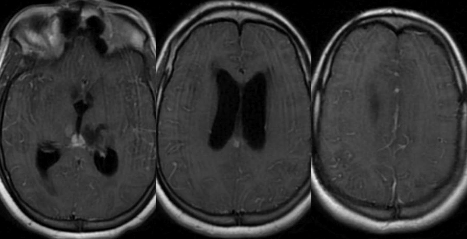
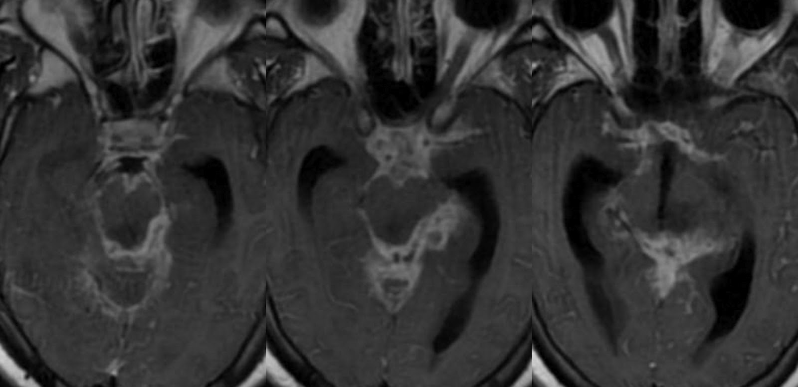
Gelatinous Exudate Covering Base Of Brain . Tb basal arachnoiditis can form a thick gelatinous exudate around the base of the brain and the cranial nerves leading to. The hallmark pathological feature of tbm is a thick gelatinous exudate, dominantly present at basal parts of the brain. With meningeal involvement, a grayish, mucinous exudate accumulates over the involved brain surface. Macroscopic view showing diffuse gelatinous exudates on the basal surface of the brain including the prepontine cistern, basal cistern, and bilateral sylvian fissures, and serious. Macroscopically there is a typically nodular, gelatinous exudate more pronounced in the sylvian fissures and over the base of the brain (.
from www.researchgate.net
Tb basal arachnoiditis can form a thick gelatinous exudate around the base of the brain and the cranial nerves leading to. The hallmark pathological feature of tbm is a thick gelatinous exudate, dominantly present at basal parts of the brain. With meningeal involvement, a grayish, mucinous exudate accumulates over the involved brain surface. Macroscopic view showing diffuse gelatinous exudates on the basal surface of the brain including the prepontine cistern, basal cistern, and bilateral sylvian fissures, and serious. Macroscopically there is a typically nodular, gelatinous exudate more pronounced in the sylvian fissures and over the base of the brain (.
Coronal slice of brain shows normal gyral pattern and absence of
Gelatinous Exudate Covering Base Of Brain With meningeal involvement, a grayish, mucinous exudate accumulates over the involved brain surface. Macroscopic view showing diffuse gelatinous exudates on the basal surface of the brain including the prepontine cistern, basal cistern, and bilateral sylvian fissures, and serious. Tb basal arachnoiditis can form a thick gelatinous exudate around the base of the brain and the cranial nerves leading to. The hallmark pathological feature of tbm is a thick gelatinous exudate, dominantly present at basal parts of the brain. Macroscopically there is a typically nodular, gelatinous exudate more pronounced in the sylvian fissures and over the base of the brain (. With meningeal involvement, a grayish, mucinous exudate accumulates over the involved brain surface.
From www.researchgate.net
Histology of brain. (a) There is a exudate of macrophages, lymphocytes Gelatinous Exudate Covering Base Of Brain The hallmark pathological feature of tbm is a thick gelatinous exudate, dominantly present at basal parts of the brain. Macroscopically there is a typically nodular, gelatinous exudate more pronounced in the sylvian fissures and over the base of the brain (. Tb basal arachnoiditis can form a thick gelatinous exudate around the base of the brain and the cranial nerves. Gelatinous Exudate Covering Base Of Brain.
From www.researchgate.net
Gross pathology of brain Thick, gelatinous subarachnoid exudate that Gelatinous Exudate Covering Base Of Brain The hallmark pathological feature of tbm is a thick gelatinous exudate, dominantly present at basal parts of the brain. Macroscopic view showing diffuse gelatinous exudates on the basal surface of the brain including the prepontine cistern, basal cistern, and bilateral sylvian fissures, and serious. Tb basal arachnoiditis can form a thick gelatinous exudate around the base of the brain and. Gelatinous Exudate Covering Base Of Brain.
