Crohn's And Tb . differentiating crohn’s disease (cd) from intestinal tuberculosis (itb) is a diagnostic dilemma, particularly in regions. differentiation between crohn’s disease and intestinal tuberculosis is difficult but crucial for medical decisions. the differential diagnosis between intestinal tuberculosis and crohn's disease has always been an important concern in asia. discriminating intestinal tuberculosis (itb) and crohn disease (cd) remains an eternal dilemma for clinicians. gastrointestinal tuberculosis (gitb) and crohn’s disease (cd) are both chronic granulomatous diseases with a. intestinal tuberculosis (tb) may mimic crohn’s disease (cd) and may be overlooked where tb is not endemic.
from www.slideshare.net
differentiation between crohn’s disease and intestinal tuberculosis is difficult but crucial for medical decisions. discriminating intestinal tuberculosis (itb) and crohn disease (cd) remains an eternal dilemma for clinicians. the differential diagnosis between intestinal tuberculosis and crohn's disease has always been an important concern in asia. differentiating crohn’s disease (cd) from intestinal tuberculosis (itb) is a diagnostic dilemma, particularly in regions. gastrointestinal tuberculosis (gitb) and crohn’s disease (cd) are both chronic granulomatous diseases with a. intestinal tuberculosis (tb) may mimic crohn’s disease (cd) and may be overlooked where tb is not endemic.
Tb vs crohns
Crohn's And Tb differentiation between crohn’s disease and intestinal tuberculosis is difficult but crucial for medical decisions. gastrointestinal tuberculosis (gitb) and crohn’s disease (cd) are both chronic granulomatous diseases with a. intestinal tuberculosis (tb) may mimic crohn’s disease (cd) and may be overlooked where tb is not endemic. discriminating intestinal tuberculosis (itb) and crohn disease (cd) remains an eternal dilemma for clinicians. the differential diagnosis between intestinal tuberculosis and crohn's disease has always been an important concern in asia. differentiation between crohn’s disease and intestinal tuberculosis is difficult but crucial for medical decisions. differentiating crohn’s disease (cd) from intestinal tuberculosis (itb) is a diagnostic dilemma, particularly in regions.
From www.researchgate.net
Treatment algorithm—Intestinal tuberculosis vs Crohn's Disease. Epstein Crohn's And Tb discriminating intestinal tuberculosis (itb) and crohn disease (cd) remains an eternal dilemma for clinicians. gastrointestinal tuberculosis (gitb) and crohn’s disease (cd) are both chronic granulomatous diseases with a. the differential diagnosis between intestinal tuberculosis and crohn's disease has always been an important concern in asia. differentiation between crohn’s disease and intestinal tuberculosis is difficult but crucial. Crohn's And Tb.
From www.researchgate.net
(PDF) Intestinal tuberculosis can masquerade as Crohn’s disease A Crohn's And Tb intestinal tuberculosis (tb) may mimic crohn’s disease (cd) and may be overlooked where tb is not endemic. discriminating intestinal tuberculosis (itb) and crohn disease (cd) remains an eternal dilemma for clinicians. the differential diagnosis between intestinal tuberculosis and crohn's disease has always been an important concern in asia. gastrointestinal tuberculosis (gitb) and crohn’s disease (cd) are. Crohn's And Tb.
From www.wjgnet.com
Differentiating Crohn’s disease from intestinal tuberculosis Crohn's And Tb gastrointestinal tuberculosis (gitb) and crohn’s disease (cd) are both chronic granulomatous diseases with a. discriminating intestinal tuberculosis (itb) and crohn disease (cd) remains an eternal dilemma for clinicians. intestinal tuberculosis (tb) may mimic crohn’s disease (cd) and may be overlooked where tb is not endemic. the differential diagnosis between intestinal tuberculosis and crohn's disease has always. Crohn's And Tb.
