Eclampsia Radiology . E levated l iver enzymes and. Posterior reversible encephalopathy syndrome is associated with eclampsia. It is considered a severe and life. Clinical and neuroradiographic correlates and insights into the pathogenesis. We assessed the distribution and. Preeclampsia, defined as the new onset of hypertension, peripheral edema, and proteinuria after at least 20 weeks of gestation in a woman previously without.
from radiologykey.com
Clinical and neuroradiographic correlates and insights into the pathogenesis. E levated l iver enzymes and. Posterior reversible encephalopathy syndrome is associated with eclampsia. We assessed the distribution and. It is considered a severe and life. Preeclampsia, defined as the new onset of hypertension, peripheral edema, and proteinuria after at least 20 weeks of gestation in a woman previously without.
Doppler Ultrasound Diagnosis in Preeclampsia, Eclampsia, and HELLP Syndrome Radiology Key
Eclampsia Radiology E levated l iver enzymes and. We assessed the distribution and. Clinical and neuroradiographic correlates and insights into the pathogenesis. Posterior reversible encephalopathy syndrome is associated with eclampsia. Preeclampsia, defined as the new onset of hypertension, peripheral edema, and proteinuria after at least 20 weeks of gestation in a woman previously without. It is considered a severe and life. E levated l iver enzymes and.
From www.cmaj.ca
How useful is uterine artery Doppler ultrasonography in predicting preeclampsia and Eclampsia Radiology It is considered a severe and life. Clinical and neuroradiographic correlates and insights into the pathogenesis. Posterior reversible encephalopathy syndrome is associated with eclampsia. E levated l iver enzymes and. We assessed the distribution and. Preeclampsia, defined as the new onset of hypertension, peripheral edema, and proteinuria after at least 20 weeks of gestation in a woman previously without. Eclampsia Radiology.
From www.ajnr.org
Computed tomography in preeclampsiaeclampsia syndrome. American Journal of Neuroradiology Eclampsia Radiology We assessed the distribution and. Preeclampsia, defined as the new onset of hypertension, peripheral edema, and proteinuria after at least 20 weeks of gestation in a woman previously without. E levated l iver enzymes and. Posterior reversible encephalopathy syndrome is associated with eclampsia. Clinical and neuroradiographic correlates and insights into the pathogenesis. It is considered a severe and life. Eclampsia Radiology.
From www.osmosis.org
Preeclampsia & eclampsia Osmosis Eclampsia Radiology Preeclampsia, defined as the new onset of hypertension, peripheral edema, and proteinuria after at least 20 weeks of gestation in a woman previously without. We assessed the distribution and. Clinical and neuroradiographic correlates and insights into the pathogenesis. E levated l iver enzymes and. It is considered a severe and life. Posterior reversible encephalopathy syndrome is associated with eclampsia. Eclampsia Radiology.
From www.semanticscholar.org
Figure 1 from Cranial MR imaging with clinical correlation in preeclampsia and eclampsia Eclampsia Radiology Clinical and neuroradiographic correlates and insights into the pathogenesis. E levated l iver enzymes and. It is considered a severe and life. We assessed the distribution and. Preeclampsia, defined as the new onset of hypertension, peripheral edema, and proteinuria after at least 20 weeks of gestation in a woman previously without. Posterior reversible encephalopathy syndrome is associated with eclampsia. Eclampsia Radiology.