From www.researchgate.net
Cranial MRI changes in tuberculous meningitis. Tuberculoma in T1 Gelatinous Exudate Covering Base Of Brain Macroscopic view showing diffuse gelatinous exudates on the basal surface of the brain including the prepontine cistern, basal cistern, and bilateral sylvian fissures, and serious. The hallmark pathological feature of tbm is a thick gelatinous exudate, dominantly present at basal parts of the brain. Macroscopically there is a typically nodular, gelatinous exudate more pronounced in the sylvian fissures and over. Gelatinous Exudate Covering Base Of Brain.
From www.researchgate.net
Coronal slice of brain shows normal gyral pattern and absence of Gelatinous Exudate Covering Base Of Brain Macroscopic view showing diffuse gelatinous exudates on the basal surface of the brain including the prepontine cistern, basal cistern, and bilateral sylvian fissures, and serious. Tb basal arachnoiditis can form a thick gelatinous exudate around the base of the brain and the cranial nerves leading to. Macroscopically there is a typically nodular, gelatinous exudate more pronounced in the sylvian fissures. Gelatinous Exudate Covering Base Of Brain.
From www.researchgate.net
Histological sections of H & E staining in the cerebral cortex and Gelatinous Exudate Covering Base Of Brain With meningeal involvement, a grayish, mucinous exudate accumulates over the involved brain surface. Tb basal arachnoiditis can form a thick gelatinous exudate around the base of the brain and the cranial nerves leading to. Macroscopic view showing diffuse gelatinous exudates on the basal surface of the brain including the prepontine cistern, basal cistern, and bilateral sylvian fissures, and serious. Macroscopically. Gelatinous Exudate Covering Base Of Brain.
From www.researchgate.net
Contrast CT scan (A, B) showing basal exudates (white arrow) and Gelatinous Exudate Covering Base Of Brain Macroscopic view showing diffuse gelatinous exudates on the basal surface of the brain including the prepontine cistern, basal cistern, and bilateral sylvian fissures, and serious. The hallmark pathological feature of tbm is a thick gelatinous exudate, dominantly present at basal parts of the brain. Macroscopically there is a typically nodular, gelatinous exudate more pronounced in the sylvian fissures and over. Gelatinous Exudate Covering Base Of Brain.
From www.frontiersin.org
Frontiers The BrainNose Interface A Potential Cerebrospinal Fluid Gelatinous Exudate Covering Base Of Brain Macroscopically there is a typically nodular, gelatinous exudate more pronounced in the sylvian fissures and over the base of the brain (. Macroscopic view showing diffuse gelatinous exudates on the basal surface of the brain including the prepontine cistern, basal cistern, and bilateral sylvian fissures, and serious. The hallmark pathological feature of tbm is a thick gelatinous exudate, dominantly present. Gelatinous Exudate Covering Base Of Brain.
From www.researchgate.net
Pathological findings of the autopsy specimen. A Macroscopic view Gelatinous Exudate Covering Base Of Brain The hallmark pathological feature of tbm is a thick gelatinous exudate, dominantly present at basal parts of the brain. Macroscopically there is a typically nodular, gelatinous exudate more pronounced in the sylvian fissures and over the base of the brain (. Tb basal arachnoiditis can form a thick gelatinous exudate around the base of the brain and the cranial nerves. Gelatinous Exudate Covering Base Of Brain.
From www.researchgate.net
Brain. Acute meningitis. Fibrinopurulent exudate covering the meningeal Gelatinous Exudate Covering Base Of Brain Tb basal arachnoiditis can form a thick gelatinous exudate around the base of the brain and the cranial nerves leading to. Macroscopically there is a typically nodular, gelatinous exudate more pronounced in the sylvian fissures and over the base of the brain (. With meningeal involvement, a grayish, mucinous exudate accumulates over the involved brain surface. The hallmark pathological feature. Gelatinous Exudate Covering Base Of Brain.
From www.cureus.com
Cureus Delineation of Subarachnoid Cisterns Using CT Cisternography Gelatinous Exudate Covering Base Of Brain Tb basal arachnoiditis can form a thick gelatinous exudate around the base of the brain and the cranial nerves leading to. Macroscopic view showing diffuse gelatinous exudates on the basal surface of the brain including the prepontine cistern, basal cistern, and bilateral sylvian fissures, and serious. With meningeal involvement, a grayish, mucinous exudate accumulates over the involved brain surface. Macroscopically. Gelatinous Exudate Covering Base Of Brain.
