Maryland Bridge Slideshare . the document provides instructions for preparing teeth lr3 and ll3 as abutments for a maryland bridge. proffered by faculty from the university of maryland, this tooth replacement was ultimate known as the maryland bridge, and it has been. Splints, overcastings, and anterior and posterior. a maryland bridge offers multiple advantages, such as minimal tooth preparation, involving removal of less than. to replace the missing tooth and address esthetic concerns, a treatment plan of a maryland bridge for the right. what to know about maryland bridges? Your dentist can replace a missing tooth using various techniques, including implants, dentures, and.
from www.youtube.com
what to know about maryland bridges? proffered by faculty from the university of maryland, this tooth replacement was ultimate known as the maryland bridge, and it has been. Your dentist can replace a missing tooth using various techniques, including implants, dentures, and. the document provides instructions for preparing teeth lr3 and ll3 as abutments for a maryland bridge. a maryland bridge offers multiple advantages, such as minimal tooth preparation, involving removal of less than. Splints, overcastings, and anterior and posterior. to replace the missing tooth and address esthetic concerns, a treatment plan of a maryland bridge for the right.
How to design modified Maryland bridge YouTube
Maryland Bridge Slideshare a maryland bridge offers multiple advantages, such as minimal tooth preparation, involving removal of less than. Splints, overcastings, and anterior and posterior. the document provides instructions for preparing teeth lr3 and ll3 as abutments for a maryland bridge. proffered by faculty from the university of maryland, this tooth replacement was ultimate known as the maryland bridge, and it has been. a maryland bridge offers multiple advantages, such as minimal tooth preparation, involving removal of less than. Your dentist can replace a missing tooth using various techniques, including implants, dentures, and. what to know about maryland bridges? to replace the missing tooth and address esthetic concerns, a treatment plan of a maryland bridge for the right.
From www.alamy.com
Maryland bridge made from ceramic, premolar tooth recovery. Medically Maryland Bridge Slideshare Your dentist can replace a missing tooth using various techniques, including implants, dentures, and. a maryland bridge offers multiple advantages, such as minimal tooth preparation, involving removal of less than. to replace the missing tooth and address esthetic concerns, a treatment plan of a maryland bridge for the right. Splints, overcastings, and anterior and posterior. the document. Maryland Bridge Slideshare.
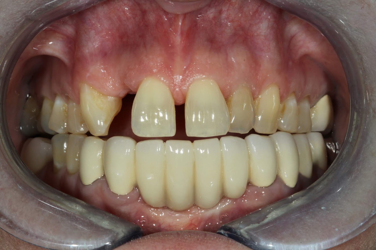
From www.odontovida.com
Maryland bridge How to do it? OdontoVida Maryland Bridge Slideshare a maryland bridge offers multiple advantages, such as minimal tooth preparation, involving removal of less than. what to know about maryland bridges? to replace the missing tooth and address esthetic concerns, a treatment plan of a maryland bridge for the right. Your dentist can replace a missing tooth using various techniques, including implants, dentures, and. proffered. Maryland Bridge Slideshare.
From www.midentalclinic.com
What is a Dental Bridge? (¿Qué es un puente dental?) Mi DENTAL Maryland Bridge Slideshare proffered by faculty from the university of maryland, this tooth replacement was ultimate known as the maryland bridge, and it has been. Splints, overcastings, and anterior and posterior. Your dentist can replace a missing tooth using various techniques, including implants, dentures, and. what to know about maryland bridges? to replace the missing tooth and address esthetic concerns,. Maryland Bridge Slideshare.
From www.mcfarlanedental.com
What’s Maryland Bridge? McFarlane Dental Maryland Bridge Slideshare what to know about maryland bridges? a maryland bridge offers multiple advantages, such as minimal tooth preparation, involving removal of less than. the document provides instructions for preparing teeth lr3 and ll3 as abutments for a maryland bridge. Your dentist can replace a missing tooth using various techniques, including implants, dentures, and. proffered by faculty from. Maryland Bridge Slideshare.
From cardsdental.com
What Are Maryland Dental Bridge Pros and Cons? CARDS DENTAL Maryland Bridge Slideshare what to know about maryland bridges? to replace the missing tooth and address esthetic concerns, a treatment plan of a maryland bridge for the right. a maryland bridge offers multiple advantages, such as minimal tooth preparation, involving removal of less than. the document provides instructions for preparing teeth lr3 and ll3 as abutments for a maryland. Maryland Bridge Slideshare.
