Treatment Transverse Process Fracture . To review the literature on isolated transverse process fractures (itpfs) and provide evidence for the current practice of. A transverse process fracture is typically the result. How your transverse fracture is treated depends on the severity of the original break. Transverse fractures are a specific type of bone breakage that occurs perpendicular to the long axis of the bone. Transverse process fractures are usually treated with a gradual increase in motion, with or without bracing, based on comfort level. Here, i will detail the causes, symptoms, how this fracture is diagnosed and finally, how i would treat this type of fracture. Defined as those involving the transverse process only, without extension into the pedicle, lamina, or facet complex. Are not associated with any ligamentous or structural injury that can. Your broken bones need to heal back together. How are transverse fractures treated?
from www.trialexhibitsinc.com
Here, i will detail the causes, symptoms, how this fracture is diagnosed and finally, how i would treat this type of fracture. Are not associated with any ligamentous or structural injury that can. Defined as those involving the transverse process only, without extension into the pedicle, lamina, or facet complex. To review the literature on isolated transverse process fractures (itpfs) and provide evidence for the current practice of. How your transverse fracture is treated depends on the severity of the original break. Your broken bones need to heal back together. How are transverse fractures treated? Transverse fractures are a specific type of bone breakage that occurs perpendicular to the long axis of the bone. Transverse process fractures are usually treated with a gradual increase in motion, with or without bracing, based on comfort level. A transverse process fracture is typically the result.
L3 Transverse Process Fracture TrialExhibits Inc.
Treatment Transverse Process Fracture Here, i will detail the causes, symptoms, how this fracture is diagnosed and finally, how i would treat this type of fracture. How are transverse fractures treated? Defined as those involving the transverse process only, without extension into the pedicle, lamina, or facet complex. Are not associated with any ligamentous or structural injury that can. To review the literature on isolated transverse process fractures (itpfs) and provide evidence for the current practice of. Transverse fractures are a specific type of bone breakage that occurs perpendicular to the long axis of the bone. A transverse process fracture is typically the result. Transverse process fractures are usually treated with a gradual increase in motion, with or without bracing, based on comfort level. How your transverse fracture is treated depends on the severity of the original break. Here, i will detail the causes, symptoms, how this fracture is diagnosed and finally, how i would treat this type of fracture. Your broken bones need to heal back together.
From healthjade.net
