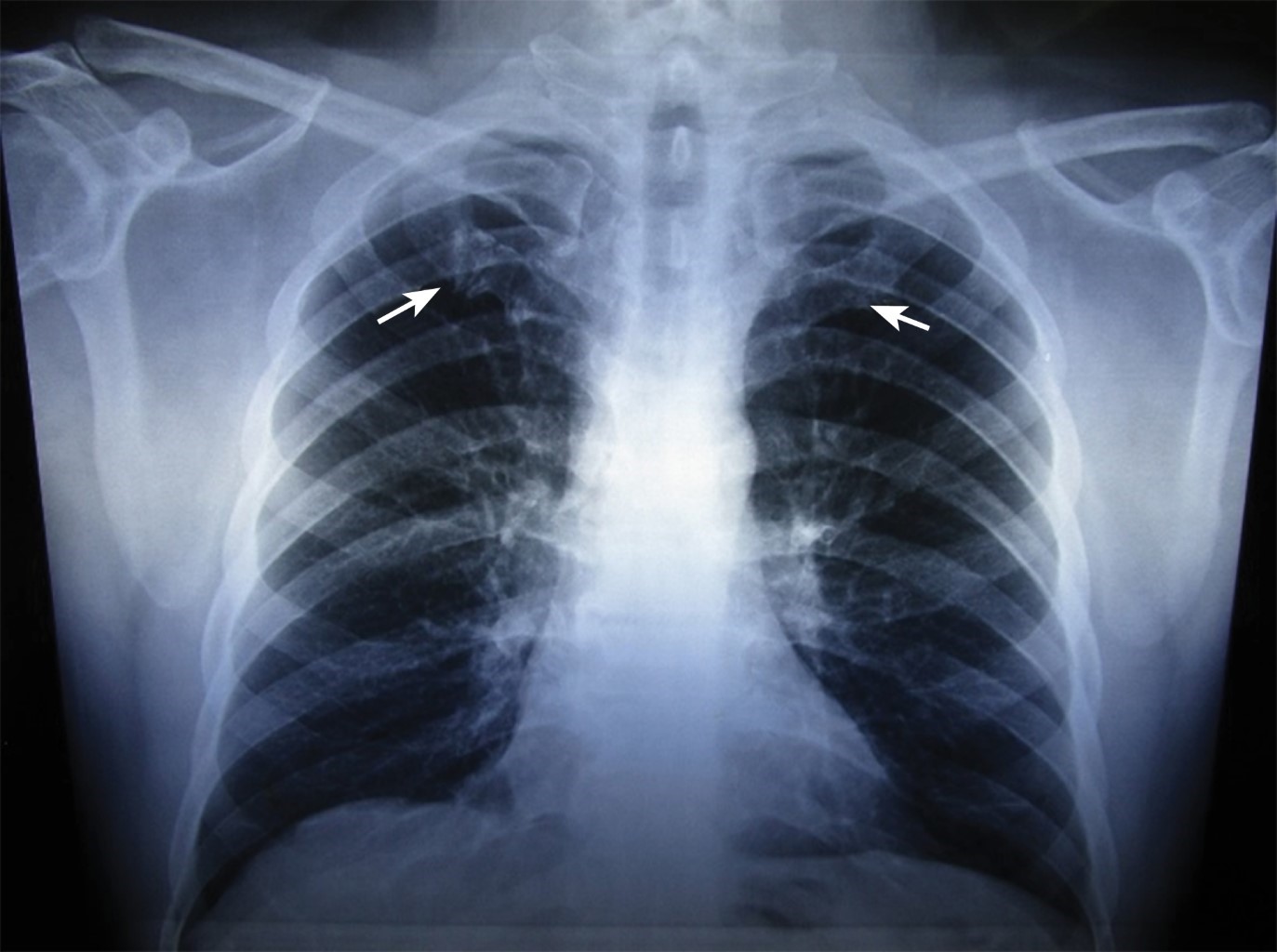
Costochondritis Junction . Costochondral junctions, where the costal cartilages articulate with the sternum, are crucial in costochondritis. Tietze syndrome is very similar to costochondritis, another type of irritation in your costochondral joint. md explores its origins, signs, diagnosis, and remedies. Costochondritis is an agonizing inflammation in the chest, often mistaken for a heart attack. It can be scary to feel chest pain, especially if it’s on the same. Costochondritis is inflammation in your costochondral joints — the cartilage that joins your ribs to your sternum (breastbone). They are structurally classified as primary cartilaginous joints (synchondrosis) in which bones are joined by hyaline cartilage. Costochondritis is a commonly encountered condition in primary care that is characterized by chest wall pain from inflammation in the. The costochondral joints are joints of the thoracic wall that connect the sternal ends of the ribs and their respective costal cartilages.
