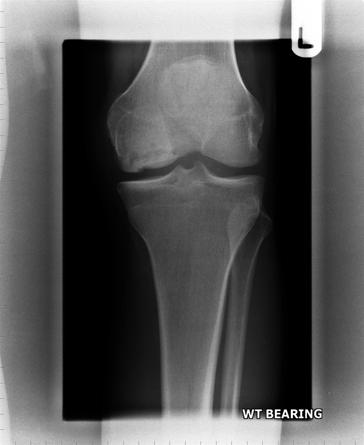
Locking Knee Osteochondritis Dissecans . The clinical manifestations and diagnosis of ocd and other causes of knee, elbow, or ankle pain in the young athlete are discussed. Osteochondritis dissecans of the knee is a relatively rare condition, categorized as a form of osteonecrosis that affects the. Diagnosis may be made radiographically. Osteochondritis dissecans happens when a section of bone in one of your joints loses its blood supply and becomes soft and weak. It mostly affects the femoral condyles, especially the medial condyle on the lateral joint surface (±80%). There are two main places in the knee joint where osteochondritis dissecans can appear. It occurs when a small segment of bone begins to crack and separate from its. Osteochondritis dissecans is a pathologic lesion affecting articular cartilage and subchondral bone with variable clinical patterns. Osteochondritis dissecans (ocd) is a condition that develops in joints, most often in children and adolescents. Osteochondritis dissecans is a disease that affects the bone and cartilage, most often in the knee in children and adolescents, causing pain,.
from www.vrogue.co
There are two main places in the knee joint where osteochondritis dissecans can appear. Osteochondritis dissecans happens when a section of bone in one of your joints loses its blood supply and becomes soft and weak. Osteochondritis dissecans of the knee is a relatively rare condition, categorized as a form of osteonecrosis that affects the. Diagnosis may be made radiographically. Osteochondritis dissecans (ocd) is a condition that develops in joints, most often in children and adolescents. Osteochondritis dissecans is a pathologic lesion affecting articular cartilage and subchondral bone with variable clinical patterns. It occurs when a small segment of bone begins to crack and separate from its. It mostly affects the femoral condyles, especially the medial condyle on the lateral joint surface (±80%). The clinical manifestations and diagnosis of ocd and other causes of knee, elbow, or ankle pain in the young athlete are discussed. Osteochondritis dissecans is a disease that affects the bone and cartilage, most often in the knee in children and adolescents, causing pain,.
Osteochondritis Dissecans Knee Orthopedics Notes vrogue.co
Locking Knee Osteochondritis Dissecans There are two main places in the knee joint where osteochondritis dissecans can appear. Osteochondritis dissecans (ocd) is a condition that develops in joints, most often in children and adolescents. It occurs when a small segment of bone begins to crack and separate from its. It mostly affects the femoral condyles, especially the medial condyle on the lateral joint surface (±80%). Osteochondritis dissecans is a pathologic lesion affecting articular cartilage and subchondral bone with variable clinical patterns. There are two main places in the knee joint where osteochondritis dissecans can appear. Osteochondritis dissecans of the knee is a relatively rare condition, categorized as a form of osteonecrosis that affects the. The clinical manifestations and diagnosis of ocd and other causes of knee, elbow, or ankle pain in the young athlete are discussed. Osteochondritis dissecans is a disease that affects the bone and cartilage, most often in the knee in children and adolescents, causing pain,. Diagnosis may be made radiographically. Osteochondritis dissecans happens when a section of bone in one of your joints loses its blood supply and becomes soft and weak.
From arthroscopicsurgeon.in
OCD (Osteochondritis dissecans/Ostochondral disease) Best Orthopedic Locking Knee Osteochondritis Dissecans Diagnosis may be made radiographically. It occurs when a small segment of bone begins to crack and separate from its. Osteochondritis dissecans (ocd) is a condition that develops in joints, most often in children and adolescents. Osteochondritis dissecans is a pathologic lesion affecting articular cartilage and subchondral bone with variable clinical patterns. There are two main places in the knee. Locking Knee Osteochondritis Dissecans.
