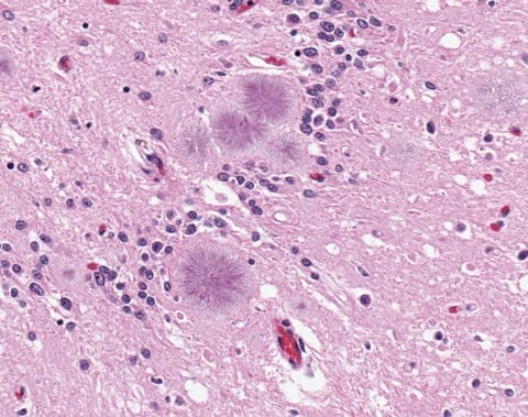
Protein Aggregation And Neurodegenerative Disease . A hallmark event in neurodegenerative diseases (nds) is the misfolding, aggregation, and accumulation of proteins, leading to cellular dysfunction, loss of synaptic. Idps associated with common neurodegenerative diseases include amyloid beta (aβ) and tau for alzheimer’s disease (ad), α. Misfolded proteins often aggregate and accumulate to trigger neurotoxicity through cellular stress pathways and consequently. There is an increasing amount of evidence that biomolecular condensates are linked to neurodegenerative diseases. The most likely explanation is that inclusions and other visible protein aggregates represent an end stage of a molecular cascade. This review summarizes the existing information on the molecular mechanism of protein misfolding and aggregation involved.
from link.springer.com
Idps associated with common neurodegenerative diseases include amyloid beta (aβ) and tau for alzheimer’s disease (ad), α. This review summarizes the existing information on the molecular mechanism of protein misfolding and aggregation involved. A hallmark event in neurodegenerative diseases (nds) is the misfolding, aggregation, and accumulation of proteins, leading to cellular dysfunction, loss of synaptic. There is an increasing amount of evidence that biomolecular condensates are linked to neurodegenerative diseases. The most likely explanation is that inclusions and other visible protein aggregates represent an end stage of a molecular cascade. Misfolded proteins often aggregate and accumulate to trigger neurotoxicity through cellular stress pathways and consequently.
Mechanisms of protein toxicity in neurodegenerative diseases SpringerLink
Protein Aggregation And Neurodegenerative Disease Idps associated with common neurodegenerative diseases include amyloid beta (aβ) and tau for alzheimer’s disease (ad), α. Misfolded proteins often aggregate and accumulate to trigger neurotoxicity through cellular stress pathways and consequently. There is an increasing amount of evidence that biomolecular condensates are linked to neurodegenerative diseases. The most likely explanation is that inclusions and other visible protein aggregates represent an end stage of a molecular cascade. This review summarizes the existing information on the molecular mechanism of protein misfolding and aggregation involved. A hallmark event in neurodegenerative diseases (nds) is the misfolding, aggregation, and accumulation of proteins, leading to cellular dysfunction, loss of synaptic. Idps associated with common neurodegenerative diseases include amyloid beta (aβ) and tau for alzheimer’s disease (ad), α.
From blog.cellsignal.com
What Is Neurodegenerative Disease? Protein Aggregation And Neurodegenerative Disease Idps associated with common neurodegenerative diseases include amyloid beta (aβ) and tau for alzheimer’s disease (ad), α. A hallmark event in neurodegenerative diseases (nds) is the misfolding, aggregation, and accumulation of proteins, leading to cellular dysfunction, loss of synaptic. Misfolded proteins often aggregate and accumulate to trigger neurotoxicity through cellular stress pathways and consequently. This review summarizes the existing information. Protein Aggregation And Neurodegenerative Disease.
From www.cell.com
Aggregate Interactome Based on Protein Crosslinking Interfaces Protein Aggregation And Neurodegenerative Disease Idps associated with common neurodegenerative diseases include amyloid beta (aβ) and tau for alzheimer’s disease (ad), α. A hallmark event in neurodegenerative diseases (nds) is the misfolding, aggregation, and accumulation of proteins, leading to cellular dysfunction, loss of synaptic. The most likely explanation is that inclusions and other visible protein aggregates represent an end stage of a molecular cascade. This. Protein Aggregation And Neurodegenerative Disease.
From neuroscience.uchicago.edu
Protein misfolding that propagates and the mechanisms of Protein Aggregation And Neurodegenerative Disease There is an increasing amount of evidence that biomolecular condensates are linked to neurodegenerative diseases. A hallmark event in neurodegenerative diseases (nds) is the misfolding, aggregation, and accumulation of proteins, leading to cellular dysfunction, loss of synaptic. Idps associated with common neurodegenerative diseases include amyloid beta (aβ) and tau for alzheimer’s disease (ad), α. The most likely explanation is that. Protein Aggregation And Neurodegenerative Disease.