from www.animalia-life.club
It can be scary to feel chest pain, especially if it’s on the same. md explores its origins, signs, diagnosis, and remedies. They are structurally classified as primary cartilaginous joints (synchondrosis) in which bones are joined by hyaline cartilage. Costochondritis is inflammation in your costochondral joints — the cartilage that joins your ribs to your sternum (breastbone). Costochondral junctions, where the costal cartilages articulate with the sternum, are crucial in costochondritis. Tietze syndrome is very similar to costochondritis, another type of irritation in your costochondral joint. Costochondritis is an agonizing inflammation in the chest, often mistaken for a heart attack. Costochondritis is a commonly encountered condition in primary care that is characterized by chest wall pain from inflammation in the. The costochondral joints are joints of the thoracic wall that connect the sternal ends of the ribs and their respective costal cartilages.
1st Costochondral Junction
Costochondritis Junction md explores its origins, signs, diagnosis, and remedies. Tietze syndrome is very similar to costochondritis, another type of irritation in your costochondral joint. Costochondral junctions, where the costal cartilages articulate with the sternum, are crucial in costochondritis. md explores its origins, signs, diagnosis, and remedies. They are structurally classified as primary cartilaginous joints (synchondrosis) in which bones are joined by hyaline cartilage. The costochondral joints are joints of the thoracic wall that connect the sternal ends of the ribs and their respective costal cartilages. Costochondritis is inflammation in your costochondral joints — the cartilage that joins your ribs to your sternum (breastbone). Costochondritis is an agonizing inflammation in the chest, often mistaken for a heart attack. It can be scary to feel chest pain, especially if it’s on the same. Costochondritis is a commonly encountered condition in primary care that is characterized by chest wall pain from inflammation in the.
From www.youtube.com
Costochondritis vs Tietze's Syndrome (Pain in Chest Region) Dr Mandell YouTube Costochondritis Junction Costochondritis is an agonizing inflammation in the chest, often mistaken for a heart attack. Costochondral junctions, where the costal cartilages articulate with the sternum, are crucial in costochondritis. The costochondral joints are joints of the thoracic wall that connect the sternal ends of the ribs and their respective costal cartilages. They are structurally classified as primary cartilaginous joints (synchondrosis) in. Costochondritis Junction.
From www.freepik.com
Premium Vector Costochondritis Cartilage Sternum Rib Costochondritis Junction Vector Illustration Costochondritis Junction It can be scary to feel chest pain, especially if it’s on the same. The costochondral joints are joints of the thoracic wall that connect the sternal ends of the ribs and their respective costal cartilages. Costochondritis is an agonizing inflammation in the chest, often mistaken for a heart attack. md explores its origins, signs, diagnosis, and remedies. Costochondritis is. Costochondritis Junction.
From creakyjoints.org
Costochondritis and Arthritis Understanding Symptoms and Treatment Costochondritis Junction md explores its origins, signs, diagnosis, and remedies. Tietze syndrome is very similar to costochondritis, another type of irritation in your costochondral joint. It can be scary to feel chest pain, especially if it’s on the same. Costochondritis is an agonizing inflammation in the chest, often mistaken for a heart attack. They are structurally classified as primary cartilaginous joints (synchondrosis). Costochondritis Junction.
From imgarcade.com
Gallery For > Costochondral Joint Costochondritis Junction Costochondritis is a commonly encountered condition in primary care that is characterized by chest wall pain from inflammation in the. It can be scary to feel chest pain, especially if it’s on the same. Costochondritis is inflammation in your costochondral joints — the cartilage that joins your ribs to your sternum (breastbone). The costochondral joints are joints of the thoracic. Costochondritis Junction.
From medizzy.com
Costochondritis Symptoms MEDizzy Costochondritis Junction It can be scary to feel chest pain, especially if it’s on the same. md explores its origins, signs, diagnosis, and remedies. Costochondral junctions, where the costal cartilages articulate with the sternum, are crucial in costochondritis. Costochondritis is an agonizing inflammation in the chest, often mistaken for a heart attack. Costochondritis is inflammation in your costochondral joints — the cartilage. Costochondritis Junction.
From www.pinterest.com
Pin on Costochondritis Costochondritis Junction The costochondral joints are joints of the thoracic wall that connect the sternal ends of the ribs and their respective costal cartilages. It can be scary to feel chest pain, especially if it’s on the same. Costochondritis is an agonizing inflammation in the chest, often mistaken for a heart attack. Costochondral junctions, where the costal cartilages articulate with the sternum,. Costochondritis Junction.