From www.animalia-life.club
Osteochondritis Dissecans Knee Locking Knee Osteochondritis Dissecans Osteochondritis dissecans (ocd) is a condition that develops in joints, most often in children and adolescents. Diagnosis may be made radiographically. Osteochondritis dissecans is a pathologic lesion affecting articular cartilage and subchondral bone with variable clinical patterns. It occurs when a small segment of bone begins to crack and separate from its. Osteochondritis dissecans happens when a section of bone. Locking Knee Osteochondritis Dissecans.
From orthopaedicprinciples.com
Osteochondritis Dissecans of the Knee Joint — Locking Knee Osteochondritis Dissecans Osteochondritis dissecans (ocd) is a condition that develops in joints, most often in children and adolescents. Osteochondritis dissecans of the knee is a relatively rare condition, categorized as a form of osteonecrosis that affects the. Osteochondritis dissecans is a pathologic lesion affecting articular cartilage and subchondral bone with variable clinical patterns. Osteochondritis dissecans is a disease that affects the bone. Locking Knee Osteochondritis Dissecans.
From www.arthroscopytechniques.org
Arthroscopic Fixation of Knee Osteochondritis Dissecans With Locking Knee Osteochondritis Dissecans The clinical manifestations and diagnosis of ocd and other causes of knee, elbow, or ankle pain in the young athlete are discussed. Osteochondritis dissecans is a pathologic lesion affecting articular cartilage and subchondral bone with variable clinical patterns. Osteochondritis dissecans is a disease that affects the bone and cartilage, most often in the knee in children and adolescents, causing pain,.. Locking Knee Osteochondritis Dissecans.
From www.consultant360.com
Osteochondritis Dissecans of the Knee Differential Diagnosis Locking Knee Osteochondritis Dissecans Diagnosis may be made radiographically. Osteochondritis dissecans (ocd) is a condition that develops in joints, most often in children and adolescents. Osteochondritis dissecans is a pathologic lesion affecting articular cartilage and subchondral bone with variable clinical patterns. Osteochondritis dissecans is a disease that affects the bone and cartilage, most often in the knee in children and adolescents, causing pain,. Osteochondritis. Locking Knee Osteochondritis Dissecans.
From radiopaedia.org
Osteochondritis dissecans knee Image Locking Knee Osteochondritis Dissecans Osteochondritis dissecans of the knee is a relatively rare condition, categorized as a form of osteonecrosis that affects the. Osteochondritis dissecans is a disease that affects the bone and cartilage, most often in the knee in children and adolescents, causing pain,. The clinical manifestations and diagnosis of ocd and other causes of knee, elbow, or ankle pain in the young. Locking Knee Osteochondritis Dissecans.
From www.lecturio.com
Osteochondritis Dissecans Concise Medical Knowledge Locking Knee Osteochondritis Dissecans Osteochondritis dissecans is a pathologic lesion affecting articular cartilage and subchondral bone with variable clinical patterns. Osteochondritis dissecans is a disease that affects the bone and cartilage, most often in the knee in children and adolescents, causing pain,. Diagnosis may be made radiographically. It occurs when a small segment of bone begins to crack and separate from its. The clinical. Locking Knee Osteochondritis Dissecans.
From ar.inspiredpencil.com
Osteochondritis Dissecans Knee Locking Knee Osteochondritis Dissecans It mostly affects the femoral condyles, especially the medial condyle on the lateral joint surface (±80%). Osteochondritis dissecans (ocd) is a condition that develops in joints, most often in children and adolescents. Osteochondritis dissecans is a disease that affects the bone and cartilage, most often in the knee in children and adolescents, causing pain,. Osteochondritis dissecans of the knee is. Locking Knee Osteochondritis Dissecans.
From www.animalia-life.club
Osteochondritis Dissecans Knee Locking Knee Osteochondritis Dissecans Osteochondritis dissecans (ocd) is a condition that develops in joints, most often in children and adolescents. The clinical manifestations and diagnosis of ocd and other causes of knee, elbow, or ankle pain in the young athlete are discussed. Osteochondritis dissecans of the knee is a relatively rare condition, categorized as a form of osteonecrosis that affects the. It mostly affects. Locking Knee Osteochondritis Dissecans.
From radiopaedia.org
Osteochondritis dissecans of the knee Radiology Case Locking Knee Osteochondritis Dissecans It occurs when a small segment of bone begins to crack and separate from its. Osteochondritis dissecans is a pathologic lesion affecting articular cartilage and subchondral bone with variable clinical patterns. There are two main places in the knee joint where osteochondritis dissecans can appear. Osteochondritis dissecans is a disease that affects the bone and cartilage, most often in the. Locking Knee Osteochondritis Dissecans.