From www.researchgate.net
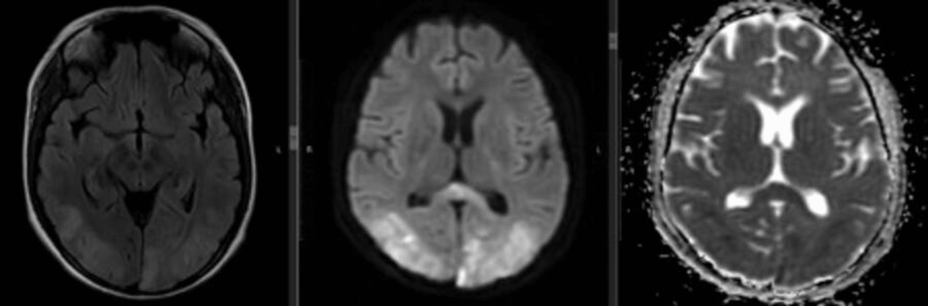
Reversible T2 hyperintensities in eclampsia. A , Axial T2weighted... Download Scientific Diagram Eclampsia Radiology We assessed the distribution and. Clinical and neuroradiographic correlates and insights into the pathogenesis. E levated l iver enzymes and. It is considered a severe and life. Preeclampsia, defined as the new onset of hypertension, peripheral edema, and proteinuria after at least 20 weeks of gestation in a woman previously without. Posterior reversible encephalopathy syndrome is associated with eclampsia. Eclampsia Radiology.
From www.alamy.com
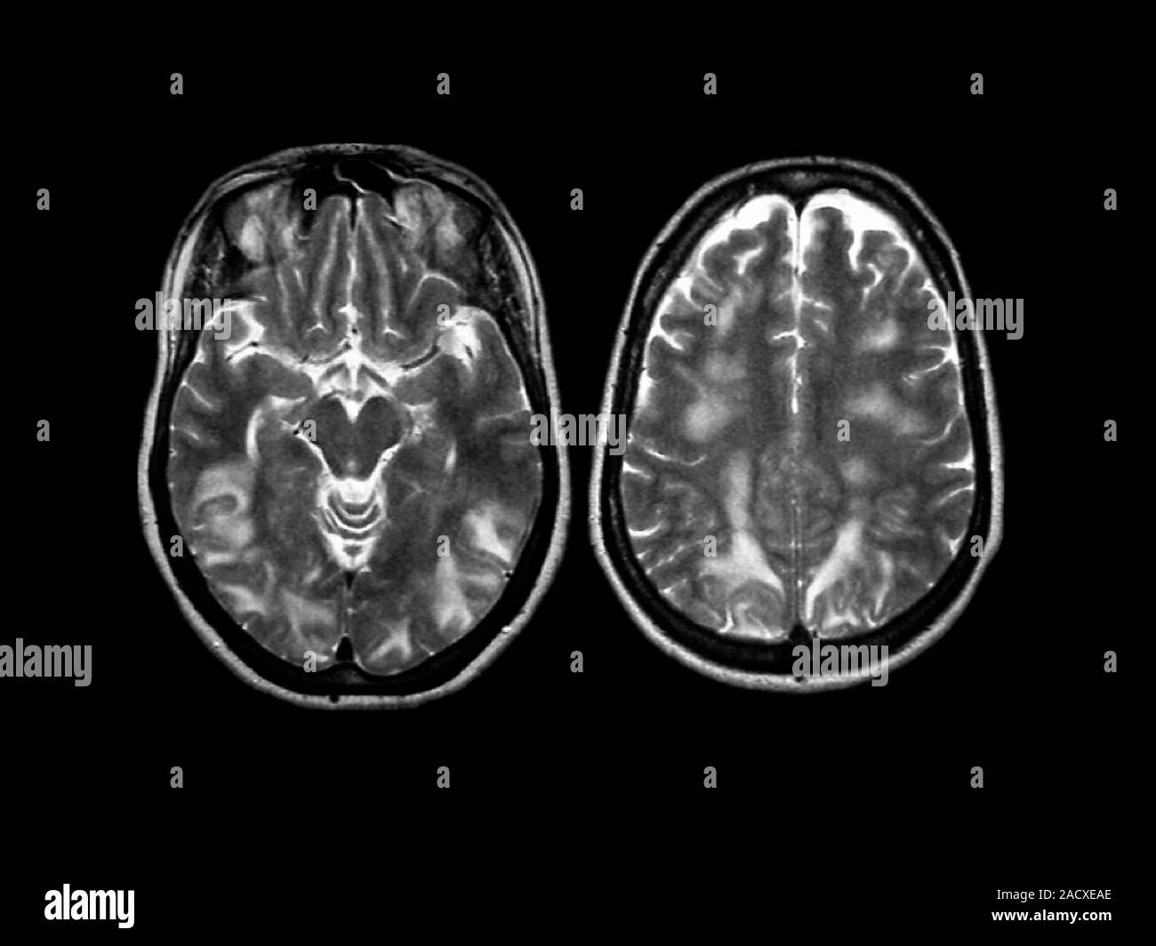
Eclampsia. resonance imaging (MRI) scan of the brain of a 27 year old woman (from below Eclampsia Radiology E levated l iver enzymes and. Preeclampsia, defined as the new onset of hypertension, peripheral edema, and proteinuria after at least 20 weeks of gestation in a woman previously without. We assessed the distribution and. Posterior reversible encephalopathy syndrome is associated with eclampsia. Clinical and neuroradiographic correlates and insights into the pathogenesis. It is considered a severe and life. Eclampsia Radiology.
