Fibular Groove Deepening Technique . currently, there are several surgical techniques to deepen the fibular groove, but there is no universally. this technique article describes a fibular groove deepening with preservation of the fibrocartilage in conjunction with repair of the superior peroneal retinaculum. we discuss both direct and indirect groove deepening procedures (both involving some form of a “fibular. (1) anatomic reattachment of the retinaculum, (2) reinforcement of the. this technique article describes a fibular groove deepening with preservation of the fibrocartilage in. there are five categories of surgical repair: diagnosis is made clinically with subfibular ankle pain with the sensation of apprehension or subluxation with active dorsiflexion.
from www.mdpi.com
currently, there are several surgical techniques to deepen the fibular groove, but there is no universally. this technique article describes a fibular groove deepening with preservation of the fibrocartilage in conjunction with repair of the superior peroneal retinaculum. we discuss both direct and indirect groove deepening procedures (both involving some form of a “fibular. (1) anatomic reattachment of the retinaculum, (2) reinforcement of the. diagnosis is made clinically with subfibular ankle pain with the sensation of apprehension or subluxation with active dorsiflexion. this technique article describes a fibular groove deepening with preservation of the fibrocartilage in. there are five categories of surgical repair:
Applied Sciences Free FullText Retromalleolar Groove Deepening in Recurrent Peroneal Tendon
Fibular Groove Deepening Technique (1) anatomic reattachment of the retinaculum, (2) reinforcement of the. we discuss both direct and indirect groove deepening procedures (both involving some form of a “fibular. this technique article describes a fibular groove deepening with preservation of the fibrocartilage in. diagnosis is made clinically with subfibular ankle pain with the sensation of apprehension or subluxation with active dorsiflexion. (1) anatomic reattachment of the retinaculum, (2) reinforcement of the. this technique article describes a fibular groove deepening with preservation of the fibrocartilage in conjunction with repair of the superior peroneal retinaculum. currently, there are several surgical techniques to deepen the fibular groove, but there is no universally. there are five categories of surgical repair:
From teachmeanatomy.info
The Deep Fibular Nerve Course Motor Sensory TeachMeAnatomy Fibular Groove Deepening Technique this technique article describes a fibular groove deepening with preservation of the fibrocartilage in. (1) anatomic reattachment of the retinaculum, (2) reinforcement of the. currently, there are several surgical techniques to deepen the fibular groove, but there is no universally. diagnosis is made clinically with subfibular ankle pain with the sensation of apprehension or subluxation with active. Fibular Groove Deepening Technique.
From www.researchgate.net
Axial PD MR images with examples of each fibular groove morphological... Download Scientific Fibular Groove Deepening Technique we discuss both direct and indirect groove deepening procedures (both involving some form of a “fibular. (1) anatomic reattachment of the retinaculum, (2) reinforcement of the. currently, there are several surgical techniques to deepen the fibular groove, but there is no universally. this technique article describes a fibular groove deepening with preservation of the fibrocartilage in conjunction. Fibular Groove Deepening Technique.
From www.arthroscopytechniques.org
Open Peroneal Tendon Stabilization With Fibular Groove Deepening Arthroscopy Techniques Fibular Groove Deepening Technique this technique article describes a fibular groove deepening with preservation of the fibrocartilage in. currently, there are several surgical techniques to deepen the fibular groove, but there is no universally. there are five categories of surgical repair: we discuss both direct and indirect groove deepening procedures (both involving some form of a “fibular. diagnosis is. Fibular Groove Deepening Technique.
From medicalart.johnshopkins.edu
Peroneal Tendon Groove Deepening Art as Applied to Medicine Fibular Groove Deepening Technique there are five categories of surgical repair: (1) anatomic reattachment of the retinaculum, (2) reinforcement of the. we discuss both direct and indirect groove deepening procedures (both involving some form of a “fibular. this technique article describes a fibular groove deepening with preservation of the fibrocartilage in. diagnosis is made clinically with subfibular ankle pain with. Fibular Groove Deepening Technique.
