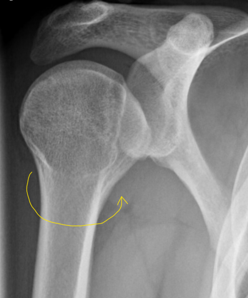
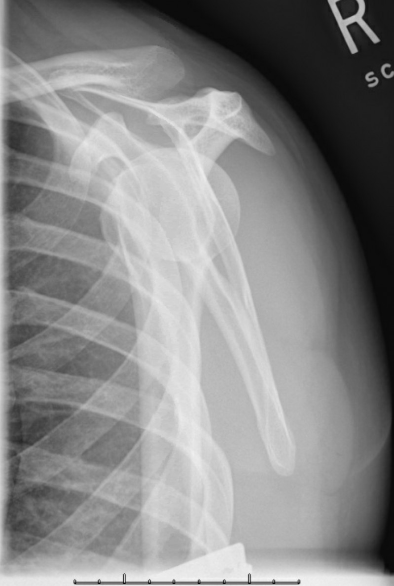
X Ray Posterior Shoulder Dislocation . Posterior dislocation may be missed initially on frontal radiographs in 50% of cases, as the humeral head appears to be almost normally aligned with the glenoid 1,2. Electrocution is a classic but uncommon cause of posterior. Anteroposterior radiograph shows luxatio erecta, or inferior dislocation of the shoulder. The arm is abducted, elevated, and fixed. The axillary lateral view is the most accurate radiographic image to diagnose a posterior shoulder dislocation. Posterior shoulder instability and dislocations are less common than anterior shoulder instability and dislocations, but are much more commonly missed. In adults, convulsive disorders are the most common cause. The humeral head is subcoracoid in. This view eliminates most overlying bony and soft tissue.
from coreem.net
In adults, convulsive disorders are the most common cause. The arm is abducted, elevated, and fixed. This view eliminates most overlying bony and soft tissue. The axillary lateral view is the most accurate radiographic image to diagnose a posterior shoulder dislocation. The humeral head is subcoracoid in. Electrocution is a classic but uncommon cause of posterior. Posterior dislocation may be missed initially on frontal radiographs in 50% of cases, as the humeral head appears to be almost normally aligned with the glenoid 1,2. Anteroposterior radiograph shows luxatio erecta, or inferior dislocation of the shoulder. Posterior shoulder instability and dislocations are less common than anterior shoulder instability and dislocations, but are much more commonly missed.
Shoulder Dislocation Core EM
X Ray Posterior Shoulder Dislocation Anteroposterior radiograph shows luxatio erecta, or inferior dislocation of the shoulder. Electrocution is a classic but uncommon cause of posterior. Anteroposterior radiograph shows luxatio erecta, or inferior dislocation of the shoulder. Posterior dislocation may be missed initially on frontal radiographs in 50% of cases, as the humeral head appears to be almost normally aligned with the glenoid 1,2. The arm is abducted, elevated, and fixed. The humeral head is subcoracoid in. In adults, convulsive disorders are the most common cause. The axillary lateral view is the most accurate radiographic image to diagnose a posterior shoulder dislocation. This view eliminates most overlying bony and soft tissue. Posterior shoulder instability and dislocations are less common than anterior shoulder instability and dislocations, but are much more commonly missed.
From litfl.com
Posterior Shoulder Dislocation • LITFL • Trauma Library X Ray Posterior Shoulder Dislocation Posterior dislocation may be missed initially on frontal radiographs in 50% of cases, as the humeral head appears to be almost normally aligned with the glenoid 1,2. In adults, convulsive disorders are the most common cause. This view eliminates most overlying bony and soft tissue. Posterior shoulder instability and dislocations are less common than anterior shoulder instability and dislocations, but. X Ray Posterior Shoulder Dislocation.
From cambridgeshoulder.co.uk
Fig 46. XRay Posterior Dislocation Cambridge Shoulder X Ray Posterior Shoulder Dislocation The humeral head is subcoracoid in. Posterior dislocation may be missed initially on frontal radiographs in 50% of cases, as the humeral head appears to be almost normally aligned with the glenoid 1,2. In adults, convulsive disorders are the most common cause. The axillary lateral view is the most accurate radiographic image to diagnose a posterior shoulder dislocation. This view. X Ray Posterior Shoulder Dislocation.