Transverse fracture & transverse process fracture causes & treatment Treatment Transverse Process Fracture Transverse process fractures are usually treated with a gradual increase in motion, with or without bracing, based on comfort level. Here, i will detail the causes, symptoms, how this fracture is diagnosed and finally, how i would treat this type of fracture. To review the literature on isolated transverse process fractures (itpfs) and provide evidence for the current practice of.. Treatment Transverse Process Fracture.
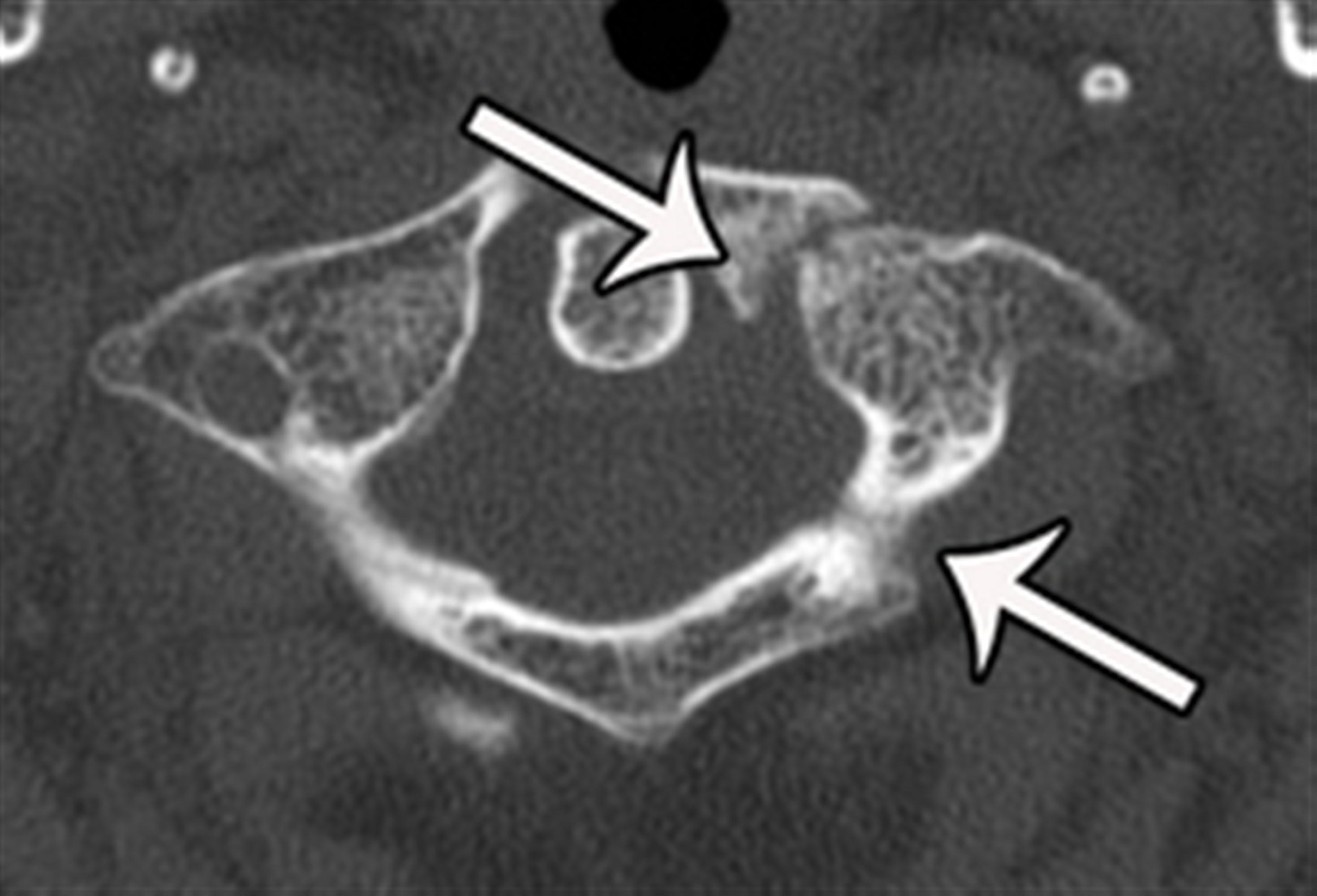
From mavink.com
T1 Transverse Process Fracture Treatment Transverse Process Fracture Defined as those involving the transverse process only, without extension into the pedicle, lamina, or facet complex. Transverse fractures are a specific type of bone breakage that occurs perpendicular to the long axis of the bone. How your transverse fracture is treated depends on the severity of the original break. Transverse process fractures are usually treated with a gradual increase. Treatment Transverse Process Fracture.
From fracturesandbonehealing.blogspot.com
Transverse Fracture Treatment Transverse Bone Surgery Treatment Transverse Process Fracture How your transverse fracture is treated depends on the severity of the original break. How are transverse fractures treated? To review the literature on isolated transverse process fractures (itpfs) and provide evidence for the current practice of. A transverse process fracture is typically the result. Defined as those involving the transverse process only, without extension into the pedicle, lamina, or. Treatment Transverse Process Fracture.
From healthjade.com
Transverse fracture & transverse process fracture causes & treatment Treatment Transverse Process Fracture Here, i will detail the causes, symptoms, how this fracture is diagnosed and finally, how i would treat this type of fracture. How your transverse fracture is treated depends on the severity of the original break. How are transverse fractures treated? Are not associated with any ligamentous or structural injury that can. Your broken bones need to heal back together.. Treatment Transverse Process Fracture.
From www.nassopenaccess.org
Isolated thoracic and lumbar transverse process fractures Do they need Treatment Transverse Process Fracture Transverse fractures are a specific type of bone breakage that occurs perpendicular to the long axis of the bone. Your broken bones need to heal back together. Here, i will detail the causes, symptoms, how this fracture is diagnosed and finally, how i would treat this type of fracture. Defined as those involving the transverse process only, without extension into. Treatment Transverse Process Fracture.
From orthopaedicprinciples.com
Lumbar Spine Transverse Process Fracture — Treatment Transverse Process Fracture Your broken bones need to heal back together. How are transverse fractures treated? Here, i will detail the causes, symptoms, how this fracture is diagnosed and finally, how i would treat this type of fracture. Are not associated with any ligamentous or structural injury that can. A transverse process fracture is typically the result. How your transverse fracture is treated. Treatment Transverse Process Fracture.
