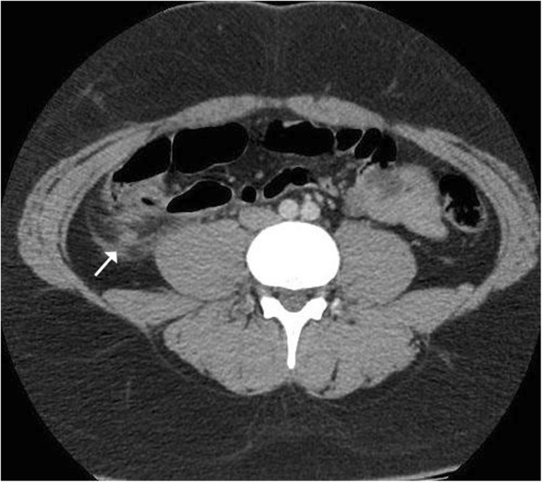
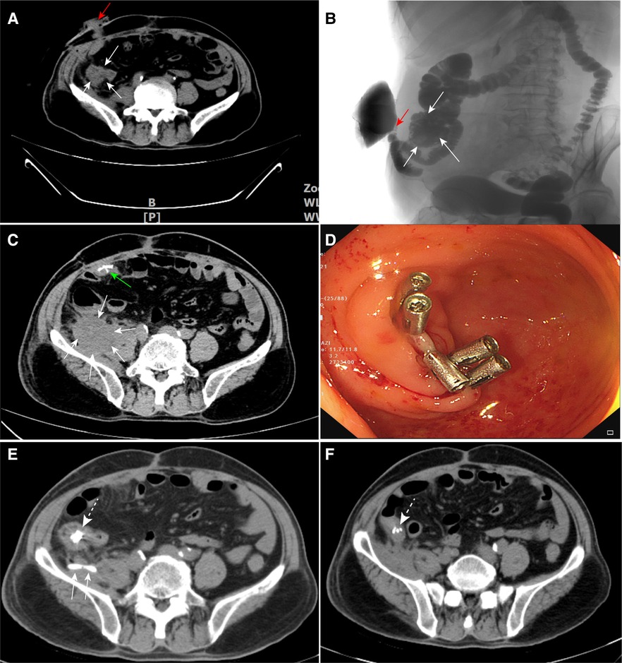
What Is An Inverted Appendiceal Stump . Although asymptomatic, ai should be. The goal of this case series is to familiarize gastroenterologists and surgeons with the appearance of appendicular inversion on. Appendiceal inversion is a rare, but harmless finding that has been described in only a limited number of case reports in the literature. Appendiceal inversion is an uncommon entity that presents a diagnostic dilemma for the gastroenterologist or surgeon. Appendiceal inversion (ai) describes an appendix that is pulled into the lumen of the cecum. The appendix may be inverted in one of the following situations. Stump appendicitis is defined by the recurrent inflammation of the residual appendix after the appendix has been only partially removed. First, the appendix could be inverted surgically, typically after. Stump appendicitis refers to inflammation of the residual appendiceal tissue post appendectomy.
from www.jpedsurg.org
Stump appendicitis is defined by the recurrent inflammation of the residual appendix after the appendix has been only partially removed. The goal of this case series is to familiarize gastroenterologists and surgeons with the appearance of appendicular inversion on. Appendiceal inversion is a rare, but harmless finding that has been described in only a limited number of case reports in the literature. Appendiceal inversion is an uncommon entity that presents a diagnostic dilemma for the gastroenterologist or surgeon. Appendiceal inversion (ai) describes an appendix that is pulled into the lumen of the cecum. First, the appendix could be inverted surgically, typically after. Stump appendicitis refers to inflammation of the residual appendiceal tissue post appendectomy. The appendix may be inverted in one of the following situations. Although asymptomatic, ai should be.
Stump appendicitis in children Journal of Pediatric Surgery
What Is An Inverted Appendiceal Stump The goal of this case series is to familiarize gastroenterologists and surgeons with the appearance of appendicular inversion on. Appendiceal inversion (ai) describes an appendix that is pulled into the lumen of the cecum. Stump appendicitis refers to inflammation of the residual appendiceal tissue post appendectomy. Stump appendicitis is defined by the recurrent inflammation of the residual appendix after the appendix has been only partially removed. The appendix may be inverted in one of the following situations. Appendiceal inversion is an uncommon entity that presents a diagnostic dilemma for the gastroenterologist or surgeon. The goal of this case series is to familiarize gastroenterologists and surgeons with the appearance of appendicular inversion on. Although asymptomatic, ai should be. First, the appendix could be inverted surgically, typically after. Appendiceal inversion is a rare, but harmless finding that has been described in only a limited number of case reports in the literature.