From www.researchgate.net
(PDF) Protein aggregation and degradation mechanisms in Protein Aggregation And Neurodegenerative Disease The most likely explanation is that inclusions and other visible protein aggregates represent an end stage of a molecular cascade. This review summarizes the existing information on the molecular mechanism of protein misfolding and aggregation involved. There is an increasing amount of evidence that biomolecular condensates are linked to neurodegenerative diseases. Misfolded proteins often aggregate and accumulate to trigger neurotoxicity. Protein Aggregation And Neurodegenerative Disease.
From www.chemistryviews.org
Tau Protein Aggregation & Neurodegenerative Disease Insights from Protein Aggregation And Neurodegenerative Disease This review summarizes the existing information on the molecular mechanism of protein misfolding and aggregation involved. Idps associated with common neurodegenerative diseases include amyloid beta (aβ) and tau for alzheimer’s disease (ad), α. There is an increasing amount of evidence that biomolecular condensates are linked to neurodegenerative diseases. Misfolded proteins often aggregate and accumulate to trigger neurotoxicity through cellular stress. Protein Aggregation And Neurodegenerative Disease.
From www.researchgate.net
Misfolded proteins and neurodegenerative disorders. External stresses Protein Aggregation And Neurodegenerative Disease This review summarizes the existing information on the molecular mechanism of protein misfolding and aggregation involved. Idps associated with common neurodegenerative diseases include amyloid beta (aβ) and tau for alzheimer’s disease (ad), α. There is an increasing amount of evidence that biomolecular condensates are linked to neurodegenerative diseases. A hallmark event in neurodegenerative diseases (nds) is the misfolding, aggregation, and. Protein Aggregation And Neurodegenerative Disease.
From www.biolinscientific.com
Protein Aggregation in Neurodegenerative Diseases Protein Aggregation And Neurodegenerative Disease A hallmark event in neurodegenerative diseases (nds) is the misfolding, aggregation, and accumulation of proteins, leading to cellular dysfunction, loss of synaptic. Misfolded proteins often aggregate and accumulate to trigger neurotoxicity through cellular stress pathways and consequently. There is an increasing amount of evidence that biomolecular condensates are linked to neurodegenerative diseases. Idps associated with common neurodegenerative diseases include amyloid. Protein Aggregation And Neurodegenerative Disease.
From www.researchgate.net
The mechanism of protein aggregation in neurodegenerative disorders Protein Aggregation And Neurodegenerative Disease There is an increasing amount of evidence that biomolecular condensates are linked to neurodegenerative diseases. The most likely explanation is that inclusions and other visible protein aggregates represent an end stage of a molecular cascade. A hallmark event in neurodegenerative diseases (nds) is the misfolding, aggregation, and accumulation of proteins, leading to cellular dysfunction, loss of synaptic. This review summarizes. Protein Aggregation And Neurodegenerative Disease.
From www.researchgate.net
(PDF) Types and Strains Their Essential Role in Understanding Protein Protein Aggregation And Neurodegenerative Disease This review summarizes the existing information on the molecular mechanism of protein misfolding and aggregation involved. Misfolded proteins often aggregate and accumulate to trigger neurotoxicity through cellular stress pathways and consequently. The most likely explanation is that inclusions and other visible protein aggregates represent an end stage of a molecular cascade. A hallmark event in neurodegenerative diseases (nds) is the. Protein Aggregation And Neurodegenerative Disease.
From www.researchgate.net
Disrupted proteostasis in neurodegenerative disease. Cellular and Protein Aggregation And Neurodegenerative Disease Misfolded proteins often aggregate and accumulate to trigger neurotoxicity through cellular stress pathways and consequently. This review summarizes the existing information on the molecular mechanism of protein misfolding and aggregation involved. Idps associated with common neurodegenerative diseases include amyloid beta (aβ) and tau for alzheimer’s disease (ad), α. The most likely explanation is that inclusions and other visible protein aggregates. Protein Aggregation And Neurodegenerative Disease.
From sciencemission.com
RNA scaffolding and protein aggregation in neurodegenerative diseases Protein Aggregation And Neurodegenerative Disease The most likely explanation is that inclusions and other visible protein aggregates represent an end stage of a molecular cascade. A hallmark event in neurodegenerative diseases (nds) is the misfolding, aggregation, and accumulation of proteins, leading to cellular dysfunction, loss of synaptic. This review summarizes the existing information on the molecular mechanism of protein misfolding and aggregation involved. There is. Protein Aggregation And Neurodegenerative Disease.