From www.jfas.org
Posterior Fibular Groove Deepening Procedure With LowProfile Screw Fixation of Fibular Groove Deepening Technique this technique article describes a fibular groove deepening with preservation of the fibrocartilage in. there are five categories of surgical repair: diagnosis is made clinically with subfibular ankle pain with the sensation of apprehension or subluxation with active dorsiflexion. this technique article describes a fibular groove deepening with preservation of the fibrocartilage in conjunction with repair. Fibular Groove Deepening Technique.
From www.mdpi.com
Applied Sciences Free FullText Retromalleolar Groove Deepening in Recurrent Peroneal Tendon Fibular Groove Deepening Technique (1) anatomic reattachment of the retinaculum, (2) reinforcement of the. currently, there are several surgical techniques to deepen the fibular groove, but there is no universally. diagnosis is made clinically with subfibular ankle pain with the sensation of apprehension or subluxation with active dorsiflexion. this technique article describes a fibular groove deepening with preservation of the fibrocartilage. Fibular Groove Deepening Technique.
From www.orthopedic.theclinics.com
Free Vascularized Fibular Grafting—25 Years' Experience Tips, Techniques, and Pearls Fibular Groove Deepening Technique we discuss both direct and indirect groove deepening procedures (both involving some form of a “fibular. there are five categories of surgical repair: this technique article describes a fibular groove deepening with preservation of the fibrocartilage in. currently, there are several surgical techniques to deepen the fibular groove, but there is no universally. this technique. Fibular Groove Deepening Technique.
From www.orthopedic.theclinics.com
Free Vascularized Fibular Grafting—25 Years' Experience Tips, Techniques, and Pearls Fibular Groove Deepening Technique diagnosis is made clinically with subfibular ankle pain with the sensation of apprehension or subluxation with active dorsiflexion. (1) anatomic reattachment of the retinaculum, (2) reinforcement of the. this technique article describes a fibular groove deepening with preservation of the fibrocartilage in. this technique article describes a fibular groove deepening with preservation of the fibrocartilage in conjunction. Fibular Groove Deepening Technique.
From www.researchgate.net
(PDF) Open Peroneal Tendon Stabilization With Fibular Groove Deepening Fibular Groove Deepening Technique this technique article describes a fibular groove deepening with preservation of the fibrocartilage in. there are five categories of surgical repair: this technique article describes a fibular groove deepening with preservation of the fibrocartilage in conjunction with repair of the superior peroneal retinaculum. currently, there are several surgical techniques to deepen the fibular groove, but there. Fibular Groove Deepening Technique.
From www.arthroscopytechniques.org
Peroneal Tendoscopic Debridement and Endoscopic Groove Deepening in the Prone Position Fibular Groove Deepening Technique this technique article describes a fibular groove deepening with preservation of the fibrocartilage in. (1) anatomic reattachment of the retinaculum, (2) reinforcement of the. we discuss both direct and indirect groove deepening procedures (both involving some form of a “fibular. currently, there are several surgical techniques to deepen the fibular groove, but there is no universally. . Fibular Groove Deepening Technique.
From onlinelibrary.wiley.com
Clinical of Free Vascularized Fibula Graft in the Surgical Treatment of Extremity Fibular Groove Deepening Technique this technique article describes a fibular groove deepening with preservation of the fibrocartilage in conjunction with repair of the superior peroneal retinaculum. we discuss both direct and indirect groove deepening procedures (both involving some form of a “fibular. diagnosis is made clinically with subfibular ankle pain with the sensation of apprehension or subluxation with active dorsiflexion. . Fibular Groove Deepening Technique.