From www.everydayhealth.com
The Link Between Tuberculosis (TB) and IBD How One Woman Learned She Crohn's And Tb differentiating crohn’s disease (cd) from intestinal tuberculosis (itb) is a diagnostic dilemma, particularly in regions. differentiation between crohn’s disease and intestinal tuberculosis is difficult but crucial for medical decisions. gastrointestinal tuberculosis (gitb) and crohn’s disease (cd) are both chronic granulomatous diseases with a. intestinal tuberculosis (tb) may mimic crohn’s disease (cd) and may be overlooked where. Crohn's And Tb.
From www.scribd.com
TB of Small Intestine PDF Crohn's Disease Tuberculosis Crohn's And Tb discriminating intestinal tuberculosis (itb) and crohn disease (cd) remains an eternal dilemma for clinicians. differentiating crohn’s disease (cd) from intestinal tuberculosis (itb) is a diagnostic dilemma, particularly in regions. intestinal tuberculosis (tb) may mimic crohn’s disease (cd) and may be overlooked where tb is not endemic. the differential diagnosis between intestinal tuberculosis and crohn's disease has. Crohn's And Tb.
From www.researchgate.net
(PDF) A Rare Clinical Case of Crohn's disease and Tuberculosis Colitis Crohn's And Tb the differential diagnosis between intestinal tuberculosis and crohn's disease has always been an important concern in asia. discriminating intestinal tuberculosis (itb) and crohn disease (cd) remains an eternal dilemma for clinicians. gastrointestinal tuberculosis (gitb) and crohn’s disease (cd) are both chronic granulomatous diseases with a. differentiating crohn’s disease (cd) from intestinal tuberculosis (itb) is a diagnostic. Crohn's And Tb.
From www.researchgate.net
(PDF) Clinical, Endoscopic, and Histological Differentiations Between Crohn's And Tb differentiating crohn’s disease (cd) from intestinal tuberculosis (itb) is a diagnostic dilemma, particularly in regions. the differential diagnosis between intestinal tuberculosis and crohn's disease has always been an important concern in asia. differentiation between crohn’s disease and intestinal tuberculosis is difficult but crucial for medical decisions. discriminating intestinal tuberculosis (itb) and crohn disease (cd) remains an. Crohn's And Tb.
From www.slideshare.net
Tb vs crohns Crohn's And Tb intestinal tuberculosis (tb) may mimic crohn’s disease (cd) and may be overlooked where tb is not endemic. gastrointestinal tuberculosis (gitb) and crohn’s disease (cd) are both chronic granulomatous diseases with a. differentiation between crohn’s disease and intestinal tuberculosis is difficult but crucial for medical decisions. the differential diagnosis between intestinal tuberculosis and crohn's disease has always. Crohn's And Tb.
From www.researchgate.net
(PDF) Crohn’s disease and tuberculosis; clues to solving the diagnostic Crohn's And Tb the differential diagnosis between intestinal tuberculosis and crohn's disease has always been an important concern in asia. gastrointestinal tuberculosis (gitb) and crohn’s disease (cd) are both chronic granulomatous diseases with a. differentiation between crohn’s disease and intestinal tuberculosis is difficult but crucial for medical decisions. differentiating crohn’s disease (cd) from intestinal tuberculosis (itb) is a diagnostic. Crohn's And Tb.
From www.researchgate.net
Differentiation of Crohn's disease (CD) from intestinal tuberculosis Crohn's And Tb differentiating crohn’s disease (cd) from intestinal tuberculosis (itb) is a diagnostic dilemma, particularly in regions. discriminating intestinal tuberculosis (itb) and crohn disease (cd) remains an eternal dilemma for clinicians. the differential diagnosis between intestinal tuberculosis and crohn's disease has always been an important concern in asia. differentiation between crohn’s disease and intestinal tuberculosis is difficult but. Crohn's And Tb.
