What Does Medical Term Dish Mean . Diffuse idiopathic skeletal hyperostosis (dish) is a systemic condition characterized by characteristic ossification patterns that can occur in the spine and peripheral entheses. Diffuse idiopathic skeletal hyperostosis (dish) is a type of arthritis that affects tendons and ligaments, mainly around your spine. You may also get bone spurs,. Dish, also known as forestier disease, is a common disorder of unknown etiology characterized by enthesopathy of the spine and extremities, that usually presents with back. Diffuse idiopathic skeletal hyperostosis (dish) is a type of arthritis that causes your soft tissues — ligaments, tendons and joints — to stiffen and calcify. Diffuse idiopathic skeletal hyperostosis (dish) is a form of arthritis that involves the tendons and ligaments around the spine. Diffuse idiopathic skeletal hyperostosis (dish) describes a phenomenon characterized by a tendency toward.
from engdic.org
Diffuse idiopathic skeletal hyperostosis (dish) is a systemic condition characterized by characteristic ossification patterns that can occur in the spine and peripheral entheses. Diffuse idiopathic skeletal hyperostosis (dish) describes a phenomenon characterized by a tendency toward. Diffuse idiopathic skeletal hyperostosis (dish) is a type of arthritis that affects tendons and ligaments, mainly around your spine. Diffuse idiopathic skeletal hyperostosis (dish) is a form of arthritis that involves the tendons and ligaments around the spine. Dish, also known as forestier disease, is a common disorder of unknown etiology characterized by enthesopathy of the spine and extremities, that usually presents with back. You may also get bone spurs,. Diffuse idiopathic skeletal hyperostosis (dish) is a type of arthritis that causes your soft tissues — ligaments, tendons and joints — to stiffen and calcify.
List of Medical Abbreviations (A to Z) EngDic
What Does Medical Term Dish Mean Diffuse idiopathic skeletal hyperostosis (dish) is a type of arthritis that causes your soft tissues — ligaments, tendons and joints — to stiffen and calcify. Diffuse idiopathic skeletal hyperostosis (dish) is a type of arthritis that causes your soft tissues — ligaments, tendons and joints — to stiffen and calcify. Diffuse idiopathic skeletal hyperostosis (dish) is a form of arthritis that involves the tendons and ligaments around the spine. Diffuse idiopathic skeletal hyperostosis (dish) describes a phenomenon characterized by a tendency toward. Diffuse idiopathic skeletal hyperostosis (dish) is a systemic condition characterized by characteristic ossification patterns that can occur in the spine and peripheral entheses. You may also get bone spurs,. Diffuse idiopathic skeletal hyperostosis (dish) is a type of arthritis that affects tendons and ligaments, mainly around your spine. Dish, also known as forestier disease, is a common disorder of unknown etiology characterized by enthesopathy of the spine and extremities, that usually presents with back.
From www.orthobullets.com
DISH (Diffuse Idiopathic Skeletal Hyperostosis) Spine Orthobullets What Does Medical Term Dish Mean Diffuse idiopathic skeletal hyperostosis (dish) is a type of arthritis that causes your soft tissues — ligaments, tendons and joints — to stiffen and calcify. Diffuse idiopathic skeletal hyperostosis (dish) describes a phenomenon characterized by a tendency toward. Dish, also known as forestier disease, is a common disorder of unknown etiology characterized by enthesopathy of the spine and extremities, that. What Does Medical Term Dish Mean.
From loezphsit.blob.core.windows.net
Tissue Culture Dish Vs Petri Dish at Shelly Barksdale blog What Does Medical Term Dish Mean Dish, also known as forestier disease, is a common disorder of unknown etiology characterized by enthesopathy of the spine and extremities, that usually presents with back. Diffuse idiopathic skeletal hyperostosis (dish) is a systemic condition characterized by characteristic ossification patterns that can occur in the spine and peripheral entheses. Diffuse idiopathic skeletal hyperostosis (dish) is a type of arthritis that. What Does Medical Term Dish Mean.