From slidesplayer.com
Securing the appendiceal stump without clip is safe ppt download What Is An Inverted Appendiceal Stump Appendiceal inversion (ai) describes an appendix that is pulled into the lumen of the cecum. Although asymptomatic, ai should be. Appendiceal inversion is a rare, but harmless finding that has been described in only a limited number of case reports in the literature. First, the appendix could be inverted surgically, typically after. Stump appendicitis is defined by the recurrent inflammation. What Is An Inverted Appendiceal Stump.
From www.ajronline.org
Inverted Appendiceal Stumps Simulating Large Pedunculated Polyps on What Is An Inverted Appendiceal Stump Appendiceal inversion is a rare, but harmless finding that has been described in only a limited number of case reports in the literature. First, the appendix could be inverted surgically, typically after. Appendiceal inversion is an uncommon entity that presents a diagnostic dilemma for the gastroenterologist or surgeon. Appendiceal inversion (ai) describes an appendix that is pulled into the lumen. What Is An Inverted Appendiceal Stump.
From wjes.biomedcentral.com
Stump appendicitis a retrospective review of 3130 consecutive What Is An Inverted Appendiceal Stump Appendiceal inversion (ai) describes an appendix that is pulled into the lumen of the cecum. Although asymptomatic, ai should be. The goal of this case series is to familiarize gastroenterologists and surgeons with the appearance of appendicular inversion on. Appendiceal inversion is an uncommon entity that presents a diagnostic dilemma for the gastroenterologist or surgeon. Appendiceal inversion is a rare,. What Is An Inverted Appendiceal Stump.
From slidesplayer.com
Securing the appendiceal stump without clip is safe ppt download What Is An Inverted Appendiceal Stump First, the appendix could be inverted surgically, typically after. Stump appendicitis is defined by the recurrent inflammation of the residual appendix after the appendix has been only partially removed. Stump appendicitis refers to inflammation of the residual appendiceal tissue post appendectomy. The goal of this case series is to familiarize gastroenterologists and surgeons with the appearance of appendicular inversion on.. What Is An Inverted Appendiceal Stump.
From www.ajronline.org
Inverted Appendiceal Stumps Simulating Large Pedunculated Polyps on What Is An Inverted Appendiceal Stump The appendix may be inverted in one of the following situations. Stump appendicitis is defined by the recurrent inflammation of the residual appendix after the appendix has been only partially removed. Stump appendicitis refers to inflammation of the residual appendiceal tissue post appendectomy. Appendiceal inversion (ai) describes an appendix that is pulled into the lumen of the cecum. The goal. What Is An Inverted Appendiceal Stump.
From www.researchgate.net
(PDF) An unusual "tumor" of the cecum the inverted appendiceal stump What Is An Inverted Appendiceal Stump Although asymptomatic, ai should be. Stump appendicitis refers to inflammation of the residual appendiceal tissue post appendectomy. The appendix may be inverted in one of the following situations. Appendiceal inversion (ai) describes an appendix that is pulled into the lumen of the cecum. Appendiceal inversion is an uncommon entity that presents a diagnostic dilemma for the gastroenterologist or surgeon. Appendiceal. What Is An Inverted Appendiceal Stump.
From www.researchgate.net
Inverted appendiceal stump lined by colonic type mucosa with prominent What Is An Inverted Appendiceal Stump Stump appendicitis is defined by the recurrent inflammation of the residual appendix after the appendix has been only partially removed. Appendiceal inversion is an uncommon entity that presents a diagnostic dilemma for the gastroenterologist or surgeon. First, the appendix could be inverted surgically, typically after. The appendix may be inverted in one of the following situations. Stump appendicitis refers to. What Is An Inverted Appendiceal Stump.
From www.frontiersin.org
Frontiers Colonoscopic titanium clipping to Maddress appendiceal What Is An Inverted Appendiceal Stump The appendix may be inverted in one of the following situations. Stump appendicitis is defined by the recurrent inflammation of the residual appendix after the appendix has been only partially removed. Appendiceal inversion is an uncommon entity that presents a diagnostic dilemma for the gastroenterologist or surgeon. First, the appendix could be inverted surgically, typically after. The goal of this. What Is An Inverted Appendiceal Stump.
