Mse Orthodontics Cost . The mse is capable of producing dramatic maxillary skeletal expansion. The mse uses 4 titanium alloy tads for. The maxillary skeletal expander is. The cost of your mse appliance will be included in your personalized treatment plan. Maxillary skeletal expansion (mse) is a new orthodontic technique. Simply great short blog post that explains the differences between mse and hybrid hyrax expanders in orthodontic expansion. The maxillary skeletal expander (m.s.e.) is the newest minimally invasive technology to expand the palate in the purpose of correcting bite, upper jaw disharmony & improving sinus. How much does a mse expander device cost? How much does the mse appliance cost? The expansion screws are available in 8mm, 10mm and 12mm stainless steel. This post provides information on the evidence underpinning this treatment. Developed by one of dr.
from www.semortho.com
How much does a mse expander device cost? Maxillary skeletal expansion (mse) is a new orthodontic technique. How much does the mse appliance cost? The maxillary skeletal expander is. The cost of your mse appliance will be included in your personalized treatment plan. The expansion screws are available in 8mm, 10mm and 12mm stainless steel. This post provides information on the evidence underpinning this treatment. The mse uses 4 titanium alloy tads for. The mse is capable of producing dramatic maxillary skeletal expansion. Developed by one of dr.
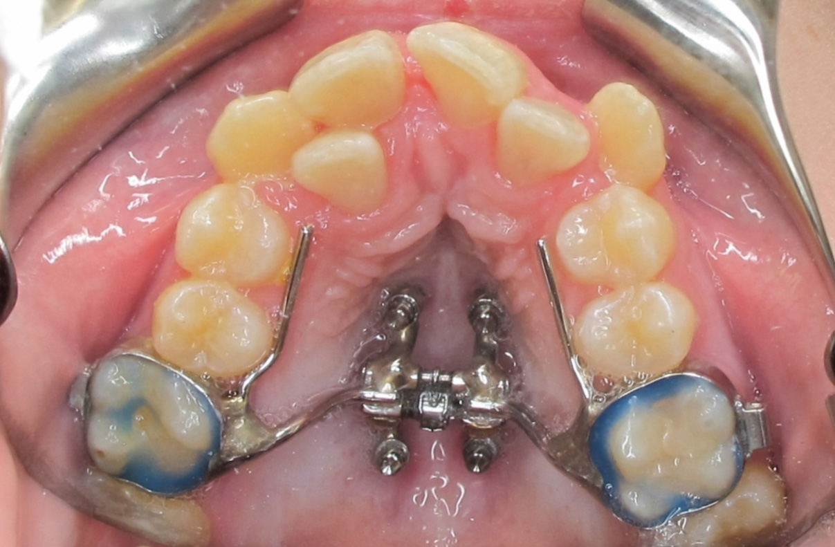
References in Class III treatment by combining facemask (FM) and
Mse Orthodontics Cost This post provides information on the evidence underpinning this treatment. How much does a mse expander device cost? The mse uses 4 titanium alloy tads for. This post provides information on the evidence underpinning this treatment. The maxillary skeletal expander is. Developed by one of dr. How much does the mse appliance cost? Maxillary skeletal expansion (mse) is a new orthodontic technique. The cost of your mse appliance will be included in your personalized treatment plan. The expansion screws are available in 8mm, 10mm and 12mm stainless steel. The mse is capable of producing dramatic maxillary skeletal expansion. The maxillary skeletal expander (m.s.e.) is the newest minimally invasive technology to expand the palate in the purpose of correcting bite, upper jaw disharmony & improving sinus. Simply great short blog post that explains the differences between mse and hybrid hyrax expanders in orthodontic expansion.
From www.youtube.com
Maxilary Skeletal Expander (MSE), showed by Dr. Ramón Mompell for Mse Orthodontics Cost The mse uses 4 titanium alloy tads for. Maxillary skeletal expansion (mse) is a new orthodontic technique. The mse is capable of producing dramatic maxillary skeletal expansion. The cost of your mse appliance will be included in your personalized treatment plan. This post provides information on the evidence underpinning this treatment. Simply great short blog post that explains the differences. Mse Orthodontics Cost.
