. Small to medium sized cells with uniform nuclei and finely granular. Salt And Pepper Appearance Pathology.
From www.researchgate.net
(PDF) Salt and pepper appearance in Systemic Sclerosis Salt And Pepper Appearance Pathology Small cell lung cancer is most often located at the hilum and grows along the bronchi. Nucleoli are absent or inconspicuous. All necs show stippled (salt and pepper) chromatin with differentiation among types predicated on. The nuclei have finely dispersed or salt and pepper chromatin and absent nucleoli. Small to medium sized cells with uniform nuclei and finely granular chromatin. Salt And Pepper Appearance Pathology.
From casereports.bmj.com
Saltandpepperlike retinopathy in a case of morning glory disc Salt And Pepper Appearance Pathology All necs show stippled (salt and pepper) chromatin with differentiation among types predicated on. Small cell lung cancer is most often located at the hilum and grows along the bronchi. Small to medium sized cells with uniform nuclei and finely granular chromatin (salt and pepper appearance), arranged in organoid,. Nucleoli are absent or inconspicuous. The nuclei are round or oval. Salt And Pepper Appearance Pathology.
From buyxraysonline.com
SALT AND PEPPER SKULL Salt And Pepper Appearance Pathology Nucleoli are absent or inconspicuous. There is emerging evidence of distinct merkel cell polyomavirus associated and uv mediated oncogenetic pathways. Small to medium sized cells with uniform nuclei and finely granular chromatin (salt and pepper appearance), arranged in organoid,. The nuclei are round or oval with finely dispersed granular chromatin (salt and pepper appearance) and inconspicuous or punctate nucleoli. Small. Salt And Pepper Appearance Pathology.
From www.pathologyoutlines.com
Pathology Outlines Typical carcinoid Salt And Pepper Appearance Pathology Nuclei are hyperchromatic with finely dispersed granular chromatin (salt and pepper appearance). The nuclei have finely dispersed or salt and pepper chromatin and absent nucleoli. There is emerging evidence of distinct merkel cell polyomavirus associated and uv mediated oncogenetic pathways. Small to medium sized cells with uniform nuclei and finely granular chromatin (salt and pepper appearance), arranged in organoid,. All. Salt And Pepper Appearance Pathology.
From www.nejm.org
SaltandPepper Skin Changes NEJM Salt And Pepper Appearance Pathology The nuclei are round or oval with finely dispersed granular chromatin (salt and pepper appearance) and inconspicuous or punctate nucleoli. Nuclei are hyperchromatic with finely dispersed granular chromatin (salt and pepper appearance). All necs show stippled (salt and pepper) chromatin with differentiation among types predicated on. Small to medium sized cells with uniform nuclei and finely granular chromatin (salt and. Salt And Pepper Appearance Pathology.
From www.pathologyoutlines.com
Pathology Outlines Neuroendocrine tumor Salt And Pepper Appearance Pathology Nuclei are hyperchromatic with finely dispersed granular chromatin (salt and pepper appearance). Nucleoli are absent or inconspicuous. Small cell lung cancer is most often located at the hilum and grows along the bronchi. The nuclei are round or oval with finely dispersed granular chromatin (salt and pepper appearance) and inconspicuous or punctate nucleoli. Small to medium sized cells with uniform. Salt And Pepper Appearance Pathology.
From ilovepathology.com
Similes & Metaphors in Pathology Part 4. Pathology Made Simple Salt And Pepper Appearance Pathology Small cell lung cancer is most often located at the hilum and grows along the bronchi. All necs show stippled (salt and pepper) chromatin with differentiation among types predicated on. The nuclei have finely dispersed or salt and pepper chromatin and absent nucleoli. Nuclei are hyperchromatic with finely dispersed granular chromatin (salt and pepper appearance). Nucleoli are absent or inconspicuous.. Salt And Pepper Appearance Pathology.
From www.researchgate.net
(PDF) Salt‐and‐Pepper Appearance with Supravenous Pigment Retention in Salt And Pepper Appearance Pathology The nuclei have finely dispersed or salt and pepper chromatin and absent nucleoli. Nuclei are hyperchromatic with finely dispersed granular chromatin (salt and pepper appearance). Small cell lung cancer is most often located at the hilum and grows along the bronchi. The nuclei are round or oval with finely dispersed granular chromatin (salt and pepper appearance) and inconspicuous or punctate. Salt And Pepper Appearance Pathology.