From www.radshare.net
Posterior shoulder dislocation and reverse HillSachs Radiology Case X Ray Posterior Shoulder Dislocation Electrocution is a classic but uncommon cause of posterior. Posterior shoulder instability and dislocations are less common than anterior shoulder instability and dislocations, but are much more commonly missed. Anteroposterior radiograph shows luxatio erecta, or inferior dislocation of the shoulder. The axillary lateral view is the most accurate radiographic image to diagnose a posterior shoulder dislocation. This view eliminates most. X Ray Posterior Shoulder Dislocation.
From www.pinterest.com.au
Anterior vs Posterior Shoulder dislocation on X ray Radiology X Ray Posterior Shoulder Dislocation The humeral head is subcoracoid in. Posterior dislocation may be missed initially on frontal radiographs in 50% of cases, as the humeral head appears to be almost normally aligned with the glenoid 1,2. Electrocution is a classic but uncommon cause of posterior. The arm is abducted, elevated, and fixed. Anteroposterior radiograph shows luxatio erecta, or inferior dislocation of the shoulder.. X Ray Posterior Shoulder Dislocation.
From litfl.com
Posterior Shoulder Dislocation • LITFL • Trauma Library X Ray Posterior Shoulder Dislocation The arm is abducted, elevated, and fixed. This view eliminates most overlying bony and soft tissue. The humeral head is subcoracoid in. Electrocution is a classic but uncommon cause of posterior. Posterior dislocation may be missed initially on frontal radiographs in 50% of cases, as the humeral head appears to be almost normally aligned with the glenoid 1,2. In adults,. X Ray Posterior Shoulder Dislocation.
From www.radshare.net
Posterior shoulder dislocation and reverse HillSachs Radiology Case X Ray Posterior Shoulder Dislocation The axillary lateral view is the most accurate radiographic image to diagnose a posterior shoulder dislocation. The humeral head is subcoracoid in. Electrocution is a classic but uncommon cause of posterior. Posterior shoulder instability and dislocations are less common than anterior shoulder instability and dislocations, but are much more commonly missed. This view eliminates most overlying bony and soft tissue.. X Ray Posterior Shoulder Dislocation.
From litfl.com
Posterior Shoulder Dislocation • LITFL • Trauma Library X Ray Posterior Shoulder Dislocation Anteroposterior radiograph shows luxatio erecta, or inferior dislocation of the shoulder. The axillary lateral view is the most accurate radiographic image to diagnose a posterior shoulder dislocation. Posterior shoulder instability and dislocations are less common than anterior shoulder instability and dislocations, but are much more commonly missed. In adults, convulsive disorders are the most common cause. The arm is abducted,. X Ray Posterior Shoulder Dislocation.
From www.svuhradiology.ie
Posterior shoulder dislocation Radiology at St. Vincent's University X Ray Posterior Shoulder Dislocation Electrocution is a classic but uncommon cause of posterior. The humeral head is subcoracoid in. Posterior dislocation may be missed initially on frontal radiographs in 50% of cases, as the humeral head appears to be almost normally aligned with the glenoid 1,2. This view eliminates most overlying bony and soft tissue. The axillary lateral view is the most accurate radiographic. X Ray Posterior Shoulder Dislocation.
From coreem.net
Shoulder Dislocation Core EM X Ray Posterior Shoulder Dislocation Posterior shoulder instability and dislocations are less common than anterior shoulder instability and dislocations, but are much more commonly missed. The humeral head is subcoracoid in. Anteroposterior radiograph shows luxatio erecta, or inferior dislocation of the shoulder. This view eliminates most overlying bony and soft tissue. In adults, convulsive disorders are the most common cause. The arm is abducted, elevated,. X Ray Posterior Shoulder Dislocation.
From step2.medbullets.com
Posterior Shoulder Dislocation Orthopedics Medbullets Step 2/3 X Ray Posterior Shoulder Dislocation In adults, convulsive disorders are the most common cause. Anteroposterior radiograph shows luxatio erecta, or inferior dislocation of the shoulder. The axillary lateral view is the most accurate radiographic image to diagnose a posterior shoulder dislocation. The humeral head is subcoracoid in. Electrocution is a classic but uncommon cause of posterior. Posterior shoulder instability and dislocations are less common than. X Ray Posterior Shoulder Dislocation.
