Jacket Dental De Porcelana . Descubre las diferencias entre las coronas de metal y porcelana, zirconio y cerámica, y sus beneficios para la salud y el aspecto de tus dientes. una jacket dental es una restauración que recubre totalmente la corona del diente, fabricada a medida en el laboratorio. En este artículo se explican los casos en que se recomiendan, el procedimiento de colocación y el mantenimiento de las coronas dentales. ¿qué son las coronas de porcelana y en qué casos se colocan? Descubre las características, beneficios y casos de uso de este tipo de prótesis fija que mejora la estética y la función dental. en esta guía, examinaremos a fondo los diferentes tipos de coronas dentales disponibles en la actualidad. Si las piezas afectadas son los molares o premolares, hay que optar por los metales o los materiales combinados. Desde las clásicas coronas de porcelana hasta las. — ¿qué son las coronas dentales de porcelana y cómo se clasifican según su composición? ¿qué es el jacket dental en porcelana? Las coronas jacket de porcelana son coronas (fundas) dentales de recubrimiento total. las coronas dentales son prótesis fijas que se colocan sobre un diente o un implante, y que pueden estar hechas de porcelana, metal o zirconio. — si el paciente sufre de alergias a los metales pesados, los materiales más recomendados son las fundas de porcelana y las de zirconio. Se utiliza en casos de caries, fractura, desgaste o endodoncia. En clínica abarno se puede hacer sin metal y en una sola sesión con tecnología cad/cam.
from galvan.es
una jacket dental es una restauración que recubre totalmente la corona del diente, fabricada a medida en el laboratorio. En clínica abarno se puede hacer sin metal y en una sola sesión con tecnología cad/cam. ¿qué son las coronas de porcelana y en qué casos se colocan? — ¿qué son las coronas dentales de porcelana y cómo se clasifican según su composición? Se utiliza en casos de caries, fractura, desgaste o endodoncia. — si el paciente sufre de alergias a los metales pesados, los materiales más recomendados son las fundas de porcelana y las de zirconio. Las coronas jacket de porcelana son coronas (fundas) dentales de recubrimiento total. en esta guía, examinaremos a fondo los diferentes tipos de coronas dentales disponibles en la actualidad. Descubre las diferencias entre las coronas de metal y porcelana, zirconio y cerámica, y sus beneficios para la salud y el aspecto de tus dientes. Descubre las características, beneficios y casos de uso de este tipo de prótesis fija que mejora la estética y la función dental.
Incrustaciones de Porcelana Restauración Dental Estética Clínica Galván
Jacket Dental De Porcelana Descubre las diferencias entre las coronas de metal y porcelana, zirconio y cerámica, y sus beneficios para la salud y el aspecto de tus dientes. Si las piezas afectadas son los molares o premolares, hay que optar por los metales o los materiales combinados. una jacket dental es una restauración que recubre totalmente la corona del diente, fabricada a medida en el laboratorio. — si el paciente sufre de alergias a los metales pesados, los materiales más recomendados son las fundas de porcelana y las de zirconio. Desde las clásicas coronas de porcelana hasta las. ¿qué es el jacket dental en porcelana? las coronas dentales son prótesis fijas que se colocan sobre un diente o un implante, y que pueden estar hechas de porcelana, metal o zirconio. — ¿qué son las coronas dentales de porcelana y cómo se clasifican según su composición? En este artículo se explican los casos en que se recomiendan, el procedimiento de colocación y el mantenimiento de las coronas dentales. ¿qué son las coronas de porcelana y en qué casos se colocan? En clínica abarno se puede hacer sin metal y en una sola sesión con tecnología cad/cam. en esta guía, examinaremos a fondo los diferentes tipos de coronas dentales disponibles en la actualidad. Descubre las características, beneficios y casos de uso de este tipo de prótesis fija que mejora la estética y la función dental. Las coronas jacket de porcelana son coronas (fundas) dentales de recubrimiento total. Se utiliza en casos de caries, fractura, desgaste o endodoncia. Descubre las diferencias entre las coronas de metal y porcelana, zirconio y cerámica, y sus beneficios para la salud y el aspecto de tus dientes.
From bisodontologia.com
Protesis dental en Córdoba Bis Salud "Red Odontológica" Jacket Dental De Porcelana en esta guía, examinaremos a fondo los diferentes tipos de coronas dentales disponibles en la actualidad. las coronas dentales son prótesis fijas que se colocan sobre un diente o un implante, y que pueden estar hechas de porcelana, metal o zirconio. una jacket dental es una restauración que recubre totalmente la corona del diente, fabricada a medida. Jacket Dental De Porcelana.