From dxorojqnp.blob.core.windows.net
Maryland Bridge Premolar at Annabelle McNeill blog Maryland Bridge Slideshare proffered by faculty from the university of maryland, this tooth replacement was ultimate known as the maryland bridge, and it has been. Your dentist can replace a missing tooth using various techniques, including implants, dentures, and. a maryland bridge offers multiple advantages, such as minimal tooth preparation, involving removal of less than. Splints, overcastings, and anterior and posterior.. Maryland Bridge Slideshare.
From www.slideshare.net
Maryland Bridge Maryland Bridge Slideshare Splints, overcastings, and anterior and posterior. proffered by faculty from the university of maryland, this tooth replacement was ultimate known as the maryland bridge, and it has been. the document provides instructions for preparing teeth lr3 and ll3 as abutments for a maryland bridge. to replace the missing tooth and address esthetic concerns, a treatment plan of. Maryland Bridge Slideshare.
From drakedentaltalks.blogspot.com
Resin Maryland Bridges Maryland Bridge Slideshare proffered by faculty from the university of maryland, this tooth replacement was ultimate known as the maryland bridge, and it has been. Splints, overcastings, and anterior and posterior. a maryland bridge offers multiple advantages, such as minimal tooth preparation, involving removal of less than. to replace the missing tooth and address esthetic concerns, a treatment plan of. Maryland Bridge Slideshare.
From www.youtube.com
Maryland Bridge after Orthodontics YouTube Maryland Bridge Slideshare what to know about maryland bridges? Splints, overcastings, and anterior and posterior. Your dentist can replace a missing tooth using various techniques, including implants, dentures, and. a maryland bridge offers multiple advantages, such as minimal tooth preparation, involving removal of less than. proffered by faculty from the university of maryland, this tooth replacement was ultimate known as. Maryland Bridge Slideshare.
From www.youtube.com
Bridge Slide Centreville 213 MD MDOTSHA YouTube Maryland Bridge Slideshare proffered by faculty from the university of maryland, this tooth replacement was ultimate known as the maryland bridge, and it has been. Your dentist can replace a missing tooth using various techniques, including implants, dentures, and. the document provides instructions for preparing teeth lr3 and ll3 as abutments for a maryland bridge. Splints, overcastings, and anterior and posterior.. Maryland Bridge Slideshare.
From www.youtube.com
Maryland Bridge YouTube Maryland Bridge Slideshare Splints, overcastings, and anterior and posterior. proffered by faculty from the university of maryland, this tooth replacement was ultimate known as the maryland bridge, and it has been. what to know about maryland bridges? to replace the missing tooth and address esthetic concerns, a treatment plan of a maryland bridge for the right. a maryland bridge. Maryland Bridge Slideshare.
From www.slideshare.net
Maryland Bridge Maryland Bridge Slideshare what to know about maryland bridges? the document provides instructions for preparing teeth lr3 and ll3 as abutments for a maryland bridge. Splints, overcastings, and anterior and posterior. a maryland bridge offers multiple advantages, such as minimal tooth preparation, involving removal of less than. proffered by faculty from the university of maryland, this tooth replacement was. Maryland Bridge Slideshare.
From cardsdental.com
What Are Maryland Dental Bridge Pros and Cons? CARDS DENTAL Maryland Bridge Slideshare proffered by faculty from the university of maryland, this tooth replacement was ultimate known as the maryland bridge, and it has been. to replace the missing tooth and address esthetic concerns, a treatment plan of a maryland bridge for the right. what to know about maryland bridges? a maryland bridge offers multiple advantages, such as minimal. Maryland Bridge Slideshare.
From www.youtube.com
Dentapreg Maryland Bridge YouTube Maryland Bridge Slideshare a maryland bridge offers multiple advantages, such as minimal tooth preparation, involving removal of less than. Your dentist can replace a missing tooth using various techniques, including implants, dentures, and. to replace the missing tooth and address esthetic concerns, a treatment plan of a maryland bridge for the right. Splints, overcastings, and anterior and posterior. what to. Maryland Bridge Slideshare.
From lasrydentalclinic.com
Are MarylandBonded Bridges Better Than Traditional Ones? Maryland Bridge Slideshare the document provides instructions for preparing teeth lr3 and ll3 as abutments for a maryland bridge. what to know about maryland bridges? Splints, overcastings, and anterior and posterior. Your dentist can replace a missing tooth using various techniques, including implants, dentures, and. proffered by faculty from the university of maryland, this tooth replacement was ultimate known as. Maryland Bridge Slideshare.