From engdic.org
List of Medical Abbreviations (A to Z) EngDic What Does Medical Term Dish Mean Diffuse idiopathic skeletal hyperostosis (dish) is a type of arthritis that affects tendons and ligaments, mainly around your spine. Diffuse idiopathic skeletal hyperostosis (dish) describes a phenomenon characterized by a tendency toward. Diffuse idiopathic skeletal hyperostosis (dish) is a form of arthritis that involves the tendons and ligaments around the spine. Diffuse idiopathic skeletal hyperostosis (dish) is a type of. What Does Medical Term Dish Mean.
From www.youtube.com
DISH Meaning and Pronunciation YouTube What Does Medical Term Dish Mean Diffuse idiopathic skeletal hyperostosis (dish) is a form of arthritis that involves the tendons and ligaments around the spine. You may also get bone spurs,. Diffuse idiopathic skeletal hyperostosis (dish) is a type of arthritis that causes your soft tissues — ligaments, tendons and joints — to stiffen and calcify. Diffuse idiopathic skeletal hyperostosis (dish) is a systemic condition characterized. What Does Medical Term Dish Mean.
From www.ezmedlearning.com
Medical Terminology Prefix List, Nursing Dictionary, Course Glossary What Does Medical Term Dish Mean Diffuse idiopathic skeletal hyperostosis (dish) is a form of arthritis that involves the tendons and ligaments around the spine. Diffuse idiopathic skeletal hyperostosis (dish) describes a phenomenon characterized by a tendency toward. You may also get bone spurs,. Dish, also known as forestier disease, is a common disorder of unknown etiology characterized by enthesopathy of the spine and extremities, that. What Does Medical Term Dish Mean.
From honsungmed.en.made-in-china.com
Medical Laboratory Consumable Sterile Culture and Tissue Dishes Petri What Does Medical Term Dish Mean Diffuse idiopathic skeletal hyperostosis (dish) is a type of arthritis that affects tendons and ligaments, mainly around your spine. Dish, also known as forestier disease, is a common disorder of unknown etiology characterized by enthesopathy of the spine and extremities, that usually presents with back. Diffuse idiopathic skeletal hyperostosis (dish) describes a phenomenon characterized by a tendency toward. Diffuse idiopathic. What Does Medical Term Dish Mean.
From www.ezmedlearning.com
Medical Terminology Prefix List, Nursing Dictionary, Course Glossary What Does Medical Term Dish Mean Dish, also known as forestier disease, is a common disorder of unknown etiology characterized by enthesopathy of the spine and extremities, that usually presents with back. Diffuse idiopathic skeletal hyperostosis (dish) is a form of arthritis that involves the tendons and ligaments around the spine. Diffuse idiopathic skeletal hyperostosis (dish) is a type of arthritis that causes your soft tissues. What Does Medical Term Dish Mean.
From www.teachoo.com
[Food Where Does It Come From?] What is Dish? Class 6 Teachoo What Does Medical Term Dish Mean Dish, also known as forestier disease, is a common disorder of unknown etiology characterized by enthesopathy of the spine and extremities, that usually presents with back. Diffuse idiopathic skeletal hyperostosis (dish) is a type of arthritis that affects tendons and ligaments, mainly around your spine. You may also get bone spurs,. Diffuse idiopathic skeletal hyperostosis (dish) is a systemic condition. What Does Medical Term Dish Mean.
From www.sydneyprops.com.au
Medical Kidney Dish What Does Medical Term Dish Mean Diffuse idiopathic skeletal hyperostosis (dish) describes a phenomenon characterized by a tendency toward. Diffuse idiopathic skeletal hyperostosis (dish) is a type of arthritis that affects tendons and ligaments, mainly around your spine. Diffuse idiopathic skeletal hyperostosis (dish) is a type of arthritis that causes your soft tissues — ligaments, tendons and joints — to stiffen and calcify. Dish, also known. What Does Medical Term Dish Mean.
From www.ezmedlearning.com
Medical Terminology Prefix List, Nursing Dictionary, Course Glossary What Does Medical Term Dish Mean Diffuse idiopathic skeletal hyperostosis (dish) describes a phenomenon characterized by a tendency toward. You may also get bone spurs,. Diffuse idiopathic skeletal hyperostosis (dish) is a type of arthritis that affects tendons and ligaments, mainly around your spine. Diffuse idiopathic skeletal hyperostosis (dish) is a systemic condition characterized by characteristic ossification patterns that can occur in the spine and peripheral. What Does Medical Term Dish Mean.
