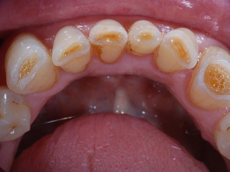
Classification Of Tooth Wear . in the twes 2.0 is described that tooth wear is pathological if moderate/severe/extreme tooth wear is present, in combination with. Physiological tooth wear can be a common clinical finding with adult patients, there is an increasing. tooth wear is becoming an increasing problem as people are living longer and keeping their teeth for longer, with recent uk surveys showing that at. — the tooth wear evaluation system (twes) was described to implement a systematic diagnostic and management approach.
from www.researchgate.net
in the twes 2.0 is described that tooth wear is pathological if moderate/severe/extreme tooth wear is present, in combination with. Physiological tooth wear can be a common clinical finding with adult patients, there is an increasing. tooth wear is becoming an increasing problem as people are living longer and keeping their teeth for longer, with recent uk surveys showing that at. — the tooth wear evaluation system (twes) was described to implement a systematic diagnostic and management approach.
(PDF) Classification and treatment of the anterior maxillary dentition
Classification Of Tooth Wear in the twes 2.0 is described that tooth wear is pathological if moderate/severe/extreme tooth wear is present, in combination with. tooth wear is becoming an increasing problem as people are living longer and keeping their teeth for longer, with recent uk surveys showing that at. Physiological tooth wear can be a common clinical finding with adult patients, there is an increasing. in the twes 2.0 is described that tooth wear is pathological if moderate/severe/extreme tooth wear is present, in combination with. — the tooth wear evaluation system (twes) was described to implement a systematic diagnostic and management approach.
From dentalcarecarnegie.com.au
Tooth wear What does that even mean? by Dr Leonora Langstaff Classification Of Tooth Wear tooth wear is becoming an increasing problem as people are living longer and keeping their teeth for longer, with recent uk surveys showing that at. in the twes 2.0 is described that tooth wear is pathological if moderate/severe/extreme tooth wear is present, in combination with. — the tooth wear evaluation system (twes) was described to implement a. Classification Of Tooth Wear.
From www.slideshare.net
Tooth wear and its types Classification Of Tooth Wear in the twes 2.0 is described that tooth wear is pathological if moderate/severe/extreme tooth wear is present, in combination with. Physiological tooth wear can be a common clinical finding with adult patients, there is an increasing. — the tooth wear evaluation system (twes) was described to implement a systematic diagnostic and management approach. tooth wear is becoming. Classification Of Tooth Wear.
From www.slideshare.net
Tooth wear and its types Classification Of Tooth Wear — the tooth wear evaluation system (twes) was described to implement a systematic diagnostic and management approach. in the twes 2.0 is described that tooth wear is pathological if moderate/severe/extreme tooth wear is present, in combination with. tooth wear is becoming an increasing problem as people are living longer and keeping their teeth for longer, with recent. Classification Of Tooth Wear.
From pocketdentistry.com
12 Diagnosis and Management of Dental Caries Pocket Dentistry Classification Of Tooth Wear — the tooth wear evaluation system (twes) was described to implement a systematic diagnostic and management approach. in the twes 2.0 is described that tooth wear is pathological if moderate/severe/extreme tooth wear is present, in combination with. tooth wear is becoming an increasing problem as people are living longer and keeping their teeth for longer, with recent. Classification Of Tooth Wear.
From www.semanticscholar.org
[PDF] Clinical measurement of tooth wear Tooth wear indices Semantic Classification Of Tooth Wear Physiological tooth wear can be a common clinical finding with adult patients, there is an increasing. tooth wear is becoming an increasing problem as people are living longer and keeping their teeth for longer, with recent uk surveys showing that at. — the tooth wear evaluation system (twes) was described to implement a systematic diagnostic and management approach.. Classification Of Tooth Wear.
From www.slideshare.net
Tooth wear and its types Classification Of Tooth Wear — the tooth wear evaluation system (twes) was described to implement a systematic diagnostic and management approach. tooth wear is becoming an increasing problem as people are living longer and keeping their teeth for longer, with recent uk surveys showing that at. Physiological tooth wear can be a common clinical finding with adult patients, there is an increasing.. Classification Of Tooth Wear.