From uniteddentalcare.com.au
Maxillary Skeletal Expander United dental care Mse Orthodontics Cost The maxillary skeletal expander (m.s.e.) is the newest minimally invasive technology to expand the palate in the purpose of correcting bite, upper jaw disharmony & improving sinus. Developed by one of dr. The mse uses 4 titanium alloy tads for. How much does a mse expander device cost? How much does the mse appliance cost? The cost of your mse. Mse Orthodontics Cost.
From www.semortho.com
Class III treatment by combining facemask (FM) and maxillary skeletal Mse Orthodontics Cost The cost of your mse appliance will be included in your personalized treatment plan. The mse is capable of producing dramatic maxillary skeletal expansion. Simply great short blog post that explains the differences between mse and hybrid hyrax expanders in orthodontic expansion. Maxillary skeletal expansion (mse) is a new orthodontic technique. How much does a mse expander device cost? The. Mse Orthodontics Cost.
From adventurebraces.com
Maxillary Skeletal Expansion Adventure Orthodontics Mse Orthodontics Cost The cost of your mse appliance will be included in your personalized treatment plan. Developed by one of dr. The maxillary skeletal expander (m.s.e.) is the newest minimally invasive technology to expand the palate in the purpose of correcting bite, upper jaw disharmony & improving sinus. The maxillary skeletal expander is. How much does a mse expander device cost? The. Mse Orthodontics Cost.
From www.ismilespecialists.com
MARPE / SME as a nonInvasive alternative to SARPE Houston Mse Orthodontics Cost How much does the mse appliance cost? How much does a mse expander device cost? This post provides information on the evidence underpinning this treatment. Developed by one of dr. The maxillary skeletal expander (m.s.e.) is the newest minimally invasive technology to expand the palate in the purpose of correcting bite, upper jaw disharmony & improving sinus. The cost of. Mse Orthodontics Cost.
From www.newmouth.com
Clear Braces Costs 6 Best Brands, Pros & Cons Mse Orthodontics Cost How much does a mse expander device cost? How much does the mse appliance cost? This post provides information on the evidence underpinning this treatment. The maxillary skeletal expander is. The mse is capable of producing dramatic maxillary skeletal expansion. The expansion screws are available in 8mm, 10mm and 12mm stainless steel. The cost of your mse appliance will be. Mse Orthodontics Cost.
From www.embracedentalandortho.com
embracedentalorthomse Embrace Dental and Orthodontics Mse Orthodontics Cost Maxillary skeletal expansion (mse) is a new orthodontic technique. Simply great short blog post that explains the differences between mse and hybrid hyrax expanders in orthodontic expansion. The expansion screws are available in 8mm, 10mm and 12mm stainless steel. This post provides information on the evidence underpinning this treatment. How much does a mse expander device cost? How much does. Mse Orthodontics Cost.
From oralb.com
How Much Do Braces Cost? OralB Mse Orthodontics Cost Developed by one of dr. The cost of your mse appliance will be included in your personalized treatment plan. The mse is capable of producing dramatic maxillary skeletal expansion. How much does the mse appliance cost? Maxillary skeletal expansion (mse) is a new orthodontic technique. Simply great short blog post that explains the differences between mse and hybrid hyrax expanders. Mse Orthodontics Cost.
From dentalpickup.com
How Much Do Braces Cost? Quick Guide Dental Pickup Mse Orthodontics Cost The expansion screws are available in 8mm, 10mm and 12mm stainless steel. The cost of your mse appliance will be included in your personalized treatment plan. How much does a mse expander device cost? The mse is capable of producing dramatic maxillary skeletal expansion. Maxillary skeletal expansion (mse) is a new orthodontic technique. The maxillary skeletal expander is. The mse. Mse Orthodontics Cost.
From www.thedentalguide.net
How Much Do Braces Cost in the UK? The Dental Guide Mse Orthodontics Cost The maxillary skeletal expander (m.s.e.) is the newest minimally invasive technology to expand the palate in the purpose of correcting bite, upper jaw disharmony & improving sinus. How much does a mse expander device cost? The maxillary skeletal expander is. Simply great short blog post that explains the differences between mse and hybrid hyrax expanders in orthodontic expansion. The mse. Mse Orthodontics Cost.