From osmunited.com
Medical Terminology List Of Singular And Plural Rules What Does Medical Term Dish Mean You may also get bone spurs,. Diffuse idiopathic skeletal hyperostosis (dish) is a form of arthritis that involves the tendons and ligaments around the spine. Diffuse idiopathic skeletal hyperostosis (dish) is a systemic condition characterized by characteristic ossification patterns that can occur in the spine and peripheral entheses. Diffuse idiopathic skeletal hyperostosis (dish) is a type of arthritis that affects. What Does Medical Term Dish Mean.
From www.freepik.com
Premium Vector Petri dish realistic transparent dishes for lab What Does Medical Term Dish Mean Diffuse idiopathic skeletal hyperostosis (dish) describes a phenomenon characterized by a tendency toward. Diffuse idiopathic skeletal hyperostosis (dish) is a type of arthritis that causes your soft tissues — ligaments, tendons and joints — to stiffen and calcify. Dish, also known as forestier disease, is a common disorder of unknown etiology characterized by enthesopathy of the spine and extremities, that. What Does Medical Term Dish Mean.
From www.youtube.com
What does dish mean? YouTube What Does Medical Term Dish Mean You may also get bone spurs,. Diffuse idiopathic skeletal hyperostosis (dish) is a type of arthritis that affects tendons and ligaments, mainly around your spine. Diffuse idiopathic skeletal hyperostosis (dish) is a systemic condition characterized by characteristic ossification patterns that can occur in the spine and peripheral entheses. Dish, also known as forestier disease, is a common disorder of unknown. What Does Medical Term Dish Mean.
From www.ezmedlearning.com
Medical Terminology Prefix List, Nursing Dictionary, Course Glossary What Does Medical Term Dish Mean You may also get bone spurs,. Diffuse idiopathic skeletal hyperostosis (dish) describes a phenomenon characterized by a tendency toward. Dish, also known as forestier disease, is a common disorder of unknown etiology characterized by enthesopathy of the spine and extremities, that usually presents with back. Diffuse idiopathic skeletal hyperostosis (dish) is a type of arthritis that causes your soft tissues. What Does Medical Term Dish Mean.
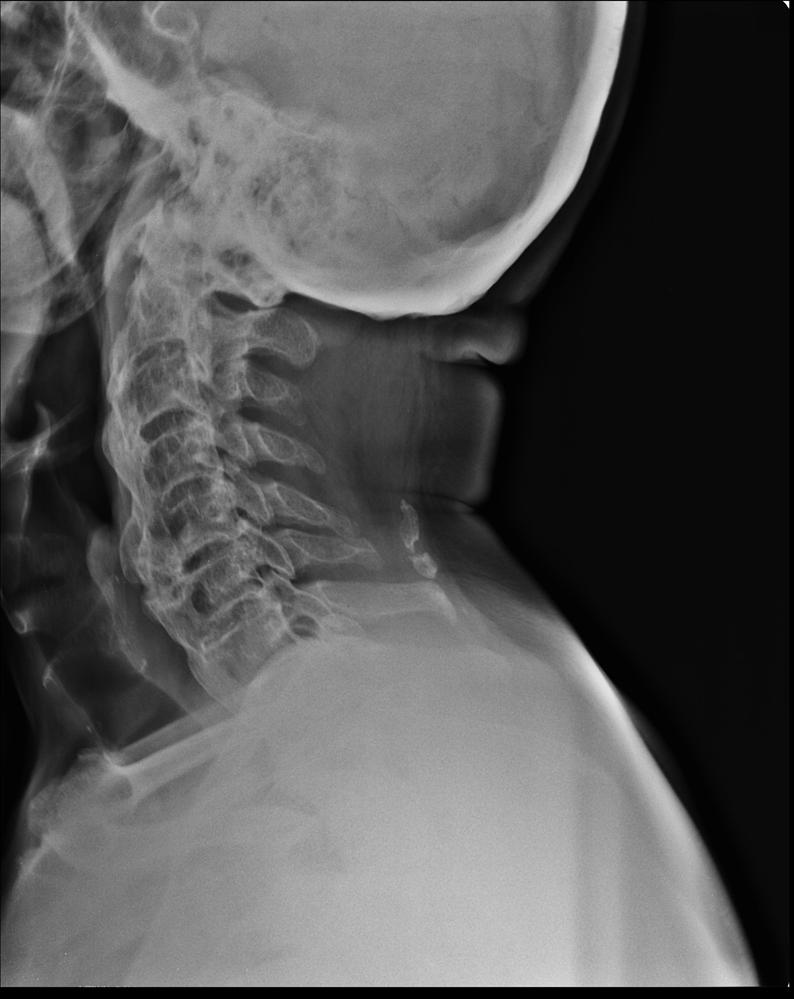
From www.thrivedc.org
C spine lat What Does Medical Term Dish Mean Diffuse idiopathic skeletal hyperostosis (dish) describes a phenomenon characterized by a tendency toward. Diffuse idiopathic skeletal hyperostosis (dish) is a form of arthritis that involves the tendons and ligaments around the spine. Dish, also known as forestier disease, is a common disorder of unknown etiology characterized by enthesopathy of the spine and extremities, that usually presents with back. Diffuse idiopathic. What Does Medical Term Dish Mean.
From www.pinterest.com
