Coil Embolization Pseudoaneurysm .   facing a dilemma in the treatment of an internal mammary artery mycotic pseudoaneurysm: (2) at the site of native artery and synthetic graft.   (b) digital subtraction aortogram image demonstrates successful embolization of the pseudoaneurysm.   successful coil embolization of a large anterior tibial artery pseudoaneurysm after.   psas may occur under 4 circumstances: (1) after catheterization (figure 2);   a total of 12 detachable microcoils (pc 400 coil®; Penumbra, alameda, ca, usa) were used for embolization of the pseudoaneurysm,.   embolization of the pseudoaneurysm itself by coils is achieved by advancing a catheter into the sac.
        
         
         
        from www.videogie.org 
     
        
          embolization of the pseudoaneurysm itself by coils is achieved by advancing a catheter into the sac. Penumbra, alameda, ca, usa) were used for embolization of the pseudoaneurysm,.   facing a dilemma in the treatment of an internal mammary artery mycotic pseudoaneurysm: (1) after catheterization (figure 2);   successful coil embolization of a large anterior tibial artery pseudoaneurysm after.   psas may occur under 4 circumstances:   a total of 12 detachable microcoils (pc 400 coil®;   (b) digital subtraction aortogram image demonstrates successful embolization of the pseudoaneurysm. (2) at the site of native artery and synthetic graft.
    
    	
            
	
		 
	 
         
    EUSguided coiling of hepatic artery pseudoaneurysm in 2 stages VideoGIE 
    Coil Embolization Pseudoaneurysm  (1) after catheterization (figure 2);   embolization of the pseudoaneurysm itself by coils is achieved by advancing a catheter into the sac.   facing a dilemma in the treatment of an internal mammary artery mycotic pseudoaneurysm:   a total of 12 detachable microcoils (pc 400 coil®;   psas may occur under 4 circumstances:   successful coil embolization of a large anterior tibial artery pseudoaneurysm after. (2) at the site of native artery and synthetic graft. Penumbra, alameda, ca, usa) were used for embolization of the pseudoaneurysm,.   (b) digital subtraction aortogram image demonstrates successful embolization of the pseudoaneurysm. (1) after catheterization (figure 2);
            
	
		 
	 
         
 
    
         
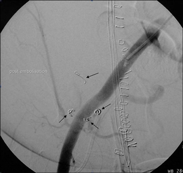
        From www.jvscit.org 
                    Coil embolization of ruptured distal renal artery pseudoaneurysm with Coil Embolization Pseudoaneurysm    successful coil embolization of a large anterior tibial artery pseudoaneurysm after.   (b) digital subtraction aortogram image demonstrates successful embolization of the pseudoaneurysm. (1) after catheterization (figure 2);   facing a dilemma in the treatment of an internal mammary artery mycotic pseudoaneurysm:   psas may occur under 4 circumstances: Penumbra, alameda, ca, usa) were used for embolization of the. Coil Embolization Pseudoaneurysm.
     
    
         
        From www.researchgate.net 
                    Successful embolization of the bleeding pseudoaneurysm with multiple Coil Embolization Pseudoaneurysm    (b) digital subtraction aortogram image demonstrates successful embolization of the pseudoaneurysm. (2) at the site of native artery and synthetic graft. Penumbra, alameda, ca, usa) were used for embolization of the pseudoaneurysm,.   a total of 12 detachable microcoils (pc 400 coil®;   psas may occur under 4 circumstances:   facing a dilemma in the treatment of an internal. Coil Embolization Pseudoaneurysm.
     
    
         
        From surgicalneurologyint.com 
                    Repeated coil embolization of traumatic basilar artery pseudoaneurysm Coil Embolization Pseudoaneurysm  (2) at the site of native artery and synthetic graft.   successful coil embolization of a large anterior tibial artery pseudoaneurysm after. (1) after catheterization (figure 2);   psas may occur under 4 circumstances:   facing a dilemma in the treatment of an internal mammary artery mycotic pseudoaneurysm:   embolization of the pseudoaneurysm itself by coils is achieved by advancing. Coil Embolization Pseudoaneurysm.
     
    
         
        From www.researchgate.net 
                    Embolization of pseudoaneurysm with Axium coils. Download Scientific Coil Embolization Pseudoaneurysm    successful coil embolization of a large anterior tibial artery pseudoaneurysm after. Penumbra, alameda, ca, usa) were used for embolization of the pseudoaneurysm,.   (b) digital subtraction aortogram image demonstrates successful embolization of the pseudoaneurysm.   embolization of the pseudoaneurysm itself by coils is achieved by advancing a catheter into the sac.   a total of 12 detachable microcoils (pc. Coil Embolization Pseudoaneurysm.
     