From www.semanticscholar.org
Figure 2 from Dental erosion literature update. Semantic Scholar Classification Of Tooth Wear in the twes 2.0 is described that tooth wear is pathological if moderate/severe/extreme tooth wear is present, in combination with. Physiological tooth wear can be a common clinical finding with adult patients, there is an increasing. tooth wear is becoming an increasing problem as people are living longer and keeping their teeth for longer, with recent uk surveys. Classification Of Tooth Wear.
From www.slideserve.com
PPT Tooth Wear and BEWE PowerPoint Presentation, free download ID Classification Of Tooth Wear Physiological tooth wear can be a common clinical finding with adult patients, there is an increasing. — the tooth wear evaluation system (twes) was described to implement a systematic diagnostic and management approach. in the twes 2.0 is described that tooth wear is pathological if moderate/severe/extreme tooth wear is present, in combination with. tooth wear is becoming. Classification Of Tooth Wear.
From www.slideserve.com
PPT Tooth Wear and BEWE PowerPoint Presentation, free download ID Classification Of Tooth Wear in the twes 2.0 is described that tooth wear is pathological if moderate/severe/extreme tooth wear is present, in combination with. — the tooth wear evaluation system (twes) was described to implement a systematic diagnostic and management approach. tooth wear is becoming an increasing problem as people are living longer and keeping their teeth for longer, with recent. Classification Of Tooth Wear.
From www.semanticscholar.org
[PDF] Clinical measurement of tooth wear Tooth wear indices Semantic Classification Of Tooth Wear Physiological tooth wear can be a common clinical finding with adult patients, there is an increasing. tooth wear is becoming an increasing problem as people are living longer and keeping their teeth for longer, with recent uk surveys showing that at. in the twes 2.0 is described that tooth wear is pathological if moderate/severe/extreme tooth wear is present,. Classification Of Tooth Wear.
From xmind.app
Turner Classification Of Worn Dentition, 1984 Ala'a Otaibi Xmind Classification Of Tooth Wear tooth wear is becoming an increasing problem as people are living longer and keeping their teeth for longer, with recent uk surveys showing that at. — the tooth wear evaluation system (twes) was described to implement a systematic diagnostic and management approach. Physiological tooth wear can be a common clinical finding with adult patients, there is an increasing.. Classification Of Tooth Wear.
From www.hamiltondental.ca
All About Dentures A Comprehensive Guide Classification Of Tooth Wear in the twes 2.0 is described that tooth wear is pathological if moderate/severe/extreme tooth wear is present, in combination with. — the tooth wear evaluation system (twes) was described to implement a systematic diagnostic and management approach. tooth wear is becoming an increasing problem as people are living longer and keeping their teeth for longer, with recent. Classification Of Tooth Wear.
From www.semanticscholar.org
[PDF] Current concepts on the management of tooth wear part 3. Active Classification Of Tooth Wear — the tooth wear evaluation system (twes) was described to implement a systematic diagnostic and management approach. in the twes 2.0 is described that tooth wear is pathological if moderate/severe/extreme tooth wear is present, in combination with. Physiological tooth wear can be a common clinical finding with adult patients, there is an increasing. tooth wear is becoming. Classification Of Tooth Wear.
From www.mdpi.com
Dentistry Journal Free FullText Development of a Clinically Classification Of Tooth Wear in the twes 2.0 is described that tooth wear is pathological if moderate/severe/extreme tooth wear is present, in combination with. — the tooth wear evaluation system (twes) was described to implement a systematic diagnostic and management approach. Physiological tooth wear can be a common clinical finding with adult patients, there is an increasing. tooth wear is becoming. Classification Of Tooth Wear.
From gmwprosthodontics.com
Dental Wear Part 2 GMW Prosthodontist Melbourne Classification Of Tooth Wear — the tooth wear evaluation system (twes) was described to implement a systematic diagnostic and management approach. tooth wear is becoming an increasing problem as people are living longer and keeping their teeth for longer, with recent uk surveys showing that at. in the twes 2.0 is described that tooth wear is pathological if moderate/severe/extreme tooth wear. Classification Of Tooth Wear.
From www.happiesthealth.com
What is tooth wear and how to manage it Happiest Health Classification Of Tooth Wear — the tooth wear evaluation system (twes) was described to implement a systematic diagnostic and management approach. Physiological tooth wear can be a common clinical finding with adult patients, there is an increasing. tooth wear is becoming an increasing problem as people are living longer and keeping their teeth for longer, with recent uk surveys showing that at.. Classification Of Tooth Wear.