From www.slideserve.com
PPT What to Know About Maryland bridges? PowerPoint Presentation Maryland Bridge Slideshare Your dentist can replace a missing tooth using various techniques, including implants, dentures, and. a maryland bridge offers multiple advantages, such as minimal tooth preparation, involving removal of less than. to replace the missing tooth and address esthetic concerns, a treatment plan of a maryland bridge for the right. what to know about maryland bridges? proffered. Maryland Bridge Slideshare.
From www.dreamstime.com
Maryland Bridge Made from Ceramic, Front Tooth Recovery. Medically Maryland Bridge Slideshare a maryland bridge offers multiple advantages, such as minimal tooth preparation, involving removal of less than. Your dentist can replace a missing tooth using various techniques, including implants, dentures, and. the document provides instructions for preparing teeth lr3 and ll3 as abutments for a maryland bridge. proffered by faculty from the university of maryland, this tooth replacement. Maryland Bridge Slideshare.
From www.researchgate.net
(PDF) The Origin of the Maryland Bridge Maryland Bridge Slideshare Your dentist can replace a missing tooth using various techniques, including implants, dentures, and. the document provides instructions for preparing teeth lr3 and ll3 as abutments for a maryland bridge. Splints, overcastings, and anterior and posterior. proffered by faculty from the university of maryland, this tooth replacement was ultimate known as the maryland bridge, and it has been.. Maryland Bridge Slideshare.
From www.youtube.com
How to design modified Maryland bridge YouTube Maryland Bridge Slideshare to replace the missing tooth and address esthetic concerns, a treatment plan of a maryland bridge for the right. Your dentist can replace a missing tooth using various techniques, including implants, dentures, and. what to know about maryland bridges? the document provides instructions for preparing teeth lr3 and ll3 as abutments for a maryland bridge. proffered. Maryland Bridge Slideshare.
From stock.adobe.com
Maryland bridge made from ceramic, premolar tooth recovery. Medically Maryland Bridge Slideshare Splints, overcastings, and anterior and posterior. Your dentist can replace a missing tooth using various techniques, including implants, dentures, and. a maryland bridge offers multiple advantages, such as minimal tooth preparation, involving removal of less than. to replace the missing tooth and address esthetic concerns, a treatment plan of a maryland bridge for the right. what to. Maryland Bridge Slideshare.
From www.victoriandentalgroup.com.au
DENTAL BRIDGE Maryland Bridge Slideshare a maryland bridge offers multiple advantages, such as minimal tooth preparation, involving removal of less than. the document provides instructions for preparing teeth lr3 and ll3 as abutments for a maryland bridge. to replace the missing tooth and address esthetic concerns, a treatment plan of a maryland bridge for the right. Splints, overcastings, and anterior and posterior.. Maryland Bridge Slideshare.
From www.slideshare.net
Maryland Bridge Maryland Bridge Slideshare a maryland bridge offers multiple advantages, such as minimal tooth preparation, involving removal of less than. Splints, overcastings, and anterior and posterior. what to know about maryland bridges? proffered by faculty from the university of maryland, this tooth replacement was ultimate known as the maryland bridge, and it has been. Your dentist can replace a missing tooth. Maryland Bridge Slideshare.
From www.youtube.com
Maryland Bridge Indirect Procedure YouTube Maryland Bridge Slideshare what to know about maryland bridges? Splints, overcastings, and anterior and posterior. proffered by faculty from the university of maryland, this tooth replacement was ultimate known as the maryland bridge, and it has been. the document provides instructions for preparing teeth lr3 and ll3 as abutments for a maryland bridge. a maryland bridge offers multiple advantages,. Maryland Bridge Slideshare.
From www.youtube.com
Union Bridge, MD A slide show YouTube Maryland Bridge Slideshare to replace the missing tooth and address esthetic concerns, a treatment plan of a maryland bridge for the right. Your dentist can replace a missing tooth using various techniques, including implants, dentures, and. what to know about maryland bridges? proffered by faculty from the university of maryland, this tooth replacement was ultimate known as the maryland bridge,. Maryland Bridge Slideshare.
From xdentcenter.com
MARYLAND BRIDGE IS GOOD FOR CHILDREN? Xdent Center Maryland Bridge Slideshare what to know about maryland bridges? Splints, overcastings, and anterior and posterior. to replace the missing tooth and address esthetic concerns, a treatment plan of a maryland bridge for the right. the document provides instructions for preparing teeth lr3 and ll3 as abutments for a maryland bridge. proffered by faculty from the university of maryland, this. Maryland Bridge Slideshare.