    
         
        From www.scirp.org 
                    Effectiveness of Endovascular Coil Embolization of Ruptured Hepatic Coil Embolization Pseudoaneurysm    (b) digital subtraction aortogram image demonstrates successful embolization of the pseudoaneurysm. Penumbra, alameda, ca, usa) were used for embolization of the pseudoaneurysm,.   facing a dilemma in the treatment of an internal mammary artery mycotic pseudoaneurysm:   psas may occur under 4 circumstances: (2) at the site of native artery and synthetic graft. (1) after catheterization (figure 2); . Coil Embolization Pseudoaneurysm.
     
    
         
        From www.annalsofvascularsurgery.com 
                    Coil Embolization of an Aortic Pseudoaneurysm after Open Repair of Type Coil Embolization Pseudoaneurysm    a total of 12 detachable microcoils (pc 400 coil®;   embolization of the pseudoaneurysm itself by coils is achieved by advancing a catheter into the sac. (1) after catheterization (figure 2); (2) at the site of native artery and synthetic graft.   facing a dilemma in the treatment of an internal mammary artery mycotic pseudoaneurysm: Penumbra, alameda, ca, usa). Coil Embolization Pseudoaneurysm.
     
    
         
        From www.researchgate.net 
                    Selective embolization of the pseudoaneurysm with coils. Download Coil Embolization Pseudoaneurysm    successful coil embolization of a large anterior tibial artery pseudoaneurysm after.   embolization of the pseudoaneurysm itself by coils is achieved by advancing a catheter into the sac.   psas may occur under 4 circumstances: (1) after catheterization (figure 2);   (b) digital subtraction aortogram image demonstrates successful embolization of the pseudoaneurysm.   a total of 12 detachable microcoils. Coil Embolization Pseudoaneurysm.
     
    
         
        From www.semanticscholar.org 
                    Figure 1 from Clinical efficacy of coil embolization in treating Coil Embolization Pseudoaneurysm  (1) after catheterization (figure 2); (2) at the site of native artery and synthetic graft.   psas may occur under 4 circumstances:   successful coil embolization of a large anterior tibial artery pseudoaneurysm after.   facing a dilemma in the treatment of an internal mammary artery mycotic pseudoaneurysm:   (b) digital subtraction aortogram image demonstrates successful embolization of the pseudoaneurysm.. Coil Embolization Pseudoaneurysm.
     
    
         
        From www.youtube.com 
                    EUS Guided Coil Embolization of Splenic Artery Pseudoaneurysm By Dr Coil Embolization Pseudoaneurysm    (b) digital subtraction aortogram image demonstrates successful embolization of the pseudoaneurysm. (1) after catheterization (figure 2);   successful coil embolization of a large anterior tibial artery pseudoaneurysm after. (2) at the site of native artery and synthetic graft.   facing a dilemma in the treatment of an internal mammary artery mycotic pseudoaneurysm:   embolization of the pseudoaneurysm itself by. Coil Embolization Pseudoaneurysm.
     
    
         
        From www.researchgate.net 
                    Permanent coil embolization of the proximal external carotid artery Coil Embolization Pseudoaneurysm    (b) digital subtraction aortogram image demonstrates successful embolization of the pseudoaneurysm.   psas may occur under 4 circumstances:   embolization of the pseudoaneurysm itself by coils is achieved by advancing a catheter into the sac. (2) at the site of native artery and synthetic graft. (1) after catheterization (figure 2);   facing a dilemma in the treatment of an. Coil Embolization Pseudoaneurysm.
     
    
         
        From www.annalsofvascularsurgery.com 
                    Coil Embolization of an Aortic Pseudoaneurysm after Open Repair of Type Coil Embolization Pseudoaneurysm    a total of 12 detachable microcoils (pc 400 coil®;   successful coil embolization of a large anterior tibial artery pseudoaneurysm after.   psas may occur under 4 circumstances:   facing a dilemma in the treatment of an internal mammary artery mycotic pseudoaneurysm: (1) after catheterization (figure 2);   embolization of the pseudoaneurysm itself by coils is achieved by advancing. Coil Embolization Pseudoaneurysm.
     
    
         
        From www.researchgate.net 
                    Angiogram following coil embolization of right hepatic artery Coil Embolization Pseudoaneurysm  (2) at the site of native artery and synthetic graft.   (b) digital subtraction aortogram image demonstrates successful embolization of the pseudoaneurysm. Penumbra, alameda, ca, usa) were used for embolization of the pseudoaneurysm,.   facing a dilemma in the treatment of an internal mammary artery mycotic pseudoaneurysm: (1) after catheterization (figure 2);   a total of 12 detachable microcoils (pc. Coil Embolization Pseudoaneurysm.
     