From www.semanticscholar.org
Figure 1 from Diffusion MR Imaging of Eclampsia Semantic Scholar Eclampsia Radiology We assessed the distribution and. Posterior reversible encephalopathy syndrome is associated with eclampsia. Clinical and neuroradiographic correlates and insights into the pathogenesis. It is considered a severe and life. Preeclampsia, defined as the new onset of hypertension, peripheral edema, and proteinuria after at least 20 weeks of gestation in a woman previously without. E levated l iver enzymes and. Eclampsia Radiology.
From www.semanticscholar.org
Figure 1 from Late postpartum eclampsia complicated with posterior reversible encephalopathy Eclampsia Radiology E levated l iver enzymes and. It is considered a severe and life. Posterior reversible encephalopathy syndrome is associated with eclampsia. Clinical and neuroradiographic correlates and insights into the pathogenesis. Preeclampsia, defined as the new onset of hypertension, peripheral edema, and proteinuria after at least 20 weeks of gestation in a woman previously without. We assessed the distribution and. Eclampsia Radiology.
From www.researchgate.net
Images showing subretinal drusenoid deposit (SDD)like lesions in a... Download Scientific Diagram Eclampsia Radiology We assessed the distribution and. It is considered a severe and life. Clinical and neuroradiographic correlates and insights into the pathogenesis. Preeclampsia, defined as the new onset of hypertension, peripheral edema, and proteinuria after at least 20 weeks of gestation in a woman previously without. E levated l iver enzymes and. Posterior reversible encephalopathy syndrome is associated with eclampsia. Eclampsia Radiology.
From www.alamy.com
Eclampsia. Coloured resonance imaging (MRI) scan of the brain of a 27 year old woman Eclampsia Radiology Clinical and neuroradiographic correlates and insights into the pathogenesis. Preeclampsia, defined as the new onset of hypertension, peripheral edema, and proteinuria after at least 20 weeks of gestation in a woman previously without. Posterior reversible encephalopathy syndrome is associated with eclampsia. E levated l iver enzymes and. We assessed the distribution and. It is considered a severe and life. Eclampsia Radiology.
From archneur.jamanetwork.com
UltraEarly Resonance Imaging Findings of Eclampsia Cardiology JAMA Neurology Eclampsia Radiology Preeclampsia, defined as the new onset of hypertension, peripheral edema, and proteinuria after at least 20 weeks of gestation in a woman previously without. It is considered a severe and life. We assessed the distribution and. E levated l iver enzymes and. Clinical and neuroradiographic correlates and insights into the pathogenesis. Posterior reversible encephalopathy syndrome is associated with eclampsia. Eclampsia Radiology.
From spandidos-publications.com
Reversible posterior encephalopathy syndrome associated with late onset postpartum eclampsia A Eclampsia Radiology E levated l iver enzymes and. Clinical and neuroradiographic correlates and insights into the pathogenesis. Posterior reversible encephalopathy syndrome is associated with eclampsia. We assessed the distribution and. Preeclampsia, defined as the new onset of hypertension, peripheral edema, and proteinuria after at least 20 weeks of gestation in a woman previously without. It is considered a severe and life. Eclampsia Radiology.