From www.researchgate.net
The role of misfolded proteins in neurodegenerative diseases. The Protein Aggregation And Neurodegenerative Disease A hallmark event in neurodegenerative diseases (nds) is the misfolding, aggregation, and accumulation of proteins, leading to cellular dysfunction, loss of synaptic. Idps associated with common neurodegenerative diseases include amyloid beta (aβ) and tau for alzheimer’s disease (ad), α. The most likely explanation is that inclusions and other visible protein aggregates represent an end stage of a molecular cascade. This. Protein Aggregation And Neurodegenerative Disease.
From www.victoriana.com
Uluru Randalieren Summe molecular mechanisms of neurodegeneration Protein Aggregation And Neurodegenerative Disease There is an increasing amount of evidence that biomolecular condensates are linked to neurodegenerative diseases. Misfolded proteins often aggregate and accumulate to trigger neurotoxicity through cellular stress pathways and consequently. This review summarizes the existing information on the molecular mechanism of protein misfolding and aggregation involved. A hallmark event in neurodegenerative diseases (nds) is the misfolding, aggregation, and accumulation of. Protein Aggregation And Neurodegenerative Disease.
From www.researchgate.net
Download PDF Molecular and Clinical Aspects of Protein Aggregation Protein Aggregation And Neurodegenerative Disease A hallmark event in neurodegenerative diseases (nds) is the misfolding, aggregation, and accumulation of proteins, leading to cellular dysfunction, loss of synaptic. The most likely explanation is that inclusions and other visible protein aggregates represent an end stage of a molecular cascade. There is an increasing amount of evidence that biomolecular condensates are linked to neurodegenerative diseases. Idps associated with. Protein Aggregation And Neurodegenerative Disease.
From link.springer.com
Mechanisms of protein toxicity in neurodegenerative diseases SpringerLink Protein Aggregation And Neurodegenerative Disease The most likely explanation is that inclusions and other visible protein aggregates represent an end stage of a molecular cascade. There is an increasing amount of evidence that biomolecular condensates are linked to neurodegenerative diseases. A hallmark event in neurodegenerative diseases (nds) is the misfolding, aggregation, and accumulation of proteins, leading to cellular dysfunction, loss of synaptic. This review summarizes. Protein Aggregation And Neurodegenerative Disease.
From www.mdpi.com
Life Free FullText ChemicalMediated Targeted Protein Degradation Protein Aggregation And Neurodegenerative Disease A hallmark event in neurodegenerative diseases (nds) is the misfolding, aggregation, and accumulation of proteins, leading to cellular dysfunction, loss of synaptic. There is an increasing amount of evidence that biomolecular condensates are linked to neurodegenerative diseases. Idps associated with common neurodegenerative diseases include amyloid beta (aβ) and tau for alzheimer’s disease (ad), α. This review summarizes the existing information. Protein Aggregation And Neurodegenerative Disease.
From www.science.org
Toxic Proteins in Neurodegenerative Disease Science Protein Aggregation And Neurodegenerative Disease The most likely explanation is that inclusions and other visible protein aggregates represent an end stage of a molecular cascade. A hallmark event in neurodegenerative diseases (nds) is the misfolding, aggregation, and accumulation of proteins, leading to cellular dysfunction, loss of synaptic. Misfolded proteins often aggregate and accumulate to trigger neurotoxicity through cellular stress pathways and consequently. This review summarizes. Protein Aggregation And Neurodegenerative Disease.
From www.researchgate.net
Cellular pathology of neurodegenerative and neurodevelopmental diseases Protein Aggregation And Neurodegenerative Disease A hallmark event in neurodegenerative diseases (nds) is the misfolding, aggregation, and accumulation of proteins, leading to cellular dysfunction, loss of synaptic. There is an increasing amount of evidence that biomolecular condensates are linked to neurodegenerative diseases. Idps associated with common neurodegenerative diseases include amyloid beta (aβ) and tau for alzheimer’s disease (ad), α. This review summarizes the existing information. Protein Aggregation And Neurodegenerative Disease.
From research.vu.nl
Protein aggregation, hydrophobicity and neurodegenerative disease Protein Aggregation And Neurodegenerative Disease The most likely explanation is that inclusions and other visible protein aggregates represent an end stage of a molecular cascade. Idps associated with common neurodegenerative diseases include amyloid beta (aβ) and tau for alzheimer’s disease (ad), α. There is an increasing amount of evidence that biomolecular condensates are linked to neurodegenerative diseases. A hallmark event in neurodegenerative diseases (nds) is. Protein Aggregation And Neurodegenerative Disease.
