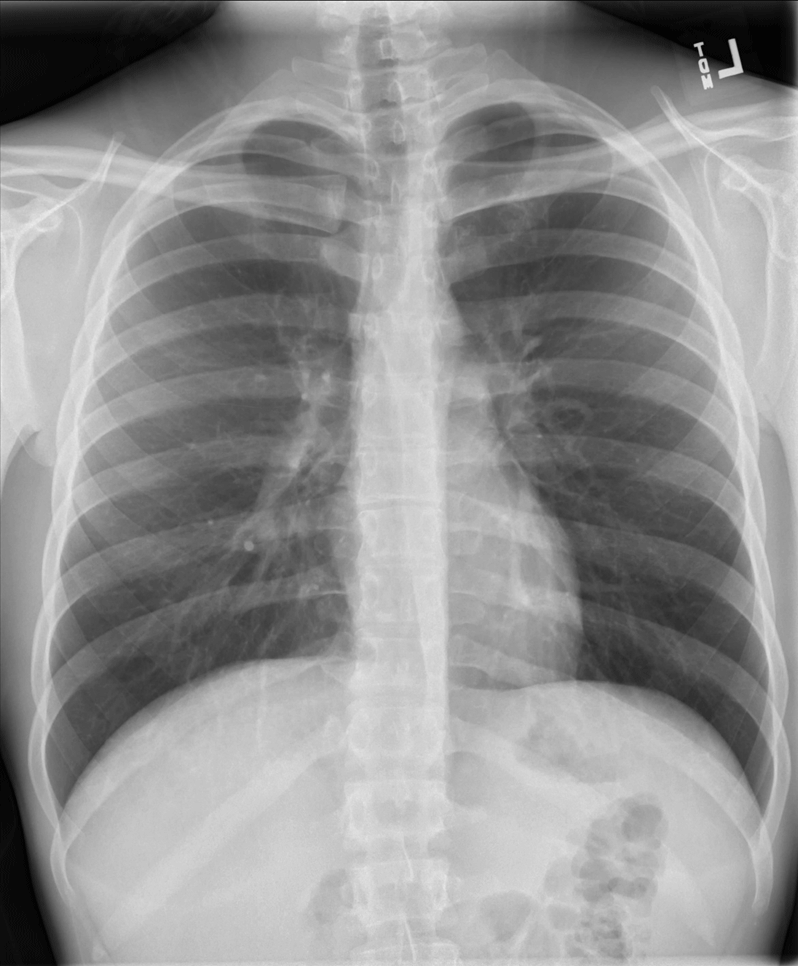
How To Tell If Chest X Ray Is Rotated . On ct however there is a cyst connected to the. Check if film is taken in full inspiration, with the diaphragm at the level of the 10th or 11th ribs posteriorly, and the 6th costal cartilage anteriorly. Rotation of a chest radiograph can simulate common pathological processes and make it hard to produce an appropriate diagnosis. If the patient is rotated to their right, then heart size may be underestimated. A small amount of patient rotation can lead to misinterpretation. Trachea, carina, bronchi and hilar. If the patient is rotated to their left, then the heart may appear enlarged. The pa view is used to investigate a plethora of. This patient is rotated to their left (right shoulder forwards and left shoulder backwards) the.
from www.wikihow.com
The pa view is used to investigate a plethora of. A small amount of patient rotation can lead to misinterpretation. Trachea, carina, bronchi and hilar. Check if film is taken in full inspiration, with the diaphragm at the level of the 10th or 11th ribs posteriorly, and the 6th costal cartilage anteriorly. This patient is rotated to their left (right shoulder forwards and left shoulder backwards) the. If the patient is rotated to their right, then heart size may be underestimated. Rotation of a chest radiograph can simulate common pathological processes and make it hard to produce an appropriate diagnosis. On ct however there is a cyst connected to the. If the patient is rotated to their left, then the heart may appear enlarged.
11 Ways to Know if a Chest X Ray Film Is Rotated wikiHow
How To Tell If Chest X Ray Is Rotated This patient is rotated to their left (right shoulder forwards and left shoulder backwards) the. Check if film is taken in full inspiration, with the diaphragm at the level of the 10th or 11th ribs posteriorly, and the 6th costal cartilage anteriorly. The pa view is used to investigate a plethora of. This patient is rotated to their left (right shoulder forwards and left shoulder backwards) the. A small amount of patient rotation can lead to misinterpretation. Trachea, carina, bronchi and hilar. If the patient is rotated to their right, then heart size may be underestimated. On ct however there is a cyst connected to the. If the patient is rotated to their left, then the heart may appear enlarged. Rotation of a chest radiograph can simulate common pathological processes and make it hard to produce an appropriate diagnosis.