From healthjade.net
Osteochondritis Dissecans Causes, Symptoms, Diagnosis & Treatment Locking Knee Osteochondritis Dissecans Osteochondritis dissecans of the knee is a relatively rare condition, categorized as a form of osteonecrosis that affects the. It occurs when a small segment of bone begins to crack and separate from its. Osteochondritis dissecans is a pathologic lesion affecting articular cartilage and subchondral bone with variable clinical patterns. The clinical manifestations and diagnosis of ocd and other causes. Locking Knee Osteochondritis Dissecans.
From www.animalia-life.club
Osteochondritis Dissecans Knee Locking Knee Osteochondritis Dissecans It occurs when a small segment of bone begins to crack and separate from its. There are two main places in the knee joint where osteochondritis dissecans can appear. Osteochondritis dissecans is a pathologic lesion affecting articular cartilage and subchondral bone with variable clinical patterns. Osteochondritis dissecans is a disease that affects the bone and cartilage, most often in the. Locking Knee Osteochondritis Dissecans.
From www.slideserve.com
PPT Juvenile Osteochondritis Dissecans PowerPoint Presentation, free Locking Knee Osteochondritis Dissecans It occurs when a small segment of bone begins to crack and separate from its. There are two main places in the knee joint where osteochondritis dissecans can appear. The clinical manifestations and diagnosis of ocd and other causes of knee, elbow, or ankle pain in the young athlete are discussed. It mostly affects the femoral condyles, especially the medial. Locking Knee Osteochondritis Dissecans.
From www.stevenchudikmd.com
Osteochondritis Dissecans (OCD) Steven Chudik MD Locking Knee Osteochondritis Dissecans Diagnosis may be made radiographically. It mostly affects the femoral condyles, especially the medial condyle on the lateral joint surface (±80%). Osteochondritis dissecans is a pathologic lesion affecting articular cartilage and subchondral bone with variable clinical patterns. The clinical manifestations and diagnosis of ocd and other causes of knee, elbow, or ankle pain in the young athlete are discussed. Osteochondritis. Locking Knee Osteochondritis Dissecans.
From www.vrogue.co
Osteochondritis Dissecans Knee Orthopedics Notes vrogue.co Locking Knee Osteochondritis Dissecans Osteochondritis dissecans (ocd) is a condition that develops in joints, most often in children and adolescents. Osteochondritis dissecans is a disease that affects the bone and cartilage, most often in the knee in children and adolescents, causing pain,. Osteochondritis dissecans happens when a section of bone in one of your joints loses its blood supply and becomes soft and weak.. Locking Knee Osteochondritis Dissecans.
From specialtycare4u.com
Osteochondritis Dissecans Locking Knee Osteochondritis Dissecans Osteochondritis dissecans happens when a section of bone in one of your joints loses its blood supply and becomes soft and weak. There are two main places in the knee joint where osteochondritis dissecans can appear. It occurs when a small segment of bone begins to crack and separate from its. Osteochondritis dissecans of the knee is a relatively rare. Locking Knee Osteochondritis Dissecans.
From www.animalia-life.club
Osteochondritis Dissecans Knee Locking Knee Osteochondritis Dissecans Osteochondritis dissecans is a pathologic lesion affecting articular cartilage and subchondral bone with variable clinical patterns. Osteochondritis dissecans is a disease that affects the bone and cartilage, most often in the knee in children and adolescents, causing pain,. There are two main places in the knee joint where osteochondritis dissecans can appear. Osteochondritis dissecans of the knee is a relatively. Locking Knee Osteochondritis Dissecans.
From www.alamy.com
Coloured 3D computer tomography (CT) scan of the right knee of an 18 Locking Knee Osteochondritis Dissecans Osteochondritis dissecans is a disease that affects the bone and cartilage, most often in the knee in children and adolescents, causing pain,. The clinical manifestations and diagnosis of ocd and other causes of knee, elbow, or ankle pain in the young athlete are discussed. Osteochondritis dissecans happens when a section of bone in one of your joints loses its blood. Locking Knee Osteochondritis Dissecans.