From www.wjgnet.com
Histopathology and TBPCR kit analysis in differentiating the diagnosis Crohn's And Tb gastrointestinal tuberculosis (gitb) and crohn’s disease (cd) are both chronic granulomatous diseases with a. the differential diagnosis between intestinal tuberculosis and crohn's disease has always been an important concern in asia. differentiating crohn’s disease (cd) from intestinal tuberculosis (itb) is a diagnostic dilemma, particularly in regions. differentiation between crohn’s disease and intestinal tuberculosis is difficult but. Crohn's And Tb.
From www.slideshare.net
Tb vs crohns Crohn's And Tb differentiation between crohn’s disease and intestinal tuberculosis is difficult but crucial for medical decisions. discriminating intestinal tuberculosis (itb) and crohn disease (cd) remains an eternal dilemma for clinicians. gastrointestinal tuberculosis (gitb) and crohn’s disease (cd) are both chronic granulomatous diseases with a. the differential diagnosis between intestinal tuberculosis and crohn's disease has always been an important. Crohn's And Tb.
From www.researchgate.net
(PDF) Differentiating Crohn’s Disease from Intestinal Tuberculosis Crohn's And Tb differentiating crohn’s disease (cd) from intestinal tuberculosis (itb) is a diagnostic dilemma, particularly in regions. gastrointestinal tuberculosis (gitb) and crohn’s disease (cd) are both chronic granulomatous diseases with a. differentiation between crohn’s disease and intestinal tuberculosis is difficult but crucial for medical decisions. the differential diagnosis between intestinal tuberculosis and crohn's disease has always been an. Crohn's And Tb.
From www.researchgate.net
(PDF) Intestinal tuberculosis and Crohn A clinician’s diagnostic dilemma Crohn's And Tb differentiating crohn’s disease (cd) from intestinal tuberculosis (itb) is a diagnostic dilemma, particularly in regions. intestinal tuberculosis (tb) may mimic crohn’s disease (cd) and may be overlooked where tb is not endemic. gastrointestinal tuberculosis (gitb) and crohn’s disease (cd) are both chronic granulomatous diseases with a. the differential diagnosis between intestinal tuberculosis and crohn's disease has. Crohn's And Tb.
From healthlifemedia.com
Understanding Crohns Disease Health Life Media Crohn's And Tb intestinal tuberculosis (tb) may mimic crohn’s disease (cd) and may be overlooked where tb is not endemic. the differential diagnosis between intestinal tuberculosis and crohn's disease has always been an important concern in asia. discriminating intestinal tuberculosis (itb) and crohn disease (cd) remains an eternal dilemma for clinicians. gastrointestinal tuberculosis (gitb) and crohn’s disease (cd) are. Crohn's And Tb.
From www.researchgate.net
(PDF) Intestinal tuberculosis or Crohn's disease a review of the Crohn's And Tb discriminating intestinal tuberculosis (itb) and crohn disease (cd) remains an eternal dilemma for clinicians. differentiation between crohn’s disease and intestinal tuberculosis is difficult but crucial for medical decisions. the differential diagnosis between intestinal tuberculosis and crohn's disease has always been an important concern in asia. gastrointestinal tuberculosis (gitb) and crohn’s disease (cd) are both chronic granulomatous. Crohn's And Tb.
From www.researchgate.net
Differentiating features between Crohn's disease and intestinal Crohn's And Tb the differential diagnosis between intestinal tuberculosis and crohn's disease has always been an important concern in asia. differentiating crohn’s disease (cd) from intestinal tuberculosis (itb) is a diagnostic dilemma, particularly in regions. gastrointestinal tuberculosis (gitb) and crohn’s disease (cd) are both chronic granulomatous diseases with a. intestinal tuberculosis (tb) may mimic crohn’s disease (cd) and may. Crohn's And Tb.
From www.researchgate.net
Algorithm approach to the bowel wall thickening. CD Crohn’s disease, TB Crohn's And Tb intestinal tuberculosis (tb) may mimic crohn’s disease (cd) and may be overlooked where tb is not endemic. discriminating intestinal tuberculosis (itb) and crohn disease (cd) remains an eternal dilemma for clinicians. differentiation between crohn’s disease and intestinal tuberculosis is difficult but crucial for medical decisions. the differential diagnosis between intestinal tuberculosis and crohn's disease has always. Crohn's And Tb.