From pdfslide.net
(PDF) Mucocele of appendiceal stump What Is An Inverted Appendiceal Stump First, the appendix could be inverted surgically, typically after. Stump appendicitis refers to inflammation of the residual appendiceal tissue post appendectomy. Appendiceal inversion (ai) describes an appendix that is pulled into the lumen of the cecum. The goal of this case series is to familiarize gastroenterologists and surgeons with the appearance of appendicular inversion on. Appendiceal inversion is an uncommon. What Is An Inverted Appendiceal Stump.
From twitter.com
Cirbosque SoMe4Surgery on Twitter "Management of Large Cecal Polyps What Is An Inverted Appendiceal Stump Stump appendicitis is defined by the recurrent inflammation of the residual appendix after the appendix has been only partially removed. The goal of this case series is to familiarize gastroenterologists and surgeons with the appearance of appendicular inversion on. Appendiceal inversion (ai) describes an appendix that is pulled into the lumen of the cecum. Although asymptomatic, ai should be. Stump. What Is An Inverted Appendiceal Stump.
From www.medscape.com
Stump Appendicitis What Is An Inverted Appendiceal Stump Appendiceal inversion is an uncommon entity that presents a diagnostic dilemma for the gastroenterologist or surgeon. The goal of this case series is to familiarize gastroenterologists and surgeons with the appearance of appendicular inversion on. Stump appendicitis refers to inflammation of the residual appendiceal tissue post appendectomy. Appendiceal inversion is a rare, but harmless finding that has been described in. What Is An Inverted Appendiceal Stump.
From www.pinterest.com
Appendicular stump normal Radiology Case What Is An Inverted Appendiceal Stump Although asymptomatic, ai should be. Stump appendicitis refers to inflammation of the residual appendiceal tissue post appendectomy. First, the appendix could be inverted surgically, typically after. Appendiceal inversion (ai) describes an appendix that is pulled into the lumen of the cecum. Appendiceal inversion is a rare, but harmless finding that has been described in only a limited number of case. What Is An Inverted Appendiceal Stump.
From www.journalofsurgicalresearch.com
Combined Endoscopic Mucosal Resection and Extended Laparoscopic What Is An Inverted Appendiceal Stump Appendiceal inversion is an uncommon entity that presents a diagnostic dilemma for the gastroenterologist or surgeon. The appendix may be inverted in one of the following situations. Appendiceal inversion (ai) describes an appendix that is pulled into the lumen of the cecum. The goal of this case series is to familiarize gastroenterologists and surgeons with the appearance of appendicular inversion. What Is An Inverted Appendiceal Stump.
From www.ajronline.org
Inverted Appendiceal Stumps Simulating Large Pedunculated Polyps on What Is An Inverted Appendiceal Stump Stump appendicitis refers to inflammation of the residual appendiceal tissue post appendectomy. First, the appendix could be inverted surgically, typically after. Appendiceal inversion is a rare, but harmless finding that has been described in only a limited number of case reports in the literature. The goal of this case series is to familiarize gastroenterologists and surgeons with the appearance of. What Is An Inverted Appendiceal Stump.
From teachmeanatomy.info
The Appendix Retrocecal Arterial supply Appendicitis TeachMeAnatomy What Is An Inverted Appendiceal Stump Stump appendicitis refers to inflammation of the residual appendiceal tissue post appendectomy. The goal of this case series is to familiarize gastroenterologists and surgeons with the appearance of appendicular inversion on. First, the appendix could be inverted surgically, typically after. Although asymptomatic, ai should be. Appendiceal inversion is a rare, but harmless finding that has been described in only a. What Is An Inverted Appendiceal Stump.
From onlinelibrary.wiley.com
Stumped? It could be stump appendicitis Reddan 2017 Sonography What Is An Inverted Appendiceal Stump Stump appendicitis is defined by the recurrent inflammation of the residual appendix after the appendix has been only partially removed. Appendiceal inversion is a rare, but harmless finding that has been described in only a limited number of case reports in the literature. The goal of this case series is to familiarize gastroenterologists and surgeons with the appearance of appendicular. What Is An Inverted Appendiceal Stump.
From www.researchgate.net
(PDF) A case of an inverted appendiceal stump with dysplastic mucosa What Is An Inverted Appendiceal Stump The appendix may be inverted in one of the following situations. Appendiceal inversion is a rare, but harmless finding that has been described in only a limited number of case reports in the literature. First, the appendix could be inverted surgically, typically after. Appendiceal inversion is an uncommon entity that presents a diagnostic dilemma for the gastroenterologist or surgeon. Stump. What Is An Inverted Appendiceal Stump.