From www.stepwards.com
Interpreting A Chest XRay Stepwards How To Tell If Chest X Ray Is Rotated This patient is rotated to their left (right shoulder forwards and left shoulder backwards) the. On ct however there is a cyst connected to the. If the patient is rotated to their right, then heart size may be underestimated. Trachea, carina, bronchi and hilar. If the patient is rotated to their left, then the heart may appear enlarged. Check if. How To Tell If Chest X Ray Is Rotated.
From www.wikihow.com
11 Ways to Know if a Chest X Ray Film Is Rotated wikiHow How To Tell If Chest X Ray Is Rotated This patient is rotated to their left (right shoulder forwards and left shoulder backwards) the. If the patient is rotated to their right, then heart size may be underestimated. The pa view is used to investigate a plethora of. Rotation of a chest radiograph can simulate common pathological processes and make it hard to produce an appropriate diagnosis. A small. How To Tell If Chest X Ray Is Rotated.
From www.youtube.com
Anatomy of a Chest XRay How to Read a Chest XRay (Part 1) YouTube How To Tell If Chest X Ray Is Rotated This patient is rotated to their left (right shoulder forwards and left shoulder backwards) the. Rotation of a chest radiograph can simulate common pathological processes and make it hard to produce an appropriate diagnosis. If the patient is rotated to their right, then heart size may be underestimated. Trachea, carina, bronchi and hilar. On ct however there is a cyst. How To Tell If Chest X Ray Is Rotated.
From www.wikihow.com
11 Ways to Know if a Chest X Ray Film Is Rotated wikiHow How To Tell If Chest X Ray Is Rotated A small amount of patient rotation can lead to misinterpretation. This patient is rotated to their left (right shoulder forwards and left shoulder backwards) the. Rotation of a chest radiograph can simulate common pathological processes and make it hard to produce an appropriate diagnosis. Trachea, carina, bronchi and hilar. If the patient is rotated to their left, then the heart. How To Tell If Chest X Ray Is Rotated.
From www.vrogue.co
Rotated Chest X Ray All About Heart And Blood Vessels vrogue.co How To Tell If Chest X Ray Is Rotated Trachea, carina, bronchi and hilar. This patient is rotated to their left (right shoulder forwards and left shoulder backwards) the. If the patient is rotated to their right, then heart size may be underestimated. On ct however there is a cyst connected to the. A small amount of patient rotation can lead to misinterpretation. If the patient is rotated to. How To Tell If Chest X Ray Is Rotated.
From prestonrjourneyzz.blogspot.com
Anatomy Of Chest X Ray / Normal Chest XRay • LITFL Medical Blog How To Tell If Chest X Ray Is Rotated On ct however there is a cyst connected to the. Trachea, carina, bronchi and hilar. This patient is rotated to their left (right shoulder forwards and left shoulder backwards) the. If the patient is rotated to their right, then heart size may be underestimated. Check if film is taken in full inspiration, with the diaphragm at the level of the. How To Tell If Chest X Ray Is Rotated.
From www.wikihow.com
11 Ways to Know if a Chest X Ray Film Is Rotated wikiHow How To Tell If Chest X Ray Is Rotated A small amount of patient rotation can lead to misinterpretation. Check if film is taken in full inspiration, with the diaphragm at the level of the 10th or 11th ribs posteriorly, and the 6th costal cartilage anteriorly. Rotation of a chest radiograph can simulate common pathological processes and make it hard to produce an appropriate diagnosis. On ct however there. How To Tell If Chest X Ray Is Rotated.
From geekymedics.com
Chest Xray Interpretation A Structured Approach Radiology OSCE How To Tell If Chest X Ray Is Rotated If the patient is rotated to their right, then heart size may be underestimated. This patient is rotated to their left (right shoulder forwards and left shoulder backwards) the. A small amount of patient rotation can lead to misinterpretation. Check if film is taken in full inspiration, with the diaphragm at the level of the 10th or 11th ribs posteriorly,. How To Tell If Chest X Ray Is Rotated.
