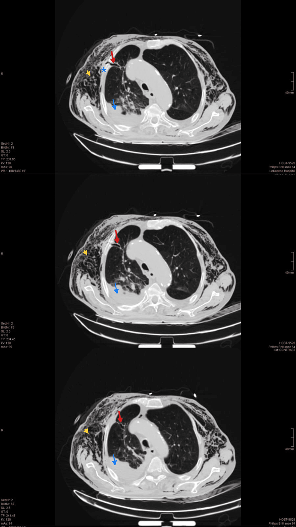
Rib Fracture With Subcutaneous Emphysema . learn about the causes, symptoms, diagnosis, and treatment of rib fractures, which are common injuries. ct of the chest shows pneumomediastinum (blue arrow), left apical pneumothorax (pink arrow), and subcutaneous emphysema (red. subcutaneous emphysema is a condition in which air becomes trapped under the subcutaneous layer of the skin. [9] in fact, 27% of patients who have rib fractures also have. subcutaneous emphysema is often observed by clinicians in the context of pneumothorax. the most common cause of se was pneumothorax with background of copd and surgery in grade 5, trauma due to rib. The main symptoms are edema and. the condition may also occur when a fractured rib punctures a lung;
from www.myxxgirl.com
the most common cause of se was pneumothorax with background of copd and surgery in grade 5, trauma due to rib. [9] in fact, 27% of patients who have rib fractures also have. The main symptoms are edema and. ct of the chest shows pneumomediastinum (blue arrow), left apical pneumothorax (pink arrow), and subcutaneous emphysema (red. learn about the causes, symptoms, diagnosis, and treatment of rib fractures, which are common injuries. the condition may also occur when a fractured rib punctures a lung; subcutaneous emphysema is a condition in which air becomes trapped under the subcutaneous layer of the skin. subcutaneous emphysema is often observed by clinicians in the context of pneumothorax.
Trauma Chest X Ray With Rib Fractures And Subcutaneous Emphysema My
Rib Fracture With Subcutaneous Emphysema the most common cause of se was pneumothorax with background of copd and surgery in grade 5, trauma due to rib. ct of the chest shows pneumomediastinum (blue arrow), left apical pneumothorax (pink arrow), and subcutaneous emphysema (red. subcutaneous emphysema is often observed by clinicians in the context of pneumothorax. subcutaneous emphysema is a condition in which air becomes trapped under the subcutaneous layer of the skin. the most common cause of se was pneumothorax with background of copd and surgery in grade 5, trauma due to rib. The main symptoms are edema and. learn about the causes, symptoms, diagnosis, and treatment of rib fractures, which are common injuries. the condition may also occur when a fractured rib punctures a lung; [9] in fact, 27% of patients who have rib fractures also have.
From www.researchgate.net
(PDF) A case of cough induced rib fracture with subcutaneous emphysema Rib Fracture With Subcutaneous Emphysema the most common cause of se was pneumothorax with background of copd and surgery in grade 5, trauma due to rib. learn about the causes, symptoms, diagnosis, and treatment of rib fractures, which are common injuries. [9] in fact, 27% of patients who have rib fractures also have. the condition may also occur when a fractured rib. Rib Fracture With Subcutaneous Emphysema.
From www.myxxgirl.com
Trauma Chest X Ray With Rib Fractures And Subcutaneous Emphysema My Rib Fracture With Subcutaneous Emphysema [9] in fact, 27% of patients who have rib fractures also have. subcutaneous emphysema is a condition in which air becomes trapped under the subcutaneous layer of the skin. ct of the chest shows pneumomediastinum (blue arrow), left apical pneumothorax (pink arrow), and subcutaneous emphysema (red. the condition may also occur when a fractured rib punctures a. Rib Fracture With Subcutaneous Emphysema.
From www.myshared.ru
Презентация на тему "Pneumothorax Nurlana Qarajayeva Group 13. What is Rib Fracture With Subcutaneous Emphysema learn about the causes, symptoms, diagnosis, and treatment of rib fractures, which are common injuries. the condition may also occur when a fractured rib punctures a lung; subcutaneous emphysema is a condition in which air becomes trapped under the subcutaneous layer of the skin. subcutaneous emphysema is often observed by clinicians in the context of pneumothorax.. Rib Fracture With Subcutaneous Emphysema.