From www.epainassist.com
Acute AppendicitisCausesSignsSymptomsTreatment What Is An Inverted Appendiceal Stump First, the appendix could be inverted surgically, typically after. Stump appendicitis refers to inflammation of the residual appendiceal tissue post appendectomy. The goal of this case series is to familiarize gastroenterologists and surgeons with the appearance of appendicular inversion on. Stump appendicitis is defined by the recurrent inflammation of the residual appendix after the appendix has been only partially removed.. What Is An Inverted Appendiceal Stump.
From www.jpedsurg.org
Stump appendicitis in children Journal of Pediatric Surgery What Is An Inverted Appendiceal Stump The goal of this case series is to familiarize gastroenterologists and surgeons with the appearance of appendicular inversion on. The appendix may be inverted in one of the following situations. Stump appendicitis refers to inflammation of the residual appendiceal tissue post appendectomy. Stump appendicitis is defined by the recurrent inflammation of the residual appendix after the appendix has been only. What Is An Inverted Appendiceal Stump.
From surgicalimages.arizona.edu
Appendix Surgery Photos What Is An Inverted Appendiceal Stump Appendiceal inversion (ai) describes an appendix that is pulled into the lumen of the cecum. First, the appendix could be inverted surgically, typically after. The appendix may be inverted in one of the following situations. Stump appendicitis is defined by the recurrent inflammation of the residual appendix after the appendix has been only partially removed. Appendiceal inversion is a rare,. What Is An Inverted Appendiceal Stump.
From www.researchgate.net
Arrow indicating appendiceal stump with inflammatory changes What Is An Inverted Appendiceal Stump Stump appendicitis is defined by the recurrent inflammation of the residual appendix after the appendix has been only partially removed. Stump appendicitis refers to inflammation of the residual appendiceal tissue post appendectomy. Appendiceal inversion (ai) describes an appendix that is pulled into the lumen of the cecum. Appendiceal inversion is an uncommon entity that presents a diagnostic dilemma for the. What Is An Inverted Appendiceal Stump.
From www.jpedsurg.org
Stump appendicitis in children Journal of Pediatric Surgery What Is An Inverted Appendiceal Stump First, the appendix could be inverted surgically, typically after. Appendiceal inversion is an uncommon entity that presents a diagnostic dilemma for the gastroenterologist or surgeon. Stump appendicitis is defined by the recurrent inflammation of the residual appendix after the appendix has been only partially removed. Stump appendicitis refers to inflammation of the residual appendiceal tissue post appendectomy. Appendiceal inversion (ai). What Is An Inverted Appendiceal Stump.
From onlinelibrary.wiley.com
Stumped? It could be stump appendicitis Reddan 2017 Sonography What Is An Inverted Appendiceal Stump Although asymptomatic, ai should be. Stump appendicitis refers to inflammation of the residual appendiceal tissue post appendectomy. Appendiceal inversion is an uncommon entity that presents a diagnostic dilemma for the gastroenterologist or surgeon. Appendiceal inversion is a rare, but harmless finding that has been described in only a limited number of case reports in the literature. The goal of this. What Is An Inverted Appendiceal Stump.
From www.semanticscholar.org
Figure 2 from Appendiceal stump inversion with a pursestring suture in What Is An Inverted Appendiceal Stump Appendiceal inversion is an uncommon entity that presents a diagnostic dilemma for the gastroenterologist or surgeon. Appendiceal inversion is a rare, but harmless finding that has been described in only a limited number of case reports in the literature. Appendiceal inversion (ai) describes an appendix that is pulled into the lumen of the cecum. The appendix may be inverted in. What Is An Inverted Appendiceal Stump.
From medicaldialogues.in
Case of stump appendicitis two years after first laparoscopic What Is An Inverted Appendiceal Stump First, the appendix could be inverted surgically, typically after. Stump appendicitis refers to inflammation of the residual appendiceal tissue post appendectomy. Appendiceal inversion is an uncommon entity that presents a diagnostic dilemma for the gastroenterologist or surgeon. The goal of this case series is to familiarize gastroenterologists and surgeons with the appearance of appendicular inversion on. Appendiceal inversion (ai) describes. What Is An Inverted Appendiceal Stump.
From healthiack.com
Pictures Of Appendix What Is An Inverted Appendiceal Stump Appendiceal inversion (ai) describes an appendix that is pulled into the lumen of the cecum. Stump appendicitis refers to inflammation of the residual appendiceal tissue post appendectomy. Although asymptomatic, ai should be. Appendiceal inversion is a rare, but harmless finding that has been described in only a limited number of case reports in the literature. Appendiceal inversion is an uncommon. What Is An Inverted Appendiceal Stump.