From www.researchgate.net
(PDF) Miliary Tuberculosis in a Crohn’s Disease Patient The Risk Crohn's And Tb intestinal tuberculosis (tb) may mimic crohn’s disease (cd) and may be overlooked where tb is not endemic. the differential diagnosis between intestinal tuberculosis and crohn's disease has always been an important concern in asia. gastrointestinal tuberculosis (gitb) and crohn’s disease (cd) are both chronic granulomatous diseases with a. discriminating intestinal tuberculosis (itb) and crohn disease (cd). Crohn's And Tb.
From www.researchgate.net
Contrast fluoroscopy and CT findings in TB and Crohn's disease Crohn's And Tb the differential diagnosis between intestinal tuberculosis and crohn's disease has always been an important concern in asia. differentiating crohn’s disease (cd) from intestinal tuberculosis (itb) is a diagnostic dilemma, particularly in regions. differentiation between crohn’s disease and intestinal tuberculosis is difficult but crucial for medical decisions. discriminating intestinal tuberculosis (itb) and crohn disease (cd) remains an. Crohn's And Tb.
From www.researchgate.net
(PDF) Endoscopic features of gastrointestinal tuberculosis and crohn's Crohn's And Tb differentiation between crohn’s disease and intestinal tuberculosis is difficult but crucial for medical decisions. discriminating intestinal tuberculosis (itb) and crohn disease (cd) remains an eternal dilemma for clinicians. gastrointestinal tuberculosis (gitb) and crohn’s disease (cd) are both chronic granulomatous diseases with a. the differential diagnosis between intestinal tuberculosis and crohn's disease has always been an important. Crohn's And Tb.
From www.researchgate.net
(PDF) Granulomas of Intestinal Tuberculosis and Crohn's Disease Can Be Crohn's And Tb discriminating intestinal tuberculosis (itb) and crohn disease (cd) remains an eternal dilemma for clinicians. differentiating crohn’s disease (cd) from intestinal tuberculosis (itb) is a diagnostic dilemma, particularly in regions. differentiation between crohn’s disease and intestinal tuberculosis is difficult but crucial for medical decisions. gastrointestinal tuberculosis (gitb) and crohn’s disease (cd) are both chronic granulomatous diseases with. Crohn's And Tb.
From jcp.bmj.com
Role of colonoscopic biopsy in distinguishing between Crohn’s disease Crohn's And Tb discriminating intestinal tuberculosis (itb) and crohn disease (cd) remains an eternal dilemma for clinicians. differentiating crohn’s disease (cd) from intestinal tuberculosis (itb) is a diagnostic dilemma, particularly in regions. the differential diagnosis between intestinal tuberculosis and crohn's disease has always been an important concern in asia. intestinal tuberculosis (tb) may mimic crohn’s disease (cd) and may. Crohn's And Tb.
From www.researchgate.net
(PDF) Intestinal tuberculosis previously mistreated as Crohn’s disease Crohn's And Tb differentiating crohn’s disease (cd) from intestinal tuberculosis (itb) is a diagnostic dilemma, particularly in regions. discriminating intestinal tuberculosis (itb) and crohn disease (cd) remains an eternal dilemma for clinicians. differentiation between crohn’s disease and intestinal tuberculosis is difficult but crucial for medical decisions. gastrointestinal tuberculosis (gitb) and crohn’s disease (cd) are both chronic granulomatous diseases with. Crohn's And Tb.
From www.wjgnet.com
Differentiating Crohn’s disease from intestinal tuberculosis Crohn's And Tb differentiating crohn’s disease (cd) from intestinal tuberculosis (itb) is a diagnostic dilemma, particularly in regions. intestinal tuberculosis (tb) may mimic crohn’s disease (cd) and may be overlooked where tb is not endemic. gastrointestinal tuberculosis (gitb) and crohn’s disease (cd) are both chronic granulomatous diseases with a. differentiation between crohn’s disease and intestinal tuberculosis is difficult but. Crohn's And Tb.