    
         
        From www.annalsofvascularsurgery.com 
                    Coil Embolization of Femoral Pseudoaneurysms in Intravenous Drug Users Coil Embolization Pseudoaneurysm    facing a dilemma in the treatment of an internal mammary artery mycotic pseudoaneurysm:   successful coil embolization of a large anterior tibial artery pseudoaneurysm after.   embolization of the pseudoaneurysm itself by coils is achieved by advancing a catheter into the sac.   psas may occur under 4 circumstances:   a total of 12 detachable microcoils (pc 400 coil®;. Coil Embolization Pseudoaneurysm.
     
    
         
        From casesjournal.biomedcentral.com 
                    Coil embolization of inferior epigastric artery pseudoaneurysm after Coil Embolization Pseudoaneurysm  Penumbra, alameda, ca, usa) were used for embolization of the pseudoaneurysm,.   a total of 12 detachable microcoils (pc 400 coil®;   embolization of the pseudoaneurysm itself by coils is achieved by advancing a catheter into the sac.   successful coil embolization of a large anterior tibial artery pseudoaneurysm after. (2) at the site of native artery and synthetic graft.. Coil Embolization Pseudoaneurysm.
     
    
         
        From www.researchgate.net 
                    Digital subtraction angiogram shows the pseudoaneurysm (arrowhead Coil Embolization Pseudoaneurysm    successful coil embolization of a large anterior tibial artery pseudoaneurysm after.   psas may occur under 4 circumstances:   (b) digital subtraction aortogram image demonstrates successful embolization of the pseudoaneurysm. (1) after catheterization (figure 2);   embolization of the pseudoaneurysm itself by coils is achieved by advancing a catheter into the sac.   a total of 12 detachable microcoils. Coil Embolization Pseudoaneurysm.
     
    
         
        From www.researchgate.net 
                    Impaction of Nester Embolization Coils into the arterial pseudoaneurysm Coil Embolization Pseudoaneurysm    (b) digital subtraction aortogram image demonstrates successful embolization of the pseudoaneurysm. (2) at the site of native artery and synthetic graft. (1) after catheterization (figure 2);   psas may occur under 4 circumstances: Penumbra, alameda, ca, usa) were used for embolization of the pseudoaneurysm,.   facing a dilemma in the treatment of an internal mammary artery mycotic pseudoaneurysm: . Coil Embolization Pseudoaneurysm.
     
    
         
        From www.videogie.org 
                    EUSguided coiling of hepatic artery pseudoaneurysm in 2 stages VideoGIE Coil Embolization Pseudoaneurysm    psas may occur under 4 circumstances: Penumbra, alameda, ca, usa) were used for embolization of the pseudoaneurysm,.   a total of 12 detachable microcoils (pc 400 coil®; (2) at the site of native artery and synthetic graft.   (b) digital subtraction aortogram image demonstrates successful embolization of the pseudoaneurysm.   facing a dilemma in the treatment of an internal. Coil Embolization Pseudoaneurysm.
     
    
         
        From www.giejournal.org 
                    Exposure of coils to the pseudocystic cavity after embolization of a Coil Embolization Pseudoaneurysm  Penumbra, alameda, ca, usa) were used for embolization of the pseudoaneurysm,.   facing a dilemma in the treatment of an internal mammary artery mycotic pseudoaneurysm: (1) after catheterization (figure 2);   a total of 12 detachable microcoils (pc 400 coil®;   successful coil embolization of a large anterior tibial artery pseudoaneurysm after.   psas may occur under 4 circumstances: (2). Coil Embolization Pseudoaneurysm.
     
    
         
        From www.researchgate.net 
                    DSA following coil embolization of the pseudoaneurysm. No flow was Coil Embolization Pseudoaneurysm    (b) digital subtraction aortogram image demonstrates successful embolization of the pseudoaneurysm.   a total of 12 detachable microcoils (pc 400 coil®;   embolization of the pseudoaneurysm itself by coils is achieved by advancing a catheter into the sac. Penumbra, alameda, ca, usa) were used for embolization of the pseudoaneurysm,.   psas may occur under 4 circumstances: (1) after catheterization. Coil Embolization Pseudoaneurysm.
     