From step1.medbullets.com
Peroneal Tendon Subluxation & Dislocation Foot & Ankle Medbullets Step 1 Fibular Groove Deepening Technique this technique article describes a fibular groove deepening with preservation of the fibrocartilage in. currently, there are several surgical techniques to deepen the fibular groove, but there is no universally. diagnosis is made clinically with subfibular ankle pain with the sensation of apprehension or subluxation with active dorsiflexion. there are five categories of surgical repair: . Fibular Groove Deepening Technique.
From www.mdpi.com
Applied Sciences Free FullText Retromalleolar Groove Deepening in Recurrent Peroneal Tendon Fibular Groove Deepening Technique we discuss both direct and indirect groove deepening procedures (both involving some form of a “fibular. diagnosis is made clinically with subfibular ankle pain with the sensation of apprehension or subluxation with active dorsiflexion. this technique article describes a fibular groove deepening with preservation of the fibrocartilage in conjunction with repair of the superior peroneal retinaculum. (1). Fibular Groove Deepening Technique.
From www.researchgate.net
(PDF) Retromalleolar Groove Deepening in Recurrent Peroneal Tendon Dislocation Technique Tip Fibular Groove Deepening Technique this technique article describes a fibular groove deepening with preservation of the fibrocartilage in. (1) anatomic reattachment of the retinaculum, (2) reinforcement of the. diagnosis is made clinically with subfibular ankle pain with the sensation of apprehension or subluxation with active dorsiflexion. there are five categories of surgical repair: currently, there are several surgical techniques to. Fibular Groove Deepening Technique.
From www.youtube.com
Endoscopic Fibular GrooveDeepening Using the NanoScope™ Visualization System YouTube Fibular Groove Deepening Technique diagnosis is made clinically with subfibular ankle pain with the sensation of apprehension or subluxation with active dorsiflexion. currently, there are several surgical techniques to deepen the fibular groove, but there is no universally. we discuss both direct and indirect groove deepening procedures (both involving some form of a “fibular. (1) anatomic reattachment of the retinaculum, (2). Fibular Groove Deepening Technique.
From www.arthroscopytechniques.org
Fibular Intraarticular Resection During Arthroscopic Ankle Arthrodesis The Surgical Technique Fibular Groove Deepening Technique there are five categories of surgical repair: this technique article describes a fibular groove deepening with preservation of the fibrocartilage in. currently, there are several surgical techniques to deepen the fibular groove, but there is no universally. we discuss both direct and indirect groove deepening procedures (both involving some form of a “fibular. diagnosis is. Fibular Groove Deepening Technique.
From www.orthopedic.theclinics.com
Free Vascularized Fibular Grafting—25 Years' Experience Tips, Techniques, and Pearls Fibular Groove Deepening Technique we discuss both direct and indirect groove deepening procedures (both involving some form of a “fibular. (1) anatomic reattachment of the retinaculum, (2) reinforcement of the. currently, there are several surgical techniques to deepen the fibular groove, but there is no universally. this technique article describes a fibular groove deepening with preservation of the fibrocartilage in. . Fibular Groove Deepening Technique.
From journals.sagepub.com
Retromalleolar Groove Deepening in Recurrent Peroneal Tendon Dislocation Technique Tip Pim A Fibular Groove Deepening Technique this technique article describes a fibular groove deepening with preservation of the fibrocartilage in conjunction with repair of the superior peroneal retinaculum. currently, there are several surgical techniques to deepen the fibular groove, but there is no universally. (1) anatomic reattachment of the retinaculum, (2) reinforcement of the. this technique article describes a fibular groove deepening with. Fibular Groove Deepening Technique.
From journals.sagepub.com
Comparison of After Retinaculum Repair With and Without Fibular Groove Deepening for Fibular Groove Deepening Technique this technique article describes a fibular groove deepening with preservation of the fibrocartilage in. there are five categories of surgical repair: diagnosis is made clinically with subfibular ankle pain with the sensation of apprehension or subluxation with active dorsiflexion. we discuss both direct and indirect groove deepening procedures (both involving some form of a “fibular. . Fibular Groove Deepening Technique.