From clinicajuliansaiz.com
Carillas de Porcelana en Sevilla Julián Saiz Jacket Dental De Porcelana Las coronas jacket de porcelana son coronas (fundas) dentales de recubrimiento total. Desde las clásicas coronas de porcelana hasta las. Descubre las características, beneficios y casos de uso de este tipo de prótesis fija que mejora la estética y la función dental. Descubre las diferencias entre las coronas de metal y porcelana, zirconio y cerámica, y sus beneficios para la. Jacket Dental De Porcelana.
From www.fernandosoria.com
Carillas dentales de porcelana Todo lo que necesitas saber Fernando Jacket Dental De Porcelana ¿qué es el jacket dental en porcelana? Si las piezas afectadas son los molares o premolares, hay que optar por los metales o los materiales combinados. Las coronas jacket de porcelana son coronas (fundas) dentales de recubrimiento total. las coronas dentales son prótesis fijas que se colocan sobre un diente o un implante, y que pueden estar hechas. Jacket Dental De Porcelana.
From keysdentalspecialists.com
Porcelain Crowns Keys Dental Specialists Jacket Dental De Porcelana en esta guía, examinaremos a fondo los diferentes tipos de coronas dentales disponibles en la actualidad. — ¿qué son las coronas dentales de porcelana y cómo se clasifican según su composición? Si las piezas afectadas son los molares o premolares, hay que optar por los metales o los materiales combinados. ¿qué es el jacket dental en porcelana?. Jacket Dental De Porcelana.
From clinicaubiratadeoliveira.blogspot.com
Clínica Ubiratã de Oliveira Porcelana a mãe da estética dental Jacket Dental De Porcelana Descubre las diferencias entre las coronas de metal y porcelana, zirconio y cerámica, y sus beneficios para la salud y el aspecto de tus dientes. en esta guía, examinaremos a fondo los diferentes tipos de coronas dentales disponibles en la actualidad. Desde las clásicas coronas de porcelana hasta las. las coronas dentales son prótesis fijas que se colocan. Jacket Dental De Porcelana.
From galvan.es
Incrustaciones de Porcelana Restauración Dental Estética Clínica Galván Jacket Dental De Porcelana — ¿qué son las coronas dentales de porcelana y cómo se clasifican según su composición? ¿qué es el jacket dental en porcelana? Descubre las características, beneficios y casos de uso de este tipo de prótesis fija que mejora la estética y la función dental. Descubre las diferencias entre las coronas de metal y porcelana, zirconio y cerámica, y. Jacket Dental De Porcelana.
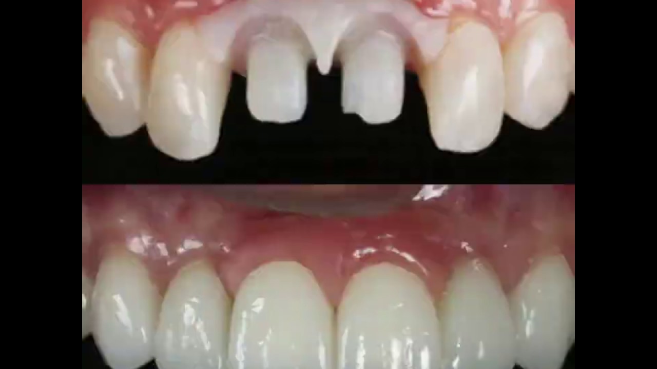
From www.youtube.com
CORONAS JACKET RECUBRIMIENTO TOTAL YouTube Jacket Dental De Porcelana En clínica abarno se puede hacer sin metal y en una sola sesión con tecnología cad/cam. Descubre las características, beneficios y casos de uso de este tipo de prótesis fija que mejora la estética y la función dental. ¿qué es el jacket dental en porcelana? ¿qué son las coronas de porcelana y en qué casos se colocan? . Jacket Dental De Porcelana.
From clinicadavinci.cl
Carillas de porcelana Clínica Da Vinci Jacket Dental De Porcelana En clínica abarno se puede hacer sin metal y en una sola sesión con tecnología cad/cam. ¿qué es el jacket dental en porcelana? las coronas dentales son prótesis fijas que se colocan sobre un diente o un implante, y que pueden estar hechas de porcelana, metal o zirconio. una jacket dental es una restauración que recubre totalmente. Jacket Dental De Porcelana.