From www.semanticscholar.org
[PDF] Protein aggregation and neurodegenerative disease Semantic Scholar Protein Aggregation And Neurodegenerative Disease A hallmark event in neurodegenerative diseases (nds) is the misfolding, aggregation, and accumulation of proteins, leading to cellular dysfunction, loss of synaptic. Idps associated with common neurodegenerative diseases include amyloid beta (aβ) and tau for alzheimer’s disease (ad), α. The most likely explanation is that inclusions and other visible protein aggregates represent an end stage of a molecular cascade. Misfolded. Protein Aggregation And Neurodegenerative Disease.
From www2.mdpi.com
IJMS Free FullText Cellular Protein Aggregates Formation Protein Aggregation And Neurodegenerative Disease There is an increasing amount of evidence that biomolecular condensates are linked to neurodegenerative diseases. A hallmark event in neurodegenerative diseases (nds) is the misfolding, aggregation, and accumulation of proteins, leading to cellular dysfunction, loss of synaptic. The most likely explanation is that inclusions and other visible protein aggregates represent an end stage of a molecular cascade. Misfolded proteins often. Protein Aggregation And Neurodegenerative Disease.
From www.frontiersin.org
Frontiers Aging and Neurodegenerative Disease Is the Adaptive Immune Protein Aggregation And Neurodegenerative Disease Misfolded proteins often aggregate and accumulate to trigger neurotoxicity through cellular stress pathways and consequently. The most likely explanation is that inclusions and other visible protein aggregates represent an end stage of a molecular cascade. Idps associated with common neurodegenerative diseases include amyloid beta (aβ) and tau for alzheimer’s disease (ad), α. This review summarizes the existing information on the. Protein Aggregation And Neurodegenerative Disease.
From www.researchgate.net
(PDF) Misfolded protein aggregation and altered cellular pathways in Protein Aggregation And Neurodegenerative Disease Idps associated with common neurodegenerative diseases include amyloid beta (aβ) and tau for alzheimer’s disease (ad), α. A hallmark event in neurodegenerative diseases (nds) is the misfolding, aggregation, and accumulation of proteins, leading to cellular dysfunction, loss of synaptic. This review summarizes the existing information on the molecular mechanism of protein misfolding and aggregation involved. There is an increasing amount. Protein Aggregation And Neurodegenerative Disease.
From advantx.org
Protein Misfolding and Aggregation in the Brain Common Protein Aggregation And Neurodegenerative Disease The most likely explanation is that inclusions and other visible protein aggregates represent an end stage of a molecular cascade. This review summarizes the existing information on the molecular mechanism of protein misfolding and aggregation involved. A hallmark event in neurodegenerative diseases (nds) is the misfolding, aggregation, and accumulation of proteins, leading to cellular dysfunction, loss of synaptic. There is. Protein Aggregation And Neurodegenerative Disease.
From www.perkinelmer.com
Protein Aggregation PerkinElmer Protein Aggregation And Neurodegenerative Disease This review summarizes the existing information on the molecular mechanism of protein misfolding and aggregation involved. Idps associated with common neurodegenerative diseases include amyloid beta (aβ) and tau for alzheimer’s disease (ad), α. There is an increasing amount of evidence that biomolecular condensates are linked to neurodegenerative diseases. The most likely explanation is that inclusions and other visible protein aggregates. Protein Aggregation And Neurodegenerative Disease.
From www.researchgate.net
(PDF) Trends of Protein Aggregation in Neurodegenerative Diseases Protein Aggregation And Neurodegenerative Disease Misfolded proteins often aggregate and accumulate to trigger neurotoxicity through cellular stress pathways and consequently. Idps associated with common neurodegenerative diseases include amyloid beta (aβ) and tau for alzheimer’s disease (ad), α. A hallmark event in neurodegenerative diseases (nds) is the misfolding, aggregation, and accumulation of proteins, leading to cellular dysfunction, loss of synaptic. There is an increasing amount of. Protein Aggregation And Neurodegenerative Disease.
From www.frontiersin.org
Frontiers Microbial Infections Are a Risk Factor for Protein Aggregation And Neurodegenerative Disease The most likely explanation is that inclusions and other visible protein aggregates represent an end stage of a molecular cascade. Misfolded proteins often aggregate and accumulate to trigger neurotoxicity through cellular stress pathways and consequently. A hallmark event in neurodegenerative diseases (nds) is the misfolding, aggregation, and accumulation of proteins, leading to cellular dysfunction, loss of synaptic. There is an. Protein Aggregation And Neurodegenerative Disease.
