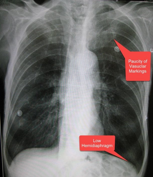
What Does A Flattened Diaphragm Mean . This can contribute to shortness of breath (dyspnea), which is the primary symptom of copd. Diaphragm paralysis is the loss of control of one or both sides of the diaphragm. This movement creates a vacuum in. When you breathe in, your diaphragm contracts (tightens) and flattens, moving down towards your abdomen. Medical imaging scans of the lungs in a person with copd may show visible air pockets, a lowered or flattened diaphragm, and lung enlargement. “a paralyzed diaphragm occurs when there is phrenic nerve damage or. If you have hyperinflated lungs, this means that they’re holding too much air. When you take a breath, the diaphragm contracts and flattens, which causes your chest cavity to expand. Chronic obstructive pulmonary disease (copd) often leads to hyperinflated lungs. The heart may also appear.
from www.slideserve.com
The heart may also appear. “a paralyzed diaphragm occurs when there is phrenic nerve damage or. Diaphragm paralysis is the loss of control of one or both sides of the diaphragm. When you take a breath, the diaphragm contracts and flattens, which causes your chest cavity to expand. If you have hyperinflated lungs, this means that they’re holding too much air. When you breathe in, your diaphragm contracts (tightens) and flattens, moving down towards your abdomen. Chronic obstructive pulmonary disease (copd) often leads to hyperinflated lungs. This movement creates a vacuum in. This can contribute to shortness of breath (dyspnea), which is the primary symptom of copd. Medical imaging scans of the lungs in a person with copd may show visible air pockets, a lowered or flattened diaphragm, and lung enlargement.
PPT Bronchiolitis Clinical Practice An EvidenceBased Approach
What Does A Flattened Diaphragm Mean Chronic obstructive pulmonary disease (copd) often leads to hyperinflated lungs. This can contribute to shortness of breath (dyspnea), which is the primary symptom of copd. When you take a breath, the diaphragm contracts and flattens, which causes your chest cavity to expand. The heart may also appear. Medical imaging scans of the lungs in a person with copd may show visible air pockets, a lowered or flattened diaphragm, and lung enlargement. Diaphragm paralysis is the loss of control of one or both sides of the diaphragm. Chronic obstructive pulmonary disease (copd) often leads to hyperinflated lungs. When you breathe in, your diaphragm contracts (tightens) and flattens, moving down towards your abdomen. If you have hyperinflated lungs, this means that they’re holding too much air. This movement creates a vacuum in. “a paralyzed diaphragm occurs when there is phrenic nerve damage or.
From www.asthmafoundation.org.nz
Dysfunctional breathing Asthma Foundation NZ What Does A Flattened Diaphragm Mean “a paralyzed diaphragm occurs when there is phrenic nerve damage or. When you breathe in, your diaphragm contracts (tightens) and flattens, moving down towards your abdomen. If you have hyperinflated lungs, this means that they’re holding too much air. This movement creates a vacuum in. When you take a breath, the diaphragm contracts and flattens, which causes your chest cavity. What Does A Flattened Diaphragm Mean.
From humanbodylearning.com
How Does the Diaphragm Muscle Work? Watch This Video for Kids What Does A Flattened Diaphragm Mean The heart may also appear. When you take a breath, the diaphragm contracts and flattens, which causes your chest cavity to expand. Diaphragm paralysis is the loss of control of one or both sides of the diaphragm. This can contribute to shortness of breath (dyspnea), which is the primary symptom of copd. Chronic obstructive pulmonary disease (copd) often leads to. What Does A Flattened Diaphragm Mean.
From www.osmosis.org
Anatomy of the diaphragm Video, Anatomy & Definition Osmosis What Does A Flattened Diaphragm Mean When you take a breath, the diaphragm contracts and flattens, which causes your chest cavity to expand. When you breathe in, your diaphragm contracts (tightens) and flattens, moving down towards your abdomen. Diaphragm paralysis is the loss of control of one or both sides of the diaphragm. This movement creates a vacuum in. This can contribute to shortness of breath. What Does A Flattened Diaphragm Mean.