From www.youtube.com
Chest XRay Rotation, Inspiration, Picture, Exposure YouTube How To Tell If Chest X Ray Is Rotated If the patient is rotated to their left, then the heart may appear enlarged. Trachea, carina, bronchi and hilar. Rotation of a chest radiograph can simulate common pathological processes and make it hard to produce an appropriate diagnosis. The pa view is used to investigate a plethora of. On ct however there is a cyst connected to the. A small. How To Tell If Chest X Ray Is Rotated.
From www.slideshare.net
Chest x ray basic interpretation How To Tell If Chest X Ray Is Rotated Trachea, carina, bronchi and hilar. Rotation of a chest radiograph can simulate common pathological processes and make it hard to produce an appropriate diagnosis. This patient is rotated to their left (right shoulder forwards and left shoulder backwards) the. The pa view is used to investigate a plethora of. On ct however there is a cyst connected to the. Check. How To Tell If Chest X Ray Is Rotated.
From medschool.co
Assess Quality of Film Chest XRay MedSchool How To Tell If Chest X Ray Is Rotated This patient is rotated to their left (right shoulder forwards and left shoulder backwards) the. Rotation of a chest radiograph can simulate common pathological processes and make it hard to produce an appropriate diagnosis. If the patient is rotated to their left, then the heart may appear enlarged. A small amount of patient rotation can lead to misinterpretation. Trachea, carina,. How To Tell If Chest X Ray Is Rotated.
From www.slideshare.net
Chest Radiograph for Interns How To Tell If Chest X Ray Is Rotated Trachea, carina, bronchi and hilar. A small amount of patient rotation can lead to misinterpretation. If the patient is rotated to their left, then the heart may appear enlarged. Rotation of a chest radiograph can simulate common pathological processes and make it hard to produce an appropriate diagnosis. The pa view is used to investigate a plethora of. If the. How To Tell If Chest X Ray Is Rotated.
From www.wikihow.com
11 Ways to Know if a Chest X Ray Film Is Rotated wikiHow How To Tell If Chest X Ray Is Rotated The pa view is used to investigate a plethora of. A small amount of patient rotation can lead to misinterpretation. On ct however there is a cyst connected to the. If the patient is rotated to their right, then heart size may be underestimated. This patient is rotated to their left (right shoulder forwards and left shoulder backwards) the. Trachea,. How To Tell If Chest X Ray Is Rotated.
From www.pinterest.co.uk
How to read a Chest Xray Mnemonic Radiology student, Medical How To Tell If Chest X Ray Is Rotated Check if film is taken in full inspiration, with the diaphragm at the level of the 10th or 11th ribs posteriorly, and the 6th costal cartilage anteriorly. The pa view is used to investigate a plethora of. Trachea, carina, bronchi and hilar. Rotation of a chest radiograph can simulate common pathological processes and make it hard to produce an appropriate. How To Tell If Chest X Ray Is Rotated.
From www.saem.org
Chest Radiograph How To Tell If Chest X Ray Is Rotated The pa view is used to investigate a plethora of. If the patient is rotated to their right, then heart size may be underestimated. A small amount of patient rotation can lead to misinterpretation. Rotation of a chest radiograph can simulate common pathological processes and make it hard to produce an appropriate diagnosis. Trachea, carina, bronchi and hilar. On ct. How To Tell If Chest X Ray Is Rotated.
From openpress.usask.ca
General Approach to Reviewing xray Imaging Undergraduate Diagnostic How To Tell If Chest X Ray Is Rotated On ct however there is a cyst connected to the. If the patient is rotated to their right, then heart size may be underestimated. This patient is rotated to their left (right shoulder forwards and left shoulder backwards) the. Trachea, carina, bronchi and hilar. Rotation of a chest radiograph can simulate common pathological processes and make it hard to produce. How To Tell If Chest X Ray Is Rotated.
From www.youtube.com
How to Interpret a Chest XRay (Lesson 3 Assessing Technical Quality How To Tell If Chest X Ray Is Rotated Check if film is taken in full inspiration, with the diaphragm at the level of the 10th or 11th ribs posteriorly, and the 6th costal cartilage anteriorly. If the patient is rotated to their right, then heart size may be underestimated. The pa view is used to investigate a plethora of. If the patient is rotated to their left, then. How To Tell If Chest X Ray Is Rotated.