From www.elpasobackclinic.com
Lumbar Transverse Process Fractures Science Based El Paso Back Treatment Transverse Process Fracture How are transverse fractures treated? To review the literature on isolated transverse process fractures (itpfs) and provide evidence for the current practice of. How your transverse fracture is treated depends on the severity of the original break. Transverse fractures are a specific type of bone breakage that occurs perpendicular to the long axis of the bone. Transverse process fractures are. Treatment Transverse Process Fracture.
From www.orthobullets.com
Atlas Fractures & Transverse Ligament Injuries Spine Orthobullets Treatment Transverse Process Fracture To review the literature on isolated transverse process fractures (itpfs) and provide evidence for the current practice of. How your transverse fracture is treated depends on the severity of the original break. Defined as those involving the transverse process only, without extension into the pedicle, lamina, or facet complex. How are transverse fractures treated? A transverse process fracture is typically. Treatment Transverse Process Fracture.
From orthopaedicprinciples.com
Transverse fractures of the Acetabulum — Treatment Transverse Process Fracture Your broken bones need to heal back together. A transverse process fracture is typically the result. Here, i will detail the causes, symptoms, how this fracture is diagnosed and finally, how i would treat this type of fracture. Defined as those involving the transverse process only, without extension into the pedicle, lamina, or facet complex. How your transverse fracture is. Treatment Transverse Process Fracture.
From healthjade.net
Transverse fracture & transverse process fracture causes & treatment Treatment Transverse Process Fracture Your broken bones need to heal back together. Are not associated with any ligamentous or structural injury that can. To review the literature on isolated transverse process fractures (itpfs) and provide evidence for the current practice of. Transverse fractures are a specific type of bone breakage that occurs perpendicular to the long axis of the bone. A transverse process fracture. Treatment Transverse Process Fracture.
From www.innerbody.com
Transverse Fractures Causes, Realignment & Treatment Treatment Transverse Process Fracture Transverse process fractures are usually treated with a gradual increase in motion, with or without bracing, based on comfort level. A transverse process fracture is typically the result. Here, i will detail the causes, symptoms, how this fracture is diagnosed and finally, how i would treat this type of fracture. To review the literature on isolated transverse process fractures (itpfs). Treatment Transverse Process Fracture.
From www.researchgate.net
Transverse fracture. Download Scientific Diagram Treatment Transverse Process Fracture How your transverse fracture is treated depends on the severity of the original break. A transverse process fracture is typically the result. To review the literature on isolated transverse process fractures (itpfs) and provide evidence for the current practice of. Here, i will detail the causes, symptoms, how this fracture is diagnosed and finally, how i would treat this type. Treatment Transverse Process Fracture.
From www.semanticscholar.org
Bilateral L5 Transverse Process Fracture Implications What Every Spine Treatment Transverse Process Fracture A transverse process fracture is typically the result. How are transverse fractures treated? Transverse process fractures are usually treated with a gradual increase in motion, with or without bracing, based on comfort level. How your transverse fracture is treated depends on the severity of the original break. To review the literature on isolated transverse process fractures (itpfs) and provide evidence. Treatment Transverse Process Fracture.
From erofmesquite.com
Transverse Fracture Symptoms, Causes, and Treatment ER of Mesquite Treatment Transverse Process Fracture To review the literature on isolated transverse process fractures (itpfs) and provide evidence for the current practice of. A transverse process fracture is typically the result. Transverse process fractures are usually treated with a gradual increase in motion, with or without bracing, based on comfort level. Your broken bones need to heal back together. Transverse fractures are a specific type. Treatment Transverse Process Fracture.
From www.researchgate.net
Lateral radiograph depicting the C7 transverse process fracture. Figure Treatment Transverse Process Fracture Defined as those involving the transverse process only, without extension into the pedicle, lamina, or facet complex. Transverse fractures are a specific type of bone breakage that occurs perpendicular to the long axis of the bone. Transverse process fractures are usually treated with a gradual increase in motion, with or without bracing, based on comfort level. Your broken bones need. Treatment Transverse Process Fracture.