From www.researchgate.net
PRES in a brain resonance imaging from a 26yearold woman... Download Scientific Diagram Eclampsia Radiology Posterior reversible encephalopathy syndrome is associated with eclampsia. Clinical and neuroradiographic correlates and insights into the pathogenesis. It is considered a severe and life. E levated l iver enzymes and. We assessed the distribution and. Preeclampsia, defined as the new onset of hypertension, peripheral edema, and proteinuria after at least 20 weeks of gestation in a woman previously without. Eclampsia Radiology.
From www.academia.edu
(PDF) Features of resonance imaging brain in eclampsia clinicoradiologic correlation Eclampsia Radiology Posterior reversible encephalopathy syndrome is associated with eclampsia. Clinical and neuroradiographic correlates and insights into the pathogenesis. E levated l iver enzymes and. Preeclampsia, defined as the new onset of hypertension, peripheral edema, and proteinuria after at least 20 weeks of gestation in a woman previously without. We assessed the distribution and. It is considered a severe and life. Eclampsia Radiology.
From www.clinicalradiologyonline.net
Clinical and radiological features of posterior reversible encephalopathy syndrome in patients Eclampsia Radiology Clinical and neuroradiographic correlates and insights into the pathogenesis. Posterior reversible encephalopathy syndrome is associated with eclampsia. E levated l iver enzymes and. Preeclampsia, defined as the new onset of hypertension, peripheral edema, and proteinuria after at least 20 weeks of gestation in a woman previously without. It is considered a severe and life. We assessed the distribution and. Eclampsia Radiology.
From www.clinicalradiologyonline.net
Evaluation of the optic nerve using strain and shearwave elastography in preeclampsia Eclampsia Radiology It is considered a severe and life. We assessed the distribution and. E levated l iver enzymes and. Clinical and neuroradiographic correlates and insights into the pathogenesis. Preeclampsia, defined as the new onset of hypertension, peripheral edema, and proteinuria after at least 20 weeks of gestation in a woman previously without. Posterior reversible encephalopathy syndrome is associated with eclampsia. Eclampsia Radiology.
From www.clinicalradiologyonline.net
Clinical and radiological features of posterior reversible encephalopathy syndrome in patients Eclampsia Radiology E levated l iver enzymes and. It is considered a severe and life. Posterior reversible encephalopathy syndrome is associated with eclampsia. Preeclampsia, defined as the new onset of hypertension, peripheral edema, and proteinuria after at least 20 weeks of gestation in a woman previously without. We assessed the distribution and. Clinical and neuroradiographic correlates and insights into the pathogenesis. Eclampsia Radiology.
From www.cureus.com
Cureus Predictors of Posterior Reversible Encephalopathy Syndrome (PRES) in Women With Pre Eclampsia Radiology E levated l iver enzymes and. Posterior reversible encephalopathy syndrome is associated with eclampsia. Clinical and neuroradiographic correlates and insights into the pathogenesis. We assessed the distribution and. It is considered a severe and life. Preeclampsia, defined as the new onset of hypertension, peripheral edema, and proteinuria after at least 20 weeks of gestation in a woman previously without. Eclampsia Radiology.
From www.researchgate.net
Distribution of age and type of eclampsia. Download Scientific Diagram Eclampsia Radiology Preeclampsia, defined as the new onset of hypertension, peripheral edema, and proteinuria after at least 20 weeks of gestation in a woman previously without. Clinical and neuroradiographic correlates and insights into the pathogenesis. Posterior reversible encephalopathy syndrome is associated with eclampsia. E levated l iver enzymes and. It is considered a severe and life. We assessed the distribution and. Eclampsia Radiology.
From www.researchgate.net
(PDF) CRANIAL MR IMAGING IN ECLAMPSIA AND SEVERE PREECLAMPSIA A PROSPECTIVE STUDY Eclampsia Radiology Posterior reversible encephalopathy syndrome is associated with eclampsia. Clinical and neuroradiographic correlates and insights into the pathogenesis. It is considered a severe and life. We assessed the distribution and. Preeclampsia, defined as the new onset of hypertension, peripheral edema, and proteinuria after at least 20 weeks of gestation in a woman previously without. E levated l iver enzymes and. Eclampsia Radiology.