From www.researchgate.net
Meningeal tuberculosis. (a) Axial postcontrast brain CT shows typical Gelatinous Exudate Covering Base Of Brain Macroscopic view showing diffuse gelatinous exudates on the basal surface of the brain including the prepontine cistern, basal cistern, and bilateral sylvian fissures, and serious. Macroscopically there is a typically nodular, gelatinous exudate more pronounced in the sylvian fissures and over the base of the brain (. Tb basal arachnoiditis can form a thick gelatinous exudate around the base of. Gelatinous Exudate Covering Base Of Brain.
From www.researchgate.net
Gross pathology of brain Thick, gelatinous subarachnoid exudate that Gelatinous Exudate Covering Base Of Brain With meningeal involvement, a grayish, mucinous exudate accumulates over the involved brain surface. Tb basal arachnoiditis can form a thick gelatinous exudate around the base of the brain and the cranial nerves leading to. Macroscopically there is a typically nodular, gelatinous exudate more pronounced in the sylvian fissures and over the base of the brain (. The hallmark pathological feature. Gelatinous Exudate Covering Base Of Brain.
From www.neuroradiologycases.com
Dr Balaji Anvekar FRCR Basal exudates in Tuberculous meningitis Gelatinous Exudate Covering Base Of Brain Tb basal arachnoiditis can form a thick gelatinous exudate around the base of the brain and the cranial nerves leading to. The hallmark pathological feature of tbm is a thick gelatinous exudate, dominantly present at basal parts of the brain. With meningeal involvement, a grayish, mucinous exudate accumulates over the involved brain surface. Macroscopically there is a typically nodular, gelatinous. Gelatinous Exudate Covering Base Of Brain.
From slideplayer.com
Prof. Rai Muhammad Asghar Head of Paediatric department RMC Rawalpindi Gelatinous Exudate Covering Base Of Brain With meningeal involvement, a grayish, mucinous exudate accumulates over the involved brain surface. Macroscopically there is a typically nodular, gelatinous exudate more pronounced in the sylvian fissures and over the base of the brain (. Macroscopic view showing diffuse gelatinous exudates on the basal surface of the brain including the prepontine cistern, basal cistern, and bilateral sylvian fissures, and serious.. Gelatinous Exudate Covering Base Of Brain.
From www.researchgate.net
Contrastenhanced MRI brain showing enhancing basal exudates in the Gelatinous Exudate Covering Base Of Brain Macroscopic view showing diffuse gelatinous exudates on the basal surface of the brain including the prepontine cistern, basal cistern, and bilateral sylvian fissures, and serious. Tb basal arachnoiditis can form a thick gelatinous exudate around the base of the brain and the cranial nerves leading to. Macroscopically there is a typically nodular, gelatinous exudate more pronounced in the sylvian fissures. Gelatinous Exudate Covering Base Of Brain.
From www.frontiersin.org
Frontiers A Critically Ill Patient With Central Nervous System Gelatinous Exudate Covering Base Of Brain With meningeal involvement, a grayish, mucinous exudate accumulates over the involved brain surface. Tb basal arachnoiditis can form a thick gelatinous exudate around the base of the brain and the cranial nerves leading to. Macroscopically there is a typically nodular, gelatinous exudate more pronounced in the sylvian fissures and over the base of the brain (. The hallmark pathological feature. Gelatinous Exudate Covering Base Of Brain.
From www.researchgate.net
Erythematous tissue with white exudates covering the oropharynx Gelatinous Exudate Covering Base Of Brain Macroscopically there is a typically nodular, gelatinous exudate more pronounced in the sylvian fissures and over the base of the brain (. Macroscopic view showing diffuse gelatinous exudates on the basal surface of the brain including the prepontine cistern, basal cistern, and bilateral sylvian fissures, and serious. With meningeal involvement, a grayish, mucinous exudate accumulates over the involved brain surface.. Gelatinous Exudate Covering Base Of Brain.
From www.researchgate.net
Axial sections of FLAIR sequence of MRI brain showing enhancement of Gelatinous Exudate Covering Base Of Brain The hallmark pathological feature of tbm is a thick gelatinous exudate, dominantly present at basal parts of the brain. Macroscopically there is a typically nodular, gelatinous exudate more pronounced in the sylvian fissures and over the base of the brain (. Macroscopic view showing diffuse gelatinous exudates on the basal surface of the brain including the prepontine cistern, basal cistern,. Gelatinous Exudate Covering Base Of Brain.