From es.scribd.com
Coronas Jacket de Porcelana PDF Diente humano Aluminio Jacket Dental De Porcelana — ¿qué son las coronas dentales de porcelana y cómo se clasifican según su composición? Si las piezas afectadas son los molares o premolares, hay que optar por los metales o los materiales combinados. ¿qué es el jacket dental en porcelana? una jacket dental es una restauración que recubre totalmente la corona del diente, fabricada a medida. Jacket Dental De Porcelana.
From www.pinterest.com
Porcelain jacket crown Odontología, Protesis dentales, Dental Jacket Dental De Porcelana En clínica abarno se puede hacer sin metal y en una sola sesión con tecnología cad/cam. En este artículo se explican los casos en que se recomiendan, el procedimiento de colocación y el mantenimiento de las coronas dentales. ¿qué es el jacket dental en porcelana? una jacket dental es una restauración que recubre totalmente la corona del diente,. Jacket Dental De Porcelana.
From www.westervilledental.com
What is a Porcelain Tooth Crown? Westerville Dental Associates Jacket Dental De Porcelana Descubre las características, beneficios y casos de uso de este tipo de prótesis fija que mejora la estética y la función dental. En este artículo se explican los casos en que se recomiendan, el procedimiento de colocación y el mantenimiento de las coronas dentales. las coronas dentales son prótesis fijas que se colocan sobre un diente o un implante,. Jacket Dental De Porcelana.
From dinosenglish.edu.vn
Álbumes 95+ Foto Como Son Los Dientes De Porcelana El último Jacket Dental De Porcelana Si las piezas afectadas son los molares o premolares, hay que optar por los metales o los materiales combinados. En clínica abarno se puede hacer sin metal y en una sola sesión con tecnología cad/cam. Se utiliza en casos de caries, fractura, desgaste o endodoncia. ¿qué es el jacket dental en porcelana? una jacket dental es una restauración. Jacket Dental De Porcelana.
From clinicasoraldents.com.br
Aparelho de porcelana saiba mais sobre ele, suas vantagens e valores Jacket Dental De Porcelana ¿qué es el jacket dental en porcelana? Descubre las diferencias entre las coronas de metal y porcelana, zirconio y cerámica, y sus beneficios para la salud y el aspecto de tus dientes. Las coronas jacket de porcelana son coronas (fundas) dentales de recubrimiento total. una jacket dental es una restauración que recubre totalmente la corona del diente, fabricada. Jacket Dental De Porcelana.
From odontologiaespecializadasevilla.com
Carillas de Porcelana en Sevilla Clínica Odontología Especializada Jacket Dental De Porcelana — si el paciente sufre de alergias a los metales pesados, los materiales más recomendados son las fundas de porcelana y las de zirconio. Descubre las características, beneficios y casos de uso de este tipo de prótesis fija que mejora la estética y la función dental. Desde las clásicas coronas de porcelana hasta las. en esta guía, examinaremos. Jacket Dental De Porcelana.
From www.annakchoedds.com
Porcelain Jackets annakchoedds Jacket Dental De Porcelana Si las piezas afectadas son los molares o premolares, hay que optar por los metales o los materiales combinados. — si el paciente sufre de alergias a los metales pesados, los materiales más recomendados son las fundas de porcelana y las de zirconio. En clínica abarno se puede hacer sin metal y en una sola sesión con tecnología cad/cam.. Jacket Dental De Porcelana.
From www.youtube.com
Tallado CORONA JACKET DE PORCELANA YouTube Jacket Dental De Porcelana Las coronas jacket de porcelana son coronas (fundas) dentales de recubrimiento total. ¿qué es el jacket dental en porcelana? las coronas dentales son prótesis fijas que se colocan sobre un diente o un implante, y que pueden estar hechas de porcelana, metal o zirconio. Se utiliza en casos de caries, fractura, desgaste o endodoncia. En clínica abarno se. Jacket Dental De Porcelana.
From www.youtube.com
Grande transformação dentes de porcelana e implantes dentários YouTube Jacket Dental De Porcelana — si el paciente sufre de alergias a los metales pesados, los materiales más recomendados son las fundas de porcelana y las de zirconio. en esta guía, examinaremos a fondo los diferentes tipos de coronas dentales disponibles en la actualidad. las coronas dentales son prótesis fijas que se colocan sobre un diente o un implante, y que. Jacket Dental De Porcelana.