From www.researchgate.net
a Chest radiograph Right subcutaneous emphysema associated with Rib Fracture With Subcutaneous Emphysema subcutaneous emphysema is often observed by clinicians in the context of pneumothorax. subcutaneous emphysema is a condition in which air becomes trapped under the subcutaneous layer of the skin. the condition may also occur when a fractured rib punctures a lung; ct of the chest shows pneumomediastinum (blue arrow), left apical pneumothorax (pink arrow), and subcutaneous. Rib Fracture With Subcutaneous Emphysema.
From www.researchgate.net
Patient with multiple rightsided rib fractures, flail chest Rib Fracture With Subcutaneous Emphysema [9] in fact, 27% of patients who have rib fractures also have. ct of the chest shows pneumomediastinum (blue arrow), left apical pneumothorax (pink arrow), and subcutaneous emphysema (red. The main symptoms are edema and. learn about the causes, symptoms, diagnosis, and treatment of rib fractures, which are common injuries. the most common cause of se was. Rib Fracture With Subcutaneous Emphysema.
From jetem.org
Subcutaneous Emphysema. Axial CT 3, annotated. Rib Fractures. JETem Rib Fracture With Subcutaneous Emphysema learn about the causes, symptoms, diagnosis, and treatment of rib fractures, which are common injuries. subcutaneous emphysema is a condition in which air becomes trapped under the subcutaneous layer of the skin. [9] in fact, 27% of patients who have rib fractures also have. The main symptoms are edema and. subcutaneous emphysema is often observed by clinicians. Rib Fracture With Subcutaneous Emphysema.
From www.wikiradiography.net
Chest Trauma 2 wikiRadiography Rib Fracture With Subcutaneous Emphysema the condition may also occur when a fractured rib punctures a lung; subcutaneous emphysema is a condition in which air becomes trapped under the subcutaneous layer of the skin. [9] in fact, 27% of patients who have rib fractures also have. The main symptoms are edema and. the most common cause of se was pneumothorax with background. Rib Fracture With Subcutaneous Emphysema.
From generalsurgeryclinics.blogspot.com
General Surgery Clinics A Surgeon's Blog Surgical Emphysema Rib Fracture With Subcutaneous Emphysema the most common cause of se was pneumothorax with background of copd and surgery in grade 5, trauma due to rib. The main symptoms are edema and. [9] in fact, 27% of patients who have rib fractures also have. subcutaneous emphysema is a condition in which air becomes trapped under the subcutaneous layer of the skin. learn. Rib Fracture With Subcutaneous Emphysema.
From atlas.mudr.org
Radiology case RTA, pneumothorax, subcutaneous emphysema, soft tissue Rib Fracture With Subcutaneous Emphysema subcutaneous emphysema is often observed by clinicians in the context of pneumothorax. learn about the causes, symptoms, diagnosis, and treatment of rib fractures, which are common injuries. the condition may also occur when a fractured rib punctures a lung; ct of the chest shows pneumomediastinum (blue arrow), left apical pneumothorax (pink arrow), and subcutaneous emphysema (red.. Rib Fracture With Subcutaneous Emphysema.
From medschool.co
Subcutaneous Emphysema Test Findings MedSchool Rib Fracture With Subcutaneous Emphysema ct of the chest shows pneumomediastinum (blue arrow), left apical pneumothorax (pink arrow), and subcutaneous emphysema (red. the most common cause of se was pneumothorax with background of copd and surgery in grade 5, trauma due to rib. the condition may also occur when a fractured rib punctures a lung; learn about the causes, symptoms, diagnosis,. Rib Fracture With Subcutaneous Emphysema.
From www.dreamstime.com
A Chest Xray of a Patient with Rib Fractures and Pleural Effusion and Rib Fracture With Subcutaneous Emphysema The main symptoms are edema and. subcutaneous emphysema is often observed by clinicians in the context of pneumothorax. [9] in fact, 27% of patients who have rib fractures also have. learn about the causes, symptoms, diagnosis, and treatment of rib fractures, which are common injuries. subcutaneous emphysema is a condition in which air becomes trapped under the. Rib Fracture With Subcutaneous Emphysema.