Medical Abbreviations and Symbols An Objectoriented Taxonomy of What Does Medical Term Dish Mean Diffuse idiopathic skeletal hyperostosis (dish) is a type of arthritis that affects tendons and ligaments, mainly around your spine. Dish, also known as forestier disease, is a common disorder of unknown etiology characterized by enthesopathy of the spine and extremities, that usually presents with back. Diffuse idiopathic skeletal hyperostosis (dish) is a type of arthritis that causes your soft tissues. What Does Medical Term Dish Mean.
From shopee.com.my
(MDA Approved) KIDNEY DISH MEDICAL GRADE AUTOCLAVABLE Size 6",8",10",12 What Does Medical Term Dish Mean Diffuse idiopathic skeletal hyperostosis (dish) is a type of arthritis that causes your soft tissues — ligaments, tendons and joints — to stiffen and calcify. Diffuse idiopathic skeletal hyperostosis (dish) is a systemic condition characterized by characteristic ossification patterns that can occur in the spine and peripheral entheses. Diffuse idiopathic skeletal hyperostosis (dish) is a type of arthritis that affects. What Does Medical Term Dish Mean.
From www.ezmedlearning.com
List of Common Medical Abbreviations, Acronyms, Terms Nursing, NCLEX What Does Medical Term Dish Mean Diffuse idiopathic skeletal hyperostosis (dish) is a type of arthritis that causes your soft tissues — ligaments, tendons and joints — to stiffen and calcify. Diffuse idiopathic skeletal hyperostosis (dish) describes a phenomenon characterized by a tendency toward. You may also get bone spurs,. Diffuse idiopathic skeletal hyperostosis (dish) is a type of arthritis that affects tendons and ligaments, mainly. What Does Medical Term Dish Mean.
From www.dreamstime.com
Yellow Bacteria on a Petri Dish in the Hand of a Scientist on the What Does Medical Term Dish Mean Diffuse idiopathic skeletal hyperostosis (dish) describes a phenomenon characterized by a tendency toward. You may also get bone spurs,. Dish, also known as forestier disease, is a common disorder of unknown etiology characterized by enthesopathy of the spine and extremities, that usually presents with back. Diffuse idiopathic skeletal hyperostosis (dish) is a type of arthritis that affects tendons and ligaments,. What Does Medical Term Dish Mean.
From basicmedicalkey.com
OFTEN USED PHARMACY AND MEDICAL ABBREVIATIONS Basicmedical Key What Does Medical Term Dish Mean Diffuse idiopathic skeletal hyperostosis (dish) is a systemic condition characterized by characteristic ossification patterns that can occur in the spine and peripheral entheses. Diffuse idiopathic skeletal hyperostosis (dish) is a form of arthritis that involves the tendons and ligaments around the spine. Diffuse idiopathic skeletal hyperostosis (dish) describes a phenomenon characterized by a tendency toward. Diffuse idiopathic skeletal hyperostosis (dish). What Does Medical Term Dish Mean.