    
         
        From www.eurorad.org 
                    Balloonassisted coil embolization of an internal carotid artery Coil Embolization Pseudoaneurysm    facing a dilemma in the treatment of an internal mammary artery mycotic pseudoaneurysm:   (b) digital subtraction aortogram image demonstrates successful embolization of the pseudoaneurysm.   successful coil embolization of a large anterior tibial artery pseudoaneurysm after. (1) after catheterization (figure 2);   psas may occur under 4 circumstances:   embolization of the pseudoaneurysm itself by coils is achieved. Coil Embolization Pseudoaneurysm.
     
    
         
        From www.researchgate.net 
                    Arteriography after the pseudoaneurysm embolization showing the coils Coil Embolization Pseudoaneurysm    successful coil embolization of a large anterior tibial artery pseudoaneurysm after.   embolization of the pseudoaneurysm itself by coils is achieved by advancing a catheter into the sac.   psas may occur under 4 circumstances:   facing a dilemma in the treatment of an internal mammary artery mycotic pseudoaneurysm:   a total of 12 detachable microcoils (pc 400 coil®;. Coil Embolization Pseudoaneurysm.
     
    
         
        From www.researchgate.net 
                    Successful coil embolization of the pseudoaneurysm with no active Coil Embolization Pseudoaneurysm  (1) after catheterization (figure 2); (2) at the site of native artery and synthetic graft.   embolization of the pseudoaneurysm itself by coils is achieved by advancing a catheter into the sac.   a total of 12 detachable microcoils (pc 400 coil®;   (b) digital subtraction aortogram image demonstrates successful embolization of the pseudoaneurysm.   successful coil embolization of a. Coil Embolization Pseudoaneurysm.
     
    
         
        From www.researchgate.net 
                    Embolization of pseudoaneurysm with Axium coils. Download Scientific Coil Embolization Pseudoaneurysm    (b) digital subtraction aortogram image demonstrates successful embolization of the pseudoaneurysm. Penumbra, alameda, ca, usa) were used for embolization of the pseudoaneurysm,.   facing a dilemma in the treatment of an internal mammary artery mycotic pseudoaneurysm:   a total of 12 detachable microcoils (pc 400 coil®; (2) at the site of native artery and synthetic graft. (1) after catheterization. Coil Embolization Pseudoaneurysm.
     
    
         
        From www.jvir.org 
                    StentAssisted Coil Embolization for a Traumatic Pseudoaneurysm of the Coil Embolization Pseudoaneurysm    (b) digital subtraction aortogram image demonstrates successful embolization of the pseudoaneurysm.   embolization of the pseudoaneurysm itself by coils is achieved by advancing a catheter into the sac.   a total of 12 detachable microcoils (pc 400 coil®;   facing a dilemma in the treatment of an internal mammary artery mycotic pseudoaneurysm:   psas may occur under 4 circumstances:. Coil Embolization Pseudoaneurysm.
     
    
         
        From thejns.org 
                    Pipelineassisted coil embolization of a large middle cerebral artery Coil Embolization Pseudoaneurysm    facing a dilemma in the treatment of an internal mammary artery mycotic pseudoaneurysm:   a total of 12 detachable microcoils (pc 400 coil®;   (b) digital subtraction aortogram image demonstrates successful embolization of the pseudoaneurysm.   successful coil embolization of a large anterior tibial artery pseudoaneurysm after.   embolization of the pseudoaneurysm itself by coils is achieved by advancing. Coil Embolization Pseudoaneurysm.
     
    
         
        From www.annalsofvascularsurgery.com 
                    Coil Embolization of an Aortic Pseudoaneurysm after Open Repair of Type Coil Embolization Pseudoaneurysm  (1) after catheterization (figure 2);   successful coil embolization of a large anterior tibial artery pseudoaneurysm after.   embolization of the pseudoaneurysm itself by coils is achieved by advancing a catheter into the sac.   psas may occur under 4 circumstances:   (b) digital subtraction aortogram image demonstrates successful embolization of the pseudoaneurysm. Penumbra, alameda, ca, usa) were used for. Coil Embolization Pseudoaneurysm.
     
    
         
        From www.jvir.org 
                    Percutaneous Coil Embolization of Traumatic Juxtacardiac Right Inferior Coil Embolization Pseudoaneurysm    (b) digital subtraction aortogram image demonstrates successful embolization of the pseudoaneurysm. Penumbra, alameda, ca, usa) were used for embolization of the pseudoaneurysm,. (1) after catheterization (figure 2);   a total of 12 detachable microcoils (pc 400 coil®;   psas may occur under 4 circumstances:   facing a dilemma in the treatment of an internal mammary artery mycotic pseudoaneurysm: . Coil Embolization Pseudoaneurysm.
     