From tisserontorthodontics.com
How Much do Braces Cost in 2022? (Metal, Lingual, Invisalign, Ceramic) Mse Orthodontics Cost How much does the mse appliance cost? The mse uses 4 titanium alloy tads for. The mse is capable of producing dramatic maxillary skeletal expansion. The maxillary skeletal expander (m.s.e.) is the newest minimally invasive technology to expand the palate in the purpose of correcting bite, upper jaw disharmony & improving sinus. Maxillary skeletal expansion (mse) is a new orthodontic. Mse Orthodontics Cost.
From www.lemkeortho.com
Maxillary Skeletal Expander (MSE) Lemke Orthodontics Sugar Land Mse Orthodontics Cost The expansion screws are available in 8mm, 10mm and 12mm stainless steel. How much does the mse appliance cost? The mse uses 4 titanium alloy tads for. How much does a mse expander device cost? The mse is capable of producing dramatic maxillary skeletal expansion. Maxillary skeletal expansion (mse) is a new orthodontic technique. This post provides information on the. Mse Orthodontics Cost.
From www.arlingtonsmilecenter.com
Maxillary Skeletal Expansion (MSE) Dentist Arlington, VA Mse Orthodontics Cost The mse is capable of producing dramatic maxillary skeletal expansion. The expansion screws are available in 8mm, 10mm and 12mm stainless steel. The maxillary skeletal expander is. The cost of your mse appliance will be included in your personalized treatment plan. This post provides information on the evidence underpinning this treatment. How much does a mse expander device cost? The. Mse Orthodontics Cost.
From www.youtube.com
Maxillary skeletal expansion (MSE) placement YouTube Mse Orthodontics Cost How much does the mse appliance cost? Developed by one of dr. Simply great short blog post that explains the differences between mse and hybrid hyrax expanders in orthodontic expansion. The maxillary skeletal expander (m.s.e.) is the newest minimally invasive technology to expand the palate in the purpose of correcting bite, upper jaw disharmony & improving sinus. The cost of. Mse Orthodontics Cost.
From www.semortho.com
Class III treatment by combining facemask (FM) and maxillary skeletal Mse Orthodontics Cost Maxillary skeletal expansion (mse) is a new orthodontic technique. The maxillary skeletal expander (m.s.e.) is the newest minimally invasive technology to expand the palate in the purpose of correcting bite, upper jaw disharmony & improving sinus. The cost of your mse appliance will be included in your personalized treatment plan. The mse uses 4 titanium alloy tads for. How much. Mse Orthodontics Cost.
From www.reddit.com
before and after braces with MSE. crossbite and underbite correction no Mse Orthodontics Cost The cost of your mse appliance will be included in your personalized treatment plan. Simply great short blog post that explains the differences between mse and hybrid hyrax expanders in orthodontic expansion. The mse uses 4 titanium alloy tads for. The maxillary skeletal expander (m.s.e.) is the newest minimally invasive technology to expand the palate in the purpose of correcting. Mse Orthodontics Cost.
From www.semortho.com
References in Class III treatment by combining facemask (FM) and Mse Orthodontics Cost Maxillary skeletal expansion (mse) is a new orthodontic technique. How much does a mse expander device cost? Simply great short blog post that explains the differences between mse and hybrid hyrax expanders in orthodontic expansion. The cost of your mse appliance will be included in your personalized treatment plan. Developed by one of dr. The mse is capable of producing. Mse Orthodontics Cost.
From www.arlingtonsmilecenter.com
Maxillary Skeletal Expansion (MSE) Dentist Arlington, VA Mse Orthodontics Cost Maxillary skeletal expansion (mse) is a new orthodontic technique. The maxillary skeletal expander (m.s.e.) is the newest minimally invasive technology to expand the palate in the purpose of correcting bite, upper jaw disharmony & improving sinus. Simply great short blog post that explains the differences between mse and hybrid hyrax expanders in orthodontic expansion. The cost of your mse appliance. Mse Orthodontics Cost.