From www.statpearls.com
Rib Fracture Article Rib Fracture With Subcutaneous Emphysema [9] in fact, 27% of patients who have rib fractures also have. learn about the causes, symptoms, diagnosis, and treatment of rib fractures, which are common injuries. the most common cause of se was pneumothorax with background of copd and surgery in grade 5, trauma due to rib. the condition may also occur when a fractured rib. Rib Fracture With Subcutaneous Emphysema.
From www.criticalcare-sonography.com
Air subcutaneous emphysema vs pneumothorax Critical Care Sonography Rib Fracture With Subcutaneous Emphysema ct of the chest shows pneumomediastinum (blue arrow), left apical pneumothorax (pink arrow), and subcutaneous emphysema (red. The main symptoms are edema and. the most common cause of se was pneumothorax with background of copd and surgery in grade 5, trauma due to rib. subcutaneous emphysema is often observed by clinicians in the context of pneumothorax. . Rib Fracture With Subcutaneous Emphysema.
From www.researchgate.net
Chest Xray showing rib fractures, subcutaneous emphysema and Rib Fracture With Subcutaneous Emphysema learn about the causes, symptoms, diagnosis, and treatment of rib fractures, which are common injuries. subcutaneous emphysema is often observed by clinicians in the context of pneumothorax. The main symptoms are edema and. ct of the chest shows pneumomediastinum (blue arrow), left apical pneumothorax (pink arrow), and subcutaneous emphysema (red. [9] in fact, 27% of patients who. Rib Fracture With Subcutaneous Emphysema.
From scrolller.com
Subcutaneous emphysema due to multiple rib fractures Scrolller Rib Fracture With Subcutaneous Emphysema subcutaneous emphysema is often observed by clinicians in the context of pneumothorax. subcutaneous emphysema is a condition in which air becomes trapped under the subcutaneous layer of the skin. learn about the causes, symptoms, diagnosis, and treatment of rib fractures, which are common injuries. the condition may also occur when a fractured rib punctures a lung;. Rib Fracture With Subcutaneous Emphysema.
From www.researchgate.net
(a and b) Right multiple rib fractures, subcutaneous emphysema Rib Fracture With Subcutaneous Emphysema learn about the causes, symptoms, diagnosis, and treatment of rib fractures, which are common injuries. subcutaneous emphysema is often observed by clinicians in the context of pneumothorax. the condition may also occur when a fractured rib punctures a lung; The main symptoms are edema and. [9] in fact, 27% of patients who have rib fractures also have.. Rib Fracture With Subcutaneous Emphysema.
From ar.inspiredpencil.com
Subcutaneous Emphysema Chest Tube Rib Fracture With Subcutaneous Emphysema subcutaneous emphysema is often observed by clinicians in the context of pneumothorax. [9] in fact, 27% of patients who have rib fractures also have. ct of the chest shows pneumomediastinum (blue arrow), left apical pneumothorax (pink arrow), and subcutaneous emphysema (red. The main symptoms are edema and. subcutaneous emphysema is a condition in which air becomes trapped. Rib Fracture With Subcutaneous Emphysema.
From ceplvyby.blob.core.windows.net
How To Check Surgical Emphysema at Theresa Hunt blog Rib Fracture With Subcutaneous Emphysema the condition may also occur when a fractured rib punctures a lung; the most common cause of se was pneumothorax with background of copd and surgery in grade 5, trauma due to rib. learn about the causes, symptoms, diagnosis, and treatment of rib fractures, which are common injuries. [9] in fact, 27% of patients who have rib. Rib Fracture With Subcutaneous Emphysema.
From ar.inspiredpencil.com
Subcutaneous Emphysema Around Chest Tube Rib Fracture With Subcutaneous Emphysema [9] in fact, 27% of patients who have rib fractures also have. learn about the causes, symptoms, diagnosis, and treatment of rib fractures, which are common injuries. The main symptoms are edema and. subcutaneous emphysema is a condition in which air becomes trapped under the subcutaneous layer of the skin. the most common cause of se was. Rib Fracture With Subcutaneous Emphysema.