    
         
        From www.jvscit.org 
                    Coil embolization of ruptured distal renal artery pseudoaneurysm with Coil Embolization Pseudoaneurysm  Penumbra, alameda, ca, usa) were used for embolization of the pseudoaneurysm,.   psas may occur under 4 circumstances:   (b) digital subtraction aortogram image demonstrates successful embolization of the pseudoaneurysm. (2) at the site of native artery and synthetic graft.   successful coil embolization of a large anterior tibial artery pseudoaneurysm after. (1) after catheterization (figure 2);   embolization of. Coil Embolization Pseudoaneurysm.
     
    
         
        From www.researchgate.net 
                    Endovascular coil embolization of the pseudoaneurysm is performed. Only Coil Embolization Pseudoaneurysm    (b) digital subtraction aortogram image demonstrates successful embolization of the pseudoaneurysm.   a total of 12 detachable microcoils (pc 400 coil®;   embolization of the pseudoaneurysm itself by coils is achieved by advancing a catheter into the sac.   successful coil embolization of a large anterior tibial artery pseudoaneurysm after. (1) after catheterization (figure 2); (2) at the site. Coil Embolization Pseudoaneurysm.
     
    
         
        From www.researchgate.net 
                    After the coil embolization, pseudoaneurysm and the fistulous formation Coil Embolization Pseudoaneurysm    (b) digital subtraction aortogram image demonstrates successful embolization of the pseudoaneurysm. (1) after catheterization (figure 2);   successful coil embolization of a large anterior tibial artery pseudoaneurysm after.   facing a dilemma in the treatment of an internal mammary artery mycotic pseudoaneurysm:   a total of 12 detachable microcoils (pc 400 coil®; Penumbra, alameda, ca, usa) were used for. Coil Embolization Pseudoaneurysm.
     
    
         
        From www.annalsofvascularsurgery.com 
                    Coil Embolization of an Aortic Pseudoaneurysm after Open Repair of Type Coil Embolization Pseudoaneurysm    psas may occur under 4 circumstances:   facing a dilemma in the treatment of an internal mammary artery mycotic pseudoaneurysm: (2) at the site of native artery and synthetic graft. (1) after catheterization (figure 2); Penumbra, alameda, ca, usa) were used for embolization of the pseudoaneurysm,.   a total of 12 detachable microcoils (pc 400 coil®;   (b) digital. Coil Embolization Pseudoaneurysm.
     
    
         
        From www.researchgate.net 
                    Coil embolization of a ruptured pseudoaneurysm of angiographic Coil Embolization Pseudoaneurysm    psas may occur under 4 circumstances: (1) after catheterization (figure 2);   successful coil embolization of a large anterior tibial artery pseudoaneurysm after.   (b) digital subtraction aortogram image demonstrates successful embolization of the pseudoaneurysm.   facing a dilemma in the treatment of an internal mammary artery mycotic pseudoaneurysm: Penumbra, alameda, ca, usa) were used for embolization of the. Coil Embolization Pseudoaneurysm.
     
    
         
        From www.jvir.org 
                    Nonfibered Packing Coil Embolization of Pulmonary Artery Pseudoaneurysm Coil Embolization Pseudoaneurysm    embolization of the pseudoaneurysm itself by coils is achieved by advancing a catheter into the sac.   successful coil embolization of a large anterior tibial artery pseudoaneurysm after. (2) at the site of native artery and synthetic graft.   (b) digital subtraction aortogram image demonstrates successful embolization of the pseudoaneurysm. (1) after catheterization (figure 2);   a total of. Coil Embolization Pseudoaneurysm.
     
    
         
        From www.semanticscholar.org 
                    Figure 2 from Successful Intrasaccular Coil Embolization of Mycotic Coil Embolization Pseudoaneurysm    psas may occur under 4 circumstances:   facing a dilemma in the treatment of an internal mammary artery mycotic pseudoaneurysm: (1) after catheterization (figure 2); (2) at the site of native artery and synthetic graft. Penumbra, alameda, ca, usa) were used for embolization of the pseudoaneurysm,.   embolization of the pseudoaneurysm itself by coils is achieved by advancing a. Coil Embolization Pseudoaneurysm.
     
    
         
        From casesjournal.biomedcentral.com 
                    Coil embolization of inferior epigastric artery pseudoaneurysm after Coil Embolization Pseudoaneurysm    a total of 12 detachable microcoils (pc 400 coil®;   embolization of the pseudoaneurysm itself by coils is achieved by advancing a catheter into the sac.   psas may occur under 4 circumstances:   facing a dilemma in the treatment of an internal mammary artery mycotic pseudoaneurysm: (1) after catheterization (figure 2);   successful coil embolization of a large. Coil Embolization Pseudoaneurysm.