From www.slideshare.net
Basic interpretation of cxr How To Tell If Chest X Ray Is Rotated Trachea, carina, bronchi and hilar. If the patient is rotated to their left, then the heart may appear enlarged. A small amount of patient rotation can lead to misinterpretation. This patient is rotated to their left (right shoulder forwards and left shoulder backwards) the. Check if film is taken in full inspiration, with the diaphragm at the level of the. How To Tell If Chest X Ray Is Rotated.
From www.wikihow.com
11 Ways to Know if a Chest X Ray Film Is Rotated wikiHow How To Tell If Chest X Ray Is Rotated Check if film is taken in full inspiration, with the diaphragm at the level of the 10th or 11th ribs posteriorly, and the 6th costal cartilage anteriorly. The pa view is used to investigate a plethora of. If the patient is rotated to their right, then heart size may be underestimated. If the patient is rotated to their left, then. How To Tell If Chest X Ray Is Rotated.
From www.youtube.com
Method to Read Lateral Chest XRays [UndergroundMed] YouTube How To Tell If Chest X Ray Is Rotated The pa view is used to investigate a plethora of. If the patient is rotated to their left, then the heart may appear enlarged. If the patient is rotated to their right, then heart size may be underestimated. On ct however there is a cyst connected to the. This patient is rotated to their left (right shoulder forwards and left. How To Tell If Chest X Ray Is Rotated.
From www.youtube.com
Assessment of CXR rotation (4/8) YouTube How To Tell If Chest X Ray Is Rotated This patient is rotated to their left (right shoulder forwards and left shoulder backwards) the. On ct however there is a cyst connected to the. If the patient is rotated to their right, then heart size may be underestimated. A small amount of patient rotation can lead to misinterpretation. Trachea, carina, bronchi and hilar. Check if film is taken in. How To Tell If Chest X Ray Is Rotated.
From www.vrogue.co
Rotated Chest X Ray All About Heart And Blood Vessels vrogue.co How To Tell If Chest X Ray Is Rotated The pa view is used to investigate a plethora of. If the patient is rotated to their right, then heart size may be underestimated. If the patient is rotated to their left, then the heart may appear enlarged. Check if film is taken in full inspiration, with the diaphragm at the level of the 10th or 11th ribs posteriorly, and. How To Tell If Chest X Ray Is Rotated.
From www.wikihow.com
How to Know if a Chest X Ray Film Is Rotated 5 Steps How To Tell If Chest X Ray Is Rotated On ct however there is a cyst connected to the. Check if film is taken in full inspiration, with the diaphragm at the level of the 10th or 11th ribs posteriorly, and the 6th costal cartilage anteriorly. Rotation of a chest radiograph can simulate common pathological processes and make it hard to produce an appropriate diagnosis. This patient is rotated. How To Tell If Chest X Ray Is Rotated.
From www.slideserve.com
PPT Principles of Chest XRay Interpretation PowerPoint Presentation How To Tell If Chest X Ray Is Rotated On ct however there is a cyst connected to the. This patient is rotated to their left (right shoulder forwards and left shoulder backwards) the. If the patient is rotated to their right, then heart size may be underestimated. The pa view is used to investigate a plethora of. A small amount of patient rotation can lead to misinterpretation. Rotation. How To Tell If Chest X Ray Is Rotated.
From www.wikihow.com
11 Ways to Know if a Chest X Ray Film Is Rotated wikiHow How To Tell If Chest X Ray Is Rotated Trachea, carina, bronchi and hilar. If the patient is rotated to their left, then the heart may appear enlarged. Check if film is taken in full inspiration, with the diaphragm at the level of the 10th or 11th ribs posteriorly, and the 6th costal cartilage anteriorly. A small amount of patient rotation can lead to misinterpretation. This patient is rotated. How To Tell If Chest X Ray Is Rotated.
From www.flickr.com
336.1 PA chest xray Rotation Figure1 The clavicular… Flickr How To Tell If Chest X Ray Is Rotated On ct however there is a cyst connected to the. If the patient is rotated to their right, then heart size may be underestimated. Rotation of a chest radiograph can simulate common pathological processes and make it hard to produce an appropriate diagnosis. This patient is rotated to their left (right shoulder forwards and left shoulder backwards) the. Trachea, carina,. How To Tell If Chest X Ray Is Rotated.