From www.freepik.com
Premium Vector Costochondritis Cartilage Sternum Rib Costochondritis Junction Vector Costochondritis Junction They are structurally classified as primary cartilaginous joints (synchondrosis) in which bones are joined by hyaline cartilage. Costochondritis is inflammation in your costochondral joints — the cartilage that joins your ribs to your sternum (breastbone). md explores its origins, signs, diagnosis, and remedies. Costochondritis is a commonly encountered condition in primary care that is characterized by chest wall pain from. Costochondritis Junction.
From www.bodystance.co.nz
Backpod helps Costochondritis and Tietze’s Syndrome Bodystance Costochondritis Junction Costochondritis is inflammation in your costochondral joints — the cartilage that joins your ribs to your sternum (breastbone). The costochondral joints are joints of the thoracic wall that connect the sternal ends of the ribs and their respective costal cartilages. md explores its origins, signs, diagnosis, and remedies. They are structurally classified as primary cartilaginous joints (synchondrosis) in which bones. Costochondritis Junction.
From ralfthiel.hubpages.com
Living with the Tietze Syndrome (Costochondritis) HubPages Costochondritis Junction md explores its origins, signs, diagnosis, and remedies. It can be scary to feel chest pain, especially if it’s on the same. Tietze syndrome is very similar to costochondritis, another type of irritation in your costochondral joint. Costochondritis is a commonly encountered condition in primary care that is characterized by chest wall pain from inflammation in the. The costochondral joints. Costochondritis Junction.
From atlantaspineinstitute.com
Costochondritis Atlanta, GA Spine Surgery Costochondritis Junction They are structurally classified as primary cartilaginous joints (synchondrosis) in which bones are joined by hyaline cartilage. Tietze syndrome is very similar to costochondritis, another type of irritation in your costochondral joint. The costochondral joints are joints of the thoracic wall that connect the sternal ends of the ribs and their respective costal cartilages. md explores its origins, signs, diagnosis,. Costochondritis Junction.
From www.healthymagazine.net
What is Costochondritis Symptoms , Causes, Treatment Healthy Magazine Costochondritis Junction Costochondritis is inflammation in your costochondral joints — the cartilage that joins your ribs to your sternum (breastbone). Costochondritis is an agonizing inflammation in the chest, often mistaken for a heart attack. Tietze syndrome is very similar to costochondritis, another type of irritation in your costochondral joint. It can be scary to feel chest pain, especially if it’s on the. Costochondritis Junction.
From www.slideserve.com
PPT Costochondritis PowerPoint Presentation ID371208 Costochondritis Junction Costochondral junctions, where the costal cartilages articulate with the sternum, are crucial in costochondritis. The costochondral joints are joints of the thoracic wall that connect the sternal ends of the ribs and their respective costal cartilages. Tietze syndrome is very similar to costochondritis, another type of irritation in your costochondral joint. md explores its origins, signs, diagnosis, and remedies. It. Costochondritis Junction.
From doctor.fsetyt.com
Costochondritis Doctor Costochondritis Junction The costochondral joints are joints of the thoracic wall that connect the sternal ends of the ribs and their respective costal cartilages. It can be scary to feel chest pain, especially if it’s on the same. Costochondritis is inflammation in your costochondral joints — the cartilage that joins your ribs to your sternum (breastbone). Costochondral junctions, where the costal cartilages. Costochondritis Junction.
From www.animalia-life.club
1st Costochondral Junction Costochondritis Junction md explores its origins, signs, diagnosis, and remedies. The costochondral joints are joints of the thoracic wall that connect the sternal ends of the ribs and their respective costal cartilages. Costochondritis is an agonizing inflammation in the chest, often mistaken for a heart attack. They are structurally classified as primary cartilaginous joints (synchondrosis) in which bones are joined by hyaline. Costochondritis Junction.
From www.rehabmypatient.com
Costochondritis Rehab My Patient Costochondritis Junction Tietze syndrome is very similar to costochondritis, another type of irritation in your costochondral joint. The costochondral joints are joints of the thoracic wall that connect the sternal ends of the ribs and their respective costal cartilages. It can be scary to feel chest pain, especially if it’s on the same. Costochondritis is inflammation in your costochondral joints — the. Costochondritis Junction.