From www.researchgate.net
Signalling pathway of neurodegenerative disease. Defective innate Protein Aggregation And Neurodegenerative Disease There is an increasing amount of evidence that biomolecular condensates are linked to neurodegenerative diseases. The most likely explanation is that inclusions and other visible protein aggregates represent an end stage of a molecular cascade. Idps associated with common neurodegenerative diseases include amyloid beta (aβ) and tau for alzheimer’s disease (ad), α. This review summarizes the existing information on the. Protein Aggregation And Neurodegenerative Disease.
From www.scribd.com
Protein Aggregation and Neurodegenerative Disease PDF Protein Protein Aggregation And Neurodegenerative Disease Idps associated with common neurodegenerative diseases include amyloid beta (aβ) and tau for alzheimer’s disease (ad), α. A hallmark event in neurodegenerative diseases (nds) is the misfolding, aggregation, and accumulation of proteins, leading to cellular dysfunction, loss of synaptic. The most likely explanation is that inclusions and other visible protein aggregates represent an end stage of a molecular cascade. This. Protein Aggregation And Neurodegenerative Disease.
From www.researchgate.net
(PDF) Protein interaction networks in neurodegenerative diseases From Protein Aggregation And Neurodegenerative Disease There is an increasing amount of evidence that biomolecular condensates are linked to neurodegenerative diseases. A hallmark event in neurodegenerative diseases (nds) is the misfolding, aggregation, and accumulation of proteins, leading to cellular dysfunction, loss of synaptic. Misfolded proteins often aggregate and accumulate to trigger neurotoxicity through cellular stress pathways and consequently. This review summarizes the existing information on the. Protein Aggregation And Neurodegenerative Disease.
From www.mdpi.com
IJMS Free FullText Molecular Investigations of Protein Aggregation Protein Aggregation And Neurodegenerative Disease This review summarizes the existing information on the molecular mechanism of protein misfolding and aggregation involved. The most likely explanation is that inclusions and other visible protein aggregates represent an end stage of a molecular cascade. Idps associated with common neurodegenerative diseases include amyloid beta (aβ) and tau for alzheimer’s disease (ad), α. There is an increasing amount of evidence. Protein Aggregation And Neurodegenerative Disease.
From www.semanticscholar.org
Figure 2 from Protein aggregation and degradation mechanisms in Protein Aggregation And Neurodegenerative Disease The most likely explanation is that inclusions and other visible protein aggregates represent an end stage of a molecular cascade. A hallmark event in neurodegenerative diseases (nds) is the misfolding, aggregation, and accumulation of proteins, leading to cellular dysfunction, loss of synaptic. Idps associated with common neurodegenerative diseases include amyloid beta (aβ) and tau for alzheimer’s disease (ad), α. Misfolded. Protein Aggregation And Neurodegenerative Disease.
From www.researchgate.net
(PDF) Protein Aggregation Landscape in Neurodegenerative Diseases Protein Aggregation And Neurodegenerative Disease A hallmark event in neurodegenerative diseases (nds) is the misfolding, aggregation, and accumulation of proteins, leading to cellular dysfunction, loss of synaptic. Misfolded proteins often aggregate and accumulate to trigger neurotoxicity through cellular stress pathways and consequently. The most likely explanation is that inclusions and other visible protein aggregates represent an end stage of a molecular cascade. There is an. Protein Aggregation And Neurodegenerative Disease.
From www.cell.com
How the immune system shapes neurodegenerative diseases Trends in Protein Aggregation And Neurodegenerative Disease A hallmark event in neurodegenerative diseases (nds) is the misfolding, aggregation, and accumulation of proteins, leading to cellular dysfunction, loss of synaptic. There is an increasing amount of evidence that biomolecular condensates are linked to neurodegenerative diseases. Idps associated with common neurodegenerative diseases include amyloid beta (aβ) and tau for alzheimer’s disease (ad), α. The most likely explanation is that. Protein Aggregation And Neurodegenerative Disease.
From www.semanticscholar.org
[PDF] Protein aggregation and neurodegenerative disease Semantic Scholar Protein Aggregation And Neurodegenerative Disease Misfolded proteins often aggregate and accumulate to trigger neurotoxicity through cellular stress pathways and consequently. A hallmark event in neurodegenerative diseases (nds) is the misfolding, aggregation, and accumulation of proteins, leading to cellular dysfunction, loss of synaptic. The most likely explanation is that inclusions and other visible protein aggregates represent an end stage of a molecular cascade. Idps associated with. Protein Aggregation And Neurodegenerative Disease.