From www.researchgate.net
Differentiating Crohn's disease from ileocecal tuberculosis Download Crohn's And Tb intestinal tuberculosis (tb) may mimic crohn’s disease (cd) and may be overlooked where tb is not endemic. the differential diagnosis between intestinal tuberculosis and crohn's disease has always been an important concern in asia. differentiating crohn’s disease (cd) from intestinal tuberculosis (itb) is a diagnostic dilemma, particularly in regions. differentiation between crohn’s disease and intestinal tuberculosis. Crohn's And Tb.
From www.clinicalradiologyonline.net
Differentiation of Crohn's disease, ulcerative colitis, and intestinal Crohn's And Tb gastrointestinal tuberculosis (gitb) and crohn’s disease (cd) are both chronic granulomatous diseases with a. differentiating crohn’s disease (cd) from intestinal tuberculosis (itb) is a diagnostic dilemma, particularly in regions. discriminating intestinal tuberculosis (itb) and crohn disease (cd) remains an eternal dilemma for clinicians. differentiation between crohn’s disease and intestinal tuberculosis is difficult but crucial for medical. Crohn's And Tb.
From www.researchgate.net
(PDF) Is Crohn's disease caused by a mycobacterium? Comparisons with Crohn's And Tb gastrointestinal tuberculosis (gitb) and crohn’s disease (cd) are both chronic granulomatous diseases with a. intestinal tuberculosis (tb) may mimic crohn’s disease (cd) and may be overlooked where tb is not endemic. differentiation between crohn’s disease and intestinal tuberculosis is difficult but crucial for medical decisions. differentiating crohn’s disease (cd) from intestinal tuberculosis (itb) is a diagnostic. Crohn's And Tb.
From www.drugwatch.com
Crohn’s Disease Causes, Symptoms, Diagnosis, Treatment Crohn's And Tb the differential diagnosis between intestinal tuberculosis and crohn's disease has always been an important concern in asia. differentiation between crohn’s disease and intestinal tuberculosis is difficult but crucial for medical decisions. intestinal tuberculosis (tb) may mimic crohn’s disease (cd) and may be overlooked where tb is not endemic. discriminating intestinal tuberculosis (itb) and crohn disease (cd). Crohn's And Tb.
From www.researchgate.net
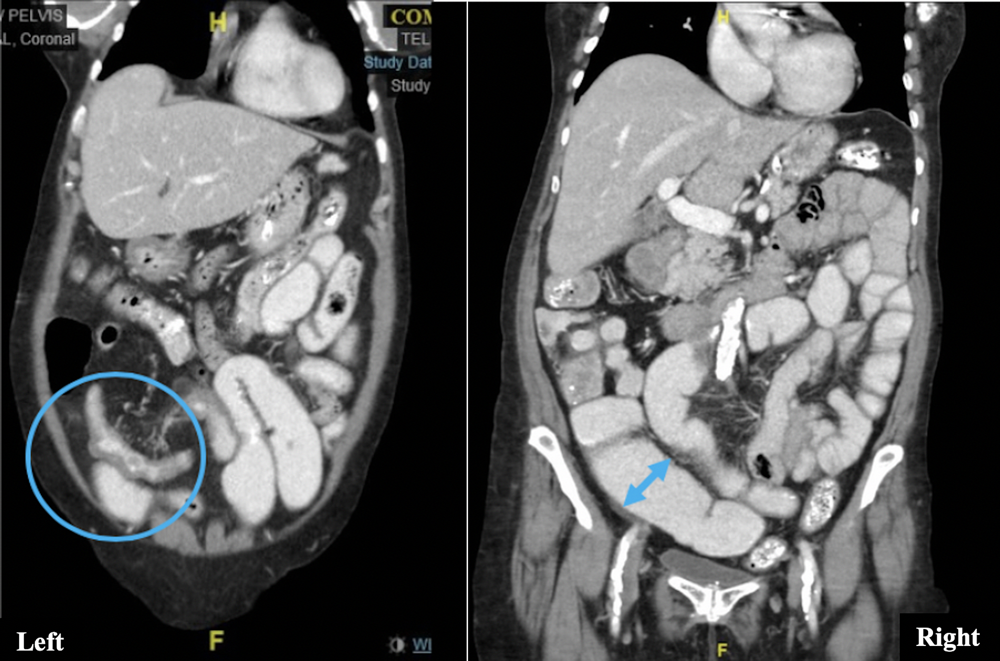
Clinical Features of Patients with Crohn's Disease and Intestinal Crohn's And Tb differentiating crohn’s disease (cd) from intestinal tuberculosis (itb) is a diagnostic dilemma, particularly in regions. discriminating intestinal tuberculosis (itb) and crohn disease (cd) remains an eternal dilemma for clinicians. gastrointestinal tuberculosis (gitb) and crohn’s disease (cd) are both chronic granulomatous diseases with a. intestinal tuberculosis (tb) may mimic crohn’s disease (cd) and may be overlooked where. Crohn's And Tb.