From www.wikihow.com
11 Ways to Know if a Chest X Ray Film Is Rotated wikiHow How To Tell If Chest X Ray Is Rotated Rotation of a chest radiograph can simulate common pathological processes and make it hard to produce an appropriate diagnosis. On ct however there is a cyst connected to the. This patient is rotated to their left (right shoulder forwards and left shoulder backwards) the. Check if film is taken in full inspiration, with the diaphragm at the level of the. How To Tell If Chest X Ray Is Rotated.
From www.saem.org
Chest Radiograph How To Tell If Chest X Ray Is Rotated This patient is rotated to their left (right shoulder forwards and left shoulder backwards) the. If the patient is rotated to their right, then heart size may be underestimated. Rotation of a chest radiograph can simulate common pathological processes and make it hard to produce an appropriate diagnosis. If the patient is rotated to their left, then the heart may. How To Tell If Chest X Ray Is Rotated.
From www.wikihow.com
11 Ways to Know if a Chest X Ray Film Is Rotated wikiHow How To Tell If Chest X Ray Is Rotated If the patient is rotated to their right, then heart size may be underestimated. Check if film is taken in full inspiration, with the diaphragm at the level of the 10th or 11th ribs posteriorly, and the 6th costal cartilage anteriorly. If the patient is rotated to their left, then the heart may appear enlarged. Trachea, carina, bronchi and hilar.. How To Tell If Chest X Ray Is Rotated.
From www.wikihow.com
11 Ways to Know if a Chest X Ray Film Is Rotated wikiHow How To Tell If Chest X Ray Is Rotated Check if film is taken in full inspiration, with the diaphragm at the level of the 10th or 11th ribs posteriorly, and the 6th costal cartilage anteriorly. Rotation of a chest radiograph can simulate common pathological processes and make it hard to produce an appropriate diagnosis. The pa view is used to investigate a plethora of. If the patient is. How To Tell If Chest X Ray Is Rotated.
From www.radiologymasterclass.co.uk
Chest Xray Quality Rotation How To Tell If Chest X Ray Is Rotated A small amount of patient rotation can lead to misinterpretation. Check if film is taken in full inspiration, with the diaphragm at the level of the 10th or 11th ribs posteriorly, and the 6th costal cartilage anteriorly. On ct however there is a cyst connected to the. Rotation of a chest radiograph can simulate common pathological processes and make it. How To Tell If Chest X Ray Is Rotated.
From www.stepwards.com
Interpreting A Chest XRay Stepwards How To Tell If Chest X Ray Is Rotated Rotation of a chest radiograph can simulate common pathological processes and make it hard to produce an appropriate diagnosis. Check if film is taken in full inspiration, with the diaphragm at the level of the 10th or 11th ribs posteriorly, and the 6th costal cartilage anteriorly. If the patient is rotated to their right, then heart size may be underestimated.. How To Tell If Chest X Ray Is Rotated.
From johnsonfrancis.org
Rotated Chest Xray All About Heart And Blood Vessels How To Tell If Chest X Ray Is Rotated On ct however there is a cyst connected to the. A small amount of patient rotation can lead to misinterpretation. Trachea, carina, bronchi and hilar. This patient is rotated to their left (right shoulder forwards and left shoulder backwards) the. Check if film is taken in full inspiration, with the diaphragm at the level of the 10th or 11th ribs. How To Tell If Chest X Ray Is Rotated.
From www.slideserve.com
PPT Chest XRay Interpretation for the Internist PowerPoint How To Tell If Chest X Ray Is Rotated On ct however there is a cyst connected to the. The pa view is used to investigate a plethora of. Rotation of a chest radiograph can simulate common pathological processes and make it hard to produce an appropriate diagnosis. This patient is rotated to their left (right shoulder forwards and left shoulder backwards) the. If the patient is rotated to. How To Tell If Chest X Ray Is Rotated.
From www.slideserve.com
PPT Basics of Chest XRay PowerPoint Presentation, free download ID How To Tell If Chest X Ray Is Rotated The pa view is used to investigate a plethora of. If the patient is rotated to their right, then heart size may be underestimated. Check if film is taken in full inspiration, with the diaphragm at the level of the 10th or 11th ribs posteriorly, and the 6th costal cartilage anteriorly. On ct however there is a cyst connected to. How To Tell If Chest X Ray Is Rotated.