From www.alamy.com
Eclampsia. Coloured resonance imaging (MRI) scan of the brain of a 27 year old woman Eclampsia Radiology Preeclampsia, defined as the new onset of hypertension, peripheral edema, and proteinuria after at least 20 weeks of gestation in a woman previously without. Posterior reversible encephalopathy syndrome is associated with eclampsia. Clinical and neuroradiographic correlates and insights into the pathogenesis. E levated l iver enzymes and. It is considered a severe and life. We assessed the distribution and. Eclampsia Radiology.
From www.ajog.org
Diagnosis and management of atypical preeclampsiaeclampsia American Journal of Obstetrics Eclampsia Radiology It is considered a severe and life. Preeclampsia, defined as the new onset of hypertension, peripheral edema, and proteinuria after at least 20 weeks of gestation in a woman previously without. Posterior reversible encephalopathy syndrome is associated with eclampsia. Clinical and neuroradiographic correlates and insights into the pathogenesis. We assessed the distribution and. E levated l iver enzymes and. Eclampsia Radiology.
From www.spandidos-publications.com
Reversible posterior encephalopathy syndrome associated with late onset postpartum eclampsia A Eclampsia Radiology Posterior reversible encephalopathy syndrome is associated with eclampsia. E levated l iver enzymes and. Clinical and neuroradiographic correlates and insights into the pathogenesis. We assessed the distribution and. Preeclampsia, defined as the new onset of hypertension, peripheral edema, and proteinuria after at least 20 weeks of gestation in a woman previously without. It is considered a severe and life. Eclampsia Radiology.
From www.emdocs.net
Emergency Medicine EducationEclampsia in the ED Presentation, Differential Eclampsia Radiology E levated l iver enzymes and. Preeclampsia, defined as the new onset of hypertension, peripheral edema, and proteinuria after at least 20 weeks of gestation in a woman previously without. It is considered a severe and life. We assessed the distribution and. Posterior reversible encephalopathy syndrome is associated with eclampsia. Clinical and neuroradiographic correlates and insights into the pathogenesis. Eclampsia Radiology.
From www.ahajournals.org
DiffusionWeighted Imaging Discriminates Between Cytotoxic and Vasogenic Edema in a Patient With Eclampsia Radiology E levated l iver enzymes and. Posterior reversible encephalopathy syndrome is associated with eclampsia. It is considered a severe and life. Preeclampsia, defined as the new onset of hypertension, peripheral edema, and proteinuria after at least 20 weeks of gestation in a woman previously without. We assessed the distribution and. Clinical and neuroradiographic correlates and insights into the pathogenesis. Eclampsia Radiology.
From archneur.jamanetwork.com
UltraEarly Resonance Imaging Findings of Eclampsia Cardiology JAMA Neurology Eclampsia Radiology E levated l iver enzymes and. Preeclampsia, defined as the new onset of hypertension, peripheral edema, and proteinuria after at least 20 weeks of gestation in a woman previously without. We assessed the distribution and. Posterior reversible encephalopathy syndrome is associated with eclampsia. Clinical and neuroradiographic correlates and insights into the pathogenesis. It is considered a severe and life. Eclampsia Radiology.
From www.scribd.com
Preeclampsia Eclampsia PDF Angiogenesis Vascular Endothelial Growth Factor Eclampsia Radiology Clinical and neuroradiographic correlates and insights into the pathogenesis. Preeclampsia, defined as the new onset of hypertension, peripheral edema, and proteinuria after at least 20 weeks of gestation in a woman previously without. E levated l iver enzymes and. We assessed the distribution and. It is considered a severe and life. Posterior reversible encephalopathy syndrome is associated with eclampsia. Eclampsia Radiology.