From www.frontiersin.org
Frontiers Colonoscopic titanium clipping to address appendiceal stump What Is An Inverted Appendiceal Stump First, the appendix could be inverted surgically, typically after. Although asymptomatic, ai should be. The appendix may be inverted in one of the following situations. Appendiceal inversion is a rare, but harmless finding that has been described in only a limited number of case reports in the literature. The goal of this case series is to familiarize gastroenterologists and surgeons. What Is An Inverted Appendiceal Stump.
From www.ajronline.org
Prospective CT Diagnosis of Stump Appendicitis AJR What Is An Inverted Appendiceal Stump First, the appendix could be inverted surgically, typically after. Although asymptomatic, ai should be. Stump appendicitis refers to inflammation of the residual appendiceal tissue post appendectomy. Stump appendicitis is defined by the recurrent inflammation of the residual appendix after the appendix has been only partially removed. Appendiceal inversion is an uncommon entity that presents a diagnostic dilemma for the gastroenterologist. What Is An Inverted Appendiceal Stump.
From www.ajronline.org
Prospective CT Diagnosis of Stump Appendicitis AJR What Is An Inverted Appendiceal Stump Although asymptomatic, ai should be. Stump appendicitis refers to inflammation of the residual appendiceal tissue post appendectomy. First, the appendix could be inverted surgically, typically after. Appendiceal inversion is a rare, but harmless finding that has been described in only a limited number of case reports in the literature. Appendiceal inversion (ai) describes an appendix that is pulled into the. What Is An Inverted Appendiceal Stump.
From scielo.org.za
Inverted appendix Computed tomographic colonography diagnosis in a What Is An Inverted Appendiceal Stump Although asymptomatic, ai should be. Appendiceal inversion is an uncommon entity that presents a diagnostic dilemma for the gastroenterologist or surgeon. The goal of this case series is to familiarize gastroenterologists and surgeons with the appearance of appendicular inversion on. The appendix may be inverted in one of the following situations. First, the appendix could be inverted surgically, typically after.. What Is An Inverted Appendiceal Stump.
From onlinelibrary.wiley.com
Stumped? It could be stump appendicitis Reddan 2017 Sonography What Is An Inverted Appendiceal Stump Stump appendicitis is defined by the recurrent inflammation of the residual appendix after the appendix has been only partially removed. Stump appendicitis refers to inflammation of the residual appendiceal tissue post appendectomy. The goal of this case series is to familiarize gastroenterologists and surgeons with the appearance of appendicular inversion on. Appendiceal inversion is an uncommon entity that presents a. What Is An Inverted Appendiceal Stump.
From slidesplayer.com
Securing the appendiceal stump without clip is safe ppt download What Is An Inverted Appendiceal Stump Although asymptomatic, ai should be. First, the appendix could be inverted surgically, typically after. Appendiceal inversion (ai) describes an appendix that is pulled into the lumen of the cecum. Stump appendicitis is defined by the recurrent inflammation of the residual appendix after the appendix has been only partially removed. Appendiceal inversion is a rare, but harmless finding that has been. What Is An Inverted Appendiceal Stump.
From casereports.bmj.com
Stump appendicitis 5 years after laparoscopic appendicectomy BMJ Case What Is An Inverted Appendiceal Stump Appendiceal inversion (ai) describes an appendix that is pulled into the lumen of the cecum. Appendiceal inversion is an uncommon entity that presents a diagnostic dilemma for the gastroenterologist or surgeon. The appendix may be inverted in one of the following situations. Stump appendicitis is defined by the recurrent inflammation of the residual appendix after the appendix has been only. What Is An Inverted Appendiceal Stump.
From www.medfog.com
What is Appendicitis Diagnosis and Treatment MedFog What Is An Inverted Appendiceal Stump Stump appendicitis is defined by the recurrent inflammation of the residual appendix after the appendix has been only partially removed. Appendiceal inversion (ai) describes an appendix that is pulled into the lumen of the cecum. Appendiceal inversion is a rare, but harmless finding that has been described in only a limited number of case reports in the literature. Appendiceal inversion. What Is An Inverted Appendiceal Stump.
From casereports.bmj.com
Endoscopic diagnosis of a goblet cell carcinoid tumour of the appendix What Is An Inverted Appendiceal Stump First, the appendix could be inverted surgically, typically after. Stump appendicitis is defined by the recurrent inflammation of the residual appendix after the appendix has been only partially removed. The appendix may be inverted in one of the following situations. Although asymptomatic, ai should be. Appendiceal inversion is an uncommon entity that presents a diagnostic dilemma for the gastroenterologist or. What Is An Inverted Appendiceal Stump.