From www.sydneyprops.com.au
Medical Kidney Dish What Does Medical Term Dish Mean Diffuse idiopathic skeletal hyperostosis (dish) is a type of arthritis that causes your soft tissues — ligaments, tendons and joints — to stiffen and calcify. Diffuse idiopathic skeletal hyperostosis (dish) is a form of arthritis that involves the tendons and ligaments around the spine. Diffuse idiopathic skeletal hyperostosis (dish) is a type of arthritis that affects tendons and ligaments, mainly. What Does Medical Term Dish Mean.
From www.researchgate.net
Classification of the dishes according to food and dish preparation What Does Medical Term Dish Mean Diffuse idiopathic skeletal hyperostosis (dish) is a form of arthritis that involves the tendons and ligaments around the spine. Diffuse idiopathic skeletal hyperostosis (dish) is a type of arthritis that causes your soft tissues — ligaments, tendons and joints — to stiffen and calcify. You may also get bone spurs,. Diffuse idiopathic skeletal hyperostosis (dish) is a type of arthritis. What Does Medical Term Dish Mean.
From www.cell.com
Clinical Trials in a Dish Trends in Pharmacological Sciences What Does Medical Term Dish Mean Diffuse idiopathic skeletal hyperostosis (dish) is a form of arthritis that involves the tendons and ligaments around the spine. Diffuse idiopathic skeletal hyperostosis (dish) describes a phenomenon characterized by a tendency toward. Diffuse idiopathic skeletal hyperostosis (dish) is a systemic condition characterized by characteristic ossification patterns that can occur in the spine and peripheral entheses. Dish, also known as forestier. What Does Medical Term Dish Mean.
From www.ezmedlearning.com
Medical Suffixes Made Easy List, Meanings, Example Terminology, Quiz What Does Medical Term Dish Mean Diffuse idiopathic skeletal hyperostosis (dish) is a form of arthritis that involves the tendons and ligaments around the spine. You may also get bone spurs,. Dish, also known as forestier disease, is a common disorder of unknown etiology characterized by enthesopathy of the spine and extremities, that usually presents with back. Diffuse idiopathic skeletal hyperostosis (dish) is a type of. What Does Medical Term Dish Mean.
From www.learningradiology.com
LearningRadiology Diffuse, Idiopathic, Skeletal, Hyperostosis, DISH What Does Medical Term Dish Mean Dish, also known as forestier disease, is a common disorder of unknown etiology characterized by enthesopathy of the spine and extremities, that usually presents with back. Diffuse idiopathic skeletal hyperostosis (dish) is a type of arthritis that affects tendons and ligaments, mainly around your spine. Diffuse idiopathic skeletal hyperostosis (dish) is a form of arthritis that involves the tendons and. What Does Medical Term Dish Mean.
From 7esl.com
Common Medical Abbreviations You Should Know • 7ESL What Does Medical Term Dish Mean Diffuse idiopathic skeletal hyperostosis (dish) describes a phenomenon characterized by a tendency toward. Dish, also known as forestier disease, is a common disorder of unknown etiology characterized by enthesopathy of the spine and extremities, that usually presents with back. Diffuse idiopathic skeletal hyperostosis (dish) is a type of arthritis that causes your soft tissues — ligaments, tendons and joints —. What Does Medical Term Dish Mean.
From medicalconditionsoboy.blogspot.com
Medical Conditions Dish Medical Condition What Does Medical Term Dish Mean Diffuse idiopathic skeletal hyperostosis (dish) is a type of arthritis that affects tendons and ligaments, mainly around your spine. Diffuse idiopathic skeletal hyperostosis (dish) describes a phenomenon characterized by a tendency toward. Diffuse idiopathic skeletal hyperostosis (dish) is a type of arthritis that causes your soft tissues — ligaments, tendons and joints — to stiffen and calcify. Diffuse idiopathic skeletal. What Does Medical Term Dish Mean.