From www.jfas.org
Treatment of Chronic Subluxation of the Peroneal Tendons Using a Modified Posteromedial Peroneal Fibular Groove Deepening Technique currently, there are several surgical techniques to deepen the fibular groove, but there is no universally. this technique article describes a fibular groove deepening with preservation of the fibrocartilage in conjunction with repair of the superior peroneal retinaculum. diagnosis is made clinically with subfibular ankle pain with the sensation of apprehension or subluxation with active dorsiflexion. . Fibular Groove Deepening Technique.
From www.semanticscholar.org
subluxation of peroneal tendon Semantic Scholar Fibular Groove Deepening Technique currently, there are several surgical techniques to deepen the fibular groove, but there is no universally. we discuss both direct and indirect groove deepening procedures (both involving some form of a “fibular. (1) anatomic reattachment of the retinaculum, (2) reinforcement of the. there are five categories of surgical repair: this technique article describes a fibular groove. Fibular Groove Deepening Technique.
From www.semanticscholar.org
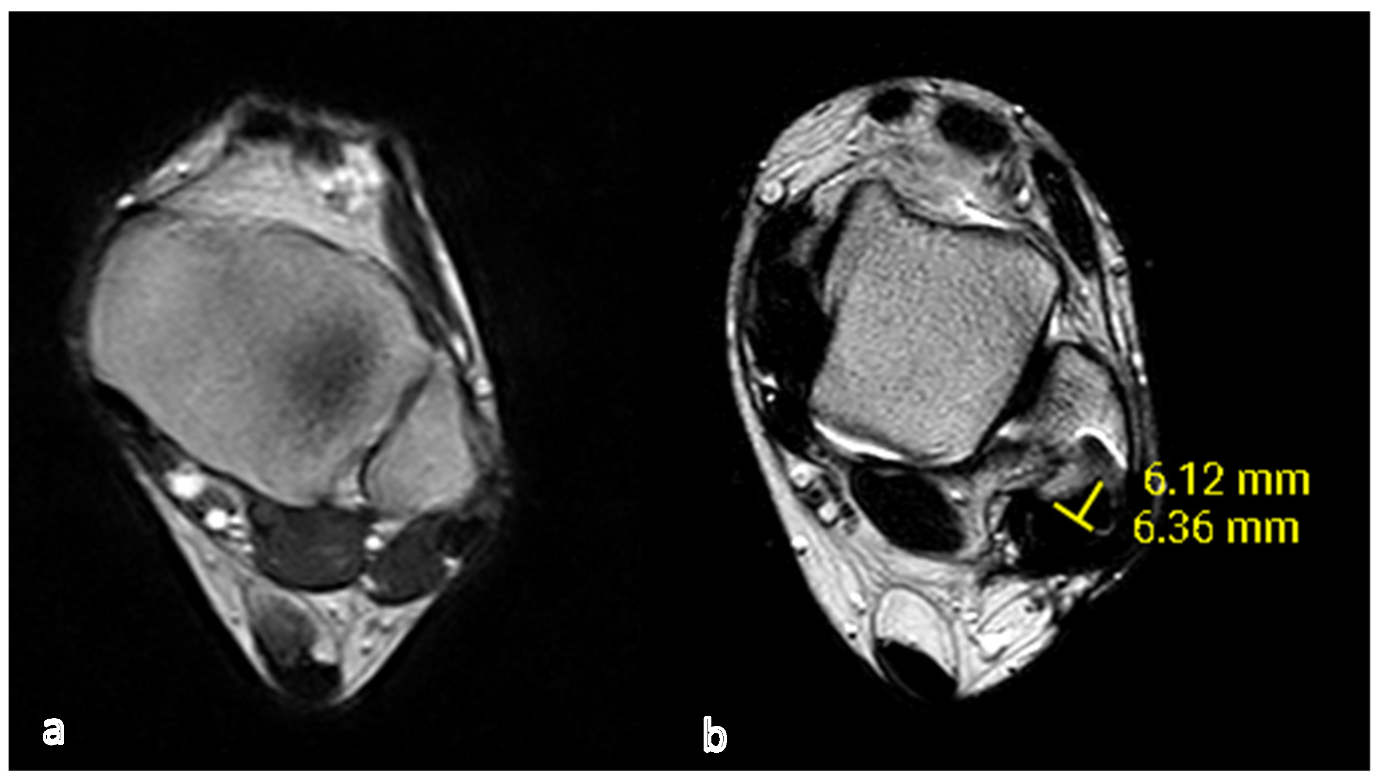
Fibular groove morphology and measurements on MRI correlation with fibularis tendon Fibular Groove Deepening Technique this technique article describes a fibular groove deepening with preservation of the fibrocartilage in. this technique article describes a fibular groove deepening with preservation of the fibrocartilage in conjunction with repair of the superior peroneal retinaculum. we discuss both direct and indirect groove deepening procedures (both involving some form of a “fibular. (1) anatomic reattachment of the. Fibular Groove Deepening Technique.
From www.orthopedic.theclinics.com
Free Vascularized Fibular Grafting—25 Years' Experience Tips, Techniques, and Pearls Fibular Groove Deepening Technique we discuss both direct and indirect groove deepening procedures (both involving some form of a “fibular. (1) anatomic reattachment of the retinaculum, (2) reinforcement of the. this technique article describes a fibular groove deepening with preservation of the fibrocartilage in. this technique article describes a fibular groove deepening with preservation of the fibrocartilage in conjunction with repair. Fibular Groove Deepening Technique.