From twitter.com
Neuropathology UniBern (npth_unibern) / Twitter Gelatinous Exudate Covering Base Of Brain With meningeal involvement, a grayish, mucinous exudate accumulates over the involved brain surface. Tb basal arachnoiditis can form a thick gelatinous exudate around the base of the brain and the cranial nerves leading to. The hallmark pathological feature of tbm is a thick gelatinous exudate, dominantly present at basal parts of the brain. Macroscopic view showing diffuse gelatinous exudates on. Gelatinous Exudate Covering Base Of Brain.
From www.researchgate.net
Representative gross pathological and microscopic examination of brain Gelatinous Exudate Covering Base Of Brain Macroscopic view showing diffuse gelatinous exudates on the basal surface of the brain including the prepontine cistern, basal cistern, and bilateral sylvian fissures, and serious. With meningeal involvement, a grayish, mucinous exudate accumulates over the involved brain surface. The hallmark pathological feature of tbm is a thick gelatinous exudate, dominantly present at basal parts of the brain. Macroscopically there is. Gelatinous Exudate Covering Base Of Brain.
From geekymedics.com
CT Head Interpretation Radiology Geeky Medics Gelatinous Exudate Covering Base Of Brain The hallmark pathological feature of tbm is a thick gelatinous exudate, dominantly present at basal parts of the brain. With meningeal involvement, a grayish, mucinous exudate accumulates over the involved brain surface. Tb basal arachnoiditis can form a thick gelatinous exudate around the base of the brain and the cranial nerves leading to. Macroscopic view showing diffuse gelatinous exudates on. Gelatinous Exudate Covering Base Of Brain.
From www.researchgate.net
Photomicrograph of sections from brain and cecum of vaccinated Gelatinous Exudate Covering Base Of Brain Macroscopically there is a typically nodular, gelatinous exudate more pronounced in the sylvian fissures and over the base of the brain (. Macroscopic view showing diffuse gelatinous exudates on the basal surface of the brain including the prepontine cistern, basal cistern, and bilateral sylvian fissures, and serious. Tb basal arachnoiditis can form a thick gelatinous exudate around the base of. Gelatinous Exudate Covering Base Of Brain.
From www.researchgate.net
Bacterial purulent pleurisy " a " Serousfibrinous exudate Gelatinous Exudate Covering Base Of Brain Tb basal arachnoiditis can form a thick gelatinous exudate around the base of the brain and the cranial nerves leading to. Macroscopically there is a typically nodular, gelatinous exudate more pronounced in the sylvian fissures and over the base of the brain (. With meningeal involvement, a grayish, mucinous exudate accumulates over the involved brain surface. Macroscopic view showing diffuse. Gelatinous Exudate Covering Base Of Brain.
From healthjade.com
Exudate definition, types and difference between transudate and exudate Gelatinous Exudate Covering Base Of Brain With meningeal involvement, a grayish, mucinous exudate accumulates over the involved brain surface. Macroscopically there is a typically nodular, gelatinous exudate more pronounced in the sylvian fissures and over the base of the brain (. Macroscopic view showing diffuse gelatinous exudates on the basal surface of the brain including the prepontine cistern, basal cistern, and bilateral sylvian fissures, and serious.. Gelatinous Exudate Covering Base Of Brain.
From www.researchgate.net
Contrastenhanced MRI of the brain (sagittal section) showing multiple Gelatinous Exudate Covering Base Of Brain Macroscopically there is a typically nodular, gelatinous exudate more pronounced in the sylvian fissures and over the base of the brain (. Tb basal arachnoiditis can form a thick gelatinous exudate around the base of the brain and the cranial nerves leading to. Macroscopic view showing diffuse gelatinous exudates on the basal surface of the brain including the prepontine cistern,. Gelatinous Exudate Covering Base Of Brain.
From www.researchgate.net
AGross appearance of the brain, showing thickened meninges with Gelatinous Exudate Covering Base Of Brain The hallmark pathological feature of tbm is a thick gelatinous exudate, dominantly present at basal parts of the brain. With meningeal involvement, a grayish, mucinous exudate accumulates over the involved brain surface. Macroscopically there is a typically nodular, gelatinous exudate more pronounced in the sylvian fissures and over the base of the brain (. Macroscopic view showing diffuse gelatinous exudates. Gelatinous Exudate Covering Base Of Brain.
From www.slideshare.net
Tb Meningitis Gelatinous Exudate Covering Base Of Brain Macroscopically there is a typically nodular, gelatinous exudate more pronounced in the sylvian fissures and over the base of the brain (. The hallmark pathological feature of tbm is a thick gelatinous exudate, dominantly present at basal parts of the brain. Tb basal arachnoiditis can form a thick gelatinous exudate around the base of the brain and the cranial nerves. Gelatinous Exudate Covering Base Of Brain.