From rc.rcjournal.com
Respiratory Sensations in Dynamic Hyperinflation Physiological and What Does A Flattened Diaphragm Mean If you have hyperinflated lungs, this means that they’re holding too much air. Medical imaging scans of the lungs in a person with copd may show visible air pockets, a lowered or flattened diaphragm, and lung enlargement. The heart may also appear. Diaphragm paralysis is the loss of control of one or both sides of the diaphragm. When you breathe. What Does A Flattened Diaphragm Mean.
From www.simplifiedsciencepublishing.com
How Does the Diaphragm Work? Diaphragm Structure and Function What Does A Flattened Diaphragm Mean If you have hyperinflated lungs, this means that they’re holding too much air. The heart may also appear. When you take a breath, the diaphragm contracts and flattens, which causes your chest cavity to expand. Diaphragm paralysis is the loss of control of one or both sides of the diaphragm. This movement creates a vacuum in. When you breathe in,. What Does A Flattened Diaphragm Mean.
From www.therespiratorysystem.com
The external intercostal muscles or rib cage muscles (located between What Does A Flattened Diaphragm Mean This can contribute to shortness of breath (dyspnea), which is the primary symptom of copd. “a paralyzed diaphragm occurs when there is phrenic nerve damage or. Chronic obstructive pulmonary disease (copd) often leads to hyperinflated lungs. Diaphragm paralysis is the loss of control of one or both sides of the diaphragm. When you breathe in, your diaphragm contracts (tightens) and. What Does A Flattened Diaphragm Mean.
From smartypance.com
Emphysema Smarty PANCE What Does A Flattened Diaphragm Mean “a paralyzed diaphragm occurs when there is phrenic nerve damage or. This movement creates a vacuum in. When you take a breath, the diaphragm contracts and flattens, which causes your chest cavity to expand. If you have hyperinflated lungs, this means that they’re holding too much air. Chronic obstructive pulmonary disease (copd) often leads to hyperinflated lungs. This can contribute. What Does A Flattened Diaphragm Mean.
From mavink.com
Lateral Chest X Ray Diaphragm What Does A Flattened Diaphragm Mean The heart may also appear. When you breathe in, your diaphragm contracts (tightens) and flattens, moving down towards your abdomen. Diaphragm paralysis is the loss of control of one or both sides of the diaphragm. Chronic obstructive pulmonary disease (copd) often leads to hyperinflated lungs. When you take a breath, the diaphragm contracts and flattens, which causes your chest cavity. What Does A Flattened Diaphragm Mean.
From lungs.thecommonvein.net
CXR in Emphysema Lungs What Does A Flattened Diaphragm Mean “a paralyzed diaphragm occurs when there is phrenic nerve damage or. The heart may also appear. This can contribute to shortness of breath (dyspnea), which is the primary symptom of copd. Chronic obstructive pulmonary disease (copd) often leads to hyperinflated lungs. When you take a breath, the diaphragm contracts and flattens, which causes your chest cavity to expand. Medical imaging. What Does A Flattened Diaphragm Mean.
From www.handsonstl.org
Understanding the Airway Part 3 The Diaphragm — Hands On Therapeutics What Does A Flattened Diaphragm Mean When you breathe in, your diaphragm contracts (tightens) and flattens, moving down towards your abdomen. Medical imaging scans of the lungs in a person with copd may show visible air pockets, a lowered or flattened diaphragm, and lung enlargement. This can contribute to shortness of breath (dyspnea), which is the primary symptom of copd. The heart may also appear. “a. What Does A Flattened Diaphragm Mean.
From www.online-sciences.com
Diaphragm anatomy, structure, function, Phrenic nerves and Nerves of What Does A Flattened Diaphragm Mean Chronic obstructive pulmonary disease (copd) often leads to hyperinflated lungs. When you breathe in, your diaphragm contracts (tightens) and flattens, moving down towards your abdomen. This movement creates a vacuum in. Diaphragm paralysis is the loss of control of one or both sides of the diaphragm. This can contribute to shortness of breath (dyspnea), which is the primary symptom of. What Does A Flattened Diaphragm Mean.