From mapaseagame.blogspot.com
L5 Transverse Process Fracture Treatment mapasgmaes Treatment Transverse Process Fracture Here, i will detail the causes, symptoms, how this fracture is diagnosed and finally, how i would treat this type of fracture. To review the literature on isolated transverse process fractures (itpfs) and provide evidence for the current practice of. How are transverse fractures treated? Your broken bones need to heal back together. Transverse process fractures are usually treated with. Treatment Transverse Process Fracture.
From mavink.com
Transverse Fracture Treatment Transverse Process Fracture Transverse fractures are a specific type of bone breakage that occurs perpendicular to the long axis of the bone. Defined as those involving the transverse process only, without extension into the pedicle, lamina, or facet complex. A transverse process fracture is typically the result. Transverse process fractures are usually treated with a gradual increase in motion, with or without bracing,. Treatment Transverse Process Fracture.
From www.researchgate.net
Extrafacet puncture PVP surgery with transverse process fracture Treatment Transverse Process Fracture Here, i will detail the causes, symptoms, how this fracture is diagnosed and finally, how i would treat this type of fracture. Are not associated with any ligamentous or structural injury that can. How your transverse fracture is treated depends on the severity of the original break. To review the literature on isolated transverse process fractures (itpfs) and provide evidence. Treatment Transverse Process Fracture.
From partgast.weebly.com
Transverse process fracture treatment partgast Treatment Transverse Process Fracture How your transverse fracture is treated depends on the severity of the original break. Here, i will detail the causes, symptoms, how this fracture is diagnosed and finally, how i would treat this type of fracture. A transverse process fracture is typically the result. Defined as those involving the transverse process only, without extension into the pedicle, lamina, or facet. Treatment Transverse Process Fracture.
From chiropracticscientist.com
Lumbar Transverse Process Fractures Science Based • Chiropractic Treatment Transverse Process Fracture Are not associated with any ligamentous or structural injury that can. To review the literature on isolated transverse process fractures (itpfs) and provide evidence for the current practice of. A transverse process fracture is typically the result. Here, i will detail the causes, symptoms, how this fracture is diagnosed and finally, how i would treat this type of fracture. Transverse. Treatment Transverse Process Fracture.
From www.trialexhibitsinc.com
L3 Transverse Process Fracture TrialExhibits Inc. Treatment Transverse Process Fracture Transverse fractures are a specific type of bone breakage that occurs perpendicular to the long axis of the bone. Are not associated with any ligamentous or structural injury that can. Your broken bones need to heal back together. How your transverse fracture is treated depends on the severity of the original break. Defined as those involving the transverse process only,. Treatment Transverse Process Fracture.
From narodnatribuna.info
Transverse Process Fracture Treatment Treatment Transverse Process Fracture Are not associated with any ligamentous or structural injury that can. How are transverse fractures treated? Your broken bones need to heal back together. Here, i will detail the causes, symptoms, how this fracture is diagnosed and finally, how i would treat this type of fracture. Transverse fractures are a specific type of bone breakage that occurs perpendicular to the. Treatment Transverse Process Fracture.
From narodnatribuna.info
Transverse Process Fracture Treatment Treatment Transverse Process Fracture Defined as those involving the transverse process only, without extension into the pedicle, lamina, or facet complex. Are not associated with any ligamentous or structural injury that can. How are transverse fractures treated? Here, i will detail the causes, symptoms, how this fracture is diagnosed and finally, how i would treat this type of fracture. A transverse process fracture is. Treatment Transverse Process Fracture.
From radiopaedia.org
Transverse process fracture Image Treatment Transverse Process Fracture A transverse process fracture is typically the result. Here, i will detail the causes, symptoms, how this fracture is diagnosed and finally, how i would treat this type of fracture. Defined as those involving the transverse process only, without extension into the pedicle, lamina, or facet complex. Transverse fractures are a specific type of bone breakage that occurs perpendicular to. Treatment Transverse Process Fracture.
From www.nuemblog.com
transverse process fracture — Ortho Teaching Files — NUEM Blog Treatment Transverse Process Fracture Defined as those involving the transverse process only, without extension into the pedicle, lamina, or facet complex. How are transverse fractures treated? Transverse process fractures are usually treated with a gradual increase in motion, with or without bracing, based on comfort level. Your broken bones need to heal back together. Transverse fractures are a specific type of bone breakage that. Treatment Transverse Process Fracture.