From www.pinterest.com
Posterior shoulder dislocation Radiology Case Lght X Ray Posterior Shoulder Dislocation Anteroposterior radiograph shows luxatio erecta, or inferior dislocation of the shoulder. Posterior dislocation may be missed initially on frontal radiographs in 50% of cases, as the humeral head appears to be almost normally aligned with the glenoid 1,2. The humeral head is subcoracoid in. Electrocution is a classic but uncommon cause of posterior. Posterior shoulder instability and dislocations are less. X Ray Posterior Shoulder Dislocation.
From www.resilienceorthopedics.com
Shoulder Dislocation A Complete Guide Dr Mehta, San Jose X Ray Posterior Shoulder Dislocation Electrocution is a classic but uncommon cause of posterior. The axillary lateral view is the most accurate radiographic image to diagnose a posterior shoulder dislocation. Anteroposterior radiograph shows luxatio erecta, or inferior dislocation of the shoulder. This view eliminates most overlying bony and soft tissue. Posterior dislocation may be missed initially on frontal radiographs in 50% of cases, as the. X Ray Posterior Shoulder Dislocation.
From commons.wikimedia.org
FileDislocated shoulder Xray 11.png X Ray Posterior Shoulder Dislocation Anteroposterior radiograph shows luxatio erecta, or inferior dislocation of the shoulder. This view eliminates most overlying bony and soft tissue. Posterior dislocation may be missed initially on frontal radiographs in 50% of cases, as the humeral head appears to be almost normally aligned with the glenoid 1,2. In adults, convulsive disorders are the most common cause. Posterior shoulder instability and. X Ray Posterior Shoulder Dislocation.
From geekymedics.com
Shoulder Xray Interpretation Radiology Geeky Medics X Ray Posterior Shoulder Dislocation Electrocution is a classic but uncommon cause of posterior. This view eliminates most overlying bony and soft tissue. The axillary lateral view is the most accurate radiographic image to diagnose a posterior shoulder dislocation. Posterior shoulder instability and dislocations are less common than anterior shoulder instability and dislocations, but are much more commonly missed. The arm is abducted, elevated, and. X Ray Posterior Shoulder Dislocation.
From www.sciencephoto.com
Dislocated shoulder, Xray Stock Image C039/3327 Science Photo X Ray Posterior Shoulder Dislocation Posterior dislocation may be missed initially on frontal radiographs in 50% of cases, as the humeral head appears to be almost normally aligned with the glenoid 1,2. In adults, convulsive disorders are the most common cause. Posterior shoulder instability and dislocations are less common than anterior shoulder instability and dislocations, but are much more commonly missed. Anteroposterior radiograph shows luxatio. X Ray Posterior Shoulder Dislocation.
From radiopaedia.org
Image X Ray Posterior Shoulder Dislocation The arm is abducted, elevated, and fixed. The axillary lateral view is the most accurate radiographic image to diagnose a posterior shoulder dislocation. Anteroposterior radiograph shows luxatio erecta, or inferior dislocation of the shoulder. Posterior dislocation may be missed initially on frontal radiographs in 50% of cases, as the humeral head appears to be almost normally aligned with the glenoid. X Ray Posterior Shoulder Dislocation.
From www.resilienceorthopedics.com
Shoulder Dislocation A Complete Guide Dr Mehta, San Jose X Ray Posterior Shoulder Dislocation Posterior shoulder instability and dislocations are less common than anterior shoulder instability and dislocations, but are much more commonly missed. This view eliminates most overlying bony and soft tissue. The axillary lateral view is the most accurate radiographic image to diagnose a posterior shoulder dislocation. Posterior dislocation may be missed initially on frontal radiographs in 50% of cases, as the. X Ray Posterior Shoulder Dislocation.
From www.radshare.net
Posterior shoulder dislocation and reverse HillSachs Radiology Case X Ray Posterior Shoulder Dislocation Posterior dislocation may be missed initially on frontal radiographs in 50% of cases, as the humeral head appears to be almost normally aligned with the glenoid 1,2. In adults, convulsive disorders are the most common cause. Anteroposterior radiograph shows luxatio erecta, or inferior dislocation of the shoulder. The humeral head is subcoracoid in. The axillary lateral view is the most. X Ray Posterior Shoulder Dislocation.