From radiopaedia.org
Image What Does A Flattened Diaphragm Mean This movement creates a vacuum in. If you have hyperinflated lungs, this means that they’re holding too much air. This can contribute to shortness of breath (dyspnea), which is the primary symptom of copd. Diaphragm paralysis is the loss of control of one or both sides of the diaphragm. Medical imaging scans of the lungs in a person with copd. What Does A Flattened Diaphragm Mean.
From www.researchgate.net
Posterioranterior chest Xray revealing hyperinflation, flattened What Does A Flattened Diaphragm Mean This movement creates a vacuum in. If you have hyperinflated lungs, this means that they’re holding too much air. When you breathe in, your diaphragm contracts (tightens) and flattens, moving down towards your abdomen. Medical imaging scans of the lungs in a person with copd may show visible air pockets, a lowered or flattened diaphragm, and lung enlargement. Diaphragm paralysis. What Does A Flattened Diaphragm Mean.
From accessdl.state.al.us
5.01 Respiratory System Function What Does A Flattened Diaphragm Mean If you have hyperinflated lungs, this means that they’re holding too much air. The heart may also appear. When you take a breath, the diaphragm contracts and flattens, which causes your chest cavity to expand. When you breathe in, your diaphragm contracts (tightens) and flattens, moving down towards your abdomen. “a paralyzed diaphragm occurs when there is phrenic nerve damage. What Does A Flattened Diaphragm Mean.
From www.youtube.com
Chest xray, Tenting of hemidiaphragms YouTube What Does A Flattened Diaphragm Mean This can contribute to shortness of breath (dyspnea), which is the primary symptom of copd. Medical imaging scans of the lungs in a person with copd may show visible air pockets, a lowered or flattened diaphragm, and lung enlargement. When you take a breath, the diaphragm contracts and flattens, which causes your chest cavity to expand. When you breathe in,. What Does A Flattened Diaphragm Mean.
From www.slideserve.com
PPT Bronchiolitis Clinical Practice An EvidenceBased Approach What Does A Flattened Diaphragm Mean The heart may also appear. This movement creates a vacuum in. When you take a breath, the diaphragm contracts and flattens, which causes your chest cavity to expand. Diaphragm paralysis is the loss of control of one or both sides of the diaphragm. When you breathe in, your diaphragm contracts (tightens) and flattens, moving down towards your abdomen. Medical imaging. What Does A Flattened Diaphragm Mean.
From www.slideserve.com
PPT Chest Xray Interpretation Quiz PowerPoint Presentation ID481118 What Does A Flattened Diaphragm Mean Diaphragm paralysis is the loss of control of one or both sides of the diaphragm. The heart may also appear. “a paralyzed diaphragm occurs when there is phrenic nerve damage or. This can contribute to shortness of breath (dyspnea), which is the primary symptom of copd. If you have hyperinflated lungs, this means that they’re holding too much air. Medical. What Does A Flattened Diaphragm Mean.
From resources.time.leeds.ac.uk
ABG paper print out What Does A Flattened Diaphragm Mean “a paralyzed diaphragm occurs when there is phrenic nerve damage or. The heart may also appear. Diaphragm paralysis is the loss of control of one or both sides of the diaphragm. Chronic obstructive pulmonary disease (copd) often leads to hyperinflated lungs. When you breathe in, your diaphragm contracts (tightens) and flattens, moving down towards your abdomen. This movement creates a. What Does A Flattened Diaphragm Mean.
From www.slideshare.net
Cvr revision copy What Does A Flattened Diaphragm Mean When you take a breath, the diaphragm contracts and flattens, which causes your chest cavity to expand. The heart may also appear. When you breathe in, your diaphragm contracts (tightens) and flattens, moving down towards your abdomen. “a paralyzed diaphragm occurs when there is phrenic nerve damage or. This movement creates a vacuum in. Chronic obstructive pulmonary disease (copd) often. What Does A Flattened Diaphragm Mean.