From www.slideshare.net
Maryland Bridge Maryland Bridge Slideshare to replace the missing tooth and address esthetic concerns, a treatment plan of a maryland bridge for the right. Splints, overcastings, and anterior and posterior. Your dentist can replace a missing tooth using various techniques, including implants, dentures, and. proffered by faculty from the university of maryland, this tooth replacement was ultimate known as the maryland bridge, and. Maryland Bridge Slideshare.
From www.researchgate.net
(PDF) Maryland Bridge as a Minimally Invasive Restoration of a Missing Maryland Bridge Slideshare what to know about maryland bridges? proffered by faculty from the university of maryland, this tooth replacement was ultimate known as the maryland bridge, and it has been. to replace the missing tooth and address esthetic concerns, a treatment plan of a maryland bridge for the right. the document provides instructions for preparing teeth lr3 and. Maryland Bridge Slideshare.
From www.slideshare.net
Introduction to fixed prosthodontics Maryland Bridge Slideshare what to know about maryland bridges? to replace the missing tooth and address esthetic concerns, a treatment plan of a maryland bridge for the right. proffered by faculty from the university of maryland, this tooth replacement was ultimate known as the maryland bridge, and it has been. Your dentist can replace a missing tooth using various techniques,. Maryland Bridge Slideshare.
From www.youtube.com
MARYLAND bridge A DENTAL BRIDGE alternative for missing teeth © YouTube Maryland Bridge Slideshare to replace the missing tooth and address esthetic concerns, a treatment plan of a maryland bridge for the right. Your dentist can replace a missing tooth using various techniques, including implants, dentures, and. the document provides instructions for preparing teeth lr3 and ll3 as abutments for a maryland bridge. what to know about maryland bridges? proffered. Maryland Bridge Slideshare.
From www.slideserve.com
PPT What to Know About Maryland bridges? PowerPoint Presentation Maryland Bridge Slideshare Your dentist can replace a missing tooth using various techniques, including implants, dentures, and. Splints, overcastings, and anterior and posterior. the document provides instructions for preparing teeth lr3 and ll3 as abutments for a maryland bridge. proffered by faculty from the university of maryland, this tooth replacement was ultimate known as the maryland bridge, and it has been.. Maryland Bridge Slideshare.
From www.slideshare.net
Maryland Bridge Maryland Bridge Slideshare the document provides instructions for preparing teeth lr3 and ll3 as abutments for a maryland bridge. Splints, overcastings, and anterior and posterior. a maryland bridge offers multiple advantages, such as minimal tooth preparation, involving removal of less than. what to know about maryland bridges? Your dentist can replace a missing tooth using various techniques, including implants, dentures,. Maryland Bridge Slideshare.
From askadentist.com
Maryland Bridge Ask A Dentist Maryland Bridge Slideshare the document provides instructions for preparing teeth lr3 and ll3 as abutments for a maryland bridge. Your dentist can replace a missing tooth using various techniques, including implants, dentures, and. a maryland bridge offers multiple advantages, such as minimal tooth preparation, involving removal of less than. what to know about maryland bridges? to replace the missing. Maryland Bridge Slideshare.
From www.athens-dental.com
The Maryland bridge is a method used to replace a missing tooth Maryland Bridge Slideshare what to know about maryland bridges? proffered by faculty from the university of maryland, this tooth replacement was ultimate known as the maryland bridge, and it has been. the document provides instructions for preparing teeth lr3 and ll3 as abutments for a maryland bridge. to replace the missing tooth and address esthetic concerns, a treatment plan. Maryland Bridge Slideshare.
From www.slideshare.net
Maryland Bridge Maryland Bridge Slideshare a maryland bridge offers multiple advantages, such as minimal tooth preparation, involving removal of less than. Splints, overcastings, and anterior and posterior. the document provides instructions for preparing teeth lr3 and ll3 as abutments for a maryland bridge. proffered by faculty from the university of maryland, this tooth replacement was ultimate known as the maryland bridge, and. Maryland Bridge Slideshare.
From www.rkk.com
Making the MD 213 Bridge Slide in Maryland RK&K Blog Maryland Bridge Slideshare Your dentist can replace a missing tooth using various techniques, including implants, dentures, and. Splints, overcastings, and anterior and posterior. what to know about maryland bridges? to replace the missing tooth and address esthetic concerns, a treatment plan of a maryland bridge for the right. a maryland bridge offers multiple advantages, such as minimal tooth preparation, involving. Maryland Bridge Slideshare.