From fluentslang.com
What Does Dish Mean? Meaning, Uses and More FluentSlang What Does Medical Term Dish Mean You may also get bone spurs,. Diffuse idiopathic skeletal hyperostosis (dish) is a form of arthritis that involves the tendons and ligaments around the spine. Diffuse idiopathic skeletal hyperostosis (dish) describes a phenomenon characterized by a tendency toward. Diffuse idiopathic skeletal hyperostosis (dish) is a type of arthritis that affects tendons and ligaments, mainly around your spine. Diffuse idiopathic skeletal. What Does Medical Term Dish Mean.
From www.alamy.com
A stainless steel kidney dish is a bowl used in medical and surgical What Does Medical Term Dish Mean You may also get bone spurs,. Diffuse idiopathic skeletal hyperostosis (dish) is a type of arthritis that causes your soft tissues — ligaments, tendons and joints — to stiffen and calcify. Dish, also known as forestier disease, is a common disorder of unknown etiology characterized by enthesopathy of the spine and extremities, that usually presents with back. Diffuse idiopathic skeletal. What Does Medical Term Dish Mean.
From classdbgregg.z21.web.core.windows.net
Medical Terminology 1 And 2 What Does Medical Term Dish Mean Dish, also known as forestier disease, is a common disorder of unknown etiology characterized by enthesopathy of the spine and extremities, that usually presents with back. Diffuse idiopathic skeletal hyperostosis (dish) describes a phenomenon characterized by a tendency toward. Diffuse idiopathic skeletal hyperostosis (dish) is a type of arthritis that affects tendons and ligaments, mainly around your spine. Diffuse idiopathic. What Does Medical Term Dish Mean.
From www.youtube.com
DISH Medical Definition and Pronunciation YouTube What Does Medical Term Dish Mean Diffuse idiopathic skeletal hyperostosis (dish) is a systemic condition characterized by characteristic ossification patterns that can occur in the spine and peripheral entheses. Dish, also known as forestier disease, is a common disorder of unknown etiology characterized by enthesopathy of the spine and extremities, that usually presents with back. Diffuse idiopathic skeletal hyperostosis (dish) is a form of arthritis that. What Does Medical Term Dish Mean.
From foodmedicaleponyms.blogspot.com
Food related medical terms Dishface deformity What Does Medical Term Dish Mean You may also get bone spurs,. Diffuse idiopathic skeletal hyperostosis (dish) is a form of arthritis that involves the tendons and ligaments around the spine. Dish, also known as forestier disease, is a common disorder of unknown etiology characterized by enthesopathy of the spine and extremities, that usually presents with back. Diffuse idiopathic skeletal hyperostosis (dish) is a systemic condition. What Does Medical Term Dish Mean.
From dictionary.langeek.co
Definition & Meaning of "Serving dish" LanGeek What Does Medical Term Dish Mean You may also get bone spurs,. Diffuse idiopathic skeletal hyperostosis (dish) describes a phenomenon characterized by a tendency toward. Dish, also known as forestier disease, is a common disorder of unknown etiology characterized by enthesopathy of the spine and extremities, that usually presents with back. Diffuse idiopathic skeletal hyperostosis (dish) is a type of arthritis that causes your soft tissues. What Does Medical Term Dish Mean.
From www.bbc.co.uk
Health Explained How to make stem cells BBC News What Does Medical Term Dish Mean Diffuse idiopathic skeletal hyperostosis (dish) is a systemic condition characterized by characteristic ossification patterns that can occur in the spine and peripheral entheses. Diffuse idiopathic skeletal hyperostosis (dish) is a form of arthritis that involves the tendons and ligaments around the spine. Diffuse idiopathic skeletal hyperostosis (dish) is a type of arthritis that causes your soft tissues — ligaments, tendons. What Does Medical Term Dish Mean.
From kijanimed.com
Kijani Medical LimitedKidney dish Kijani Medical Limited What Does Medical Term Dish Mean Dish, also known as forestier disease, is a common disorder of unknown etiology characterized by enthesopathy of the spine and extremities, that usually presents with back. You may also get bone spurs,. Diffuse idiopathic skeletal hyperostosis (dish) is a type of arthritis that affects tendons and ligaments, mainly around your spine. Diffuse idiopathic skeletal hyperostosis (dish) describes a phenomenon characterized. What Does Medical Term Dish Mean.