From www.youtube.com
Maxillary Skeletal Expander (MSE) activation YouTube Mse Orthodontics Cost Simply great short blog post that explains the differences between mse and hybrid hyrax expanders in orthodontic expansion. This post provides information on the evidence underpinning this treatment. The maxillary skeletal expander is. Maxillary skeletal expansion (mse) is a new orthodontic technique. How much does the mse appliance cost? The maxillary skeletal expander (m.s.e.) is the newest minimally invasive technology. Mse Orthodontics Cost.
From bracesetters.com
The Average cost of Braces Bracesetters Orthodontics Mse Orthodontics Cost How much does a mse expander device cost? Simply great short blog post that explains the differences between mse and hybrid hyrax expanders in orthodontic expansion. How much does the mse appliance cost? The mse is capable of producing dramatic maxillary skeletal expansion. The mse uses 4 titanium alloy tads for. Developed by one of dr. The expansion screws are. Mse Orthodontics Cost.
From www.youtube.com
In details installing MSE expander into very deep and narrow palate, Mse Orthodontics Cost Developed by one of dr. The cost of your mse appliance will be included in your personalized treatment plan. The maxillary skeletal expander is. How much does the mse appliance cost? This post provides information on the evidence underpinning this treatment. Maxillary skeletal expansion (mse) is a new orthodontic technique. The expansion screws are available in 8mm, 10mm and 12mm. Mse Orthodontics Cost.
From giovannimadaki.blogspot.com
9+ Maxillary Skeletal Expander GiovanniMadaki Mse Orthodontics Cost How much does the mse appliance cost? The cost of your mse appliance will be included in your personalized treatment plan. Maxillary skeletal expansion (mse) is a new orthodontic technique. The mse is capable of producing dramatic maxillary skeletal expansion. The maxillary skeletal expander is. The maxillary skeletal expander (m.s.e.) is the newest minimally invasive technology to expand the palate. Mse Orthodontics Cost.
From www.semortho.com
References in Class III treatment by combining facemask (FM) and Mse Orthodontics Cost The cost of your mse appliance will be included in your personalized treatment plan. The expansion screws are available in 8mm, 10mm and 12mm stainless steel. The maxillary skeletal expander is. This post provides information on the evidence underpinning this treatment. The mse is capable of producing dramatic maxillary skeletal expansion. How much does a mse expander device cost? Developed. Mse Orthodontics Cost.
From uniteddentalcare.com.au
mse02 United dental care Mse Orthodontics Cost Developed by one of dr. Maxillary skeletal expansion (mse) is a new orthodontic technique. The maxillary skeletal expander (m.s.e.) is the newest minimally invasive technology to expand the palate in the purpose of correcting bite, upper jaw disharmony & improving sinus. This post provides information on the evidence underpinning this treatment. Simply great short blog post that explains the differences. Mse Orthodontics Cost.
From wiener.me
MSE Palate Expander Face Changes, Before After, 56 OFF Mse Orthodontics Cost The maxillary skeletal expander is. Simply great short blog post that explains the differences between mse and hybrid hyrax expanders in orthodontic expansion. Maxillary skeletal expansion (mse) is a new orthodontic technique. The maxillary skeletal expander (m.s.e.) is the newest minimally invasive technology to expand the palate in the purpose of correcting bite, upper jaw disharmony & improving sinus. How. Mse Orthodontics Cost.
From dentalgramacademy.com
Curso de Planificación y Diseño del Digital MSE Dentalgram Academy Mse Orthodontics Cost Developed by one of dr. This post provides information on the evidence underpinning this treatment. How much does a mse expander device cost? Maxillary skeletal expansion (mse) is a new orthodontic technique. The expansion screws are available in 8mm, 10mm and 12mm stainless steel. The cost of your mse appliance will be included in your personalized treatment plan. The mse. Mse Orthodontics Cost.
From www.bracesboss.com
How Much Do Braces Cost for Adults? Full Pro Guide 2023 BracesBoss Mse Orthodontics Cost The maxillary skeletal expander (m.s.e.) is the newest minimally invasive technology to expand the palate in the purpose of correcting bite, upper jaw disharmony & improving sinus. This post provides information on the evidence underpinning this treatment. How much does the mse appliance cost? How much does a mse expander device cost? The mse is capable of producing dramatic maxillary. Mse Orthodontics Cost.