From www.cureus.com
Cureus Extensive Subcutaneous Emphysema Posttraumatic Tube Thoracostomy Rib Fracture With Subcutaneous Emphysema [9] in fact, 27% of patients who have rib fractures also have. learn about the causes, symptoms, diagnosis, and treatment of rib fractures, which are common injuries. ct of the chest shows pneumomediastinum (blue arrow), left apical pneumothorax (pink arrow), and subcutaneous emphysema (red. subcutaneous emphysema is often observed by clinicians in the context of pneumothorax. . Rib Fracture With Subcutaneous Emphysema.
From www.semanticscholar.org
Figure 1 from A case of cough induced rib fracture with subcutaneous Rib Fracture With Subcutaneous Emphysema learn about the causes, symptoms, diagnosis, and treatment of rib fractures, which are common injuries. [9] in fact, 27% of patients who have rib fractures also have. the condition may also occur when a fractured rib punctures a lung; The main symptoms are edema and. subcutaneous emphysema is often observed by clinicians in the context of pneumothorax.. Rib Fracture With Subcutaneous Emphysema.
From www.researchgate.net
A chest xray showing rightsided pneumothorax, collapsed right upper Rib Fracture With Subcutaneous Emphysema learn about the causes, symptoms, diagnosis, and treatment of rib fractures, which are common injuries. subcutaneous emphysema is often observed by clinicians in the context of pneumothorax. the condition may also occur when a fractured rib punctures a lung; subcutaneous emphysema is a condition in which air becomes trapped under the subcutaneous layer of the skin.. Rib Fracture With Subcutaneous Emphysema.
From www.verywellhealth.com
Dealing with Rib Fractures Rib Fracture With Subcutaneous Emphysema The main symptoms are edema and. ct of the chest shows pneumomediastinum (blue arrow), left apical pneumothorax (pink arrow), and subcutaneous emphysema (red. the condition may also occur when a fractured rib punctures a lung; the most common cause of se was pneumothorax with background of copd and surgery in grade 5, trauma due to rib. . Rib Fracture With Subcutaneous Emphysema.
From cartoondealer.com
A Chest Xray Of A Patient With Rib Fractures And Pleural Effusion And Rib Fracture With Subcutaneous Emphysema learn about the causes, symptoms, diagnosis, and treatment of rib fractures, which are common injuries. ct of the chest shows pneumomediastinum (blue arrow), left apical pneumothorax (pink arrow), and subcutaneous emphysema (red. the most common cause of se was pneumothorax with background of copd and surgery in grade 5, trauma due to rib. the condition may. Rib Fracture With Subcutaneous Emphysema.
From www.researchgate.net
Chest Xray showing rib fractures, subcutaneous emphysema and Rib Fracture With Subcutaneous Emphysema ct of the chest shows pneumomediastinum (blue arrow), left apical pneumothorax (pink arrow), and subcutaneous emphysema (red. [9] in fact, 27% of patients who have rib fractures also have. the most common cause of se was pneumothorax with background of copd and surgery in grade 5, trauma due to rib. learn about the causes, symptoms, diagnosis, and. Rib Fracture With Subcutaneous Emphysema.
From www.pinterest.fr
Subcutaneous emphysema Radiology Case Subcutaneous Rib Fracture With Subcutaneous Emphysema subcutaneous emphysema is a condition in which air becomes trapped under the subcutaneous layer of the skin. [9] in fact, 27% of patients who have rib fractures also have. The main symptoms are edema and. the most common cause of se was pneumothorax with background of copd and surgery in grade 5, trauma due to rib. the. Rib Fracture With Subcutaneous Emphysema.
From cartoondealer.com
A Chest Xray Of A Patient With Rib Fractures And Pleural Effusion And Rib Fracture With Subcutaneous Emphysema [9] in fact, 27% of patients who have rib fractures also have. The main symptoms are edema and. the condition may also occur when a fractured rib punctures a lung; subcutaneous emphysema is a condition in which air becomes trapped under the subcutaneous layer of the skin. ct of the chest shows pneumomediastinum (blue arrow), left apical. Rib Fracture With Subcutaneous Emphysema.