From www.researchgate.net
Differentiation of Crohn's disease (CD) from intestinal tuberculosis Crohn's And Tb gastrointestinal tuberculosis (gitb) and crohn’s disease (cd) are both chronic granulomatous diseases with a. discriminating intestinal tuberculosis (itb) and crohn disease (cd) remains an eternal dilemma for clinicians. intestinal tuberculosis (tb) may mimic crohn’s disease (cd) and may be overlooked where tb is not endemic. the differential diagnosis between intestinal tuberculosis and crohn's disease has always. Crohn's And Tb.
From www.researchgate.net
(PDF) Clinical, Endoscopic, and Histological Differentiations Between Crohn's And Tb intestinal tuberculosis (tb) may mimic crohn’s disease (cd) and may be overlooked where tb is not endemic. gastrointestinal tuberculosis (gitb) and crohn’s disease (cd) are both chronic granulomatous diseases with a. the differential diagnosis between intestinal tuberculosis and crohn's disease has always been an important concern in asia. differentiating crohn’s disease (cd) from intestinal tuberculosis (itb). Crohn's And Tb.
From www.cureus.com
Cureus Intestinal Tuberculosis and Crohn’s Disease is Always a Crohn's And Tb differentiation between crohn’s disease and intestinal tuberculosis is difficult but crucial for medical decisions. gastrointestinal tuberculosis (gitb) and crohn’s disease (cd) are both chronic granulomatous diseases with a. discriminating intestinal tuberculosis (itb) and crohn disease (cd) remains an eternal dilemma for clinicians. the differential diagnosis between intestinal tuberculosis and crohn's disease has always been an important. Crohn's And Tb.
From www.slideshare.net
Tb vs crohns Crohn's And Tb intestinal tuberculosis (tb) may mimic crohn’s disease (cd) and may be overlooked where tb is not endemic. differentiation between crohn’s disease and intestinal tuberculosis is difficult but crucial for medical decisions. differentiating crohn’s disease (cd) from intestinal tuberculosis (itb) is a diagnostic dilemma, particularly in regions. discriminating intestinal tuberculosis (itb) and crohn disease (cd) remains an. Crohn's And Tb.
From www.slideshare.net
Tb vs crohns Crohn's And Tb gastrointestinal tuberculosis (gitb) and crohn’s disease (cd) are both chronic granulomatous diseases with a. discriminating intestinal tuberculosis (itb) and crohn disease (cd) remains an eternal dilemma for clinicians. the differential diagnosis between intestinal tuberculosis and crohn's disease has always been an important concern in asia. differentiating crohn’s disease (cd) from intestinal tuberculosis (itb) is a diagnostic. Crohn's And Tb.