From bloomsburyhealthcentre.co.uk
Costochondritis TSPP03 Bloomsbury Health Centre Costochondritis Junction They are structurally classified as primary cartilaginous joints (synchondrosis) in which bones are joined by hyaline cartilage. The costochondral joints are joints of the thoracic wall that connect the sternal ends of the ribs and their respective costal cartilages. Costochondritis is an agonizing inflammation in the chest, often mistaken for a heart attack. Tietze syndrome is very similar to costochondritis,. Costochondritis Junction.
From healthjade.net
Costochondritis Causes, Symptoms, Locations, Duration & Treatment Costochondritis Junction Costochondritis is a commonly encountered condition in primary care that is characterized by chest wall pain from inflammation in the. Costochondritis is inflammation in your costochondral joints — the cartilage that joins your ribs to your sternum (breastbone). They are structurally classified as primary cartilaginous joints (synchondrosis) in which bones are joined by hyaline cartilage. md explores its origins, signs,. Costochondritis Junction.
From antoinettebyrne.com
Chest Pain & Costochondritis Byrne Costochondritis Junction They are structurally classified as primary cartilaginous joints (synchondrosis) in which bones are joined by hyaline cartilage. The costochondral joints are joints of the thoracic wall that connect the sternal ends of the ribs and their respective costal cartilages. Costochondritis is a commonly encountered condition in primary care that is characterized by chest wall pain from inflammation in the. md. Costochondritis Junction.
From www.artofit.org
A healing touch the power of prayer Artofit Costochondritis Junction The costochondral joints are joints of the thoracic wall that connect the sternal ends of the ribs and their respective costal cartilages. md explores its origins, signs, diagnosis, and remedies. Costochondritis is an agonizing inflammation in the chest, often mistaken for a heart attack. They are structurally classified as primary cartilaginous joints (synchondrosis) in which bones are joined by hyaline. Costochondritis Junction.
From www.physio-pedia.com
Costochondritis Physiopedia Costochondritis Junction Costochondritis is an agonizing inflammation in the chest, often mistaken for a heart attack. The costochondral joints are joints of the thoracic wall that connect the sternal ends of the ribs and their respective costal cartilages. md explores its origins, signs, diagnosis, and remedies. Costochondritis is inflammation in your costochondral joints — the cartilage that joins your ribs to your. Costochondritis Junction.
From www.verywellhealth.com
Costochondritis Overview and More Costochondritis Junction Costochondritis is inflammation in your costochondral joints — the cartilage that joins your ribs to your sternum (breastbone). The costochondral joints are joints of the thoracic wall that connect the sternal ends of the ribs and their respective costal cartilages. They are structurally classified as primary cartilaginous joints (synchondrosis) in which bones are joined by hyaline cartilage. It can be. Costochondritis Junction.
From www.posturafacile.it
Costocondrite e Postura Costochondritis Junction It can be scary to feel chest pain, especially if it’s on the same. Costochondritis is a commonly encountered condition in primary care that is characterized by chest wall pain from inflammation in the. Costochondritis is inflammation in your costochondral joints — the cartilage that joins your ribs to your sternum (breastbone). md explores its origins, signs, diagnosis, and remedies.. Costochondritis Junction.
From www.kenhub.com
Costochondral joint (junction) Anatomy, function Kenhub Costochondritis Junction It can be scary to feel chest pain, especially if it’s on the same. Tietze syndrome is very similar to costochondritis, another type of irritation in your costochondral joint. Costochondritis is a commonly encountered condition in primary care that is characterized by chest wall pain from inflammation in the. The costochondral joints are joints of the thoracic wall that connect. Costochondritis Junction.
From www.physio-pedia.com
Costochondritis Physiopedia Costochondritis Junction Tietze syndrome is very similar to costochondritis, another type of irritation in your costochondral joint. The costochondral joints are joints of the thoracic wall that connect the sternal ends of the ribs and their respective costal cartilages. Costochondritis is a commonly encountered condition in primary care that is characterized by chest wall pain from inflammation in the. Costochondritis is an. Costochondritis Junction.
From healthjade.com
Costochondritis Causes, Symptoms, Locations, Duration & Treatment Costochondritis Junction It can be scary to feel chest pain, especially if it’s on the same. Costochondritis is an agonizing inflammation in the chest, often mistaken for a heart attack. Tietze syndrome is very similar to costochondritis, another type of irritation in your costochondral joint. They are structurally classified as primary cartilaginous joints (synchondrosis) in which bones are joined by hyaline cartilage.. Costochondritis Junction.