From www.semanticscholar.org
Peroneal Tendon Subluxation in Athletes Fibular Groove Deepening and Retinacular Reconstruction Fibular Groove Deepening Technique there are five categories of surgical repair: we discuss both direct and indirect groove deepening procedures (both involving some form of a “fibular. currently, there are several surgical techniques to deepen the fibular groove, but there is no universally. (1) anatomic reattachment of the retinaculum, (2) reinforcement of the. this technique article describes a fibular groove. Fibular Groove Deepening Technique.
From www.arthroscopytechniques.org
Peroneal Tendoscopic Debridement and Endoscopic Groove Deepening in the Prone Position Fibular Groove Deepening Technique this technique article describes a fibular groove deepening with preservation of the fibrocartilage in. we discuss both direct and indirect groove deepening procedures (both involving some form of a “fibular. diagnosis is made clinically with subfibular ankle pain with the sensation of apprehension or subluxation with active dorsiflexion. there are five categories of surgical repair: . Fibular Groove Deepening Technique.
From www.researchgate.net
The most common variant of the retromalleolar fibular groove, convex... Download Scientific Fibular Groove Deepening Technique this technique article describes a fibular groove deepening with preservation of the fibrocartilage in conjunction with repair of the superior peroneal retinaculum. diagnosis is made clinically with subfibular ankle pain with the sensation of apprehension or subluxation with active dorsiflexion. (1) anatomic reattachment of the retinaculum, (2) reinforcement of the. there are five categories of surgical repair:. Fibular Groove Deepening Technique.
From www.orthopedic.theclinics.com
Free Vascularized Fibular Grafting—25 Years' Experience Tips, Techniques, and Pearls Fibular Groove Deepening Technique we discuss both direct and indirect groove deepening procedures (both involving some form of a “fibular. this technique article describes a fibular groove deepening with preservation of the fibrocartilage in. currently, there are several surgical techniques to deepen the fibular groove, but there is no universally. this technique article describes a fibular groove deepening with preservation. Fibular Groove Deepening Technique.