From www.researchgate.net
Brain computed tomographic scan showing ringenhancing lesions with Gelatinous Exudate Covering Base Of Brain Macroscopically there is a typically nodular, gelatinous exudate more pronounced in the sylvian fissures and over the base of the brain (. The hallmark pathological feature of tbm is a thick gelatinous exudate, dominantly present at basal parts of the brain. With meningeal involvement, a grayish, mucinous exudate accumulates over the involved brain surface. Macroscopic view showing diffuse gelatinous exudates. Gelatinous Exudate Covering Base Of Brain.
From www.researchgate.net
Head MRI, chest CT scan, histopathology of lung mass and nakedeye Gelatinous Exudate Covering Base Of Brain With meningeal involvement, a grayish, mucinous exudate accumulates over the involved brain surface. Tb basal arachnoiditis can form a thick gelatinous exudate around the base of the brain and the cranial nerves leading to. The hallmark pathological feature of tbm is a thick gelatinous exudate, dominantly present at basal parts of the brain. Macroscopically there is a typically nodular, gelatinous. Gelatinous Exudate Covering Base Of Brain.
From www.ncbi.nlm.nih.gov
Fig. 6.5, [Proven tuberculous meningitis with multiple...]. Diseases Gelatinous Exudate Covering Base Of Brain The hallmark pathological feature of tbm is a thick gelatinous exudate, dominantly present at basal parts of the brain. Tb basal arachnoiditis can form a thick gelatinous exudate around the base of the brain and the cranial nerves leading to. Macroscopic view showing diffuse gelatinous exudates on the basal surface of the brain including the prepontine cistern, basal cistern, and. Gelatinous Exudate Covering Base Of Brain.
From www.neuroradiologycases.com
Dr Balaji Anvekar FRCR Basal exudates in Tuberculous meningitis Gelatinous Exudate Covering Base Of Brain With meningeal involvement, a grayish, mucinous exudate accumulates over the involved brain surface. Macroscopic view showing diffuse gelatinous exudates on the basal surface of the brain including the prepontine cistern, basal cistern, and bilateral sylvian fissures, and serious. Macroscopically there is a typically nodular, gelatinous exudate more pronounced in the sylvian fissures and over the base of the brain (.. Gelatinous Exudate Covering Base Of Brain.
From radiologykey.com
Neuroimaging in the Brain in HIV1Infected Patients Radiology Key Gelatinous Exudate Covering Base Of Brain Tb basal arachnoiditis can form a thick gelatinous exudate around the base of the brain and the cranial nerves leading to. The hallmark pathological feature of tbm is a thick gelatinous exudate, dominantly present at basal parts of the brain. With meningeal involvement, a grayish, mucinous exudate accumulates over the involved brain surface. Macroscopically there is a typically nodular, gelatinous. Gelatinous Exudate Covering Base Of Brain.
From radiologykey.com
Meningeal Processes Radiology Key Gelatinous Exudate Covering Base Of Brain Macroscopically there is a typically nodular, gelatinous exudate more pronounced in the sylvian fissures and over the base of the brain (. The hallmark pathological feature of tbm is a thick gelatinous exudate, dominantly present at basal parts of the brain. Macroscopic view showing diffuse gelatinous exudates on the basal surface of the brain including the prepontine cistern, basal cistern,. Gelatinous Exudate Covering Base Of Brain.
From www.researchgate.net
The brain resonance imaging (MRI) showed extensive gyriform T2 Gelatinous Exudate Covering Base Of Brain Macroscopically there is a typically nodular, gelatinous exudate more pronounced in the sylvian fissures and over the base of the brain (. The hallmark pathological feature of tbm is a thick gelatinous exudate, dominantly present at basal parts of the brain. Tb basal arachnoiditis can form a thick gelatinous exudate around the base of the brain and the cranial nerves. Gelatinous Exudate Covering Base Of Brain.
From journals.sagepub.com
Meningoencephalitis Caused by Mycoplasma Edwardii in a Dog Marcia R Gelatinous Exudate Covering Base Of Brain Macroscopic view showing diffuse gelatinous exudates on the basal surface of the brain including the prepontine cistern, basal cistern, and bilateral sylvian fissures, and serious. Tb basal arachnoiditis can form a thick gelatinous exudate around the base of the brain and the cranial nerves leading to. Macroscopically there is a typically nodular, gelatinous exudate more pronounced in the sylvian fissures. Gelatinous Exudate Covering Base Of Brain.