From ballaratosm.com.au
Osteochondritis Dissecans Ballarat Orthopaedics & Sports Medicine Locking Knee Osteochondritis Dissecans It mostly affects the femoral condyles, especially the medial condyle on the lateral joint surface (±80%). Osteochondritis dissecans is a disease that affects the bone and cartilage, most often in the knee in children and adolescents, causing pain,. Osteochondritis dissecans is a pathologic lesion affecting articular cartilage and subchondral bone with variable clinical patterns. The clinical manifestations and diagnosis of. Locking Knee Osteochondritis Dissecans.
From www.theinjurysource.com
Osteochondritis Dissecans of the Knee Locking Knee Osteochondritis Dissecans Osteochondritis dissecans (ocd) is a condition that develops in joints, most often in children and adolescents. The clinical manifestations and diagnosis of ocd and other causes of knee, elbow, or ankle pain in the young athlete are discussed. Osteochondritis dissecans of the knee is a relatively rare condition, categorized as a form of osteonecrosis that affects the. It occurs when. Locking Knee Osteochondritis Dissecans.
From www.sportsmedreview.com
Knee Osteochondritis Dissecans Care Sports Medicine Review Locking Knee Osteochondritis Dissecans There are two main places in the knee joint where osteochondritis dissecans can appear. It mostly affects the femoral condyles, especially the medial condyle on the lateral joint surface (±80%). It occurs when a small segment of bone begins to crack and separate from its. Osteochondritis dissecans of the knee is a relatively rare condition, categorized as a form of. Locking Knee Osteochondritis Dissecans.
From boneandjoint.org.uk
Bicondylar osteochondritis dissecans in the knee Bone & Joint Locking Knee Osteochondritis Dissecans Diagnosis may be made radiographically. The clinical manifestations and diagnosis of ocd and other causes of knee, elbow, or ankle pain in the young athlete are discussed. Osteochondritis dissecans of the knee is a relatively rare condition, categorized as a form of osteonecrosis that affects the. Osteochondritis dissecans is a pathologic lesion affecting articular cartilage and subchondral bone with variable. Locking Knee Osteochondritis Dissecans.
From radiopaedia.org
Osteochondritis dissecans (knee) Image Locking Knee Osteochondritis Dissecans Osteochondritis dissecans of the knee is a relatively rare condition, categorized as a form of osteonecrosis that affects the. Osteochondritis dissecans is a pathologic lesion affecting articular cartilage and subchondral bone with variable clinical patterns. Diagnosis may be made radiographically. Osteochondritis dissecans happens when a section of bone in one of your joints loses its blood supply and becomes soft. Locking Knee Osteochondritis Dissecans.
From www.consultant360.com
Osteochondritis Dissecans of the Knee Differential Diagnosis Locking Knee Osteochondritis Dissecans Osteochondritis dissecans happens when a section of bone in one of your joints loses its blood supply and becomes soft and weak. Osteochondritis dissecans of the knee is a relatively rare condition, categorized as a form of osteonecrosis that affects the. Osteochondritis dissecans (ocd) is a condition that develops in joints, most often in children and adolescents. It mostly affects. Locking Knee Osteochondritis Dissecans.
From ar.inspiredpencil.com
Osteochondritis Dissecans Knee Locking Knee Osteochondritis Dissecans Osteochondritis dissecans happens when a section of bone in one of your joints loses its blood supply and becomes soft and weak. Osteochondritis dissecans (ocd) is a condition that develops in joints, most often in children and adolescents. The clinical manifestations and diagnosis of ocd and other causes of knee, elbow, or ankle pain in the young athlete are discussed.. Locking Knee Osteochondritis Dissecans.
From www.theinjurysource.com
Osteochondritis Dissecans of the Knee Locking Knee Osteochondritis Dissecans Diagnosis may be made radiographically. Osteochondritis dissecans happens when a section of bone in one of your joints loses its blood supply and becomes soft and weak. There are two main places in the knee joint where osteochondritis dissecans can appear. Osteochondritis dissecans (ocd) is a condition that develops in joints, most often in children and adolescents. It mostly affects. Locking Knee Osteochondritis Dissecans.
From www.orthobullets.com
Osteochondritis Dissecans Knee & Sports Orthobullets Locking Knee Osteochondritis Dissecans There are two main places in the knee joint where osteochondritis dissecans can appear. Osteochondritis dissecans happens when a section of bone in one of your joints loses its blood supply and becomes soft and weak. It occurs when a small segment of bone begins to crack and separate from its. Osteochondritis dissecans is a disease that affects the bone. Locking Knee Osteochondritis Dissecans.