From narodnatribuna.info
Transverse Process Fracture Treatment Treatment Transverse Process Fracture How are transverse fractures treated? Are not associated with any ligamentous or structural injury that can. Here, i will detail the causes, symptoms, how this fracture is diagnosed and finally, how i would treat this type of fracture. How your transverse fracture is treated depends on the severity of the original break. Transverse process fractures are usually treated with a. Treatment Transverse Process Fracture.
From mapaseagame.blogspot.com
L5 Transverse Process Fracture Treatment mapasgmaes Treatment Transverse Process Fracture How are transverse fractures treated? To review the literature on isolated transverse process fractures (itpfs) and provide evidence for the current practice of. Your broken bones need to heal back together. How your transverse fracture is treated depends on the severity of the original break. Defined as those involving the transverse process only, without extension into the pedicle, lamina, or. Treatment Transverse Process Fracture.
From erofdallastx.com
Transverse Fracture Symptoms, Causes, and Treatment ER of Dallas Treatment Transverse Process Fracture Transverse fractures are a specific type of bone breakage that occurs perpendicular to the long axis of the bone. Defined as those involving the transverse process only, without extension into the pedicle, lamina, or facet complex. How your transverse fracture is treated depends on the severity of the original break. Transverse process fractures are usually treated with a gradual increase. Treatment Transverse Process Fracture.
From www.sportsinjurybulletin.com
Sports Injury Bulletin Diagnose & Treat Lumbar transverse process Treatment Transverse Process Fracture Your broken bones need to heal back together. How are transverse fractures treated? A transverse process fracture is typically the result. To review the literature on isolated transverse process fractures (itpfs) and provide evidence for the current practice of. Transverse process fractures are usually treated with a gradual increase in motion, with or without bracing, based on comfort level. Transverse. Treatment Transverse Process Fracture.
From www.orthobullets.com
Atlas Fractures & Transverse Ligament Injuries Spine Orthobullets Treatment Transverse Process Fracture Here, i will detail the causes, symptoms, how this fracture is diagnosed and finally, how i would treat this type of fracture. Defined as those involving the transverse process only, without extension into the pedicle, lamina, or facet complex. Your broken bones need to heal back together. Are not associated with any ligamentous or structural injury that can. Transverse fractures. Treatment Transverse Process Fracture.
From my.clevelandclinic.org
Transverse Fracture Symptoms, Causes & Treatment Treatment Transverse Process Fracture How are transverse fractures treated? Defined as those involving the transverse process only, without extension into the pedicle, lamina, or facet complex. Your broken bones need to heal back together. To review the literature on isolated transverse process fractures (itpfs) and provide evidence for the current practice of. Transverse process fractures are usually treated with a gradual increase in motion,. Treatment Transverse Process Fracture.
From www.cyclephysio.com.au
Transverse Process Fractures. A Broken Spine From Crashing Treatment Transverse Process Fracture To review the literature on isolated transverse process fractures (itpfs) and provide evidence for the current practice of. Are not associated with any ligamentous or structural injury that can. Here, i will detail the causes, symptoms, how this fracture is diagnosed and finally, how i would treat this type of fracture. Defined as those involving the transverse process only, without. Treatment Transverse Process Fracture.
From www.theinjurysource.com
Transverse Process Spine Fracture Treatment Transverse Process Fracture Defined as those involving the transverse process only, without extension into the pedicle, lamina, or facet complex. How are transverse fractures treated? Transverse fractures are a specific type of bone breakage that occurs perpendicular to the long axis of the bone. Here, i will detail the causes, symptoms, how this fracture is diagnosed and finally, how i would treat this. Treatment Transverse Process Fracture.
From www.nassopenaccess.org
Isolated Thoracic and Lumbar Transverse Process Fractures Do They Need Treatment Transverse Process Fracture Your broken bones need to heal back together. Defined as those involving the transverse process only, without extension into the pedicle, lamina, or facet complex. How are transverse fractures treated? To review the literature on isolated transverse process fractures (itpfs) and provide evidence for the current practice of. A transverse process fracture is typically the result. Transverse fractures are a. Treatment Transverse Process Fracture.
From www.theinjurysource.com
Transverse Process Spine Fracture Treatment Transverse Process Fracture Are not associated with any ligamentous or structural injury that can. Defined as those involving the transverse process only, without extension into the pedicle, lamina, or facet complex. Here, i will detail the causes, symptoms, how this fracture is diagnosed and finally, how i would treat this type of fracture. To review the literature on isolated transverse process fractures (itpfs). Treatment Transverse Process Fracture.