From doccottlesdesk.blogspot.com
Doc Cottle's Desk Posterior shoulder dislocation confirmed by ultrasound X Ray Posterior Shoulder Dislocation This view eliminates most overlying bony and soft tissue. Posterior dislocation may be missed initially on frontal radiographs in 50% of cases, as the humeral head appears to be almost normally aligned with the glenoid 1,2. Posterior shoulder instability and dislocations are less common than anterior shoulder instability and dislocations, but are much more commonly missed. The humeral head is. X Ray Posterior Shoulder Dislocation.
From coreem.net
Shoulder Dislocation Core EM X Ray Posterior Shoulder Dislocation The humeral head is subcoracoid in. Electrocution is a classic but uncommon cause of posterior. Posterior dislocation may be missed initially on frontal radiographs in 50% of cases, as the humeral head appears to be almost normally aligned with the glenoid 1,2. The axillary lateral view is the most accurate radiographic image to diagnose a posterior shoulder dislocation. Posterior shoulder. X Ray Posterior Shoulder Dislocation.
From www.svuhradiology.ie
Shoulder dislocation with Bankart fracture Radiology at St. Vincent's X Ray Posterior Shoulder Dislocation In adults, convulsive disorders are the most common cause. Electrocution is a classic but uncommon cause of posterior. Posterior shoulder instability and dislocations are less common than anterior shoulder instability and dislocations, but are much more commonly missed. The axillary lateral view is the most accurate radiographic image to diagnose a posterior shoulder dislocation. Anteroposterior radiograph shows luxatio erecta, or. X Ray Posterior Shoulder Dislocation.
From www.ebmconsult.com
Posterior Shoulder Dislocation General Review X Ray Posterior Shoulder Dislocation The humeral head is subcoracoid in. The axillary lateral view is the most accurate radiographic image to diagnose a posterior shoulder dislocation. Anteroposterior radiograph shows luxatio erecta, or inferior dislocation of the shoulder. This view eliminates most overlying bony and soft tissue. The arm is abducted, elevated, and fixed. Posterior dislocation may be missed initially on frontal radiographs in 50%. X Ray Posterior Shoulder Dislocation.
From radiopaedia.org
Posterior shoulder dislocation with lesser tuberosity fracture Image X Ray Posterior Shoulder Dislocation Electrocution is a classic but uncommon cause of posterior. The humeral head is subcoracoid in. Posterior dislocation may be missed initially on frontal radiographs in 50% of cases, as the humeral head appears to be almost normally aligned with the glenoid 1,2. The axillary lateral view is the most accurate radiographic image to diagnose a posterior shoulder dislocation. In adults,. X Ray Posterior Shoulder Dislocation.
From mavink.com
Shoulder Dislocation X Ray X Ray Posterior Shoulder Dislocation The axillary lateral view is the most accurate radiographic image to diagnose a posterior shoulder dislocation. The humeral head is subcoracoid in. Electrocution is a classic but uncommon cause of posterior. Posterior shoulder instability and dislocations are less common than anterior shoulder instability and dislocations, but are much more commonly missed. In adults, convulsive disorders are the most common cause.. X Ray Posterior Shoulder Dislocation.
From doccottlesdesk.blogspot.com
Doc Cottle's Desk Posterior shoulder dislocation confirmed by ultrasound X Ray Posterior Shoulder Dislocation The arm is abducted, elevated, and fixed. In adults, convulsive disorders are the most common cause. Posterior dislocation may be missed initially on frontal radiographs in 50% of cases, as the humeral head appears to be almost normally aligned with the glenoid 1,2. The humeral head is subcoracoid in. Electrocution is a classic but uncommon cause of posterior. Anteroposterior radiograph. X Ray Posterior Shoulder Dislocation.
From orthopaedicprinciples.com
Posterior Shoulder Dislocation — X Ray Posterior Shoulder Dislocation The axillary lateral view is the most accurate radiographic image to diagnose a posterior shoulder dislocation. This view eliminates most overlying bony and soft tissue. Posterior dislocation may be missed initially on frontal radiographs in 50% of cases, as the humeral head appears to be almost normally aligned with the glenoid 1,2. Posterior shoulder instability and dislocations are less common. X Ray Posterior Shoulder Dislocation.
From coreem.net
Shoulder Dislocation Core EM X Ray Posterior Shoulder Dislocation Anteroposterior radiograph shows luxatio erecta, or inferior dislocation of the shoulder. The arm is abducted, elevated, and fixed. Posterior shoulder instability and dislocations are less common than anterior shoulder instability and dislocations, but are much more commonly missed. Electrocution is a classic but uncommon cause of posterior. This view eliminates most overlying bony and soft tissue. The axillary lateral view. X Ray Posterior Shoulder Dislocation.