From www.slideserve.com
PPT Chronic Obstructive Pulmonary Disease and Asthma Update What Does A Flattened Diaphragm Mean “a paralyzed diaphragm occurs when there is phrenic nerve damage or. This can contribute to shortness of breath (dyspnea), which is the primary symptom of copd. Diaphragm paralysis is the loss of control of one or both sides of the diaphragm. When you breathe in, your diaphragm contracts (tightens) and flattens, moving down towards your abdomen. This movement creates a. What Does A Flattened Diaphragm Mean.
From radiopaedia.org
Image What Does A Flattened Diaphragm Mean The heart may also appear. “a paralyzed diaphragm occurs when there is phrenic nerve damage or. When you take a breath, the diaphragm contracts and flattens, which causes your chest cavity to expand. Medical imaging scans of the lungs in a person with copd may show visible air pockets, a lowered or flattened diaphragm, and lung enlargement. This movement creates. What Does A Flattened Diaphragm Mean.
From www.saem.org
Chest Radiograph What Does A Flattened Diaphragm Mean When you take a breath, the diaphragm contracts and flattens, which causes your chest cavity to expand. Medical imaging scans of the lungs in a person with copd may show visible air pockets, a lowered or flattened diaphragm, and lung enlargement. This movement creates a vacuum in. If you have hyperinflated lungs, this means that they’re holding too much air.. What Does A Flattened Diaphragm Mean.
From www.slideserve.com
PPT Airway Disease PowerPoint Presentation, free download ID1836815 What Does A Flattened Diaphragm Mean “a paralyzed diaphragm occurs when there is phrenic nerve damage or. Chronic obstructive pulmonary disease (copd) often leads to hyperinflated lungs. This movement creates a vacuum in. If you have hyperinflated lungs, this means that they’re holding too much air. The heart may also appear. When you take a breath, the diaphragm contracts and flattens, which causes your chest cavity. What Does A Flattened Diaphragm Mean.
From medschool.co
Diaphragmatic Position Chest XRay MedSchool What Does A Flattened Diaphragm Mean Diaphragm paralysis is the loss of control of one or both sides of the diaphragm. The heart may also appear. Medical imaging scans of the lungs in a person with copd may show visible air pockets, a lowered or flattened diaphragm, and lung enlargement. If you have hyperinflated lungs, this means that they’re holding too much air. When you breathe. What Does A Flattened Diaphragm Mean.
From yogamedicine.com
The Power of the Diaphragm Part II Yoga Medicine What Does A Flattened Diaphragm Mean Medical imaging scans of the lungs in a person with copd may show visible air pockets, a lowered or flattened diaphragm, and lung enlargement. Chronic obstructive pulmonary disease (copd) often leads to hyperinflated lungs. “a paralyzed diaphragm occurs when there is phrenic nerve damage or. When you take a breath, the diaphragm contracts and flattens, which causes your chest cavity. What Does A Flattened Diaphragm Mean.
From www.slideserve.com
PPT Basics of Chest XRay PowerPoint Presentation ID5595574 What Does A Flattened Diaphragm Mean Chronic obstructive pulmonary disease (copd) often leads to hyperinflated lungs. If you have hyperinflated lungs, this means that they’re holding too much air. This movement creates a vacuum in. The heart may also appear. When you breathe in, your diaphragm contracts (tightens) and flattens, moving down towards your abdomen. When you take a breath, the diaphragm contracts and flattens, which. What Does A Flattened Diaphragm Mean.
From www.andreasastier.com
Chest XRay For Students How to Interpret and Present Methodically What Does A Flattened Diaphragm Mean When you breathe in, your diaphragm contracts (tightens) and flattens, moving down towards your abdomen. This movement creates a vacuum in. When you take a breath, the diaphragm contracts and flattens, which causes your chest cavity to expand. “a paralyzed diaphragm occurs when there is phrenic nerve damage or. Medical imaging scans of the lungs in a person with copd. What Does A Flattened Diaphragm Mean.