From www.pinterest.com
Pin by Annabelle Ashley on Medicine Subcutaneous emphysema, Rib Rib Fracture With Subcutaneous Emphysema subcutaneous emphysema is a condition in which air becomes trapped under the subcutaneous layer of the skin. ct of the chest shows pneumomediastinum (blue arrow), left apical pneumothorax (pink arrow), and subcutaneous emphysema (red. the condition may also occur when a fractured rib punctures a lung; [9] in fact, 27% of patients who have rib fractures also. Rib Fracture With Subcutaneous Emphysema.
From healthjade.com
Emphysema Causes, Signs, Symptoms, Stages, Expectancy & Treatment Rib Fracture With Subcutaneous Emphysema the most common cause of se was pneumothorax with background of copd and surgery in grade 5, trauma due to rib. the condition may also occur when a fractured rib punctures a lung; subcutaneous emphysema is often observed by clinicians in the context of pneumothorax. ct of the chest shows pneumomediastinum (blue arrow), left apical pneumothorax. Rib Fracture With Subcutaneous Emphysema.
From litfl.com
Subcutaneous emphysema • LITFL • Ultrasound library clinical case Rib Fracture With Subcutaneous Emphysema the condition may also occur when a fractured rib punctures a lung; subcutaneous emphysema is often observed by clinicians in the context of pneumothorax. learn about the causes, symptoms, diagnosis, and treatment of rib fractures, which are common injuries. the most common cause of se was pneumothorax with background of copd and surgery in grade 5,. Rib Fracture With Subcutaneous Emphysema.
From www.verywellhealth.com
Subcutaneous Emphysema Symptoms, Causes, and Treatment Rib Fracture With Subcutaneous Emphysema [9] in fact, 27% of patients who have rib fractures also have. subcutaneous emphysema is a condition in which air becomes trapped under the subcutaneous layer of the skin. The main symptoms are edema and. the condition may also occur when a fractured rib punctures a lung; learn about the causes, symptoms, diagnosis, and treatment of rib. Rib Fracture With Subcutaneous Emphysema.
From www.cureus.com
Cureus Use of Closed Incision Negative Pressure Therapy for Massive Rib Fracture With Subcutaneous Emphysema The main symptoms are edema and. [9] in fact, 27% of patients who have rib fractures also have. the condition may also occur when a fractured rib punctures a lung; learn about the causes, symptoms, diagnosis, and treatment of rib fractures, which are common injuries. ct of the chest shows pneumomediastinum (blue arrow), left apical pneumothorax (pink. Rib Fracture With Subcutaneous Emphysema.
From stock.adobe.com
Chest xray Fracture right posterior 6th rib and possible fracture Rib Fracture With Subcutaneous Emphysema the condition may also occur when a fractured rib punctures a lung; The main symptoms are edema and. learn about the causes, symptoms, diagnosis, and treatment of rib fractures, which are common injuries. ct of the chest shows pneumomediastinum (blue arrow), left apical pneumothorax (pink arrow), and subcutaneous emphysema (red. [9] in fact, 27% of patients who. Rib Fracture With Subcutaneous Emphysema.
From www.researchgate.net
Chest Xray showing bilateral multiples ribs fractures and widespread Rib Fracture With Subcutaneous Emphysema The main symptoms are edema and. subcutaneous emphysema is often observed by clinicians in the context of pneumothorax. the most common cause of se was pneumothorax with background of copd and surgery in grade 5, trauma due to rib. learn about the causes, symptoms, diagnosis, and treatment of rib fractures, which are common injuries. subcutaneous emphysema. Rib Fracture With Subcutaneous Emphysema.
From journalfeed.org
From cited article. “Chest radiographs AP view (A) and rib series (B Rib Fracture With Subcutaneous Emphysema The main symptoms are edema and. the condition may also occur when a fractured rib punctures a lung; subcutaneous emphysema is often observed by clinicians in the context of pneumothorax. learn about the causes, symptoms, diagnosis, and treatment of rib fractures, which are common injuries. the most common cause of se was pneumothorax with background of. Rib Fracture With Subcutaneous Emphysema.