From reflexhealth.co
Posterior Shoulder Dislocation Reflex Health X Ray Posterior Shoulder Dislocation Electrocution is a classic but uncommon cause of posterior. The humeral head is subcoracoid in. In adults, convulsive disorders are the most common cause. The arm is abducted, elevated, and fixed. Posterior dislocation may be missed initially on frontal radiographs in 50% of cases, as the humeral head appears to be almost normally aligned with the glenoid 1,2. Posterior shoulder. X Ray Posterior Shoulder Dislocation.
From reflexhealth.co
Posterior Shoulder Dislocation Reflex Health X Ray Posterior Shoulder Dislocation Electrocution is a classic but uncommon cause of posterior. Anteroposterior radiograph shows luxatio erecta, or inferior dislocation of the shoulder. Posterior dislocation may be missed initially on frontal radiographs in 50% of cases, as the humeral head appears to be almost normally aligned with the glenoid 1,2. In adults, convulsive disorders are the most common cause. The humeral head is. X Ray Posterior Shoulder Dislocation.
From geekymedics.com
Shoulder Xray Interpretation Radiology Geeky Medics X Ray Posterior Shoulder Dislocation The axillary lateral view is the most accurate radiographic image to diagnose a posterior shoulder dislocation. This view eliminates most overlying bony and soft tissue. Anteroposterior radiograph shows luxatio erecta, or inferior dislocation of the shoulder. The arm is abducted, elevated, and fixed. Posterior shoulder instability and dislocations are less common than anterior shoulder instability and dislocations, but are much. X Ray Posterior Shoulder Dislocation.
From www.embeds.co.uk
Posterior Shoulder Dislocation EMbeds.co.uk X Ray Posterior Shoulder Dislocation Anteroposterior radiograph shows luxatio erecta, or inferior dislocation of the shoulder. The axillary lateral view is the most accurate radiographic image to diagnose a posterior shoulder dislocation. The arm is abducted, elevated, and fixed. In adults, convulsive disorders are the most common cause. Electrocution is a classic but uncommon cause of posterior. This view eliminates most overlying bony and soft. X Ray Posterior Shoulder Dislocation.
From mavink.com
Shoulder Dislocation X Ray X Ray Posterior Shoulder Dislocation The arm is abducted, elevated, and fixed. Anteroposterior radiograph shows luxatio erecta, or inferior dislocation of the shoulder. In adults, convulsive disorders are the most common cause. The axillary lateral view is the most accurate radiographic image to diagnose a posterior shoulder dislocation. Posterior shoulder instability and dislocations are less common than anterior shoulder instability and dislocations, but are much. X Ray Posterior Shoulder Dislocation.
From geekymedics.com
Shoulder Xray Interpretation Radiology Geeky Medics X Ray Posterior Shoulder Dislocation The humeral head is subcoracoid in. Posterior shoulder instability and dislocations are less common than anterior shoulder instability and dislocations, but are much more commonly missed. The axillary lateral view is the most accurate radiographic image to diagnose a posterior shoulder dislocation. Anteroposterior radiograph shows luxatio erecta, or inferior dislocation of the shoulder. Electrocution is a classic but uncommon cause. X Ray Posterior Shoulder Dislocation.
From www.bmj.com
Posterior shoulder dislocations The BMJ X Ray Posterior Shoulder Dislocation Electrocution is a classic but uncommon cause of posterior. In adults, convulsive disorders are the most common cause. The humeral head is subcoracoid in. Posterior dislocation may be missed initially on frontal radiographs in 50% of cases, as the humeral head appears to be almost normally aligned with the glenoid 1,2. The axillary lateral view is the most accurate radiographic. X Ray Posterior Shoulder Dislocation.
From www.youtube.com
Posterior shoulder dislocation Radiopaedia Emergency Radiology Course X Ray Posterior Shoulder Dislocation The humeral head is subcoracoid in. Anteroposterior radiograph shows luxatio erecta, or inferior dislocation of the shoulder. Electrocution is a classic but uncommon cause of posterior. The axillary lateral view is the most accurate radiographic image to diagnose a posterior shoulder dislocation. Posterior dislocation may be missed initially on frontal radiographs in 50% of cases, as the humeral head appears. X Ray Posterior Shoulder Dislocation.