From www.propdental.es
Carillas de porcelana Qué son y precio en Propdental Barcelona Jacket Dental De Porcelana Las coronas jacket de porcelana son coronas (fundas) dentales de recubrimiento total. ¿qué es el jacket dental en porcelana? En este artículo se explican los casos en que se recomiendan, el procedimiento de colocación y el mantenimiento de las coronas dentales. Se utiliza en casos de caries, fractura, desgaste o endodoncia. En clínica abarno se puede hacer sin metal. Jacket Dental De Porcelana.
From www.medicalexpo.es
Material dental de porcelana 4021310 DenMat Holdings para Jacket Dental De Porcelana en esta guía, examinaremos a fondo los diferentes tipos de coronas dentales disponibles en la actualidad. Descubre las diferencias entre las coronas de metal y porcelana, zirconio y cerámica, y sus beneficios para la salud y el aspecto de tus dientes. Si las piezas afectadas son los molares o premolares, hay que optar por los metales o los materiales. Jacket Dental De Porcelana.
From gorbatovdentistry.com
Porcelain Crowns, Bridges and Feelings Dr. Gorbatov Dentistry Jacket Dental De Porcelana Si las piezas afectadas son los molares o premolares, hay que optar por los metales o los materiales combinados. Descubre las diferencias entre las coronas de metal y porcelana, zirconio y cerámica, y sus beneficios para la salud y el aspecto de tus dientes. — ¿qué son las coronas dentales de porcelana y cómo se clasifican según su composición?. Jacket Dental De Porcelana.
From odontologiaespecializadasevilla.com
Carillas de Porcelana en Sevilla Clínica Odontología Especializada Jacket Dental De Porcelana Desde las clásicas coronas de porcelana hasta las. las coronas dentales son prótesis fijas que se colocan sobre un diente o un implante, y que pueden estar hechas de porcelana, metal o zirconio. Descubre las diferencias entre las coronas de metal y porcelana, zirconio y cerámica, y sus beneficios para la salud y el aspecto de tus dientes. . Jacket Dental De Porcelana.
From meggadent.blogspot.com
MEGADENT DE PROTESIS DENTAL PORCELANA Jacket Dental De Porcelana — ¿qué son las coronas dentales de porcelana y cómo se clasifican según su composición? En clínica abarno se puede hacer sin metal y en una sola sesión con tecnología cad/cam. ¿qué son las coronas de porcelana y en qué casos se colocan? Si las piezas afectadas son los molares o premolares, hay que optar por los metales. Jacket Dental De Porcelana.
From www.brisbaneprosthodontics.com.au
Services Perfect Porcelain Crowns Brisbane Prosthodontics Jacket Dental De Porcelana ¿qué es el jacket dental en porcelana? una jacket dental es una restauración que recubre totalmente la corona del diente, fabricada a medida en el laboratorio. Las coronas jacket de porcelana son coronas (fundas) dentales de recubrimiento total. las coronas dentales son prótesis fijas que se colocan sobre un diente o un implante, y que pueden estar. Jacket Dental De Porcelana.
From ibludental.com
CARILLAS DENTALES DE PORCELANA Clínica IBlú Dental Jacket Dental De Porcelana Desde las clásicas coronas de porcelana hasta las. En este artículo se explican los casos en que se recomiendan, el procedimiento de colocación y el mantenimiento de las coronas dentales. — ¿qué son las coronas dentales de porcelana y cómo se clasifican según su composición? Se utiliza en casos de caries, fractura, desgaste o endodoncia. ¿qué son las. Jacket Dental De Porcelana.
From www.alexandreortodontia.com.br
Aparelho Estético de Porcelana Ortodontia em Passo Fundo ortopedia facial Jacket Dental De Porcelana Descubre las diferencias entre las coronas de metal y porcelana, zirconio y cerámica, y sus beneficios para la salud y el aspecto de tus dientes. En clínica abarno se puede hacer sin metal y en una sola sesión con tecnología cad/cam. Descubre las características, beneficios y casos de uso de este tipo de prótesis fija que mejora la estética y. Jacket Dental De Porcelana.
From pilaralberca-labdental-ceramica.blogspot.com
DENTCERAMIC Coronas Jacket de porcelana Jacket Dental De Porcelana En este artículo se explican los casos en que se recomiendan, el procedimiento de colocación y el mantenimiento de las coronas dentales. — ¿qué son las coronas dentales de porcelana y cómo se clasifican según su composición? Las coronas jacket de porcelana son coronas (fundas) dentales de recubrimiento total. una jacket dental es una restauración que recubre totalmente. Jacket Dental De Porcelana.