From www.semanticscholar.org
Figure 1 from The "Flat Diaphragm" Does the Degree of Curvature of the What Does A Flattened Diaphragm Mean Diaphragm paralysis is the loss of control of one or both sides of the diaphragm. The heart may also appear. This movement creates a vacuum in. Medical imaging scans of the lungs in a person with copd may show visible air pockets, a lowered or flattened diaphragm, and lung enlargement. When you breathe in, your diaphragm contracts (tightens) and flattens,. What Does A Flattened Diaphragm Mean.
From www.yoganatomy.com
Diaphragm Muscle, Its Attachments and Actions Yoganatomy What Does A Flattened Diaphragm Mean Chronic obstructive pulmonary disease (copd) often leads to hyperinflated lungs. This can contribute to shortness of breath (dyspnea), which is the primary symptom of copd. When you breathe in, your diaphragm contracts (tightens) and flattens, moving down towards your abdomen. When you take a breath, the diaphragm contracts and flattens, which causes your chest cavity to expand. Diaphragm paralysis is. What Does A Flattened Diaphragm Mean.
From happynutritionhappybrain-asha.blogspot.com
WOMENS HEALTH CONTRACEPTION...CONTINUED What Does A Flattened Diaphragm Mean Diaphragm paralysis is the loss of control of one or both sides of the diaphragm. Medical imaging scans of the lungs in a person with copd may show visible air pockets, a lowered or flattened diaphragm, and lung enlargement. When you take a breath, the diaphragm contracts and flattens, which causes your chest cavity to expand. This can contribute to. What Does A Flattened Diaphragm Mean.
From azopt.net
Understanding the Diaphragm Arizona Orthopedic Physical Therapy What Does A Flattened Diaphragm Mean This movement creates a vacuum in. This can contribute to shortness of breath (dyspnea), which is the primary symptom of copd. If you have hyperinflated lungs, this means that they’re holding too much air. The heart may also appear. Diaphragm paralysis is the loss of control of one or both sides of the diaphragm. Chronic obstructive pulmonary disease (copd) often. What Does A Flattened Diaphragm Mean.
From www.airphysiotherapy.co.uk
Here to help with your breathing pattern issues. Air Physiotherapy What Does A Flattened Diaphragm Mean This movement creates a vacuum in. If you have hyperinflated lungs, this means that they’re holding too much air. Diaphragm paralysis is the loss of control of one or both sides of the diaphragm. Medical imaging scans of the lungs in a person with copd may show visible air pockets, a lowered or flattened diaphragm, and lung enlargement. Chronic obstructive. What Does A Flattened Diaphragm Mean.
From ar.inspiredpencil.com
Chest X Ray Copd What Does A Flattened Diaphragm Mean This movement creates a vacuum in. Diaphragm paralysis is the loss of control of one or both sides of the diaphragm. The heart may also appear. This can contribute to shortness of breath (dyspnea), which is the primary symptom of copd. Chronic obstructive pulmonary disease (copd) often leads to hyperinflated lungs. If you have hyperinflated lungs, this means that they’re. What Does A Flattened Diaphragm Mean.
From www.vecteezy.com
Diagram showing diaphragm functions in breathing 2747522 Vector Art at What Does A Flattened Diaphragm Mean If you have hyperinflated lungs, this means that they’re holding too much air. When you breathe in, your diaphragm contracts (tightens) and flattens, moving down towards your abdomen. Diaphragm paralysis is the loss of control of one or both sides of the diaphragm. This can contribute to shortness of breath (dyspnea), which is the primary symptom of copd. “a paralyzed. What Does A Flattened Diaphragm Mean.
From www.pinterest.com
Mastering the Art of Ventilation What Does A Flattened Diaphragm Mean When you take a breath, the diaphragm contracts and flattens, which causes your chest cavity to expand. “a paralyzed diaphragm occurs when there is phrenic nerve damage or. When you breathe in, your diaphragm contracts (tightens) and flattens, moving down towards your abdomen. Diaphragm paralysis is the loss of control of one or both sides of the diaphragm. Chronic obstructive. What Does A Flattened Diaphragm Mean.