From www.semanticscholar.org
Figure 1 from CRANIAL MR IMAGING IN ECLAMPSIA AND SEVERE PREECLAMPSIA A PROSPECTIVE STUDY Eclampsia Radiology Clinical and neuroradiographic correlates and insights into the pathogenesis. We assessed the distribution and. It is considered a severe and life. Posterior reversible encephalopathy syndrome is associated with eclampsia. E levated l iver enzymes and. Preeclampsia, defined as the new onset of hypertension, peripheral edema, and proteinuria after at least 20 weeks of gestation in a woman previously without. Eclampsia Radiology.
From www.researchgate.net
(PDF) UltraEarly Resonance Imaging Findings of Eclampsia Eclampsia Radiology We assessed the distribution and. It is considered a severe and life. Clinical and neuroradiographic correlates and insights into the pathogenesis. E levated l iver enzymes and. Preeclampsia, defined as the new onset of hypertension, peripheral edema, and proteinuria after at least 20 weeks of gestation in a woman previously without. Posterior reversible encephalopathy syndrome is associated with eclampsia. Eclampsia Radiology.
From radiologykey.com
Doppler Ultrasound Diagnosis in Preeclampsia, Eclampsia, and HELLP Syndrome Radiology Key Eclampsia Radiology It is considered a severe and life. Preeclampsia, defined as the new onset of hypertension, peripheral edema, and proteinuria after at least 20 weeks of gestation in a woman previously without. Clinical and neuroradiographic correlates and insights into the pathogenesis. Posterior reversible encephalopathy syndrome is associated with eclampsia. We assessed the distribution and. E levated l iver enzymes and. Eclampsia Radiology.
From www.alamy.com
Eclampsia. resonance imaging (MRI) scan of the brain of a 27 year old woman (from below Eclampsia Radiology Clinical and neuroradiographic correlates and insights into the pathogenesis. Posterior reversible encephalopathy syndrome is associated with eclampsia. Preeclampsia, defined as the new onset of hypertension, peripheral edema, and proteinuria after at least 20 weeks of gestation in a woman previously without. E levated l iver enzymes and. We assessed the distribution and. It is considered a severe and life. Eclampsia Radiology.
From twitter.com
Brown Hospital Medicine on Twitter "Preeclampsia (medinaz academy) MedStudentTwitter MedEd" Eclampsia Radiology Preeclampsia, defined as the new onset of hypertension, peripheral edema, and proteinuria after at least 20 weeks of gestation in a woman previously without. Clinical and neuroradiographic correlates and insights into the pathogenesis. We assessed the distribution and. It is considered a severe and life. Posterior reversible encephalopathy syndrome is associated with eclampsia. E levated l iver enzymes and. Eclampsia Radiology.
From www.researchgate.net
(PDF) Cranial MR imaging with clinical correlation in preeclampsia and eclampsia Eclampsia Radiology Clinical and neuroradiographic correlates and insights into the pathogenesis. Preeclampsia, defined as the new onset of hypertension, peripheral edema, and proteinuria after at least 20 weeks of gestation in a woman previously without. It is considered a severe and life. Posterior reversible encephalopathy syndrome is associated with eclampsia. We assessed the distribution and. E levated l iver enzymes and. Eclampsia Radiology.
From www.semanticscholar.org
Figure 2 from Diffusion MR Imaging of Eclampsia Semantic Scholar Eclampsia Radiology We assessed the distribution and. It is considered a severe and life. E levated l iver enzymes and. Preeclampsia, defined as the new onset of hypertension, peripheral edema, and proteinuria after at least 20 weeks of gestation in a woman previously without. Clinical and neuroradiographic correlates and insights into the pathogenesis. Posterior reversible encephalopathy syndrome is associated with eclampsia. Eclampsia Radiology.
From www.researchgate.net
(PDF) Neuroimaging study in eclampsia Eclampsia Radiology We assessed the distribution and. It is considered a severe and life. Preeclampsia, defined as the new onset of hypertension, peripheral edema, and proteinuria after at least 20 weeks of gestation in a woman previously without. E levated l iver enzymes and. Clinical and neuroradiographic correlates and insights into the pathogenesis. Posterior reversible encephalopathy syndrome is associated with eclampsia. Eclampsia Radiology.