From dentistrybydesignofcary.com
Anterior Wear Dentist in Cary Classification Of Tooth Wear tooth wear is becoming an increasing problem as people are living longer and keeping their teeth for longer, with recent uk surveys showing that at. in the twes 2.0 is described that tooth wear is pathological if moderate/severe/extreme tooth wear is present, in combination with. Physiological tooth wear can be a common clinical finding with adult patients, there. Classification Of Tooth Wear.
From dokumen.tips
(PDF) Classification of Types of Gear Tooth Wear Part I Nov Classification Of Tooth Wear Physiological tooth wear can be a common clinical finding with adult patients, there is an increasing. in the twes 2.0 is described that tooth wear is pathological if moderate/severe/extreme tooth wear is present, in combination with. — the tooth wear evaluation system (twes) was described to implement a systematic diagnostic and management approach. tooth wear is becoming. Classification Of Tooth Wear.
From medizzy.com
Types of tooth wear MEDizzy Classification Of Tooth Wear in the twes 2.0 is described that tooth wear is pathological if moderate/severe/extreme tooth wear is present, in combination with. tooth wear is becoming an increasing problem as people are living longer and keeping their teeth for longer, with recent uk surveys showing that at. Physiological tooth wear can be a common clinical finding with adult patients, there. Classification Of Tooth Wear.
From www.researchgate.net
(PDF) Classification and treatment of the anterior maxillary dentition Classification Of Tooth Wear Physiological tooth wear can be a common clinical finding with adult patients, there is an increasing. — the tooth wear evaluation system (twes) was described to implement a systematic diagnostic and management approach. in the twes 2.0 is described that tooth wear is pathological if moderate/severe/extreme tooth wear is present, in combination with. tooth wear is becoming. Classification Of Tooth Wear.
From www.researchgate.net
SMITH AND KNIGHT TOOTH WEAR INDEX Download Table Classification Of Tooth Wear in the twes 2.0 is described that tooth wear is pathological if moderate/severe/extreme tooth wear is present, in combination with. tooth wear is becoming an increasing problem as people are living longer and keeping their teeth for longer, with recent uk surveys showing that at. — the tooth wear evaluation system (twes) was described to implement a. Classification Of Tooth Wear.
From www.slideserve.com
PPT Tooth wear aetiology , prevention, clinical implication Classification Of Tooth Wear — the tooth wear evaluation system (twes) was described to implement a systematic diagnostic and management approach. tooth wear is becoming an increasing problem as people are living longer and keeping their teeth for longer, with recent uk surveys showing that at. Physiological tooth wear can be a common clinical finding with adult patients, there is an increasing.. Classification Of Tooth Wear.
From www.slideshare.net
Tooth wear and its types Classification Of Tooth Wear — the tooth wear evaluation system (twes) was described to implement a systematic diagnostic and management approach. in the twes 2.0 is described that tooth wear is pathological if moderate/severe/extreme tooth wear is present, in combination with. tooth wear is becoming an increasing problem as people are living longer and keeping their teeth for longer, with recent. Classification Of Tooth Wear.
From www.fundentistry.com
A Pediatric Dentist Explains The Journey of a Tooth Azari & Zahedi Classification Of Tooth Wear in the twes 2.0 is described that tooth wear is pathological if moderate/severe/extreme tooth wear is present, in combination with. Physiological tooth wear can be a common clinical finding with adult patients, there is an increasing. — the tooth wear evaluation system (twes) was described to implement a systematic diagnostic and management approach. tooth wear is becoming. Classification Of Tooth Wear.
From emeralddental.in
THERE ARE THREE CAUSES OF TOOTH WEAR EMERALD DENTAL Classification Of Tooth Wear — the tooth wear evaluation system (twes) was described to implement a systematic diagnostic and management approach. tooth wear is becoming an increasing problem as people are living longer and keeping their teeth for longer, with recent uk surveys showing that at. Physiological tooth wear can be a common clinical finding with adult patients, there is an increasing.. Classification Of Tooth Wear.