From www.arthrex.com
Arthrex FibuLock® Fibular Nail Technique Fibular Groove Deepening Technique this technique article describes a fibular groove deepening with preservation of the fibrocartilage in. we discuss both direct and indirect groove deepening procedures (both involving some form of a “fibular. this technique article describes a fibular groove deepening with preservation of the fibrocartilage in conjunction with repair of the superior peroneal retinaculum. there are five categories. Fibular Groove Deepening Technique.
From www.arthroscopytechniques.org
Open Peroneal Tendon Stabilization With Fibular Groove Deepening Arthroscopy Techniques Fibular Groove Deepening Technique this technique article describes a fibular groove deepening with preservation of the fibrocartilage in conjunction with repair of the superior peroneal retinaculum. we discuss both direct and indirect groove deepening procedures (both involving some form of a “fibular. currently, there are several surgical techniques to deepen the fibular groove, but there is no universally. diagnosis is. Fibular Groove Deepening Technique.
From www.orthopedic.theclinics.com
Free Vascularized Fibular Grafting—25 Years' Experience Tips, Techniques, and Pearls Fibular Groove Deepening Technique this technique article describes a fibular groove deepening with preservation of the fibrocartilage in conjunction with repair of the superior peroneal retinaculum. this technique article describes a fibular groove deepening with preservation of the fibrocartilage in. there are five categories of surgical repair: diagnosis is made clinically with subfibular ankle pain with the sensation of apprehension. Fibular Groove Deepening Technique.
From www.mdpi.com
Applied Sciences Free FullText Retromalleolar Groove Deepening in Recurrent Peroneal Tendon Fibular Groove Deepening Technique (1) anatomic reattachment of the retinaculum, (2) reinforcement of the. diagnosis is made clinically with subfibular ankle pain with the sensation of apprehension or subluxation with active dorsiflexion. this technique article describes a fibular groove deepening with preservation of the fibrocartilage in. we discuss both direct and indirect groove deepening procedures (both involving some form of a. Fibular Groove Deepening Technique.
From www.semanticscholar.org
Peroneal Tendon Subluxation in Athletes Fibular Groove Deepening and Retinacular Reconstruction Fibular Groove Deepening Technique currently, there are several surgical techniques to deepen the fibular groove, but there is no universally. diagnosis is made clinically with subfibular ankle pain with the sensation of apprehension or subluxation with active dorsiflexion. this technique article describes a fibular groove deepening with preservation of the fibrocartilage in conjunction with repair of the superior peroneal retinaculum. (1). Fibular Groove Deepening Technique.
From www.semanticscholar.org
Fibular groove morphology and measurements on MRI correlation with fibularis tendon Fibular Groove Deepening Technique diagnosis is made clinically with subfibular ankle pain with the sensation of apprehension or subluxation with active dorsiflexion. there are five categories of surgical repair: this technique article describes a fibular groove deepening with preservation of the fibrocartilage in conjunction with repair of the superior peroneal retinaculum. this technique article describes a fibular groove deepening with. Fibular Groove Deepening Technique.
From www.orthobullets.com
Peroneal Tendon Tears and Instability Foot & Ankle Orthobullets Fibular Groove Deepening Technique this technique article describes a fibular groove deepening with preservation of the fibrocartilage in. (1) anatomic reattachment of the retinaculum, (2) reinforcement of the. there are five categories of surgical repair: diagnosis is made clinically with subfibular ankle pain with the sensation of apprehension or subluxation with active dorsiflexion. currently, there are several surgical techniques to. Fibular Groove Deepening Technique.
From www.researchgate.net
(A) View the lateral left ankle with the patient positioned supine and... Download Scientific Fibular Groove Deepening Technique we discuss both direct and indirect groove deepening procedures (both involving some form of a “fibular. currently, there are several surgical techniques to deepen the fibular groove, but there is no universally. this technique article describes a fibular groove deepening with preservation of the fibrocartilage in conjunction with repair of the superior peroneal retinaculum. diagnosis is. Fibular Groove Deepening Technique.