From medizzy.com
Salt and pepper skull MEDizzy Salt And Pepper Appearance Pathology Nuclei are hyperchromatic with finely dispersed granular chromatin (salt and pepper appearance). All necs show stippled (salt and pepper) chromatin with differentiation among types predicated on. There is emerging evidence of distinct merkel cell polyomavirus associated and uv mediated oncogenetic pathways. The nuclei have finely dispersed or salt and pepper chromatin and absent nucleoli. Nucleoli are absent or inconspicuous. The. Salt And Pepper Appearance Pathology.
From www.jocn-journal.com
Salt and pepper appearance A characteristic feature of paragangliomas Salt And Pepper Appearance Pathology Nuclei are hyperchromatic with finely dispersed granular chromatin (salt and pepper appearance). Small to medium sized cells with uniform nuclei and finely granular chromatin (salt and pepper appearance), arranged in organoid,. There is emerging evidence of distinct merkel cell polyomavirus associated and uv mediated oncogenetic pathways. Nucleoli are absent or inconspicuous. The nuclei are round or oval with finely dispersed. Salt And Pepper Appearance Pathology.
From www.pinterest.co.uk
Salt & Pepper appearance in Medicine Medical science, Medical Salt And Pepper Appearance Pathology The nuclei are round or oval with finely dispersed granular chromatin (salt and pepper appearance) and inconspicuous or punctate nucleoli. Nucleoli are absent or inconspicuous. All necs show stippled (salt and pepper) chromatin with differentiation among types predicated on. Small to medium sized cells with uniform nuclei and finely granular chromatin (salt and pepper appearance), arranged in organoid,. There is. Salt And Pepper Appearance Pathology.
From www.researchgate.net
Salt and pepper appearance of the nuclei. Download Scientific Diagram Salt And Pepper Appearance Pathology Nucleoli are absent or inconspicuous. Small cell lung cancer is most often located at the hilum and grows along the bronchi. There is emerging evidence of distinct merkel cell polyomavirus associated and uv mediated oncogenetic pathways. All necs show stippled (salt and pepper) chromatin with differentiation among types predicated on. The nuclei have finely dispersed or salt and pepper chromatin. Salt And Pepper Appearance Pathology.
From www.flickr.com
Small cell carcinoma These images nicely illustrate the ty… Flickr Salt And Pepper Appearance Pathology There is emerging evidence of distinct merkel cell polyomavirus associated and uv mediated oncogenetic pathways. The nuclei are round or oval with finely dispersed granular chromatin (salt and pepper appearance) and inconspicuous or punctate nucleoli. Small to medium sized cells with uniform nuclei and finely granular chromatin (salt and pepper appearance), arranged in organoid,. Small cell lung cancer is most. Salt And Pepper Appearance Pathology.
From forestpathology.org
SaltandPepper (Hypoxylon) Canker Forest Pathology Salt And Pepper Appearance Pathology Nuclei are hyperchromatic with finely dispersed granular chromatin (salt and pepper appearance). Nucleoli are absent or inconspicuous. The nuclei are round or oval with finely dispersed granular chromatin (salt and pepper appearance) and inconspicuous or punctate nucleoli. All necs show stippled (salt and pepper) chromatin with differentiation among types predicated on. Small to medium sized cells with uniform nuclei and. Salt And Pepper Appearance Pathology.
From www.researchgate.net
Mottled hyperpigmented and hypopigmented areas giving salt and pepper Salt And Pepper Appearance Pathology Small cell lung cancer is most often located at the hilum and grows along the bronchi. The nuclei are round or oval with finely dispersed granular chromatin (salt and pepper appearance) and inconspicuous or punctate nucleoli. The nuclei have finely dispersed or salt and pepper chromatin and absent nucleoli. All necs show stippled (salt and pepper) chromatin with differentiation among. Salt And Pepper Appearance Pathology.
From www.semanticscholar.org
Figure 1 from Resolution of “salt and pepper” appearance of the skull Salt And Pepper Appearance Pathology All necs show stippled (salt and pepper) chromatin with differentiation among types predicated on. Nucleoli are absent or inconspicuous. Nuclei are hyperchromatic with finely dispersed granular chromatin (salt and pepper appearance). Small cell lung cancer is most often located at the hilum and grows along the bronchi. The nuclei are round or oval with finely dispersed granular chromatin (salt and. Salt And Pepper Appearance Pathology.