From www.mdpi.com
Dentistry Journal Free FullText Erosive and Mechanical Tooth Wear Classification Of Tooth Wear tooth wear is becoming an increasing problem as people are living longer and keeping their teeth for longer, with recent uk surveys showing that at. Physiological tooth wear can be a common clinical finding with adult patients, there is an increasing. — the tooth wear evaluation system (twes) was described to implement a systematic diagnostic and management approach.. Classification Of Tooth Wear.
From www.pinterest.com
Did you know that there are three different types of tooth wear? Classification Of Tooth Wear in the twes 2.0 is described that tooth wear is pathological if moderate/severe/extreme tooth wear is present, in combination with. Physiological tooth wear can be a common clinical finding with adult patients, there is an increasing. — the tooth wear evaluation system (twes) was described to implement a systematic diagnostic and management approach. tooth wear is becoming. Classification Of Tooth Wear.
From cosmeticdentistmonrovia.com
Types And Causes Of Tooth Wear Dr.Shahram Valiani Classification Of Tooth Wear in the twes 2.0 is described that tooth wear is pathological if moderate/severe/extreme tooth wear is present, in combination with. tooth wear is becoming an increasing problem as people are living longer and keeping their teeth for longer, with recent uk surveys showing that at. Physiological tooth wear can be a common clinical finding with adult patients, there. Classification Of Tooth Wear.
From onlinelibrary.wiley.com
Diagnosing tooth wear, a new taxonomy based on the revised version of Classification Of Tooth Wear tooth wear is becoming an increasing problem as people are living longer and keeping their teeth for longer, with recent uk surveys showing that at. Physiological tooth wear can be a common clinical finding with adult patients, there is an increasing. in the twes 2.0 is described that tooth wear is pathological if moderate/severe/extreme tooth wear is present,. Classification Of Tooth Wear.
From www.happiesthealth.com
What is tooth wear and how to manage it Happiest Health Classification Of Tooth Wear in the twes 2.0 is described that tooth wear is pathological if moderate/severe/extreme tooth wear is present, in combination with. — the tooth wear evaluation system (twes) was described to implement a systematic diagnostic and management approach. Physiological tooth wear can be a common clinical finding with adult patients, there is an increasing. tooth wear is becoming. Classification Of Tooth Wear.
From www.oralhealthgroup.com
Tooth Wear Archives Oral Health Group Classification Of Tooth Wear — the tooth wear evaluation system (twes) was described to implement a systematic diagnostic and management approach. tooth wear is becoming an increasing problem as people are living longer and keeping their teeth for longer, with recent uk surveys showing that at. Physiological tooth wear can be a common clinical finding with adult patients, there is an increasing.. Classification Of Tooth Wear.
From www.studocu.com
Tooth Wear Lecture notes 1 Tooth Wear Tooth wear can be Classification Of Tooth Wear in the twes 2.0 is described that tooth wear is pathological if moderate/severe/extreme tooth wear is present, in combination with. Physiological tooth wear can be a common clinical finding with adult patients, there is an increasing. — the tooth wear evaluation system (twes) was described to implement a systematic diagnostic and management approach. tooth wear is becoming. Classification Of Tooth Wear.
From www.researchgate.net
First classification of tooth wear comprising five stages (0 to 4 Classification Of Tooth Wear Physiological tooth wear can be a common clinical finding with adult patients, there is an increasing. tooth wear is becoming an increasing problem as people are living longer and keeping their teeth for longer, with recent uk surveys showing that at. in the twes 2.0 is described that tooth wear is pathological if moderate/severe/extreme tooth wear is present,. Classification Of Tooth Wear.
From www.dawoodandtanneracademy.co.uk
Tooth Wear Aetiology and Management One Day Course Classification Of Tooth Wear tooth wear is becoming an increasing problem as people are living longer and keeping their teeth for longer, with recent uk surveys showing that at. in the twes 2.0 is described that tooth wear is pathological if moderate/severe/extreme tooth wear is present, in combination with. Physiological tooth wear can be a common clinical finding with adult patients, there. Classification Of Tooth Wear.
From www.slideshare.net
Tooth wear and its types Classification Of Tooth Wear in the twes 2.0 is described that tooth wear is pathological if moderate/severe/extreme tooth wear is present, in combination with. tooth wear is becoming an increasing problem as people are living longer and keeping their teeth for longer, with recent uk surveys showing that at. — the tooth wear evaluation system (twes) was described to implement a. Classification Of Tooth Wear.