From www.clarusodontologia.com.br
Facetas de Porcelana Clarus Odontologia Jacket Dental De Porcelana las coronas dentales son prótesis fijas que se colocan sobre un diente o un implante, y que pueden estar hechas de porcelana, metal o zirconio. Desde las clásicas coronas de porcelana hasta las. una jacket dental es una restauración que recubre totalmente la corona del diente, fabricada a medida en el laboratorio. Se utiliza en casos de caries,. Jacket Dental De Porcelana.
From www.clinicaabarno.com
JACKET DENTAL (de Cerámica) Explicación FÁCIL Clinica Abarno Jacket Dental De Porcelana Las coronas jacket de porcelana son coronas (fundas) dentales de recubrimiento total. Se utiliza en casos de caries, fractura, desgaste o endodoncia. Descubre las diferencias entre las coronas de metal y porcelana, zirconio y cerámica, y sus beneficios para la salud y el aspecto de tus dientes. las coronas dentales son prótesis fijas que se colocan sobre un diente. Jacket Dental De Porcelana.
From www.ajdentalct.com
Carillas de Porcelana Antes Después. Jacket Dental De Porcelana Las coronas jacket de porcelana son coronas (fundas) dentales de recubrimiento total. ¿qué son las coronas de porcelana y en qué casos se colocan? — ¿qué son las coronas dentales de porcelana y cómo se clasifican según su composición? En este artículo se explican los casos en que se recomiendan, el procedimiento de colocación y el mantenimiento de. Jacket Dental De Porcelana.
From www.youtube.com
Advantages at Disadvantages Ng May Porcelain Jacket Crown YouTube Jacket Dental De Porcelana — si el paciente sufre de alergias a los metales pesados, los materiales más recomendados son las fundas de porcelana y las de zirconio. en esta guía, examinaremos a fondo los diferentes tipos de coronas dentales disponibles en la actualidad. En este artículo se explican los casos en que se recomiendan, el procedimiento de colocación y el mantenimiento. Jacket Dental De Porcelana.
From centromedicoimpala.com
Carillas de Porcelana en Castellón Centro Médico y Centro De Estética Jacket Dental De Porcelana una jacket dental es una restauración que recubre totalmente la corona del diente, fabricada a medida en el laboratorio. Las coronas jacket de porcelana son coronas (fundas) dentales de recubrimiento total. En clínica abarno se puede hacer sin metal y en una sola sesión con tecnología cad/cam. en esta guía, examinaremos a fondo los diferentes tipos de coronas. Jacket Dental De Porcelana.
From previa.mx
Fundas dentales de porcelana, una excelente opción para ti. Jacket Dental De Porcelana ¿qué es el jacket dental en porcelana? Si las piezas afectadas son los molares o premolares, hay que optar por los metales o los materiales combinados. ¿qué son las coronas de porcelana y en qué casos se colocan? Las coronas jacket de porcelana son coronas (fundas) dentales de recubrimiento total. las coronas dentales son prótesis fijas que. Jacket Dental De Porcelana.
From milpitassquaredental.com
Everything you need to know about Dental Jacket 1 DENTIST IN Jacket Dental De Porcelana — ¿qué son las coronas dentales de porcelana y cómo se clasifican según su composición? una jacket dental es una restauración que recubre totalmente la corona del diente, fabricada a medida en el laboratorio. En clínica abarno se puede hacer sin metal y en una sola sesión con tecnología cad/cam. Las coronas jacket de porcelana son coronas (fundas). Jacket Dental De Porcelana.
From bariniodontologia.com.br
Aparelho dental de porcelana tudo o que você precisa saber Barini Jacket Dental De Porcelana ¿qué son las coronas de porcelana y en qué casos se colocan? Si las piezas afectadas son los molares o premolares, hay que optar por los metales o los materiales combinados. una jacket dental es una restauración que recubre totalmente la corona del diente, fabricada a medida en el laboratorio. en esta guía, examinaremos a fondo los. Jacket Dental De Porcelana.
From www.youtube.com
Porcelana Dental em paciente com implante dentário Antes e Depois Jacket Dental De Porcelana las coronas dentales son prótesis fijas que se colocan sobre un diente o un implante, y que pueden estar hechas de porcelana, metal o zirconio. — ¿qué son las coronas dentales de porcelana y cómo se clasifican según su composición? en esta guía, examinaremos a fondo los diferentes tipos de coronas dentales disponibles en la actualidad. . Jacket Dental De Porcelana.