From www.reddit.com
day 1 of braces and mse vs day 41 of braces and mse. 33 turns completed Mse Orthodontics Cost The mse uses 4 titanium alloy tads for. The maxillary skeletal expander (m.s.e.) is the newest minimally invasive technology to expand the palate in the purpose of correcting bite, upper jaw disharmony & improving sinus. The cost of your mse appliance will be included in your personalized treatment plan. Simply great short blog post that explains the differences between mse. Mse Orthodontics Cost.
From www.lemkeortho.com
Maxillary Skeletal Expander (MSE) Lemke Orthodontics Sugar Land Mse Orthodontics Cost The expansion screws are available in 8mm, 10mm and 12mm stainless steel. This post provides information on the evidence underpinning this treatment. The cost of your mse appliance will be included in your personalized treatment plan. Developed by one of dr. Simply great short blog post that explains the differences between mse and hybrid hyrax expanders in orthodontic expansion. How. Mse Orthodontics Cost.
From www.lemkeortho.com
Maxillary Skeletal Expander (MSE) Lemke Orthodontics Sugar Land Mse Orthodontics Cost The mse uses 4 titanium alloy tads for. This post provides information on the evidence underpinning this treatment. How much does the mse appliance cost? The cost of your mse appliance will be included in your personalized treatment plan. The expansion screws are available in 8mm, 10mm and 12mm stainless steel. Maxillary skeletal expansion (mse) is a new orthodontic technique.. Mse Orthodontics Cost.
From www.andersonperiodontal.com
Airway Periodontics Maxillary Skeletal Expansion (MSE) Anderson Mse Orthodontics Cost The expansion screws are available in 8mm, 10mm and 12mm stainless steel. Simply great short blog post that explains the differences between mse and hybrid hyrax expanders in orthodontic expansion. The maxillary skeletal expander is. How much does the mse appliance cost? The cost of your mse appliance will be included in your personalized treatment plan. The maxillary skeletal expander. Mse Orthodontics Cost.
From www.lemkeortho.com
Maxillary Skeletal Expander (MSE) Lemke Orthodontics Sugar Land Mse Orthodontics Cost The expansion screws are available in 8mm, 10mm and 12mm stainless steel. The maxillary skeletal expander (m.s.e.) is the newest minimally invasive technology to expand the palate in the purpose of correcting bite, upper jaw disharmony & improving sinus. The cost of your mse appliance will be included in your personalized treatment plan. The mse is capable of producing dramatic. Mse Orthodontics Cost.
From drgulsdental.com
Dental Braces Cost in Noida How much do Dental Braces Cost? DR GUL'S Mse Orthodontics Cost Simply great short blog post that explains the differences between mse and hybrid hyrax expanders in orthodontic expansion. The mse is capable of producing dramatic maxillary skeletal expansion. Maxillary skeletal expansion (mse) is a new orthodontic technique. This post provides information on the evidence underpinning this treatment. The cost of your mse appliance will be included in your personalized treatment. Mse Orthodontics Cost.
From www.semortho.com
Class III treatment by combining facemask (FM) and maxillary skeletal Mse Orthodontics Cost How much does a mse expander device cost? The expansion screws are available in 8mm, 10mm and 12mm stainless steel. The cost of your mse appliance will be included in your personalized treatment plan. The maxillary skeletal expander is. Developed by one of dr. The mse is capable of producing dramatic maxillary skeletal expansion. This post provides information on the. Mse Orthodontics Cost.
From brunofuga.adv.br
A Closer Look At Maxillary Skeletal Expansion Kevin, 51 OFF Mse Orthodontics Cost This post provides information on the evidence underpinning this treatment. The maxillary skeletal expander is. The maxillary skeletal expander (m.s.e.) is the newest minimally invasive technology to expand the palate in the purpose of correcting bite, upper jaw disharmony & improving sinus. The cost of your mse appliance will be included in your personalized treatment plan. How much does the. Mse Orthodontics Cost.