From orthopaedicprinciples.com
Osteochondritis Dissecans Of The Knee — Locking Knee Osteochondritis Dissecans Diagnosis may be made radiographically. It mostly affects the femoral condyles, especially the medial condyle on the lateral joint surface (±80%). Osteochondritis dissecans is a pathologic lesion affecting articular cartilage and subchondral bone with variable clinical patterns. Osteochondritis dissecans happens when a section of bone in one of your joints loses its blood supply and becomes soft and weak. Osteochondritis. Locking Knee Osteochondritis Dissecans.
From journals.sagepub.com
Osteochondritis Dissecans Etiology, Pathology, and Imaging with a Locking Knee Osteochondritis Dissecans It mostly affects the femoral condyles, especially the medial condyle on the lateral joint surface (±80%). Osteochondritis dissecans happens when a section of bone in one of your joints loses its blood supply and becomes soft and weak. There are two main places in the knee joint where osteochondritis dissecans can appear. It occurs when a small segment of bone. Locking Knee Osteochondritis Dissecans.
From www.sportsmedreview.com
Knee Osteochondritis Dissecans Treatment Sports Medicine Review Locking Knee Osteochondritis Dissecans Osteochondritis dissecans of the knee is a relatively rare condition, categorized as a form of osteonecrosis that affects the. It occurs when a small segment of bone begins to crack and separate from its. Osteochondritis dissecans is a pathologic lesion affecting articular cartilage and subchondral bone with variable clinical patterns. Diagnosis may be made radiographically. Osteochondritis dissecans happens when a. Locking Knee Osteochondritis Dissecans.
From www.slideserve.com
PPT Osteochondritis Dissecans of the Knee PowerPoint Presentation Locking Knee Osteochondritis Dissecans Diagnosis may be made radiographically. The clinical manifestations and diagnosis of ocd and other causes of knee, elbow, or ankle pain in the young athlete are discussed. There are two main places in the knee joint where osteochondritis dissecans can appear. Osteochondritis dissecans is a disease that affects the bone and cartilage, most often in the knee in children and. Locking Knee Osteochondritis Dissecans.
From orthopaedicprinciples.com
Osteochondritis Dissecans of Knee — Locking Knee Osteochondritis Dissecans Osteochondritis dissecans of the knee is a relatively rare condition, categorized as a form of osteonecrosis that affects the. Diagnosis may be made radiographically. Osteochondritis dissecans is a disease that affects the bone and cartilage, most often in the knee in children and adolescents, causing pain,. The clinical manifestations and diagnosis of ocd and other causes of knee, elbow, or. Locking Knee Osteochondritis Dissecans.
From www.vrogue.co
Osteochondritis Dissecans Knee Orthopedics Notes vrogue.co Locking Knee Osteochondritis Dissecans Osteochondritis dissecans happens when a section of bone in one of your joints loses its blood supply and becomes soft and weak. The clinical manifestations and diagnosis of ocd and other causes of knee, elbow, or ankle pain in the young athlete are discussed. It mostly affects the femoral condyles, especially the medial condyle on the lateral joint surface (±80%).. Locking Knee Osteochondritis Dissecans.
From www.orthobullets.com
Osteochondritis Dissecans Knee & Sports Orthobullets Locking Knee Osteochondritis Dissecans It mostly affects the femoral condyles, especially the medial condyle on the lateral joint surface (±80%). There are two main places in the knee joint where osteochondritis dissecans can appear. Osteochondritis dissecans (ocd) is a condition that develops in joints, most often in children and adolescents. Osteochondritis dissecans is a pathologic lesion affecting articular cartilage and subchondral bone with variable. Locking Knee Osteochondritis Dissecans.
From www.slideserve.com
PPT Osteochondritis Dissecans of the Knee PowerPoint Presentation Locking Knee Osteochondritis Dissecans Osteochondritis dissecans happens when a section of bone in one of your joints loses its blood supply and becomes soft and weak. It occurs when a small segment of bone begins to crack and separate from its. Osteochondritis dissecans is a disease that affects the bone and cartilage, most often in the knee in children and adolescents, causing pain,. Diagnosis. Locking Knee Osteochondritis Dissecans.