From centenoschultz.com
New Treatment for Costochondritis Thoracic Spine Series Costochondritis Junction md explores its origins, signs, diagnosis, and remedies. Costochondritis is an agonizing inflammation in the chest, often mistaken for a heart attack. Tietze syndrome is very similar to costochondritis, another type of irritation in your costochondral joint. Costochondral junctions, where the costal cartilages articulate with the sternum, are crucial in costochondritis. Costochondritis is a commonly encountered condition in primary care. Costochondritis Junction.
From www.enthesis.info
Costochondritis as a Cause of Undiagnosed Chest Pain Costochondritis Junction Costochondritis is an agonizing inflammation in the chest, often mistaken for a heart attack. It can be scary to feel chest pain, especially if it’s on the same. Costochondritis is a commonly encountered condition in primary care that is characterized by chest wall pain from inflammation in the. md explores its origins, signs, diagnosis, and remedies. Tietze syndrome is very. Costochondritis Junction.
From www.slideshare.net
Costochondritis Costochondritis Junction Costochondritis is an agonizing inflammation in the chest, often mistaken for a heart attack. Costochondritis is inflammation in your costochondral joints — the cartilage that joins your ribs to your sternum (breastbone). Tietze syndrome is very similar to costochondritis, another type of irritation in your costochondral joint. It can be scary to feel chest pain, especially if it’s on the. Costochondritis Junction.
From www.earthslab.com
Costochondral and Chondrosternal Joints Earth's Lab Costochondritis Junction Costochondritis is inflammation in your costochondral joints — the cartilage that joins your ribs to your sternum (breastbone). Tietze syndrome is very similar to costochondritis, another type of irritation in your costochondral joint. Costochondritis is a commonly encountered condition in primary care that is characterized by chest wall pain from inflammation in the. It can be scary to feel chest. Costochondritis Junction.
From mobilephysiotherapyclinic.in
Costochondritis Cuase,Symptoms, Diagnosis, Treatment, Physiotherapy Costochondritis Junction Tietze syndrome is very similar to costochondritis, another type of irritation in your costochondral joint. They are structurally classified as primary cartilaginous joints (synchondrosis) in which bones are joined by hyaline cartilage. Costochondritis is inflammation in your costochondral joints — the cartilage that joins your ribs to your sternum (breastbone). It can be scary to feel chest pain, especially if. Costochondritis Junction.
From centenoschultz.com
Costochondritis of the Thoracic Spine All You Need to Know Costochondritis Junction They are structurally classified as primary cartilaginous joints (synchondrosis) in which bones are joined by hyaline cartilage. Costochondritis is a commonly encountered condition in primary care that is characterized by chest wall pain from inflammation in the. md explores its origins, signs, diagnosis, and remedies. Costochondral junctions, where the costal cartilages articulate with the sternum, are crucial in costochondritis. It. Costochondritis Junction.
From www.drthindhomeopathy.com
Costochondritis Causes, Symptoms, Diagnosis & Treatment Costochondritis Junction The costochondral joints are joints of the thoracic wall that connect the sternal ends of the ribs and their respective costal cartilages. Costochondritis is inflammation in your costochondral joints — the cartilage that joins your ribs to your sternum (breastbone). md explores its origins, signs, diagnosis, and remedies. Costochondritis is an agonizing inflammation in the chest, often mistaken for a. Costochondritis Junction.
From www.dxline.info
Costochondritis. Causes, symptoms, treatment Costochondritis Costochondritis Junction Costochondritis is inflammation in your costochondral joints — the cartilage that joins your ribs to your sternum (breastbone). The costochondral joints are joints of the thoracic wall that connect the sternal ends of the ribs and their respective costal cartilages. Tietze syndrome is very similar to costochondritis, another type of irritation in your costochondral joint. Costochondral junctions, where the costal. Costochondritis Junction.
From www.innova-pain.com
Rib Pain Treatments Costochondritis Innova Pain Clinic Costochondritis Junction Costochondritis is a commonly encountered condition in primary care that is characterized by chest wall pain from inflammation in the. md explores its origins, signs, diagnosis, and remedies. Tietze syndrome is very similar to costochondritis, another type of irritation in your costochondral joint. The costochondral joints are joints of the thoracic wall that connect the sternal ends of the ribs. Costochondritis Junction.
From www.physiocheck.us
Costochondritis Physio Check Costochondritis Junction Costochondral junctions, where the costal cartilages articulate with the sternum, are crucial in costochondritis. The costochondral joints are joints of the thoracic wall that connect the sternal ends of the ribs and their respective costal cartilages. Costochondritis is inflammation in your costochondral joints — the cartilage that joins your ribs to your sternum (breastbone). Costochondritis is a commonly encountered condition. Costochondritis Junction.